脑弥漫性轴索损伤的常规序列MRI表现
- 格式:pdf
- 大小:266.62 KB
- 文档页数:3
磁共振成像对颅脑弥漫性轴索损伤的诊断价值
王建军;薛鹏飞
【期刊名称】《实用医学影像杂志》
【年(卷),期】2016(017)004
【摘要】目的:研究颅脑弥漫性轴索损伤(DAI)的磁共振成像诊断价值。
方法
收集14例经临床证实的DAI的磁共振影像资料进行回顾性分析,14例患者全部
行CT检查。
结果 DAI的磁共振影像表现:①14例T1WI序列及扩散加权成像序
列(DWI)上显示弥漫性脑水肿、脑肿胀;②全部病例应用磁敏感加权序列(SWI)显示多发小斑点状脑出血,位于中央或周边的灰白质交界、胼胝体上及大脑脚处;
③5例显示小脑幕下疝。
讨论MRI早期可表现出DAI的病理特征,弥补了CT的
局限性,对临床早期诊断、治疗以及评价预后具有重要价值。
【总页数】3页(P331-332,333)
【作者】王建军;薛鹏飞
【作者单位】454100河南省焦作同仁医院放射科;454100河南省焦作同仁医院放射科
【正文语种】中文
【相关文献】
1.脑弥漫性轴索损伤磁共振成像诊断价值 [J], 徐焱;陈波;常惠贤;金艳;刘金来
2.儿童脑弥漫性轴索损伤的CT及磁共振成像诊断价值 [J], 孙惠苗;武艳君;关晓力
3.磁共振成像在弥漫性颅脑轴索损伤鉴别诊断中的应用研究 [J], 张慧
4.磁共振成像在脑弥漫性轴索损伤中的诊断价值 [J], 李瑞琪; 王剑杰; 冯宝婕; 王飞
5.MRI对颅脑轴索损伤(弥漫性)的临床诊断价值 [J], 宋杨;徐佳萍
因版权原因,仅展示原文概要,查看原文内容请购买。
“弥漫性轴索损伤”的诊断要点及特别提醒~~~ 弥漫性轴索损伤弥漫性轴索损伤(diffuse axonal injury, DAI)弥漫性轴索损伤(DAI)是弥漫性皮质下白质及深部脑实质的损伤,也称弥漫性剪切伤,为旋转暴力伤所致。
病理学特点包括轴索断裂与回缩球形成、轴浆流中断、病变轴索远侧Wallerian变性,局部神经细胞肿胀及水肿、灶性出血。
临床特点主要是意识障碍、植物状态等,颅内压监测显示颅内压升高。
CT所见与临床表现“不相称”。
本病预后不良。
影像学方面,MRI是其首选诊断手段,CT对本病敏感度欠佳。
【诊断要点】1.好发部位如图1A、B。
2.弥漫性脑肿胀,脑沟变浅、灰白质界面不清(图1C、D)。
3.多发脑实质,尤其是深部脑实质的低密度灶,好发于灰白质交界,呈椭圆形,最大径1.5cm,以额颞叶皮质下、胼胝体、放射冠、内囊多见,其次为顶枕叶与小脑。
4.病变内灶性出血(图1C、D),以及胼胝体、脑室内出血。
5.常合并蛛网膜下腔出血和其他脑内及脑外的外伤性病变。
【特别提醒】1.CT可为阴性或见轻度脑肿胀征象,可漏诊较小及接近颅底、脑干的病变。
2.外伤48〜72h后CT表现逐渐明显。
3.幸存者常遗留弥漫性脑萎缩及灶性脑软化。
4.MRI是本病最敏感的影像学技术,对深部脑实质病变的敏感度是CT的2倍以上,尤其有助于显示< 5mm的病变及灶性出血,最佳检查序列为t2-flair、="">图1弥漫性轴索损伤(DAI)A、B.线图示DAI病变好发于幕上脑皮质下、基底节、胼胝体、导水管周围灰质及小脑边缘。
C、D.男,33岁。
DAI合并蛛网膜下腔出血及右额区少量硬膜下积液。
右侧丘脑、中脑、左颞叶、两侧额叶多发低密度灶及结节状高密度影(C. 3个白箭;D. 2个白箭),胼胝体见类似病变(未列出),四叠体池高密度影(C.白箭头)。
脑室、脑沟裂变浅。
右额区内板下少许条状水样密度影(硬膜下积液)。
弥漫性轴索损伤的MRI与临床探讨摘要】目的探讨脑弥漫性轴索损伤(DAI)的损伤机制、病理与MRI与临床表现。
方法分析28例脑弥漫性轴索损伤的MRI图像和临床资料。
结果 28例病人中,大脑皮质髓质交界处病灶27处,胼胝体18处,脑干8处,小脑6处,延髓3处;10例局部脑回肿胀;8例蛛网膜下腔出血。
12例伴有斑脑挫裂伤。
结论 MRI对DAI具有较高的诊断价值,根据临床表现及影像学检查,可作出临床诊断,对临床早期诊断、治疗以及评价预后具有重要价值。
【关键词】弥漫性轴索损伤磁共振临床表现脑弥漫性轴索损伤(Diffuse Axonal Injury,DAI)又称剪切伤,是常见的重型闭合性颅脑损伤后病变,MRI及临床表现有一定的特征性,本文搜集资料完整的DAI患者28例,对其MRI及临床表现进行分析,有利于临床早期诊断、治疗及预后评估。
1 资料与方法1.1 一般资料本组28例,男22例,女6例。
年龄18岁~59岁,平均38岁。
均为闭合性外伤,交通伤20例,坠落伤6例,打击伤2例。
28例均行MRI检查,22例行CT检查,时间为伤后50分钟—10天。
1.2 方法设备:美国GE公司生产的超导型1.5T MRI机,8通道头颅线圈。
常规横轴位、冠状位、矢状位扫描,层厚8mm,层距2mm,行T1WI、T2WI、T2FLAIR序列扫描。
2 结果2.1 临床表现:伤后昏迷病人20例,其中15例持续昏迷,8例有不同时间的意识丧失,伴有嗜睡、烦躁。
入院时GCS13-14分者14例,9-12分者8例,3-8分者6例。
伴有呼吸改变15例,体温升高者6例, 4例有去脑强直表现。
2.2 MRI表现:28例共发现62个病灶,50处表现为长T1、长T2信号,12处表现为短T1、长T2出血信号,病灶大小约为4~19mm,呈片状或卵圆形。
其中,大脑皮质髓质交界处18例27次,胼胝体15例18次,脑干9例8次,小脑5例6次,延髓3例3次;10例局部脑回肿胀,脑沟变窄;8例有蛛网膜下腔出血。
弥漫性轴索损伤诊断标准
弥漫性轴索损伤是一种比较常见的运动损伤,常常发生在肩膀、腰部、背部甚至膝盖等关节处。
它的主要症状是轴索变得软弱,给人一种轴索紧绷的感觉,伴有疼痛和灼热感。
弥漫性轴索损伤的诊断标准主要有以下几点:
首先,在体检中,应该仔细检查受伤部位,以及检查关节功能是否受到影响。
如果受伤部位出现肿胀、红肿和疼痛,则可能是弥漫性轴索损伤。
其次,需要检查患者的运动范围,如果范围被明显地限制,就可能是弥漫性轴索损伤。
再次,MRI检查可以检查轴索的实质是否受损,如果轴索被损伤,则可以确认为弥漫性轴索损伤。
最后,需要检查患者的运动功能是否受到影响,如果患者的运动功能受到影响,则可以确认为弥漫性轴索损伤。
总之,弥漫性轴索损伤的诊断标准主要包括体检、运动范围检查、MRI检查和运动功能检查等。
如果患者的症状符合这些标准,则可以确诊为弥漫性轴索损伤。
MR各序列成像在诊断脑弥漫性轴索损伤的价值摘要】目的探讨MR各序列成像在诊断脑弥漫性轴索损伤的价值。
方法选取本院收治的20例脑弥漫性轴索损伤患者(45个非出血性病灶和32个出血性病灶),分别采用常规序列、场回波序列(FE)及液体衰减反转恢复序列(FLAIR)扫描病灶,分析各序列对出血性病灶和非出血性病灶的检出情况及信号特点。
结果各序列在非出血性病灶的信号差异较大,其中常规、FE和FLAIR序列分别为长T1长T2、略高及高信号,在出血性病灶上常规序列与FLAIR差别不大,但FE序列为环状或片状低信号。
FLAIR序列非出血性病灶检出率高于其余两序列,FE序列出血性病灶检出率高于其余两序列,且常规序列出血性病灶检出率高于FLAIR序列,以上差异均有统计学意义(P<0.05)。
结论 MR各序列成像诊断脑弥漫性轴索损伤的价值信号有差异,建议根据病灶是否出血选择相应序列。
【关键词】 MR序列成像脑弥漫性轴索损伤诊断价值【中图分类号】R445 【文献标识码】A 【文章编号】2095-1752(2014)17-0244-02弥漫性轴索损伤为常见脑外伤,伴发轴索断裂,致残并导致植物生存状态,甚至死亡,因此及时诊断该病对改善预后有重要意义[1]。
以往常采用CT诊断,但近年来发现MRI对弥漫性轴索损伤有较好诊断效果[2-3]。
本研究分析MR各序列成像在诊断脑弥漫性轴索损伤的价值。
1 资料与方法1.1 一般资料病例为本院收治的20例脑弥漫性轴索损伤患者,其中男性12例,女性8例,年龄范围15~56岁,中位42岁;致伤原因:车祸13例,重伤击伤2例,高处坠落5例;病灶类型:非出血性病灶45个,出血性病灶32个;部位:大脑半球皮层24例,深部脑组织28例,脑干18例和小脑7例。
纳入标准:(1)有明确外伤史;(2)有进行性意识障碍;(3)外伤7天内进行MRI检查。
1.2 方法采用东芝1.5T超导型磁共振成像仪对病灶分别进行常规序列、场回波序列(FE)及液体衰减反转恢复序列(FLAIR)扫描。
弥漫性轴索损伤 【病史摘要】男,25岁。
高处坠落后昏迷2天。
由3楼坠落后下肢碰到2楼横出物后继续下落,头部触及草坪,当时即出现意识障碍。
当日CT检查未见异常。
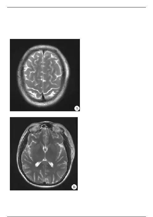
图 1 弥漫性轴索损伤 MRI 检查【影像所见】图1A、B、C,横轴面T2WI示额叶灰白质交界处、胼胝体压部、右侧中脑可见多发的点状和片状稍长T2信号,病变无占位效应,周围未见水肿信号。
左侧头皮软组织肿胀。
图1D、E、F,DWI显示上述病变呈点状、片状明显异常高信号。
【诊断和分析】本病例诊断为弥漫性轴索损伤。
影像学诊断要点:①突然的加速、减速或旋转的力量导致脑组织的剪切伤,患者一般在损伤即刻就出现意识丧失;②好发部位,脑白质(特别是灰、白质交界处)、胼胝体、内囊、脑干背外侧等;③CT20%~50%的患者在急性期可见异常,表现为斑点状的出血;④MRI T2WI表现为灰白质交界区、胼胝体等部位多灶性稍高信号,T1WI根据是否有出血及出血时间不同而表现不同,DWI表现为明显异常高信号。
【鉴别诊断和误区防范】本病需要与皮质挫伤(cortical contusion)相鉴别。
皮质挫伤:①与弥漫性轴索损伤相比,患者很少发生意识丧失;②通常发生于脑组织与硬脊膜或骨突相连接的部位,约一半发生在颞叶,尤其是颞极,1/3发生在额叶,尤其是额极;③部位表浅,表现为额叶、颞叶灰质内低密度影伴发斑点状或线样的出血灶;④随时间推移可融合成大的血肿;⑤常伴发颅骨的凹陷性骨折。
【检查方法及选择】本病主要的检查方法是MRI,但有时MRI平扫脑内未见明显异常信号时,DWI则可以清楚显示病变;CT对于急性期斑点状的出血比较敏感,MRI对于非急性期出血很敏感。
对于颅脑闭合性损伤的患者,应该联合使用CT及MRI检查,DWI应作为常规检查项目。
【临床病理和随访】弥漫性轴索损伤是闭合性颅脑损伤的严重类型,主要发生于脑组织受到突然的剪切力所致。
可以是弥漫性的,双侧的。
大体标本上,可见皮髄质交界处、胼胝体和内囊、深部灰质和脑干斑点状的出血灶,系由于穿支小血管中断所致。
磁共振SWI序列在脑弥漫性轴索损伤中的应用价值目的:探讨MR磁敏感加权成像(SWI)序列对脑弥漫性轴索损伤(DAI)的诊断价值。
方法回顾性分析27例DAI患者的SWI序列影像表现,并与常规MRI序列进行对照分析。
结果DAI 在SWI 上表现为双侧大脑皮层下白质区、脑室旁白质区、基底节区、胼胝体及小脑区域可见多发斑点状、斑片状、环状、条状及类圆形的低信号灶,边界清晰。
结论SWI 序列可以在DAI 患者中发现常规MR 检查不易发现的微小出血病灶,对DAI 的早期诊断有较高的价值。
弥漫性轴索损伤(diffuseaxonalinjury,DAI)是脑外伤中的一种特殊类型,由Admas 等[1]于1982年正式命名。
是临床常见而严重的脑损伤。
通常是由于颅脑受到钝性撞击伤后,脑灰质和白质的惯性加速度不同,形成剪切力造成的,常引起小血管的撕裂,造成小灶性出血[2]。
DAI 具有临床症状重、影像表现轻、病人预后差的特点。
由于常规影像学(CT、MRI常规序列)检查的阳性率低,早期常不能准确及时诊断DAI,故其致残率、死亡率较高。
因此如何提高DAI 的早期诊断率是提高DAI患者挽救成功率和生命质量的关键。
本文回顾性分析一组DAI患者的MRI影像表现,特别是SWI的影像表现,探讨其对DAI的诊断价值。
1 资料与方法1.1 一般资料:收集台州医院2014年1月至2015年2月行MRI检查,并经临床及影像确诊为DAI患者共27例。
男19例、女8例,年龄15~68岁,平均32.3岁。
所有患者具有明确的头部外伤史,主要临床表现为:头痛、头晕、恶心呕吐、癫痫、昏迷、认知力下降、性格改变等。
1.2 检查设备与方法:使用GE公司的Signa EXCITE HD1.5T Twinspdde超导型磁共振扫描仪,SWI软件,头部八通道相控阵线圈或头部正交线圈。
扫描方向均为横断位,如脑干发现问题,则加扫矢状位T2WI。
扫描参数:快速自旋回波(T2WI):TR 4160ms,TE 102ms;液体衰减反转恢复序列(T1FLAIR):TR 1750ms,TE 24ms;(T2FLAIR):TR 8500ms,TE 155ms;层厚6mm,层间隔1mm,FOV 240mm×240mm,矩阵320×224;SWI:TR 75.5ms,TE 50ms,层厚2.0mm,反转角15度,无间距扫描,矩阵384×256。
【住培-影像病例精读-颅脑创伤】病例3弥漫性轴索损伤病史摘要(1)男,19岁。
车祸伤致昏迷12小时。
【影像学检查】【影像学表现】CT平扫横断位(图A~D)显示双侧额叶、顶叶及左颞叶灰白质交界区及白质区见多发小点状、结节状高密度影,病灶无占位效应,周围未见水肿;纵裂池及小脑幕下见条状高密度影。
【影像学诊断】弥漫性轴索损伤合并蛛网膜下腔出血。
【最后诊断】弥漫性轴索损伤合并蛛网膜下腔出血。
病史摘要(2)男性,44岁。
车祸伤后持续性昏迷16小时。
【影像学检查】【影像学表现】MRI平扫横断位T1WI(图A)、T2WI(图B)和T2 -FLAIR(图C)显示双侧半卵圆中心多发点状、条片状长T1、长2信号;SWI(图D)显示双侧半卵圆中心斑点状低信号。
【影像学诊断】弥漫性轴索损伤。
【最后诊断】弥漫性轴索损伤。
【讨论】弥漫性轴索损伤( diffuse axonal injury,DAI)是由于头部成角和/或旋转加(减)速运动过程中产生的剪切力引起的广泛脑实质轴索损伤,其病理特征为神经轴索扭曲、肿胀、断裂和轴索回缩球形成。
临床上以意识障碍、昏迷为其典型表现,预后极差。
CT、MRI不能直接显示轴索损伤,主要显示轴索断裂引起的水肿和出血等一些间接征象。
CT 只能显示部分DAI的出血灶,多分布在大脑皮髓质交界处、基底节、内囊、第三脑室周围、胼胝体及脑干等部位,呈单发或多发无占位效应的小出血灶(直径小于2cm),急性期周围多无水肿;出血性DAI病灶在常规MI序列遵循脑内出血灶的一般演变规律,而磁敏感加权成像(SWI)对DAI出血灶的显示更敏感。
MRI显示DAI非出血灶的敏感性优于CT,主要表现为大脑白质、胼胝体、小脑和脑干背侧圆形、椭圆形或条片状长T1、长T2信号影,扩散加权成像(DWI)显示病灶扩散受限呈高信号,急性期ADC值可减低;此外,DAI急性期可合并脑肿胀、蛛网膜下腔出血、脑室出血,后期可出现弥漫性脑萎缩,脑室代偿性扩大。
弥漫性轴索损伤CT、MR动态观察目的:应用CT、MR成像动态观察脑弥漫性轴索损伤(DAI)脑内病变的演变,阐述DAI不同时期CT、MR表现,为临床提供治疗时间判断、治疗手段选择以及复查时间选择等方面的参考。
方法:对29例脑弥漫性轴索损伤的CT、MR表现进行回顾性分析。
结果:29例DAI初诊cT表现:27例脑内见出血灶及非出血灶,2例CT正常;3 d内CT或MR复查23例:脑内病灶增多或增大19例,12例出现脑肿胀或继发脑缺血改变,无明显变化4例;3~21 d复查16例:出血灶由高密度变成等密度及等密度变成低密度的平均时间分别7,16 d。
21~60 d复查14例:病变区呈现较大范围软化的8例,呈腔隙灶的6例,CT不能发现病灶的6例,合并脑萎缩11例。
结论:CT、MR动态观察DAI病灶演变,为DAI的临床诊断和治疗提供可靠依据。
标签:脑弥漫性轴索损伤;动态观察;断层摄影,X线计算机;磁共振成像中图分類号:R814.42;R445.2;R651.1 文献标志码:A 文章编号:1008—2409(2016)04—0103—04脑弥漫性轴索损伤(diffuse axonal injury,DAI)是由外伤直接引起广泛性轴索损伤的一种严重原发性脑损伤,病情重,预后差,病死率较高。
笔者对29例DAI行CT、MR动态观察,阐述DAI不同时期CT、MR表现,为临床诊断与治疗提供影像依据。
1资料与方法1.1一般资料符合临床诊断标准的DAI 29例,男24例,女5例;年龄4~49岁,平均26岁。
受伤原因:车祸21例,坠落伤6例,士兵训练伤2例。
临床表现符合以下条件:①闭合性颅脑损伤,受伤时头部处于活动状态,因加速运动致头部损伤。
②伤后原发性昏迷伴躁动不安。
③无明确神经定位体征。
1.2检查方法CT检查:颅脑容积扫描,采用设备:东芝Activi-on16螺旋CT;扫描范围:颅底扫描至颅顶水平;参数设置:管电压120 kv,准直1.5 mm,管电流100 mAs,重建层厚0.5~1.0mm,标准重建算法,并获取患者标准脑窗及骨窗观察。
---------------------------------------------------------------最新资料推荐------------------------------------------------------ 脑弥漫轴索损伤的影像诊断体会白莉苏从冶宫敬郎嘉兴吉林省四平市中心医院影像放射科(136000)随着现代交通工具的发展,恶性交通事故时有发生,各种外伤患者数目增多且病情危重,其中以颅脑外伤最为严重,常常成为伤者能否生存的关键。
脑弥漫轴索损伤(diffuse axonal injury,DAI)以高死亡率和高致残率。
成为临床诊断的重点和难点。
DAI 是原发性脑损伤的一种特殊类型。
受伤时头部在旋转暴力的作用下,产生加速或减速运动,由于脑组织的易曲性低,头部在角加速运动作用下,脑组织受到剪应力而发生变形,造成神经轴索的断裂和毛细血管撕裂,引起局灶性出血。
病理学变化为在灰白质交界区或白质内散在针尖样或融合状出血灶,轴索扭曲、断裂及轻中度水肿,断裂的轴索近端轴浆聚集成轴索球。
DAI 患者绝大多数为车祸,受伤时头部处于运动状态,致伤后立即昏迷且持续进行性加重,躁动不安,无明确神经定位体征。
典型 DAI 发生在四个部位,包括胼胝体、皮髓交界区、上部脑干和基底节区。
CT 表现为脑弥漫肿胀,灰白质交界区、脑白质及脑干片状低1 / 3密度灶及小的高密度出血灶(直径多小于 2 厘米),蛛网膜下腔出血、脑池或脑室内出血,脑室脑池受压变窄。
由于 DAI 80%为非出血病灶, 20%有点状或片状出血,因此部分患者 CT 仅能显示出血和伴随的肿胀。
磁共振可清晰显示脑内微小病灶,失状像立体直观显示胼胝体及脑干病灶,且无骨性伪影的干扰。
磁共振表现为脑灰白质交界区、脑白质、胼胝体及脑干片状病灶,无出血处的轴索损伤在 T2 加权像为高信号水肿区,出血灶在T2 加权像为等信号或低信号。
DAI 患者病情危重,神经系统定位体征不明显,单靠临床体格检查难以确诊。