肺部结节性病变
- 格式:ppt
- 大小:9.28 MB
- 文档页数:131
肺部微小结节是多大
肺部微小结节是指肺部影像学检查中发现的直径小于1厘米的结节病变。
这种结节的发现常常是通过胸部X光、CT扫描或
者PET-CT来进行筛查。
在这些检查中,肺部微小结节呈现为
颗粒状或者圆形的阴影,大小通常在3-5毫米之间。
肺部微小结节的病因有很多,常见的包括肺结核、肺部感染、肺癌、肺炎性肿块等。
此外,肺部微小结节还可能是由于炎症、肺部纤维化、肺部结缔组织疾病等导致的。
对于肺部微小结节的管理,一般分为两种情况。
第一种情况是低度怀疑恶性结节,这种结节通常具有一些特点,比如大小超过6毫米、边缘模糊、形态不规则等。
对于这种情况,医生通常会建议进行进一步的检查,如CT增强扫描、PET-CT、肺
活检等,以明确诊断。
另一种情况是低度怀疑良性结节,这种结节通常具有一些保守观察的特点,比如结节大小较小、形态规则、边缘清晰等。
对于这种情况,医生会建议在一定时间内进行随访观察,一般为
3-6个月进行CT或者X光复查,如果结节发展缓慢或者无变化,则可以认定为良性结节。
此外,在进行肺部微小结节的管理时,还需要根据患者的病情和临床背景进行个体化的治疗方案制定。
比如,对于高风险人群(如吸烟者、家族肺癌史患者等)或者其他疑似恶性肿瘤的表现,医生可能会推荐早期手术切除或者其他进一步的检查。
总的来说,肺部微小结节是一种常见的肺部病变,其病因有很多,需要根据患者的具体情况进行个体化的治疗方案制定。
及早发现和治疗肺部微小结节,对于预防和控制恶性肿瘤的发展具有重要意义。
因此,一旦发现肺部微小结节,一定要及时就医,接受医生的详细诊断和治疗建议。
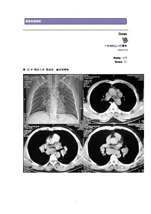
肺部典型病例D3D一叶知秋&一叶障目Posts:104Score:21 男38岁胸闷3月既往史、查体无特殊男38岁胸闷3月既往史、查体无特殊病理E C T结果doctorwangwq顺其自然丁香园主任Posts:2764Score:802双侧肺门区、纵隔内示有多发性肿大淋巴结影,两侧对称性分布,两肺门对称性肿大呈土豆块状改变,双肺示肺纹理增强,实质内未见异常。
结合病理报告首先考虑结节病(I期改变)。
分析:本病是一种原因不明的全身性疾病,病理学上为非干酪性上皮样慢性肉芽肿、临床上呈慢性经过,好发于30-40岁的女性,可侵及全身各器管,常见于肺部和淋巴结,引起肺门淋巴结肿大和肺部浸润性改变。
X线平片上,Siltzbach等将其分为3期,I期:肺门淋巴结肿,不伴有明显的肺部改变;II期:肺门淋巴结肿大伴肺组织浸润;III期:肺门淋巴结不肿大,仅有肺部浸润。
Scadding则将它分为四期,前两期定义相同,将III期根据有无肺部纤维化分为III、IV期两期。
CT和MRI表现:结节病有90%累及胸部,肺门和纵隔淋巴结肿大、肺部改变和胸膜病变。
(一):肺门和纵隔淋巴结肿大。
CT上肿大淋巴结呈等密度阴影,略低于纵隔、肺门血管密度,呈圆形、椭圆形,可以融合杨分叶状团块。
平扫时与血管有时难以区分,增强后,肿大淋巴结不强化,与增强的血管形成对比,可被区分。
结节病的淋巴结可以钙化,“蛋壳样钙化“是较为特征性的表现,对诊断很有帮助。
结节病肿大淋巴结有以下特点:1:当肺部出现闻过则病灶后,肺门淋巴结不再增大;2:肿大的淋巴结多数为双侧性,且呈对称性分布,单侧少见。
3:肺门区淋巴结肿大可累及气管支气管组和远端支气管肺淋巴结;4:肿大淋巴结很少压迫邻近气管、动脉和静脉管;5:随访后40%患者将进展并出现肺部改变。
(二):肺部改变:组织学上可能所有的病人都有膈部受累,CT上肺改变主要有:1:多发性结节,是结节病最常见的肺部表现,结节直径可小为1-10mm,或者大到1-3cm,最大可达成6cm。
肺部结节病治疗方法
肺部结节病是指在肺部形成的结节性病变,治疗方法主要包括药物治疗和手术治疗。
1. 药物治疗:对于肺部结节病患者,如果结节病变比较小且无特殊症状,医生可能会选择观察和监测病变的发展情况。
如果结节病变有进展或伴有症状,医生会考虑给予药物治疗,常用的药物包括抗结核药物、抗真菌药物等,具体使用哪种药物需要根据病因和病情来确定。
2. 手术治疗:如果肺部结节病病变比较大,且药物治疗无效或者伴有严重的症状或并发症,医生可能会建议进行手术治疗。
手术治疗的方式包括肺叶切除、楔形切除或肺癌根治术等,根据病情和患者的具体情况来确定手术方式。
总之,肺部结节病的治疗方法根据病变的大小、病情的严重程度和患者的具体情况来确定,需要在医生的指导下进行治疗。
同时,患者也应该保持良好的生活习惯和合理的饮食,增强身体免疫力,有助于病情的控制和康复。
肺部结节是什么意思啊肺部结节是指肺组织中出现的小的异常结节状病变,它们通常被意外检测到,例如通过胸部X光或CT扫描。
肺部结节是一种非特异性发现,它可能是很多种原因引起的。
大多数肺部结节都是良性的,但也有可能是恶性的,因此一旦发现肺部结节,就需要进一步的评估来确定其性质。
肺部结节的形成原因很多,其中最常见的是炎症和感染引起的。
炎症性结节通常是由于肺部感染、结核或真菌感染所致。
其他常见的良性结节包括肺血管瘤、肉芽肿、肺脂肪瘤等。
此外,一些罕见的遗传性疾病,如结节性硬化症和继发性肺淀粉样变性等也可能引起肺部结节。
然而,肺部结节中有一小部分可能是肺癌的早期病变。
恶性结节通常呈现为边缘模糊或不规则形状,增长迅速,有向周围组织或淋巴结转移的趋势。
因此,在识别肺部结节时,医生需要综合考虑患者的病史、临床症状和结节的特征来判断其良性还是恶性。
对于初次发现的肺部结节,医生通常会根据结节的大小、形态、边缘特征以及患者的个人情况来制定进一步的观察或治疗计划。
对于小于6毫米的结节,多数情况下会建议定期的随访检查,以观察结节的生长情况。
如果结节大于6毫米,医生可能会建议进行进一步的影像学检查,如胸部CT增强扫描或PET-CT等,以更好地评估结节的性质。
对于高度可疑恶性肺部结节,通常会建议进行活检或手术切除来确定其病理类型。
鉴于肺癌的早期发现有助于提高治疗效果和预后,一些高风险人群(如长期吸烟者)可能会接受定期的胸部CT筛查,以早期发现肺癌相关的结节。
总之,肺部结节是指肺组织中的小的异常结节状病变。
虽然大多数肺部结节是良性的,但也有可能是恶性的。
对于初次发现的肺部结节,医生需要综合考虑患者的病史和结节的特征来确定进一步的观察或治疗计划。
早期发现并评估肺部结节对于诊断和治疗肺癌至关重要。
肺部结节性病变的影像学表现及鉴别诊断
概述
肺部结节性病变是指在肺部组织中发现的小于3厘米的病变,常常通过影像学检查发现。
对于这些病变的鉴别诊断非常重要,以便及时采取适当的治疗措施。
本文将介绍肺部结节性病变的常见影像学表现以及常见的鉴别诊断方法。
影像学表现
1. 低密度结节: 通常是由于炎症或瘢痕引起的,常见的病变有肺结核、肺炎、肺炎支原体感染等。
2. 高密度结节: 可能是肺结节钙化引起的,常见的病变有肺结核、肺淋巴结结核以及肺癌等。
3. 细长结节: 可能是支气管肺泡癌、肺鳞癌、肺内女性生殖系统源性肿瘤等。
4. 多结节: 可能是转移性疾病如肺转移瘤、结节病等。
5. 符合地方性肺结节病的表现: 多见于特定地区的疾病,如尘肺、矿石棉肺等。
鉴别诊断
为了确定肺部结节性病变的具体病因和性质,需要进行一系列
鉴别诊断的方法。
一般情况下,包括下列步骤:
1. 临床评估: 结合患者的症状、既往病史以及体格检查结果,
对患者进行全面评估。
2. 影像学检查: 包括X线、CT、MRI等的影像学检查,以获取
详细的结节性病变的形态学特征。
3. 病理活检: 对可疑病变进行组织学检查,以明确病变性质和
判断是否存在恶性病变。
4. 血液检查: 包括肿瘤标志物等的检测,有助于排除恶性病变。
结论
肺部结节性病变的影像学表现多样,鉴别诊断非常重要。
通过
综合运用临床评估、影像学检查、病理活检和血液检查等方法,可
以确定病变的性质和病因,为患者制定合适的治疗方案提供依据。
肺结节病编辑词条该词条缺少摘要、基本信息栏、词条分类,补充相关内容帮助词条更加完善!立刻编辑>>目录•1肺结节病定义•2肺结节病资料详情•3临床表现•4肺结节病形成过程•5诊断详情•6治疗介绍1肺结节病定义编辑中西医名称:肺结节病英文名称:Lung sarcoidosis 肺结节病曾被称为肉样瘤,是原因不明的变态反应疾病。
病理改变为非千酪性肉芽肿,可侵犯全身各器官,但较多的累及淋巴结、肺、肝、脾及皮肤等,普遍布于全世界而病因不明的多系统肉芽肿性疾病。
共国的东南部,尤以黑人中发病率较高。
Siltzbach统计纽约城市中璐人区发病率为64/10万,而该城白人区为刀10万。
然而,在瑞典黑人很少.其发病率亦为64/10万。
本病好发于10-40岁,20-30岁达高峰。
女性多于男性。
肺结节病曾被称为肉样瘤,是原因不明的变态反应疾病。
病理改变为非千酪性肉芽肿,可侵犯全身各器官,但较多的累及淋巴结、肺、肝、脾及皮肤等,好发于20-40岁女性。
肺结节病曾被称为肉样瘤,是原因不明的变态反应疾病。
病理改变为非千酪性肉芽肿,可侵犯全身各器官,但较多的累及淋巴结、肺、肝、脾及皮肤等,目录2肺结节病资料详情编辑肺结节病是一种非千略样坏死的上皮肉芽肿病变。
肠以上病例授及肺部,尤其是肺门和纵隔琳巴结cs3)。
因此须和中心型肺癌鉴别。
肺结节病较肺痛发病年龄轻。
症状缓和轻橄,病期长,反复发作并有自愈的可能,一般不咯血。
临床症状和X线改变程度极不一致,即脚部X线肺门区肿块很大。
患者症状不明显。
结节病是全身性疾病。
因此除肺内改变外可能有多处浅表淋巴结肿大。
皮肤和关节周围出现结节状突起和红斑。
病变爪及肝胆、眼和骨砧等器官时表现相应的症状。
随病程的发展,肺实质内出现纤维性变以后,肺门琳巴结反而停止发展成逐渐缩小。
诊断结节病的比较有效的方法是结节病皮肤试脸(Kveim试脸)C341,但组织液来浑困难,临床应用受到一定的限制。
实验室检查单核细胞和啥酸细胞增加,血钙、Y球蛋白增高也有助于和肺盛的鉴别。
肺结节的分类标准肺结节是指肺部内部出现的一种病变,主要特点是在肺部形成了一个团块或小的结节性病变。
肺结节的分类标准有很多,可以从不同的角度进行分类。
下面我将就其中常用的几种分类标准进行详细介绍。
一、形态学分类标准1. 形状:根据结节的外形进行分类,包括圆形、卵圆形、不规则形等。
不同形态的结节可能意味着不同的病理性质,因此形态学分类对于诊断和鉴别诊断非常重要。
2. 大小:根据结节的大小进行分类,一般以直径为标准。
一般而言,小于3毫米的结节很难被发现,而大于3厘米的结节往往需要进行手术治疗。
3. 边缘:根据结节的边缘特征进行分类,包括清晰、模糊、分叶状等。
边缘特征对于判断结节的良恶性至关重要。
二、病理学分类标准1. 良性:良性结节是指无恶性转化倾向的结节,一般不会引起患者严重的身体不适。
常见的良性结节有肺结节、炎性假瘤、血管瘤等。
2. 恶性:恶性结节是指有恶性转化倾向的结节,常见的恶性结节有肺癌、转移性肿瘤等。
恶性结节对于患者的生命健康带来了严重的威胁,及早发现和治疗至关重要。
三、组织学分类标准1. 腺癌:腺癌是一种常见的肺癌类型,起源于肺部的腺体细胞。
腺癌的病理标志是肺泡腺体化和黏液分泌增多。
2. 鳞癌:鳞癌是一种起源于肺部鳞状上皮细胞的肺癌类型。
鳞癌的病理标志是角化和鳞状上皮增生。
3. 小细胞肺癌:小细胞肺癌是一种高度恶性的肺癌类型,细胞体积小并具有较高的核细胞比例。
4. 大细胞肺癌:大细胞肺癌是一种肺癌类型,其细胞体积大且形态多样性较高。
四、影像学分类标准1. 高密度结节:高密度结节在CT影像中呈现高密度影像,通常与钙化有关,常见的有肺结核、肺栓塞等。
2. 低密度结节:低密度结节在CT影像中呈现低密度影像,通常与受损肺组织有关,如肺脓肿、空洞等。
综上所述,肺结节的分类标准包括形态学、病理学、组织学和影像学等多个方面。
准确分类和鉴别诊断对于制定合理的治疗方案至关重要,有助于提高患者的治疗效果和生存率。
体检肺部ct异常报告
体检肺部CT异常报告
患者信息:
姓名:XXX 性别:男年龄:XXX岁
临床症状及体征:
XXXXXXX(患者主要症状和体征的详细描述)
检查结果:
经胸部CT扫描,发现如下异常情况:
1. 肺部结节:在右肺上叶外上段内发现一个大小约为XXmm
的结节影,形态边界清晰,密度均匀。
建议进一步进行深入观察和评估。
2. 结节性病变:在左肺下叶后基底段外侧,显示一群大小不一的结节,其中最大者约为XXmm。
这些结节影边界较模糊,
密度不均匀,周围可见轻度模糊的毛糙边。
建议进一步行相关检查以明确病变性质。
3. 肺气肿:双肺上叶尤以左侧明显,可见散在的气肿表现,伴有肺窗下可见肺泡壁破裂空气形成的囊腔(气囊征)。
结论与建议:
根据CT结果,可能存在肺部结节以及结节性病变。
为明确病
变性质和进一步判断是否为恶性病变,建议患者进行以下检查:
(具体检查方法根据医生判断和实际情况具体列出)
1. 进一步观察:定期进行胸部CT随访,观察结节的生长情况,计算增长速率;
2. 病理学检查:推荐行支气管镜或经皮穿刺活检,以明确病变性质;
3. 血液检查:进行特定肿瘤相关标志物的检测;
4. PET-CT扫描:如有需要,进行全身PET-CT扫描以评估有
无其他病灶。
建议患者尽快联系专科医生,根据医生的建议进行相关检查和治疗。
如果出现病情加重、呼吸困难、咳嗽咳痰增多等异常情况,请及时就医。
肺部结节性病变临床与病理表现分析刘晓莉;张小丹【期刊名称】《中外医药研究》【年(卷),期】2024(3)6【摘要】目的:分析肺部结节性病变临床与病理表现。
方法:选取2016年1月—2023年7月拟于东台市中医院行外科手术治疗的200例肺部结节性病变患者作为研究对象。
对研究对象的切除组织进行病理分析,并分析各类型肺部结节性病变的大体及影像学表现。
结果:在200例患者中,良性病变10例(5.00%),良性肿瘤15例(7.50%),前驱腺体病变16例(8.00%),恶性肿瘤159例(79.50%)。
恶性肿瘤中浸润性腺癌(包含微浸润性腺癌)127例(79.87%),占比最高,其次为鳞状细胞癌22例(13.84%),小细胞癌8例(5.03%)。
前驱腺体病变质地软于良性病变、良性肿瘤、恶性肿瘤,差异有统计学意义(P<0.05);良性肿瘤边界不清占比低于良性病变,前驱腺体病变边界不清占比高于良性肿瘤,恶性肿瘤边界不清占比高于良性病变与良性肿瘤,差异有统计学意义(P<0.05)。
结论:肺部结节性病变类型较多,在对肺部结节性病变进行病理诊断时,应结合大体检查、影像学表现及病理特征等综合评估肺结节的良恶性。
【总页数】3页(P12-14)【作者】刘晓莉;张小丹【作者单位】东台市中医院病理科【正文语种】中文【中图分类】R734.2【相关文献】1.76例肺部结节性病变临床与病理分析2.术前使用CT引导下Hook-wire定位肺部小结节的临床价值及肺小结节恶性病变的危险因素分析3.不同病理类型肺部磨玻璃结节的CT诊断价值与临床表现特征分析4.术前恶性不除外手术病理确诊肺部良性病变297例患者临床-放射-病理特征分析:一项中国单中心回顾性队列研究5.595例肺部结节性病变临床与病理分析因版权原因,仅展示原文概要,查看原文内容请购买。
肺部孤立小结节性病变的X线、CT诊断
陈惠根;刘玉娥
【期刊名称】《江西医药》
【年(卷),期】2007(42)6
【摘要】目的探讨直径小于1.5cm肺部孤立性结节(SPN)的影像学表现及诊断特点.方法回顾分析46例临床病理证实的肺部小结节灶X线及CT影像学特点,结合复查观察及临床资料进行诊断及鉴别诊断.结果 46例SPN病灶中误诊率为46%,其中肺癌5例(3例被误诊),主要表现分叶、边缘小毛刺、支气管阻塞、胸膜凹陷;结核结节32例(15例被误诊),主要表现钙化、卫星灶、支气管引流,胸膜粘连;炎症结节7例(3例被误诊),主要表现边缘光滑或模糊、无分叶;良性肿瘤2例,主要表现:密度均匀、边缘光滑.但多数SPN病灶特征性征象不多.结论根据X线、CT及临床资料大部分小结节病灶可以诊断,随访及穿刺活检是诊断小结节病灶的重要方法.【总页数】3页(P496-498)
【作者】陈惠根;刘玉娥
【作者单位】江西省抚州市公费医疗门诊部放射科;江西省抚州市临川区医院,抚州,344000
【正文语种】中文
【中图分类】R563
【相关文献】
1.肺部孤立性癌性病变CT诊断 [J], 骆柏青;陈则君;钱大雁;王寿立
2.肺部孤立性微小结节(直径≤1 cm)的CT诊断 [J], 曾庆思;谢念危;胡文清
3.肺部孤立性炎性病变的X线、CT诊断 [J], 胡勇;王金良;李友成;刘洪波;黄海英
4.肺部孤立性炎性病变24例的CT诊断 [J], 王鹏飞
5.肺部孤立性癌性病变CT诊断 [J], 李长山
因版权原因,仅展示原文概要,查看原文内容请购买。
肺部结节的变异对肺癌的诊断影响肺癌一直以来都是世界范围内致命的癌症之一,而肺部结节是肺癌早期病变的一种常见表现。
然而,肺部结节的性质和变异对于肺癌的准确诊断具有重要影响。
本文将探讨肺部结节的不同类型和变异如何影响肺癌的诊断,以及现代医学技术如何应对这些挑战。
## 背景肺癌是全球范围内致死率最高的癌症之一,它通常在晚期才被发现,导致治疗成功率大幅下降。
然而,早期诊断可以显著提高治疗的成功率。
肺部结节是一种在肺组织中常见的小型异常区域,通常在影像学检查中被观察到。
这些结节可以是肺癌的早期迹象,也可以是良性肿瘤或其他非癌性疾病的症状。
因此,了解肺部结节的类型和变异对于肺癌的准确诊断至关重要。
## 肺部结节的类型肺部结节可以根据它们的性质分为两种主要类型:恶性(癌性)结节和良性结节。
恶性结节是肺癌的可能迹象,而良性结节通常不与肺癌相关。
肺部结节的类型对肺癌的诊断具有直接影响。
### 恶性结节恶性结节通常是肺癌的迹象,它们的生长速度较快,边缘不规则,通常会在多个影像学检查中逐渐增大。
这些结节有可能是肺癌的早期征兆,但不是肺癌的确诊。
进一步的检查通常是必要的,如生物标本检测(穿刺活检)或PET-CT扫描。
### 良性结节良性结节通常是非癌性病变的结果。
它们的生长速度相对较慢,边缘较规则,并且通常在多个影像学检查中保持不变。
良性结节可能是由感染、炎症或其他原因引起的,但它们通常不与肺癌相关。
## 肺部结节的变异肺部结节的变异在肺癌的诊断中也起着重要作用。
这些变异包括结节的大小、形状、位置和生长速度。
### 大小和形状肺部结节的大小和形状可以有很大差异。
小的结节可能更难以检测,而大的结节通常更容易被注意到。
此外,结节的形状也可以变化,有些是圆形,而有些是不规则的。
### 位置结节的位置也是一个关键因素。
如果结节位于肺组织的外围,它可能更容易被检测,而位于中央的结节可能需要更多的检查来确定其性质。
### 生长速度肺部结节的生长速度可以变异很大。