孟氏骨折病例讨论分型治疗
- 格式:ppt
- 大小:5.17 MB
- 文档页数:32
骨科小驿尺骨近端骨折之孟氏骨折
手术适应证
孟氏骨折常用Bado分类,成人的桡骨头向掌侧脱位为I型,桡骨头向背侧脱位为II型。
成人孟氏骨折行闭合复位后容易出现再移位、尺骨骨折延迟愈合、假关节形成等并发症,应行尺骨解剖复位内固定。
术前准备
•麻醉:手术可行臂丛神经阻滞,或者行腋下神经阻滞。
•体位:孟氏骨折尺骨复位固定后如果桡骨头的复位不够,常需要从掌侧入路进行复位固定,因而取仰卧位。
手术方法
1闭合复位
孟氏骨折对尺骨的闭合复位是可行的,但若尺骨不能正常复位则无法行桡骨头的复位。
2皮肤标记
尺骨鹰嘴-尺骨茎突连线,也可在术前行X线透视确定位置。
3切开及深部组织显露
成人的孟氏骨折多为BadoI型,可在尺骨背侧做皮肤直接切口。
于尺侧腕伸肌与尺侧腕屈肌之间显露骨折部。
如需进行桡骨头的切开复位,前方脱位时可行前外侧切口,或后外侧切口可直达肱桡关节囊。
4切开复位
成人的孟氏骨折,通常切开使尺骨达到解剖复位后,桡骨头一般也会自动复位,检查关节稳定的话则不必行肘关节的切开手术。
5内固定
成人的孟氏骨折,可用前臂钢板对尺骨进行牢固固定。
通常能解剖复位,但如果脱位趋势仍然存在,对Bado I型来说也可考虑尺骨微弯曲位固定。
尺骨固定后,桡骨头若仍有脱位,或出现桡骨头不稳时,可从外侧显露肱桡关节,确定桡骨头与环状韧带的关系。
当前方脱臼时从桡骨头的背侧可发现从颈部脱离的环状韧带,可将环状韧带复位并缝合。
6冲洗,缝合切口
术后彻底冲洗创面,逐层缝合筋膜、皮下组织及皮肤,并常规留置引流管。
7石膏固定。
孟氏骨折概述因孟氏首次(1814年)描述了尺骨上1/3骨折合并桡骨头脱位这一特殊损伤,故名,并沿用至今。
孟氏骨折在前臂骨折中属预后较差的一种。
有时即使获得满意的对位,其功能也未必完全恢复。
因此在临床处理上,既要力争早期良好的复位,又要重视治疗期间的随访与观察、以及肢体的功能康复。
青少年以下年龄组的远期疗效均较满意,甚至个别桡骨小头复位不佳者,其肘部功能及上肢肌力也仍与健侧相似。
孟氏骨折发病机制除少数因直接暴力打击所致外,大多数病例是在前臂极度内旋位(旋前)跌倒手部撑地所致。
此时由上而下的身体重力及由下而上的反作用力均汇集于尺骨上端及桡骨头部,以致先后出现尺骨上1/3骨折及桡骨头脱位(多为前脱位)。
因直接暴力撞击所致者多呈现桡骨头前脱位及尺骨上1/3横折或粉碎性骨折。
孟氏骨折临床表现1.一般症状指骨折后局部的疼痛、肿胀及活动受限等共性症状均较明显。
2.畸形尺骨表浅,易于发现移位。
桡骨头脱位亦易被检查出,但肿胀明显者则难以确定。
3.触及桡骨头即于肘前方或侧、后方可触及隆突的桡骨小头,且伴有旋转痛及活动受限。
关于孟氏骨折的分型各家意见不一,国外大多按Bado的4型分类:Ⅰ型为尺骨任何水平骨折,向掌侧成角及桡骨头前脱位。
Ⅱ型系尺骨干骨折,向背侧成角及桡骨头后脱位。
Ⅲ型指尺骨近端骨折伴桡骨头侧方移位。
Ⅳ型为Ⅰ型十桡骨上1/3骨折。
亦有人按伸直型(相当于前者Ⅰ型,多见于儿童)、屈曲型(相当于Ⅱ型,多见于成人)、及内收型(Ⅲ型,多见于幼儿)进行分类。
孟氏骨折辅助检查1.无相关实验室检查。
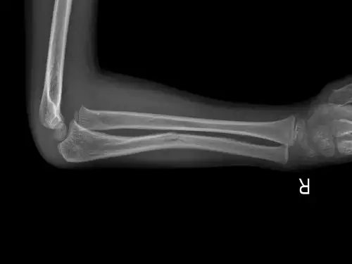
2.肘关节正、侧位X线片。
当尺骨上1/3骨折时,X片必须包括肘关节,注意肱桡关节解剖关系,以免漏诊。
孟氏骨折诊断与鉴别诊断诊断依据此种损伤的诊断一般无困难,除外伤史及临床特点外,主要依据正侧位X线平片所见。
鉴别诊断1、先天性桡骨头脱位:起病早,双侧。
X线表现肱骨远端和桡骨头颈发育异常。
⑴肘外翻加大⑵肱骨小头发育滞后,小,化骨核不规则。
孟氏骨折健康指导课件一、骨折概述骨折是指骨骼因外力作用而断裂或产生裂缝的一种情况。
孟氏骨折(Monteggia fracture)是指尺骨上1/3段骨折合并桡骨头脱位,或桡骨头脱位合并尺骨上1/3段骨折。
此类骨折常见于儿童和青少年。
二、孟氏骨折的类型孟氏骨折分为两种类型:1. 类型I:尺骨上1/3段骨折,桡骨头脱位。
2. 类型II:桡骨头脱位,尺骨上1/3段骨折。
三、孟氏骨折的症状孟氏骨折的主要症状包括:1. 局部疼痛:骨折部位会出现明显的疼痛。
2. 肿胀:骨折部位会出现肿胀。
3. 功能障碍:受伤手臂的功能会受到影响,如活动受限等。
4. 畸形:骨折部位可能出现明显的畸形。
5. 桡骨头脱位:可伴有桡骨头脱位的症状,如手腕桡侧疼痛等。
四、孟氏骨折的诊断孟氏骨折的诊断主要依据临床表现和X线检查。
医生会对受伤手臂进行详细的体检,包括观察伤处是否有畸形、触摸骨折部位等。
此外,医生会安排X线检查以确定骨折的具体部位和类型。
五、孟氏骨折的治疗孟氏骨折的治疗方法包括保守治疗和手术治疗。
1. 保守治疗:对于无明显移位的新鲜孟氏骨折,可采用石膏固定、牵引等方法进行治疗。
患者需在医生的指导下进行康复锻炼。
2. 手术治疗:对于有明显移位的孟氏骨折或有桡骨头脱位的情况,可能需要手术治疗。
手术方法包括复位、固定等。
六、健康指导1. 遵循医嘱:在治疗过程中,患者需严格按照医生的指导进行治疗,定期复查。
2. 康复锻炼:在恢复期间,患者需进行适当的康复锻炼,以促进受伤手臂的功能恢复。
3. 饮食调理:患者在康复期间需注意饮食,保证营养均衡,有助于骨折的愈合。
4. 注意休息:患者在康复期间需保证充足的休息,避免过度活动。
七、总结孟氏骨折是一种常见的骨折类型,主要影响儿童和青少年。
通过详细的体检和X线检查,医生可确诊孟氏骨折。
治疗孟氏骨折的方法包括保守治疗和手术治疗。
患者在治疗过程中需遵循医嘱,进行适当的康复锻炼,注意饮食和休息,以促进骨折的愈合和功能恢复。
孟氏骨折的评估与治疗孟氏骨折是不稳定性损伤,病人就诊时常常用健侧上肢拖着受伤侧上肢就诊,查体比较困难。
在没有止痛或镇静的条件下,评估肘关节活动性十分困难。
但是前臂远端、腕关节、手部,可以评估神经、血管损伤情况,尤其是骨间背神经功能。
同时要密切查看有无开放性伤口和骨筋膜间室综合征迹象。
拍摄X线片检查,一定不要只拍肘关节,应该包括前臂和腕关节。
记得刚在骨科实习时,我的老师对我说过,前臂应该按一个关节看待,要有“肘-前臂-腕”这个整体观。
这些都是多年临床经验的感悟,有碰到过只发现孟氏骨折,但没有发现下尺桡关节损伤的例子。
在正常的肘关节X线片,沿着桡骨轴画一条线,这条线应该穿过桡骨头和肱骨小头的中心。
如果不是,应该高度考虑桡骨头脱位。
移位的桡骨头骨折块的位置是不可预测的,它们可以在桡颈部的远端、穿过前方关节囊,甚至可以在鹰嘴窝的三头肌下方。
警惕这种双极骨折CT检查可以很好地评估尺骨近端骨折,尤其是冠状突骨折的大小和类型。
仔细分析冠状面和矢状面CT可以帮助我们选择合适的入路进行显露、固定。
了解桡骨头粉碎的程度可以帮助我们选择治疗方式,固定还是置换。
初始治疗包括闭合复位,获得适当的尺骨长度,这有助于桡骨头关节的复位。
孟氏骨折本质上是不稳定的,建议不要多次尝试复位,这会增加病人不适感,并可能导致软组织损伤。
长臂夹板、螺旋夹板、石膏托等通常提供足够的舒适性和稳定性。
闭合复位固定后,应再次检查神经血管情况。
孟氏骨折保守治疗效果差,多数保守治疗的病人会出现骨不连和持续性关节脱位。
一般都采取手术治疗。
手术体位一般采取仰卧位或侧卧位,患肢放于胸前或支架上。
后入路对于简单的尺骨近端骨折和桡骨头脱位很实用,关键在于尺骨骨折的解剖复位固定。
当尺骨解剖复位之后,桡骨头一般会复位。
如果考虑外侧副韧带复合体损伤,需要扩大切口显露,应用铆钉或骨隧道技术进行修复重建。
这样可以使病人在术后2周内主动活动,加速康复。
简单的孟氏骨折术后影像对于复杂的孟氏骨折,合并冠状突骨折(或粉碎性骨折)的JupiterIIA和IID的,它不像桡骨头骨折有选择(固定或置换),冠状突只能复位固定。