气管淀粉样变性
- 格式:docx
- 大小:191.42 KB
- 文档页数:1
支气管淀粉样变性
淀粉样变包括几种疾病.特点是不溶性淀粉样蛋白形成细胞外沉积,组织化学上显示其与刚果红相结合,因此在偏振光下能产生双折射。
Spencer[2]把肺原发淀粉样变分为以下几种:局灶性支气管沉千口、弥漫性支气管沉积、局灶性肺实质沉积、弥漫性肺实质沉积。
支气管型淀粉样变表现为孤立性肿块,也可表现为弥漫的管壁浸润。
弥漫性气管支气管淀粉样变是原发肺内淀粉样变最常见的类型。
气管支气管淀粉样变的影像学表现反映了其病理改变,可以是单发的肿物,也可以是弥漫性的气管狭窄。
CT上可以表现为肿块、斑块或气管、主支气管、叶支气管及段支气管壁环状增厚,伴有部分或完全性管腔狭窄。
有时还可表现为增厚的气管支气管壁结节和钙化。
原发性气管-支气管淀粉样变1例引发对呼吸系淀粉样变疾病的认识标签:淀粉样变;气管-支气管现将1例原发性气管-支气管淀粉样变报道如下:1 临床资料患者,女性,55岁。
因“反复咳嗽、咳痰,喘息发作2年,加重2个月”于2007年6月8日入院。
入院查体:神志清楚;口唇无发绀;双肺呼吸音粗糙,两上肺可闻轻度呼气相哮鸣音,未闻及湿性啰音;心界不大,心律规整,肝脾未触及,双下肢无水肿。
血常规、尿常规、大便常规、生化及免疫学检查未见异常。
反复多次痰查结核菌阴性。
PPD试验阴性。
血沉6 mm/h;ANCA试验阴性;血气分析示pH 7.451,PaO2 70.1 mmHg,PaCO2 46 mmHg。
肺功能示:呼吸阻抗增高,轻度阻塞性通气功能障碍,时间-流量曲线提示大气道阻塞表现,单位弥散量正常。
胸片示:慢性支气管炎、肺气肿、右肺门区密度增高。
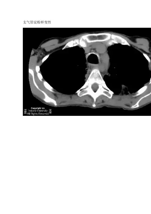
胸部CT如图1示:气管下段及左、右主支气管狭窄;左右主支气管黏膜下钙化。
纤维支气管镜检查如图2示:气管下段、左主支气管、右主支气管有弥漫性淀粉样斑块隆起,主支气管狭窄;黏膜触之易出血。
支气管黏膜活检病理报告如图3所示:支气管黏膜下淀粉样物质沉着,刚果红染色阳性,病理诊断为气管-支气管淀粉样变。
故诊断为原发性气管—支气管淀粉样变。
前为苏木精—伊红染色,中间为结晶紫染色,后为刚果红染色。
2 讨论淀粉样变性疾病是可发生于全身许多器官、表现各异的临床综合征,其共同特征为患者均具有细胞外淀粉样物质沉积。
目前发现有20多种蛋白质可在体内衍化为淀粉样物质,沉积于细胞外基质中[1]。
淀粉样物质对结晶紫有异染性,可被过碘酸-雪夫(PAS)染色成紫色;对刚果红有嗜染色性,经刚果红染色,在偏光显微镜下呈特征性黄、绿二色性双折光体;本病例的病理特征符合这一表现,见图3。
这类疾病可以是先天性的,也可继发于其他的疾病,如慢性感染、肿瘤、结核、结缔组织病、浆细胞恶病质、风湿性关节炎等。
常累及肺、脾、骨髓、肝、小肠、肾和肾上腺等组织[2]。
1930临床肺科杂志2020年12月第25卷第12期原发性气管支气管肺淀粉样变性1例报道并文献复习陈中波严进华谷月淀粉样变性病是一种以蛋白质异常折叠,形成 P折叠片的纤维样结构异常沉积于组织及器官的细 胞外基质中的异质性疾病,该种病理生理改变会造 成组织及器官结构和功能的改变。
当淀粉样物质局 限性的沉积于肺实质、肺间质以及气管支气管黏膜 下,而不累及其他组织器官时即称为原发性气管支 气管肺淀粉样变性(p t b a)[1]2]。
该病是一种发病 率低、临床表现缺乏特异性、极易误诊的的罕见病,迄今为止国内外文献报道仅百余例。
因此,本文报 道了一例明确诊断为原发性气管支气管肺淀粉样变 的患者,对其临床病例资料及治疗过程进行分析和 探讨,以提高临床医生对此病的认识。
病例资料患者,男性,51岁,主诉因反复咳嗽、咳痰4年 余,加重伴发热、右侧胸痛10余天,于2019年6月2 日就诊于吉林大学第一医院。
现病史:患者入院前 4年,无明显诱因,反复出现咳嗽,多数情况下以干 咳为主,偶伴少量黄痰,上诉症状好发于早晨及劳累 后。
患者于10天前因着凉后出现发热,体温最高约 38. 5摄氏度,咳嗽加重,咳黄色粘痰,有异味,量少,伴右侧胸部针扎样疼痛,可放射至肩部,疼痛随咳嗽 的程度及呼吸的深度而加重。
自行在家服用“头孢 类抗生素”1周,上诉症状未见明显好转。
于今日就 诊于我院门诊,血常规检查:白细胞计数(w b c) 10. 36 x109[,中性粒细胞分数(N)79%,血红蛋白 (HV)136g/L,血小板计数(PLT)498 x109/L。
肺部 C T提示:1)气管、双侧主支气管及双肺各分支支气 管近段不均勻增厚,其内见多发钙化灶沉积,右肺下 叶内侧段支气管管腔显示不清,伴远端阻塞性肺不 张(见图1)。
2)右肺中叶、左肺舌叶及双肺下叶少 许炎变;3)右侧胸腔积液。
以“肺炎、肺不张”收入 院。
既往史:既往吸烟史30余年,30支/日,未戒。
支气管肺淀粉样变支气管肺淀粉样变(Bronchiectasis)、是一种以阻塞性通气障碍、反复咳嗽、咳痰为临床特征的慢性病变。
它是由于支气管壁的破坏和慢性感染引起的,导致支气管扩张,疏松,炎症和瘢痕形成,进而影响气道的功能。
支气管肺淀粉样变对患者的身体健康和生活质量都有很大影响,因此,对于这一疾病的认识和了解非常重要。
支气管肺淀粉样变的病因复杂。
最常见的原因是肺感染,尤其是细菌感染,如葡萄球菌、流感嗜血杆菌等。
其他病因包括支气管结石、外伤、遗传因素以及阻塞性肺疾病、肺结核等疾病的并发症。
对于支气管肺淀粉样变的患者,其通气功能明显下降,呼吸困难、胸闷、咳嗽、咳痰等症状常常困扰着他们的日常生活,甚至影响到工作和社交活动。
此外,由于反复感染的存在,患者可能会伴有发热、乏力、食欲不振等全身症状。
支气管肺淀粉样变的诊断主要依靠临床症状、影像学检查和支气管镜检查。
患者常常出现慢性咳嗽、咳痰,痰多呈黏稠、脓性。
胸部X线和CT扫描可以显示支气管扩张、壁增厚、积液等征象。
支气管镜检查可以更准确地观察气道的病变情况,检测病原体和采取相应的诊疗措施。
支气管肺淀粉样变的治疗目标是改善呼吸功能,缓解症状,防止复发。
首先要控制感染,使用抗生素治疗感染,如经验性使用广谱抗生素,待病原学检查后调整。
其次,需要积极清除呼吸道分泌物,保持呼吸道通畅,可以通过物理治疗、气道清除技术、吸气(呼气)设备等方法。
另外,支气管肺淀粉样变患者常常伴有气道炎症,可考虑使用抗炎药物,如糖皮质激素。
此外,对于部分患者可能需要手术治疗,如终末期呼吸功能障碍、大量咯血或肺不张等情况。
预防支气管肺淀粉样变的关键是预防感染和积极治疗其他肺部疾病。
加强免疫力,避免或减少接触病原体,保持呼吸道卫生是非常重要的措施。
此外,定期进行肺功能检查和影像学检查可以早期发现支气管肺淀粉样变的变化,及早进行干预治疗。
支气管肺淀粉样变对患者的生活质量和健康造成了很大的影响。
患者需要长期使用药物治疗,同时要注意保持良好的生活习惯和饮食习惯,预防感染,避免诱发因素,避免疲劳和劳累。
2020气管支气管淀粉样变的诊治研究进展(全文)气管支气管淀粉样变(Tracheobronchial amyloidosis,TBA)是一种罕见的局限性淀粉样变,以淀粉样纤维蛋白异常沉积于呼吸道黏膜下及肌层为特征,发病机制不明。
由于其缺乏特异性临床表现及体征,与其他疾病不易鉴别,常被误诊和漏诊,诊断需依靠组织病理学,临床尚无标准治疗方案,治疗存在一定困难。
近年来,随着支气管镜技术的发展和普及,TBA的检出率增加,对TBA的认识有了明显提高,也为TBA患者提供了新的治疗选择。
本文就TBA的诊断与治疗研究进展综述如下。
淀粉样变是指蛋白-多糖复合体组成的不溶性淀粉样物质沉积于细胞外基质[1],导致组织结构破坏和器官功能损害的一组临床综合征,可发生于全身多个器官,累及肾脏、心脏、血管壁、神经系统、肺脏和皮肤等。
1854年首次发现了一种经碘处理后呈淡蓝色,经硫酸处理后呈紫色的脑部物质,并首次将其命名为淀粉样变[2]。
根据其分布范围可以分为全身性和局限性,全身性累及多个系统,弥漫性侵犯全身皮下脂肪、血清及骨髓等,局限性常累及心脏、肾脏和肝脏,以心肌最为多见[3],较少侵犯呼吸道,而累及呼吸道时常侵犯气管、支气管及肺实质,主要有3类[4]:肺实质结节型淀粉样变、肺间质弥漫型淀粉样变、气管支气管淀粉样变(tracheobronchial amyloidosis,TBA),不同类型可同时存在,其中TBA最为常见。
1.TBA的发病机制:TBA是一种罕见的局限性淀粉样变,其特征是淀粉样物质在气管、支气管黏膜下及肌层的异常沉积[5]。
目前其发病机制尚不明确,主要是源于前体蛋白的过量产生或特定突变导致错误折叠的蛋白质在呼吸道的沉积,有学者推测是浆细胞或成纤维细胞发生异常免疫反应释放过量淀粉样沉积物质[6],也有可能与免疫球蛋白分泌过多、机体的免疫功能紊乱有关[7]。
目前发现可引起TBA相关的蛋白前体至少有27种[8],其中最常见的为淀粉样相关蛋白(AA)和免疫球蛋白轻链(AL),而临床上大多数局限性淀粉样变为AL型蛋白沉积所致[9]。
原发性气管支气管淀粉样变一例发表时间:2016-04-11T11:52:16.640Z 来源:《健康世界》2015年28期供稿作者:付英转罗倩许蓉[导读] 贵阳市小河区贵航贵阳医院否认粉尘、化学药品接触史及家族史,吸烟指数600支。
付英转罗倩许蓉贵阳市小河区贵航贵阳医院呼吸内科患者,男,57岁,因“反复咳嗽、喘息25+年,再发加重5天。
”于2015-09-25入我院呼吸内科。
自1987年始出现呛咳、喘息,咽喉部可有喘鸣音,病情反复,受凉及闻及刺激性气体可诱发,病情逐渐加重,活动耐力进行性下降,渐出现平地行走时喘息;伴有鼻塞、鼻腔出血及声音嘶哑,2015-09-20受凉后症状再发,喘息明显,单声咳嗽,咳白色粘痰,时有痰中带血丝,伴鼻塞、发热,体温最高达38摄氏度,无潮热、盗汗等,为诊治来我院。
否认粉尘、化学药品接触史及家族史,吸烟指数600支。
体检:体温37.2 oC,口唇发绀,肺气肿正,双肺可闻及散在哮鸣音,双下肺可闻及湿罗音。
余查体阴性。
入院诊断:AECOPD。
辅查:血气示Ⅰ型呼衰,血常规:白细胞10.93×109/L,中性粒细胞比率80.61%,血凝:纤维蛋白原降解产物5.1ug/ml,血生化、血沉、C反应蛋白、BNP正常,结核抗体阳性,肿瘤标记物:非小细胞癌相关抗原3.58ng/ml;抗环瓜氨酸肽抗体、抗中性粒细胞胞浆抗体两项阴性,抗双链DNA抗体、抗核抗体、抗可提取性核抗原多肽抗体阴性,抗角蛋白抗体阴性,外周血T淋巴细胞亚群正常。
抗链O、类风湿因子及甲状腺功能正常,人类免疫缺陷病毒抗体阴性,纤维喉镜示右侧下鼻甲肥大,右侧中鼻道见新生物,触之易出血,后鼻孔见新生物,表面欠光滑。
咽喉壁及舌根淋巴滤泡增生。
鼻窦CT示1.右侧上颌窦、额窦、筛窦炎2.左侧上颌窦粘膜增厚3.双侧下鼻甲肥厚。
肺功能示:重度阻塞性通气功能障碍,大小气道气流重度受阻,气道阻力明显增高,气道传导重度下降,弥散功能轻度降低,通气储备能中度下降。
原发性支气管肺淀粉样变性的CT诊断摘要】目的对肺部呈淀粉样变的临床诊断与鉴别诊断进行探讨。
方法对我院自2008年11月至2011年11月以来,经我科予以病理证实的8例肺部呈淀粉样变的患者临床资料进行回顾性分析。
结果其中4例为支气管型。
在CT表现中呈管壁不均质增厚,并且还能够见到斑块状的钙化灶,管腔内壁呈不光滑性的狭窄;其中4例为肺实质型,在CT下表现呈单发或者多发的团块,能够见到粟粒状的高密度灶以及结节状的高密度灶,其中2例合并有胸膜团块状的软组织样密度灶。
结论原发肺淀粉样变的CT表现中,其实质型多为单发或者多发的软组织团块状密度灶,而支气管型的CT表现则多为管壁增厚,并且能够见到颗粒或者不规则的钙化以及骨化岛,均具有一定的特征。
应用CT检查进行诊断有着非常重要的临床意义。
【关键词】CT检查支气管气管淀粉样变性AD(淀粉样变性)能够发生于患者全身的许多器官,并呈表现各异的一组临床综合症。
而淀粉样变性其发病机制目前尚不明确,大多认为系由全身性以及局部的代谢紊乱所造成[1][2],为一组蛋白质出现纤维结构的异常,最后沉积在细胞外,导致组织器官的结构以及功能发生改变后,出现相应的临床表现的一种异质性的疾病[3][4]。
本文对我院自2008年11月至2011年11月以来,经我科予以病理证实的8例肺部呈淀粉样变的患者临床资料进行回顾性分析。
并讨论主要的病理基础与诊断以及如何进行鉴别诊断。
报道如下。
1 资料与方法1.1 一般资料:我院自2008年11月至2011年11月以来,经我科予以病理证实的8例肺部呈淀粉样变的患者临床资料,其中有男性患者6例,有女性患者2例,患者年龄最大为49岁,最小为27岁,其平均年龄为41.5岁。
患者临床表现主要为咳嗽与咳痰以及气短和进行性的呼吸困难。
患者血尿常规与生化以及免疫学的检查均未见明显异常,经多次痰化验显示,患者结核菌呈阴性。
1.2 方法:应用螺旋CT扫描机,嘱患者呈仰卧位,在吸气屏气时扫描,从肺尖区直至膈下区进行全肺扫描,其层厚为7.0毫米,其层间距为7.0毫米,其病变部位选择高分辨率的薄层重建或者加高分辨率薄层扫描,其层厚为1毫米、层间距为0.7毫米。
气管及支气管淀粉样变性CT表现
CT表现主要为主气管或支气管壁有多个小结节样突起,管壁增厚,管腔狭窄,少数结节钙化,增强多数轻度强化或无强化,多易误诊为气管占位病变,有时胸部CT可无阳性发现,高度怀疑者,明确诊断主要还是通过电子支气管镜可见气管、双侧各级支气管通畅,软骨环清晰,整个气管或支气管壁可见弥漫性颗粒状突起物,粘膜充血,但不一定所有的管壁狭窄,活检病理刚果红染色阳性,可以确诊为气管——支气管淀粉样变。
(康益德范如明供稿)。
原发性弥漫性气管-支气管淀粉样变性1例报道及文献回顾Primary diffuse tracheobrochial amyloidosis:Case report and literature review郭东强杨光钊张德钧浙江大学附属第二医院放射科310016摘要:呼吸系统的淀粉样变性是一种少见疾病,根据累及的部位可分为三型:气管-支气管型、肺实质结节型和弥漫肺间质型。
其中最常见的是气管-支气管型,可再细分为弥漫性和局灶性两种亚型。
该病病理表现为淀粉样斑块弥漫性或局灶性沉积于气管-支气管树的粘膜下,使正常的气管-支气管结构萎缩。
本例是弥漫性气管-支气管淀粉样变性。
关键词气管;支气管;淀粉样变性;计算机断层成像;磁共振成像;Primary diffuse tracheobrochial amyloidosis:case report and literature review Department of Radiology,The Second Affiliated Hospital,Medical College of ZhejiangUiversity Postgraduate Student Dongqiang GuoTutor DeJun Zhang,GuangZhao Yang [Abstract]Respiratory amyloidosis is a rare disease ,It can becategorized into three groups:tracheobronchial type,nodular parenchymal type and diffuse parenchymal involment type.Tracheobrochial amyloidosis is characterized by focal or diffuse deposition of amyloid in the submucosa of the trachea and proximal bronchi and may cause atrophy of the normal tracheobronchial wall structure. Herein we are report a case with diffuse tracheobrochial amyloidosis.We report the appearances of the CT and MRI with tracheobrochial amyloidosis.[Key words]Trachea; brochial; Amyloidosis; Computed tomography ; Magnetic resonance image淀粉样变性是一种少见疾病,常累及人体多脏器,脾、肝和肾常常受侵,偶可累及肺组织。
矿产资源开发利用方案编写内容要求及审查大纲
矿产资源开发利用方案编写内容要求及《矿产资源开发利用方案》审查大纲一、概述
㈠矿区位置、隶属关系和企业性质。
如为改扩建矿山, 应说明矿山现状、
特点及存在的主要问题。
㈡编制依据
(1简述项目前期工作进展情况及与有关方面对项目的意向性协议情况。
(2 列出开发利用方案编制所依据的主要基础性资料的名称。
如经储量管理部门认定的矿区地质勘探报告、选矿试验报告、加工利用试验报告、工程地质初评资料、矿区水文资料和供水资料等。
对改、扩建矿山应有生产实际资料, 如矿山总平面现状图、矿床开拓系统图、采场现状图和主要采选设备清单等。
二、矿产品需求现状和预测
㈠该矿产在国内需求情况和市场供应情况
1、矿产品现状及加工利用趋向。
2、国内近、远期的需求量及主要销向预测。
㈡产品价格分析
1、国内矿产品价格现状。
2、矿产品价格稳定性及变化趋势。
三、矿产资源概况
㈠矿区总体概况
1、矿区总体规划情况。
2、矿区矿产资源概况。
3、该设计与矿区总体开发的关系。
㈡该设计项目的资源概况
1、矿床地质及构造特征。
2、矿床开采技术条件及水文地质条件。