胼胝体发育不良
- 格式:ppt
- 大小:629.50 KB
- 文档页数:16
胼胝体发育不良症状起因
*导读:胼胝体发育不良症状是怎么引起的?引起胼胝体发育不良症状的疾病有哪些?
胼胝体发育过程:
胚胎第7~10周时,终板背侧普遍性增浓,其上方形成联合块,后者诱导大脑半球轴突从一侧向另一侧生长,形成胼胝体。
胚胎74天时可在胚胎上见到最早的胼胝体纤维,到115天胼胝体在形态上成熟。
胼胝体分为嘴部、膝部、体部和压部4个部分,其发育顺序由前向后,正好与其成熟顺序相反。
如果联合块不能诱导轴突从大脑半球一侧越过中线到达对侧大脑半球,则胼胝体就不能形成。
胼胝体发育不全可能原因:
胚胎早期的子宫内感染、缺血等原因可使大脑前部发育失常,而发生胼胝体缺失,晚期病变可使胼胝体压部发育不良。
通常首先累及体部和膝部,也可同时累及膝部和压部,但单独累及膝部的情况较少,仅见于前脑无裂畸形。
但Barkovich(1988)认为胼胝体发育不良,是由于胼胝体形成的前驱阶段受损,并非发生于胼胝体形成期。
胼胝体发育不良也有遗传基础。
胼胝体发育不良的原因也包括下列这些因素:
(1)毒性─代谢性因素,如怀孕时母体酒精中毒或糖尿病,胎儿本身罹患某些代谢性疾病。
(2)染色体异常,最常见的是三染色体8或三染色体18。
(3)基因异常或某些特殊症侯群(如Aicardi氏症侯群),会以显性遗传、隐性遗传或性联遗传的方式遗传而来。
(4)怀孕初期胎儿的脑部受到感染。
*结语:以上就是对于胼胝体发育不良的病因,胼胝体发育不良怎么引起的相关内容介绍,更多有关胼胝体发育不良方面的知识,请继续关注或者站内搜索了解更多。
·综 述·胼胝体发育不全的影像学诊断孙 建1,房伍磊2 综述,马玉香1 审校(1.山东省医学影像学研究所 山东 济南 250021;2.中国石化集团胜利石油管理局第五医院 山东 滨州 256600) 【摘 要】 胼胝体发育不全是常见的颅脑畸形,包括完全缺如和部分缺如两种类型,可单独存在,也可合并其他中枢神经系统畸形。
影像学检查为诊断胼胝体发育不全的重要手段,本文综述胼胝体发育不全的影像学诊断及重要意义。
【关键词】 胼胝体发育不全;计算机体层成像;超声成像;磁共振成像中图分类号:R742;R445.2 文献标识码:A 文章编号:1006-9011(2008)08-0952-03Im aging diagnosis of corpus callosum agenesisSU N Jian1,FA NG W u-lei2,MA Yu-xiang11.Shandong M edical Imaging Research Institute,J inan Shandong250021,P.R.China2.No5Hos pitol o f Shengli Petroleum Administrative Bureau Sinopec,Bin zhou Shandong256600,P.R.China【Abstract】 The agenesis of corpus callosum,include completed agenesis of corpus collosom(CACC)and partial agenesis of corpus col-losom(PACC),isolate or associated with cerebral anomalies,is frequent in deformity of brain.The imageology study is the important way of the diagnosis of corpus callosu m agenesis.This article is to review the imaging dignosis of corpus callosum agenesis and its clinical val-ue.【Key words】 Corpus callosu m agenesis;Computed tomography;Ultrasonic imaging;Magnetic resonance imagineg 胼胝体(corpus callosum)为连接左右两侧大脑半球之间最大的联合纤维,为有胎盘哺乳类动物所特有,在大脑两半球之间起神经信息的整合作用,对大脑皮质的机能发育、学习与记忆方面也起着重要作用,也是人们能够进行有效认知的功能基础。
胼胝体发育不良、先天性第四脑室中侧孔闭锁、脑灰质异位症、脑穿通畸形、蛛网膜囊肿、脑裂畸形、颅底凹陷症、结节性硬化等颅脑先天畸形临床表现、CT诊断特征及鉴别诊断胼胝体发育不良1、临床概述胼胝体发育不良是胚胎第10~12周时发生的畸形,为较常见的脑发育畸形,包括胼胝体发育缺如或部分缺如;胼胝体发育不良可作为单独畸形存在,但通常伴有脑内中线部位的脂肪瘤、交通性脑积水、脑膨出、Chiari畸形、Dandy-Walker囊肿等;临床症状与伴随的畸形有关。
2、CT表现两侧侧脑室显著分离,枕角相对不对称扩大;胼胝体发育不全时,可见侧脑室前角狭窄、向外侧分离,呈倒八字形,侧脑室体部与前角顶端呈锐角向侧方突起;由于脑组织异位,侧脑室边缘不规则。
由于胼胝体缺如,纵裂池接近第三脑室,有时可见纵裂的蛛网膜囊肿;第四脑室抬高扩大,上移至两侧侧脑室前角之间,前角狭小呈八字形分离。
3、鉴别诊断大脑半球纵裂囊肿:位于中线,边界锐利,呈脑脊液密度,横断位难与扩大上升的第三脑室鉴别;冠状位显示囊肿位于侧脑室上方,而扩大上升的第三脑室介于侧脑室之间。
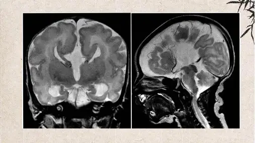
4、MRI显示本畸形更清楚,正常人胼胝体与脑组织前后径之比≥0.45,胼胝体发育不全者<0.3。
先天性第四脑室中侧孔闭锁(Dandy-Walker综合征)1、临床概述①第四脑室中间孔或侧孔被先天性纤维网、纤维带或囊肿所闭塞;枕大池被先天性脑脊膜膨出、小脑异位或脑膜感染粘连所阻塞;小脑蚓部发育不全或不发育和脑积水。
②多见于婴幼儿,临床体征有颅内压增高表现、脑积水征、共济失调等小脑症状,临床表现严重者出现痉挛状态甚至压迫延髓呼吸中枢,导致呼吸衰竭而死亡。
2、CT表现第四脑室向后囊状扩大,并与颅后窝巨大的枕大池相连,形成脑脊液密度样巨大囊肿;CT显示小脑蚓部变小或缺如,小脑半球发育不良,小脑后部中间隔缺如或变形,小脑上蚓部受压而向上前移位。
脑干受压向前推移,桥池、延髓池、桥小脑角池和第四脑室侧隐窝消失,颅后窝扩大、枕骨变薄、小脑幕上移;横窦及窦汇位于人字缝尖之上。
胼胝体发育不良的诊断标准胼胝体发育不良(corpus callosum agenesis)是一种罕见的脑部发育异常,其特征是大脑两半球之间的神经纤维束——胼胝体未能完全形成。
这种异常可能会对患者的神经发育和认知功能产生严重影响。
因此,准确的诊断对于患者的治疗和康复至关重要。
下面将介绍胼胝体发育不良的诊断标准,以便临床医生和研究人员能够更好地识别和处理这一疾病。
1. 影像学检查。
胼胝体发育不良的诊断首先依靠影像学检查,如MRI(磁共振成像)。
通过MRI可以清晰地观察到大脑结构,包括胼胝体。
在正常情况下,胼胝体应该清晰可见,但在发育不良的情况下,可能完全缺失或部分缺失。
因此,MRI成像是诊断胼胝体发育不良的重要手段之一。
2. 神经系统体征。
除了影像学检查,医生还需要观察患者的神经系统体征。
胼胝体发育不良可能会导致患者出现运动协调障碍、智力发育迟缓、言语障碍等症状。
这些体征的存在可以进一步支持诊断。
3. 家族史。
有些胼胝体发育不良患者可能存在家族史,即其家族中有其他成员也患有相似的神经发育异常。
因此,患者的家族史也是诊断的重要参考依据之一。
4. 心理测评。
通过心理测评,可以评估患者的智力水平、学习能力、社交能力等方面的表现。
这对于诊断和治疗胼胝体发育不良非常重要。
综上所述,胼胝体发育不良的诊断标准主要包括影像学检查、神经系统体征、家族史和心理测评。
这些方法的综合应用可以帮助医生准确诊断胼胝体发育不良,并为患者制定个性化的治疗方案提供重要依据。
希望本文能够对临床医生和科研人员有所帮助,提高对胼胝体发育不良的诊断和治疗水平。
胼胝体发育不良病情说明指导书一、胼胝体发育不良概述胼胝体发育不良(agenesis of the corpus callosum)是先天性颅脑发育畸形的一种,表现为胼胝体完全或部分节段缺如。
胼胝体是连接左右大脑半球的神经纤维织束,其发育不良常合并有颅内和颅外的畸形,以及各种综合征和染色体异常。
先天性胼胝体发育不良本身一般不产生症状或症状较轻,其临床症状与伴发的脑畸形有关,轻者可能出现视觉障碍、交叉触觉定位障碍,重者可能有抽搐、肢体瘫痪、痉挛、智能低下、癫痫发作。
目前主要依靠 CT、MRI、超声进行诊断。
英文名称:agenesis of the corpus callosum其它名称:胼胝体发育不全相关中医疾病:暂无资料。
ICD 疾病编码:暂无编码。
疾病分类:神经系统疾病是否纳入医保:部分药物、耗材、诊治项目在医保报销范围,具体报销比例请咨询当地医院医保中心。
遗传性:可能与遗传有关发病部位:颅脑常见症状:无症状、轻度视觉障碍、交叉触觉定位障碍、抽搐、肢体瘫痪、痉挛、智能低下、癫痫发作主要病因:胚胎发育期间大脑前动脉缺血、缺氧、梗塞、炎症检查项目:CT、MRI、超声重要提醒:本病常伴发其他颅脑畸形,如有相关症状应及早就医避免病情进展临床分类:暂无资料。
二、胼胝体发育不良的发病特点三、胼胝体发育不良的病因病因总述:胼胝体发育不良的病因尚未完全清楚,目前认为其发生与环境、遗传有关。
胼胝体的胚胎发育是由位于前神经孔附近的连和发育而来,由大脑前动脉供血。
在胚胎12周时,大脑前动脉缺血、缺氧、梗塞、炎症,都会导致胼胝体发育不良。
当胼胝体完全形成后,损害仅可引起胼胝体狭窄、萎缩。
因此胼胝体发育程度常可提示胚胎受损时间。
基本病因:胼胝体发育不良的原因是多方面的,可以是先天性遗传因素所致,也可以是血管性、机械性或感染性等因素所致。
胎儿感染或缺血是胼胝体发育不良的重要原因。
在妊娠8~10周胎儿若受到宫内感染或缺血等的影响,轴突纤维不能交叉,会导致胼胝体缺如。
产科68胼胝体发育不良胼胝体发育不良定义包括胼胝体发育缺失(ACC)和胼胝体发育不全。
发育缺失是指胼胝体完全没有形成;胼胝体发育不全是胼胝体部分缺失,也就是膝部、压部和体部有不同程度的缺失,是一种少见的脑部畸形。
胚胎组织学特点胼胝体是一种脑白质束状结构,连接左右大脑半球,联系并沟通了两半球的信息交换。
在孕10或11周开始发育,到孕17周基本形成。
发育顺序从膝部到压部,但嘴部最晚形成。
故不应在孕17周前诊断胼胝体发育异常。
遗传学特点1.普通人群发病率约0.3-0.7%,而在有发育缺陷的人群中,发病率为2-3%。
2.病因不清,遗传因素可能是最主要的。
不论是完全性还是部分性,通常都是某一综合征或多发畸形的一部分,最常见的是Aicardi-Goutières综合征,一种X连锁显性遗传病。
3.20%的病例存在非整倍体染色体,多数是18三体、8三体和13三体,也有见于其他染色体异常的报道。
最近一项研究显示产前诊断有8%存在非整倍体染色体,产后诊断存在非整倍体染色体的比例只有4%。
临床特点与病理学特点1.透明隔腔是既可显示胼胝体又可排除胼胝体缺失的重要结构。
完全性胼胝体缺失时,无胼胝体和透明隔腔形成的复合体,则两侧大脑半球在大脑中部相距较远,双侧侧脑室向左右分开,侧脑室后角扩张,第三脑室扩张并向上移位。
2.扣带回的形成有赖于胼胝体的发育。
ACC时,胼胝体上方的扣带回下移。
3.单纯性ACC较少见,通常是某一综合征或多发畸形的一部分。
可以有45种之多的综合征合并ACC。
超声表现1.可以在多个切面显示胼胝体,其中最佳切面是矢状面。
胼胝体发育不全常发生在体部和膝部,由此可见横切面可显示膝部非常重要。
标准切面可能很难获得,阴道超声有明显优势。
2.胼胝体缺失:①在横切面,侧脑室体部及枕角的后部扩大(≥1.0cm)并与正常大小的前角相距较远,故侧脑室表现为“泪滴形”。
双侧侧脑室呈平行状,失去正常时侧脑室前角、体部向中线靠拢的结构。
胼胝体发育不全或缺如:胼胝体发育不全可分为全部或部分缺如,常合并有其他脑发育异常,或为其它综合征的组成部分。
发生率约1:300-1500。
散在发生,常染色体显性遗传、常染色体隐性遗传、X-连锁均均可导致。
酒精、风疹病毒可导致胎儿产生此类畸形。
合并的常见畸形有:ChiariⅡ型,Dandy-walker畸形,脑内囊肿,神经移行障碍(常见灰质异位及脑裂发育异常),脑膨出或面部中线畸形,扣带回和透明隔缺如,脑积水及脑小畸形等。
目录• 【发生学】• 【病理学】• 【超声诊查】• 【临床处理】【发生学】回目录胼胝体胼胝体为三脑室上方的中线结构,是大脑两半球问最主要的一大块有髓纤维的集合体,连接着两侧大脑半球,并形成侧脑室的顶,胼胝体有四部分:嘴,膝,体,压部。
它是从原始终板发生的前脑联合之一。
在妊娠36天时,神经管的喙部有以下特征性结构:端脑泡,间脑泡,视泡,和漏斗。
胼胝体在连合板内发生,在终板内形成。
从第39 到73天,终板经历一系列改变使之成为有传导力的轴突通道。
39天终板的腹侧增厚。
这一增厚区称为接合板。
接合板持续增厚, 73天其内可见四个结构:未来的胼胝体区;未来的前连合;海马连合和透明隔腔。
胚胎第7~10周时,终板背侧普遍性增厚,其上方形成联合块,后者诱导大脑半球轴突从一侧向另一侧生长,形成胼胝体。
74天,左右大脑半球的皮质轴突开始横过将发育成胼胝体的接合板区。
来自大脑不同区域的轴突在不同的时间穿过接合板,导致了在相应时间形成胼胝体的相应部分。
妊娠115天胼胝体的所有部分出现。
36天神经管的喙部、 1. 端脑泡, 2.端脑泡的翼板3.间脑泡; 4. 间脑泡的翼板5.视泡6.漏斗成人胼胝体结构以及横过胼胝体的纤维 1: 额叶纤维 2: 顶叶和颞叶纤维 3: 枕叶纤维。
矢状切开36天神经管的喙部 1.端脑泡 2.室间孔; 3.视泡开口 4. 漏斗; 5. 间脑顶盖; 6. 终板; 7. 视角叉板第39 到 73天 1. 间脑顶盖 2.分裂板3. 终板 4. 接合板 5. 未来的胼胝体6. 未来的前接合7. 透明隔腔 8.未来的海马接合胼胝体的形成如果联合块不能诱导轴突从大脑半球一侧越过中线到达对侧大脑半球,则胼胝体就不能形成。
医学影像影像研究与医学应用 2019年1月 第3卷第1期A组患者的RR间期>1.5s个数、24h平均心率、LVEF值、LAD值跟B组比较存在差异(P<0.05)。
见表1。
表1 比较两组患者的临床指标(x-±s)组别例数RR间期>1.5s个数 LAD(mm)LVEF24h平均心率(次/min)A组70 3300.22±244.0045.74±2.550.44±0.0364.71±3.11B组130 1110.90±90.5041.33±3.100.58±0.1084.34±2.00 t-91.43910.18711.42854.162P-0.0000.0000.0000.0002.2 分析LVEF、LAD跟“卷尺”状图形的关系A组LAD≥35mm、LVEF≥0.50的例数跟B组比较,差异显著(P<0.05)。
见表2。
表2 分析LVEF、LAD跟“卷尺”状图形的关系n,(%)组别例数LAD LVEF≥35mm <35mm <0.50 ≥0.50A组7068(97.15)2(2.86)39(55.71)31(44.29)B组130111(85.38)19(14.62)103(79.23)27(2077)χ2- 6.69412.221P-0.0100.0003 讨论房颤主要跟高血压、心脏外科手术、风湿性心脏病、冠心病等关系密切,且房颤患者的中风风险远高于正常人群。
因此及时诊断和治疗房颤对于降低中风风险有着重要意义。
因不同心脏节律的L o r e n z散点图的特征性存在差异,因此L o r e n z散点图可迅速判断患者的心脏节律性,多被临床用于评价心率变异性(H R V)中。
正常的窦性节律的散点图呈现出彗星状,但房颤患者的RR间期散点图呈扇形。
本次研究发生房颤患者的“卷尺”状L o r e n z散点图跟左心室射血分数下降、左心房内径增大、24h平均心率有关。
胼胝体发育不全或缺如*导读:胼胝体发育不全或缺如其临床症状、体征与合并的其他脑畸形有关,因为先天性胼胝体发育不全或缺如的本身一般不产生症状。
在成人患者中,用复杂的心理测定检查方法,可发现两半球问的信息传递有轻微障碍。
新生儿或婴幼儿患者可表现为球形头、眼距过宽和巨脑畸形,多在怀疑脑积水行CT扫描检查时,才发现有胼胝体发育不良或缺如的特征性图象。
……【发生学】胼胝体是大脑两半球问最主要的一大块有髓纤维的集合体,连接着两侧大脑半球,并形成侧脑室的顶。
它是从原始终板发生的前脑联合之一。
胼胝体形成于胚胎的第12~20周。
胚胎第7~10周时,终板背侧普遍性增厚,其上方形成联合块,后者诱导大脑半球轴突从一侧向另一侧生长,形成胼胝体。
胚胎74天时可在胚胎上见到最早的胼胝体纤维,到115天胼胝体在形态上成熟。
如果联合块不能诱导轴突从大脑半球一侧越过中线到达对侧大脑半球,则胼胝体就不能形成。
胼胝体分为嘴部、膝部、体部和压部4个部分,其发育顺序由前向后,正好与其成熟顺序相反。
胚胎早期的宫内感染、缺血等原因可使大脑前部发育失常,而发生胼胝体缺失,晚期病变可使胼胝体压部发育不良。
常首先累及体部和膝部,也可同时累及膝部和压部,但单独累及膝部的较少,仅见于前脑无裂畸形。
但Barkovich(1988)认为胼胝体发育不良,是由于胼胝体形成的前驱阶段受损,并非发生于胼胝体形成期。
胼胝体发育不良也有遗传基础。
【病理学】胼胝体发育不良或缺如自18l2年Rell进行了尸解报告以来,此后Bull(1967).Brun(1973)等也对其进行了详细描述。
胼胝体发育不良可为完全或部分缺如。
景常见的是胼胝体和海马连合完全性发育不良,而前连合得以保留。
在胼胝体所保留的纤维束中,只有Probst束,这是向前后方向投射,不越过中线的纤维柬。
由于没有胼胝体纤维的约束力。
第三脑室顶向背侧抬高.室间孔明显扩大,使第三脑室和侧脑室形成一个"蝙蝠"形囊腔。
胼胝体发育不良诊断详述*导读:胼胝体发育不良症状的临床表现和初步诊断?如何缓解和预防?胼胝体发育不良大多数为散发性,原因不明。
其临床症状、体症与其合并的其他脑畸形有关,因为先天性胼胝体发育不全或缺如的本身一般不产生症状。
在成人患者中,用复杂的心理测定检查方法,可发现两半球问的资讯传递有轻微障碍。
胼胝体发育不良可以单独存在,甚至不产生任何症状,但这种情形非常罕见。
绝大多数罹患此症的孩子都多多少少会有些外观的异常,如头太大或太小、下巴小、眼睛有斜视、白内障、或眼球过小、唇颚裂、肾脏与输尿管异常、多指症或并指症等,多在怀疑孩子异常之情况可能为脑积水的原因所引起,进而执行电脑断层扫描检查,才发现有胼胝体发育不良或缺如的特征性图象。
胼胝体发育不良可出现智力轻度低下或轻度视觉障碍或交叉触觉定位障碍。
严重者可出现精神发育迟缓和癫痫。
因脑积水可发生颅内压增高。
婴儿常呈痉挛状态及锥体束征。
X-4性联遗传者,其特点为生后数小时有癫痫发作,并出现严重的发育迟缓。
胼胝体发育不良虽然在胎儿期便已形成,但出生之后,并没有一些特征告诉我们婴儿罹患此症;往往是在婴儿发展的过程中,因为动作或语言发展迟缓、癫痫症(尤其是婴儿点头痉挛)或脑性麻痹等神经症状出现,做了脑部超音波或脑部磁振扫描才发现这种情况。
如果说婴儿的外型上有任何值得我们怀疑有胼胝体发育不良的可能性的话,则两眼分离过远与斜视这两种情况就要让我们警觉到此症存在的可能性。
绝大多数的个案的神经发展方面也不正常,常会合并动作与语言发展迟缓、智能障碍、癫痫症与脑性麻痹。
藉由核磁共振或是电脑断层等方式来做判断是否有出现胼胝体发育不全。
蝶鞍变形:空蝶鞍是指蛛网膜下腔从鞍隔与垂体柄相接处疝入蝶鞍内,其中为脑脊液填充,使蝶鞍扩大变形,垂体受压变扁.空蝶鞍综合征(empty sella syndrome,ESS)是指蝶鞍扩大,鞍内垂体组织被挤压而出现的症候群,包括头痛,视力障碍,脑脊液鼻漏,内分泌功能紊乱,高血压,肥胖等.蝶鞍增大与吸收:多见于垂体瘤、颅咽管瘤、脑膜瘤、垂体腺癌和各种原因引起的颅内压增高。
产前超声诊断胎儿胼胝体发育不良的价值锁仁静,郑言言,穆仲平,韦丹琼,黄婷(安徽省妇幼保健院超声科,安徽合肥230011)摘要:目的探讨产前超声在胼胝体发育不良诊断中的应用价值,总结其声像图特点。
方法对30例产前超声诊断的胼胝体发育不良的胎儿进行回顾性分析和总结,并与MRI检查、出生后、引产后结果进行比较评价超声检查的准确性。
结果30例患者中,产前超声明确诊断的19例胼胝体发育不良经MRI及随访证实为完全性胼胝体发育不良,产前超声可疑胼胝体发育不良11例,经证实8例为部分性胼胝体缺失,3例误诊。
30例患者中,除外胼胝体发育不良,其伴发中枢神经系统畸形及其他部位异常漏诊4例,误诊1例。
结论产前超声诊断是筛查胎儿胼胝体发育不良的重要手段,是目前评价胎儿胼胝体发育不良最安全、最经济、最有效的影像学方法,具有重要的临床指导价值。
关键词:超声检查;产前;胼胝体;畸形;胎儿doi:10.3969/j.issn.1009-6469.2015.08.033胼胝体发育不良(ACC)是胎儿中枢神经系统畸形中较常见的一种先天性发育异常,其病因及临床预后目前尚不明确,遗传因素可能是主要原因。
有国外文献报道[1],ACC 的发病率在新生儿中约为5ɢ,普通人群的患病率约为3ɢ 7ɢ,而在发育缺陷的病人中通常认为2% 3%。
本文将对我院产前超声诊断的30例胎儿ACC回顾性分析和总结,探讨产前诊断超声在ACC诊断中的应用价值,以便为临床提供重要的参考信息。
1资料与方法1.1一般资料选取2013年1月—2015年2月在我院接受超声检查的孕妇,产前超声检查疑诊为胎儿ACC,共计30例。
孕妇年龄19 38岁,平均(27.2ʃ3.37)岁,孕21 36周,平均(27.6ʃ3.0)周。
所有病例均经MRI检查,与超声检查结果对照,部分胎儿术后尸解或MRI证实,8例患者失访。
1.2仪器与方法采用GE Voluson730(探头型号4C-A,频率2.5 3.5MHz)、GE Voluson E8(探头型号4C-D,频率2.5 3.5MHz)和Philips iU22(探头型号C5-1,频率2.5 3.5MHz)。
胼胝体发育不良的诊断标准胼胝体发育不良是儿童常见的疾病,患上这种疾病以后儿童的智力和身体的发育都会受到限制,患者的大脑和小脑会出现异常,孩子在出生的时候就会有一些病发,所以这种疾病的治疗一定要趁早,尽量减少发育不良的后果,接下来我们就为大家介绍一下胼胝体发育不良的诊断标准。
CT检查典型有些严重的胼胝体发育不全,CT诊断不难,但对轻度或中度发育不良,有时由于层厚有些厚或间隔过大,横轴位扫描,易于漏诊。
对有神经运动和智力障碍,疑有胼胝体发育不全者,扫描时应在Ⅲ室和侧室水平将层厚减薄到3-5mm连续扫描。
有些大的儿童或成年亦可用8-10mm层厚,但如有怀疑,仍需减薄到3-5mm。
冠状位有利于判断Ⅲ室的位置。
重建或直接矢状位,更易显示胼胝体全貌,一般不用增强扫描,但可提供另外有用信息。
CT表现典型的骈眠体发育不全的CT表现如下:①大脑纵裂增宽与第三脑室前部相连。
②双侧侧脑室扩大、分离。
③第三脑室扩大上升位于侧脑室之间。
④室间孔不同程度的扩大和分离。
其中①为最常见和最可靠的直接征象,②、③和④为间接征象。
双侧脑室分离,第三脑室扩大、上升、介于双侧脑室之间,形似蝙幅翼状。
胚胎发育的生理性脑积水,随着脑组织生长脑室逐渐变小,当脑组织生长局部或普遍性受损害时,则导致局部或普遍性脑室扩大。
胼胝体大多发育不良,引起枕角不成比例的明显扩大。
脑回呈放射样排列的大脑半球侧面,神经组织招叠,阻止了双侧脑室的靠近,使脑室分离,过量的脑组织形成多小脑回或侧脑室内侧面,尤其是靠近额角,脑组织的距离减少。
使脑室分离,尤其是额角前部变窄,如临近白质发育不良,导致额角呈茎样,正常骈服体纤维呈水平状排列,胼胝体发育不全时,呈纵向排列,所以侧脑室内缘光滑,大致呈双互平行走向。
由于胼胝体外侧束的压迹可使侧脑室内缘凹陷。
异位神经组织聚集,阻止了放射状纤维迁移,使脑室外侧壁不规则。
间脑发育不良导致Ⅲ室扩大和上升。
神经组织,主要是白质发育不良,引起大脑半球纵裂增宽。