X线正常解剖
- 格式:doc
- 大小:1.72 MB
- 文档页数:20
:正常X线解剖胸部X线片系统读片原理24个字母(A-X)系统读片法,可以减少漏诊。
胸部X线片系统读片原理A(Airway)气道在胸上部,看它是否居中,脊柱是否直线经过,气管有无移位,有无纤维组织牵拉使肺容积缩牵、过度充气及压迫。
有无支气管气管巨大症,肺叶开口压迫、狭窄、隆突受压等支气管肺癌征象。
B(Bone)肋骨距是否某侧缩窄,肋骨有无缺损,如第一肋骨上缘缺损,有硬皮病、类风湿性关节炎的可能。
第7~9肋骨下缘缺损示主动脉狭窄,见于儿童先天心脏病;法乐氏四联症可见左肋下缘缺损。
咳嗽所致骨折,可见于6~9肋,第7肋腋后线可见叉形肋。
鸽胸与先天性房室间隔缺损相关,也见于儿童哮喘症或脊柱侧凸严重时伴通气功能降低者。
骨脱钙可见于类固醇治疗患者、老年、肾病、或其他代谢病者。
C(Cor)心脏右缘有两弓,左缘有四弓。
右两弓消失见于漏斗胸、右中叶萎缩、肺炎。
形状变化或心脏扩大,见于先天性心脏病、心力衰竭。
D(Diaphragm)膈肌右高于左半个肋间隙,一侧高,考虑胸部肿瘤、纤维组织牵拉、膈下脓肿。
半侧膈肌升高考虑外伤、中风、颈部感染或肿瘤、肺炎或放射治疗后。
右侧可见膈肌伴弯刀征。
医学.教育网原。
创E(Esophagus)食管位于气管右,若有空气液面,考虑食管不能松驰或狭窄。
F(Fissures)肺裂将各肺分为各叶,左右各有一斜裂,右侧有横裂,斜裂下端止于膈肌,决不止于前胸壁,有异常时示有病变。
G(Gastric bubble)胃泡在左侧,若在右,考虑内脏转位,胃泡不见,考虑食管不能松驰。
胃泡在心右可能为膈疝。
H(Hila)肺门移位示肺部分萎缩、过度充气等,肺门区扩大可能是肺癌转移、肺内感染、免疫疾病或结节病。
I(Interstitium)间质性浸润分两型,间质型看上部心前区,下部可因妇妇女乳房影加重。
肺泡型浸润,因肺泡灌注水、脓、血或蛋白质样物质,见于Goodpasture 氏征、肺含铁血黄素沉着症、鳞状上皮脱落间质性肺炎等。
X线正常解剖(基础+精华)
正常头颅X线解剖——头颅平片后前位
正常头颅X线解剖——头颅平片侧位
正常胸部X线解剖——胸部平片后前位
正常胸部X线解剖——胸部平片侧位
正位胸片10大观察死角及影像观片原则
1、颈部:颈部软组织肿块(如甲状腺肿块);
2、肺尖、第1肋骨:如肺上沟癌,第1肋骨骨折、破坏等,要注意两侧对比;
3、锁骨胸骨端、胸锁关节、胸骨:锁骨胸骨端骨质破坏,胸锁关节半脱位,胸骨骨折等;
4、锁骨尖峰端、锁骨外1/3:此处骨折或骨质破坏易漏诊;
5、肩胛骨:骨折或骨质破坏易漏诊;
6、肋骨腋缘、前肋:无错位骨折易漏诊,肋骨腋缘胸膜反应是提示骨折的重要征象;
7、胸椎:在投照条件较低的胸片,肿瘤、结核易漏诊,注意观察椎体形态及有无椎旁软组织影,要注意对侧位的观察;
8、心影后:在投照条件较底的胸片,病灶易漏诊,要注意对侧位的观察;
9、肺门:肺门较小的肿块有时需与扩张的肺动脉、左肺动脉弓鉴别;
10、膈下:急腹症及外伤照胸片要注意膈下游离气体。
影像观片原则:总体印象、分部观察、注意死角、左右对比、前后对照。
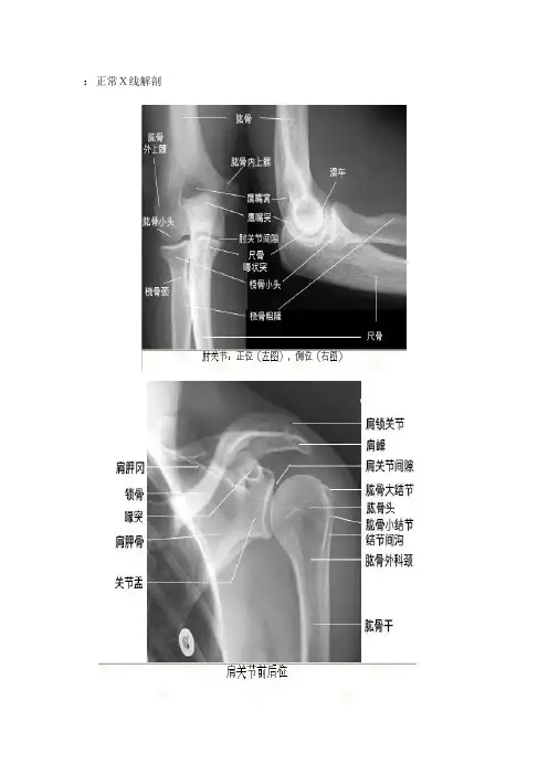
正常上肢X线解剖——肩关节平片前后位
正常上肢X线解剖——肘关节平片正、侧位
..
正常上肢X线解剖——腕关节平片正位
正常上肢X线解剖——腕关节平片侧位
正常下肢X线解剖——膝关节平片正、侧位
正常下肢X线解剖——踝关节平片正位
正常下肢X线解剖——足平片正、斜位
正常脊柱X线解剖——环、枢椎平片张口位
正常脊柱X线解剖——颈椎平片斜位。