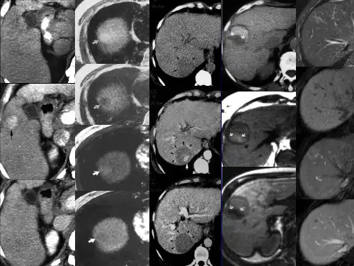
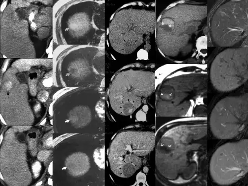
肝硬化结节的影像诊断PPT学习课件

  • 格式:ppt
  • 大小:8.33 MB
  • 文档页数:15

下载文档原格式

  / 15