肝脏血管瘤影像学表现
- 格式:ppt
- 大小:17.45 MB
- 文档页数:102
肝脏常见疾病的影像学表现1、胆囊结石1-1 影像学表现:超声波检查可见胆囊内结石呈强回声,伴有声影,结石大小不一。
腹部CT扫描可见高密度结石影像。
MRI检查可见低信号结石。
1-2 附件:无2、脂肪肝2-1 影像学表现:超声波检查可见肝脏回声增强,肝间隙变宽,肝实质回声减低,肝表面光整。
腹部CT扫描可见肝脏密度增高。
MRI检查可见T1加权图像信号减低,T2加权图像信号增高。
2-2 附件:无3、肝癌3-1 影像学表现:超声波检查可见肝脏内单个或多个肿块,形态不规则,边界模糊,内部回声不均。
腹部CT扫描可见肝脏内低密度或高密度肿块,边界不清。
MRI检查可见肝脏内信号异常区域,增强扫描呈不均匀强化。
3-2 附件:无4、肝囊肿4-1 影像学表现:超声波检查可见肝脏内圆形或椭圆形无回声区,边界光整。
腹部CT扫描可见低密度无增强区域。
MRI检查可见T1加权图像信号减低,T2加权图像信号增高。
4-2 附件:无5、肝硬化5-1 影像学表现:超声波检查可见肝脏边缘不规则,表面凹凸不平。
腹部CT扫描可见肝脏弥漫性密度减低,延迟相强化。
MRI检查可见T1加权图像信号减低,T2加权图像信号增高。
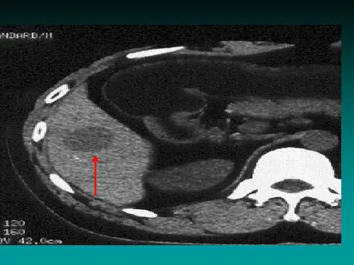
5-2 附件:无6、肝血管瘤6-1 影像学表现:超声波检查可见肝脏内圆形或椭圆形低回声结节,边界清晰。
腹部CT扫描可见肝脏内低密度结节,增强扫描呈延迟强化。
MRI检查可见T1加权图像信号减低,T2加权图像信号增高。
6-2 附件:无法律名词及注释:1、肝脏:指人体内最大的腺体和消化器官,负责合成、分泌和代谢多种物质。
2、超声波检查:一种利用超声波的传播和回声来观察人体内部器官和组织的诊断方法。
3、腹部CT扫描:一种利用X射线和计算机技术来获取人体腹部内部结构的图像的诊断方法。
4、MRI检查:通过利用核磁共振原理和磁场的作用,来获得人体内部组织和器官的详细图像。
附件:无本文所涉及的法律名词及注释:1、肝脏:指人体内最大的腺体和消化器官,负责合成、分泌和代谢多种物质。
肝脏实性病变的分类及影像学表现
肝脏的实性病变可以分为良性和恶性两大类。
根据影像学
的表现特点,可以进一步细分为以下几类:
1. 囊肿:肝囊肿是肝脏中最常见的良性实性病变。
在影像
学上通常呈现为圆形或椭圆形的低密度区域,边界清晰,
无壁结节或间隔。
囊肿的内部多为液体或稀薄液体。
2. 血管性病变:包括肝脏血管瘤、肝脏海绵状血管瘤等。
肝脏血管瘤常呈多发性结节状病变,具有良好的强化性质,动脉期呈强化,门脉期和延迟期呈低密度。
肝脏海绵状血
管瘤则呈点状或条状高密度灶,常伴有钙化。
3. 炎症性病变:包括肝脏脓肿和肝脓肿。
肝脓肿通常呈圆
形或椭圆形低密度区域,边界清晰,周围可伴有水样密度
区域,与肝周的间隙相通。
4. 脂肪肝:肝脏脂肪肝是指肝脏中脂肪含量增多,形成脂
肪团块。
在影像学上,肝脏脂肪肝呈现为肝脏密度的改变,肝脏密度减低,呈现高密度的脂肪沉积。
5. 肝脏肿瘤:包括肝细胞瘤、肝转移瘤和肝内胆管细胞瘤
等恶性实性病变。
肝细胞瘤通常是单发病变,呈均质的低
或等密度,周围可有强化环。
肝转移瘤则是指其他器官恶
性肿瘤转移到肝脏,呈多发性结节状病变,常伴有门脉和
肝动脉的强化。
此外,还有一些罕见的肝脏实性病变,如肝内胆管纤维化症、肝内胆管扩张和孤立性肝输尿管等,它们的影像学表
现也各有特点。
以上只是一些常见的肝脏实性病变分类及
其典型的影像学表现,具体还要结合患者的临床症状、病
史等进行综合判断。
肝脏脂肪瘤与血管瘤共存1例影像学表现患者,男,70岁。
曾于1989年体检发现肝内多个强回声型血管瘤。
间段随访观察10余年。
于2004年3月行内镜检出胃癌而入院。
彩超检查:肝大小正常,肝实质内散在大小不等强回声结节,弥漫,最大于右后叶膈面,大小为7.5cm×5.9cm×4.6cm,内部以强回声为主且不均匀。
CDFI:于肿物内探及低速动脉性血流及带状频谱。
超声诊断:肝内多发实性肿物,良性可能,血管瘤可能性大。
MR:肝右叶后段、肝左内叶两类圆形短T1长T2信号,大小5.4cm×4.9cm,3.0cm×2.8cm,内部信号不均匀。
脂肪抑制后T1为低信号。
肝内散在圆形大小不一多处长T1长T2信号,直径0.2~3.0cm。
静脉注射Gd-DTPa15ml后扫描,肝右后段类圆形长T1信号,其内信号不欠均,见网格状强化影,周边见受压移位血管影,大小6.0cm×4.1cm。
另见右后叶两处类圆形随时间延迟,由周边渐向中心部强化,边界清,直径1.9cm×3.3cm。
另见肝内多处类圆形长T1信号,无强化,大小不等,直径0.3~2.1cm。
诊断:肝内多发占位病,血管瘤,右后叶占位转移?手术所见:胃窦部黏膜内癌;肝表面较多弥漫的黄色结节,右后叶灰黄色肿物,质软,切除。
术后病理,多发脂肪瘤。
讨论肝脏脂肪瘤为少见的良性间叶性肿瘤[1],术前明确诊断困难。
需与以下鉴别:①肝局灶脂肪肝:呈楔形或不规则形,无占位效应,有正常血管穿行于病灶内,而脂肪瘤呈瘤样,强回声,境界清。
两者鉴别容易。
②肝血管平滑肌脂肪瘤:富含脂肪,且成分复杂,分布不规律,强回声型为主或不均匀强回声团块,依照其不同含量脂肪、异常血管、平滑肌成分,影像表現多样化,以脂肪成分为主的与肝脂肪瘤难分辨,多呈强回声,可均匀或不均匀,彩色多普勒血流显示常可检出较多血流束[1];另有学者[3]提出由于脂肪的声衰低于平均水平,且声波在脂肪中的传播速度低于肝组织的平均速度,在血管平滑肌脂肪瘤其远侧的肝包膜与膈面向外轻度膨隆或中断移位。
肝门部病变影像学表现
肝门部病变影像学表现
⒈概述
在肝门部病变的影像学表现中,我们主要观察肝门部的结构、
形态和密度等方面的变化。
下面将详细介绍常见的肝门部病变并描
述其影像学表现。
⒉肝脓肿
肝脓肿是肝门部病变中常见的一种表现。
其影像学特点包括:
肝内低密度区域,边缘模糊,有时可见脓肿壁。
肝脓肿多为单发,
但也可多发或合并其他病变。
⒊肝血管瘤
肝门部的肝血管瘤是一种常见的良性肿瘤。
其影像学特点包括:肝门部肿块呈均匀强化,瘤体内可见充盈不良的血管,边缘光滑清晰。
血管瘤一般为多发、较小的病变。
⒋肝囊肿
肝门部的肝囊肿常见且多为良性。
其影像学特点包括:肝门部
囊性病变,低密度,边缘光滑,壁薄且均匀。
肝囊肿一般为单发或
多发,大小不一。
⒌肝内胆管结石
肝门部的肝内胆管结石是一种常见的疾病。
其影像学特点包括:肝内胆管内可见高密度的结石影,胆管扩张,周围肝实质密度升高。
结石可单发或多发,大小不一。
⒍肝内胆管癌
肝门部的肝内胆管癌是一种恶性肿瘤。
其影像学特点包括:肝
内胆管扩张,可见肿块影,密度不均,边缘不规则。
癌变常伴有肝
门部淋巴结转移。
⒎附件
本文档附带的附件包括:肝门部病变的影像学示意图和典型病
例影像。
⒏法律名词及注释
●影像学特点:指特定疾病在影像学上的表现特点。
●肝内胆管:指位于肝脏内部的胆管系统。
●扩张:指血管或管道的径向增大。
●转移:指病变从原发部位扩散到其他部位。
肝脏低回声血管瘤的超声诊断标准
肝脏低回声血管瘤的超声诊断标准如下:
1. 形态特征:低回声血管瘤通常为单个,呈圆形或椭圆形,边界清晰,形态规则,直径一般在1-6cm之间。
2. 内部回声:低回声血管瘤内部回声不均匀,呈团块状分布,常见的回声特点为混合回声,其中含有高回声斑点,可伴有点状和暗低回声区。
3. 血流信号:低回声血管瘤在彩色多普勒超声图像中可见明显的内部血流信号,呈不规则形、分布不均。
4. 壁内纤维间隔:低回声血管瘤壁内可见纤维间隔,呈横行或交错形态,间隔与肿块相连,类似黄褐色区。
需要注意的是,以上诊断标准仅供参考,诊断应综合考虑病史、临床表现和其他影像学检查结果。
对于可疑情况,建议进一步进行其他检查确认。
肝血管瘤灰阶超声分型
肝血管瘤是肝脏常见的良性肿瘤之一,其中较大的病灶可能存在
恶性变异的风险。
因此,对于疑似肝血管瘤的患者,需要进行有效的
影像学检查。
灰阶超声作为一种非创伤性检查手段,已经被广泛应用
于临床。
灰阶超声技术可以帮助医生识别不同类型的肝血管瘤,其中根据
其表现形态和内部结构可分为4种类型。
第一类为回声均匀的肝血管瘤,通常表现为低强度回声,边缘鲜明,病灶内部均匀无回声。
第二
类为回声不均的肝血管瘤,表现为内部存在强回声区域,周边区域弱
回声。
第三类为回声低的肝血管瘤,主要表现为病灶内部存在不规则
的低回声区域和高回声区域。
第四类为回声混杂的肝血管瘤,表现为
病灶内部存在混杂的回声,部分区域呈高回声,部分区域呈低回声。
对于不同类型的肝血管瘤,其治疗和随访策略也有所不同。
一般
来说,低危型的肝血管瘤可以通过规律随访进行观察,手术治疗通常
只适用于高危型病灶。
在进行手术治疗之前,需要对肝功能、手术风
险等因素进行综合评估,并针对具体病例制定手术方案。
总之,灰阶超声是一种重要的肝血管瘤检查方法,其分型有助于
临床医生对于疑似肝血管瘤的患者做出正确的诊断和治疗方案。
同时,也提醒广大患者,对于疑似肝血管瘤的情况,应及时就医寻求专业的
医疗建议,以减少病情恶化的风险。
肝脏肿瘤组织形态、影像学检查事项及良恶性肿瘤超声鉴别要点和彩色多普勒表现肝脏肿瘤是常见肿瘤之一,有良、恶之分。
良性肿瘤与周围正常组织相似,肿瘤细胞的形态和细胞间的结构与周围的正常细胞也差不多,用显微镜看很整齐,很有序;而恶性肿瘤就不一样了,肿瘤细胞与周围正常细胞相比有很大差别,用显微镜看,细胞大大小小,结构也杂乱无章。
首先用二维声像图对肝脏大小、形态进行多切面扫查,确定肿瘤部位、大小、形态、数目与血管关系,回声,有无声晕。
再用超声多普勒观察肿瘤内部以及周边是否有血流信号,测量血流的峰值流速和阻力指数。
肝脏超声诊断中二维超声是基础,彩色多普勒血流成像检查是在二维超声基础上,对肝脏实质和病灶的血流进行检测及分析,提高超声诊断和鉴别诊断水平,对于肝脏良恶性占位病变,二者结合对诊断和鉴别诊断提供很大帮助。
鉴别要点良性肿瘤①高回声型:最常见,呈圆形或椭圆形,边界清晰,内部可见散在点状低回声或少许纤维条光带。
②低回声型:肿瘤回声明显低于肝实质,呈圆形或椭圆形,边界清晰,周围有高回声包膜,内部有不规则小等回声,后方回声增强。
③混合型:多见于大血管型,为典型的蜂窝状网络结构,边界清晰,周围有高回声包膜。
彩色多普勒表现:尽管肝血管瘤内血流丰富,但由于瘤体内血流速度较低,彩色多普勒不易测到血流信号,故血流信号检出率极低。
恶性肿瘤转移性肝癌常常有原发病灶,表现为:大小、形态不一,结节回声更多样化,边界多清晰,常有声晕,可呈“靶环征”和“牛眼征”,牛眼征即瘤体内部呈高回声,周围可见较宽的无回声环,其内缘与外缘分界清晰。
转移性肝癌以等回声多见,尤以肺癌和胃癌多见;低回声以胆道癌、胰腺癌、乳腺癌、鼻咽癌多见;高回声以直肠癌、结肠癌等消化道癌多见。
彩色多普勒表现:常显示瘤体有少量血流信号,脉冲多普勒常可探及动脉频谱,动脉频谱呈高速高阻。
肝脏上皮样血管瘤CT和MRI特征目的探讨肝脏上皮样血管瘤CT、MRI表现。
方法回顾性分析经手术病理证实的6例肝脏上皮样血管瘤CT、MRI表现,并将影像学表现与病理学特征对照。
结果6例患者中,2例单发,4例多发;病灶为椭圆形或类圆形软组织肿块;CT平扫病灶实质密度稍低且常位于肝包膜下,最大径2.0~9.9 cm;密度常不均匀,可见不规则坏死区;多期增强扫描:5例病灶实质部分明显强化,静脉期及实质期有边缘部分向中央充填强化的趋势,1例病灶动脉期强化不明显,静脉期及实质期表现为均匀轻中度强化。
2例病灶MRI表现为稍长T1稍长T2信号影,1例见不完整的低信号环,1例病灶见肝包膜回缩。
病理学检查肿瘤大多由梭形细胞构成,CD31、CD34及Vimentin表达均阳性。
结论肝脏上皮样血管瘤是一种罕见的血管源性肿瘤,影像学表现多为肝脏多发占位性病变,病灶多位于肝包膜下,可见包膜回缩征,密度不均,边缘清晰,增强扫描呈轻到中度强化,但最终确诊须依靠病理学。
标签:肝脏上皮样血管瘤;体层摄影术;磁共振成像;病理学;诊断肝脏上皮样血管瘤(hepatic epithelioid haemangioendothelioma,HEHE)是血管源性恶性肿瘤,临床上极为罕见[1]。
目前,国内外学者对HEHE的报道多以个案报道为主[2-4],临床及影像报道不多,极易误诊。
因此,笔者回顾性分析并总结了6例经手术病理证实的肝脏上皮样血管瘤CT和MRI表现,并将影像表现与病理对照,以提高影像诊断医生对该疾病的认识。
1 资料与方法1.1 一般资料搜集2001年1月~2010年12月在广西医科大学附属第一医院经手术病理证实的HEHE患者资料6例,男2例,女4例,年龄4~53岁;3例有上腹部腹痛不适,1例肝脾肿大,2例原因不明。
所有病例均符合Ishak[5]的诊断标准,均为HEHE。
1.2 检查设备及方法全部患者均行CT平扫+增强扫描,2例患者行MRI平扫+增强扫描。
肝海绵状血管瘤(典型与不典型)肝脏最常见的良性肿瘤,约占良性肿瘤的84%好发于女性,男女比例约1:4-6;30-60岁多见生长缓慢,病程长达数年以上;90%为单发,10%多发直径从2mm-20cm不等,超过5cm称巨大海绵状血管瘤临床上可无任何症状,多为偶然在体检中发现,巨大肿瘤可出现上腹部胀痛不适,肿瘤破裂可引起出血肝动脉供血;门静脉和肝静脉周围支引流肝脏海绵状血管瘤-概述组织病理学分型◆海绵状血管瘤(最常见):由扩张的异常血窦组成,内衬单层的血管内皮细胞,血窦间由纤维组织不完全分隔形成海绵状结构,血管间隔大,纤维结缔组织成分少,典型小于3cm◆毛细血管瘤(16%): 血管间隔小,纤维结缔组织多,常小于1cm◆硬化性血管瘤(少见):病变中心血管腔闭塞,大量纤维组织增生,系肝血管瘤退变的结果,也被称为血栓形成或玻璃化血管瘤,平均3.7cm海绵状血管瘤肝海绵状血管瘤-典型影像表现肝海绵状血管瘤-典型影像表现CT:边界清楚,等/低密度,类似血管MRI:长T1长T2,类似脑脊液,且随着回波时间的延长T2信号也随之增高,形成所谓“灯泡征”增强扫描:动脉期周边结节状强化,后期缓慢渐进性向心性填充,延迟期等/稍高信号(与肝实质相比);“早出晚归”女,62岁,体检发现肝肿物2年肝血管瘤-不典型影像表现肝血管瘤-不典型影像表现不典型血管瘤占20%-40%原因:✓Altered morphology or structure:血管瘤伴中央瘢痕;血管瘤伴内部分隔;巨大血管瘤;带蒂血管瘤;血管瘤伴胆管扩张;血管瘤伴钙化;囊性或多房性血管瘤;血管瘤伴液液平面✓Unusual flow pattern:快速填充血管瘤;硬化性血管瘤✓Associated liver abnormalities:血管瘤伴包膜皱缩;脂肪肝背景血管瘤;肝硬化背景血管瘤;血管瘤合并动脉-门脉瘘;血管瘤合并FNH形态或结构改变-血管瘤伴中央瘢痕巨大海绵状血管瘤通常不均匀,可能伴有中央瘢痕,增强无强化 在病理上,疤痕是由粘液瘤样变性、血栓形成、纤维化或坏死组成形态或结构改变-血管瘤伴内部分隔内部分隔在T1、T2均为低信号,与存在纤维化成分有关形态或结构改变-巨大海绵状血管瘤巨大海绵状血管瘤:直径>5m,密度/信号不均匀可出现肝脏肿大,腹部不适CT:病灶呈不均匀低密度,中心密度更低MRI:长T1长T2,内不信号不均,可见裂隙状低信号增强:典型的早期周边结节状强化,静脉期、延迟期出现渐进性向心性填充,但不会完全填充形态或结构改变-带蒂血管瘤罕见,可以无症状,合并亚急性扭转、梗死可出现相应症状强化方式同典型海绵状血管瘤病灶通过一个细蒂附着在肝脏上,有时定位困难,需要与胃及肾上腺去肿瘤鉴别,多平面重组可以帮助确定病灶来源,强化方式有助于鉴别诊断形态或结构改变-血管瘤伴胆管扩张位于肝脏中央的巨大血管瘤可导致胆管扩张虽然肝内胆管细胞癌较常发生胆管扩张,但是所有肝内外占位性病变均可引起胆管扩张,因此血管瘤不能排除血管瘤的诊断形态或结构改变-囊性、多发性血管瘤囊性和多房性血管瘤含有一个大的中心腔是非常罕见的在MRI上,这种不典型的特征是一个或多个肿瘤内囊腔,呈长T1、长T2信号与血栓形成和陈旧性出血有关;周边典型强化方式仍然存在形态或结构改变-血管瘤伴钙化血管瘤的钙化可以在中心或周边,多发为静脉石引起,但也可能是纤维化和营养不良性变化的最终结果女,28岁,体检发现肝血管瘤形态或结构改变-血管瘤伴液液平面很少见血管瘤内可见叶液平面,代表停滞或缓慢流动的血液随着红细胞在相关部位的沉淀,上层由血清组成,下层含有未凝结的沉积红细胞✓上层CT低密度,T1等信号(与肌肉相比),T2明显高信号✓下层CT高密度,T1高信号(与肌肉相比),T2轻度高信号肝脏内液平面是非特异性征象,良恶性肿瘤均可见部分学者认为CT/MRI可见液平面,超声未见,提示血管瘤不典型强化方式-快速填充的血管瘤快速填充血管瘤并不常见,占16%对应的病理为毛细血管瘤,小的血管间隔、大量的结缔组织快速填充型血管瘤较常见于2cm以下的血管瘤,表现为动脉期明显均匀强化这些血流动力学的不同可能与构成血管瘤的血管通道的大小有关不典型强化方式-硬化性血管瘤罕见,被认为是血管瘤退化的终末阶段血管间隙被大量胶原纤维组织所代替,使其失去典型的影像特征 需要病理确诊CT平扫病灶相对于肝脏呈高密度或等密度(易漏诊)增强周边结节状强化,后期渐进性填充,部分病灶在动脉期可能为相对低密度 有时CT可以在血管瘤周围看到致密的晕,对应无脂肪浸润的肝组织可能是由于压迫而导致病灶周围动脉优先流入和/或由于门脉血流减少而引起的MRI检查具有优势,尤其是同反相位肝硬化背景下血管瘤少见,CT占0.6%,明显低于无肝硬化背景的血管瘤尽管肝实质变硬,血管瘤通常保留典型的影像特征在少数肝硬化晚期,由于肝脏纤维化,血管瘤会失去典型强化方式,病灶体积缩小,T2信号减低女,53岁,右上腹痛2天血管瘤合并肝动脉-门静脉瘘肝动脉-门静脉瘘通常与肝脏恶性肿瘤相关,尤其是HCC原因尚不明确,可能因血管瘤有粗大的动脉供应,呈高压力状态,因此需要建立宽大而快速的引流通道,血管瘤与门静脉形成瘘或瘤周间隙扩大而使门脉早显,即动静脉瘘可能是肿瘤适应高流入、快流出的血流动力学状态的结果表现为动脉期病变的早期强化伴门静脉早显女,61岁,体检发现肝多发占位半年余血管瘤合并FNH较常见,约20%肝脏血管瘤合并FNH目前认为二者伴生并不是偶然,有一定的联系可能的病理生理机制:FNH为 肝脏局部动脉血流增加引起增生反应,类似血管瘤,均为血管源性病变女,72岁,右上腹痛10天男,50岁,体检发现“右肝占位”5年80%30%50%35%鉴别诊断◆肝内胆管细胞癌◆肝细胞癌◆FNH◆肝细胞腺瘤65%鉴别诊断-胆管细胞癌多发生于50-70岁男性,边界不清,CA199升高增强动脉期边缘轻-中度不均匀强化,门脉期持续渐进性强化内部或周围可见胆管扩张,常伴有胆管结石;远端肝叶萎缩,肝包膜皱缩凹陷 肝门及腹腔内、腹膜后淋巴结转移鉴别诊断-肝细胞癌多有乙肝、肝硬化病史,可有AFP升高边界清楚,可见假包膜(TIWI、T2WI均呈低信号,延迟强化) 增强呈“快进快出”;常有血管侵犯(癌栓形成)鉴别诊断-FNH年轻女性多见CT:等或稍低密度;MRI:T1等/稍低信号,T2等/稍高信号,中央纤维瘢痕呈长T1长T2信号增强扫描:动脉期呈显著均匀强化,中央瘢痕无强化;门脉期及延迟期呈等、稍高密度(信号),中央瘢痕延迟强化肝胆期呈等、稍高信号鉴别诊断-肝细胞腺瘤年轻女性多与口服避孕药有关,男性与糖尿病、使用类固醇激素有关 边界清楚,有完整包膜密度/信号多不均匀,出血、坏死、脂肪变性常见肝海绵状血管瘤-小结肝脏最常见良性肿瘤,通常无症状,30-60岁女性多见典型影像表现:T2明显高信号(灯泡征);增强动脉期周边结节状强化,门脉期、延迟期渐进性、向心性填充不典型影像表现:✓形态或结构改变:血管瘤伴中央瘢痕;血管瘤伴内部分隔;巨大血管瘤;带蒂血管瘤;血管瘤伴胆管扩张;血管瘤伴钙化;囊性或多房性血管瘤;血管瘤伴液液平面✓Unusual flow pattern:快速填充血管瘤;硬化性血管瘤✓伴有肝实质异常:血管瘤伴包膜皱缩;脂肪肝浸润性血管瘤;肝硬化背景血管瘤;血管瘤合并动脉-门脉瘘;血管瘤合并FNH谢谢!。
肝血管瘤报告
报告人:xxx
报告日期: 20xx年xx月xx日
一、病史回顾
患者xxx,男性,xx岁。
近期因体检发现肝脏内有一小叶结节,病理活检显示为肝血管瘤。
患者无肝胆疾病史。
二、影像学检查
1. B超检查
肝脏内发现一直径约x cm的无回声区,结节边缘清晰,形态
规则。
2. CT检查
①增强扫描:发现肝内圆形结节,直径x cm,平扫密度均匀,
增强早期强化明显,20s达高峰值,持续时间较长,逐渐弱化但仍
高于正常肝脏组织,残留期轻度弱化,结节周边未见明显强化。
3. MRI检查
①增强扫描:发现肝内圆形结节,大小约x cm,T1加权像低
信号,T2加权像稍高信号,增强早期几乎未强化,20s后开始逐
渐强化,到达高峰值,持续时间较长,逐渐弱化但保持较高信号,残留期轻微弱化。
三、影像学诊断
肝血管瘤
四、治疗计划
考虑手术切除或肝动脉栓塞治疗,根据患者具体情况进行进一
步评估。
五、结语
本例患者肝血管瘤表现为圆形结节,增强后呈强化明显、持续时间较长的特点,结合B超和MRI检查,有助于明确诊断。
个体化的治疗方案应根据患者具体情况综合考虑,以最大限度保护患者肝功能,提高治疗效果。
简述肝血管瘤与肝细胞肝癌的影像学鉴别要点1.引言1.1 概述肝血管瘤和肝细胞肝癌是两种常见的肝脏疾病,其影像学鉴别是诊断和治疗的关键。
在肝血管瘤中,血管瘤是最常见类型,占所有肝血管瘤的大部分,而肝细胞肝癌是最常见的原发性肝癌。
虽然它们在影像学上有一些相似之处,但也存在一些显著的差异。
肝血管瘤往往是良性病变,主要由扩张的血管组成。
它们通常呈圆形或椭圆形,具有清晰的边界,可以单个或多个。
在血供方面,肝血管瘤常常呈一种动脉和门静脉双供血的模式,而门静脉成分可能更具有支配性。
在增强扫描中,肝血管瘤往往显示早期均匀强化,且延迟期仍保持明显强化。
此外,肝血管瘤还可以表现为多发性或巨大血管瘤,这些特点在影像学上有助于与肝细胞肝癌相鉴别。
与此相反,肝细胞肝癌是一种恶性病变,即癌细胞来源于肝细胞。
在影像学上,肝细胞肝癌常常呈现为不规则的结节性病灶,边界模糊,形状多样。
血供方面,肝细胞肝癌主要通过肝动脉供应血液。
在增强扫描中,肝细胞肝癌通常呈动脉早期强化,但延迟期常表现为强化减退。
此外,肝细胞肝癌在影像学上可表现为肿块内坏死、出血、包膜侵犯等特点。
为了准确鉴别肝血管瘤和肝细胞肝癌,我们需要综合分析影像学表现。
除了形态学特征外,我们还需注意其病灶血供情况、强化模式和延迟期的变化。
此外,结合患者的临床病史、肝功能等方面的信息,可以提高鉴别的准确性。
总之,了解肝血管瘤和肝细胞肝癌的影像学特点对于正确诊断和治疗非常重要。
进一步研究这两种疾病的影像学鉴别要点有助于临床医生更好地评估和管理肝脏疾病患者。
1.2文章结构文章结构的设计是为了确保文章有条理、易读和易理解。
本文主要介绍了肝血管瘤与肝细胞肝癌在影像学上的鉴别要点。
为了更好地呈现这些内容,本文分为引言、正文和结论三个部分。
引言部分首先对文章的主题进行了概述,简要介绍了肝血管瘤和肝细胞肝癌的概念和重要性。
同时,文章还介绍了整篇文章的结构,并说明了各个部分的内容和目的。
正文部分是整篇文章的核心部分,主要分为两个小节:肝血管瘤的影像学特点和肝细胞肝癌的影像学特点。