主动脉瘤及穿透性溃疡的影像诊断
- 格式:ppt
- 大小:6.79 MB
- 文档页数:12
穿透性粥样硬化性主动脉溃疡的CTA表现摘要】随着人口老龄化及高血压患者的增多,以及多排CT的临床广泛应用,经CTA检查出穿透性粥样硬化性溃疡也随着增多。
由于该病发病急,进展迅速,早期诊断能为患者争取时间控制疾病的发展。
近期我院遇到2例患者,临床症状及CTA表现典型,根据CTA表现,结合文献资料,分析报告如下。
【中图分类号】R2【文献标号】A【文章编号】2095-7165(2015)07-0492-021资料与方法本组病例2例,均为男性,年龄63-71岁,均有高血压病史多年。
其中1例有长期心绞痛表现,未作正规治疗,后来病情突然加重,夜间不能平卧,心慌气短,胸闷,住院后,经查CTA确诊。
另1例为食道癌患者,经过多次放疗,某一天突然感觉胸背部撕裂样疼痛,到医院经CT检查确诊。
方法均采用西门子多排CT机,按正规程序步骤作心血管CTA检查,对图像进行后处理及重建。
2结果根据CTA表现,有学者根据溃疡的形态,分为如下几种表现形式。
(1)乳头状;(2)楔形;(3)手指状;(4)蘑菇状;(5)半圆形;(6)不规则形。
其直接征象以轴位像表现为佳,可见主动脉壁上广泛的粥样硬化和突出于主动脉腔外的龛影,且龛影基底部与主动脉腔相连,有的呈狭窄征表现,龛影形态各异。
CTA显示特征性弥漫性主动脉粥样硬化改变,即主动脉壁不规则增厚和钙化,并伴随溃疡样病变,即龛影。
有的可伴有不同程度的主动脉壁内血肿,血肿范围可局限也可弥漫,同时可见左、右冠状动脉血管壁多发性钙化斑块、软斑块及狭窄,呈串珠样表现。
间接征象(1)主动脉壁内血肿(IMH)范围可局限也可广泛,表现为主动脉壁新月形增厚或高密度区,有时血肿可巨大;(2)主动脉瘤样改变;(3)粥样硬化斑块,内膜钙化等[1]。
本组2例溃疡及血肿病变,部位均发生于降主动脉。
3讨论穿透性粥样硬化性主动脉溃疡(PAU)是stanson[2]于1934年首先提出的。
1984年stanson等首先将PAU定义为是在主动脉粥样硬化基础上形成的溃疡,并将其作为一种临床和病理上独立病变。
【微课堂】主动脉穿通性溃疡和主动脉壁间血肿的影像诊断一、主动脉穿通性溃疡PAU是指主动脉壁粥样硬化斑块破裂,穿透内膜或内弹力板,侵及中膜,脱落后呈溃疡样改变。
通常位于外膜下,常伴有周围血肿的形成。
1. 影像学表现(1)造影显示为与主动脉同期显影的深大'龛影',如左图。
(2)CT图像则表现为主动脉管腔的囊袋样突出,具有与主动脉管腔相同强度的对比剂强化,如右图。
(3)病灶周围多合并局限性壁间血肿。
点击图片查看大图PAU的内膜和中膜均已破裂,仅剩外膜围绕着管腔呈突起样'龛影',可表现为不同的形态,如下图。
点击图片查看大图PAU可位于升主动脉、降主动脉等多处。
左图显示,升主动脉处存在PAU(箭头所示),且患者同时伴有壁间血肿及胸腔积液。
右图显示,降主动脉起始部伴较大PAU。
点击图片查看大图2.鉴别诊断(1)主动脉夹层较大的囊袋状PAU轴位相常被误诊为AD。
鉴别诊断时,可观察破口及管腔状况。
PAU的内膜和中膜随已破裂,但无内膜破口、无游离内膜片、无真假两腔,病变局限,病灶与主动脉管腔强化程度一致。
AD有近、远端破口及内移游离的内膜片,主动脉呈双腔结构(一般真腔小,假腔大),管腔强化程度不一致,病变范围较为广泛。
有时PAU可进展为AD。
下图为同一例患者的CT(左)及三维重建图像(右)。
此患者较易误诊为AD,箭头所示处极易误认为内膜片,实为主动脉壁。
右图显示,主动脉壁内膜和中膜已破裂,外膜向外突出形成'龛影'。
左图CT 箭头所指实际是三维图像上的'龛影'。
点击图片查看大图(2)假性动脉瘤PAU可进展为假性动脉瘤,部分较大的PAU与假性动脉瘤较难鉴别。
鉴别时,可观察是否仍存在主动脉壁外膜结构及血栓包绕。
PAU 内、中膜破裂,但外膜完整,无大量血栓包绕;而假性动脉瘤的内、中、外膜均已破裂,血液被血栓及周围组织包绕形成较大的瘤腔,破口较小,但无正常动脉壁结构,如下图。
动脉瘤的影像学诊断动脉瘤的影像学诊断概述动脉瘤是血管壁局部的膨胀或扩张,常见于动脉系统中,尤其是大血管。
它是一种常见的心血管疾病,具有潜在的危险性。
影像学诊断在动脉瘤的早期检测、定位和评估病情发展上起着关键作用。
本文将介绍动脉瘤的影像学诊断方法、常见的影像学表现以及临床意义。
影像学诊断方法影像学诊断是动脉瘤诊断的重要手段,常用的方法包括超声、CT(计算机断层扫描)、MRI(磁共振成像)和DSA(数字减影血管造影)。
超声超声是一种简便、无创的检查方法,对动脉瘤的检测和定性有很高的敏感性和特异性。
通过超声可以观察到动脉瘤的形态、大小,以及血流动力学变化。
超声的优势在于可以实时观察,但缺点是其空间分辨率相对较低,对于较小的动脉瘤可能无法清晰显示。
CTCT是一种常用的影像学诊断方法,通过连续的断层扫描获取图像,可以观察动脉瘤的内部结构、形态和血流动力学变化。
CT具有较高的空间分辨率和较好的对比度,可以清晰显示动脉瘤的细节特征。
此外,CT还可以进行三维重建,帮助医生更好地理解动脉瘤的形态。
MRIMRI利用磁场和射频脉冲来图像,具有较高的软组织对比度,对于动脉瘤的诊断具有很大的优势。
MRI可以观察动脉瘤的形态、大小以及与周围组织的关系。
此外,MRI还可以进行磁共振血管成像(MRA),直接显示动脉瘤和周围血管的情况。
DSADSA是一种介入性的影像学检查方法,通过将造影剂注入患者血管中,然后使用X线摄影来观察血管的情况。
DSA具有很高的空间分辨率和对比度,可以清晰地显示病变血管及其分支。
它是诊断动脉瘤、评估其形态和血流动力学的重要手段,但由于其需要进行穿刺和造影剂的使用,可能对患者造成一定的风险。
影像学表现动脉瘤在影像学上有一些典型的表现,主要包括以下几点:1. 形态变化:动脉瘤的形态通常呈膨胀性,可呈梭形、囊袋状或分叶状,大小不一。
2. 局部扩张:动脉瘤通常是血管壁的局部扩张,可以显示为血管直径的增大。
3. 血流动力学改变:动脉瘤内常有血流湍动、缓慢流动或形成血栓。
主动脉瘤影像学诊断-hlj主动脉瘤影像学诊断主动脉瘤是指主动脉壁的异常扩张,可发生在主动脉的任何部位。
主动脉瘤通常是无症状的,但如果出现症状,如胸痛、呼吸困难或背痛,可能是主动脉瘤破裂或扩大的迹象。
因此,主动脉瘤的影像学诊断至关重要。
本文将介绍主动脉瘤影像学诊断的相关内容。
影像学检查方法1. X线检查X线检查是主动脉瘤影像学诊断的最基本方法之一。
在胸部X线检查中,主动脉瘤通常呈现为胸部阴影的异常扩大。
X线检查可以提供主动脉瘤的大致位置和形态信息,但对于主动脉瘤的详细病程、血管解剖和病变范围的判断准确性有限。
2. 超声检查超声检查是一种无创性、简便、安全且经济的主动脉瘤影像学诊断方法。
通过超声检查,可以直接观察到主动脉壁的扩张情况和瘤体的大小、形态等信息。
超声检查还可以评估主动脉内腔的血流动力学变化,如血栓形成和瘤内回心血流情况。
此外,超声检查可以用于指导主动脉瘤的穿刺抽取和其他治疗操作。
3. CT扫描CT扫描是主动脉瘤影像学诊断的金标准之一。
CT扫描可以提供主动脉瘤的三维形态信息、瘤壁情况和与周围结构的关系。
同时,CT扫描还可以评估主动脉内腔的血栓形成和瘤内回心血流,帮助临床医生制定恰当的治疗方案。
4. MRI检查MRI检查可提供清晰的主动脉瘤图像,不受钙化物和金属物质的干扰。
MRI对于评估主动脉壁的粘连情况、确定真假腔以及检测小的主动脉瘤较为敏感。
MRI检查需要较长的时间,并且对患者的合作度要求较高。
影像学诊断评估指标1. 主动脉瘤大小主动脉瘤的大小是评估其分级和破裂风险的重要指标之一。
一般来说,主动脉瘤的直径越大,其破裂的风险就越高。
根据主动脉瘤的直径,可以将其分为小于3厘米、3-5厘米和大于5厘米三个等级。
2. 主动脉瘤形态主动脉瘤的形态特征也是影像学诊断中需要评估的重要指标。
主动脉瘤的形态可以分为圆形、椭圆形和不规则形等。
不规则形的主动脉瘤更容易破裂,因为其壁厚度不均匀。
3. 主动脉瘤位置主动脉瘤的位置也对其破裂风险有一定的影响。
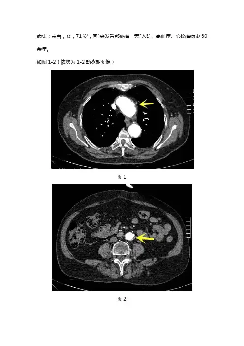
病史:患者,女,71岁,因"突发背部疼痛一天"入院。
高血压、心绞痛病史30余年。
如图1-2(依次为1-2动脉期图像)图1图2基础解剖影像:图3图4图5图6图3-6所示为正常中年人主动脉增强图像。
图3为主动脉弓水平,可见主动脉弓明显强化(黄色箭头),密度均匀,边界清晰。
图4为升主动脉水平,可见升主动脉(棕色箭头)和降主动脉(黄色箭头),升主动脉较降主动脉略宽,临近的肺动脉主干径线宽度不大于升主动脉,边界清晰,强化明显,密度均匀。
图5为腹主动脉分支肠系膜上动脉水平,肠系膜上动脉(白色箭头)发出于腹主动脉呈短线样,前方见弧形明显强化脾动脉。
图6为肾脏增强实质期腹主动脉分支肾动脉水平,可见左侧肾静脉和肾动脉强化血管并排走行,前方为肾静脉(白色箭头),后方平行为肾动脉,肾静脉略宽于肾动脉。
知识点:动脉是运送血液离心的管道,可在神经体液调解下收缩或舒张改变管腔大小,从而影响局部血流量和血流阻力。
管壁较厚,分为3层,即外膜、中膜和内膜。
外膜是动脉的外层结构,由结缔组织构成,其上分布有神经纤维末梢和营养血管。
中膜是动脉管壁中间一层,由大量环形排列的平滑肌纤维及弹性纤维组成(静脉含有大量胶原纤维和少量平滑肌纤维)。
内膜是动脉管壁内层结构,衬于结缔组织表面。
主动脉(白色箭头)是身体内最大的动脉,起于左心室,先右前方斜上行,达右侧第2胸肋关节高度后向左下弯曲形成主动脉弓,继续下行约第4胸椎高度移行为降主动脉,约第12胸椎椎体高度穿过膈形成腹主动脉,继续下行至第4腰椎椎体下缘分为左右髂总动脉。
主动脉通过整个动脉系统将所有含氧血液从心脏运送到全身各处。
主动脉弓主要分支包括头臂干动脉、左侧颈总动脉、左侧锁骨下动脉等。
胸主动脉主要分支包括支气管分支动脉等。
腹主动脉主要分支包括腹腔干、肠系膜上动脉、肠系膜下动脉、双侧肾动脉等。
影像诊断:如图1-2所示。
影像描述:主动脉弓与腹主动脉管壁厚度不均,可见低密度充盈缺损影,增强局部可见宽基底龛影向外突出,未突破外膜。
主动脉瘤影像学诊断.hlj主动脉瘤影像学诊断.hlj1.介绍主动脉瘤是指主动脉壁的扩张或膨胀,通常由于血管壁的结构异常或损伤导致。
主动脉瘤可分为腹主动脉瘤和胸主动脉瘤两种类型。
影像学在主动脉瘤的诊断和定量评估中起着至关重要的作用。
2.影像学评估2.1 腹主动脉瘤2.1.1 腹部超声腹部超声是腹主动脉瘤最常用的影像学检查方法。
可以评估瘤体的大小、形状、位置以及周围组织的受累情况。
2.1.2 CT扫描CT扫描是腹主动脉瘤的确认和详细评估手段。
可以提供瘤体的精确测量、血管壁的特征和周围组织的受累情况。
2.1.3 MRIMRI在腹主动脉瘤的诊断中具有高分辨率的优势,可以评估瘤体的解剖细节、壁厚和周围组织的病变。
2.2 胸主动脉瘤2.2.1 胸部X线片胸部X线片是胸主动脉瘤初步筛查的常用方法。
可以发现主动脉增宽、动脉弓变形以及钙化病变。
2.2.2 CT扫描CT扫描是胸主动脉瘤的确认和详细评估手段。
可以提供瘤体的精确测量、血管壁的特征和周围组织的受累情况。
2.2.3 MRIMRI在胸主动脉瘤的诊断中具有高分辨率的优势,可以评估瘤体的解剖细节、壁厚和周围组织的病变。
3.主动脉瘤的分期主动脉瘤的分期可以根据瘤体大小、瘤体形态以及瘤体与主动脉壁的关系进行分类。
常用的分期方法包括Crawford分类和Stanford分类。
4.影像学评估的关键指标4.1 主动脉瘤最大横径主动脉瘤最大横径是评估瘤体大小和生长速度的重要指标。
4.2 壁厚主动脉瘤壁厚的测量可以反映瘤体的稳定性和增生情况。
4.3 瘤体形态瘤体形态的评估可以帮助判断主动脉瘤的类型和危险程度。
4.4 瘤体与主动脉壁的关系瘤体与主动脉壁的关系可以预测主动脉瘤的破裂风险和手术可行性。
5.附件本文档涉及的附件包括:腹主动脉瘤超声图像、CT扫描图像和MRI图像。
6.法律名词及注释6.1 主动脉瘤主动脉瘤是指主动脉壁的扩张或膨胀,通常由于血管壁的结构异常或损伤导致。
6.2 腹主动脉瘤腹主动脉瘤是主动脉瘤中的一种,发生在腹部主动脉段。