病理切片考试--最完整版
- 格式:ppt
- 大小:17.20 MB
- 文档页数:6
病理切片1、肺出血性梗死:梗死区肺泡轮廓可见,但肺泡壁组织结构不清,梗死区肺泡腔内有大量红细胞(出血)。
梗死区周围肺泡结构清楚,肺泡壁毛细血管扩张,充血,肺泡腔内可见红细胞、白细胞、纤维蛋白等。
2、肉芽组织:由大量新生的毛细血管和成纤维细胞构成,此外还有许多炎细胞(巨噬细胞、嗜酸性粒细胞、嗜碱性粒细胞)。
毛细血管彼此相互平行,与创面垂直,间质富含液体而显疏松。
3、瘢痕组织:由肉芽组织成熟演变而成。
大片致密而粗大的胶原纤维束平行或交错排列,纤维细胞和血管很少。
4、慢性肝淤血:肝小叶内中央静脉及周围的肝血窦扩张,其中充满红细胞;与淤血血窦相邻的肝细胞索受压萎缩,甚至消失,肝小叶周边部淤血较轻,该处的肝细胞呈不同程度的脂肪变性,这种淤血区域与脂变区域相互交织,形成了肉眼上红黄相间的“槟榔肝”5、纤维结缔组织玻璃样变(取材于甲状腺):发生玻璃样变性的结缔组织,纤维细胞明显减少,胶原纤维变粗,彼此融合,形成均质的梁状或片状粉染半透明的玻璃样物质。
6、纤维结缔组织玻璃样变(取材于皮肤):真皮内大片致密而粗大的胶原纤维束,胶原纤维变性融合形成均质粉染半透明的玻璃样物质。
7、淋巴结干酪样坏死:大部分淋巴结组织结构以破坏消失,中央为大片红染无结构的颗粒状物质,周边可见上皮样细胞核多核巨细胞,外周可见残存的淋巴结结构。
8、慢性肺淤血:肺间质小静脉和肺泡壁内毛细血管明显扩张充血,肺泡腔内有均质粉染的蛋白水肿液,少量红细胞及巨噬细胞。
肺泡腔内可见心力衰竭细胞:细胞为圆形,或不规则形,胞浆丰富,其中可见许多金黄色小颗粒、大小不等,形状不一,为含铁血黄素。
9、混合血栓:阻塞血管腔的血栓成分为伊红色小梁状条纹和浅红色区相交织许多伊红色无结构的小梁网由血小板聚集而成。
小梁边缘附有一些中性粒细胞,血小板梁之间为丝网状,淡(或深)红色的纤维蛋白及较多的红细胞。
10、宫颈鳞状上皮化生:宫颈腺体柱状上皮呈鳞状上皮化生,部分腺体腺泡腔消失,为鳞状细胞团取代。
1.大叶性肺炎肺叶肿大切片见肺叶内有大片的实变区粗糙灰白色病灶边缘暗红色。
2.小叶性肺炎灰黄色可见扩张的细小支气管有大量的纤维素渗出病灶小。
03.肝细胞性肝癌肿瘤为一圆形实体巨块癌质地较软在大的癌块周边常有散的小癌结节。
03.卵巢浆液性囊腺瘤单个或者多个纤维分隔的囊腔组成囊内含有清亮液体偶混有粘液良性瘤囊内壁光滑一般无囊壁的上皮性增厚和乳头状突起交界线囊腺瘤可见较多的乳头。
04.卵巢粘液性肿瘤肿瘤表面光滑由多个大小不一的囊腔组成腔内充满富于糖蛋白的粘稠液体较少形成乳头。
05.子宫平滑肌瘤多发于子宫肌层一部分脱垂于子宫腔或子宫颈口肿瘤表面光滑界清无包膜肉眼呈暗红色。
06.乳腺癌乳腺癌绝大多数呈浸润性生长边界欠清。
有的可呈扁平状表面不光滑有结节感。
而且少数特殊类型的乳腺癌可因浸润较轻呈膨胀性生长表现为光滑、活动、边界清楚与良性肿瘤不易区别。
07.慢性纤维性空洞性肺结核肺内有一个或多个后壁空洞。
多位于肺上叶大小不一不规则。
08.流行性脑脊髓膜炎09.结核球有纤维包裹的孤立的境界分明的干酪样坏死灶多为单个常位于肺上叶。
10.阿米巴肝脓肿脓肿大小不等脓肿壁上附有尚未彻底液化坏死的汇管区结缔组织血管和胆管等呈破絮状外观。
11.栗粒性脾结核12.细菌性痢疾肠表面有一层灰黄色或灰褐色粗糙的假膜有的区域形成地图状溃疡。
13.畸胎瘤肿瘤多为囊性表面光滑呈圆形或椭圆形。
切面多为单房囊内含有油脂、毛发、骨、牙齿等。
囊壁厚薄不均。
14.阿米巴痢疾15.门脉性肝硬化肝体积缩小表面见大小一致的结节小于0.5厘米结节呈黄褐色。
16.葡萄胎病变局限于宫腔内不侵入肌层。
胎盘绒毛高度水肿形成透明或半透明的薄壁水泡内含清凉液体有蒂相连形成葡萄17.白喉有假膜生成黏膜坏色和溃疡。
18.慢性胃溃疡癌变多发于胃溃疡病灶比溃疡大癌变来自溃疡边缘的黏膜上皮。
19.胃癌20.亚急性重型肝炎肝体积缩小表面薄膜皱缩不平部分区域呈大一不一的结节状切面见坏死区呈红褐色或土黄色。
【考试的时候答三个要点就够了,就是后面的a.b.c】1.结缔组织的玻璃样变性:a胶原纤维增粗并相互融b呈均质红染的无结构的梁状、带状或片状2.肝水样变性:a细胞体积增大b胞浆内水分增大,变得透明、淡染,出现红染颗粒c 有的呈气球样外观3.肉芽组织:a新生的毛细血管平行排列b新生的纤维母细胞散在分布于毛细血管网络之间c炎细胞浸润于肉芽组织中,4.肝脂肪变性:a胞浆中出现大小不等的球形脂肪空泡b有的几个空泡融合成一个大空泡,将细胞核挤向一边5.肾浊肿:肾小管上皮细胞水肿,境界不清,管腔狭窄,胞浆中可见红染颗粒6.肺的出血性梗死:a梗死灶呈凝固性坏死b肺泡轮廓存在c小支气管和肺间质内充满了红细胞7.肝淤血:a肝小叶及其附近肝窦高度扩张,充满红细胞b肝索受压变窄、萎缩消失8.慢性肺淤血:a肺泡壁增厚和纤维化b肺泡腔内间水肿液、红细胞、心力衰竭细胞9.血栓机化:血栓被肉芽组织取代。
可见新生毛细血管、纤维母细胞、炎细胞10.宫颈息肉:粘膜上皮腺体和间质增生,伴有慢性炎细胞浸润11.浆细胞:细胞和位于基底侧,偏位,核仁明显,染色体呈放射状排列12.巨噬细胞:细胞体积较大,不规则,胞浆中含有吞噬的异物,细胞核呈杆状或分枝状13.阑尾炎(蜂窝织炎):阑尾壁肌层高度水肿,组织间隙增宽,弥漫性的中性粒细胞浸润14.嗜酸性粒细胞:胞质红染,细胞核呈杆状或分叶状,可见折光颗粒15.鳞癌:a癌细胞团状分布形成癌巢,与间质界限清楚b在细胞间可见细胞间桥c癌巢中央可见角化珠d细胞异型性明显可见核分裂象16.皮肤乳头状瘤:a表面被覆鳞状上皮b轴心具有血管的分枝状结缔组织间质17.乳腺纤维腺瘤:a乳腺导管扩张,上皮增生b纤维间质增生明显伴有粘液样变,长挤压导管18.腺癌:癌细胞形成腺管状结构,呈浸润性生长,癌细胞异型性明显19.髓样癌:癌细胞多而密集,无明显腺管状结构,间质少20.硬癌:癌巢少,间质丰富21.淋巴癌转移:被摸淋巴管内见癌细胞栓子,可见淋巴结内转移性癌细胞巢22.宫颈原位癌:异性增生的上皮细胞达上皮全层,出现较多和分裂象,但尚未突破基底膜23.海绵状血管瘤:血窦高度扩张24.毛细血管瘤:毛细血管内皮细胞增生可围成管状,内皮细胞呈扁平细长25.纤维瘤:纤维细胞呈编织状排列,癌细胞间有丰富的胶原纤维26.纤维肉瘤:异型性明显,肉瘤细胞多呈弥漫性分布,间质与实质界限不清27.风湿性心肌炎:心肌间质间阿少夫小体,中心少量纤维素样坏死、周围呈枭眼状或毛虫状风湿细胞,28.风湿性心内膜炎:瓣膜表面血小板和纤维蛋白沉积、凝集形成白色血栓29.冠状动脉粥样硬化:内膜不规则增厚,管腔呈偏心性狭窄可见纤维斑块,粥样斑块30.脾中央动脉玻璃样变(细动脉玻璃样变):a管壁正常结构消失b形成状无结构均质状红染的玻璃样物质c管壁增厚变硬d管腔狭窄甚至闭塞31.大叶性肺炎:a肺泡壁毛细血管扩张充血b肺泡腔内充满纤维素c肺泡腔内有少量的红细胞,中性粒细胞,肺泡巨噬细胞32.小叶性肺炎:a细支气管壁充血水肿b中性粒细胞浸润c病灶周围组织代偿性肺气肿和肺不张33.肺小细胞癌(肺燕麦细胞癌):a癌细胞小,无核仁,细胞浆少界限不清,b细胞一端稍尖一端钝圆似瓜子34.肝细胞性肝癌:a癌细胞排列成条索状、巢状或呈腺管样,周围为血管内皮细胞包绕,可伴有脂肪变性35.慢性肝炎:a肝细胞水肿b纤维组织增生c炎细胞浸润36.门脉性肝硬化:a形成假小叶b假小叶内肝细胞排列紊乱可有变性,坏死,再生c假小叶外周纤维组织增生中有慢性炎细胞浸润c有的有脂肪变性37.胃癌(腺癌):细胞核大小不一,深染,和分裂象多见(癌细胞组成腺样结构)38.胃溃疡:可见以下几层:a渗出层b坏死层c肉芽组织层d瘢痕层e增生性动脉内膜炎39.甲状腺单纯性腺瘤:a肿瘤包膜完整b肿瘤组织由大小大小较一致排列拥挤,内含胶质与成人正常甲状腺相似的虑泡构成40.胶样腺瘤:a由大滤泡或大小不一的滤泡组成b滤泡内充满胶质可融合成囊c肿瘤间质少{滤泡腔中一片红染,且有刀印——答题时不写这个}41.滤泡状腺癌:a瘤细胞异型性明显,向被摸浸润b滤泡少而不完整c癌细胞是扁圆的42.慢性硬化性肾小球肾炎:a肾小球硬化,玻璃样变b肾小球中央部分无细胞,周围部分纤维化c间质纤维组织中炎细胞浸润d间质内小动脉增生性硬化,管壁增厚,管腔狭窄43.新月体性肾小球肾炎:肾小球上皮细胞增生形成新月体44.肠结核:a结核结节b结核结节中央干酪样坏死c结核结节周边有朗格汉斯巨细胞45.干酪样肺炎:a大片红染无结构的干酪样坏死b可见朗格汉斯巨细胞c增生性结核结节46.流脑:a蛛网膜血管高度扩张充血b蛛网膜下腔增宽c大量中性粒细胞,淋巴细胞,纤维蛋白渗出47.乙脑:可见a筛网状软化灶b血管套c嗜神经现象d卫星现象e胶质结节48.伤寒:a伤寒小结b伤寒细胞本部切片49.霍奇金淋巴瘤:a镜影细胞b以淋巴细胞为主的多种炎细胞浸润50.绒癌:a细胞异型性明显,核分裂象多见b可见细胞滋养层细胞和合体滋养c肿瘤内无间质和血管d出血坏死明显51.肝脓肿:a局限性病变b可见分叶核的中性粒细胞52.混合血栓:a血小板小梁呈淡红色无结构的不规则状b血小板小梁之间为充满红细胞的纤维素网53.肾梗死:a胞浆呈均质红染,见凝固性坏死b肾小管结构存在但细胞核溶解消失c梗死界限清楚,有炎细胞浸润54.子宫平滑肌瘤:癌细胞束状或旋涡状排列,癌细胞呈长梭形55.子宫平滑肌肉瘤:癌细胞密集呈梭形或椭圆形,大小不等,形状不一,可见较多核分裂象56.凝固性坏死:a坏死组织的细胞核溶解b胞浆呈嗜酸性红染c组织结构尚存57.增生性淋巴结结核:见结核结节和干咯样坏死58.坏死后性肝硬化:a假小叶形成b周围的纤维组织间隔明显增宽c有炎细胞浸润。
病理技术试题及答案一、选择题(每题2分,共20分)1. 病理学的主要任务是什么?A. 疾病的预防B. 疾病的诊断C. 疾病的治疗D. 疾病的流行病学研究2. 组织切片的厚度通常是多少微米?A. 2-4微米B. 4-6微米C. 6-8微米D. 8-10微米3. 以下哪项不是常规的病理染色方法?A. HE染色B. 免疫组化染色C. 银染D. PCR4. 病理切片的固定液中常用的固定剂是什么?A. 酒精B. 福尔马林C. 盐水D. 碘液5. 病理学中的“四分法”是指什么?A. 四种不同的染色方法B. 四种不同的切片方法C. 四种不同的组织类型D. 四种不同的显微镜观察方法二、填空题(每空2分,共20分)6. 病理学中的_________是指对疾病进行形态学观察和研究的科学。
7. 病理学中,_________是指通过显微镜观察组织细胞的形态变化。
8. 病理切片的制备过程包括_________、_________、_________和_________。
9. 免疫组化染色的原理是利用_________与_________之间的特异性结合。
10. 病理学中的_________是指对疾病进行定量或定性分析的科学。
三、简答题(每题15分,共30分)11. 简述病理学在临床诊断中的作用。
12. 解释病理学中的“肿瘤分级”和“肿瘤分期”。
四、论述题(共30分)13. 论述病理技术在疾病研究和治疗中的应用。
病理技术试题答案一、选择题1. B. 疾病的诊断2. A. 2-4微米3. D. PCR4. B. 福尔马林5. B. 四种不同的切片方法二、填空题6. 病理学7. 组织病理学8. 取材、固定、切片、染色9. 抗体、抗原10. 病理生理学三、简答题11. 病理学在临床诊断中的作用主要体现在:- 提供疾病确诊的依据- 指导临床治疗方案的制定- 评估疾病预后- 为疾病研究提供基础数据12. 病理学中的“肿瘤分级”是指根据肿瘤细胞的形态和结构特征,评估肿瘤的恶性程度。
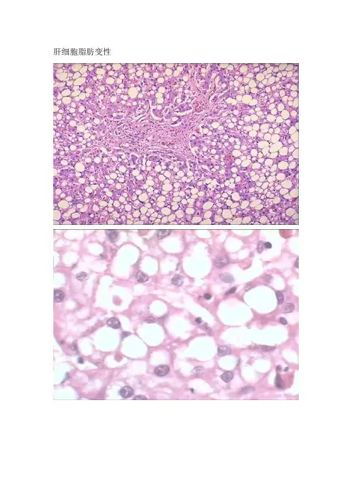
肝细胞脂肪变性
肝细胞水肿
肾小管上皮细胞水肿
脾被膜玻璃样变性
肾组织凝固性坏死
肾小管凝固性坏死
肺(淋巴结)干酪样坏死
干酪样坏死
呈一片模糊细颗粒状无结构红染物质
肉芽组织
混合血栓
肾梗死
心肌梗死
肺出血性梗死
急性蜂窝织炎性阑尾炎
化脓性脑膜炎
肺脓肿
慢性宫颈炎
结核肉芽肿
结核性肉芽肿
虫卵肉芽肿
乳腺纤维腺瘤
乳腺癌
皮肤乳头状瘤
鳞状细胞癌
子宫平滑肌瘤
甲状腺腺瘤
(淋巴结)转移性腺癌
肝脏转移性腺癌
甲状腺腺癌
乳腺纤维瘤
畸胎瘤
纤维肉瘤
动脉粥样硬化
风湿性心肌炎。
病理学切片考试SANY GROUP system office room 【SANYUA16H-SANYHUASANYUA8Q8-SANYUA16病理切片总结1.瘢痕组织。
1大量平行或交错分布的胶原纤维束2均质红染的玻璃样变3纤维细胞少,核细长深染,小血管稀少2.肠伤寒1.大量的淋巴细胞之间有伤寒细胞松散聚集在一起形成伤寒小体。
2.巨噬细胞胞浆内有被吞噬的淋巴细胞。
3.大叶性肺炎1分为四期充血水肿期,红色肝变期,灰色肝变期,溶解消散期2肺泡轮廓完整3肺泡腔内有大量纤维素溶出物4有大量中性粒细胞4.肺出血性梗死1肺泡轮廓完整2肺泡腔、小支气管腔肺间质充满红细胞3肺梗死区呈淤血状态5.风湿性心肌炎1心肌间质可见梭形风湿小体2中央有纤维素坏死3周围聚集风湿细胞及少量淋巴细胞6.风湿性心内膜炎1赘生物形成2血小板纤维素形成白色血栓3间质有粘液样变和纤维素性坏死7.肝水样变1细胞体积变大2胞浆淡染3空泡变性,严重时呈气球样变性其实已经达到了气球样变的标准了吧,“液体”其实是水分为主8.肝脓肿1可见大小不等分界清楚的脓肿病灶2病灶部位有大量中性粒细胞浸润9.肝细胞肝癌癌细胞排成条索状2癌巢之间有间隙3癌细胞多成多角形,噬酸核10.肝淤血1血竇扩张,充满大量红细胞2有脂肪变性3肝细胞受压萎缩坏死崩解11.肝脂肪样变1有脂滴空泡2肝细胞核挤向一边3肝窦变窄12.肺干酪样肺炎1肺泡腔内大量浆液性蛋白和巨噬细胞为主的炎细胞,2可见广泛的干酪样坏死,类上皮及朗格汉斯细胞13.硅肺1有硅结节生成2肺间底弥漫性纤维化3结节中有内膜增厚的血管14.宫颈原位癌1异型性增生的细胞累及上皮但不侵及基底膜2细胞异型性明显,核大深染,排列紊乱15.门脉性肝硬化1可见大小不等的假小叶2假小叶内有中央静脉缺如、偏位或两个以上3干细胞排列紊乱,有变性坏死增生现象16.肝坏死后肝硬化1假小叶大小不等2周围的纤维间隙明显3肝细胞大量坏死17.甲状腺单纯性腺瘤1肿瘤呈卵圆形,包膜完整2肿瘤组织大排列紧密3内含胶质与正常甲状腺相似的滤泡18.浆细胞1核染色质呈辐轮状2核偏在一侧3有核周晕19.巨噬细胞1体积大而不规则2胞浆嗜酸性3核偏位4包内有吞噬的其他细胞20.混合血栓1粉染均匀的血小板梁2血小板梁之间为充满红细胞的纤维素网和中性粒细胞21.胶样腺瘤1滤泡内有大量胶质2胞膜完整,上皮细胞成立方形。