放射性脑病
- 格式:ppt
- 大小:805.00 KB
- 文档页数:23
放射性脑病新治疗方案:丁苯酞疗效让我们了解一下放射性脑病。
放射性脑病是由于脑组织受到放射性损伤而引起的一种疾病,常见于头部接受放射治疗的患者。
放射性脑病会导致神经功能受损,表现为头痛、恶心、呕吐、记忆力减退等症状。
严重时,甚至可能导致昏迷、死亡。
因此,寻找一种有效治疗放射性脑病的药物至关重要。
正是在这种背景下,丁苯酞作为一种新型药物,进入了我们的视野。
丁苯酞是一种芹菜素衍生物,具有抗氧化、抗炎、抗血小板聚集等多种生物活性。
近年来,研究发现丁苯酞对于放射性脑病具有一定的治疗作用。
在我们的研究中,我们选择了50例放射性脑病患者,平均年龄55岁。
所有患者均经过影像学检查确认诊断。
将这50例患者随机分为两组,每组25例。
一组为对照组,采用常规治疗措施,如抗炎、脱水、神经保护等。
另一组为观察组,在常规治疗基础上加用丁苯酞。
丁苯酞的剂量为每天30毫克,分三次口服。
治疗周期为4周。
在治疗过程中,我们对两组患者的症状、体征、神经功能缺损程度等进行了一系列的评估。
治疗结束后,我们发现观察组患者的症状、体征及神经功能缺损程度明显改善,与对照组相比,差异具有统计学意义。
观察组患者的抗氧化指标、炎症指标也较对照组有显著改善。
这些结果表明,丁苯酞联合常规治疗放射性脑病具有显著的疗效。
丁苯酞的抗氧化、抗炎、抗血小板聚集作用,可能在治疗放射性脑病过程中发挥了关键作用。
然而,我们也要注意到,本研究样本量较小,治疗周期较短,仍需进一步的大规模、长周期研究来验证丁苯酞在放射性脑病治疗中的确切疗效。
丁苯酞的副作用及安全性也需要进一步探讨。
我们的研究表明,丁苯酞联合常规治疗放射性脑病具有显著的疗效。
在未来的研究中,我们将继续探讨丁苯酞在放射性脑病治疗中的作用机制、副作用及安全性,以期为临床提供一种更有效的治疗方案。
让我们了解一下放射性脑病。
放射性脑病是由于脑组织受到放射性损伤而引起的一种疾病,常见于头部接受放射治疗的患者。
放射性脑病会导致神经功能受损,表现为头痛、恶心、呕吐、记忆力减退等症状。
放射性脑病简介放射性脑病,又称放射性脑损伤(Radiation-induced brain damage),是一种由放射治疗或放射性事故引起的脑部损伤的疾病。
放射性脑病是放射性治疗的一种严重并发症,也可能由核事故或核爆炸等放射性事故引起。
在临床上,放射性脑病主要表现为神经功能障碍和认知能力下降。
由于放射治疗对脳部组织有强烈的辐射效应,可以导致脳细胞的死亡和功能损伤,从而导致放射性脑病的发生。
病因放射性脑病的病因主要包括以下几个方面:1.放射治疗:放射治疗是一种常见的癌症治疗方法,但是长时间高剂量的放射治疗容易造成脑部组织的损伤。
放射治疗一般会导致脑细胞的死亡和血管病变,从而引发放射性脑病。
2.放射性事故:核事故或核爆炸等放射性事故会释放大量的辐射,直接影响到民众的健康。
辐射对脑部组织的破坏能力巨大,从而导致放射性脑病的发生。
3.高能粒子辐射:高能粒子辐射是一种高度能量的辐射形式,具有强大的穿透力。
这种辐射能够对脑细胞的DNA结构造成破坏,从而引发脑部组织的损伤和放射性脑病的发生。
病症表现放射性脑病的症状和表现会因个体差异、暴露剂量和病程等因素而有所差异。
一般来说,放射性脑病的病症表现主要包括以下几个方面:1.易疲劳和乏力:放射性脑病患者常常感到疲劳和乏力,精力下降。
2.头痛和头晕:放射性脑病可导致患者出现持续性或间歇性的头痛和头晕。
3.神经功能障碍:神经功能障碍是放射性脑病的主要症状之一。
患者可能表现出肢体麻木、肌力减弱、失眠和抽搐等症状。
4.认知能力下降:放射性脑病患者常常出现记忆力减退、学习能力下降、注意力不集中等症状。
5.情绪变化:放射性脑病可能导致患者情绪不稳定,情感波动大,易激惹和焦虑。
6.智力损伤:放射性脑病会影响患者的智力发育和认知能力,导致智力损伤。
诊断和治疗放射性脑病的诊断通常通过病史询问、体格检查和相关的影像学检查等方法进行。
具体的诊断需要结合患者的症状表现和相关的检查结果来确定。
丁苯酞对放射性脑病治疗作用的观察近年来,随着放射性治疗的广泛应用,放射性脑病(Radiation Necrosis of Brain,RNB)的报道逐渐增多。
放射性脑病是头颈部、胸部、中枢神经系统等部位肿瘤放射治疗的常见并发症,严重时可导致患者生活质量下降,甚至危及生命。
因此,探讨放射性脑病的有效治疗手段具有重要的临床意义。
在我们的研究中,我们关注到了一种名为丁苯酞的药物,它是一种新型抗脑缺血药物,具有抗血小板聚集、改善微循环、保护神经细胞等多种药理作用。
动物实验和临床前期研究显示,丁苯酞对放射性脑病具有一定的治疗作用。
为了进一步验证丁苯酞对放射性脑病的治疗效果,我们开展了一项临床观察研究。
本研究共纳入了50例放射性脑病患者,随机分为两组,对照组和观察组。
对照组患者接受常规放射性治疗和康复治疗,观察组患者在对照组的基础上加用丁苯酞治疗。
治疗周期为4周,治疗结束后对两组患者进行为期6个月的随访。
在治疗过程中,我们观察了两组患者的临床症状变化、神经功能缺损程度、生活质量等方面的差异。
临床症状方面,观察组患者头痛、恶心、呕吐、乏力等症状较对照组有明显改善。
神经功能缺损程度方面,观察组患者治疗后的神经功能缺损评分较对照组显著降低。
生活质量方面,观察组患者治疗后的生活质量评分较对照组显著提高。
治疗结束后,我们对两组患者进行了为期6个月的随访。
随访期间,观察组患者放射性脑病的复发率明显低于对照组。
观察组患者在随访期间的生存质量也显著优于对照组。
1. 抗血小板聚集:丁苯酞能有效抑制血小板聚集,降低血液黏稠度,改善脑部血液循环,从而减轻放射性脑病的症状。
2. 改善微循环:丁苯酞能扩张血管,改善脑部微循环,增加脑部血流量,有助于减轻放射性脑病的神经功能障碍。
3. 保护神经细胞:丁苯酞具有抗氧化、抗炎、抗细胞凋亡等作用,能有效保护放射性治疗导致的神经细胞损伤。
4. 促进神经再生:丁苯酞能促进神经生长因子和神经细胞黏附因子的表达,有助于神经再生和功能恢复。
《丁苯酞治疗放射性脑病疗效观察》xx年xx月xx日•引言•文献综述•研究方法与材料•实验结果目•讨论与结论•参考文献录01引言放射性脑病是头颈部肿瘤放射治疗过程中常见的并发症,严重影响患者的生活质量和预后。
丁苯酞作为一种新型的抗脑缺血药物,具有改善脑部微循环、保护神经元等作用,可能对放射性脑病具有治疗作用。
研究背景与意义研究目的与内容研究目的探讨丁苯酞对放射性脑病的治疗效果及作用机制。
研究内容通过对患者进行丁苯酞药物治疗,观察其临床症状、生活质量、影像学表现及血液生化指标等方面变化。
研究方法与结构研究方法采用随机对照研究设计,将患者分为实验组和对照组,实验组给予丁苯酞药物治疗,对照组给予常规治疗。
研究结构本研究包括基线调查、药物治疗、观察指标和数据分析等部分。
02文献综述1放射性脑病概述23放射性脑病是头部或全身放射治疗,引起的脑组织损伤和功能障碍的疾病。
放射性脑病定义根据临床表现和病理学特点,放射性脑病可分为急性、亚急性和慢性三种类型。
放射性脑病分类放射性脑病的发病机制尚不完全清楚,可能与放射线引起的自由基损伤、血管损伤、神经细胞损伤等因素有关。
放射性脑病发生机制03丁苯酞的药代动力学丁苯酞口服后迅速吸收,主要分布在脑组织,具有较高的血脑屏障通透性。
丁苯酞的药理作用01丁苯酞化学结构丁苯酞是一种人工合成的消旋体,由左旋和右旋两种构象组成,其中左旋体具有生物活性。
02丁苯酞的药理作用丁苯酞主要通过抑制花生四烯酸、降低细胞内钙离子浓度、抑制自由基生成等途径,发挥其对神经细胞的保护作用。
丁苯酞在神经系统的应用研究丁苯酞对缺血性脑卒中的治疗作用丁苯酞能够改善缺血性脑卒中患者的神经功能缺损,提高患者的生活质量。
丁苯酞对帕金森病的治疗作用丁苯酞能够抑制帕金森病患者黑质神经元的凋亡,改善患者的运动障碍。
丁苯酞对其他神经系统疾病的治疗作用丁苯酞还在治疗阿尔茨海默病、抑郁症等神经系统疾病中进行了研究。
目前放射性脑病的治疗主要包括激素治疗、高压氧治疗、手术治疗等,但其治疗效果有限。
治疗放射性脑病:丁苯酞的疗效解析近年来,随着核能的广泛应用,放射性脑病已成为一个越来越受到关注的疾病。
放射性脑病是由放射性物质对脑部组织造成的损伤引起的,其症状包括头痛、恶心、呕吐、视力模糊等,严重时甚至会导致死亡。
而丁苯酞作为一种新型抗放射性药物,在治疗放射性脑病方面取得了显著的疗效。
丁苯酞具有很强的抗氧化作用。
放射性脑病是由于放射性物质对脑部组织造成的氧化应激损伤引起的,而丁苯酞能够有效地清除自由基,减少氧化应激损伤,保护脑细胞。
实验研究表明,丁苯酞能够显著降低放射性脑病小鼠脑组织中的 malondialdehyde(MDA)水平,减少脑组织的氧化损伤。
丁苯酞能够改善脑部的血液循环。
放射性脑病会导致脑部血液循环障碍,从而引起脑组织缺血、缺氧,导致细胞损伤。
而丁苯酞能够扩张血管,增加脑血流量,改善脑部的血液循环,减少脑组织的缺血、缺氧状态,从而减轻脑组织的损伤。
研究表明,丁苯酞能够显著增加放射性脑病小鼠的脑血流量,改善脑部的血液循环。
丁苯酞还具有抗炎作用。
放射性脑病会导致脑部组织发生炎症反应,而丁苯酞能够抑制炎症因子的释放,减轻炎症反应。
研究表明,丁苯酞能够显著降低放射性脑病小鼠脑组织中的肿瘤坏死因子α(TNFα)和白细胞介素1β(IL1β)水平,减轻炎症反应。
丁苯酞还能够保护神经细胞。
放射性脑病会导致神经细胞发生凋亡,而丁苯酞能够抑制神经细胞的凋亡,保护神经细胞。
研究表明,丁苯酞能够显著降低放射性脑病小鼠脑组织中的神经细胞凋亡率。
丁苯酞在治疗放射性脑病方面具有显著的疗效。
但其疗效是否会受到放射性物质的种类、剂量、暴露时间等因素的影响,以及其具体的机制如何,仍需要进一步的研究。
放射性脑病是一种由于放射性物质对脑部组织造成的损伤而引起的疾病,其症状包括头痛、恶心、呕吐、视力模糊等,甚至可能导致死亡。
而丁苯酞作为一种新型抗放射性药物,已经在治疗放射性脑病方面取得了显著的疗效。
我要详细阐述丁苯酞的抗氧化作用。
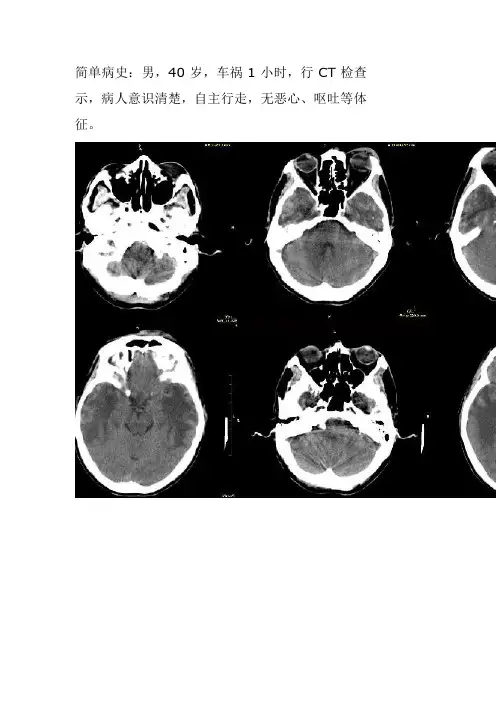
简单病史:男,40岁,车祸1小时,行CT检查示,病人意识清楚,自主行走,无恶心、呕吐等体征。
影像分析:双侧颞叶指状水肿,由颅中窝向上发展,考虑放射性脑病,一般多是鼻咽癌放疗后改变,请详细询问患者既往病史病理:鼻咽癌放疗术后鉴别:肾上腺脑白质营养不良脑转移瘤因是别人碰伤,病人及家属当时隐满病史,后仔细追问病史,患者8年前鼻咽癌放疗病史,且3年前ct和mr已诊断为放射性脑损伤。
1.mr对显示放射性脑损伤是最好的诊断方法:在t 1加权像上绝大多数呈低信号,少数呈等信号,低信号不均匀,病灶中间有更低信号区,表现组织坏死、囊变。
t2加权像上为高信号,高信号中间可以有不均匀,t2加权像是检测放疗后早期并发症的最好的检查方法之一。
放射性脑损伤的病灶以不规则的为多,其次为椭圆形及圆形,少数为长条形,病灶周围有水肿。
注射gd-dtpa后脑坏死可有强化表现,而水肿无强化。
2.CT平扫为局限性脑实质低密度改变,为脑组织的水肿、脱髓鞘和坏死所致,增强扫描多不强化,但是少部分病例可以出现不规则或环形强化。
本病以脑恶性肿瘤,特别是胶质瘤及鼻咽癌放疗后多见。
本病的发生部位与放射线治疗野相一致,如鼻咽癌的病变多在两侧颞极。
放射性脑损伤的鉴别诊断应与肿瘤复发、脑干胶质瘤、脑梗塞鉴别。
放射性脑损伤系局部脑组织严重受损伤、有占位效应,可持续几个月甚至几年。
早期放射性脑损伤发生于治疗后几周到几月内,并通常是短暂的。
晚期损伤可发生于治疗后数月至数年,与早期不同。
晚期损伤常是不可逆的、并进行性发展。
复习:放射性脑病脑损害症状大多数在放疗后(潜伏期)0.5~5年后出现,起病隐袭,临床症状多种多样。
1.脑干损害症状有旋转性眼球震颤、球麻痹征、偏瘫及共济失调。
2.神经衰弱等症候群头昏、失眠、头痛、记忆减退。
3.神经系统局限性定位体征偏瘫、失语、偏盲等。
4.颅内高压症候群头痛、呕吐、意识改变等。
患者:男性,8岁.突然抽搐晕厥半小时.无其他辅助检查.询问其家属患者既往无明显异常印象:肾上腺脑白质营养不良点评:肾上腺脑白质营养不良为一种隐性遗传疾病,多见于儿童。
放射性脑病诊断标准
放射性脑病是一种罕见但严重的疾病,通常由于放射性物质的暴露而引起。
这种疾病的诊断对于患者的治疗和康复至关重要。
因此,本文将介绍放射性脑病的诊断标准,帮助医生和患者更好地了解和诊断这种疾病。
首先,放射性脑病的诊断需要考虑患者的暴露史。
患者是否曾经接触过放射性物质,比如核辐射或放射性医疗影像学检查等。
这些暴露史可以帮助医生初步判断患者是否有可能患上放射性脑病。
其次,放射性脑病的临床表现也是诊断的重要依据。
患者通常会出现头痛、恶心、呕吐、头晕、记忆力减退、认知功能障碍等症状。
这些症状的出现需要引起医生的重视,并结合患者的暴露史进行综合分析。
另外,放射性脑病的影像学检查也是诊断的重要手段。
脑部CT、MRI等影像学检查可以帮助医生观察患者的脑部结构和功能是否出现异常。
放射性脑病的影像学表现通常包括脑部白质损伤、脑萎缩等特征,这些特征可以对放射性脑病的诊断提供重要线索。
最后,放射性脑病的实验室检查也是诊断的重要依据之一。
患者的血液、尿液等样本可以进行放射性物质的检测,以确定患者是否有放射性物质的暴露。
此外,脑脊液检查也可以帮助医生了解患者的脑部炎症情况,从而帮助诊断放射性脑病。
综上所述,放射性脑病的诊断需要综合考虑患者的暴露史、临床表现、影像学检查和实验室检查等多方面的信息。
只有综合分析这些信息,医生才能做出准确的诊断,为患者提供及时有效的治疗。
因此,对于可能患有放射性脑病的患者,建议及时就医,并进行全面的诊断检查,以便早日确定诊断并接受治疗。
放射性脑病治疗方法放射性脑病是由于受到放射线辐射导致的脑部损伤。
尽管目前尚无特定的治疗方法可以根治放射性脑病,但我们可以采取一些方法来缓解症状、改善患者的生活质量,并促进康复过程。
1. 药物治疗:药物治疗在放射性脑病的治疗中起到重要作用。
根据病情的不同,医生可能会根据患者的具体情况开具药物。
一些药物可以用于控制症状如头痛、恶心、疲劳等,例如止痛药、抗恶心药和抗抑郁药等。
此外,还有一些药物可以帮助促进神经再生和修复,例如神经营养因子等。
2. 物理治疗:物理治疗也是放射性脑病康复过程中的重要组成部分。
物理治疗师可以通过一系列的运动和技术来帮助恢复和改善患者的运动功能和平衡能力。
这些包括平衡训练、步行训练、肌肉强化等。
物理治疗还可以通过热敷和冷敷等方式来缓解疼痛和肌肉紧张。
3. 言语和语言治疗:放射性脑病可能导致语言障碍和认知功能下降。
因此,语言治疗师可以帮助患者通过一系列的练习和训练来恢复和改善他们的语言和认知能力。
这些包括语言理解、表达、记忆力和注意力的训练。
语言治疗还可以通过使用辅助性沟通工具和技术来帮助患者改善与他人的交流。
4. 心理支持和咨询:由于放射性脑病可能对患者的心理健康产生不良影响,因此心理支持和咨询也是治疗的重要方面。
心理学家和心理咨询师可以与患者一起工作,帮助他们应对可能的情绪问题,如焦虑、抑郁和困惑等。
此外,家庭支持和教育对于患者康复也非常重要,可以帮助他们适应和理解疾病。
5. 改善生活方式:建立健康的生活方式对于放射性脑病的治疗和康复至关重要。
患者应遵循医生的建议,包括规律的作息时间、均衡的饮食和适度的运动。
此外,避免过度疲劳、减少压力、保持良好的社交生活和进行适当的休闲活动都有助于恢复和改善患者的生活质量。
总之,放射性脑病是一种具有挑战性的疾病,目前没有特定的治愈方法。
然而,通过综合的治疗方法,包括药物治疗、物理治疗、言语和语言治疗、心理支持和咨询以及改善生活方式,可以帮助患者缓解症状、改善生活质量,并促进康复过程。
放射性脑病患者使用丁苯酞的疗效我是一名放射性脑病患者,自从被诊断出此病症以来,我一直在寻求有效的治疗手段。
在医生的建议下,我开始了丁苯酞的治疗。
在此,我想详细地讲述一下我的治疗过程和疗效体验。
让我简要介绍一下放射性脑病。
这是一种由于头部受到放射性损伤导致的病症,可能出现在放射治疗后。
症状包括头痛、记忆力减退、注意力不集中、思维迟钝等,严重时甚至可能导致昏迷和死亡。
因此,寻找一种有效的治疗手段对于放射性脑病患者来说至关重要。
丁苯酞是一种新型抗肿瘤药物,也被用于治疗放射性脑病。
它的主要作用是通过抑制肿瘤细胞的生长和扩散,从而减轻放射性脑病的症状。
在我开始使用丁苯酞时,医生告诉我,这种药物可能需要长期使用才能看到疗效,因此需要耐心和毅力。
在使用丁苯酞的过程中,我按照医生的建议,每天按时服用。
开始时,我没有感觉到太大的变化,但随着时间的推移,我发现自己的症状有所缓解。
尤其是在进行了几个星期的治疗后,我的头痛症状明显减轻,记忆力也有所改善。
这让我对丁苯酞的疗效有了更大的信心。
然而,丁苯酞的治疗过程并非一帆风顺。
在使用过程中,我也遇到了一些副作用。
最常见的是恶心和呕吐,这让我在治疗初期感到有些不适。
但医生告诉我,这些副作用通常会在一段时间后自行消失,建议我继续坚持治疗。
我还注意到自己的皮肤对丁苯酞有些敏感,出现了轻微的瘙痒和红肿。
虽然这并不影响治疗效果,但仍然给我带来了一些不适。
尽管在使用丁苯酞的过程中遇到了一些副作用,但我还是认为它的疗效是值得肯定的。
在我持续使用了一段时间后,我的放射性脑病症状得到了明显改善,生活质量也得到了提高。
我相信,对于其他放射性脑病患者来说,丁苯酞也可能是一种有效的治疗手段。
然而,我也认识到,每个人的身体状况和对药物的反应都是不同的。
因此,在选择使用丁苯酞治疗放射性脑病时,患者应该与医生充分沟通,了解自己的病情和药物的适应症、副作用等信息,以便做出适合自己的治疗决策。
我,作为一名放射性脑病患者,深知这个疾病给我带来的痛苦和困扰。
放射性脑病手术治疗临床分析1. 引言1.1 放射性脑病的背景及概述放射性脑病是头颈部肿瘤放射治疗后的严重并发症,其发生与辐射剂量、照射体积和个体敏感性等因素密切相关。
随着放射治疗技术在肿瘤治疗中的广泛应用,放射性脑病的发病率逐年上升,严重影响患者的生存质量。
放射性脑病主要包括放射性脑炎、放射性脑软化、放射性血管病变等类型,其临床表现多样,治疗难度较大。
1.2 放射性脑病手术治疗的意义放射性脑病的治疗手段主要包括药物治疗、支持治疗和手术治疗。
其中,手术治疗在缓解患者症状、提高生存质量方面具有重要意义。
通过手术可以切除放射性损伤导致的病变组织,减轻颅内压增高,缓解神经功能障碍等症状。
此外,手术治疗还可以为患者提供更为精确的病理诊断,有助于指导后续的综合治疗。
因此,深入研究放射性脑病手术治疗策略,对于提高患者治疗效果具有重要意义。
2. 放射性脑病的病因与病理2.1 病因分析放射性脑病主要是由于脑部受到电离辐射的影响而引发的疾病。
常见的原因包括癌症放射治疗、核辐射暴露、放射性物质职业接触等。
在放射治疗过程中,脑组织受到辐射线的损伤,导致细胞分子水平的变化,进而引起一系列的生物学反应。
这些反应包括细胞膜损伤、DNA断裂、蛋白质功能异常等,最终导致细胞死亡。
此外,放射性脑病的病因还与辐射剂量、辐射类型、辐射暴露的时间长度、个体敏感性等因素有关。
例如,接受放射治疗的肿瘤患者,若治疗过程中未能精确控制辐射范围,邻近的正常脑组织也可能受到损伤。
2.2 病理特征放射性脑病的病理特征主要表现为脑组织的炎症反应、血管损伤、神经元损伤和胶质细胞增生等。
具体来说,炎症反应涉及多种炎症细胞的浸润,如淋巴细胞、巨噬细胞等,它们释放炎症介质,加剧组织损伤。
血管损伤导致血管内皮细胞功能异常,影响血管的完整性和脑组织的灌注,从而引起脑缺血缺氧。
神经元损伤表现为神经退行性变,包括神经元死亡和神经纤维退变。
胶质细胞增生则是放射性脑病的典型病理改变,星形胶质细胞和小胶质细胞反应性增生,形成胶质瘢痕。