奴卡菌肺炎(荟萃精制)共22页
- 格式:ppt
- 大小:6.32 MB
- 文档页数:2
肺奴卡菌病(pulmonary nocardiosis)简介肺奴卡菌病(pulmonary nocardiosis)简介(2014-01-02 20:21:06)转载▼标签:肺奴卡菌病奴卡菌属分类:医疗业务肺脓肿肺脓疡复方新诺明肺奴卡菌病(pulmonary nocardiosis)奴卡菌病(Nocardiosis)是奴卡菌属引起的局限或播散性化脓性感染和肉芽肿性病变,并可经由血道播散侵犯至其他器官,可呈急性、亚急性或慢性(3w以上)经过,以慢性多见。
奴卡菌病主要包括肺奴卡菌病、播散性奴卡菌病、蜂窝织炎、足菌肿、角膜炎等。
主要致病菌有星形奴卡菌(N.asteroides)、巴西奴卡菌(N.brasiliensis)或豚鼠奴卡菌(N.caviae)等。
其中,星形奴卡菌引起的占80%以上。
奴卡菌病呈世界范围分布,动物也可感染。
最早由Nocard于1888年报道了牛的奴卡菌病,又译诺卡菌,Eppinger在1890年首先描述了人的奴卡菌病。
此病既往甚为罕见。
近年来,在免疫功能低下或缺损的疾病如慢性肉芽肿性疾病、白血病、淋巴瘤、艾滋病(CD4<250/μl)、接受细胞毒药物化疗或长期大量使用免疫抑制剂等患者中,奴卡菌病的发病有所增加。
【病原学和流行病学】奴卡菌属是一类有菌丝、无动力、革兰阳性的专性需氧的原核生物,广泛存在于土壤、污水和腐生物中,并非人体腔道的常驻菌。
在气道或肺实质异常的慢性肺病患者的气道分泌物中偶尔可以分离到奴卡菌,但不发病。
典型的奴卡菌菌体呈丝状,菌丝细长有分节,革兰染色呈阳性、具有弱抗酸性,可在许多培养基上生长,常用的有血琼脂或沙堡弱(Sabourand’s)培养基。
生长缓慢,历时2周才可形成明显的菌落,形成特征性菌落需要4周。
菌落表面光洁,呈粉末状、黄色或橙色,容易与快速生长的分枝杆菌混淆。
奴卡菌的主要菌种有星形奴卡菌、巴西奴卡菌、豚鼠奴卡菌、新星奴卡菌(N.nova)、皮疽奴卡菌(N.farcinica)、假单胞巴西奴卡菌(N.pseudobrasiliensis)。
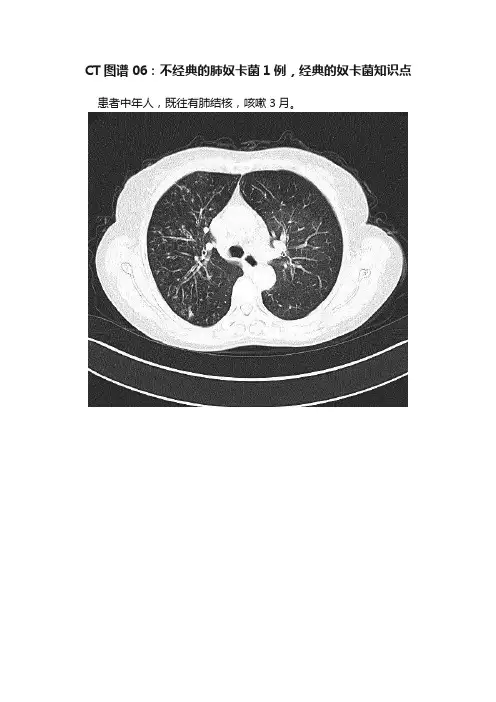
CT图谱06:不经典的肺奴卡菌1例,经典的奴卡菌知识点患者中年人,既往有肺结核,咳嗽3月。
诊断?支扩并感染!做个支气管镜!刷片抗酸阳性,什么病?结果,刷片是弱抗酸染色+!痰培养:豚鼠耳炎诺卡菌!诺卡菌,就是奴卡菌!奴卡菌,属于放线菌家族!奴卡菌属放线菌目,是G+、需氧的丝状细菌。
含有分枝菌酸的放线菌,其中的一种,就是奴卡菌属。
没有分枝菌酸的放线菌,叫放线菌属。
弱抗酸染色阳性≠ 抗酸染色弱阳性抗酸染色弱阳性:1~2条/300视野!弱抗酸染色阳性:标准的抗酸染色(3%盐酸)阴性,但是改良的弱抗酸染色(1%硫酸)阳性。
奴卡菌不是人体正常菌群奴卡菌不是人体正常菌群,一旦检测到,即为不正常:1.感染?特别是免疫力低下者。
2.定值?有支扩、COPD等基础疾病!诊断靠痰培养肺奴卡菌感染的诊断关键是从血液、痰、脓液等标本中分离出奴卡菌。
注意:该菌在常规检验中很容易被遗漏。
奴卡菌培养分离困难,且分离率偏低,其在培养基上生长缓慢。
一般在37度需氧培养下多数于2~7天内生长为肉眼可见的菌落,有时需4~6周,一般要求培养1月,做生化反应鉴定则需更长的时间。
影像学缺乏特征性,最为常见的是肺部形成空洞结节和肿块。
可表现为:①局限或弥漫肺部浸润影:可为磨玻璃影,大部分实变为主;②单个或多个结节、团块影:结节大小不等,早期可见粟粒样结节,一般为较大结节影;③空洞:病变是化脓性感染,空洞较常见;④病灶分布以肺野外带为主,中下肺野较明显;有学者认为肺内多发结节从中央到外周分布趋势,可能提示存在肺奴卡菌感染;⑤双侧胸腔积液;治疗奴卡菌(桑德福指南)首选方案:复方磺胺甲恶唑片15 mg/kg.d,分2~4次+ 亚胺培南0.5g q6h,3~4周,之后口服复方磺胺甲恶唑维持;备选方案:亚胺培南+阿米卡星,维持同上。
有学者认为:利奈唑胺是一种几乎所有奴卡菌属均敏感的药物,适用于重症感染、播散性奴卡菌病及磺胺类药物过敏者。
有研究发现,42%菌株对复方磺胺甲恶唑耐药,所以主张以磺胺类药物为主的联合用药。
奴卡菌肺炎——张嵩病例来⾃肺部影像群简单病史:男,70岁。
咳嗽、咳痰、喘憋10年,加重1周。
患者10年前出现咳嗽、咳⽩痰,伴有活动后⽓促,多好发于秋冬季节,每次发作持续1-2⽉,经抗炎、解痉、平喘等治疗或天⽓转暖后症状可缓解。
近5年来上述症状频繁发作,症状逐年加重。
1周前患者受凉后出现咳嗽、咳痰增多,黄痰,胸闷、⽓促明显⽽⼊院。
有烟酒史40年。
辅助检查:⾎常规:⾎WBC 12.39×109/L ,N 89.8%,L 5.0%。
⾎沉:120mm/h。
⾎⽓分析:PH 7.52 PCO2 25mmHg PO2 55mmHg。
⽣化⽰:⽩蛋⽩22.02mmol/L。
真菌涂⽚未见菌丝和孢⼦。
痰液未见肿瘤细胞。
胸部CT:双肺多发结节、斑⽚、实变密度影,可见⽀⽓管充⽓征,纵隔内可见肿⼤淋巴结,双侧胸腔少量积液。
诊断:肺奴卡菌病低蛋⽩诊断依据:⽼年男性,有COPD病史,双肺多发病变,以结节和实变为主,患者有明显低蛋⽩⾎症,⾸先考虑肺奴卡菌病可能。
⾎症患者⼊院后与抗炎、平喘、祛痰等对症治疗。
2次痰培养⽰:星形奴卡菌,药敏试验提⽰对利奈唑胺、四环素和亚胺培南敏感,对万古霉素耐药。
1次痰培养抗酸染⾊弱阳性。
予利奈唑胺和复⽅新诺明对症治疗2周后患者病表情明显好转,单⽤复⽅新诺明治疗1⽉后复查胸部CT,病变较前明显吸收。
见⾯看他治疗后复查的——张嵩⽼师——1⽉后有吸收但是没有完全吸收,说明此病凶险。
关于奴卡菌肺炎,南边⽼师有⾃⼰的观点,我们⼀起学习⼀下:潘军平——我个⼈的理解,奴卡菌进⼊肺内通过两种途径:1、吸⼊之后定植,等免疫⼒下降再出来。
2、进⼊其他部位,通过⾎道过来。
考虑直接吸⼊马上引起病变的不多,所以其影像表现就会出现两类情况:1、有结节状的随机分布⾎道来源的,属于这⼀类,然后朝周围侵犯。
2、⽆序状,散发,不是沿⽀⽓管分布,好像肺内随随便便⼀个点就冒出来了,我觉得这可能符合吸⼊定植在肺内的,也就是在免疫⼒下降之后,起来的。
这种肺部感染,90%医生没见过---肺奴卡菌病我国于1986 年首次报道了奴卡菌病例,随着器官移植的广泛开展以及对病原体检出能力的提高,有关肺奴卡菌病的报道逐渐增多。
9 月 6 日,在 2019 中华医学会呼吸病学年会(第二十次全国呼吸病学学术会议)上,广州呼吸病研究所叶枫教授就「奴卡菌病的诊治进展」进行了如下介绍。
奴卡菌病是由奴卡菌感染引起的局部或播散性的、亚急性或慢性化脓性疾病,多数经呼吸道侵入人体而发病。
该病常见于免疫功能低下者,如实体器官或造血干细胞移植受者、血液系统恶性肿瘤、长期接受糖皮质激素或细胞毒性药物治疗者;但在免疫功能正常宿主的奴卡菌病亦不少见,甚至可发生重症感染。
流行病学本病呈全球散发,无季节差异,各个年龄段普遍易感,以成年男性多见。
各国的奴卡菌发病率存在差异。
例如数据显示,美国和法国分别每年有 500~1000 例和 150~250 例;而西欧各国,每 10 万例住院患者中仅有 0.04 例奴卡菌病患者。
易感人群为:男性、慢性肺基础疾病(支气管扩张、COPD、支气管哮喘患者);糖尿病、肾功能不全、移植受者、长期使用糖皮质激素、长期使用免疫抑制剂患者;感染途径:经呼吸道、消化道、伤口感染,其中吸入为最主要的感染方式。
肺部、中枢神经系统、皮肤、骨和关节、肾脏、肾上腺等多脏器均可受累,其中以肺部受累最常见。
感染类型感染的病原菌以皮疽奴卡菌和盖尔森基兴奴卡菌为多见;且易合并伴发感染(免疫抑制宿主高达 57% 存在伴发感染,非免疫抑制宿主为47%),其中病毒感染为主(尤其是CMV),多见于免疫抑制宿主患者。
病原学放线菌属,革兰氏染色阳性专性需氧杆菌,镜下早期呈球状或杆状,伴有细长分支菌丝,弱抗酸染色阳性,抗酸染色亦可出现弱阳性。
奴卡菌为条件致病菌,无菌体液标本中检出奴卡菌均考虑感染;非无菌标本检出奴卡菌,如有相关临床症状和体征,多考虑为致病菌。
但从支气管扩张、囊性肺纤维化等结构性肺病患者的痰标本中检出奴卡菌,需鉴别定植与感染。