优选文档
15
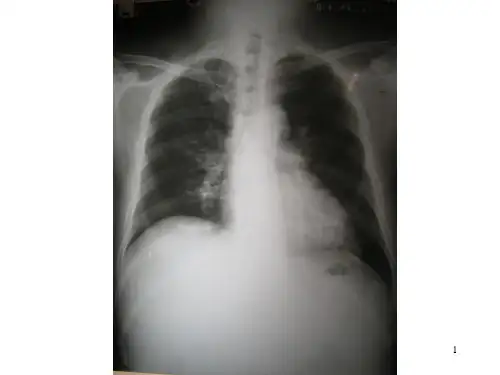
(三)胸部影像学检查。发生肺炎的患者肺内出现片 状阴影。重症患者病变进展迅速,常呈双肺多发磨玻 璃影及肺实变影像,可合并少量胸腔积液。发生ARDS 时,病变分布广泛。
优选文档
16
(一)病变早期。在发病2天内肺部即可出现病变影像, 早期多为小片状影,呈单发或多发。病变以磨玻璃密 度影为主,可合并肺实变影像。片状影分布在双侧肺 或主要位于一侧肺。
H7N9禽流感病毒可以同时结合唾液酸α-2,3型受体(禽 流感病毒受体)和唾液酸α-2,6型受体(人流感病毒受 体)
H7N9禽流感病毒感染人体后,可以诱发细胞因子风暴, 导致全身炎症反应,可出现ARDS、休克及多脏器功能 衰竭。个别重症病例下呼吸道病毒可持续阳性至病程 的3周以上。
优选文档
12
临床表现
(一)症状、体征和临床特点。患者一般表现为流感 样症状,如发热、咳嗽、少痰,可伴有头痛、肌肉酸 痛、腹泻等全身症状。重症患者病情发展迅速,多在 发病3~7天出现重症肺炎,体温大多持续在39℃以上, 出现呼吸困难,可伴有咯血痰。常快速进展为急性呼 吸窘迫综合征、脓毒症、感染性休克,甚至多器官功 能障碍,部分患者可出现胸腔积液等表现。
优选文档
8
(二)H7N9核酸检测。采用realtimeRT-PCR方法,对 患者呼吸道标本H7N9禽流感病毒核酸进行检测,诊断 敏感性高、特异性强,推荐临床首选使用。受条件和
设各限制,本诊断方法尚无法在基层医疗机构普及。
对于高度怀疑的病例或甲型流感病毒抗原检测阳性的 疑似病例应进行H7N9禽流感病毒核酸检测,以明确诊 断。由于病毒复制过程中,血凝素抗原及神经氨酸酶 抗原mRNA含量不同,在标本检测中可能会出现H7检 测阳性而N9检测阴性的情况。因此,在我国目前尚无 其它H7亚型流感病毒感染人的情况下,建议可仅检测 敏感性较高的H7亚型来进行临床诊断,以便早期发现 病例。