胸椎占位
- 格式:pptx
- 大小:11.82 MB
- 文档页数:31
胸椎椎管狭窄症是怎么引起的?
(一)发病原因
本病多见于中年男性,其病因主要来自发育性胸椎椎管狭窄和后天退行性变所致的综合性因素。
(二)发病机制
从病理改变可以看出,构成胸椎椎管后壁及侧后壁(关节突)的骨及纤维组织,均有不同程度增厚,以致向椎管内占位而使椎管狭窄,压迫脊髓及其血管等。
在多椎节胸椎椎管狭窄病例中,每一椎节的不同部位的狭窄程度并不一致,以上关节突的上部最重,在下关节突部位则内聚及向椎管内占位较少,压迫脊髓较轻。
多椎节病例则显示蜂腰状或冰糖葫芦状压迫(亦可称为佛珠状压痕)。
MRI及脊髓造影检查可清晰地显示此种狭窄的形态。
除上述胸椎椎管狭窄退变的病理改变外,还可发现椎间隙变窄,椎体前缘、侧缘及后缘有骨赘形成,并向椎管内突出,加重对脊髓的压迫。
此外,胸椎后纵韧带骨化(thoracicossificationofposteriorlongitudinalligament,TOPLL)亦可引起胸椎椎管狭窄,其特点是增厚并骨化的后纵韧带可厚达数毫米,并向椎管方向突出压迫脊髓,可以是单节,亦可为多椎节。
脊柱氟骨症亦可致胸椎椎管狭窄,患者有长期饮用高氟水史,血氟、尿氟增高,血钙、尿钙、碱性磷酸酶亦增高,且检查时可发现其
骨质变硬,以及韧带退变和骨化,可引起广泛、严重的椎管狭窄。
X 线片因可显示脊椎骨质密度增高而有助诊断与鉴别诊断。
原发的先天性胸椎椎管狭窄病例较少见,其病理解剖显示椎弓根短粗、椎管前后径(矢状径)狭小。
此种病例年幼时脊髓在其中尚能适应,成年后,轻微的胸椎椎管退变或其他致胸椎损伤等因素,均可构成压迫脊髓的诱因而使患者出现症状,且症状较重,治疗上难度大。
胸椎正侧位解读胸椎正侧位是一种常用的医学影像检查方法,主要用于评估胸椎的结构和病变。
这种影像检查通常包括正面和侧面的X射线拍摄,可以提供有关椎体、椎间盘、椎间隙、椎弓根及其他骨结构的详细信息。
下面将对胸椎正侧位的解读进行详细介绍。
胸椎正侧位的拍摄有助于评估脊柱的曲度、椎体的形态、椎间盘的高度和位置,以及椎弓根和椎管的结构。
这种影像检查适用于评估多种胸椎相关疾病,包括脊柱畸形、胸椎骨折、椎间盘突出、退化性脊柱病变等。
胸椎正侧位的X射线拍摄通常要求患者站立或坐立,将背部紧贴于X射线片,确保胸椎与胶片之间的距离相等,并保持正常呼吸。
此外,拍摄时还需要注意对角平面,使椎体、椎间盘和椎弓根能够在图像上清晰可见。
在解读胸椎正侧位X射线片时,需要关注以下几个方面:1.胸椎的曲度:胸椎正侧位能够清楚显示胸椎的曲线状况。
正常情况下,胸椎呈现生理性卓越(前凸)的曲度,如出现过度前凸或后凸等异常曲度,可能表明脊柱畸形或其他疾病的存在。
2.椎体的形态和位置:胸椎正侧位能够显示椎体的外形和位置,有助于检测椎体的畸形、骨折或其他损伤。
正常的椎体应该具有良好的轮廓和对称性,如果有椎体侧弯、骨质疏松或其他异常,可能需要进一步的检查和评估。
3.椎间盘的高度和位置:椎间盘是连接相邻椎体的软骨结构,胸椎正侧位能够显示椎间盘的高低和位置。
正常的椎间盘应该具有均匀的高度和自然的位置,如果椎间盘高度减少或移位,可能表明存在椎间盘突出、退化等问题。
4.椎弓根和其他骨结构:胸椎正侧位还能够清晰显示椎弓根和其他骨结构的形态和位置。
椎弓根的异常可能表明存在脊椎管狭窄、椎间孔狭窄等问题。
此外,还需要注意评估肋骨、锁骨等其他骨结构的异常。
在解读胸椎正侧位X射线片时,医生需要结合患者的临床症状、体检结果和其他影像检查结果进行综合分析。
有时,可能需要进行进一步的检查,如CT扫描、核磁共振等,以获取更详细的图像信息。
总的来说,胸椎正侧位是一种简便有效的医学影像检查方法,能够提供关于胸椎结构和病变的重要信息。
胸椎ct报告模板
正常头颅CT平扫未见异常
脑实质未见异常密度区,各脑室、脑池大小形态显示正常,中线结构居中,颅骨未见异常。
脑外伤(颅脑损伤):
1.右侧额/颞/顶部硬膜外血肿
颞/顶部颅骨内板下方可见一双凸状/梭形高密度区,密度均匀,边界清楚,脑室受压变形,中线结构向对侧移位,骨窗条件下可见双侧额/颞/顶部颅骨线性骨折,余脑内未见异常。
2.硬膜下血肿(分急性和慢性,急性为高密度,亚急性为等密度,慢性为低密度。
)
顶部颅骨内板下方可见一新月状高、低或等密度,密度均匀,边界清楚,脑室受压变形,中线结构向对侧移位,骨窗条件下可见/未见骨折线,余脑内未见异常。
3.脑挫伤
脑实质内见不规则低密度区,脑室可受压变形或移位,但中线结构多无移位。
余脑室脑池系统显示形态正常。
颅骨无明确骨折。
4.脑挫裂伤
脑实质内见不规则低密度区,中间伴有不规则高密度,脑室受压变形移位,脑室脑池系统显示正常或变小。
颅骨无明确骨折或伴有骨折。
颅内占位性病变
1.单发和多发占位
(1)单发占位
脑实质区可见类圆形或不规则形混合密度,中间可见囊状低密度或不规则钙化周边伴有低密度,脑室受压变形移位,中线向对侧移位,增强后病变呈不规则强化或明显增化,颅骨骨质无变化。
多见于胶质瘤。
水肿范围大病变小多见于转移瘤或3-4级胶质瘤,转移瘤多见于脑皮层(质)区。
(2)多发占位
脑实质区可见多发大小不等类圆形混合密度或高密度,周围大片水肿带明显,病灶与水肿成反比,增强扫描后见病灶呈不规则环状及小结节状强化,周围水肿无强化,中线结构向左/右侧偏移。
多见于转移瘤。
胸椎体表标志定位法1. 简介胸椎体表标志定位法是一种通过身体外部标志来确定胸椎的位置和编号的方法。
在临床医学中,准确地定位和编号胸椎对于诊断和治疗胸部相关疾病非常重要。
通过使用胸椎体表标志定位法,医生可以快速准确地确定所需的胸椎位置,以便进行进一步的检查或手术。
2. 胸椎骨骼结构人类的脊柱由33块骨头组成,其中包括7块颈椎、12块胸椎、5块腰椎、5块骶骨和4-5块尾骨。
胸椎是脊柱中位于颈椎和腰椎之间的一部分,它们与肋骨相连,形成了人体上半身稳固的框架。
每个胸椎都由一个圆形的前面称为“体”,以及两个向后延伸并与相邻的背棘相连接的“弓”组成。
在人体外部无法直接触摸到这些结构,因此需要使用胸椎体表标志定位法来确定它们的位置。
3. 胸椎体表标志定位法的步骤胸椎体表标志定位法包括以下步骤:步骤一:确定锁骨和剑突的位置首先,需要确定锁骨和剑突的位置。
锁骨是位于胸骨上方的两根长而曲线状的骨头,剑突是胸骨下方尖端的部分。
通过触摸和观察这些标志物,可以帮助确定胸椎的大致位置。
步骤二:确定脊柱中线接下来,需要确定脊柱中线。
脊柱中线是指沿着脊柱后方从头部到尾部延伸的直线。
在人体外部无法直接看到脊柱中线,但可以通过触摸和观察身体外形来近似确定其位置。
步骤三:确定肩峰点和肩胛下角肩峰点是指位于肩关节上方最高点的凹陷处。
通过找到肩峰点,可以帮助确定第一胸椎(T1)的位置。
肩胛下角是肩胛骨下缘的角度,通过找到肩胛下角,可以帮助确定第七胸椎(T7)的位置。
步骤四:确定其他胸椎的位置根据已确定的标志物和身体外形,可以推测出其他胸椎的位置。
每个胸椎之间的间隔大约为2.5厘米,因此可以通过计算和测量来准确地确定每个胸椎的位置。
4. 应用及注意事项应用•临床诊断:通过使用胸椎体表标志定位法,医生可以快速准确地确定所需检查或手术的胸椎位置。
•教学与研究:在医学教学和研究中,胸椎体表标志定位法被广泛应用于解剖学教学、影像学研究等领域。
注意事项•由于每个人的身体结构存在一定差异,因此在使用胸椎体表标志定位法时需要谨慎判断和测量,以免产生误差。
胸椎是人体脊柱的一部分,位于颈椎和腰椎之间。
它由12个椎骨组成,每个椎骨与相邻的椎骨通过椎间盘连接。
胸椎的主要功能是保护内脏器官,支撑上半身的重量,并提供稳定的支撑结构。
了解胸椎的结构和功能对于理解脊柱的整体解剖和生理学很重要。
在这篇文章中,我们将逐步介绍胸椎的知识点。
第一步:胸椎的基本解剖胸椎是由12个椎骨组成,从T1到T12,其中T代表胸椎(Thoracic)。
每个椎骨由一个圆形的体部和两个横形的突出部组成。
这些椎骨通过椎间盘连接,形成一个强大的支撑结构。
第二步:胸椎的功能胸椎具有多种重要功能。
首先,它们支撑着上半身的重量,并将其转移到骨盆。
这使得我们能够保持直立姿势和平衡。
此外,胸椎还保护了内脏器官,如心脏和肺部。
它们形成了胸腔,提供了一种保护性的外壳。
第三步:胸椎的疾病和损伤胸椎可以受到多种疾病和损伤的影响。
常见的疾病包括胸椎骨折、胸椎间盘突出、胸椎侧弯等。
这些疾病可能导致背部疼痛、神经受损和运动功能受限等问题。
第四步:保护和预防为了保护胸椎的健康,我们可以采取一些预防措施。
首先,保持正确的体态和姿势是非常重要的。
避免长时间的坐姿和站立姿势,以及长时间的低头和仰头。
其次,进行适度的运动和锻炼,特别是背部肌肉的加强。
此外,定期进行背部按摩和伸展,有助于缓解背部疼痛和紧张。
第五步:寻求医疗帮助如果您遇到胸椎相关的健康问题,应及时寻求医疗帮助。
医生会根据症状和体格检查来判断问题的严重程度,并可能建议进行进一步的影像学检查,如X射线、CT扫描或磁共振成像。
总结:胸椎是人体脊柱的重要部分,它起着支撑上半身、保护内脏器官的作用。
了解胸椎的结构和功能对于保持脊柱健康非常重要。
通过保持正确的体态和姿势,进行适度的运动和锻炼,并及时寻求医疗帮助,我们可以更好地保护和保持胸椎的健康。
希望这篇文章能够帮助你了解胸椎的基本知识,以及如何保护和维护它的健康。
胸椎的健康对于我们的整体健康和生活质量至关重要。
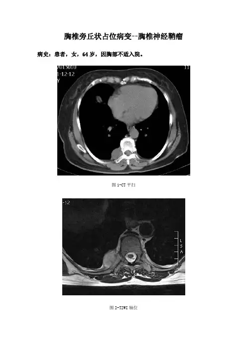
胸椎旁丘状占位病变--胸椎神经鞘瘤病史:患者,女,64岁,因胸部不适入院。
图1-CT平扫图2-T2WI轴位图3-T1WI轴位压脂图4-T2WI矢状位压脂图5-T1WI冠状位压脂基础解剖影像:图6图6为所示病例同层面肺窗和纵膈窗的融合CT图片,黄色箭头所示为胸椎骨质高密度影,棕色箭头所示为椎弓及棘突骨质高密度影,蓝色箭头所示为椎间孔低密度影与椎管相通。
所示层面显示心脏及胸主动脉影像,因增强呈明显高密度影。
本图节选自《CT与MRI断层解剖学袖珍图谱》。
图1图2图3图4图5图1为CT轴位及图2-5为MRI轴位、矢状位、冠状位:图1白色箭头所示可见第8胸椎右旁丘状软组织密度影,密度不均。
图2白色箭头见病变呈稍长T2信号,呈宽基底贴于胸膜,临近后肋骨质边缘受压分界不清。
图3-5黄色箭头见病变呈哑铃型与椎管相通,T1压脂像呈稍高信号,T2压水压脂像呈高信号。
影像描述:CT示第8胸椎右侧脊柱旁沟见丘状占位病变,呈宽基底贴于胸膜,临近肋骨骨质受压。
MRI示病变呈稍长T1长T2信号,压水压脂像呈高信号,边界清晰,病变呈舌状向椎管内部延伸,相邻骨质边缘受压,相邻脊神经增粗,信号增高。
影像诊断:第8胸椎旁占位病变,考虑神经源性肿瘤,以神经鞘瘤可能性大。
分析思路:1.临床病史:老年女性,因胸部不适就诊,提示良性或低度恶性可能,转移不除外。
2.部位与形态:病变位于胸椎右侧脊柱旁沟,呈宽基底贴于胸膜处,病变与椎管呈哑铃型相通,提示病变来源于椎管内可能。
鉴别需要考虑局限性间皮瘤、脂肪瘤、神经源性肿瘤。
间皮瘤多有石棉接触史,病史未提及,且多伴有胸腔积液、呈多发丘状或单独巨大肿物,不会出现与椎管相通表现,本例可以除外;脂肪瘤呈典型脂肪密度影,CT值为-40~-120Hu,增强无强化,本例可以除外;神经源性肿瘤,多源于肋间神经,内部密度不均,增强不均中等强化,对临近骨质有压迫、侵蚀,本例符合。
术后病理:胸椎神经鞘瘤。
知识巩固:胸壁神经源性肿瘤1.临床病史:可以起源于胸神经根、肋间神经、脊神经根、椎旁神经节,包括神经纤维瘤、神经鞘瘤、副神经节瘤、节细胞神经瘤等,病理上神经纤维瘤边界清楚、无包膜实性肿瘤;神经鞘瘤为有包膜肿瘤,由间隔束内紧凑排列的纺锤细胞交错穿插而成。
胸椎生理结构及基础知识胸椎是人体脊柱的一部分,位于颈椎和腰椎之间,由12个椎骨组成。
胸椎的生理结构和基础知识对于理解脊柱的功能和相关疾病具有重要意义。
胸椎是脊柱的中段,与颈椎和腰椎相比,具有一些特殊的结构特点。
首先,胸椎的椎体相对较大,呈现横扁的形状,这是为了承受上半身的重量和提供足够的支撑。
其次,胸椎的椎弓突向后延伸形成椎板,椎板之间有椎间孔,通过这些孔洞可以通过脊髓和神经根。
胸椎的生理功能主要包括支撑身体重量、保护脊髓和神经根、维持身体平衡以及提供灵活性。
胸椎的特殊结构使其能够承受上半身的重量,保护脊髓和神经根免受外部损伤。
同时,胸椎与肋骨相连形成胸廓,保护心脏和肺部等重要器官。
此外,胸椎还参与维持身体的平衡和姿势,并且具有一定的灵活性,使得身体能够进行各种运动和活动。
了解胸椎的基础知识对于预防和治疗相关疾病具有重要意义。
胸椎疾病常见的有胸椎骨折、胸椎间盘突出、胸椎畸形等。
胸椎骨折通常是由于外力作用导致的,常见于交通事故、高空坠落等。
胸椎间盘突出是指椎间盘的纤维环破裂,导致椎间盘组织向后突出压迫脊髓和神经根,引起疼痛和其他神经症状。
胸椎畸形包括先天性和后天性两种,可能是由于胚胎期发育异常、外伤、感染等原因引起。
对于胸椎相关疾病的治疗,常见的方法包括保守治疗和手术治疗。
保守治疗主要包括休息、物理治疗、药物治疗等,适用于轻度病例和无明显神经损伤的患者。
手术治疗通常适用于严重病例或有明显神经损伤的患者,如胸椎骨折合并脊髓损伤、胸椎间盘突出压迫脊髓等情况。
了解胸椎的生理结构和基础知识对于理解脊柱的功能和相关疾病非常重要。
胸椎的特殊结构和功能使其能够支撑身体重量、保护脊髓和神经根、维持身体平衡,并且具有一定的灵活性。
胸椎相关疾病常见且多样,对于这些疾病的治疗需要根据具体情况选择适当的方法,包括保守治疗和手术治疗。
通过加深对胸椎的了解,可以更好地预防和治疗相关疾病,提高生活质量。
胸椎正侧位解读
胸椎正侧位是一种影像学检查方法,用于评估胸椎的解剖结构和病变。
在胸椎正侧位X线片上,患者侧卧,一侧手臂平伸,另一侧手臂上举并放在头后。
通过这种位置,可以获得侧面的胸椎影像。
胸椎正侧位的解读主要关注以下几个方面:
1. 胸椎的曲度和对齐:正常的胸椎曲度应该是前凸的,即向前凸出。
胸椎的对齐也需要被评估,正常情况下,胸椎应该是垂直对齐的。
2. 椎体的形态和骨密度:胸椎的椎体应该是正常大小和形态的,没有明显的破坏或变形。
骨密度可以通过影像的亮度来评估,正常的骨密度应该均匀一致。
3. 椎间盘的高度和位置:胸椎正侧位可以观察椎间盘的高度和位置。
正常情况下,椎间盘的高度应该是均匀的,并且没有明显的突出或移位。
4. 椎骨关节和椎弓根的结构:胸椎正侧位可以评估椎骨关节和椎弓根的结构是否正常。
关节间隙应该是均匀的,椎弓根应该没有明显的骨折或变形。
5. 其他病变:除了上述结构之外,胸椎正侧位还可以观察其他病变,如骨质增生、骨赘、肿瘤等。
胸椎正侧位的解读需要由专业的放射科医生进行,结合病史和临床表现来综合评估。
如果有疑问或异常发现,可能需要进一步的检查和评估。
高位胸椎肿瘤切除植骨钉棒内固定术后护理作者:马向敏来源:《特别健康·下半月》2013年第11期【摘要】目的:探讨胸椎占位性病变患者在全麻下行高位胸椎肿瘤前路切除钉棒内固定术后护理。
方法对7例胸椎病变患者肿瘤前路切除植骨钉棒内固定术治疗,术前给予影像学检查、心理护理、床上生活护理,术后密切观察神志呼吸系统变化,加强引流管的护理,进行功能锻炼和出院指导。
结果 7例患者手术均成功,症状有所改善。
结论高位胸椎肿瘤前路切除植骨钢板内固定术治疗胸椎占位性病变效果显著,充分的术前准备良好的术后护理是手术成功的重要保证。
【关键词】高位胸椎肿瘤;前路切除;钢板内固定;护理【中图分类号】R47 【文献标识码】A 【文章编号】1003-8183(2013)11-0136-02高位胸椎包括胸1-胸4椎体,手术风险难度较大解刨部位特殊复杂,椎体的部位深前有胸骨纵隔阻拦,后方有肩胛骨阻拦。
该肿瘤的部位会导致脊髓压迫症状,严重可导致瘫痪和死亡。
手术切除肿瘤可减少脊髓的压迫症状,改善神经症状提高生活品质增加生存率。
对7例胸椎前路减压肿瘤切除钢板内固定术患者护理,报告如下:1 临床资料1.1 一般资料:本组7例,女2例,男5例,年龄在19.5-55.0岁,平均年龄37.3岁,病程2-6个月,平均4个月。
临床表现程度不同的肩部、胸背部疼痛,下肢感觉运动功能障碍。
不全瘫2例,全瘫1例,无明显诱因所致4例。
术前Frankel分级评定A级4例,D级2例,E 级1例。
病变部位胸2椎体2例,胸3椎体3例,胸4椎体1例。
肿瘤类型:转移性肺癌1例,骨巨细胞瘤4例,嗜酸肉芽肿2例。
术前常规进行胸片、CT、ECT、MIR检查。
1.2 手术方法:采用全麻插管患者取仰卧位头偏向一侧,经左或右侧胸锁乳突肌内侧斜切口,下端经过胸锁关节,逐层切开,钝性剥离锁骨骨膜,锐性切开胸锁关节,必要时在锁骨内1/4处截断锁骨,暴露部位。
切开椎体前静膜,注意保护喉反神经,向下推开头臂静脉,向外侧牵开颈总动脉,内侧牵开气管食管,暴露椎体。
关于椎体粉碎性骨折并椎管内骨性占位的影像学认定安徽宛陵司法鉴定所安徽宣城 242000摘要:文章以椎管的解剖解构特点及作用结合有关椎管内骨性占位的条款,捋出当前椎管内骨性占位损伤认定中的问题并提出相关建议,期能有益于对椎管内骨性占位的法医临床鉴定。
关键词:椎管内骨性占位;认定标准;伤残评定成人脊柱由26块椎骨(颈椎7块,胸椎12块,腰椎5块,骶骨、尾骨各1块)借韧带、关节及椎间盘连接而成。
《人体损伤致残程度分级》(以下简作《分级》)脊柱损伤主要是指颈椎、胸椎和腰椎的损伤,不包括骶骨和尾骨,对于脊柱损伤主要根据椎体及附件骨折情况来确定的,然而与之配套的指南中,椎体粉碎性骨折并椎管内骨性占位中“椎管内骨性占位”的认定缺乏统一标准,各方分歧较大,从而产生的鉴定结论差异也较大。
笔者结合日常鉴定工作实际分析椎骨的解剖结构特点及作用,剖析脊柱损伤中对于“椎管内骨性占位”评残认定中的问题并提出相关建议,以期能有益于对于椎体损伤中椎管内骨性占位的法医临床鉴定。
一、椎骨的解剖结构特点及作用椎骨由前方短圆柱形的椎体和后方板状的椎弓组成。
椎体是椎骨负重的主要部分,位于椎骨的前方,多呈矮圆柱形,承受着该椎体以上头部及躯干部的重量,内部充满松质,表面的密质较薄,上、下面粗糙,借椎间盘与邻近椎骨相接。
椎体后面微凹陷,与椎弓共同围成椎孔,各椎孔上下贯通,构成容纳脊髓的椎管。
从解剖结构和功能上可将整个脊柱分成前、中、后三柱,前柱包括椎体与纤维环的前2/3和前纵韧带;中柱包括后纵韧带、椎体和纤维环的后1/3;后柱是由后韧带复合体组成,根据Holdsworth的定义,后韧带复合体包括棘上韧带、棘间韧带、椎间关节囊、黄韧带(或椎板间韧带)和椎弓的后部。
中柱和后柱组成椎管,容纳脊髓和马尾神经,该区的损伤可以累及神经系统,特别是中柱的损伤,碎骨片和酸核组织可以从前方突入椎管,损伤脊髓或马尾神经,因此对每个脊柱骨折病例都必须了解有无中柱损伤。