小儿肝母细胞瘤CT诊断(附13例报告并复习文献)
- 格式:doc
- 大小:26.00 KB
- 文档页数:6
[13] Luo J ,Yang D ,Z h o u S ,e t al. Crazy paving pattern caused bypulmonaryalveolar prateinosis :CT findings and the pathologic basis [J ]. J Cent South U n iv ,2014,39:924-929.[14] 陈佩荣,蔡后荣.肺泡蛋白沉积症的影像诊断与鉴别诊断[J ].临床肺科杂志,2005,10(3):313-314.[15] Murch C R , Carr DH. Computed tomography appearances of pulmonary alveolar proteinosis [ J ]. Clin R adiol, 1989, 40 : 240-243.[16] Johkoh T ,Itoh H , Muller N L ,e t al. Crazy-paving appearance atthinsection CT :spectrum of disease and pathologic findings [J ]. Radiology, 1999,211 : 155-160.885.[17] Rossi SE,Erasm us JJ,Volpacchio M ,e t al. “Crazy-paving” pat! ! ! ! ! tern at thin-section CT of the lungs : radiologic-pathologic overv-iew [J ]. Radiographics,2003,23 : 1509-1519.[18] Lee CH. The crazy-paving sign [ J ]. Radiology, 2007,243 : 905! ! ! ! ! 906.[19] Johkoh T ,Itlh H , Muller N L ,e t al. Crazy-paving appearance atthinsection CT :spectrum of disease and pathologic findings [J ]. Radiology, 1999,77:155-160.[20] 姜静波,吴宏成,汤耀东,等.肺泡蛋白沉积症的临床分析和诊治的探讨[J ].临床肺科杂志,2008,13(1):41-44.(收稿日期2017-09-27)小儿肝母细胞瘤的C T 及M RI 诊断孙英楠s 张方石s 曲实2(1.吉林省长春市中心医院医学影像科,吉林长春130051;2.吉林省中医院长春中医药大学附属医院核磁共振科,吉林长春130000)[摘要]目的:分析小儿肝母细胞瘤(H B )的C T 及M R I 图像特点,以提高影像科医师对该病的诊断准确率。
小儿肝母细胞瘤的CT表现及临床应用价值廖庆厚;吴仕强【期刊名称】《医学影像学杂志》【年(卷),期】2009(019)002【摘要】目的:探讨肝母细胞瘤的临床及CT表现,以提高其诊断准确率.方法:回顾性分析经手术及病理证实的肝母细胞瘤13例,结合文献回顾性分析肝母细胞瘤的临床和CT表现.结果:肿瘤主体位于肝右叶10例,肝左叶2例,跨左右叶1例.肿块最大径约11~24cm,平均16cm.8例轮廓光滑,边界清楚,包膜较完整,5例部分边界不清.CT平扫肿瘤呈低、等混杂密度肿块,肿瘤内见裂隙状或不规则更低密度区,7例可见瘤内小斑点状或弧形钙化;增强扫描动脉期13例肿瘤呈不均匀性强化,分隔及周边的结节明显强化,但强化程度低于正常肝组织.坏死或液化区均无明显强化.门脉期8例瘤内分隔延迟强化.3例侵犯门脉血管.结论:CT能较好的描述肿瘤的范围、包膜的完整性,对肝内血管和下腔静脉的侵犯情况提供了较多的信息,对临床治疗方案的制定和预后起重要的作用.CT上肝母细胞瘤有一定的特征性,结合患者年龄、AFP可提供诊断的准确率.【总页数】3页(P177-179)【作者】廖庆厚;吴仕强【作者单位】广东省龙川县人民医院放射科,广东,龙川,517300;广东省龙川县人民医院放射科,广东,龙川,517300【正文语种】中文【中图分类】R735.7;R814.42【相关文献】1.小儿肝母细胞瘤的CT、MRI诊断及其临床应用价值 [J], 王宏伟;林爱军;丁长伟2.小儿肝母细胞瘤的超声表现与手术病理对照分析 [J], 苏英姿;白凤森;袁新宇;邹继珍;张晓伦3.小儿肝母细胞瘤的CT诊断及临床应用价值 [J], 谢再汉; 黄丽嫦; 沈冰奇; 云永兴; 彭辉4.小儿肝母细胞瘤的MRI表现及诊断价值分析 [J], 张睿5.先天性肝母细胞瘤CT表现及误诊分析 [J], 李理;刘文;金科因版权原因,仅展示原文概要,查看原文内容请购买。
2021CT、MRI检查对小儿肝母细胞瘤的诊断价值范文 摘要: 目的探讨CT、MRI检查对小儿肝母细胞瘤的诊断价值。
方法选取2016年3月至2020年3月郑州大学第三附属医院收治的60例疑似肝母细胞瘤患儿为研究对象,所有患儿均接受CT、MRI检查,指定同一名高年资、高职称临床影像学医师完成相关操作。
比较60例疑似肝母细胞瘤患儿的CT、MRI检出情况与病理诊断结果,计算两种检查方法的敏感性及特异性。
结果 60例疑似肝母细胞瘤患儿均顺利完成CT、MRI检查,CT、MRI、病理检查对小儿肝母细胞瘤检出率分别为86.67%、90.00%、91.67%,各组数据比较差异未见统计学意义(P均>0.05)。
进一步分析60例疑似肝母细胞瘤患儿临床资料可知,CT对小儿肝母细胞瘤诊断敏感性为90.91%(50/55)、特异性为60.00%(13/5),MRI对小儿肝母细胞瘤诊断敏感性为98.18%(54/55)、特异性为100.00%(5/5)。
结论 MRI对小儿肝母细胞瘤诊断敏感性、特异性均较优,有利于及时确诊此类患儿病情。
关键词: 小儿;肝母细胞瘤; 计算机体层摄影; 磁共振成像; 肝母细胞瘤(hepatoblastoma,HB)是小儿常见肝脏恶性肿瘤之一[1],由于此病发病初期患儿并无典型临床表现[2],待就诊时往往已处于疾病中晚期[3],因此将对临床诊治工作造成一定困难,提示如何采取有效措施尽快确诊病情是保障此类患儿疗效及预后的关键[4]。
计算机体层摄影(computertomography,CT)、磁共振成像(magnetic resonance imaging,MRI)均是现阶段临床用于诊断小儿肝母细胞瘤的主要影像检查手段[5],但在实际工作中如何取舍二者仍存一定争议。
本研究探讨CT、MRI检查对小儿肝母细胞瘤的诊断价值。
1、资料与方法 1.1、一般资料: 选取2016年3月至2020年3月郑州大学第三附属医院收治的60例疑似肝母细胞瘤患儿为研究对象,其中男42例,女18例,年龄1个月~4(1.32±0.18)岁。
小儿肝脏恶性肿瘤的CT诊断(附9例报告)
王康安;周康荣
【期刊名称】《临床放射学杂志》
【年(卷),期】1995(0)S1
【摘要】报告小儿肝脏恶性肿瘤9例(原发性7例)其中肝母细胞瘤3例,肝细
胞癌4例;转移性2例)。
原发性肝脏恶性肿瘤的CT征象为:(1)平扫肝实质内单个或多个低密度肿块,增强扫描病灶不均质增强;(2)大多数肿瘤较大,常使肝脏变形;(3)肿瘤通常累及肝脏一叶,右叶多见,但可以累及两叶或多中心;(4)胸部是最常见的转移部位。
分析和讨论了肝母细胞瘤和肝细胞癌之间的鉴别诊断。
转移性肝脏肿瘤平扫显示为单个或多个边界清楚的低密度病灶,增强扫描更清楚地显示之,但其表现无特异性。
【总页数】3页(P109-111)
【关键词】肝母细胞瘤;肝细胞癌;小儿;体层摄影.X线计算机
【作者】王康安;周康荣
【作者单位】上海医科大学儿科医院放射科,上海医科大学中山医院放射科
【正文语种】中文
【中图分类】R735.7
【相关文献】
1.数字减影血管造影用于肝脏恶性肿瘤的诊断与治疗(附45例报告) [J], 熊勤云
2.CT诊断肝脏上皮样血管内皮瘤(附3例报告) [J], 翟跃杰;王志芳;杨义军;王勇
3.含有脂肪成分的肝脏囊型包虫 CT 诊断(附4例报告及文献复习) [J], 尹桂秀;赵希鹏;鲍海华
4.肝脏血管平滑肌脂肪瘤的CT诊断--附9例报告及文献复习 [J], 朱云波; 王芳; 曹孝兰
5.小儿肾脏恶性肿瘤的CT诊断(附52例分析) [J], 邵剑波;王明甫
因版权原因,仅展示原文概要,查看原文内容请购买。
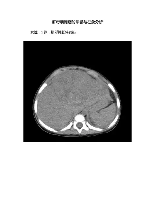
肝母细胞瘤的诊断与征象分析女性,1岁,腹部肿胀伴发热影像学表现肝左右叶交界处可见一略低于肝实质密度的巨大病灶,内部密度不均匀,可见混杂高低密度区;增强扫描病灶呈不均匀强化;病灶突出于肝包膜生长,肝周见少量液体密度影,腹腔脏器受压移位。
诊断肝母细胞瘤鉴别诊断1 .原发性肝细胞癌:CT 也表现为肝内低密度灶,少数含点状钙化,AFP 50 % 阳性,但肿块形态不规则、边缘模糊;缺少包膜,瘤旁常见大小不等的子灶。
肿瘤以外的肝脏可有脂肪肝、肝硬变等表现。
年龄以3 岁以上多见,不同于本病。
2 .肝横纹肌肉瘤:肿瘤边缘较清楚,可位于肝门区或左右肝内,呈不均匀低密度占位,出血坏死少见,罕有钙化,发病年龄约5 ~ 11 岁。
AFP 阴性有助于鉴别。
3 .肝转移瘤:年幼儿主要与神经母细胞瘤肝转移鉴别,后者可表现为大块结节融合灶侵占大面积肝实质,含多种形态钙化与本病相似。
其他如肾母细胞瘤、淋巴肉瘤等常为多发或单发结节灶,关键在于发现原发灶;淋巴肉瘤、神经母细胞瘤常可见腹部淋巴结肿大有别于本病。
讨论肝母细胞瘤为小儿最常见的肝脏胚胎性恶性肿瘤。
51% ~ 56% 多发生于3 岁以下,男发病率较女高,通常累积肝脏右叶。
肿瘤以单发巨块型为主,结节及弥漫性罕见。
鉴于肝母细胞瘤生长方式分为内生型和外生型。
多种形态继之分为单块型、结节型融合型、多结节型、弥漫型和囊肿型。
临床表现早期多以肝肿大和肝区疼痛为最初症状,进展期会出现上腹部或全腹膨隆、恶心呕吐、食欲不振、体重减轻、腹痛、腹泻、腹壁静脉曲张、发热、黄疸等表现,晚期出现腹水,多数病例肝功能正常,80% ~ 90%甲胎蛋白测定阳性,是最有意义的生化检查指标。
影像学表现HB 一般多发于肝右叶,其次为左右叶同时累及,单独发生在肝左叶较少见。
HB 通常表现为巨大的单一肿块,表现为多结节融合较少见。
大部分肿块边界清晰,有假包膜形成。
CT平扫肿块内密度不均匀,呈低、等混杂密度,较正常肝实质低,肿块内可见裂隙状或不规则片状密度更低区,肿块低密度区的周边表现为多个大小不等结节状相对稍高密度区。
儿童肝母细胞瘤CT 影像特征分析雷彦明,旦增罗布,顿珠次仁【摘要】目的总结肝母细胞瘤(HB )儿童特征和腹部CT 的表现。
方法2014年1月~2016年11月我院诊治的HB 患儿94例,对全部患儿进行腹部CT 扫描,获得影像学资料。
结果本组HB 患儿Ⅰ期5例,Ⅱ期44例,Ⅲ期38例,Ⅳ期7例;肿瘤体积为29.1~3332.5cm 3,其中Ⅰ期大约为199.9±50.2cm 3,Ⅱ期为429.9±89.4cm 3,Ⅲ期为419.2±112.3cm 3,Ⅳ期为1121.0±213.5cm 3;肿瘤位于肝右叶45例(47.8%)、左右叶20例(21.3%)、左叶21例(22.3%)和尾叶8例(8.5%),肿瘤与肝脏分界清楚73例(77.7%)、分界模糊21例(22.3%),单发肿瘤81例(86.2%)、多发肿瘤13例(13.8%),影像学表现为点片状50例(53.2%)、团块状33例(35.1%)和多种形态混合状11例(11.7%);本组发生肿瘤远处转移38例(40.4%),其中肺转移18例(47.4%)、骨转移12例(31.6%)、胸膜转移4例(10.5%)和淋巴结转移4例(10.5%)。
结论对HB 患儿进行腹部CT 检查可了解肿瘤的基本特征,早期发现肿瘤转移,有助于帮助决定选择手术方案。
【关键词】肝母细胞瘤;CT 扫描;儿童DOI :10.3969/j.issn.1672-5069.2018.04.048CT features of children with hepatoblastoma Lei Yanming ,Danzeng Luobu ,Dunzhu Ciren.Department of Radiology ,People's Hospital,Lhasa 850000,Tibet Autonomous Region【Key words 】Hepatoblastoma ;CT scan ;Children作者单位:850000拉萨市西藏自治区人民医院影像科第一作者:雷彦明,男,36岁,大学本科,主治医师。
小儿肝脏母细胞瘤的CT诊断
张定;牟奇猛
【期刊名称】《实用医技杂志》
【年(卷),期】2007(014)028
【摘要】目的:总结肝脏母细胞(HB)瘤在CT上的形态学特征.方法:对5例经手术病理证实的HB瘤病例进行腹部CT平扫,3例加作增强扫描,结合文献分析HB瘤的
CT表现.结果:肿物位于肝右叶3例,肝左叶1例,肝左右叶1例.HB瘤大多表现为肝内单个球形或分叶状融合的实性肿块,1例为多发结节.2例肿物呈外生型,4例边缘
清楚,3例包膜完整.肿瘤密度多不均匀,2例可见点状钙化,增强后可不均匀或弧线形、网格状强化.全部病例肿瘤以外肝实质正常.1例见下腔静脉瘤栓,1例见腹膜后淋巴
结及大网膜转移.结论:HB瘤的CT表现有一定特异性,对于诊断帮助较大.
【总页数】3页(P3844-3846)
【作者】张定;牟奇猛
【作者单位】重庆市万州区人民医院,重庆,404000;重庆市万州区人民医院,重
庆,404000
【正文语种】中文
【中图分类】R445.3
【相关文献】
1.原发性肝脏恶性纤维组织细胞瘤的CT诊断及鉴别 [J], 李姗姗;尹相媛;王一;邱士军
2.肝脏血管外皮细胞瘤的CT诊断(附13例报告) [J], 庞涛;王新怡;张经建;毕玉华;刘群
3.原发性肝脏恶性纤维组织细胞瘤的CT诊断分析 [J], 戴太炎
4.CT诊断婴儿型肝脏血管内皮细胞瘤 [J], 高军;彭芸;于彤;刘志敏;王蓓;洪天予
5.CT诊断肝脏炎性肌纤维母细胞瘤一例 [J], 陈镜;康厚艺;李增鹏;张伟国
因版权原因,仅展示原文概要,查看原文内容请购买。
小儿肝母细胞瘤的螺旋CT诊断目的:讨论小儿肝母细胞瘤的临床表现及螺旋CT特点,提高该病诊断率。
方法回顾性分析经手术病理证实的肝母细胞瘤18例,研究其在增强螺旋CT下的影像学表现。
结果肿瘤位于肝右叶12例,肝左叶1例,跨越肝左右叶生长5例。
其中15例表现为肝内单个实性包块,3例为多发性结节。
11例包块呈向肝外膨胀性生长,包块大多包膜清晰。
CT平扫时包块密度略低于肝脏密度,增强后包块不均匀强化,强化程度略低于肝脏,其内部坏死区无强化。
结论螺旋CT平扫+增强扫描对肝母细胞瘤的定位准确,定性诊断率高,有助于为临床诊断提供有效的诊疗信息。
标签:肝母细胞瘤;螺旋CT;增强扫描肝母细胞瘤(hepatoblastoma)为小儿最常见的肝胚胎性恶性肿瘤[1] 。
本人搜集本院经手术病理证实的肝母细胞瘤18例,结合其临床表现进行回顾性分析肝母细胞瘤的临床表现以及螺旋CT增强扫描的影像学表现,讨论螺旋CT增强扫描对本病的诊断价值。
1 材料与方法本组18例,男12例,女6例,男性多于女性,发病年龄23天-12岁。
其中临床表现为肝大,右上腹部包块9例,8例表现为腹泻,黄疸,1例表现为贫血就诊。
体检时可于右膈下触及包块,2例伴有性早熟,1例伴有高血钙。
其中甲胎蛋白(AFP)实验阳性者16例。
全部病人均用菲利普64排螺旋CT平掃+增强扫描,年龄较小患儿用10%水合氯醛予以镇静后扫描。
扫描范围从肺底至肝脏下缘,层厚5-10mm,间隔5-10mm。
造影剂剂量为2ml/kg体重,以1.5ml/s的速度进行静脉注射。
2 结果本组病例均为手术或穿刺活检病理证实,肿瘤最多见于肝右叶,其次为左右叶,肝左叶最少见[2]。
其中15例表现为肝内单个实性包块,3例为多发性结节。
11例包块呈向肝外膨胀性生长。
10例行肿瘤切除术,5例行肝叶切除术,3例因肿瘤范围较大,行肝扩大切除术。
本病临床表现为肝大,右上腹部包块,晚期则有发热、食欲缺乏、体重下降、贫血、黄疸和腹水等症状。
小儿肝母细胞瘤4例报告及文献温习钟海鸣,刘桂仙,杨享贤【摘要】目的探讨小儿肝母细胞瘤的临床特点和诊治方式。
方式对诊治的4例小儿肝母细胞瘤的临床资料进行回忆性分析和随访。
结果 1例行肿瘤根治性切除加化疗,至今已无瘤生存5年5个月。
3例舍弃医治,其中2例确诊半年后死亡,另1例带瘤生存已逾6个月。
结论肿瘤迅速生长是肝母细胞瘤的临床特点。
AFP是肝母细胞瘤的重要标志物。
介入医治、根治性肿瘤切除配合化疗是小儿肝母细胞瘤靠得住而有效的医治方式。
【关键词】婴儿;肝母细胞瘤/医治;甲胎蛋白Hepatoblastoma in children: four cases report and clinical review of literaturesZHONG Hai-ming, LIU Gui-xian, YANG Xiang-xian(Department of Oncology, Central Agriculture Reclamation Hospital of Guangdong Province,Zhanjiang, Guangdong 524002, China)Abstract: Objective To investigate clinical features and treatment of children with hepatoblastoma. Methods The clinical records of 4 hospitalized children diagnosed with hepatoblastoma were retrospectively analyzed and followed-up. Results One of the patients received radical resection in combination with chemotherapy have been living with tumor free for 5 years and 5 months. Three cases refused treatment and two died 6 months after diagnosis, another one has survived with tumor over six months. Conclusion The clinical feature of hepatoblastoma was that the tumor grew rapidly. AFP was an important marker of hepatoblastoma. Conclusion of intervention, radical resection and chemotherapy is the reliable and effective therapy for children with hepatoblastoma.Key words: infant; hepatoblastoma/therapy; alpha-fetoprotein小儿原发性肝脏恶性肿瘤临床上比较少见,其中以肝母细胞瘤(hepatoblastoma)为最多。
12例儿童肝母细胞瘤的诊断与治疗盛琦;袁晓军;张勤;王俊;施诚仁【期刊名称】《上海交通大学学报(医学版)》【年(卷),期】2011(031)004【摘要】Objective To investigate the diagnosis and treatment of hepatoblastoma in children.Methods The diagnosis, treatment and long-term follow-up of 12 children with hepatoblastoma during January 2007 and Februa ry 2010 were analysed.Results According to International Society of Pediatric Oncology (SIOP) Pretest staging system, there was 1 case of stage Ⅱ, 1 case of stage Ⅲ and 10 cases of stage Ⅳ.All the 12 cases were treated with both chemotherapy and surgery.Both the case of stage Ⅱ and case of stage Ⅲ survived.Among the 10 cases of stage Ⅳ, 8 survived, 1 died of brain metastasis after drug withdrawl, and the other died due to no response to treatment.Conclusion Radical resection of tumor plays a key role in the treatment of hepatoblastoma in children.Chemotherapy is of great significance in the implementation of radical operation and prevention of tumor recurrence.%目的探讨儿童肝母细胞瘤的临床诊断与治疗方案.方法对上海交通大学医学院附属新华医院2007年1月-2010年2月收治的12例儿童肝母细胞瘤患者的诊断、治疗及随访情况进行总结和分析.结果按国际儿童肿瘤协会(SIOP)Pretest临床分期:Ⅱ期1例,Ⅲ期1例,Ⅳ期10例.12例均予化疗与手术联合治疗.1例Ⅱ期患儿和1例Ⅲ期患儿均存活;10例Ⅳ期患儿中,8例存活,1例停药后脑转移死亡,1例治疗无效死亡.结论肿瘤完整切除是儿童肝母细胞瘤治疗的关键;化疗对实施根治性手术及预防肿瘤复发有重要意义.【总页数】3页(P517-519)【作者】盛琦;袁晓军;张勤;王俊;施诚仁【作者单位】上海交通大学,医学院附属新华医院儿内科,上海,200092;上海交通大学,医学院附属新华医院儿内科,上海,200092;上海交通大学,医学院附属新华医院儿内科,上海,200092;上海交通大学,医学院附属新华医院儿外科,上海,200092;上海交通大学,医学院附属新华医院儿外科,上海,200092【正文语种】中文【中图分类】R725.5【相关文献】1.儿童晚期肝母细胞瘤伴肺转移综合诊疗分析:附12例报告 [J], 张谊;秦静;张伟令;黄东生;王一卓;洪亮;易优;胡慧敏;韩涛;支天2.儿童肝母细胞瘤的影像学诊断(附12例报告) [J], 肖红卫;林忠海;邱勇;杨乐华3.儿童病毒性脑炎125例的诊断与治疗 [J], 游春萍4.12例儿童肝母细胞瘤综合治疗疗效分析 [J], 苗丽霞;刘秋玲;孙岩峰;王军;袁海莲5.儿童12例睾丸扭转的诊断与治疗 [J], 刘建华因版权原因,仅展示原文概要,查看原文内容请购买。
不同病理类型儿童肝母细胞瘤的超声表现分析宋柟;王艺;黄敏捷;史丽琼【期刊名称】《临床超声医学杂志》【年(卷),期】2024(26)3【摘要】目的分析不同病理类型儿童肝母细胞瘤的超声表现。
方法回顾性分析我院收治的36例肝母细胞瘤患儿的超声及病理资料,总结不同病理类型(完全上皮细胞型、不伴畸胎样混合型、伴畸胎样混合型)儿童肝母细胞瘤的超声表现。
结果36例肝母细胞瘤中,完全上皮细胞型13例,其中肿瘤位于肝右叶7例,左右叶3例,左叶2例,尾状叶1例,平均肿瘤大小(286.34±23.75)mm^(3),形态规则10例,边界清晰9例,瘤内坏死囊变11例;不伴畸胎样混合型9例,其中肿瘤位于肝右叶4例,左右叶2例,左叶2例,尾状叶1例,平均肿瘤大小(282.59±21.98)mm^(3),形态规则6例,边界清晰5例,瘤内坏死囊变7例;伴畸胎样混合型14例,其中肿瘤位于肝右叶8例,位于左右叶3例,左叶2例,尾状叶1例,平均肿瘤大小(284.61±22.07)mm^(3),形态规则11例,边界清晰10例,瘤内坏死囊变12例。
不同病理类型肝母细胞瘤肿瘤位置、大小、形态、边界及瘤内坏死囊变占比比较差异均无统计学意义。
完全上皮细胞型、不伴畸胎样混合型、伴畸胎样混合型肿瘤内部回声和钙化情况比较差异均有统计学意义(均P<0.05);其中完全上皮细胞型肿瘤内部强回声占比高于不伴畸胎样混合型和伴畸胎样混合型,不伴畸胎样混合型肿瘤内部强回声占比高于伴畸胎样混合型,完全上皮细胞型肿瘤钙化占比低于不伴畸胎样混合型和伴畸胎样混合型,差异均有统计学意义(均P<0.05)。
结论不同病理类型儿童肝母细胞瘤内部强回声和钙化均存在差异,其可为临床初步判断肝母细胞瘤患儿病理分型提供参考依据。
【总页数】4页(P195-198)【作者】宋柟;王艺;黄敏捷;史丽琼【作者单位】华中科技大学同济医学院附属武汉儿童医院儿童超声影像科;华中科技大学同济医学院附属武汉儿童医院病理科【正文语种】中文【中图分类】R445.1;R575【相关文献】1.小儿肝母细胞瘤的超声表现与手术病理对照分析2.MSCT评估不同病理类型儿童肝母细胞瘤的价值3.儿童不同病理类型肝母细胞瘤的CT表现4.基于PRETEXT分期系统分析不同病理类型儿童肝母细胞瘤CT、MR的价值5.不同分化程度、不同病理类型小肝癌患者超声造影表现分析因版权原因,仅展示原文概要,查看原文内容请购买。
小儿肝脏肿瘤(附12例分析)
李小刚;陈展硕;卢文能
【期刊名称】《中国现代医学杂志》
【年(卷),期】1994(000)003
【摘要】小儿肝脏肿瘤(附12例分析)湖南医科大学附属湘雅医院外科(410008)李小刚,陈展硕,卢文能发生在小儿肝脏的肿瘤并非罕见,发病率仅次于肾胚胎瘤和神经母细胞瘤。
我院外科自1972年至1992年底共收治小儿肝脏肿瘤12例,均经手术及病理证实。
现就其诊治...
【总页数】2页(P54-55)
【作者】李小刚;陈展硕;卢文能
【作者单位】湖南医科大学附属湘雅医院外科
【正文语种】中文
【中图分类】R735.7
【相关文献】
1.射频治疗肝脏恶性肿瘤的CT评价(附35例分析) [J], 鲍家启;刘爱国;胡克非;潘志立;王悦;王龙胜;汪松;郑磊;惠锦林;沈文琴
2.小儿颅内肿瘤(附120例病例分析) [J], 倪陈;付先明
3.肝脏少见肿瘤的CT诊断(附9例分析) [J], 谭理连;李扬彬;李树欣;江金带;李志铭;梁彤杰;余林
4.肝脏恶性肿瘤的介入治疗(附32例分析) [J], 高启忠;王建美;罗杰国;赵殿有;王
炳彦
5.肝脏转移性肿瘤经导管肝动脉化疗及栓塞治疗(附86例分析) [J], 张耀;王煊因版权原因,仅展示原文概要,查看原文内容请购买。
小儿肝母细胞瘤的CT诊断(附13例报告并复习文献) 【摘要】目的分析、总结小儿肝母细胞瘤(hepatoblastoma,hb)ct特征,提高ct对该病诊断准确率。
方法经穿刺活检或手术病理证实的肝母细胞瘤13例,均行ct平扫和/或多期增强扫描,其中5例只做平扫,平扫+增强扫描者8例,对所有ct影像进行分析。
结果 13例肝母细胞瘤中为单发类圆形肿块者12例、多发性肿块者1例;肿瘤位于肝右叶者10例、肝左叶者2例、跨越左右叶者1例;斑点、条形钙化者1例;瘤内坏死者10例;8例增强检查病例中,肿块均见强化,以不均性强化为主,多表现为片状、结节状强化,部分者可见肿瘤包膜及瘤内分隔强化,与平扫相比ct值上升约24hu-40hu;门脉和/或下腔静脉受侵者6例、腹腔内淋巴结转移者1例、腹膜后淋巴结转移者2例、肝内转移者1例、双肺内转移者1例。
结论 ct上肝母细胞瘤具有一定的特征性表现,结合患者年龄、临床症状及体征、afp检查等大多能做出正确诊断。
【关键词】肝母细胞瘤;恶性肿瘤;小儿;ct
肝母细胞瘤(hb)是一种少见恶性肿瘤,多见于3岁以下小儿,是小儿最常见的原发性肝脏恶性肿瘤[1]。
据文献统计,85-90%发生于3岁以下小儿,男女之比为3:2~2:1,男性明显多于女性[2]。
临床上以右上腹包块并持续性增大,伴消瘦,afp值升高为其主要特征。
笔者搜集、整理我院2005年1月至2006年6月间经病理证实的肝母细胞瘤13例,并对其ct表现进行回顾性分析,探讨ct
对本病诊断价值,以此提高ct对该病诊断准确率。
1 材料与方法
本组13例,男性6例,女性7例,年龄最小者1月,最大者4岁,中位年龄约1.9岁。
13例均使用德国西门子公司somatom emotion 16型ct机扫描,扫描层厚3mm,重建层厚5mm,并结合mpr对肿块进行冠状位、矢状位观察。
8例增强检查,造影剂采用欧乃派克(300mg/ml),剂量按2ml/kg,注射前均进行皮试过敏试验,注射速率1-3ml/s,扫描前30min口服10%水合氯醛5-10mg/kg 予以镇静。
2 结果
2.1 病变部位、形态、大小、数目肿瘤位于肝右叶10例,位于肝左叶2例,跨越左右叶1例;肝实质内生长11例,起自肝边缘且外生性生长者2例。
肿块均为类圆形或椭圆形;直径最小者3cm,最大者11.6cm,平均6.4cm。
12例为单发性肿块,仅1例为多发性肿块,肿块同时跨越左右叶,并伴肝内多发转移性结节。
2.2 病变内部密度平扫病变密度均低于肝实质密度,密度不均11例,密度较均2例,10例内部可见更低密度坏死区,分布无规律,呈裂隙状者3例,不规则形7例。
病变内部见钙化者仅1例,表现为斑点、长条状,呈聚集趋势。
2.3 多期增强改变 8例多期增强检查患者中,肿块均表现为不均性强化,ct值较平扫上升24hu-40hu,肿块多呈片状、结节状强化,包膜及肿块内分隔强化较为明显,其内坏死区各期始终均未见强化。
2.4 转移性征象分析平扫及多期增强图像,门脉和/或下腔静脉受侵者6例、腹腔内多发淋巴结肿大者1例、腹膜后多发淋巴结肿大者2例、肝内发现转移灶者1例、双肺内多发小结节性转移者1例。
2.5 afp检查结果 13例均进行afp检查,apf值均明显增高者9例(69.2%),阴性者4例。
2.6 穿刺活检或术后病理穿刺活检病理证实为肝母细胞瘤4例均为上皮型(胎儿型2例,胚胎型1例,间变型1例);术后病理9例,肿瘤最大为11.8cmx8.9cmx9.3cm,最小为
3.2cmx2.7cmx3.4cm,其中上皮型8例(胎儿型6例、胚胎型1例、间变型1例),混合型1例。
1)肿块内裂隙状坏死区,肿块呈外生性生长 2)肿块内见斑点、条形钙化3)肿块起自肝缘,呈外生性生长
4)肿块巨大,其内坏死 5 ) 肿块内不规则形坏死区。
6)肿块直径约3cm,位于肝右叶; 7)术后病理:肝母细胞瘤(上皮型)
3 讨论
肝母细胞瘤的发病机理尚未完全明了,一般认为这是一种胚胎型肿瘤。
临床主要表现为腹部包块,并持续性增大,伴有消瘦、贫血等,大多可见afp数值增高,多见于3岁以下婴幼儿。
本组13例,其中afp增高者9例(69%),与文献报道较为相符;据文献统计
85-90%者发生于3岁以下小儿,本组3岁以下者占比12/13(92%),
略高于统计上限;男女之比为3:2~2:1,男性明显多于女性[2],本组中男:女为6:7,男性反而略少于女性,与文献报道差别较大,笔者认为其中主要原因可能是本组病例数较少,不具有代表性,亦不排除本病女性者发病率有上升趋势可能,此点有待与同行商榷。
肝母细胞瘤多为单个巨大分叶状低密度肿块,多见于肝右叶[3],本组单发者12例,位于肝右叶者10例,密度均低于肝实质,与文献所述一致,肿块单独发生于肝左叶者仅占15-22%[4],本组2/13(15.3%),本组病例中肿瘤最小者直径约为3.0cm,最大者直径约为11.6cm,肿瘤一般巨大,这可能与其早期症状不明显,患儿表述不清而不能被及时发现有关,有学者认为,肿瘤大小与其预后关系不大。
肿瘤大多生长于肝实质内11/13(85%),少数者起自肝缘而呈外生性生长2/13(15%),外生性生长者预后较内生性生长者好[5],笔者认为这可能与肿瘤破坏肝实质、肝内血管等程度较低有关,另外肝血管受侵的可能性小,转移的可能性则亦小,故预后相对较好。
文献报道,肿瘤总钙化率38%-50%[5],骨样组织钙化可提示其病理类型为混合型,钙化多表现为斑点状、条形、大块状,瘤内钙化为肝母细胞瘤ct特征性表现,而ct对于钙化显示敏感性明显高于mr,这或许亦是本病首选ct为检查手段的主要原因之一,瘤内见钙化的肝母细胞瘤一般预后较好。
本组仅见1/13(8%)钙化,表现为斑点、条形钙化,集中分布于瘤内某处,本组低钙化率与文献报道差别较大,有待于今后进一步收集相关病例,加以统计分析。
增强检查肿瘤多为不均性强化,呈斑片状、结节状,其内分隔及肿瘤包膜强化较为明显,瘤内坏死区始终未见强化,增强后坏死区则显示更加清楚,本组中瘤内见坏死灶者10例,较具有普遍性,尤其是裂隙状坏死改变,笔者认为较具有特征性,这是由于肝母细胞瘤生长迅速,故常于肿瘤边缘或中心部存在各种形态的出血、坏死、纤维瘢痕[6]所致,本组瘤内出血者未见。
病理上肝母细胞瘤根据其所含成分可分为上皮型和混合型。
上皮型多见,以分化程度由高到低分为胎儿型、胚胎型及间变型。
混合型是在以上皮成分为主的结构中出现部分间叶成分,常见的是成熟的骨、软骨和骨样组织。
依据其生物学行为,有浸润、转移者预后较差,本组6例可见浸润或转移征象,多为血管、淋巴受累,脏器转移以肝脏、肺脏所见各1例,故笔者认为,凡ct诊断高度可疑肝母细胞瘤者,行胸部影像学检查还是十分必要的。
ct诊断上,肝母细胞瘤主要应与原发性肝癌、肝内转移瘤、海绵状血管瘤等鉴别。
根据患者年龄特点、肝功能检查、afp检查、ct 特征性表现(如钙化)、多期增强检查特点等,大多可做鉴别。
综上所述,笔者认为,临床上凡遇3岁以下小儿发现右上腹持续性增大软组织包块伴消瘦,afp值明显升高,ct检查见肝实质巨大肿块且瘤内有钙化、坏死、出血、纤维瘢痕等征象时,应高度怀疑本病。
参考文献
[1]王甘露,李晓平,廖彩仙.肝母细胞瘤的诊断与治疗[j].
临床和实验医学杂志.2006.5(6):707-708.
[2]温志立,王艳华,杨铁一.成年女性肝母细胞瘤1例[j].疑难病杂志.2007.6(1):30.
[3]徐赛英.实用儿科放射诊断学[m].北京:北京出版社,1999.633-637.
[4]曾勇,林金容,练雄珍.小儿最常见的肝脏恶性肿瘤-肝母细胞瘤的研究现状[j].modern oncology.mar.vol.2008.16:490. [5]彭云,许赛英,祝秀丹.小儿肝母细胞瘤的ct诊断[j].中华放射学杂志.2001.35:689-692.
[6]jabra aa,fishmen ek,taylor ga.hepatic masses in infants and children:ct evaluation[j].ajr.1992.158(1):143-145.。