星形胶质细胞瘤的诊断和治疗
- 格式:pptx
- 大小:1.68 MB
- 文档页数:10
星形细胞瘤百科名片星形细胞瘤,英文名:astrocytoma ,别名:星细胞瘤;astrocytic glioma;astroma。
星形细胞肿瘤是指以星形胶质细胞所组成的肿瘤,是最常见的神经上皮性肿瘤。
星形细胞瘤相当于Kernohan分级中除毛细胞型星形细胞瘤外的Ⅰ级与Ⅱ级,在ST Anne-Mayo分级中为1级与2级。
星形细胞瘤为浸润性生长肿瘤,多数肿瘤切除后有复发可能,且复发后肿瘤可演变成间变性星形细胞瘤或多形性胶母细胞瘤。
间变性星形细胞瘤又称为恶性星形细胞瘤,肿瘤细胞间变程度在星形细胞瘤与多形性胶母细胞瘤之间。
目录简介流行病学病因临床表现并发症诊断治疗及预后编辑本段简介星形细胞瘤星形细胞瘤脑肿瘤中胶质细胞瘤发病率最高,约占40.49%,综合发病年龄高峰在30-40岁,或10-20岁。
大脑半球发生的胶质瘤约占全部胶质瘤的51.4%,以星形细胞瘤为最多,其次是胶质细胞瘤和少枝胶质细胞瘤,脑室系统也是胶质瘤较多的发生部位,占胶质瘤总数的23 .9%,主要为管膜瘤,髓母细胞瘤,星形细胞瘤,小脑胶质瘤占胶质瘤总数的13%,主要为星形细胞瘤。
编辑本段流行病学据文献报道星形细胞肿瘤占颅内肿瘤的13%~26% 占胶质瘤21.2%星形细胞瘤~51.6%,男性多于女性,男性约占60%,有报道男女之比为2∶1。
星形细胞瘤占脑肿瘤的10%~15% 多见于25~45岁的成人,平均年龄约37.5岁,无明显性别差异,肿瘤主要位于大脑半球,以额叶多见(46%),其次为颞叶(31%)、顶叶(15%) 位于间脑与枕叶者较少见。
间变性星形细胞瘤好发于中年,35~60岁多见,以男性稍多见,男女比为1.22∶1。
病灶多发生于大脑半球,额叶居多占40%,其次为颞叶(35%) 顶叶(17%)。
少数肿瘤可见于间脑、视神经、脑干、小脑及脊髓,位于小脑、间脑及视神经者均少见,发生于小脑者约占小脑星形细胞肿瘤的14.4%,占颅内神经上皮源性肿瘤的0.7%~1.2%。
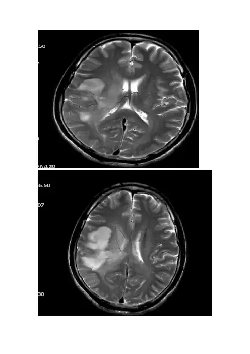
T2WIT1WIT2WI---FLAIRDWIADCT2WI---冠状位SWIT1WI----增强DTT头颅MRI(平扫+增强):右侧大脑半球内见大片状异常信号影,T1WI呈低信号,T2WI及水抑制像呈高信号,DWI呈高信号,边缘欠清,有轻度占位效应,右侧脑室呈轻度受压改变,增强后扫描呈轻度不均匀强化,最大层面强化范围约5.6X2.4cm,周边水肿影未见明显强化,中线结构尚居中,双侧筛窦内见粘膜增厚影,窦壁骨质未见明显破坏。
MR灌注成像示:内源性灌注示病灶区较对照组明显灌注稍增高。
病灶区MRS:代谢物波谱图主要显示NAA、Cr、Cho峰,病灶区NAA峰明显下降,Cho峰明显升高。
头颅DTT:右侧大脑半球区皮质纤维束较对侧部分中断、稀少。
头颅MRI(平扫+增强+MRS+DTI+灌注):1、右侧颞顶叶占位,考虑胶质瘤可能性大。
2、双侧筛窦炎症。
普通病理:右额顶叶冰对组织:灰白灰红色组织一块,大小1x0.8x0.2cm,质地中等。
另送右侧颞顶叶肿瘤:灰白灰褐色碎组织一堆,大小5x4x0.5cm,质地柔软。
“右额顶叶及右侧颞顶叶占位”:肥胖型星形细胞瘤(WHOⅡ级)。
冰冻病理:“右额顶叶占位”:胶质细胞瘤。
特殊病理:免疫组化鉴别诊断观察结果记录表抗体类型着色部位范围说明P53 核 60%ki-67 核 20%--------------------------------------------------阴性抗体类型:注释:上述检测中阳性加号的意义:无着色为阴性,<25%肿瘤细胞着色为(+),26-50%为(++),51-75%为(+++),>75%为(++++)。
ER、PR、P53、Ki-67计肿瘤细胞核阳性率。
“右额顶叶及右侧颞顶叶占位”:肥胖型星形细胞瘤WHOⅡ级。
星形细胞瘤有哪些症状?*导读:本文向您详细介绍星形细胞瘤症状,尤其是星形细胞瘤的早期症状,星形细胞瘤有什么表现?得了星形细胞瘤会怎样?以及星形细胞瘤有哪些并发病症,星形细胞瘤还会引起哪些疾病等方面内容。
……*星形细胞瘤常见症状:动眼神经麻痹、意识丧失、视野缺损*一、症状星形细胞瘤生长缓慢,病程较长,自出现症状至就诊时平均2年,有时可长达10年。
临床症状包括一般症状和局部症状,前者主要取决于颅内压增高,后者则取决于病变的部位和肿瘤的病理类型及生物学特性。
1、一般症状肿瘤的不断生长占据颅腔内空间,肿瘤阻塞脑脊液循环通路造成脑内积水和(或)脑水肿,脑脊液的回吸收障碍等均可造成颅内压增高。
正常颅腔容积比脑组织约大10%,当脑组织的体积增加8%~10%时尚可能无颅高压症状的出现,而当颅内占位病变占据150ml以上的容积时即可能产生相应的颅高压症状。
大脑半球的星形细胞瘤发病缓慢,病程较长,多数先出现由于肿瘤直接破坏所造成的定位体征和症状,随后又出现颅内压增高的症状。
小脑星形细胞瘤由于较早的影响脑脊液循环通路,多先出现颅内压增高症状,脑干的星形细胞瘤进展较快,病程较短,早期出现脑神经损害和锥体束征,而颅内压增高的症状常见于晚期。
颅内压增高的症状主要包括头疼、呕吐、视盘水肿,视力视野改变,癫痫、复视,头颅扩大(儿童期)和生命体征的改变等。
2、不同性质肿瘤的症状(1)星形细胞瘤:生长缓慢,病程常长达数年,平均3.5年,多数患者呈缓慢进行性发展。
癫痫常为首发症状,50%患者以癫痫起病。
75%患者有头痛,50%有精神运动性肌无力,出现呕吐与明显意识障碍分别为33%与20%。
神经系统检查多数患者有视盘水肿与脑神经障碍,均占60%。
近半数患者出现肢体肌无力,而出现言语困难、感觉障碍、视野改变者也分别为20%。
(2)间变性星形细胞瘤:病程较星形细胞瘤短,平均6~24个月。
大脑半球病灶主要临床症状为头痛(71%)、精神症状(51%)、肢体无力(40%)、呕吐(29%)、言语困难(26%)、视力改变(23%)及嗜睡(22%)。
弥漫性星型细胞胶质瘤CONTENTS概论影像表现鉴别诊断小结,01概述02⚫弥漫性星形细胞瘤, 也被称为低度浸润性星形细胞瘤。
肿瘤和正常脑组织之间没有可识别的边界⚫WHO Ⅱ级, 可转变为间变性星形细胞瘤和胶质母细胞瘤⚫20-45岁的年轻人,两个高峰,一个高峰在童年(6-12岁),另一个高峰在成年早期(26-46岁)。
⚫男:女=3:2⚫多位于额颞叶手术切除如果可行的话02⚫最常见的临床表现是癫痫(40%),尤其是成年人;头痛,脑积水;局灶性神经功能障碍;人格改变⚫治疗取决于临床表现,以及肿瘤的大小和位置。
处理方式如下:✓可行的情况下手术切除✓在肿瘤复发或进展时进行放疗02⚫病理学检查肿瘤境界不清楚,无包膜,肿瘤界限不清,局部脑组织肿胀,偶见囊变、钙化及出血。
⚫镜下显示瘤细胞轻-中度异型,结构疏松,常见微囊变及细小纤维背景。
免疫组化染色胶质酸性蛋白(GFAP)、异柠檬酸脱氢酶-1(IDH1)及少突胶质细胞转录因子-2(Olig2)染色(+)。
0202影像表现典型的低级别浸润性星形细胞瘤表现为等密度或低密度区的正质量效应,通常没有任何强化(事实上,增强的存在意味着更高级别的肿瘤),尽管双生细胞星形细胞瘤特别能显示出少量强化。
02⚫MRI 是诊断的首选方式,对于较小的肿瘤,在CT 上很难被发现,特别是因为它们往往不强化⚫CT✓等密度或低密度,边界不清,有占位效应,少有瘤周水肿✓通常没有强化(强化明显提示更高级别的肿瘤)✓钙化少见(10-20%)✓囊变可见典型的低级别浸润性星形细胞瘤表现为等密度或低密度区的正质量效应,通常没有任何强化(事实上,增强的存在意味着更高级别的肿瘤),尽管双生细胞星形细胞瘤特别能显示出少量强化。
02⚫MRI✓T1WI与白质相比呈等或低信号通常局限于白质并导致相邻皮质的扩大增厚;晚期皮质也可受累(与一开始就位于皮质的少突胶质细胞瘤相鉴别)✓T2WI T2-FLAIR 不匹配征:T2高信号在FLAIR 上呈低信号浸润性星形细胞瘤扩散过程中的“微囊变”是浸润性星形细胞瘤的一种独特表现,但仅在少数病例中才能出现✓DWI/ADC通常不受限典型的低级别浸润性星形细胞瘤表现为等密度或低密度区的正质量效应,通常没有任何强化(事实上,增强的存在意味着更高级别的肿瘤),尽管双生细胞星形细胞瘤特别能显示出少量强化。
DWI 在星形细胞瘤和脑炎诊断中的应用何健;邱国华;龚敏;卢壬肖【摘要】Objective:To explore the differential diagnosis value of diffusion weighted imaging ( DWI) on the viral encephalitis and low grade astrocytomas .Methods:37 cases with acute or subacute viral encephalitis and 33 cases with low grade astrocytomas were all diagnosed by MR imaging and DWI .The apparent diffusion coefficient ( ADC ) values and relative apparent diffusion coefficient ( rADC ) values in the two groups were calculated and analyzed .Results:The mean ADC values and rADC values were (1.55 ±0.37) ×10 -3 mm2/s and (1.86 ±0.62) ×10 -3 mm2/s respectively in the viral encephalitis; were (1.07 ±0.29) ×10 -3 mm2/s and (1.31 ±0.35) ×10 -3 mm2/s respectively in the low gradeastrocytomas .There was significant difference in the mean ADC values( P<0.01 ) and rADC values ( P<0.01 ) in the two groups .Conclusion:The ADC value and rADC value of DWI play a important roles in the differential diagnosis between viral encephalitis and low grade astrocytomas .%目的:研究扩散加权成像( DWI)在星形细胞瘤和脑炎中的显示特征以及疾病鉴别诊断中的价值。
影像诊断病理丨星形细胞肿瘤星形细胞肿瘤(一)星形细胞瘤(astrocytoma)1、基本病理星形细胞瘤好发于大脑半球白质,以额叶、颞叶及其相邻区域多见,也可发生于丘脑、脑干及小脑半球。
星形细胞瘤包括纤维型、原浆型、肥胖型等亚型肿瘤。
星形细胞瘤约占全部颅内肿瘤的30%,占神经胶质瘤的78%以上。
肿瘤可达数厘米大小的结节至巨大肿块。
分化较好的肿瘤境界不清,而分化程度较低的肿瘤由于生长速度较快易有变性、坏死和出血,加之肿瘤组织的细胞数量更为密集,肉眼观似与周边组织分界清楚,但两者之间并无包膜或变性细胞形成的假分隔存在,在分界外的正常组织中仍有瘤细胞侵入。
肿瘤内含有多少不等的胶质纤维,约50%肿瘤的胶质部分形成囊腔。
星形细胞瘤内微囊形成是肿瘤分化良好的重要标志。
囊内多含有清亮液体,蛋白含量较高。
位于小脑的星形细胞瘤通常为一个大囊,囊壁有瘤结节,囊壁为纤维结缔组织及神经胶质纤维构成,只要切除肿瘤结节即可达到根治肿瘤的目的,此种肿瘤称之为“瘤在囊内”型。
肿瘤细胞可分为纤维型胶质细胞、原浆型胶质细胞和肥胖型胶质细胞。
前两者为良性肿瘤,后者性质介于良恶性之间。
•纤维型星形细胞瘤最为常见,生长缓慢。
瘤细胞较小,分布均匀,大多数不见胞浆仅见细胞核,极少见核有丝分裂相。
瘤内血管少,偶可见小的钙化和小的囊腔。
瘤周脑水肿轻微,无炎细胞浸润。
•原浆型星形胶质细胞瘤主要见于大脑。
瘤体大,无包膜,多有囊性改变。
•肥胖型星形胶质细胞瘤好发于大脑半球,浸润性生长,肿瘤质软,常可见小的囊性变形成。
如肿瘤细胞出现间变,细胞密度增大,血管内皮细胞增生,则为间变型星形细胞瘤。
2、临床主要信息以癫痫发作、颅内高压、运动及智力障碍等临床症状为主要表现。
儿童的星形细胞瘤多见于小脑半球或小脑蚓部,常阻塞或压迫第Ⅳ脑室引起颅内高压。
脑干肿瘤主要表现为头晕、复视及颅神经、锥体囊受损症状。
3、影像诊断病理基础星形细胞瘤主要影像学表现为脑白质内的占位性病变。
胶质瘤病理诊断标准全文共四篇示例,供读者参考第一篇示例:胶质瘤是一种常见的脑部肿瘤,起源于星形细胞或神经胶质细胞,通常病理上表现为恶性。
其病理诊断标准对于患者的治疗和预后都至关重要。
在临床实践中,胶质瘤的病理诊断主要依赖于病理学家对组织标本的细致观察和评估,同时结合免疫组化染色和分子生物学检测,以得出准确的诊断。
关于胶质瘤的病理诊断标准,主要包括以下几个方面:一、组织学形态特征胶质瘤的组织学形态特征是病理学家最常用的诊断依据之一。
在显微镜下观察,胶质瘤的细胞呈星形或梭形,胶质细胞核大而异形,胞浆丰富,胶质纤维增生明显。
胶质瘤的增生呈现不规则状,可形成明显的网状结构或血管模拟,伴有炎症细胞浸润等特征,并且通常具有高度核分裂活性。
二、免疫组化染色免疫组化染色在胶质瘤的病理诊断中扮演着重要的角色。
通过对肿瘤标本进行多种抗体染色,可以检测特定的蛋白质在肿瘤组织中的表达情况。
常用的标记物包括GFAP(神经胶质纤维酸性蛋白)、Ki-67(增殖细胞核抗原)和p53等。
阳性GFAP染色结果表明肿瘤起源于星形胶质细胞,Ki-67阳性率高则提示肿瘤增殖活性明显,p53过表达则可提示肿瘤的恶性程度。
三、分子生物学检测近年来,分子生物学检测在胶质瘤的病理诊断中越来越受到重视。
通过检测肿瘤细胞的基因突变、染色体异常或表达水平,可以为病理诊断提供更为准确的依据。
经典的例子包括IDH(异柠檬酸脱氢酶)基因突变和MGMT(O6-甲基化鸟嘌呤-DNA-甲基转移酶)基因甲基化状态等。
IDH突变通常出现在低级别胶质瘤中,而MGMT甲基化状态则与对放疗药物的敏感性密切相关。
胶质瘤的病理诊断标准是一个综合性的过程,需要结合组织学形态特征、免疫组化染色和分子生物学检测等多方面信息,以得出准确的诊断结果。
随着医学科技的不断进步和发展,相信未来会有更多更准确的病理诊断方法出现,为胶质瘤患者的治疗提供更为精准的指导。
希望通过科学家和医生的共同努力,未来能够更好地控制和治疗这种疾病,为患者的健康保驾护航。
恶性胶质瘤能治好吗?恶性星形细胞瘤包括间变性星形细胞瘤(AA,世界卫生组织[WHO]III级)、多形性胶质母细胞瘤(GBM,WHO级)和胶质肉瘤,是成人非常常见的原发性中枢神经系统(CNS)恶性肿瘤。
即使采用最佳治疗,胶质母细胞瘤患者的中位生存期也只有不到2年,间变性胶质瘤患者的中位生存期只有2到5年。
恶性星形细胞瘤的特点是侵袭性和浸润性,难以根治。
在20世纪30年代,Walter Dandy 报道称,即使在切除肿瘤半球后,对侧胶质瘤仍会复发,从而说明了这些肿瘤的浸润性。
尽管进行了积极的切除,这些患者的生存时间仍然少于2年。
在稳步提高这些肿瘤患者的生存率方面已经取得了5项进展。
四项随机、前瞻性、对照的多机构试验导致两种新的治疗方法获得了美国食品和药物管理局(Food and Drug Administration)对恶性胶质瘤的批准。
Brem和他的同事发现使用卡莫司汀负载的生物可降解聚合物可以提高复发性恶性胶质瘤患者的生存期,从23周提高到31周。
Valtonen及其同事发现,接受卡莫司汀联合生物可降解聚合物治疗的高级别胶质瘤患者,从手术到死亡的平均时间为58.1周,而安慰剂组为39.9周。
此外,卡莫司汀联合生物可降解聚合物治疗GBM患者存活53.3周,而安慰剂组仅存活39.9周。
Westphal和他的同事进行了一项多中心的长期研究,接受Gliadel(卡莫司汀,一种生物可降解聚合物)治疗的患者中位生存期为13.8个月,而接受安慰剂治疗的患者中位生存期为11.6个月。
Stupp 和其合作者报告了GBM患者在手术切除、放疗和替莫唑胺化疗后的中位生存期为14.6个月。
外科设备的进步包括术中导航下趋实体性、功能性磁共振成像(MRI),皮层映射,和术中MRI。
虽然这些增加旨在协助增加肿瘤切除的程度,有相互矛盾的证据是否切除的程度与改善高档神经胶质瘤患者的生存。
恶性胶质瘤的标准治疗始于手术对新诊断的恶性胶质瘤的标准治疗始于外科手术,因为不能仅根据放射学特征作出最终诊断。
胶质瘤病理学特点-概述说明以及解释1.引言1.1 概述胶质瘤是一种常见的中枢神经系统肿瘤,起源于胶质细胞,是导致严重神经系统疾病和死亡的主要原因之一。
胶质瘤病理学特点是指在组织学和细胞学层面上观察到的一系列特殊特征和变化。
在组织学上,胶质瘤的特点主要包括瘤细胞的异常增殖和浸润性生长。
与正常的脑组织相比,胶质瘤细胞数量增多,并且排列紧密。
此外,胶质瘤细胞的胞质核比率高,细胞核具有异型性,即形态和大小不一致。
瘤细胞常常形成集结体、索状结构和囊腔等特征,交织在胶质纤维网中。
在瘤组织中还可能存在瘤周血管增生、坏死和出血等变化。
从细胞学上观察,胶质瘤细胞具有高度异质性。
不同于正常神经细胞具有特定的神经元功能和形态特征,胶质瘤细胞在形态和功能上呈现出明显的异常和多样性。
胶质瘤细胞常常失去正常胶质细胞的限制性生长特性,导致无控制地增殖和扩散。
此外,胶质瘤细胞的细胞质内含有丰富的颗粒物质,如胶质纤维和胶质结节等。
胶质瘤病理学特点的研究对早期诊断、治疗和预后评估具有重要的临床价值。
通过观察和分析组织学和细胞学的特点,可以确定胶质瘤的类型、分级和预后。
病理学特点还可以指导临床医生选择合适的治疗方案,如手术切除、放疗和化疗等。
此外,对胶质瘤病理学特点的深入理解还有助于揭示胶质瘤发生发展的分子机制和预测治疗效果。
尽管我们已经取得了一些关于胶质瘤病理学特点的重要发现,但仍有许多问题需要进一步研究和探索。
未来的研究应该致力于深入了解胶质瘤细胞的分子特征和致病机制,为个体化治疗提供更好的基础。
此外,研究人员还应该积极探索新的治疗策略,并通过病理学特点的发现和应用,不断改进胶质瘤的诊断和治疗效果。
综上所述,胶质瘤病理学特点在胶质瘤的诊断、治疗和预后评估中具有重要的作用。
通过深入研究和理解胶质瘤的组织学和细胞学特点,我们可以为患者提供更准确和有效的个体化治疗。
未来的研究将进一步揭示胶质瘤的分子机制,并进一步改善胶质瘤的治疗效果。
大脑胶质瘤病一概述大脑胶质瘤病(GC),又名弥漫性星形细胞瘤、脑弥漫性胶质瘤等,是一种临床少见的中枢神经系统肿瘤性疾病。
本病特征为:病变浸润性或多发性生长,涉及2个及以上脑叶。
2007年WHO中枢神经系统肿瘤的分类将其归属于神经上皮组织肿瘤中的星形细胞肿瘤,恶性程度为3级。
GC的临床表现不具特异性,一般为亚急性起病,进行性加重。
若出现进行性加重的头痛、偏瘫和癫痫发作,影像学上显示脑实质内多个脑叶受累的病变,应考虑本病。
目前该病尚无特殊有效的治疗方法,基本治疗包括手术、放疗和化疗。
二病因大脑胶质瘤病来源目前尚不清楚,有三种主要学说:脑神经胶质细胞胚胎发育障碍,导致瘤细胞样畸变,最终形成离心样弥漫分布的肿瘤;可能由单发肿瘤经内在广泛扩布或区域性转移扩散;肿瘤为多中心起源,瘤细胞经进一步离心扩散呈弥漫性浸润。
目前多认为它是在一定的内外因素作用下大范围的胶质细胞间变所致,同时瘤细胞沿着脑白质内的传导束向远处浸润扩散,而扩散的瘤细胞在适宜的部位和内外因素作用下又发展成为另一相对独立的瘤巢。
有人认为,脑胶质瘤可能来源于胚胎组织或为慢性炎症影响的结果,如脑梗死的亚急性期、多发性硬化、进行性多灶性白质脑病等,它们均可合并有明显胶质细胞增生。
胶质瘤病分子水平的研究很少,分子水平改变还是很大的未知领域。
ChristianM报道,在胶质瘤病中存在P53的改变,但这并不是病情恶化的必要条件。
三临床表现临床表现为进行性颅内压增高和癫痫反复发作,同时伴有不同程度的智力与精神障碍。
其常见的症状依次为:皮质脊髓束受累占58%,智能减退或痴呆占44%,头痛占39%,癫痫发作占38%,脑神经损害占37%,颅内压增高占34%,脑脊液受累占33%。
四检查影像学检查示病变弥散,侵犯大脑半球2个或2个以上脑叶。
CT平扫病灶可呈高密度、低密度或等密度,病变边界欠清楚,同一病例不同病灶密度也可不相同。
病灶可强化或不强化,瘤周多有不同程度水肿。
中国胶质瘤指南
胶质瘤的定义和分类
胶质瘤是一种常见的中枢神经系统肿瘤,由胶质细胞形成。
根据WHO(世界卫生组织)的分类,胶质瘤被分为四个等级,其中一级和两级为良性肿瘤,三级和四级为恶性肿瘤。
胶质瘤的症状和诊断
胶质瘤的症状包括头痛、晕厥、恶心和呕吐、精神失常等。
诊断胶质瘤需要进行脑部影像学检查,头部CT或MRI可用于确定嗜铬细胞瘤的病变位置和大小。
胶质瘤的治疗
目前针对胶质瘤的治疗包括手术切除、放疗和化疗等多种方法。
手术切除是目前胶质瘤治疗的首要选择,但由于胶质瘤的位置和大小不同,手术切除并不能完全去除瘤体。
放疗和化疗是在手术切除后进行的辅助治疗。
胶质瘤治疗中的综合护理
在胶质瘤治疗的过程中,同时进行综合护理可以有效缓解患者的痛苦。
综合护理包括饮食调理、药物治疗和心理治疗等,可以提高患者的生活质量和治疗效果。
在药物治疗方面,目前已经出现了很多针对胶质瘤的靶向药物,这些药物对提高治疗效果有明显的作用。
胶质瘤的预后和复发
胶质瘤的预后和复发与治疗的效果有很大关系。
良性肿瘤的预后较好,恶性肿瘤的预后则较差。
胶质瘤的复发率相对较高,需要密切的随访和治疗。
作为一种常见的神经系统肿瘤,胶质瘤的治疗和管理是一个十分复杂的过程。
综合护理和治疗仍然存在很大的发展空间,加强科研和临床实践有助于提高胶质瘤治疗的效果和预后,为患者带来更多的福音。
CD44s和Mib—1在星形胶质细胞瘤中的表达及其临床意义作者:金晶马跃辉詹仁雅周永庆俞建波来源:《中国当代医药》2013年第17期[摘要] 目的探讨CD44s和Mib-1在星形胶质细胞瘤中的表达及其临床意义。
方法采用免疫组织化学ABC法检测41例不同级别星形胶质细胞瘤标本中CD44s和Mib-1的表达,并与肿瘤恶性程度及预后做相关分析。
结果高级别胶质瘤中CD44s及Mib-1的表达均高于低级别胶质瘤(P = 0.008、0.002)。
CD44s与Mib-1表达呈正相关(P < 0.01,r = 0.6)。
CD44s和Mib-1低表达组无进展生存时间均显著大于高表达组。
结论 CD44s与Mib-1在人脑胶质瘤中的表达与组织学恶性程度相关,两者对人脑胶质瘤患者的预后有重要意义。
[关键词] 星形胶质细胞瘤;CD44s;Mib-1;免疫组织化学[中图分类号] R739.4 [文献标识码] A [文章编号] 1674-4721(2013)06(b)-0004-04星形胶质细胞瘤是常见的颅内原发性肿瘤。
虽然低级别的星形胶质细胞瘤较高级别的生长缓慢,但却能向高级别进展。
目前世界卫生组织对星形胶质细胞瘤的分类法在预计临床预后及生存率方面仍然存在许多缺陷。
从分子水平上诊断、评估预后比从组织病理学上更加精确[1]。
其中细胞表面黏附蛋白CD44s及细胞增殖相关蛋白Mib-1引起了人们广泛的关注[2-3]。
本研究对星形胶质细胞瘤标本中CD44s和Mib-1的表达进行检测,并初步探讨其在诊断及判断预后中的临床意义。
1 资料与方法1.1 一般资料41例胶质瘤标本取自1998年1月~2005年12月的手术患者。
其中,男性27例,女性14例,年龄6~79岁,平均(39.0±21.4)岁。
术中肿瘤切除后,一部分立即放入液氮保存,余下组织予10%甲醛固定,石蜡包埋后做常规HE染色。
根据世界卫生组织中枢神经系统肿瘤分类方法将所有标本进行分类,其中,星形细胞瘤Ⅰ级11例,星形细胞瘤Ⅱ级9例,星形细胞瘤Ⅲ级11例,胶质母细胞瘤Ⅳ级10例。