动脉瘤样骨囊肿的影像学分析培训课件
- 格式:ppt
- 大小:26.62 MB
- 文档页数:61
动脉瘤样骨囊肿的影像学分析动脉瘤样骨囊肿(ABC)是一种良性、囊性、原因不明的骨病变。
其典型的影像表现为占位性骨质疏松、内部充满液体,可以与其他具有相似表现的病变相混淆。
本文将介绍ABC的影像学表现、诊断方法和治疗策略。
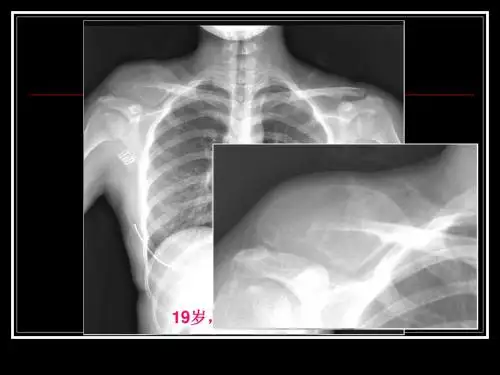
影像学表现ABC通常位于骨髓腔内,通过X线摄影、CT和MRI等成像技术可以观察到其典型表现。
X线摄影可以显示骨质变化,如骨质疏松和囊状改变。
CT检查可以更详细地显示囊壁、囊液和囊壁厚度等细节。
MRI则可以提供更好的软组织对比度,可用来确定病变与邻近软组织的关系。
ABC的囊壁是其最重要的特征之一,通常为0.5-2.0mm,厚度不均匀,可有壁内隆起或肿块。
囊液的密度与血浆相似,但也可能含有蛋白、红细胞、玻璃体或钙化物等。
在MRI中,ABC的囊壁通常显影,在T1加权图像上呈等信号或稍高信号,在T2加权图像上呈等或稍低信号。
MRI还可以描绘具有高信号强度的血肿和坏死区域。
诊断方法ABC的临床症状可以因其部位和大小而不同,如疼痛、肿胀、关节僵硬或骨折等。
诊断ABC时需要考虑与其他病变的鉴别,如骨肉瘤、转移瘤、巨细胞瘤、骨纤维异常增殖症等。
医生通常会依据以下几种方法来诊断ABC:临床表现医生会询问患者身体状况,并了解患者的疼痛、肿胀、关节僵硬等症状。
影像学检查医生会选择X线摄影、CT和MRI等成像技术来观察ABC的影像表现。
组织病理学检查当其他检查不能确定诊断时,医生会进行组织病理学检查。
组织病理学检查可以确定ABC的类型、浸润和恶性转化等情况。
治疗策略ABC通常是一种良性病变,但由于其囊壁薄弱并易于破裂、感染,因此常常需要治疗。
治疗方法包括手术切除、内固定和骨穿刺等。
手术切除手术切除可以完全去除囊肿,并且由于腔内刮除不到的囊壁细胞可能引起循环性囊肿复发,因此术后需行处方药物(如败血症、细菌感染等)的关注。
内固定如果手术不可行,内固定可以通过固定操作阻止囊肿的增大,并达到稳定骨性支架的作用。