正常X线解剖图谱
- 格式:pdf
- 大小:1.60 MB
- 文档页数:40
X线解剖(绝版收藏)胸部X线片系统读片原理24个字母(A-X)系统读片法,可以减少漏诊。
胸部X线片系统读片原理A(Airway)气道在胸上部,看它是否居中,脊柱是否直线经过,气管有无移位,有无纤维组织牵拉使肺容积缩牵、过度充气及压迫。
有无支气管气管巨大症,肺叶开口压迫、狭窄、隆突受压等支气管肺癌征象。
B(Bone)肋骨距是否某侧缩窄,肋骨有无缺损,如第一肋骨上缘缺损,有硬皮病、类风湿性关节炎的可能。
第7~9肋骨下缘缺损示主动脉狭窄,见于儿童先天心脏病;法乐氏四联症可见左肋下缘缺损。
咳嗽所致骨折,可见于6~9肋,第7肋腋后线可见叉形肋。
鸽胸与先天性房室间隔缺损相关,也见于儿童哮喘症或脊柱侧凸严重时伴通气功能降低者。
骨脱钙可见于类固醇治疗患者、老年、肾病、或其他代谢病者。
C(Cor)心脏右缘有两弓,左缘有四弓。
右两弓消失见于漏斗胸、右中叶萎缩、肺炎。
形状变化或心脏扩大,见于先天性心脏病、心力衰竭。
D(Diaphragm)膈肌右高于左半个肋间隙,一侧高,考虑胸部肿瘤、纤维组织牵拉、膈下脓肿。
半侧膈肌升高考虑外伤、中风、颈部感染或肿瘤、肺炎或放射治疗后。
右侧可见膈肌伴弯刀征。
医学.教育网原。
创E(Esophagus)食管位于气管右,若有空气液面,考虑食管不能松驰或狭窄。
F(Fissures)肺裂将各肺分为各叶,左右各有一斜裂,右侧有横裂,斜裂下端止于膈肌,决不止于前胸壁,有异常时示有病变。
G(Gastric bubble)胃泡在左侧,若在右,考虑内脏转位,胃泡不见,考虑食管不能松驰。
胃泡在心右可能为膈疝。
H(Hila)肺门移位示肺部分萎缩、过度充气等,肺门区扩大可能是肺癌转移、肺内感染、免疫疾病或结节病。
I(Interstitium)间质性浸润分两型,间质型看上部心前区,下部可因妇妇女乳房影加重。
肺泡型浸润,因肺泡灌注水、脓、血或蛋白质样物质,见于Goodpasture氏征、肺含铁血黄素沉着症、鳞状上皮脱落间质性肺炎等。
【建议收藏】X线解读(101图)有什么特殊需求,请于公众号留言,无偿帮助!有图有解析!照片名称:高血压心脏病照片名称:风心病,梨型心照片名称:胸腔积液照片名称:胸椎压缩性骨折照片名称:左侧胸腔积液照片名称:左肱骨骨折照片名称:消化道穿孔照片名称:正常胸片照片名称:右胫腓骨骨折照片名称:右肺炎照片名称:右侧胸腔积液照片名称:大叶性肺炎照片名称:右侧气胸照片名称:右中叶肺炎照片名称:右上肺炎照片名称:食管裂孔疝x线表现照片名称:输尿管结石照片名称:附睾及睾丸结核钙化照片名称:静脉尿路造影照片名称:食管裂孔疝x线表现照片名称:输尿管结石照片名称:输尿管结石照片名称:薄壁空洞照片名称:膀胱癌照片名称:胸锁乳突肌和锁骨上皮肤皱褶照片名称:膀胱癌照片名称:膀胱癌照片名称:膀胱癌照片名称:胸膜肥厚粘接钙化照片名称:胸腔少量积液照片名称:胆囊结石照片名称:肿块照片名称:肾结石照片名称:肾结核照片名称:肾盂积水照片名称:肺部病变-增值照片名称:肺部病变空洞照片名称:肺门增大照片名称:肾性骨营养不良照片名称:肺转移瘤照片名称:肺炎—右肺支气管扩张照片名称:空腔照片名称:胸内甲状腺肿照片名称:肺内钙化照片名称:液气胸的x线表现照片名称:液气胸照片名称:浸润性肺结核照片名称:法氏四联症照片名称:正常肺动脉造影照片名称:正常肺纹理照片名称:气胸照片名称:正常乳房影照片名称:正常胸片照片名称:支气管肺炎照片名称:正常纵隔照片名称:慢性肺源性心脏病照片名称:慢性肺脓肿照片名称:慢性纤维空洞型肺结核照片名称:恶性淋巴瘤照片名称:平滑肌肉瘤照片名称:肺气肿局部放大照片名称:心包积液照片名称:急性粟粒型肺结核照片名称:干酪性肺炎照片名称:左胸腔包裹积液照片名称:左前斜位照片名称:左上叶下舌段肺癌——空洞照片名称:子宫输卵管造影照片名称:子宫输卵管造影照片名称:室间隔缺损照片名称:局限性纤维化照片名称:子宫输卵管造影照片名称:子宫输卵管造影照片名称:子宫输卵管造影照片名称:大量胸腔积液照片名称:叶间积液照片名称:大叶性肺炎照片名称:大叶肺炎-消散期照片名称:大叶肺炎-实变期照片名称:右肺下叶中心型肺癌伴纵膈淋巴结转移照片名称:右股骨正侧位x线片照片名称:右前斜位照片名称:右中叶肺不张(侧位)照片名称:卧位胸腔积液照片名称:右上叶不张照片名称:先天性心脏病照片名称:乙状结肠扭转照片名称:正常心脏照片名称:中心型肺癌肺内转移照片名称:右上肺炎照片名称:右侧气胸照片名称:右侧胸腔积液照片名称:右肺炎照片名称:右胫腓骨骨折照片名称:大叶性肺炎照片名称:左侧胸腔积液照片名称:左肱骨骨折照片名称:消化道穿孔照片名称:胸椎压缩性骨折照片名称:风心病,梨型心规培之声公众号住院医师规范化培训大纲免费领取!。
[转] X线解剖(绝版收藏) [图片]胸部X线片系统读片原理24个字母(A-X)系统读片法,可以减少漏诊。
胸部X线片系统读片原理A(Airway)气道在胸上部,看它是否居中,脊柱是否直线经过,气管有无移位,有无纤维组织牵拉使肺容积缩牵、过度充气及压迫。
有无支气管气管巨大症,肺叶开口压迫、狭窄、隆突受压等支气管肺癌征象。
B(Bone)肋骨距是否某侧缩窄,肋骨有无缺损,如第一肋骨上缘缺损,有硬皮病、类风湿性关节炎的可能。
第7~9肋骨下缘缺损示主动脉狭窄,见于儿童先天心脏病;法乐氏四联症可见左肋下缘缺损。
咳嗽所致骨折,可见于6~9肋,第7肋腋后线可见叉形肋。
鸽胸与先天性房室间隔缺损相关,也见于儿童哮喘症或脊柱侧凸严重时伴通气功能降低者。
骨脱钙可见于类固醇治疗患者、老年、肾病、或其他代谢病者。
C(Cor)心脏右缘有两弓,左缘有四弓。
右两弓消失见于漏斗胸、右中叶萎缩、肺炎。
形状变化或心脏扩大,见于先天性心脏病、心力衰竭。
D(Diaphragm)膈肌右高于左半个肋间隙,一侧高,考虑胸部肿瘤、纤维组织牵拉、膈下脓肿。
半侧膈肌升高考虑外伤、中风、颈部感染或肿瘤、肺炎或放射治疗后。
右侧可见膈肌伴弯刀征。
医学.教育网原。
创E(Esophagus)食管位于气管右,若有空气液面,考虑食管不能松驰或狭窄。
F(Fissures)肺裂将各肺分为各叶,左右各有一斜裂,右侧有横裂,斜裂下端止于膈肌,决不止于前胸壁,有异常时示有病变。
G(Gastric bubble)胃泡在左侧,若在右,考虑内脏转位,胃泡不见,考虑食管不能松驰。
胃泡在心右可能为膈疝。
H(Hila)肺门移位示肺部分萎缩、过度充气等,肺门区扩大可能是肺癌转移、肺内感染、免疫疾病或结节病。
I(Interstitium)间质性浸润分两型,间质型看上部心前区,下部可因妇妇女乳房影加重。
肺泡型浸润,因肺泡灌注水、脓、血或蛋白质样物质,见于Goodpasture氏征、肺含铁血黄素沉着症、鳞状上皮脱落间质性肺炎等。
X线正常解剖(基础+精华)正常头颅X线解剖——头颅平片后前位正常头颅X线解剖——头颅平片侧位正常胸部X线解剖——胸部平片后前位正常胸部X线解剖——胸部平片侧位正位胸片10大观察死角及影像观片原则1、颈部:颈部软组织肿块(如甲状腺肿块);2、肺尖、第1肋骨:如肺上沟癌,第1肋骨骨折、破坏等,要注意两侧对比;3、锁骨胸骨端、胸锁关节、胸骨:锁骨胸骨端骨质破坏,胸锁关节半脱位,胸骨骨折等;4、锁骨尖峰端、锁骨外1/3:此处骨折或骨质破坏易漏诊;5、肩胛骨:骨折或骨质破坏易漏诊;6、肋骨腋缘、前肋:无错位骨折易漏诊,肋骨腋缘胸膜反应是提示骨折的重要征象;7、胸椎:在投照条件较低的胸片,肿瘤、结核易漏诊,注意观察椎体形态及有无椎旁软组织影,要注意对侧位的观察;8、心影后:在投照条件较底的胸片,病灶易漏诊,要注意对侧位的观察;9、肺门:肺门较小的肿块有时需与扩张的肺动脉、左肺动脉弓鉴别;10、膈下:急腹症及外伤照胸片要注意膈下游离气体。
影像观片原则:总体印象、分部观察、注意死角、左右对比、前后对照。
正常上肢X线解剖——肩关节平片前后位正常上肢X线解剖——肘关节平片正、侧位..正常上肢X线解剖——腕关节平片正位正常上肢X线解剖——腕关节平片侧位正常下肢X线解剖——膝关节平片正、侧位正常下肢X线解剖——踝关节平片正位正常下肢X线解剖——踝关节平片侧位正常下肢X线解剖——足平片正、斜位正常脊柱X线解剖——颈椎平片前后位正常脊柱X线解剖——环、枢椎平片张口位正常脊柱X线解剖——颈椎平片侧位正常脊柱X线解剖——颈椎平片斜位正常脊柱X线解剖——腰椎平片正位正常脊柱X线解剖——腰椎平片侧位腰椎正位10大观察死角:1、椎弓根:骨质破坏时,注意两侧对比。
2、上下关节突:怀疑强直性脊柱炎时更应注意。
3、横突:骨折、骨质破坏4、腰大肌影:冷脓肿5、下位肋骨:骨折6、骶骨、骶孔:骨质破坏或骨折时,注意两侧对比。
7、骶髂关节:怀疑强直性脊柱炎时更应注意。
正常X线解剖
钡灌肠
充盈相
钡灌肠1
粘膜相
腹部平片(KUB)
踝关节侧位
踝关节正位
环枢椎张口前后位
肩关节前后位平片
颈椎侧位
颈椎前后位
颈椎斜位
静脉肾盂造影(IVP)
食管钡餐造影
左图为充盈相,
右图为粘膜相。
水平裂投影
四肢骨龄标准
方格外数为骨骺最早到最迟年龄之正常范围,格内数字为骨骺间及干骺间完全联合年龄之正常范围,括号内数字为女性材料。
头颅侧位片平
头颅后前位
头颅后前位平片
腕关节侧位平片
腕关节正位平片
胃十二指肠钡餐造影
充盈相
胃十二指肠钡餐造影1
粘膜相
膝关节
左图为正位,右图为侧位。
小肠钡餐造影
胸部侧位平片
胸部后前位平片
腰椎侧位
腰椎正位
正常成年人胸片(侧位)
正常成年人胸片(正位)
正常成人表
现
正常成人表现
2
骨
正常手与腕部骨化时间
正常小儿表
现
正常小儿表现2
正常小儿胸片
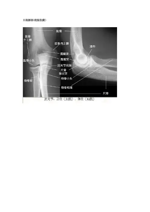
肘关节
正位(左图),侧位(右图)平片
子宫输卵管造影
足
左图为正
位,右图为斜位。