超急性期脑梗死首诊CT表现及典型病例
- 格式:ppt
- 大小:3.63 MB
- 文档页数:53
【颅脑】脑梗死(超急性期)
基本情况
患者,男性,53岁,发现脑梗死三十多分钟
MRI 图像
影像所见
右侧放射冠-基底节区隐约见一斑片状T1WI信号稍低,T2WI、FLAIR稍高信号,DWI(b=1000s/cm²)显示病灶呈椭圆形稍高信号,对应ADC图信号显著减低。
诊断意见
右侧放射冠-基底节区脑梗死(超急性期)
标识如下:
【讨论】
超急性期的脑梗死,是指发病6小时内的梗死。
以往比较少遇到。
因为往往受到就医条件、人们健康意识的制约,发现梗死时候已经是急性期了。
随着各地脑卒中中心的建立、人们生活水平的提高,使得脑梗死的发现和诊断越来越迅速,超急性期梗死的病例会逐渐增多。
超急性期脑梗死,主要表现为细胞毒性水肿,高b值DWI序列呈高信号,对应ADC值减低呈低信号。
常规的颅脑MRI平扫,基本上不能发现病变。
本例在T1WI、T2WI、FLAIR序列均不明显,只有看到DWI弥散受限来回顾这些序列时,才会发现似乎信号有轻度的改变。
DWI是发现超急性期脑梗死的最有作用的序列。
急性卒中的患者,在发病的30分钟左后,DWI即可有阳性发现,本病例恰好印证了这一
点。
因此,急性卒中的患者,在CT平扫排除了脑出血后,及时做颅脑DWI序列是有利的。
+。
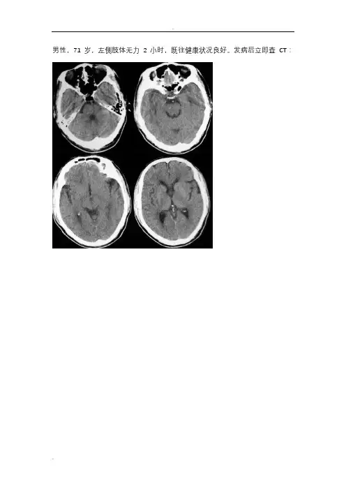
男性,71岁,左侧肢体无力2小时,既往健康状况良好。
发病后立即查CT:从这两张片子看,都没有很明显的病灶,但仔细看可见右侧颞顶叶片状低密度影,脑沟回模糊、皮髓分界不清,1天后复查CT:所谓的超急性脑梗死(临床根据发病时间,目前认为为6H以内)在病理学上是脑细胞毒性水肿时期。
此时,血脑屏障完整。
在影像学上要注意有无脑局部肿胀的表现。
CT:注意双侧脑沟是否对称,双侧内囊和外囊是否清晰可见,岛叶与外囊是否可以区分。
MR:T1WI上要注意双侧脑沟是否对称,脑回是否有增粗表现。
此外还要注意血管是否异常。
图1-2为超急性期CT表现。
病变在那一边?图3-4为MR的T1WI和T2WI,你能看到局部脑肿胀么?图1 图2图3 图4图1:左侧外囊与岛叶分界不清。
图2:左侧脑沟明显变浅。
图3:左侧岛叶盖部的脑回可见增粗;图4:左侧外侧裂内的血管流空影消失。
上述表现为超急性期脑梗死的表现。
病理基础为细胞毒性水肿。
脑梗塞早期的CT征象:1、动脉高密度征(致密动脉征):表现为一段动脉密度增高,CT值高于正常动脉,而低于动脉粥样硬化斑,其形成机制商不清,主要见于大脑中动脉及其主要分支,其次是椎-基底动脉。
2、岛带征:脑岛灰质、白质界限模糊,呈均一的淡的密度影。
3、豆状核征:豆状核轮廓模糊,密度与脑白质一致或稍低。
4、皮质征:皮质局限性密度减低,与脑白质密度一致。
5、早期低密度改变。
6、占位效应。
以上表现多与脑动脉闭塞后引发的细胞内水肿和血管源性水肿有关,属非特异性表现,其中豆状核征、岛带征、皮质征及早期低密度改变是诊断早期脑梗塞的可*指征,动脉高密度征、占位效应不能单独作为诊断依据。
另外:诊断时需密切结合病史、病征。
梗塞灶的CT表现时间的早晚,除与CT分辨率和诊断水平有关外,还取决于梗塞灶的大小、部位和缺血程度等。
豆状核征:左偏瘫1.5小时,CT平扫示右侧豆状核密度降低与白质一致2天后复查,右侧豆状核区明显低密度影岛带征:左偏瘫5小时,CT平扫右侧脑岛带区灰质密度降低与白质一致33小时后复查,脑岛带区程明显低密度影皮质征:偏瘫5小时,CT示右额颞皮质呈楔形密度减低与白质一致A 71岁男性左大脑中动脉梗塞后1.5小时CT所见。
超急性期大面积脑梗死患者的CT诊断和应用分析目的:分析超急性期大面积脑梗死患者的CT诊断和应用价值。
方法:随机选取2012年6月-2013年7月我院收治的48例急性期大面积脑梗死患者作为研究对象,全部患者均给予CT检查,对CT诊断特征和结果进行分析,研究CT 的应用价值。
结果:48例患者明确诊断26例(54.2%),提示诊断18例(37.5%),4例(8.3%)患者未见明显异常情况。
结论:超急性期大面积脑梗死患者应用CT诊断,准确率较高,且操作简单,安全可靠,具有积极的临床使用价值。
标签:CT诊断;超急性期;大面积脑梗死一般情况下,超急性期大面积脑梗死发病比较急促,且病情发展速度很快,患者一旦发病,需要及时作出诊断并给予临床治疗措施,这样才能保障治疗效果和挽救患者生命,且在一定程度上会改善预后情况。
近年来,随着医学科技的不断发展,CT已经广泛应用于超急性期大面积脑梗死的诊断之中,为及时有效的抢救赢得了时间[1]。
本文随机选取我院收治的46例急性期大面积脑梗死患者作为研究对象,现作如下报告:1资料与方法1.1 一般资料随机选取2012年6月-2013年7月我院收治的48例急性期大面积脑梗死患者作为研究对象,全部患者均符合全国第四次脑血管会议制定的脑梗死诊断标准[2],且均表现出昏迷、抽搐、单侧肢体活动受限、视力模糊、双眼瞳孔大小不一或意识障碍、昏迷、语言不清、眩晕等临床症状。
其中男30例,女18例,患者年龄35-85岁,平均年龄(60.5±2.5)岁;其中,25例患者伴有高血压,12例患者伴有糖尿病;11例患者伴有高血脂。
1.2 CT检查方法所有患者均在发病之后6h内给予CT首次扫描,在发病24-48h内给予二次扫描,对患者的脑部进行全面扫描。
其中基底、层厚、层间扫面的范围均为5-10mm,对可疑地区扫面5mm,普通地区则需要扫描10mm。
在实际的扫描之中,将听眉线作为基准线,均给予双侧窄窗对比扫描和观测,放大之后进行效果对比。
超早期脑梗塞的CT表现你知道吗脑梗塞是一种最为常见的脑血管疾病,占脑卒中的几率在百分之七十五左右,如果尽早发现此类疾病,积极采取有效诊断治疗措施,可以大幅降低此疾病的病死率、致残率。
而头颅CT是针对超早期脑梗塞进行神经影像学检查的首选方式,也是有效措施,特别是随着近几年诊断技术的不断提高,临床检查时会发现大脑中动脉高密度征、岛带征、豆状核境界模糊、早期低密度等超早期平扫CT所见。
特别是大脑中动脉高密度征,是最早出现的脑梗塞CT征,在后续也基本被认定为是与脑梗塞发病在同一时间出现的,对脑梗塞的超早期诊断与治疗有着极大的现实意义和作用。
接下来,就让我们深入分析一下超早期脑梗塞的CT表现都有哪些,在这之前先了解一下脑梗塞的相关知识。
1、什么是脑梗塞?脑梗塞,也被称为脑梗死、缺血性脑卒中。
患有此疾病主要是因为多种原因导致脑部动脉血液流动被中断,从而造成局部脑组织出现缺氧缺血性坏死,最终发生神经功能缺损的一种脑血管疾病。
造成脑梗塞的原因基本是因为动脉粥样硬化、心源性栓塞、小动脉闭塞等。
而且脑梗塞还是一种反复性发作的慢性疾病,即使初期接受了有效治疗,并且有明显好转,但是在未来还是会在难以预测的时间段复发,所以说这种疾病不管是针对患者自身,还是患者家属,都有着很大的影响。
另外,即使现代医疗技术如此发达,面对此疾病的治疗效果依旧不是很理想,所以,做好日常维护保养,坚持科学生活饮食,能有很大几率降低患上脑梗塞。
那么,患有脑梗塞都会出现哪些症状呢?2、脑梗塞症状都有哪些?在患病初期,症状并不是很明显,但是会在不定期出现,所以初期症状具有一定的突发性,使人猝不及防。
比如脑梗塞病人一般都是在安静休息时发病,有的病人一觉醒来,发现嘴斜眼歪、半身不遂、流口水、吃东西掉饭粒、举不动筷子,这就表明其患上脑梗塞。
只有部分病人发病前肢体出现麻木感、说话不清、眼前发黑、头晕或眩晕、恶心、血压波动(升高或降低)等短暂脑缺血的症状。
这些先兆症状一般很轻微,持续时间短暂,也经常被人忽视。
超急性期大面积脑梗死的CT诊断张文昌,邱丹红(龙岩市第二医院,福建龙岩364000)[摘 要]目的:通过对超急性期大面积脑梗死早期征像的认识提高超急性期大面积脑梗死的CT诊断水平。
方法:对12例经CT复查确诊,其中1例还有MR I证实,发病在6h内的病例进行回顾性分析。
结果:超急性期大面积脑梗死的CT征象有:病变区周围脑沟、脑池变窄或闭塞、消失;大脑中动脉密度增高(或称为动脉致密征);灰白质分界不清(或称岛带征);病变区密度略减低;病变部位、范围与闭塞血管供血区一致。
结论:平扫CT可发现超急性期大面积脑梗死的一些早期征像,同时CT可排除脑出血,对超急性期大面积脑梗死具有重要的诊断作用。
[关键词]超急性期;大面积脑梗死;CT[中图分类号]R445.3 [文献标识码]B [文章编号]167125098(2007)0921121201 脑梗死是老年人常见病、多发病,超早期大面积脑梗死是指颈内动脉主干、大脑中动脉主干或皮层支阻塞、发病6h以内的超早期脑梗死,其发病率、致残率、复发率及病死率均高,严重危害人类健康,目前,最有效的治疗方法是在超急性期内进行溶栓治疗,因此,对脑梗死,尤其是大面积脑梗死作出早期诊断具有重要意义,现将我院2003年至2005年临床资料完整、发病6h内进行CT检查的12例病例分析如下。
1 材料与方法1.1 病例资料 收集2003年至2005年在我院急诊就诊并经随诊观察确定为超急性期大面积脑梗死的患者12例,其中1例还有MR I证实,临床资料完整,均在发病6h内行CT扫描,男性8例,女性4例,年龄52岁~78岁,平均年龄62岁,主要临床表现有偏瘫(5例)、偏身感觉障碍(3例)、剧烈头痛(2例)、头晕呕吐(5例)和言语不清、视物模糊(各1例)。
1.2 检查方法 用GE-syne rgy单排螺旋CT平扫,仰卧位,先常规行层厚、层距10mm扫描,再对病变部位行层厚、层距3mm或5mm薄层扫描,用窄窗宽、窄窗位技术(窗宽约35 Hu、窗位约10Hu),双侧图像对比。
超早期脑梗塞患者颅脑CT诊断特点分析与病例回顾脑血管病是严重危害人类健康的常见病、多发病,具有发病率高、死亡率高(30%)、致残率高(85%)和复发率高等特点。
脑卒中67%~80%为急性缺血性脑血管病。
缺血性脑卒中症状发作3h内进行静脉内溶栓效果良好,动脉溶栓可将治疗时间窗延后至6h,超过6h溶栓势必造成出血。
治疗时间窗内及时、准确诊断从而显得尤为重要,能有效地降低患者致死率、致残率。
CT扫描具有扫描时间快、成像时间短、价格相对低廉等优点,在不搬动患者的情况下可随即做CTA和CTP,为临床提供及时、准确的影像依据,具有理论和实践上的可行性,是指导溶拴治疗的一个理想检查方案,在MRI还不广泛普及的基层医院更具有重要的现实意义。
Abstract:Cerebrovascular disease is a common disease,frequently-occurring disease,serious harm human health with high morbidity,high mortality rate (30%),high morbidity (85%)and high recurrence rate,etc. Stroke by 67% to 80% for acute ischemic cerebrovascular disease. Ischemic stroke within 3 h of symptom onset for intravenous thrombolysis effect is good,the artery thrombolysis therapy time window can be postponed to 6 h,thrombolysis is bound to cause bleeding more than 6 hours. Timely,accurate diagnosis and treatment time window is very important,can effectively reduce the mortality and morbidity in patients with. CT scan has a fast scan time,imaging the advantages of short time,the price is relatively cheap,in the case of don’t move the patient can then do the CTA and CTP,provide timely,accurate image basis for clinical,with the feasibility of the theory and practice,is an ideal guide thrombolytic treatment of inspection plan,is not yet widely popularization of basic-level hospitals in MRI has more important practical significance.Key words:Ultra early cerebral infarction;CT;Diagnosis;Plain scan超早期脑梗塞的明显诊断,为临床及时有效的治疗提供宝贵时间,以便最大限度的减少脑组织缺血坏死,因此一直是临床和影像学关注的焦点。
大面积脑梗死的早期CT诊断分析大面积脑梗死指的是脑血管病变导致大范围脑组织缺血性坏死的一种严重情况,严重程度较高。
早期CT诊断是对大面积脑梗死进行分析的重要手段之一。
本文将对大面积脑梗死的早期CT诊断分析进行详细介绍。
一、大面积脑梗死的临床表现大面积脑梗死的临床表现多种多样,但主要包括以下一些特点:1. 急性起病:患者通常会有急性起病的表现,可能表现为突发昏迷、突发昏迷和头晕、突然倒地等。
2. 神经系统表现:患者可能表现出偏瘫、失语、意识障碍等神经系统表现。
3. 异常体征:大面积脑梗死患者可能出现生命体征异常,如呼吸困难、心率异常等。
在临床实践中,CT扫描是最常用的大面积脑梗死早期诊断方法之一。
通过头部CT检查可以帮助医生明确诊断大面积脑梗死,并为患者制定治疗方案提供重要参考。
1. CT血管成像CT血管成像是通过CT扫描技术观察脑血管,包括脑动脉和脑静脉。
脑梗死通常是由于脑血管病变导致的血栓形成或栓塞,CT血管成像技术可以帮助医生观察到血管异常,进而确定患者是否存在脑梗死。
CT灌注成像可以观察脑组织的灌注情况,包括脑血流灌注、脑血管容积等。
对于大面积脑梗死患者,CT灌注成像可以显示出脑组织的灌注异常情况,帮助医生确定患者的病情严重程度。
3. CT灰白质分割CT灰白质分割是一种基于CT图像的图像处理技术,可以帮助医生分割出脑组织的灰质和白质,进而观察脑组织的异常情况。
大面积脑梗死通常会导致大范围的脑组织灰质坏死,CT灰白质分割可以帮助医生观察到这些异常情况,为诊断提供重要依据。
在进行大面积脑梗死的CT诊断分析时,医生需要综合考虑头部CT图像的多个方面,包括灌注情况、血管状态、脑组织异常等。
以下是一些常见的CT诊断分析:1. 灌注情况分析2. 血管状态分析3. 脑组织异常分析通过以上CT诊断分析的方法,医生可以全面地了解患者病情,及时采取针对性的治疗措施,提高治疗效果,减少并发症的发生。
四、结语大面积脑梗死是一种严重的疾病,及时准确地进行诊断对于患者的治疗和康复至关重要。
早期脑梗死CT的经典教学病例
先看图像:
连续层面,层厚/层间距 5mm/5mm
思考:
•有何异常?
•可能诊断什么?
思考:
•申请单存在什么问题?
•可能诊断什么?
再来一组:
思考:
•病灶在哪里?
•与最开始的图像有何不同?
入院病历:53岁男性,突发左侧肢体无力5小时余。
9天后MR:再比较CT:注意,两侧对比!上下两行是同次检查,不同窗宽窗位的图像。
显然,下行比上行对比更加强烈,基底节、丘脑的“高密度”在白质包绕下更为明显。
分析:
•本例是学习早期脑梗死CT的经典教学病例。
•早期脑梗死CT诊断中,可疑脑梗,症状与体征的定位指引,是重要的诊断要素。
•毕竟,脑梗死的低密度特异性并不高!若无临床症状与体征支持,所谓的脑缺血、早期脑梗死、慢性早期脑梗死,CT是难以区分的•本例首次CT检查,开单医生就犯了重要错误——诊断脑梗死,但提供的却跟病灶关联不大!并没有把非常重要的信息“突发左侧肢
体无力5小时余”提供出来!
•窗宽窗位技术,是必不可少的技术,这也是数字化阅片的优势!
•窄窗宽窗位,有助于突出灰白质对比,更能比较灰质高密度降低、消失。
•脑梗死的CT征象,大多数人都熟记于心。
但是,但是,能利用窗宽窗位技术,把CT征象给挖掘出来的,并不太多!
•脑梗后,经常有随访CT或者后续MR检查,如果你不懂得利用这些后续的“确证”的检查来学习首次CT,你很可能错过了巨大的宝库
关键词:脑梗死;CT;窗宽窗位技术。