颅内淋巴瘤CTMR诊断与鉴别
- 格式:ppt
- 大小:6.76 MB
- 文档页数:11
淋巴瘤脑部诊断标准
淋巴瘤脑部(CNS淋巴瘤)是指淋巴瘤在中枢神经系统(脑
和脊髓)中的扩散。
在诊断CNS淋巴瘤时,通常需要满足以
下标准:
1. 病史:存在以中枢神经系统症状为主的表现,如头痛、癫痫、认知功能障碍等。
2. 神经影像学表现:通过脑部MRI或CT等影像学检查发现
脑内病灶、颅内出血或脑脊液浸润等异常。
3. 脑脊液检查:通过脑脊液的检查发现异常细胞(淋巴瘤细胞)或其他异常指标,如蛋白电泳异常、淋巴细胞计数异常等。
4. 病理学检查:通过脑部病理学检查,如脑活检或脑尸检,发现淋巴瘤细胞浸润或肿瘤形态学改变。
正式诊断CNS淋巴瘤需要综合上述几个方面的证据,因为这
些检查方法和标准在不同的医疗机构和地区可能会有些差异。
因此,最好在专科医生的指导下进行诊断和治疗。
淋巴瘤的鉴别诊断淋巴瘤是一种常见的淋巴系统恶性肿瘤,主要发生在淋巴结、脾、骨髓等淋巴组织中。
由于淋巴瘤的症状和体征与其他疾病相似,因此在临床上需要进行鉴别诊断,以确保正确的诊断和治疗方案。
淋巴瘤的鉴别诊断主要包括以下几个方面:1. 病史询问在鉴别诊断淋巴瘤时,首先要详细了解患者的病史。
包括疾病的发病时间、持续时间、症状的表现和发展过程等。
特别是询问有无淋巴结肿大、晚间发热、进行性贫血等症状。
2. 体格检查淋巴瘤的患者常可出现全身淋巴结肿大、质地硬、无痛等特点。
在体格检查中,应重点观察淋巴结的体积大小、质地、是否有粘连、是否可动、局部有无压痛等特征。
3. 影像学检查3.1 超声检查超声检查是一种常用的影像学检查方法,可以帮助鉴别淋巴瘤和其他疾病。
在超声检查中,淋巴瘤通常显示为混合回声、均匀的结节状肿块,边界清晰、质地坚实等特点。
3.2 CT检查CT检查是一种高分辨率的影像学检查方法,可以清晰显示淋巴结的大小、形态、密度等特征。
在CT检查中,淋巴瘤通常呈不规则形状、弥漫性浸润性生长等特点。
4. 实验室检查4.1 血液学检查淋巴瘤患者的血常规常可显示贫血、白细胞计数增高等异常。
此外,淋巴瘤患者的外周血中常可检测到淋巴细胞、原始淋巴细胞等异常细胞。
4.2 生化检查淋巴瘤患者的生化检查结果通常会显示某些肿瘤标志物的升高,如乳酸脱氢酶(LDH)等。
5. 活检检查对淋巴瘤的鉴别诊断最可靠的方法是进行组织活检检查。
通过淋巴结活检、骨髓活检等方法获取组织标本,经病理学检查明确肿瘤的性质、类型和分级,从而确诊淋巴瘤。
综上所述,淋巴瘤的鉴别诊断需要综合运用病史询问、体格检查、影像学检查、实验室检查和活检检查等多种方法,结合临床表现和检查结果进行综合分析,以确保正确的诊断和治疗方案的制定。
淋巴瘤诊断及鉴别诊断诊断淋巴瘤的诊断主要依靠临床表现,病理学检查及必要的辅助性检查。
诊断应包括病理类型及病变范围(分期)。
对只有深部病变而无浅表淋巴结肿大者,诊断往往较困难,需要借助于辅助检查,介绍如下:一、活体组织检查为肯定诊断所不可少的检查方法。
一般应选择下颈部或腋部的淋巴结,因颌下及腹股沟部淋巴结常有慢性炎症,影响诊断的准确性。
斜角肌脂肪垫活检,对纵隔或肺部病变有一定诊断意义。
二、纵隔镜检查纵隔镜可经胸膜外进入纵隔作活检,比较简便安全。
三、下肢淋巴管造影对腹膜后淋巴瘤的诊断、分期、判断疗效和观察复发方面是一项准确性较高、安全简单和并发症少的检查技术,且在某些方面优于CT 和声象图,它能发现正常大小的病变淋巴结内部结构变化。
四、CT、核磁共振和声象图检查可发现胸内、腹膜后、肠系膜之淋巴结病变及肝脾病变。
五、剖腹检查可明确脾、肝及腹腔内淋巴结是否受累,为采用放射治疗,确定照射野所必不可少的(病理分期)。
如同时作脾切除,还可以避免因脾区放疗对邻近组织器官的损伤。
六、骨髓活检对诊断和查明病期比骨髓涂片阳性率高。
凡血清硷性磷酸酶升高,不能解释的贫血、血小板减少、X片疑有骨侵犯以及Ⅲ期以上病人均应作骨髓活检。
鉴别诊断临床上恶性淋巴瘤易被误诊。
以表浅淋巴结肿大者,需要和慢性淋巴结炎、淋巴结结核、转移瘤、淋巴细胞性白血病、免疫母细胞淋巴结病、嗜酸性淋巴细胞肉芽肿等鉴别。
以深部纵隔淋巴结起病者,须与肺癌、结节病、巨大淋巴结增生等病相鉴别。
以发热为主要表现者,须与结核病、恶性组织细胞病,败血症、风湿热、结缔组织症等鉴别。
颅内原发淋巴瘤的MRI诊断及误诊分析【摘要】目的探讨颅内淋巴瘤MRI表现,分析误诊原因,以提高颅内原发淋巴瘤的MRI诊断水平。
方法回顾性分析14 例颅内原发淋巴瘤的MRI 表现及误诊原因。
结果颅内原发淋巴瘤 T1WI 多呈稍低信号,T2WI呈等或稍高信号,FLAIR呈稍高或高信号,DWI多为稍高或高信号。
Gd-DTPA增强扫描病灶多呈明显强化。
病灶形态可为多发结节状、团块状或不规则形,侵及胼胝体时可呈“蝴蝶征”。
14例中MRI正确诊断5例,误诊9例,误诊主要原因是颅内淋巴瘤发生部位的不确定性及MRI表现的多样性。
结论 MRI能较好地分析颅内淋巴瘤的形态学改变及信号特点,可跟踪分析病情变化过程,但误诊率高,需进一步提高此疾病的诊断准确率。
【关键词】颅内;淋巴瘤;磁共振成像;诊断;误诊[Abstract] Objective To improve the MRI diagnostic level of intracranial primary lymphoma, we discuss the MRI findings and analyze misdiagnosis reason. Methods 14 cases of intracranial primary lymphoma MRI findings were retrospectively analyzed. Results Primary intracranial lymphoma mostly showed slightly hypointense on T1WI, isointense or slightly hyperintense on T2WI, slightly hyperintense or hyperintense on FLAIR and DWI. The lesions were mostly significantly enhanced after Gd-DTPA enhancement scanning. The shape of lesions was multiple nodular,masslike or irregular, when encroaching corpus callosum it appeared “butterfly sign”. Among 14 cases of MRI da ta, correct diagnosis 5 cases, misdiagnosis 9 cases. The mainly misdiagnosis reason were the uncertainty location of the intracranial primary lymphoma and thepersity of MRI findings. Conclusion MRI can better analyze the morphological changes and signal characteristics of intracranial lymphoma, and follow-up analysis the condition of the disease change. However, MRI mistake diagnose rate are still high, we should further improve the diagnosis rate of this disease with MRI.[Key words] intracalvarium;lymphoma;magnetic resonanceimage ;diagnosis;misdiagnosis原发中枢神经系统淋巴瘤(primary central nervous system lymphoma,PCNSL)约占淋巴瘤的1%左右,脑肿瘤的0.3%~1.5%[1]。
中外医疗中外医疗I N FOR I GN M DI L TR TM NT2008N O .26CH I NA FOR EI G N M EDI CAL TREATM ENT影像与检验颅内原发性中枢神经系统淋巴瘤是指中枢神经系统之外各处均无淋巴瘤而只发生于中枢神经系统的淋巴瘤,是颅内淋巴网状系统较为少见的恶性肿瘤,属于非何杰金氏淋巴瘤。
随着免疫制剂使用过多及A I D S 病患者的增多,颅内淋巴瘤的发病率有逐渐上升的趋势。
作者回归性分析经手术病理证实的9例颅内原发性中枢神经系统淋巴瘤的M R I 表现,观察总结其影像特征,以提高本病的影像学诊断水平。
1资料与方法收集9例颅内原发性中枢神经系统淋巴瘤,其中男性6例,女性3例,年龄27~64岁,平均年龄48.2岁。
临床表现主要为头痛,恶心,呕吐,癫痫及肢体运动障碍等。
所有病例均行M R 平扫及增强扫描检查,使用Si em ens a vant o 及s ym phony1.5T 超导型成像仪。
Se 和T s e 序列,均行T1W I 和FLA I R 平扫及T1W I 增强扫描,常规轴位、矢状位及冠状位扫描,增强扫描静脉注射G d-D TPA 0.1m m ol /kg 。
扫描参数为T 1W I T R450m s ,TE 7.4m s;FLA I R TR 9000m s 、TI 2000m s ,TE 104m s 。
2结果8例为单发,1例多发,其中额顶叶6例,颞叶2例,右小脑1例,胼胝体1例。
病灶呈类圆形为主,少数呈不规则形。
M R 表现与脑灰质相比,多数病灶T1W I 为略低信号(7例),少数为等信号(2例),T2W I 多为等、略高信号(8例),少数为略低信号(1例)。
病灶边缘较清晰,均有占位效应,灶周水肿相对较轻。
注射G d-D TPA 后,8例病灶明显团块状强化,1例中央可见坏死无强化区,周边部呈不均匀强化。
3讨论原发性颅内中枢系统淋巴瘤是指不存在中枢神经系统以外淋巴瘤的颅内恶性淋巴瘤,肿瘤形态多样,大多呈圆形、类圆形,少数呈不规则形。
颅内原发性中枢神经系统淋巴瘤的磁共振诊断颅内淋巴瘤是一种在中枢神经系统内发生的恶性肿瘤,它起源于淋巴系统的恶性增生,在脑部组织中形成肿瘤。
颅内原发性中枢神经系统淋巴瘤的磁共振成像(MRI)是对该病的诊断和评估具有重要意义的影像学检查方法之一。
一、MRI 检查原理及手段MRI 通过对人体内原子核的磁共振现象产生诊断图像,因其高分辨率、无放射性等特点而被广泛应用于临床医学。
在颅内原发性中枢神经系统淋巴瘤的诊断中,MRI 检查可采用常规序列(T1WI、T2WI、DWI等)和增强扫描等手段,通过对脑组织的病变灶进行多角度、全方位的观察和分析,进而获得准确的诊断结论。
二、MRI 检查特点1. 肿瘤位置:颅内原发性中枢神经系统淋巴瘤的好发部位主要包括脑室、脑实质和脑膜等,常见于脑室旁、第三脑室、脑干等部位。
MRI 可以清晰地显示出肿瘤的大小、位置和周围神经结构的受累情况,帮助医生正确判断病变的部位和范围。
2. 形态特征:颅内原发性中枢神经系统淋巴瘤在 MRI 图像上呈现出多样化的形态特征,如肿瘤可呈结节状、虫蚀状、斑片状等不规则形态,边界模糊,强化不均匀等,需要医生结合临床病史和其他检查结果进行综合分析。
3. 强化特点:增强扫描是 MRI 诊断颅内淋巴瘤的重要手段之一,淋巴瘤的增强表现多样,常见的有环形、斑片状、节段性及弥漫性强化等,而且强化程度不一,但一般不出现坏死区域。
4. 弥散加权成像(DWI):DWI 可以检测肿瘤组织的弥散情况,而颅内原发性中枢神经系统淋巴瘤的弥散加权成像多呈高信号,有助于进一步确定病变的性质和范围。
5. 结构改变:颅内原发性中枢神经系统淋巴瘤在 MRI 图像上常常伴有颅内压增高、脑室扩张、脑实质水肿等结构改变,这些改变对于病情的判断和治疗方案的制定都具有重要的指导意义。
三、MRI 诊断进展随着 MRI 技术的不断发展和进步,基于 MRI 的颅内原发性中枢神经系统淋巴瘤的诊断和评估也在不断进展。
颅内原发性淋巴瘤的影像诊断与鉴别概述原发性中枢神经系统淋巴瘤(primary central nervous system lymphoma,PCNSL) 是指原发于脑、脊髓、眼或软脑膜的淋巴瘤,70%PCNSL 为 B 细胞起源,少数为 T 细胞型淋巴瘤, 形态及病理特征与弥漫大 B 细胞淋巴瘤 (diffuse large B.cell lymphoma,DLBCL) 相似,WHO 中枢神经系统肿瘤新的分类方法将其归为Ⅲ~Ⅳ级。
原发性颅内淋巴瘤(PCNSL)是指仅中枢神经系统发现恶性淋巴瘤存在,发病率低,发病机制不清。
因其好发部位以及肿瘤「嗜血管」的特征,多数学者认为其组织来源可能为脑组织血管、脑膜血管外膜周细胞;与免疫功能关系密切。
近年来,随着器官移植等免疫抑制的使用增多、AIDS 患者的增多,多发原发性脑淋巴瘤(MPCNSLS)发病率增高。
组织学上,肿瘤细胞相对均匀一致,有侵袭性特征,可坏死。
临床特征原发性中枢神经系统淋巴瘤占颅内肿瘤的 1%,近年发病率增加,可能与器官移植等情况使用免疫抑制剂及艾滋病的发病率增多有关。
多数原发性中枢神经系统淋巴瘤位置较深,多中心起源及弥漫浸润周围脑组织,手术难以完全切除肿瘤,且易引起神经功能障碍,对脑深部的淋巴瘤患者多倾向局部放疗加全身化疗,经正规放化疗后肿瘤病灶可缩小或消失,但易复发。
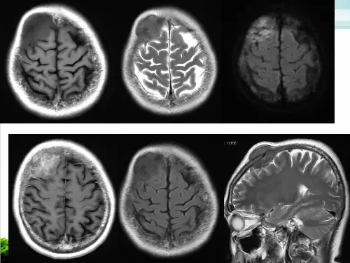
影像学表现部位:深部灰质和白质;脑表面亦可见密度和信号:肿块在 CT 上呈高密度;T1WI 呈低/等信号,T2WI 呈高/等信号边缘:边缘锐利,呈圆形或椭圆形水肿:轻至中度脑室炎:病变易累及室管膜、脑膜囊变:极罕见出血:极罕见钙化:少见强化:明显均匀强化多发:常见case1:男,47 岁胼胝体膝部占位,T1WI,T2WI 呈等高信号,信号尚均匀 DWI 高信号,ADC 值减低;增强可见明显均匀强化,冠状位示「蝴蝶征」,矢状位见「尖角征」,边界清晰;周围见斑片状水肿。
MRS 显示脂质峰(Lip)升高,呈双峰改变。
脑室内原发性淋巴瘤CT和MRI表现特点摘要】目的:探讨脑室内原发性淋巴瘤CT和MRI表现特点。
方法:回顾性分析我院2018年1例脑室内原发性淋巴瘤CT及MRI表现特点。
结果:CT检查结果显示右侧脑室内三角位置有明显的肿块影,显示为稍高密度,形态较为规则,边界清晰,增强扫描结果发现病灶有不均匀强化情况。
MRI检查结果显示T1W1、T2W1扫描结果显示右侧脑室内三角位置有稍长信号肿块影,信号不均匀,内部有囊变情况。
增强扫描发现有均匀强化现象,囊变部位无明显强化,病灶周围有明显水肿。
患者经血尿常规、肝肾功能等常规检查显示无异常。
检查结束后对患者实施脱水治疗,治疗后2周进行MRI复查。
结果显示右侧脑室内三角位置仍存在不规则信号肿块影,且与之前相比有所增大,肿瘤周围水肿情况加剧,疑似恶性肿瘤。
结论:CT、MRI检查对脑室内原发性淋巴瘤检查具有一定的效果,表现特点也有所区别,临床中可适当采用联合检查的方式,提高诊断准确性,为临床治疗提供参考。
【关键词】脑室内;原发性淋巴瘤;CT;MRI;表现特点[ 中图分类号 ]R2[ 文献标号 ]A[ 文章编号 ]2095-7165(2019)01-0259-01脑室内原发性淋巴瘤属于中枢神经系统淋巴瘤,临床中较为罕见,有报道显示脑室内原发性淋巴瘤的发生率为0.8%~1.5%。
该疾病的病情发展速度较快,早期的诊疗对患者预后具有重要的意义[1]。
但目前该疾病的临床表现、实验室检查特异性较差,主要采用影像学检查的方式进行诊断,如CT、MRI。
本次研究对比了脑室内原发性淋巴瘤CT、MRI的表现特点,具体如下。
1.资料与方法1.1基本资料回顾性分析我院2018年1例脑室内原发性淋巴瘤患者作为研究对象,男性,年龄56岁,临床症状表现为左侧肢体无力、麻木,入院时处于清醒状态,病程36d。
询问患者后,发现无胃肠道、头晕等症状,睡眠、精神状态良好,存在食欲下降情况。
患者无脑部手术史、血液系统疾病、合并严重脏器疾病等情况,常规体检结果显示无异常。
颅内原发性中枢神经系统淋巴瘤的磁共振诊断颅内原发性中枢神经系统淋巴瘤是一种罕见的恶性肿瘤,占颅内肿瘤的1-3%。
本文将介绍中枢神经系统淋巴瘤的磁共振(MRI)诊断,以及MRI在颅内原发性中枢神经系统淋巴瘤中的应用。
MRI诊断MRI是一种无创且非侵入性的成像技术,可以提供高分辨率的图像,对颅内恶性肿瘤的检测和诊断有很高的准确性。
MRI通常包括T1加权、T2加权、增强T1加权磁共振(Gd-T1)、脑池造影、扩散加权成像等多种成像方式,可以有效地诊断颅内肿瘤。
MRI影像特点MRI在颅内原发性中枢神经系统淋巴瘤的诊断中具有独特的优势。
中枢神经系统淋巴瘤在MRI上表现为局限性或弥漫性的白质性病变。
病变的形态多种多样,可以是结节状、环状、斑片状或弥漫性的。
MRI成像对于中枢神经系统淋巴瘤的边缘清晰度和病变范围的定位能力也很强,可以在一定程度上反映肿瘤的恶性程度、血管侵犯情况等。
MRI诊断中枢神经系统淋巴瘤的关键是区分其他类似病变,比如其他恶性肿瘤、脑囊虫病、炎症、血管性病变等。
增强T1加权MRI是一种常用的MRI成像方式,它可以增强肿瘤边缘和内部异常血管的显示,有助于区分中枢神经系统淋巴瘤和其他恶性肿瘤。
MRI脑池造影可以描绘出肿瘤与脑脊液间的关系,对于判断肿瘤侵犯脑膜的情况有帮助。
扩散加权成像可以鉴别病灶是坏死还是囊变,同时可以观察到病灶与周围组织水分变化。
MRI的应用1.判断病变的形态和范围,以及病变的分布情况。
2.评估病变的恶性程度和大小。
3.判断肿瘤是否有侵袭周围组织和血管的情况。
4.观察手术后的效果。
总之,MRI在颅内原发性中枢神经系统淋巴瘤的诊断中发挥了重要的作用。
MRI对于均匀浸润的肿瘤、颅底病变的清晰显示以及可重复性的成像等特点,使其成为中枢神经系统淋巴瘤的首选检查手段。
同时,MRI成像的高峰值和低峰值还可以提供病变的代谢水平,更全面地评价病变的恶性程度。
102 影像研究与医学应用 2018年9月 第2卷第17期中西医结合护理(中英文),2016,2(3):26-28.[2]张雪燕,陈秋梅,刘莲清.影像学检查增强扫描中造影剂外渗的护理对策[J].全科护理,2015,13(8):737-738.[3]廖伟华.CT增强扫描中对比剂外渗的预防及护理进展[J].全科护理,2016,14(17):1759-1762.[4]闫丽娟.显影剂加温处理在CT增强扫描检查中的应用效果[J].中国当代医药,2015,22(18):62-64.[5]黎彩霞,李卫玲,陈怡.细节护理干预对孕产妇睡眠质量及负性情绪的影响[J].中国当代医药,2016,23(23):189-191.[6]康霞.预见性护理干预对CT增强扫描造影剂外渗的预防作用[J].当代护士,2017,(1):123-125.临床文献资料显示在颅脑原发肿瘤中约有1.0%为原发性中枢神经系统淋巴瘤,同时对于常用的放化疗方案具有较好的敏感性,所以早期对原发性颅内淋巴瘤的诊断有助于对患者实施早期干预,进而改善患者预后[1]。
本文结合我院2015年2月—2017年12月期间收治并最终经病理证实的100例原发性颅内淋巴瘤患者资料,探讨MRI对其诊断与鉴别的应用价值,相关内容分析如下。
1 临床资料及方法1.1 一般资料将本院在2015年2月—2017年12月期间收治并最终经病理证实的100例原发性颅内淋巴瘤患者作为研究对象,其中男性患者57例、女性患者43例,患者年龄37~72岁、平均年龄(48.5±5.1)岁,所有患者就诊时主诉存在头痛、头晕、呕吐以及嗜睡等症状。
所有患者同意实施MRI检查,相关检查资料完整。
1.2 方法对所有患者采用MRI实施检查,具体采用飞利浦Intera Achieva 1.5T磁共振,检查前常规健康教育,帮助患者进行屏气训练,对患者实施轴位T1WI检查、T2WI 检查、DWI序列、T2-FLAIR序列检查,在完成平扫后,继续对患者实施增强扫描,增强扫描涉及到矢状位、轴位以及冠状位扫描,经患者肘静脉使用高压注射器注入对比剂钆喷酸葡甲胺注射液,对比剂剂量为0.1mmol/Kg[2]。
颅内原发性中枢神经系统淋巴瘤的磁共振诊断1. 引言1.1 概述颅内原发性中枢神经系统淋巴瘤是一种罕见的颅内肿瘤,其发病机制和临床表现与其他颅内肿瘤有所不同。
淋巴瘤通常发生在淋巴组织,但罹患颅内原发性中枢神经系统淋巴瘤的患者中,肿瘤起源于颅内神经系统组织。
颅内原发性中枢神经系统淋巴瘤在临床上很少见,但由于其病理学特点和临床表现的多样性,对于诊断和治疗均具有一定的挑战性。
2. 正文2.1 病因颅内原发性中枢神经系统淋巴瘤的病因目前尚不完全清楚,但有一些假设和研究结果可以帮助我们了解这种疾病的起因。
淋巴瘤是一种恶性肿瘤,其发生与淋巴细胞的异常增殖和功能失调有关。
据研究表明,免疫功能异常可能是导致淋巴瘤的重要原因之一。
在颅内的淋巴瘤可能与免疫抑制剂的长期使用、某些病毒感染、遗传因素、免疫系统疾病等有关。
一些学者认为颅内淋巴瘤可能与EB病毒感染有关,这种病毒被认为是淋巴瘤发生的一个重要因素。
EB病毒在机体内引起淋巴细胞的恶性增殖,从而导致淋巴瘤的发生。
一些患有免疫系统疾病或接受过器官移植手术的患者,其免疫系统受损,从而增加了淋巴瘤的风险。
颅内原发性中枢神经系统淋巴瘤的病因是多方面的,涉及免疫功能、病毒感染、遗传因素等多个方面,但具体机制仍需进一步研究。
对病因的深入了解有助于我们更好地预防和治疗这种疾病。
2.2 临床表现颅内原发性中枢神经系统淋巴瘤的临床表现多样,因病变部位和大小不同而有所差异。
一般病变位于大脑半球时,最常见的临床表现包括头痛、癫痫、感觉运动障碍、视力障碍等。
头痛是最常见的症状,可以表现为持续性钝痛或搏动性搏动性剧痛,常伴有恶心、呕吐,有时剧烈到引起昏迷。
癫痫发作也较为常见,可以表现为部分性发作或全面性发作,频率和程度不一。
感觉运动障碍包括肢体感觉减退、感觉异常、肢体无力等,表现形式多样。
视力障碍则可能表现为视物模糊、视野缺损、眼球运动异常等。
在进行磁共振检查时,可以发现病灶的位置和大小,从而进一步指导治疗方案的制定。
146 影像研究与医学应用 2018年9月 第2卷第17期原发性颅内淋巴瘤是一种临床少见的中枢神经系统疾病,该病好发于中老年人。
该病常见的临床症状包括头痛、呕吐、谈吐不清、癫痫以及头晕等,且根据近年来临床治疗可知,该病病发人数有呈增加趋势,因此早期有效的鉴别诊断十分关键。
故本实验选取2017年1月—12月期间我院收治的患有原发性颅内淋巴瘤的患者50例作为实验的研究对象,对所有患者进行MRI诊断,并对所有患者的诊断结果进行记录总结分析。
以下为本实验的实验结果汇报。
1 研究对象的资料和方法1.1 一般资料选取2017年1月—2017年12月期间我院住院收治的患有原发性颅内淋巴瘤的患者50例,对50例的患者进行常规的入院病症诊断检查。
可以判断所选取的50例患者均有明显的原发性颅内淋巴瘤临床症状,符合本实验的纳入标准。
本实验的研究对象的剔除标准:(1)患者不服从实验诊断治疗安排;(2)患者及其家属拒绝接受实验治疗诊断;(3)患者实验期间的依从性差;(4)患者存在其他类型颅内严重疾病;(5)患者随意违反研究方案。
其中选取的50例原发性颅内淋巴瘤患者中,男患者30例,女患者20例,所有患者的年龄在11~76岁,患者的平均年龄为(43.63±9.47)岁,患者的患病病程为12~43天,平均病程为(25.63±0.47)天。
1.2 研究方法给予50例患者常规的药物以及手术治疗,在对患者进行MRI检测前,医护人员应对患者进行常规的MRI知识普及,告知患者检查中的注意事项,利于消除患者对该种检查方式的恐惧感。
患者进入诊室后,平躺于诊疗床上,分别对其矢状面、横断面进行T1W1扫描,横断面复用T2W1扫描。
平扫结束后,通过静脉向患者体内注入适当剂量的对比剂后,再次对患者的矢状面、横断面进行T1W1扫描。
1.3 观察指标在患者接受MRI诊察期间,观察者应该密切关注患者的状态,防止患者出现紧张、焦虑等情绪,影响诊断进行。