颅脑外伤典型病例分析
- 格式:doc
- 大小:12.00 KB
- 文档页数:1
护理个案之重症颅脑外伤重症颅脑外伤XXXXXX2010年9月28日一.简要病史患者XXX,男性,26岁,“车祸致昏迷3h”。
患者2010年8月24日晚6点骑摩托车与汽车相撞,当即昏迷不醒,呼之不应,无呕吐,无大小便失禁,无肢体抽搐。
由120送至本院,急查头部及胸颈腰部CT:“室积血,蛛网膜下腔出血,额顶部头皮血肿,胸8椎体可疑变扁”,为求进一步治疗收治入院。
8月25日上午11点行有锁骨下深静脉穿刺置管术;气管插管,予丙泊酚镇静治疗。
8月27日上午11点气管切开,呼吸机予simv模式辅助通气。
8月30日经神经内科会诊呈去大脑强直状态,予力奥来素治疗。
9月9日上午10点行picc穿刺置管术。
9月11日行高压氧治疗。
现患者昏迷,双侧瞳孔右侧0.3cm,左侧0.5cm,光反射迟钝,四肢肌张力较前减低,吸痰或刺激肢体后仍有四肢肌阵挛,尿量可,出入量基本平衡,两肺呼吸音粗,可闻及痰鸣音,腹部平软,无肌紧张,无下肢水肿。
患者系普通职工,初中文化程度,杭州本地人,费用医保,家庭经济情况好,社会支持系统好,家属对治疗护理能理解和配合。
既往无食物药物过敏史,无家族性遗传疾病史。
XXX.体格检查患者昏迷,双侧瞳孔右侧0.3cm,左边0.5cm,光反射迟钝,四肢肌张力增高,呈去大脑强直状态,肺部呼吸音粗,可闻及痰鸣音,心声响亮,腹部平软,无肌紧张,无下肢水肿。
XXX.辅助检查1.2.3.4.头颅CT:脑室积血,蛛网膜下腔出血,额顶部皮肤血肿颈胸腰椎X线:胸8椎体可疑变扁胸腹B超:未见反常血通例:WBC 7.8×10^9/L GR69.2% RBC 4.06×XXX 3.35×10^9/L5.血气:PH 7.437PO2 107mmHg PCO2 39.8mmHg SO2 98.6%6.急性炎性蛋白:CRP2 54.7mg/L7.痰细菌+真菌培养药敏:正常菌群,未培养出真菌,未培养出致病嗜血杆菌四.按Marjory Gordon健康型态评估1.健康感知—健康管理型态患者平素体质好,有医保,对健康重视程度不够,有烟酒等不良嗜好,吸烟史8年,患者家属对疾病缺乏了解。
颅脑外伤病历【引言】颅脑外伤是一种常见的严重伤害,它对受伤者的身体和心理健康都会产生巨大的影响。
本文将以颅脑外伤病历为中心,深入探讨颅脑外伤的病程、治疗和康复过程,以及对患者生活的重大改变。
通过了解和学习颅脑外伤病历,我们将更好地理解这一疾病的严重性,并为患者提供更好的支持和护理。
【一、病例介绍】患者:李某性别:男年龄:30岁职业:建筑工人日期:2022年3月10日【二、发病经过】李某于2022年3月10日上午9点发生了一次严重的颅脑外伤事故。
当时他正在施工现场工作,一块从高处掉下的建筑材料砸中了他的头部。
事故发生后,李某立即出现晕厥和剧烈头痛的症状,同事们立即拨打了急救电话。
【三、急诊处理】李某被紧急送往附近的医院急诊科。
急诊医生对其进行了详细的体格检查,发现他的头部有明显的外伤,伴有出血和肿胀。
医生迅速进行了头部CT扫描,确认了颅脑外伤的程度,并立即采取了相应的紧急处理措施,包括止血、消肿等。
【四、住院治疗】鉴于李某的颅脑外伤较为严重,医生决定将他转入重症监护室进行进一步观察和治疗。
在重症监护室,医生通过严密的监测和药物治疗,帮助李某稳定病情,并减轻其症状。
在住院期间,医生还进行了一系列的检查,包括神经影像学检查和神经功能评估,以全面评估李某的神经系统损伤情况。
【五、手术治疗】根据神经影像学检查结果,医生发现李某的颅骨受损严重,需要进行颅骨修复手术。
手术过程中,医生通过使用特殊的钢板和螺钉,修复了颅骨骨折,并恢复了颅脑的结构稳定性。
手术非常成功,并为李某的后续康复奠定了基础。
【六、康复治疗】李某完成手术后,进入了康复病房进行进一步的康复治疗。
康复团队由医生、护士、物理治疗师和心理咨询师组成,他们为李某制定了一套个性化的康复计划。
康复治疗包括物理治疗、言语治疗和职业治疗等方面,旨在恢复李某的运动功能、言语能力和日常生活技能。
【七、生活改变】颅脑外伤对李某的生活产生了巨大的影响。
他不得不面对头痛、头晕、注意力不集中等症状,这使得他无法继续从事体力劳动工作。
重度颅脑外伤死亡讨论记录范文一、基本信息。
患者姓名:[患者姓名]性别:[性别]年龄:[年龄]住院号:[住院号]二、病例摘要。
1. 受伤经过。
患者于[具体日期]因头部遭受严重撞击(据家属描述是从高处坠落,大约[X]米高度)入院。
当时现场意识不清,头部有开放性伤口,流血较多,工友(患者是在工地受伤)紧急拨打120送来咱们医院。
2. 入院查体。
入院时患者呈深度昏迷状态,格拉斯哥昏迷评分(GCS)为[X]分(具体为睁眼反应[X]分、语言反应[X]分、肢体运动反应[X]分)。
双侧瞳孔不等大,左侧瞳孔直径约[X]mm,对光反射消失;右侧瞳孔直径约[X]mm,对光反射迟钝。
头部可见一长约[X]cm 的头皮裂伤,颅骨有凹陷性骨折迹象。
四肢肌张力增高,病理反射阳性。
3. 辅助检查。
头颅CT显示:广泛脑挫裂伤,左侧额颞顶部硬膜下血肿,量约[X]ml,脑中线结构明显向右移位,脑室受压变形。
胸部CT未见明显肋骨骨折及血气胸表现,但有少量肺挫伤。
4. 治疗经过。
患者入院后立即被送入手术室行开颅血肿清除术 + 去骨瓣减压术。
术中清除硬膜下血肿约[X]ml,但是术中发现脑肿胀非常严重,脑组织就像发酵的馒头一样往外膨出,止血困难。
术后患者被送入重症监护室(ICU)。
在ICU期间,给予患者气管插管接呼吸机辅助呼吸,维持血压、血糖等内环境稳定,使用甘露醇、甘油果糖等脱水降颅压,同时预防感染、应激性溃疡等并发症。
但是患者的病情持续恶化,术后复查头颅CT显示脑肿胀进一步加重,脑疝形成。
三、死亡原因讨论。
1. 脑疝。
老张(医生甲):我觉得脑疝是导致患者死亡的最主要原因。
患者入院时就有严重的脑挫裂伤和硬膜下血肿,脑中线结构移位明显,虽然做了手术,但是术后脑肿胀难以控制,脑疝持续进展。
就像房子的大梁歪了,里面的东西都挤到一边去了,脑组织的功能就全乱套了。
小李(医生乙):对,脑疝一旦形成,脑干受压,呼吸循环中枢就会受到影响。
这患者后来呼吸越来越不好,血压也靠升压药维持,就是脑干功能不行了的表现。
颅脑外伤后行为能力分析一例摘要男性尸体,尸长170cm。
尸僵缓解。
头皮未见明显损伤。
两手呈握拳状,右手内握有淤泥及草叶。
左大腿下段外侧有2.3cm×0.3cm表皮剥脱,右小腿上段前侧有1.8×3.2cm皮下出血,右小腿下段后外侧有2.8×0.5cm表皮剥脱。
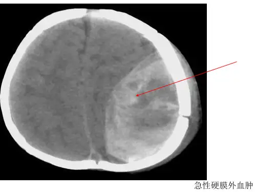
右顶枕部头皮下、帽状腱膜下大面积出血,右顶结节部颅骨骨折,三条骨折线分别向左顶部、右顶部及枕部放射延伸;右顶枕部有8×7×2.5cm硬膜外血肿,左大脑半球硬膜下大片状血肿,厚度约0.7cm,左颅前窝硬膜下血肿,两大脑半球广泛蛛网膜下腔出血;小脑扁桃体疝。
前纵膈下部有6×4cm片状出血。
肺脏饱满,有握雪感,肺脏被膜下有大量出血斑。
食管、气管及支气管内有食物残渣。
胃内有200g食糜。
腹腔脏器(—)。
镜下见大脑挫伤出血,血肿形成,大脑、小脑蛛网膜下腔出血,脑水肿;肺水肿、肺气肿,灶性肺出血,肺内检出硅藻;肝脏、肾脏淤血,脾脏贫血改变。
心血中检出乙醇成分,含量为4.1mg/100ml。
2 讨论法医学上常将机械性损伤分为绝对致命伤和条件致命伤。
绝对致命伤是指在任何情况下,对任何人都足以致死的损伤,如脑、心、肺等重要生命器官的严重损伤。
条件致命伤是指在某种条件下才会致死的损伤。
本案中死者颅脑损伤应为绝对致命伤,因为其颅骨骨折、颅内血肿、蛛网膜下腔出血及小脑扁桃体疝等,足以致其死亡。
而后发生的溺水,是因为重度颅脑损伤造成其意识障碍,在无辨识及自救能力的情况下发生的。
因此分析认为,重度颅脑损伤应为死亡的根本死因,而溺水应为直接死因。
即因为颅脑损伤的存在才导致了溺水的发生,否则溺亡很难发生。
对于致命伤后行为能力的定义,有学者认为必须具备以下三个要件:(1)脑功能存在。
行为能力作为有意识的生理活动,意识的存在必须依赖脑功能的存在,一旦损伤使人丧失意识,则不可能具备行为能力。
(2)有一定存活时间。
绝对致命伤虽是在任何情况下对所有人都足以致死的损伤,但绝对致命伤是一个定性概念,现实中有轻重之分。
颅脑损伤的案例介绍颅脑损伤是一种导致头部和脑部组织损害的疾病,常常由外力作用或意外事故引起。
颅脑损伤是一种常见的严重疾病,它可能导致认知能力下降、精神障碍以及生命威胁。
本文将通过分析一些典型案例,探讨颅脑损伤的不同类型、诊断方法、治疗策略和预后等问题。
一、轻度颅脑损伤的案例1.1 案例一:跌倒后头部轻微碰撞此案例中,患者是一名25岁的年轻人,平时健康状况良好。
一天,他在家中不慎滑倒,头部轻微碰撞地面。
患者出现短暂的头痛和轻微的眩晕症状。
经过检查,诊断结果显示轻度颅脑损伤。
1.2 案例二:交通事故引发的头部受伤一名40岁的男性司机在交通事故中遭受头部撞击。
事故发生后,他出现头痛、恶心和呕吐等症状。
经过MRI扫描和神经逻辑评估,诊断结果确定为轻度颅脑损伤。
二、中度颅脑损伤的案例2.1 案例三:高空坠落导致颅脑损伤一名建筑工人从高处坠落,头部严重撞击地面。
他立即失去意识,并出现剧烈头痛、呕吐和精神状态改变。
急救人员立即将他送往医院。
经过CT扫描和神经学评估,确诊为中度颅脑损伤。
2.2 案例四:运动事故引起的脑震荡一名20岁的运动员在比赛中撞上对手,脑部受到明显冲击。
他立即出现眩晕、头痛和注意力不集中的症状。
经过全面评估,确定为中度颅脑损伤。
三、重度颅脑损伤的案例3.1 案例五:车祸导致颅脑严重损伤一名30岁的女性乘客在车祸中受到严重的头部损伤。
她立即昏迷,伴有明显脑水肿和颅内出血的症状。
急救人员紧急进行抢救,并及时进行手术减压。
经过综合治疗,患者的病情逐渐好转,但依然需要长期的康复治疗。
3.2 案例六:意外跌落导致严重颅脑损伤一名50岁的男性从梯子上不慎跌落,头部严重撞击地面。
他立即失去意识,伴有剧烈头痛和呕吐。
经CT和MRI扫描,诊断结果显示颅内出血和脑挫裂伤等严重损伤。
四、颅脑损伤的诊断方法1.脑CT扫描:用于检查颅内出血、脑挫裂伤和脑肿胀等损伤。
2.脑MRI扫描:可以提供更详细的图像信息,用于检查神经组织的损害。
颅脑损伤病例分析目的总结颅脑损伤合并胸腹部闭合性损伤的诊断治疗经验。
方法对34例病例分别采用开颅手术和胸腔闭式引流、腹部探查治疗及术后的保守治疗。
结果治愈24例,8例恢复差,但是能进行生活自理,尚存某些神经精神障碍,死亡2例。
结论颅脑损伤合并胸腹部闭合性损伤是临床最严重的多发性损伤之一,病情发展较快,病死率高,尤其是在患者出现呼吸困难、意识障碍加重及低血压状态时,在急诊抢救的同时要尽早明确诊断,及时治疗,对预后有很重要的意义。
标签:颅脑损伤;胸腹部闭合性损伤;诊断;手术治疗颅脑损伤合并胸腹部外伤由于近几年车祸及高处坠落伤等因素的增多,尤其是地震后在重建工作中有上升的趋势。
1资料与方法1.1一般资料本组34例,男25例,女9例。
年龄17~68岁,平均42.5岁。
伤后至入院时间30min~24h,平均约12.25h。
其中交通事故伤16例,高处坠落伤10例,打击伤6例,挤压伤2例。
清醒者9例有胸腹部疼痛和头昏头痛,烦躁,呼吸急促。
意识障碍25例并面色苍白,呼吸困难。
经X线、腹部CT和B 超检查和手术探查,提示有肋骨骨折并脾挫裂伤及破裂13例,并肝破裂5例,并肠管挫裂伤及破裂9例,肋骨骨折及肺挫伤液气胸并肠管破裂7例。
上述胸腹部损伤病例中均有颅脑外伤,GCS评分:6分以下3例,6~9分14例,9分以上17例。
颅脑CT示脑挫裂伤并脑内血肿11例,硬膜下血肿7例,硬膜外血肿6例,蛛网膜下腔出血7例,凹陷性颅骨骨折3例。
1.2方法有休克表现者16例,在给予抗休克等抢救治疗的同时完善相关检查,尽早明确诊断。
34例中行开颅手术22例;腹部手术27例(其中肝修补术5例,脾切除术10例,脾修补术3例,肠管吻合修补术9例);行胸腔闭式引流6例,肋骨骨折外固定12例;气管切开2例。
2结果本组34例中24例治愈;8例因重型脑伤及继发颅脑损伤加重尚存某些神经精神障碍;2例死于出血性休克合并重型颅脑损伤脑疝形成。
3讨论颅脑损伤合并胸腹部损伤在临床上并不少见,因颅脑损伤昏迷患者,不能表达疼痛部位,且胸腹部伤较隐蔽时,临床医师往往只想到了颅脑外伤的严重性,而忽略全面查体,延误胸腹伤的诊断,错过抢救时机,从而导致病情加重。
颅脑损伤的个案分析医学颅脑损伤是一种常见的医学问题,它可以引发多种严重并发症,并对患者的生活产生长期影响。
本文将通过分析一个实际的个案,来探讨颅脑损伤的医学特点、诊断和治疗。
个案描述:患者为一位40岁男性,因交通事故导致重度颅脑损伤。
起初,患者出现头痛、呕吐以及意识丧失的症状。
经急诊CT扫描发现颅内出血和脑挫裂伤。
根据初始评估,患者的颅脑损伤被归类为中度且对神经系统功能产生不可逆的影响。
医学特点分析:颅脑损伤的特点包括损伤类型、损伤严重程度和对神经系统功能的影响程度。
根据损伤类型,颅脑损伤可分为开放性和闭合性两类。
而损伤严重程度则可以通过格拉斯哥昏迷评分(GCS)来评估,GCS评分较低表示损伤较严重。
对于本案患者,他的损伤类型为闭合性,即没有颅骨骨折伤口暴露在外。
而根据初始评估,他的GCS评分为9分,属于中度的颅脑损伤。
此中度损伤对神经系统的功能产生不可逆的影响意味着,患者可能面临长期认知障碍和肢体功能受限的风险。
诊断方法和治疗:诊断颅脑损伤的关键方法是CT扫描。
它可以快速检测出颅内出血、脑挫裂伤和其他损伤情况。
对于严重的颅脑损伤患者,可能需要进一步进行磁共振成像(MRI)以评估神经组织的损伤程度。
治疗方案应根据损伤的严重程度和类型而定。
对于中度的闭合性颅脑损伤,患者通常需要接受头部稳定性的维持、神经检查和监测等支持性治疗。
此外,早期干预如物理治疗和康复训练也很关键。
对本案患者的治疗中,首先需要确保他的头部稳定性,以避免进一步的损伤。
监测患者的意识水平和神经症状对于评估治疗效果和决定进一步干预措施至关重要。
另外,康复治疗的提供可以帮助患者最大限度地恢复功能并提高生活质量。
结论:颅脑损伤对患者的生活和健康构成重大威胁。
通过对个案的分析,我们可以更好地理解颅脑损伤的医学特点、诊断和治疗方法。
积极的早期干预和综合治疗方案可以提高患者的康复率和生活质量。
在未来,我们需要进一步研究颅脑损伤的机制和治疗方法,以更好地帮助患者恢复健康。
患者,张义涛,男,39岁,以外伤5小时昏迷2小时主诉入院,患者家属诉患者于5小时前被摩托车撞到在地,当场昏迷约10分钟,随后清醒,感头昏,头痛剧烈,尚能自行回家,呕吐2次。
不能回忆当时经过,2小时前再次昏迷,呼之不应,急送入院。
查体:T R 18次/分P 110次/分BP 120/85mmHg 浅昏迷,格拉斯格评分10分,双瞳孔不等大,左侧5mm 光反射弱右侧3mm ,右侧枕部可见一3x2cm软组织挫伤区,血迹已干,局部肿胀明显,压痛明显,右侧肌力3级,左侧5级。
X线提示:右枕骨骨折未行其他检查
1.患者目前可能的诊断有哪些
2.如何进一步支持你的上述诊断
3.注意预防哪些并发症如何让预防
4.写出治疗方案。