肺转移性肿瘤影像诊断11335
- 格式:pptx
- 大小:5.95 MB
- 文档页数:26
肺部肿瘤分良性肿瘤和恶性肿瘤(肺癌),肺部的良性肿瘤包括支气管和肺的真性肿瘤、腺瘤、平滑肌瘤、脂肪瘤、纤维瘤等。
支气管、肺良性肿瘤的细胞分化和形态与正常细胞相似,肿块大多有包膜,和周围组织分界清楚,边缘光滑、整齐,呈圆形或椭圆形,多为实体病变。
一、前言这是在新英格兰杂志上提供的一张经典的胸部影像,一位 72 岁男性患者,因进行性呼吸困难和咳嗽就诊,既往于 15 岁开始吸烟,每日 1 到 2 包,胸片显示右侧胸部可疑病变,进一步胸部 CT 显示大疱性肺气肿,同时右肺中叶结节改变,同时患者还携带有烟草,活检证实右肺中叶为非小细胞肺癌,这张胸部 CT 展示的吸烟相关性肺部疾病。
临床医生在工作中应宣传吸烟的危害,鼓励戒烟。
肺癌是最常见的恶性肿瘤之一,近年来我国肺癌的发生率呈明显上升的趋势,部分地区肺癌的发病率和死亡率已占各种恶性肿瘤的首位。
预计到 2025 年我国每年死于肺癌的人数将接近 100 万,肺癌的发病年龄主要在 40 到 80 岁之间, 70 岁为高峰,男性居多。
但是近年来肺癌的发病年龄较前明显提高,有学者提出肺癌的发病年龄较前提高 5 到 10 岁,临床上也偶然能够看到 20 岁到 30 岁之间的肺癌患者。
同时女性的发病率也较前增加,其增长速度要快于男性的发病率。
二、肺癌的病理及临床表现(一)病理类型病理及临床表现和影像学是一致的,不同的病理类型其选择的治疗方案和预后也是不同的。
通常分为非小细胞癌和小细胞肺癌,其中非小细胞肺癌在我国大约占肺癌的 80% ,它还分为鳞癌、腺癌和大细胞未分化癌,其中鳞癌最常见,约占 40% ,多发生在段支气管, 80% 发生于男性,生长较慢,转移较晚。
腺癌占 30% ,以女性较为多见,多发生在外围小支气管,其发展速度快慢悬殊。
大细胞未分化癌多发生在肺的外周,恶性程度较高,以前它的发生率仅次于鳞癌,但随着腺癌的发病率增加,相应其发病率较前降低。
小细胞肺癌常常发生在大支气管、生长较快、转移较早。
肺转移瘤的鉴别诊断从总体上来说,肺转移癌与其他疾病的主要鉴别点是:变化快,短期内可见肿瘤增大、增多,有的在原发肿瘤切除后或放疗、化疗后。
有时可缩小或消失。
对于肺转移瘤的鉴别诊断,可以分为两种情况来进行:一、表现特殊的肺转移瘤应与下列疾病相鉴别:(1)结核球:常单发、空洞,多呈厚壁裂隙样,可见局限弧形、环形或弥漫性斑点状钙化。
与肺门间常有索条状阴影相连,附近肺野有卫星灶。
(2)金黄色葡萄菌肺炎:特点是起病急,临床症状重,高热,为首要表现可出现肺气囊、气液平面等。
随访观察病情变化快。
(3)囊状支气管扩张:常咯血,病灶沿支气管分布,呈葡萄串样,表现较典型。
(4)肺霉菌病:无特征表现,与转移瘤鉴别较难,需结合临床病史或痰检确诊。
当病变出现典型空气新月征时,病变已处于中晚期或吸收期。
二、临床经常遇到非典型肺转移,就需与其他肺部非恶性疾病相鉴别。
其放射学表现包括:空洞、钙化、瘤周出血、气胸、含气间隙病变、肿瘤栓塞、支气管内膜转移、单发转移、瘤内血管扩张、灭活性转移瘤(sterilized metastases)、良性肿瘤肺转移。
(1)空洞空洞较少见,仅占4%,,较原发肺癌发生率(9%)低,其中70%为鳞癌转移。
但最近有研究表明,在CT上腺癌和鳞癌发生空洞性转移的几率无显著性差异。
此外,转移性肉瘤也可发生空洞,同时合并气胸。
化疗也可导致空洞形成。
空洞的发生机制常难确定,一般认为是肿瘤坏死或向支气管内侵犯形成活瓣所致。
空洞以不规则厚壁多见,肉瘤或腺癌的肺转移可为薄壁空洞。
肉瘤转移可伴有空洞,但常合并有气胸(2)钙化肺结节发生钙化常提示为良性,最常见于肉芽肿性病变,其次是错构瘤。
但有些恶性肿瘤的肺内转移性结节也可发生钙化或骨化,可见于骨肉瘤、软骨肉瘤、滑膜肉瘤、骨巨细胞瘤、结肠癌、卵巢癌、乳腺癌、甲状腺癌的肺转移和经治疗的转移性绒癌。
钙化机制包括:①骨形成(骨肉瘤或软骨肉瘤)。
②营养不良性钙化(甲状腺乳头状癌、骨巨细胞瘤、滑膜肉瘤或经过治疗的转移性肿瘤)。
肺转移瘤详细讲解肺转移瘤是指原发癌症细胞从其他部位转移到肺部形成的恶性肿瘤。
它是世界上最常见的恶性肿瘤之一,也是导致肺癌死亡的主要原因之一。
肺转移瘤的发生机制与肺癌的发生机制相似,都是由于恶性细胞的不受控制增殖和转移而导致。
下面将详细讲解肺转移瘤的病因、临床表现、诊断和治疗等方面内容。
一、病因及发病机制肺转移瘤的病因主要是其他部位恶性瘤细胞的转移,特别是乳腺癌、结直肠癌、肾癌、甲状腺癌和恶性黑色素瘤等。
当细胞从原发肿瘤进入血液或淋巴系统后,可以通过循环系统进入肺脏,然后在肺内定植并继续增殖形成肺转移瘤。
转移瘤的细胞特征与原发肿瘤细胞类似,但转移瘤的形态和组织学特征可能与原发瘤有所不同。
二、临床表现肺转移瘤的临床表现具有一定的多样性,常见的症状包括咳嗽、咳痰、呼吸困难、胸痛等。
有些患者可能没有任何症状,而是通过体检或其他原发病的检查才发现肺转移瘤。
肺转移瘤的临床症状和体征也与肺部的转移灶数量和位置有关。
三、诊断肺转移瘤的诊断主要依靠以下几种方法:1. 影像学检查:肺转移瘤常常通过胸部X线片或CT扫描来诊断。
肺转移瘤的影像学表现多样,常见的表现有肺内结节状病灶、多发性肺内结节、肺内斑片状阴影等。
2. 组织学检查:组织学检查是确诊肺转移瘤的金标准。
患者可以通过纤支镜或手术获取肺组织标本,然后进行病理学检查,包括组织学、免疫组化和分子生物学等。
3. 其他检查:根据患者的具体情况,还可以进行血液生化学检查、肿瘤标志物检测、淋巴结活检等其他检查。
四、治疗肺转移瘤的治疗取决于患者的具体情况和肿瘤的性质,包括原发病的分期、转移瘤的数量、转移瘤的位置等。
常见的治疗方法包括化疗、手术切除、放疗和靶向治疗等。
1. 化疗:化疗是肺转移瘤的常规治疗方法,可以通过静脉输注给药或口服给药的方式来进行。
化疗可以杀死或抑制癌细胞的增殖,减小肿瘤负荷,控制肿瘤的生长和转移。
2. 手术切除:对于少量的肺转移瘤或无法进行化疗的患者,手术切除可以是一个有效的治疗方法。
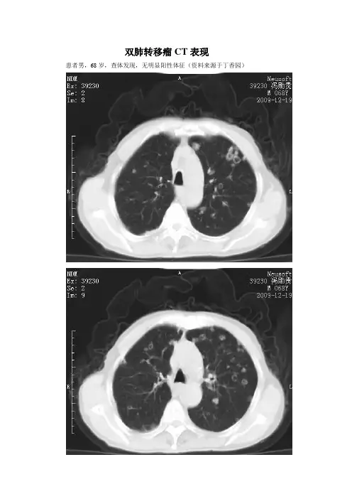
双肺转移瘤CT表现患者男,68岁,查体发现,无明显阳性体征(资料来源于丁香园)分析一:男性,68岁,体健发现双肺多发空洞结节影像表现:左肺下叶外基底段结节病灶,边界不规则,内见空洞,与胸膜粘连,边缘可见长毛刺;两肺见多发小结节灶,包括实变结节,空洞结节,"晕征"结节;纵隔内见淋巴结显示诊断:左下肺肺癌伴双肺转移首先考虑如果是转移,该病例转移结节分布相对较均匀,这点在转移中不常见;看来是急性转移转移结节分布特点:胸膜下;两下肺为主征象分析:空洞型转移---结节4%的肺部转移性结节,发生空洞,多来源于颈部肿瘤及泌尿生殖系统鳞状细胞癌转移结节伴晕征---多来自富血供肿瘤,如血管肉瘤,周围是出血;少数是周围肺泡或肺间质的侵犯引起其他可能:结核;真菌感染;分析二:双肺弥漫大小不等结节状密影,大部分可见囊变,以双下肺及中外带病灶较密集,双肺多发转移的诊断应该没问题,但是在原发灶方面还有要思考的地方。
首先我们复习一下肺癌肺内转移。
肺癌肺内转移的途径主要有血行转移、淋巴道转移、支气管播散和混合性转移。
血行性转移是主要的转移途径,多数是侵犯肺动脉,然后在进入肺内,也可以先侵犯肺静脉,然后经左心—主动脉—支气管动脉再进入肺,双肺表现为多发结节,以双下肺和双肺中外带明显;淋巴道转移肺内表现有肺间隔不规则增厚(癌性淋巴间隔浸润),典型者从肺门向外周放射性突出,肺内可出现多发小结节,多在2mm左右,主要分布在血管束、小叶间隔和胸膜下,可有纵隔淋巴结肿大;支气管播散表现为双肺中、内带沿支气管走行大小不等小结节状密影。
本病例符合血行性转移的特点。
肺癌肺内转移一般表现为实性结节,而囊性结节较少见,主要是黏液腺癌的转移;而其它囊性转移结节的原发瘤多见于来自消化系统和生殖系统的腺癌,男性前者多见,女性后者多见。
本病例患者为老年患者,在考虑肺癌肺内转移的同时还应该排除一下消化道特别是结肠癌转移的可能性。
分析三:影像表现:左肺下叶外基底段可见密度增高的结节样病灶,边界不规则,内有空洞,与胸膜粘连,边缘可见长毛刺;双肺可见散在、多发小结节,多处于血管旁,形态各异,大小不等,部分结节含空洞;纵隔淋巴结肿大诊断:1、左下肺癌伴双肺转移2、双肺转移瘤鉴别诊断:1、肺结核;结节特点不符合粟粒性肺结核表现2、真菌感染:临床证据不充分。
肺部转移诊断标准概述及解释说明1. 引言1.1 概述随着人们生活方式和环境的改变,肺部转移已成为临床上常见的疾病之一。
肺部转移是指其他恶性肿瘤细胞在体内通过血液或淋巴系统传播到肺部形成新的肿瘤灶。
在现代医学中,准确地诊断肺部转移对于制定合理的治疗方案和评估预后至关重要。
1.2 文章结构本文将围绕着肺部转移诊断标准展开详细介绍和解释说明。
首先,我们将介绍肺部转移诊断标准的概念和定义,以及其意义和重要性。
接着,我们将深入探讨常见的肺部转移诊断标准分类及其特点。
文章还会介绍病理检查、影像学和临床评估在肺部转移诊断中的应用,并提供相关技术的优势、限制因素以及进展情况。
最后,我们将总结文章主要内容和观点,并对未来肺部转移诊断标准的发展进行展望。
1.3 目的本文旨在全面介绍并解释肺部转移诊断标准的相关知识,包括概念、定义、意义和重要性,以及常见的分类和特点。
同时,我们将详细说明病理检查、影像学和临床评估在肺部转移诊断中的应用,并分析它们的优势、限制因素和进展情况。
通过本文的阐述,读者将对肺部转移诊断标准有更深入的了解,并能够应用于实际临床中,提高肺部转移的准确诊断率。
2. 肺部转移诊断标准概念及定义2.1 转移瘤的定义和原理转移瘤是指癌细胞从原发肿瘤部位通过血液、淋巴或直接扩散到肺部形成新的肿瘤。
肺部是很多恶性肿瘤最常见的转移部位之一,因此对于转移瘤的诊断具有重要意义。
转移瘤形成的原理主要受到以下几个因素影响:- 原发肿瘤细胞的侵袭能力和浸润性:某些类型的肿瘤细胞具有强大的浸润能力,能够穿过血管或淋巴管壁进入循环系统,随后通过血液或淋巴流向远处器官,如肺部。
- 血液和淋巴供应:循环系统中运输血液和淋巴液的管道为转移提供了途径。
这些管道将恶性肿瘤细胞从原发肿瘤带到其他器官,其中包括直接引流至肺部。
由于肺脏丰富的血液供应和淋巴流动通道,转移瘤更容易形成于该器官。
- 免疫系统的作用:免疫系统对癌细胞具有一定的监测和清除作用。
【影像进阶】肺转移瘤的13个不典型表现肺转移瘤的13个不典型表现:1.孤立性肺转移瘤2.空洞或空泡样肺转移瘤3.钙化性肺转移4.自发性气胸5.气腔实变型肺转移6.支气管内膜转移7.肿瘤性动脉栓塞8.栗粒型转移9.晕征10.转移瘤内血管扩张11.净化转移和转移的自发消失12.良性肿瘤肺转移13. 迟发性肺转移瘤1.孤立性肺转移瘤:孤立性肺转移瘤约占2%-10%,较多见于黑色素瘤、结肠癌、肉瘤、滋养层细胞癌、肾癌、乳腺癌等。
单个较大的结节肿块性病变多边缘光滑,密度均匀,与肺肉瘤相似。
少数肺转移瘤形态不规则,呈分叶状,边缘毛糙或有棘状突起,与原发肺癌较难鉴别。
肿瘤的转移与肿瘤内微血管数量、微血管密度呈正相关,孤立性肺转移瘤多由血供丰富的原发瘤转移而来,多顺延原发瘤的强化程度和形式,可表现为多种形式的明显强化。
孤立性肺转移瘤不同程度地具有原发肿瘤的病理及生物学行为,导致其同原发肿瘤类似的影像学表现,并决定了其影像表现具有多样性。
当恶性肿瘤已确立又出现肺内单发结节时诊断既要区分其良、恶性质,还需鉴别是孤立性转移还是第二原发肿瘤,Cahan曾报道肺第二原发肿瘤发概率:(1)原发肿瘤为鳞癌时,肺内肿瘤多为原发;(2)原发为腺癌时肺内原发和转移的概率各半;(3)原发为软组织肉癌、黑色素瘤、睾丸癌时肺内多为转移。
2.空洞或空泡样肺转移瘤:原发灶多见于消化及呼吸系统,以鳞癌、腺癌、黑色素瘤、肉瘤、胚胎细胞瘤和移行细胞瘤多见,约占4%。
转移性空洞形成机制可能与鳞癌中心角化物排空、腺癌黏液退变后黏液排空、肿瘤血供不足引起坏死、放化疗、肿瘤向支气管内侵犯形成活瓣等机制有关。
CT影像常多发,多为圆形,壁薄,光滑均匀,也可以表现为厚薄不一,肺门侧的壁较厚,外侧的壁薄,也可出现厚壁空洞,空洞壁常有明显强化。
空洞性病变倾向于分布在胸膜下或叶间裂下,越靠近胸膜,空洞越小,直径较大的空洞多分布在肺的中带。
厚壁空洞病变可随着病灶增大而出现分叶、毛刺及壁结节等恶性空洞的特点。
肺转移性疾病(血行转移、癌性淋巴管炎)丨影像表现血行转移Hematogenous Metastases•肿瘤经血行远处扩散至肺•肺是最常见转移部位•多发边界清晰的肺结节/肿块,大小不一•肺基底部和外周部多见•出血性转移瘤可见晕征•串珠状、增大的血管和分支密度增高提示肿瘤栓塞(左)49岁女性,转移性乳腺癌。
PA胸片显示无数以肺下叶为主的小结节。
由于肺的血流占主导地位,血行转移通常以肺下叶为主。
(右)同一患者,冠状CECT显示无数边界清晰、大小不等的肺结节,部分融合,以下叶为主。
乳腺癌和结肠癌是最常见的引起血行转移的原发肿瘤。
(左) 示意图:血行性肺转移的典型形态学特征,大小等的多灶性肺结节,主要累及周围下肺区。
(右) 34岁女性,软组织肉瘤肺转移。
胸片显示左肺中、下野多个边界清楚的肿块(白箭),也转移到了心包(黑箭)。
(左) 一例转移性肺腺癌患者的PA胸片显示无数与粟粒性转移相一致的双侧微小肺结节。
(右) 同一病人的轴位CT显示多发微小的肺结节与腺癌的血行播散一致。
也可见右肺下叶原发性肺腺癌。
常见的引起粟粒性肺转移的胸外原发灶包括甲状腺髓样癌、肾细胞癌和黑色素瘤。
(左)一名患有转移性骨肉瘤的30岁男性的PA胸片显示左肺下叶有多个致密结节,代表钙化性转移。
(右)同一患者的轴位CECT(骨窗)显示左肺下叶及胸膜多发钙化灶。
钙化性转移来自骨肉瘤、软骨肉瘤、甲状腺癌和偶尔治疗后的转移瘤。
(左) 71岁女性,转移性肾细胞癌。
冠状CT显示支气管内转移(空箭),胸壁转移(直箭)和肺转移(弯箭)。
(右) 左侧胸痛患者,轴位CT显示原发肿瘤不明的肺转移瘤,继发自发性左侧气胸。
胸膜下转移是继发的自发性气胸的一个原因,典型的是转移性骨肉瘤。
癌性淋巴管炎Lymphangitic Carcinomatosis•肿瘤细胞对淋巴管的渗透•X线:胸片可正常;网状结节状阴影,间隔增厚,Kerley B线;因胸膜下水肿致叶间裂增厚;表现类似间质水肿,但对利尿剂无反应;•HRCT:中轴间质(75%)较外周更易受累频率;小叶间隔和/或支气管血管束的平滑或结节状增厚;肺结构保留;•可见胸腔积液,淋巴结肿大。
肺转移性肿瘤的影像学诊断
崔志杰;韩学进
【期刊名称】《医学影像学杂志》
【年(卷),期】1996(000)003
【摘要】目的:分析98例经手术病理证实的肺转移性肿瘤的影像学表现,认识各部位原发肿瘤发生肺转移的特点。
方法:本组98例,其中82例摄X线平片,16例做CT平扫及强化扫描。
结果:肺转移性肿瘤其转移方式主要为血行性、淋巴性及混合性转移;主要影像学表现为:孤立型、多发型、弥漫型、粟粒型、淋巴管型及混合型。
结论:肺部转移性肿瘤形态不一,表现多样,但大多数都表现为轮廓清楚的结节影及肿块影,且生长速度快。
其分布大都位于两肺中下野,肺尖部很少受累;各部位的恶性肿瘤从确诊到出现肺转移灶的时间不同,其中肺癌及骨肉瘤出现较早,膀胱癌肺转移出现较晚。
【总页数】3页(P138-140)
【作者】崔志杰;韩学进
【作者单位】济南市第五人民医院!250022
【正文语种】中文
【中图分类】R730.44
【相关文献】
1.转移性骨肿瘤的影像学诊断进展 [J], 郑飞波;刘晚霞;丁月云;石德道
2.颅脑转移性肿瘤的影像学诊断 [J], 董季平
3.乙状结肠转移性肿瘤的影像学诊断 [J], 贾成
4.转移性骨肿瘤影像学诊断和治疗进展 [J], 潘颂华;张峰
5.转移性肝癌肿瘤标志物的检测与影像学诊断分析 [J], 黄韬;李波
因版权原因,仅展示原文概要,查看原文内容请购买。
【病例】单发肺转移瘤1例CT影像表现肺转移瘤很常见,它可来源于多种肿瘤,可通过血液以及淋巴途径。
其流行病学特点与原发肿瘤一致,但鉴于恶性肿瘤的发生率随年龄的增长而增高,肺转移瘤发病率也随年龄的增长而增高。
肺转移瘤通常无症状,症状主要与原发肿瘤相关。
患者有时会表现咯血和气胸的症状。
肿瘤细胞通过肺循环到达肺,并停留于远侧小血管。
肺转移中最常见的原发肿瘤包括:breast carcinoma 乳腺癌colorectal carcinoma 直结肠癌renal cell carcinoma 肾细胞癌uterine leiomyosarcoma 子宫平滑肌肉瘤head and neck squamous cell carcinoma 头颈部鳞状细胞癌此外,原发肿瘤本身不常见,但最常发生肺转移的包括:choriocarcinoma 绒毛膜癌Ewing sarcoma 尤文肉瘤malignant melanoma 恶性黑色素瘤osteosarcoma 骨肉瘤testicular tumours 睾丸肿瘤thyroid carcinoma 甲状腺癌有些肿瘤倾向于发生粟粒样转移:malignant melanoma 恶性黑色素瘤osteosarcoma 骨肉瘤renal cell carcinoma 肾细胞癌thyroid carcinoma 甲状腺癌trophoblastic disease 滋养细胞疾病相反,肺转移也可单发。
最常见于结直肠癌。
其他发生孤立性转移的肿瘤包括:malignant melanoma 恶性黑色素瘤skeletal sarcoma 骨骼的肉瘤testicular carcinoma 睾丸癌adenocarcinomas in general 腺癌影像特征:肺转移瘤典型表现为外周、大小不等的圆形结节,散在分布于双肺。
不典型的表现包括实变、空洞形成,钙化,出血以及继发性气胸。
胸片对肺转移不敏感。