血细胞形态图片
- 格式:doc
- 大小:11.12 MB
- 文档页数:13
初中生物血液和血型考点梳理血液血液是由血浆和血细胞组成的,血细胞又分为红细胞、白细胞和血小板。
新鲜的血液加入抗凝剂后会出现分层现象,上层淡黄色的为血浆(约占55%);下层红色的为红细胞,中间交界面还有很薄的白色物质为白细胞和血小板。
一、血浆成分:含有大量的水,还有蛋白质、葡萄糖、无机盐和代谢废物等。
功能:运载血细胞,运输维持人体生命活动所需的物质和体内产生的废物。
二、血细胞项目红细胞白细胞血小板形态特点较大,呈两面凹的圆饼状比红细胞大呈圆球状最小的血细胞形状不规则结构特点没有细胞核有细胞核没有细胞核正常值男:5.0×1012个/升女:4.2×1012个/升4~10×109个/升100~300×109个/升功能运输氧气防御疾病止血、加速凝血病症过少:贫血过多:发炎过少:血友病图示【要点诠释】1.血红蛋白①特点:血红蛋白是一种红色、含铁的蛋白质。
红细胞之所以呈红色,是因为含血红蛋白。
②特性:在氧含量高的地方与氧结合,在氧含量低的地方又容易与氧分离。
血红蛋白的这一特性,使红细胞具有运输氧的功能。
2. 贫血是指血液中红细胞的数量过少或红细胞中血红蛋白的含量过低。
一般贫血患者应多吃一些含蛋白质和铁丰富的食物。
3. 发炎当身体某处受伤,病菌侵入时,白细胞可以穿过毛细血管壁聚集到伤口周围吞噬病菌,同时伤口周围出现红肿现象,这就是我们平时所说的“发炎”。
血型与输血一、血型最基本的血型是ABO血型系统,包括A型、B型、AB型、O型。
二、血量与输血1. 血量:成年人体内血量大致相当于本人体重的7%~8%。
2. 输血:对于一个健康人来说,少量失血时,所丧失的血浆和血细胞可以在较短时间内得到补充而恢复正常。
但如果一次失血超过800~1000毫升,就会出现头晕、心跳加快、眼前发黑和出冷汗等症状;如果一次失血超过1200~1500毫升,就会有生命危险,需要及时输血。
三、安全输血1. 输血原则:以输同型血为原则。
卫生部临床检验中心2009 年第 1 次血细胞形态学检查室间质量评价注:若看不清结构,可以适当放大图片比例进行观察。
序号图片说明2009101请报告箭头所指细胞的名称单核细胞2009102请报告箭头所指细胞的名称口形红细胞2009103请报告箭头所指细胞的名称异型淋巴细胞染色质小体,为紫红色圆形小体,位于成熟红细胞或幼红细胞胞浆中,可1或多个一般见于脾切除后、无脾症、脾萎缩、脾功能低下、红白血病、某些贫血(例如巨幼红细胞性贫血)请报告箭头所指细胞 2009104 内结构的名称请报告箭头所指细胞 2009105 的名称请报告箭头所指细胞 2009106 的名称请报告箭头所指物的 2009107名称豪若小体含中毒颗粒中性粒细胞原/幼单核细胞血小板请报告箭头所指细胞 2009108 的名称请报告箭头所指细胞 2009109 的名称请报告箭头所指细胞 2009110 的名称浆细胞球形红细胞巨(中性)杆状核粒细胞卫生部临床检验中心2009 年第 2 次血细胞形态学检查室间质量评价注:若看不清结构,可以适当放大图片比例进行观察。
序号 图片 说明请报告箭头所指细胞 2009201的名称请报告箭头所指细胞 2009202的名称请报告箭头所指细胞 2009203的名称原/幼淋细胞棘形红细胞巨多分叶中性粒细胞请报告箭头所指细胞 2009204 的名称请报告箭头所指细胞 2009205 的名称请报告箭头所指细胞 2009206 的名称请报告箭头所指细胞 2009207的名称椭圆形红细胞嗜碱性粒细胞嗜酸性粒细胞靶形红细胞请报告箭头所指细胞 2009208 内结构的名称请报告箭头所指细胞 2009209 的名称请报告箭头所指细胞 2009210 的名称中性粒细胞鼓槌巨核细胞早幼粒细胞卫生部临床检验中心2009 年第 3 次血细胞形态学检查室间质量评价注:若看不清结构,可以适当放大图片比例进行观察。
序号图片说明2009301请报告箭头所指细胞的名称原幼淋巴细胞2009302请报告箭头所指细胞的名称镰形红细胞2009303请报告箭头所指细胞的名称单核细胞请报告箭头所指细胞排2009304列状况的名称请报告箭头所指细胞的2009305名称请报告箭头所指细胞的2009306名称请报告箭头所指细胞的2009307名称缗钱状红细胞毛细胞泪滴形红细胞赛塞利细胞请报告箭头所指物的名 2009308 称请报告箭头所指细胞的 2009309 名称请报告箭头所指细胞的 2009310 名称颗粒减少的血小板戈谢氏细胞中性晚幼粒细胞卫生部临床检验中心2010 年第 1 次血细胞形态学检查室间质量评价注:若看不清结构,可以适当放大图片比例进行观察。
1.(2013•盐城)如图为显微镜观察到的人血涂片示意图.下列有关叙述中错误 的是( )A. ① 的 细 胞 内 无 细 胞 核 B. ② 的 功 能 是 吞 噬 病 菌 C. ③ 的 功 能 是 运 输 氧 气 D. 人 体 出 现 炎 症 时 ② 的 数 量 会 增 多 显示解析试题篮2.(2013•台州)利用显微镜观察人的血细胞涂片,在 两种不同的放大倍率下,视野分别为甲和乙,如图所示.下列相关叙述正确的是 ()A. 若 玻 片 往 左 移 , 则 像 也 会 往 左 移B. 若 使 用 相 同 的 光 圈 和 反 光 镜 , 则 甲 比 乙 亮C. 甲 中 所 观 察 到 的 细 胞 , 在 乙 中 均 可 观 察 到D. 若 在 甲 看 到 模 糊 的 像 , 则 改 换 成 乙 就 可 以 看 到 清 晰 的 像 显示解析试题篮的是( )A. ① 显示解析试题篮3.(2013•泉州)右图所示血液成分中,数量过少会导致贫血B. ②C. ③D. ④4.(2012•泉州)如图是人血涂片示意图,对该图的叙述中 错误的是( )A. ① 能 吞 噬 入 侵 的 病 菌 B. ② 能 运 输 养 料 和 废 物 C. 缺 铁 或 蛋 白 质 会 影 响 ③ 的 功 能 D. 输 血 时 血 型 不 合 ④ 会 凝 集 成 团 显示解析试题篮5.(2012•青岛)在显微镜下观察人的血涂片,表述不正确的是( )A. 白 细 胞 内 有 细 胞 核 , 细 胞 较 大 B. 红 细 胞 内 无 细 胞 核 , 细 胞 呈 两 面 凹 的 圆 饼 状 C. 血 小 板 不 易 看 到 D. 白 细 胞 数 目 最 多 显示解析试题篮6.(2012•百色)如图是用显微镜观察到的人血涂片视野,下 列叙述正确的是( )A. ③ 个 体 最 小 , 能 穿 透 血 管 壁B. ① 数 量 最 多 , 具 有 运 输 氧 的 功 能C. ② 的 数 量 最 多 , 能 够 吞 噬 病 菌D. ① ② ③ 都 有 细 胞 膜 、 细 胞 质 、 细 胞 核显示解析试题篮7.(2010•韶关)将人血涂片放在显微镜低倍镜下观察,可看到有细胞核的血细 胞是( )A. 血 小 板B. 白 细 胞C. 红 细 胞D. 无 法 确 定显示解析试题篮8.(2010•承德)小明观察血涂片时,首先看到了 图中①所示的物像.然后进行操作观察到图②所示的物像,小明观察时没有进行 的操作是( )A. 转 动 转 换 器B. 转 动 细 准 焦 螺 旋C. 转 动 粗 准 焦 螺 旋 显示解析试题篮D. 调 节 反 光 镜9.(2009•莆田)图是用显微镜观察人的血细胞涂片时所看到的图象,视野中标号①指的是( )A. 白 细 胞B. 红 细 胞C. 血 小 板D. 淋 巴 细 胞显示解析试题篮10.(2008•湘潭)在“用显微镜观察人血的永久涂片”实验中,看到的数量最 多的血细胞是( )A. 血 浆B. 白 细 胞C. 血 小 板D. 红 细 胞11.(2010•晋江市质检)如图是显微镜下观察到的人血涂片视野,下列说法正 确的是( )A. ① 是 白 细 胞 , 具 有 吞 噬 病 菌 的 作 用B. ② 是 血 小 板 , 具 有 细 胞 核C. ③ 是 红 细 胞 , 其 作 用 主 要 是 运 输 二 氧 化 碳D. ④ 是 血 浆 , 能 运 载 血 细 胞 , 运 输 氧 气显示解析试题篮12.用显微镜观察人血涂片时,视野中数目最多、有细胞核的血细胞分别是( )A. 白 细 胞 和 红 细 胞B. 血 小 板 和 白 细 胞C. 血 小 板 和 红 细 胞D. 红 细 胞 和 白 细 胞显示解析试题篮13.在观察人血涂片时,在显微镜下观察到的数量最多的血细胞是( )A. 上 皮 细 胞B. 红 细 胞C. 白 细 胞D. 血 小 板显示解析试题篮不正确的是(14.下图是显微镜下观察到的人血涂片视野,下列相关表述 )A. ③ 数 量 最 多 , 其 内 富 含 含 铁 的 血 红 蛋 白B. ① 个 体 最 大 , 能 够 吞 噬 病 菌 并 保 护 人 体C. ② 个 体 最 小 , 具 止 血 和 加 速 凝 血 的 作 用D. 血 液 分 层 后 , ① ② ③ 均 位 于 试 管 的 下 层 显示解析试题篮15.如图是人体血细胞图片,当伤口被细菌感染而发炎时, 数目会显著增加的是( )A.1 红细胞B.2 白细胞C.3 血小板D. 血 浆显示解析试题篮16.在显微镜下观察血涂片,下列有关叙述不正确的是( )A. 白 细 胞 内 有 细 胞 核 , 细 胞 较 大B. 红 细 胞 内 无 细 胞 核 , 细 胞 呈 双 面 凹 的 圆 饼 状C. 红 细 胞 均 比 白 细 胞 大D. 血 小 板 比 红 细 胞 、 白 细 胞 都 小 得 多 , 形 状 不 规 则 显示解析试题篮17.如图是用显微镜观察到的人血涂片视野,关于其组成成 分的表述不正确的是( )A.1 是红细胞,能运输氧气B.2 是白细胞,对人体有防御保护作用C.3 是血小板,能促进止血和加速凝血D.4 是血清,可运载血细胞,运输养料和废物 显示解析试题篮18.(2013•滦南县模拟)小明观察血涂片时,首先看到了图中①所示的物像.然 后进行操作观察到图中②所示的物像,从图①到图②小明首先进行的操作是 ()A. 转 动 转 换 器 C. 转 动 细 准 焦 螺 旋 显示解析试题篮B. 调 节 反 光 镜 D. 转 动 粗 准 焦 螺 旋19.(2011•南安市质检)如图是一滴血在显微镜视野中的示意图,其中具有止血和凝血作用的血细胞是( )A.1B.2C.3D.4显示解析试题篮20.用显微镜观察血涂片,在同一视野中所见到的数目最多的血细胞是( )A. 白 细 胞B. 红 细 胞C. 血 小 板D. 血 浆显示解析试题篮21.观察人血的永久涂片时,可以看见的是( )A. 红 细 胞 和 血 小 板B. 白 细 胞 和 血 小 板C. 血 小 板D. 红 细 胞 和 白 细 胞显示解析试题篮22.用显微镜观察血液的涂片,我们所看到的血细胞中,数量最多的是( )A. 血 浆B. 红 细 胞C. 白 细 胞D. 血 小 板显示解析试题篮23.观察一般分为定性观察和定量观察.下列实验进行的是定量观察的是( )A. 在 面 包 屑 上 滴 碘 酒B. 统 计 各 种 食 物 周 围 蚂 蚁 的 数 量C. 血 液 的 分 层 现 象D. 显 微 镜 观 察 洋 葱 鳞 片 叶 表 皮 细 胞 显示解析试题篮24.观察人血涂片视野图,关于其组成成分的表述不正确的是 ()A.1 是红细胞,能运输氧和部分二氧化碳 B.3 是血浆,可运载血细胞和养料 C.2 是白细胞,血细胞中它的数量最多 D.4 是血小板,能止血和加速凝血 显示解析试题篮25.如图是用显微镜观察到的人血涂片视野,关于 其组成成分的表述不正确的是( )A. [1]是 红 细 胞 , 能 运 输 氧 B. [2]是 白 细 胞 , 对 人 体 起 防 御 和 保 护 作 用 C. 血 细 胞 中 数 量 最 多 的 是 白 细 胞 D. 血 小 板 是 最 小 的 无 核 血 细 胞 显示解析试题篮26.显微镜下看到的血涂片中的红细胞( )A. 是 圆 的 , 细 胞 中 央 比 周 围 亮 B. 是 圆 的 , 中 央 有 一 个 较 亮 的 细 胞 核 C. 是 圆 的 , 中 央 比 周 围 暗 的 细 胞 核 D. 是 圆 的 , 中 央 有 一 个 较 暗 的 细 胞 核 显示解析试题篮27.显微镜下红细胞与白细胞的区别是( )A. 两 面 凹 的 圆 饼 状 、 无 细 胞 核 B. 比 白 细 胞 大 、 有 细 胞 核 C. 数 量 少 、 形 状 不 规 则 、 无 细 胞 核 D. 个 体 小 、 无 细 胞 核 显示解析试题篮28.如图是用显微镜观察到的人血涂片视野图,下列关于其 组成成分的表述不正确的是( )A.1 是血小板,过多时血液不易凝固 B.2 是白细胞,对人体起保护和防御作用 C.3 是红细胞,能运输氧和部分二氧化碳 D.3 与氧气的分离或结合取决于氧气的浓度 显示解析试题篮29.在显微镜下仔细观察微量的染色人血,显示出( )A. 白 细 胞 的 结 构B. 红 细 胞 的 细 胞 核C. 血 小 板 的 细 胞 核D. 血 浆 中 溶 解 的 营 养 物 质显示解析试题篮30.在中学所做的下列各实验中,始终应保持生物或细胞是活的状态的是( )A. 观 察 人 血 细 胞 的 涂 片B. 观 察 黑 藻 嫩 叶 片 内 的 细 胞 质 流 动C. 观 察 叶 片 的 下 表 皮D. 观 察 小 鱼 尾 鳍 内 血 液 的 流 动显示解析试题篮31.右图是用显微镜观察到的人血涂片,1、2、3 分别是血液中三种成形的结构.下 列叙述中你不认同的是( )A.1 为白细胞,能够吞噬病菌和异物B.只有 2 没有细胞核C.3 的数量最多,能够运输氧气D.2 的体积最小,能止血和加速凝血 显示解析试题篮32.(2013•玉林)如图所示是显微镜下的血细胞图,请填 空: (1)当人被细菌感染发炎时,的数目会显著增加. (2)图中没有显示的血细胞是,当它的数目明显下降时,会引起人体皮下出血. (3)血液中具有运载血细胞、运输营养物质和废物功能的成分是.显示解析试题篮33.(2006•三明)用显微镜观察人血涂片,血细胞中数目最多的是细胞;在观察心脏的实验中,心脏四个腔中壁最厚的是.显示解析试题篮34.(2012•平果县一模)如图为显微镜下观察到的血涂片, 请回答下列问题: (1)用显微镜观察血涂片时,某学生已观察到了细胞图象,但图象不很清晰, 此时应调节显微镜的,使图象清晰. (2)当人体某处被细菌感染时,其数目会显著增加的是[1]细胞. (3)视野中数量最多的血细胞是[1],体积最大的血细胞是[2]. (4)必须通过输血进行抢救的病人,输血的时候,应以输入为原则.显示解析试题篮35.(1)人血涂片在显微镜下观察,如图,请据图回答问题:当人体受到病菌 感染,出现炎症时, 细胞的数量会明显增高,集中到受感染的地方,吞噬病菌,此免疫属于免疫. (2)患过水痘的同学,以后就不再患水痘了,因为患过水痘的同学的体内产生 了,它是受到水痘病毒的刺激后产生的,水痘病毒是,此免疫属于 免疫.显示解析试题篮36.如图是从手指处取的一滴血在显微镜下观察 到的图象.请你结合所学的知识,回答问题: (1)图中,能促进止血和加速凝血的是[ ] .能穿过毛细血管壁到达组织的是[ ] . (2)生活在平原的人,进入高原初期,图中[ ] 的数量会增多,这样能够增强血液 . (3)血液呈现红色,其根本原因是血液中 的颜色为红色.显示解析试题篮37.显微镜下观察人血涂片,数量最多的血细胞是 ,数量最少的血细胞是,最大的血细胞是,最小的血细胞是.显示解析试题篮38.人体内物质运输的载体是血液.用显微镜观察血细胞涂片,可以知道,血细胞中数量最多的是,数量较少的是,用光镜观察不到的是.显示解析试题篮39.在显微镜下观察人血永久图片时,看到最大的血细胞是,最多的血细胞是.显示解析试题篮40.如图是通过显微镜观察到的人血涂片,据图回答:(1)三种血细胞中体积最大的是[],若某人血液中该细胞数量过多,可能患有炎症.(2)单位体积的血液中,数量最多的细胞是[];若某人血液中该细胞数量过少,可能患有贫血,如果是营养不良引起的,今后应该多吃的食物.(3)血液除图中的①②③外,还包括.(4)严重腹泻时,血液中主要丢失了.41.【2009贵州省黔东南州中考】右图是血涂片在显微镜下的一个视野图.(用图中番号回答).①当人被细菌感染而发炎时,图中的数目会显著增加.②当图中数目明显下降时,会引起人体皮下出血.③当图中数量过少时,会造成人体贫血.④担负运输养料和废物功能的是.类型之二考查血型和输血知识的理解ABO血型是常用的血型,输血不当会导致红细胞凝集,堵塞小血管从而引起血液循环障碍,严重会导致死亡.正常人适量输血不仅不会影响健康,反而可以促进健康.显示解析试题篮42.如图是一滴血在显微镜视野中的示意图.已知正常人红细胞的含量为(4.2-5.0)×1012个/L,白细胞为(4-10)×109个/L,白细胞个体一般较红细胞大.请据图回答问题(“[]”中填写序号,“”内填写文字.)(1)图中[]是红细胞.某人经常精神不振,容易疲劳,经血液化验,此人红细胞数目为3×1012个/L.据此判断此人患有症.这种病人应多吃一些含和丰富的食物.(2)人体某处受伤感染时,[]会穿过毛细血管壁,聚集在感染处,吞噬病菌.男女之间的数量上差异最大的是[];具有运输养料和废物功能的是[];能够携带氧的是[].显示解析试题篮43.右图是用显微镜观察血涂片时,在视野中看到的血液情况,请据图回答:(1)人体某处受伤化脓,脓液主要是死亡的[D].(2)B的主要功能是运输氧,氧进入人体后,在处与B中的血红蛋白结合.(3)某脑血栓病人,其病因是[C]含量较多.(4)某成年男性常常头晕、精神不振,血常规检验报告单上有如下内容:RBC (图中B)3.86×1012个/升[*注:正常值男:(4.0-5.5)×1012个/升],WBC (图中D)7.0×109个/升[*注:正常值:(4-10)×109个/升],HB(血红蛋白)106克/升[*注:正常值男:120-160克/升].据此判断此人可能患有症.除服用医生属附之药物之外,请你给他建议生活中多吃含的无机盐的食物.显示解析试题篮44.如图是血涂片在显微镜下的一个视野图,请回答:(1)视野中数目最多的是A,该细胞结构中没有.(2)形态最小,形状不规则的是C,具有止血和凝血的功能.(3)病菌入侵机体引起发炎后,数目显著增多的是B.(4)担负运载血细胞,运输养料和废物功能的是D.显示解析试题篮45.图为用显微镜观察血涂片时视野中的图象,请据图回答:(1)图中D所示的细胞体积最大,且与B所示细胞相比,细胞中有,故该细胞是细胞.(2)小明的手被轻度划伤出血,但伤口处血液很快凝固,起止血起作用的是图中标号所示的结构.(3)肾小囊腔中的液体成分与图中A相比,不含有.显示解析试题篮46.如图为某同学在显微镜下观察到的血涂片的视野的一部分,据图回答问题.(1)具有止血和加速凝血作用的是[];有输送氧和部分二氧化碳作用的是[].(2)B是,有作用.(3)患急性炎症时数目增多的是[].(4)A和C在结构上的区别是.(5)血液分层实验中上、中、下三层分别是.(6)血液之所以呈红色,是因为血液中中的呈红色.显示解析试题篮47.如图是显微镜视野中人血涂片示意图,请回答相关问题:(1)当人体受伤出血时,具有止血和凝血作用是.(2)男女间的数量上差异最大的是.(3)具有运输养料和废物功能的是.(4)如果血型不同,混合时会出现凝集成团现象的是.显示解析试题篮48.右图是显微镜视野中人血图片示意图,请回答相关问题:(1)当人体某处受伤出血时,具有止血和凝血作用的是[];若伤口受细菌感染发炎,数量明显增加的是[].(2)成熟的红细胞没有.细胞中含有丰富的,具有运输的功能.(3)小燕经常面色苍白,容易疲劳,经血液化验,红细胞数量为3×1012个/L (女子正常值为4.2×1012个/L).据此判断可能患有症.平时应多吃一些含和丰富的食物.显示解析试题篮49.如图是某同学在显微镜下观察人血涂片的一个视野图,据图作答:(1)血细胞中数目最多的是图中的(2)体积最大,数目最少的是图中的(3)与止血有关的是图中的(4)我们吃入的营养主要由图中的来运输它还运输我们体内产生的气体.显示解析试题篮50.如图是用显微镜观察血液涂片时,在视野中看到的图象,请据图分析回答问题.(1)在同一视野中所见到的数目最多的是[②].(2)图中[②]有运输氧气的功能,当体内数量减少时,可能出现.(3)当人被细菌感染时,其数目会增多的是[①],说明体内出现.(4)能运输养料和废物的是.(5)小明的手被轻度划伤出血,对止血起作用的是图中标号所示的结构.51.如图是血涂片简图,在视野中数量最多的是,其形状呈.白细胞和血小板不易被找到的原因分别是、.具有核的是,能运输血细胞的是,最小的血细胞是.皮肤划破而流血,不久就会自然止血,这是血液中作用.显示解析试题篮52.如图是人血涂片在显微镜下的一个视野,请据图回答问题:(1)视野中数目最多的血细胞是,其功能是,当人体内此种血细胞的数量偏低或过少时,人会患,这种病人应多吃的食物.(2)当人患急性阑尾炎时,数目会显著增加的是(3)当图中数目明显下降时,会导致受伤时血流不止.(4)“亲子鉴定”需要从血液中提取DNA 那么DNA来自血液中的.(5)具有运载血细胞、运输养料和体内产生的废.显示解析试题篮53.在显微镜的视野中,数量最多的血细胞是;最少的血细胞是;血小板最不易被看到,因为它的数量,且体积.显示解析试题篮54.(2012•无锡)如图为显微镜下血涂片视野图,请据图回答:(1)血液的颜色主要由图中的[]所决定.(2)能够穿过毛细血管壁,聚集到受伤部位,吞噬病菌的是[].(3)当一个人从平原地区到高海拔地区后,血液中的[]数量会显著增加.(4)图中的C具有和的功能.显示解析试题篮55.(2012•连云港)根据“用显微镜观察人的血细胞涂片”和“观察小鱼尾鳍血液的流动”的实验,回答下列问题.(1)在“用显微镜观察人的血细胞涂片”时,取一片人的血细胞涂片,放在显微镜下观察,视野内哪种血细胞体积最大,且具有细胞核?(2)在“观察小鱼尾鳍血液流动”实验过程中,包裹和安放小鱼时,用把小鱼头部的鳃盖和躯干部包裹起来,只露出尾部.把这条小鱼放在培养皿里,使尾鳍平贴在培养皿底部.观察时,将培养皿放在显微镜的载物台上,用低倍镜观察尾鳍内的血管及血液在血管内的流动情况.推断血液在动脉、静脉和毛细血管之间的流动方向是(用文字和“→”表示).小鱼血液循环的动力来自.显示解析试题篮56.(2009•攀枝花)用显微镜观察人血永久涂片时,看到数量多、呈两面凹的圆饼状、红色的细胞是,该种细胞富含,使它具有运输氧气的功能.人类ABO血型系统包括A型、B型、O型和AB型,输血时应该以输入为原则.显示解析试题篮57.(2008•株洲)某同学使用显微镜观察人血涂片,如图1是其操作示意图,图2和图3分别是在显微镜下观察到的图象,据图回答有关问题.(1)观察图1,该同学的操作有多处错误或不妥.指出其一处错误或不妥,并在说明的基础上指导其纠正.错误:,说理及纠正.(2)观察到图2的图象后,要调出图3的图象,应先将玻片向移动,再转动,使高倍物镜对准通光孔,再转动准焦螺旋,使物像清晰即可.(3)在图3中标注细胞膜、细胞质和细胞核.(4)类比是一种帮助人们理解抽象概念的有效办法.现在用类比的办法帮助你的同学理解细胞,可以将细胞膜类比为,将细胞质类比为,将细胞核类比为.显示解析试题篮58.(2013•黑龙江模拟)如图是一张血涂片,请据图回答:(1)在显微镜下看到,数量最多的血细胞是[A].该细胞数量过时,会引起贫血.贫血的人应该多吃含和蛋白质丰富的食物.(2)在显微镜下看到,数量少、个体比A大的血细胞是[B].当人体有炎症时,该细胞的数量会.(3)形状不规则,在低倍显微镜下,看不见的血细胞是.(4)脓的主要成分是死亡的[].(5)能促进人止血和凝血的是(6)能运载血细胞和运输养料、废物的是.显示解析试题篮59.(2011•泰宁县质检)用显微镜观察人血涂片的实验,回答下列问题:(1)右图是在显微镜下看到的物像,其中数量最多的血细胞是.(2)若看到的物像不够清晰,应调节焦螺旋.(3)操作时发现镜头上沾有污物,要用擦拭.(4)所用显微镜的目镜和物镜标注的倍数分别是“5×”和“10×”,则看到的血细胞放大了倍.(5)若将不同血型的血液混合,在显微镜下有时会看到红细胞凝集的现象因此,输血时应以输入血为原则.显示解析试题篮60.在显微镜下观察血液,数量最多的细胞是.61.如图是血涂片在显微镜下的一个视野图.(1)当人被细菌感染而发炎时,图中[]白细胞的数目会显著增加.(2)林老师从福建到宁夏支教,半年后体检时发现,血液中有一种成分显著增加.增加的成分最可能是[.(3)担负运输养料和废物功能的是[D],具有止血和加速凝血功能的是[].(4)玉树地震中很多人受伤,必须通过输血进行抢救,大量输血的时候,应以输血为原则.否则如果血型不同,会使受血者体内的[A]凝集成团阻碍血液循环造成危险.(5)地震中遇难者可以取他们血液中的[]白细胞进行DNA检测来进一步确定他们的身份.显示解析试题篮62.如图为显微镜下的血细胞图,请据图回答:(1)血液加入抗凝剂分层后,上层淡黄色半透明的液体叫.(2)从图中可以看出,血细胞中数量最多的是;图中的b所指的是细胞,是否有细胞核?答:.(3)红细胞中的红色含铁的蛋白质叫.(4)小明削铅笔时不慎划破手指,流出了血,可一会儿就自动止血了,这主要是血细胞中的功劳.显示解析试题篮63.如图是一滴血在显微镜下的视野图,请选择有关序号填在括号内内,并回答下列问题:(1)当人体某处被细菌感染时,其数目会显著增加的是[],它们是细胞.(2)运输氧的是[],它们是.(3)有加速止血和凝血作用的是[],它们是.(4)含有蛋白质、葡萄糖、无机盐的是[],它们是.显示解析试题篮64.如图是一滴血在显微镜视野中的示意图,请回答:(1)当人体某处受伤感染时,[]会穿过毛细血管壁,聚集在感染处,吞噬病菌.(2)能运载血细胞,运输养料和废物的是[].(3)具有止血和凝血作用的是[].(4)能够携带氧的是[].(5)数量最多的血细胞是[].(6)1与2相比,细胞结构上的区别是.显示解析试题篮65.图为人血涂片在显微镜下的一个视野图,看图回答:(1)视野中数目最多的血细胞是图[];(2)当人体患急性炎症时,图中[]的数量将显著增加.(3)具有运输养料和废物作用的是图中的[].(4)某人A的数目明显比正常人少,则他可能患有病.显示解析试题篮66.下面是人血涂片示意图,请你在图中标注出三种血细胞.显示解析试题篮67.如图是在显微镜下观察到的人血细胞图,请分析回答:(1)在显微镜下观察人血涂片时,视野中呈红色、数量最多的是[](2)若人体某处受伤发炎时,病菌侵入,血液中的[]将会穿过毛细血管壁,进入该处把病菌包围,吞噬掉.如进行青霉素输液治疗,则药物在到达患处之前.首先到达心脏的,经过肺循环,又回到心脏的.(3)小明想了解血液颜色与氧气的关系.他抽取10毫升鸡血,放进一只试管并加入适量抗凝剂.待血细胞沉淀后,他发现试管底部的血液呈暗红色.倒去上层的血浆和部分白细胞,然后将试管倾斜放置,10分钟后.斜面的血液呈鲜红色.小明的实验可以说明:血液由暗红色转变为鲜红色是由于空气中的氧气的结果.显示解析试题篮68.如图为显微镜下观察到的血涂片视野一部分:(1)具有止血和加速凝血作用的是[];有输送氧和部分二氧化碳作用的是[].(2)B是,有作用.(3)患急性炎症时数目增多的是[].(4)A和C在结构上的区别是.(5)血液之所以呈红色,是因为血液中[]中的呈红色.显示解析试题篮69.如图是观察血涂片时视野的一部分,据图回答问题(1)有促进止血加速凝血作用的是.(2)患急性炎症时数目增多的是.(3)输送氧的是.显示解析试题篮70.请据图回答有关血液循环的问题:(1)图中男女数量值差别最大且能携带的结构是[2],如果它的数量值偏少会得贫血病.(2)当人体某处受伤感染时,[]白细胞会穿过毛细血管壁,聚集在感染处,吞噬病菌.机体的这种免疫属性免疫.(3)图中的[4]血小板有功能.显示解析试题篮。
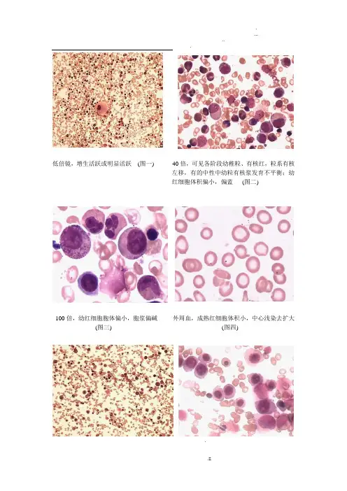
..低倍镜,增生活跃或明显活跃(图一) 40倍,可见各阶段幼稚粒、有核红,粒系有核左移,有的中性中幼粒有核浆发育不平衡;幼红细胞体积偏小,偏蓝(图二)100倍,幼红细胞胞体偏小,胞浆偏碱外周血,成熟红细胞体积小,中心浅染去扩大(图三) (图四)低倍镜,增生活跃,细胞胞体偏大(图五). .低倍镜,增生活跃,细胞胞体偏大 (图五) 40倍,可见各阶段巨幼红细胞 (图六)高倍镜,杆状核巨型变 (图七) 中巨幼红 (图八)大红细胞及H-J 小体(100倍 ) (图九) 过分叶核粒细胞 (图十)..低倍镜,增生明显活跃(图十一) 高倍镜,红系明显增生,中晚幼红为主,成熟红细胞多嗜性(图十二)低倍镜:成人CAA,髂骨:增生减低,高倍镜骨髓小粒:组织嗜碱细胞,油滴较多,小粒空虚,细胞面积约20%浆细胞,网状细胞(图十三) (图十四)儿童(CAA)髂骨涂片,增生活跃(-)粒系晚幼一下阶段为主,炭核红,巨核..巨核少见(图十五) 少(40倍)(图十六)儿童SAA(胸骨)(图十七) 破骨细胞(图十八) (图十九) (图二十)..核间桥(细胞)(图二十一) 三核红(图二十二)假性Pelge-Huet畸形(图二十三) 环形核(图二十四) 免疫酶标(图二十五) 环状铁粒幼红细胞(图二十六). .增生极度活跃 CML (图二十七) BM:以中心中晚幼粒为主,嗜酸,嗜碱粒易见(图二十八)CML(PB) (图二十九)PV 增生活跃 (图三十). .成熟红细胞堆积排列 (图三十一) 外周血可见泪滴红(图三十二)ET 外周血,血小板大片状分布 (图三十三) ET 骨髓 成熟产板巨核,(图三十四)幼稚浆细胞细胞形态 (图三十五). .骨髓涂片浆细胞淋巴瘤细胞形态学特征 (图三十六)骨髓活检浆细胞骨髓瘤组织学表现 (图三十七). .骨髓活检浆细胞骨髓瘤组织学特征(图三十八)Russel 包涵体(图三十九)(图四十) 原发性淀粉样变性 图示肺血管淀粉样变性 A :刚果红染色 B :苹果绿双折光. .血清蛋白电泳 (图四十一) 血清蛋白电泳示多克隆(黄色)和单克隆(蓝色) 图中示γ区单克隆“M ”蛋白峰 免疫球蛋白的对比(图四十二)免疫固定电泳显示血和尿“M ”蛋白成分图中示血清中IgG-κ轻链M 蛋白成分以及κ B-J 蛋白尿(图四十三)..核呈分叶状的巨大浆细胞(图四十四) MM细胞胞体较大,核形不规则(图四十五) 火焰状MM细胞双核三核MM细胞(图四十六) 由于Ig沉积MM胞浆中可见结晶及包含体(图四十七)..AML伴有t(8;21)(q22;q22),(AML1/ETO) APL[AML伴有t(15;17)(q22;q11-12)异常中幼粒,核旁“红”(图四十九) M3的核形和大小不规则,常为肾形核或双核胞浆充满粗大的嗜天青颗粒。
1.(2013•盐城)如图为显微镜观察到的人血涂片示意图.下列有关叙述中错误 的是( )A. ① 的 细 胞 内 无 细 胞 核 B. ② 的 功 能 是 吞 噬 病 菌 C. ③ 的 功 能 是 运 输 氧 气 D. 人 体 出 现 炎 症 时 ② 的 数 量 会 增 多 显示解析试题篮2.(2013•台州)利用显微镜观察人的血细胞涂片,在 两种不同的放大倍率下,视野分别为甲和乙,如图所示.下列相关叙述正确的是 ()A. 若 玻 片 往 左 移 , 则 像 也 会 往 左 移B. 若 使 用 相 同 的 光 圈 和 反 光 镜 , 则 甲 比 乙 亮C. 甲 中 所 观 察 到 的 细 胞 , 在 乙 中 均 可 观 察 到D. 若 在 甲 看 到 模 糊 的 像 , 则 改 换 成 乙 就 可 以 看 到 清 晰 的 像 显示解析试题篮的是( )A. ① 显示解析试题篮3.(2013•泉州)右图所示血液成分中,数量过少会导致贫血B. ②C. ③D. ④4.(2012•泉州)如图是人血涂片示意图,对该图的叙述中 错误的是( )A. ① 能 吞 噬 入 侵 的 病 菌 B. ② 能 运 输 养 料 和 废 物 C. 缺 铁 或 蛋 白 质 会 影 响 ③ 的 功 能 D. 输 血 时 血 型 不 合 ④ 会 凝 集 成 团 显示解析试题篮5.(2012•青岛)在显微镜下观察人的血涂片,表述不正确的是( )A. 白 细 胞 内 有 细 胞 核 , 细 胞 较 大 B. 红 细 胞 内 无 细 胞 核 , 细 胞 呈 两 面 凹 的 圆 饼 状 C. 血 小 板 不 易 看 到 D. 白 细 胞 数 目 最 多 显示解析试题篮6.(2012•百色)如图是用显微镜观察到的人血涂片视野,下 列叙述正确的是( )A. ③ 个 体 最 小 , 能 穿 透 血 管 壁B. ① 数 量 最 多 , 具 有 运 输 氧 的 功 能C. ② 的 数 量 最 多 , 能 够 吞 噬 病 菌D. ① ② ③ 都 有 细 胞 膜 、 细 胞 质 、 细 胞 核显示解析试题篮7.(2010•韶关)将人血涂片放在显微镜低倍镜下观察,可看到有细胞核的血细 胞是( )A. 血 小 板B. 白 细 胞C. 红 细 胞D. 无 法 确 定显示解析试题篮8.(2010•承德)小明观察血涂片时,首先看到了 图中①所示的物像.然后进行操作观察到图②所示的物像,小明观察时没有进行 的操作是( )A. 转 动 转 换 器B. 转 动 细 准 焦 螺 旋C. 转 动 粗 准 焦 螺 旋 显示解析试题篮D. 调 节 反 光 镜9.(2009•莆田)图是用显微镜观察人的血细胞涂片时所看到的图象,视野中标号①指的是( )A. 白 细 胞B. 红 细 胞C. 血 小 板D. 淋 巴 细 胞显示解析试题篮10.(2008•湘潭)在“用显微镜观察人血的永久涂片”实验中,看到的数量最 多的血细胞是( )A. 血 浆B. 白 细 胞C. 血 小 板D. 红 细 胞11.(2010•晋江市质检)如图是显微镜下观察到的人血涂片视野,下列说法正 确的是( )A. ① 是 白 细 胞 , 具 有 吞 噬 病 菌 的 作 用B. ② 是 血 小 板 , 具 有 细 胞 核C. ③ 是 红 细 胞 , 其 作 用 主 要 是 运 输 二 氧 化 碳D. ④ 是 血 浆 , 能 运 载 血 细 胞 , 运 输 氧 气显示解析试题篮12.用显微镜观察人血涂片时,视野中数目最多、有细胞核的血细胞分别是( )A. 白 细 胞 和 红 细 胞B. 血 小 板 和 白 细 胞C. 血 小 板 和 红 细 胞D. 红 细 胞 和 白 细 胞显示解析试题篮13.在观察人血涂片时,在显微镜下观察到的数量最多的血细胞是( )A. 上 皮 细 胞B. 红 细 胞C. 白 细 胞D. 血 小 板显示解析试题篮不正确的是(14.下图是显微镜下观察到的人血涂片视野,下列相关表述 )A. ③ 数 量 最 多 , 其 内 富 含 含 铁 的 血 红 蛋 白B. ① 个 体 最 大 , 能 够 吞 噬 病 菌 并 保 护 人 体C. ② 个 体 最 小 , 具 止 血 和 加 速 凝 血 的 作 用D. 血 液 分 层 后 , ① ② ③ 均 位 于 试 管 的 下 层 显示解析试题篮15.如图是人体血细胞图片,当伤口被细菌感染而发炎时, 数目会显著增加的是( )A.1 红细胞B.2 白细胞C.3 血小板D. 血 浆显示解析试题篮16.在显微镜下观察血涂片,下列有关叙述不正确的是( )A. 白 细 胞 内 有 细 胞 核 , 细 胞 较 大B. 红 细 胞 内 无 细 胞 核 , 细 胞 呈 双 面 凹 的 圆 饼 状C. 红 细 胞 均 比 白 细 胞 大D. 血 小 板 比 红 细 胞 、 白 细 胞 都 小 得 多 , 形 状 不 规 则 显示解析试题篮17.如图是用显微镜观察到的人血涂片视野,关于其组成成 分的表述不正确的是( )A.1 是红细胞,能运输氧气B.2 是白细胞,对人体有防御保护作用C.3 是血小板,能促进止血和加速凝血D.4 是血清,可运载血细胞,运输养料和废物 显示解析试题篮18.(2013•滦南县模拟)小明观察血涂片时,首先看到了图中①所示的物像.然 后进行操作观察到图中②所示的物像,从图①到图②小明首先进行的操作是 ()A. 转 动 转 换 器 C. 转 动 细 准 焦 螺 旋 显示解析试题篮B. 调 节 反 光 镜 D. 转 动 粗 准 焦 螺 旋19.(2011•南安市质检)如图是一滴血在显微镜视野中的示意图,其中具有止血和凝血作用的血细胞是( )A.1B.2C.3D.4显示解析试题篮20.用显微镜观察血涂片,在同一视野中所见到的数目最多的血细胞是( )A. 白 细 胞B. 红 细 胞C. 血 小 板D. 血 浆显示解析试题篮21.观察人血的永久涂片时,可以看见的是( )A. 红 细 胞 和 血 小 板B. 白 细 胞 和 血 小 板C. 血 小 板D. 红 细 胞 和 白 细 胞显示解析试题篮22.用显微镜观察血液的涂片,我们所看到的血细胞中,数量最多的是( )A. 血 浆B. 红 细 胞C. 白 细 胞D. 血 小 板显示解析试题篮23.观察一般分为定性观察和定量观察.下列实验进行的是定量观察的是( )A. 在 面 包 屑 上 滴 碘 酒B. 统 计 各 种 食 物 周 围 蚂 蚁 的 数 量C. 血 液 的 分 层 现 象D. 显 微 镜 观 察 洋 葱 鳞 片 叶 表 皮 细 胞 显示解析试题篮24.观察人血涂片视野图,关于其组成成分的表述不正确的是 ()A.1 是红细胞,能运输氧和部分二氧化碳 B.3 是血浆,可运载血细胞和养料 C.2 是白细胞,血细胞中它的数量最多 D.4 是血小板,能止血和加速凝血 显示解析试题篮25.如图是用显微镜观察到的人血涂片视野,关于 其组成成分的表述不正确的是( )A. [1]是 红 细 胞 , 能 运 输 氧 B. [2]是 白 细 胞 , 对 人 体 起 防 御 和 保 护 作 用 C. 血 细 胞 中 数 量 最 多 的 是 白 细 胞 D. 血 小 板 是 最 小 的 无 核 血 细 胞 显示解析试题篮26.显微镜下看到的血涂片中的红细胞( )A. 是 圆 的 , 细 胞 中 央 比 周 围 亮 B. 是 圆 的 , 中 央 有 一 个 较 亮 的 细 胞 核 C. 是 圆 的 , 中 央 比 周 围 暗 的 细 胞 核 D. 是 圆 的 , 中 央 有 一 个 较 暗 的 细 胞 核 显示解析试题篮27.显微镜下红细胞与白细胞的区别是( )A. 两 面 凹 的 圆 饼 状 、 无 细 胞 核 B. 比 白 细 胞 大 、 有 细 胞 核 C. 数 量 少 、 形 状 不 规 则 、 无 细 胞 核 D. 个 体 小 、 无 细 胞 核 显示解析试题篮28.如图是用显微镜观察到的人血涂片视野图,下列关于其 组成成分的表述不正确的是( )A.1 是血小板,过多时血液不易凝固 B.2 是白细胞,对人体起保护和防御作用 C.3 是红细胞,能运输氧和部分二氧化碳 D.3 与氧气的分离或结合取决于氧气的浓度 显示解析试题篮29.在显微镜下仔细观察微量的染色人血,显示出( )A. 白 细 胞 的 结 构B. 红 细 胞 的 细 胞 核C. 血 小 板 的 细 胞 核D. 血 浆 中 溶 解 的 营 养 物 质显示解析试题篮30.在中学所做的下列各实验中,始终应保持生物或细胞是活的状态的是( )A. 观 察 人 血 细 胞 的 涂 片B. 观 察 黑 藻 嫩 叶 片 内 的 细 胞 质 流 动C. 观 察 叶 片 的 下 表 皮D. 观 察 小 鱼 尾 鳍 内 血 液 的 流 动显示解析试题篮31.右图是用显微镜观察到的人血涂片,1、2、3 分别是血液中三种成形的结构.下 列叙述中你不认同的是( )A.1 为白细胞,能够吞噬病菌和异物B.只有 2 没有细胞核C.3 的数量最多,能够运输氧气D.2 的体积最小,能止血和加速凝血 显示解析试题篮32.(2013•玉林)如图所示是显微镜下的血细胞图,请填 空: (1)当人被细菌感染发炎时,的数目会显著增加. (2)图中没有显示的血细胞是,当它的数目明显下降时,会引起人体皮下出血. (3)血液中具有运载血细胞、运输营养物质和废物功能的成分是.显示解析试题篮33.(2006•三明)用显微镜观察人血涂片,血细胞中数目最多的是细胞;在观察心脏的实验中,心脏四个腔中壁最厚的是.显示解析试题篮34.(2012•平果县一模)如图为显微镜下观察到的血涂片, 请回答下列问题: (1)用显微镜观察血涂片时,某学生已观察到了细胞图象,但图象不很清晰, 此时应调节显微镜的,使图象清晰. (2)当人体某处被细菌感染时,其数目会显著增加的是[1]细胞. (3)视野中数量最多的血细胞是[1],体积最大的血细胞是[2]. (4)必须通过输血进行抢救的病人,输血的时候,应以输入为原则.显示解析试题篮35.(1)人血涂片在显微镜下观察,如图,请据图回答问题:当人体受到病菌 感染,出现炎症时, 细胞的数量会明显增高,集中到受感染的地方,吞噬病菌,此免疫属于免疫. (2)患过水痘的同学,以后就不再患水痘了,因为患过水痘的同学的体内产生 了,它是受到水痘病毒的刺激后产生的,水痘病毒是,此免疫属于 免疫.显示解析试题篮36.如图是从手指处取的一滴血在显微镜下观察 到的图象.请你结合所学的知识,回答问题: (1)图中,能促进止血和加速凝血的是[ ] .能穿过毛细血管壁到达组织的是[ ] . (2)生活在平原的人,进入高原初期,图中[ ] 的数量会增多,这样能够增强血液 . (3)血液呈现红色,其根本原因是血液中 的颜色为红色.显示解析试题篮37.显微镜下观察人血涂片,数量最多的血细胞是 ,数量最少的血细胞是,最大的血细胞是,最小的血细胞是.显示解析试题篮38.人体内物质运输的载体是血液.用显微镜观察血细胞涂片,可以知道,血细胞中数量最多的是,数量较少的是,用光镜观察不到的是.显示解析试题篮39.在显微镜下观察人血永久图片时,看到最大的血细胞是,最多的血细胞是.显示解析试题篮40.如图是通过显微镜观察到的人血涂片,据图回答:(1)三种血细胞中体积最大的是[],若某人血液中该细胞数量过多,可能患有炎症.(2)单位体积的血液中,数量最多的细胞是[];若某人血液中该细胞数量过少,可能患有贫血,如果是营养不良引起的,今后应该多吃的食物.(3)血液除图中的①②③外,还包括.(4)严重腹泻时,血液中主要丢失了.41.【2009贵州省黔东南州中考】右图是血涂片在显微镜下的一个视野图.(用图中番号回答).①当人被细菌感染而发炎时,图中的数目会显著增加.②当图中数目明显下降时,会引起人体皮下出血.③当图中数量过少时,会造成人体贫血.④担负运输养料和废物功能的是.类型之二考查血型和输血知识的理解ABO血型是常用的血型,输血不当会导致红细胞凝集,堵塞小血管从而引起血液循环障碍,严重会导致死亡.正常人适量输血不仅不会影响健康,反而可以促进健康.显示解析试题篮42.如图是一滴血在显微镜视野中的示意图.已知正常人红细胞的含量为(4.2-5.0)×1012个/L,白细胞为(4-10)×109个/L,白细胞个体一般较红细胞大.请据图回答问题(“[]”中填写序号,“”内填写文字.)(1)图中[]是红细胞.某人经常精神不振,容易疲劳,经血液化验,此人红细胞数目为3×1012个/L.据此判断此人患有症.这种病人应多吃一些含和丰富的食物.(2)人体某处受伤感染时,[]会穿过毛细血管壁,聚集在感染处,吞噬病菌.男女之间的数量上差异最大的是[];具有运输养料和废物功能的是[];能够携带氧的是[].显示解析试题篮43.右图是用显微镜观察血涂片时,在视野中看到的血液情况,请据图回答:(1)人体某处受伤化脓,脓液主要是死亡的[D].(2)B的主要功能是运输氧,氧进入人体后,在处与B中的血红蛋白结合.(3)某脑血栓病人,其病因是[C]含量较多.(4)某成年男性常常头晕、精神不振,血常规检验报告单上有如下内容:RBC (图中B)3.86×1012个/升[*注:正常值男:(4.0-5.5)×1012个/升],WBC (图中D)7.0×109个/升[*注:正常值:(4-10)×109个/升],HB(血红蛋白)106克/升[*注:正常值男:120-160克/升].据此判断此人可能患有症.除服用医生属附之药物之外,请你给他建议生活中多吃含的无机盐的食物.显示解析试题篮44.如图是血涂片在显微镜下的一个视野图,请回答:(1)视野中数目最多的是A,该细胞结构中没有.(2)形态最小,形状不规则的是C,具有止血和凝血的功能.(3)病菌入侵机体引起发炎后,数目显著增多的是B.(4)担负运载血细胞,运输养料和废物功能的是D.显示解析试题篮45.图为用显微镜观察血涂片时视野中的图象,请据图回答:(1)图中D所示的细胞体积最大,且与B所示细胞相比,细胞中有,故该细胞是细胞.(2)小明的手被轻度划伤出血,但伤口处血液很快凝固,起止血起作用的是图中标号所示的结构.(3)肾小囊腔中的液体成分与图中A相比,不含有.显示解析试题篮46.如图为某同学在显微镜下观察到的血涂片的视野的一部分,据图回答问题.(1)具有止血和加速凝血作用的是[];有输送氧和部分二氧化碳作用的是[].(2)B是,有作用.(3)患急性炎症时数目增多的是[].(4)A和C在结构上的区别是.(5)血液分层实验中上、中、下三层分别是.(6)血液之所以呈红色,是因为血液中中的呈红色.显示解析试题篮47.如图是显微镜视野中人血涂片示意图,请回答相关问题:(1)当人体受伤出血时,具有止血和凝血作用是.(2)男女间的数量上差异最大的是.(3)具有运输养料和废物功能的是.(4)如果血型不同,混合时会出现凝集成团现象的是.显示解析试题篮48.右图是显微镜视野中人血图片示意图,请回答相关问题:(1)当人体某处受伤出血时,具有止血和凝血作用的是[];若伤口受细菌感染发炎,数量明显增加的是[].(2)成熟的红细胞没有.细胞中含有丰富的,具有运输的功能.(3)小燕经常面色苍白,容易疲劳,经血液化验,红细胞数量为3×1012个/L (女子正常值为4.2×1012个/L).据此判断可能患有症.平时应多吃一些含和丰富的食物.显示解析试题篮49.如图是某同学在显微镜下观察人血涂片的一个视野图,据图作答:(1)血细胞中数目最多的是图中的(2)体积最大,数目最少的是图中的(3)与止血有关的是图中的(4)我们吃入的营养主要由图中的来运输它还运输我们体内产生的气体.显示解析试题篮50.如图是用显微镜观察血液涂片时,在视野中看到的图象,请据图分析回答问题.(1)在同一视野中所见到的数目最多的是[②].(2)图中[②]有运输氧气的功能,当体内数量减少时,可能出现.(3)当人被细菌感染时,其数目会增多的是[①],说明体内出现.(4)能运输养料和废物的是.(5)小明的手被轻度划伤出血,对止血起作用的是图中标号所示的结构.51.如图是血涂片简图,在视野中数量最多的是,其形状呈.白细胞和血小板不易被找到的原因分别是、.具有核的是,能运输血细胞的是,最小的血细胞是.皮肤划破而流血,不久就会自然止血,这是血液中作用.显示解析试题篮52.如图是人血涂片在显微镜下的一个视野,请据图回答问题:(1)视野中数目最多的血细胞是,其功能是,当人体内此种血细胞的数量偏低或过少时,人会患,这种病人应多吃的食物.(2)当人患急性阑尾炎时,数目会显著增加的是(3)当图中数目明显下降时,会导致受伤时血流不止.(4)“亲子鉴定”需要从血液中提取DNA 那么DNA来自血液中的.(5)具有运载血细胞、运输养料和体内产生的废.显示解析试题篮53.在显微镜的视野中,数量最多的血细胞是;最少的血细胞是;血小板最不易被看到,因为它的数量,且体积.显示解析试题篮54.(2012•无锡)如图为显微镜下血涂片视野图,请据图回答:(1)血液的颜色主要由图中的[]所决定.(2)能够穿过毛细血管壁,聚集到受伤部位,吞噬病菌的是[].(3)当一个人从平原地区到高海拔地区后,血液中的[]数量会显著增加.(4)图中的C具有和的功能.显示解析试题篮55.(2012•连云港)根据“用显微镜观察人的血细胞涂片”和“观察小鱼尾鳍血液的流动”的实验,回答下列问题.(1)在“用显微镜观察人的血细胞涂片”时,取一片人的血细胞涂片,放在显微镜下观察,视野内哪种血细胞体积最大,且具有细胞核?(2)在“观察小鱼尾鳍血液流动”实验过程中,包裹和安放小鱼时,用把小鱼头部的鳃盖和躯干部包裹起来,只露出尾部.把这条小鱼放在培养皿里,使尾鳍平贴在培养皿底部.观察时,将培养皿放在显微镜的载物台上,用低倍镜观察尾鳍内的血管及血液在血管内的流动情况.推断血液在动脉、静脉和毛细血管之间的流动方向是(用文字和“→”表示).小鱼血液循环的动力来自.显示解析试题篮56.(2009•攀枝花)用显微镜观察人血永久涂片时,看到数量多、呈两面凹的圆饼状、红色的细胞是,该种细胞富含,使它具有运输氧气的功能.人类ABO血型系统包括A型、B型、O型和AB型,输血时应该以输入为原则.显示解析试题篮57.(2008•株洲)某同学使用显微镜观察人血涂片,如图1是其操作示意图,图2和图3分别是在显微镜下观察到的图象,据图回答有关问题.(1)观察图1,该同学的操作有多处错误或不妥.指出其一处错误或不妥,并在说明的基础上指导其纠正.错误:,说理及纠正.(2)观察到图2的图象后,要调出图3的图象,应先将玻片向移动,再转动,使高倍物镜对准通光孔,再转动准焦螺旋,使物像清晰即可.(3)在图3中标注细胞膜、细胞质和细胞核.(4)类比是一种帮助人们理解抽象概念的有效办法.现在用类比的办法帮助你的同学理解细胞,可以将细胞膜类比为,将细胞质类比为,将细胞核类比为.显示解析试题篮58.(2013•黑龙江模拟)如图是一张血涂片,请据图回答:(1)在显微镜下看到,数量最多的血细胞是[A].该细胞数量过时,会引起贫血.贫血的人应该多吃含和蛋白质丰富的食物.(2)在显微镜下看到,数量少、个体比A大的血细胞是[B].当人体有炎症时,该细胞的数量会.(3)形状不规则,在低倍显微镜下,看不见的血细胞是.(4)脓的主要成分是死亡的[].(5)能促进人止血和凝血的是(6)能运载血细胞和运输养料、废物的是.显示解析试题篮59.(2011•泰宁县质检)用显微镜观察人血涂片的实验,回答下列问题:(1)右图是在显微镜下看到的物像,其中数量最多的血细胞是.(2)若看到的物像不够清晰,应调节焦螺旋.(3)操作时发现镜头上沾有污物,要用擦拭.(4)所用显微镜的目镜和物镜标注的倍数分别是“5×”和“10×”,则看到的血细胞放大了倍.(5)若将不同血型的血液混合,在显微镜下有时会看到红细胞凝集的现象因此,输血时应以输入血为原则.显示解析试题篮60.在显微镜下观察血液,数量最多的细胞是.61.如图是血涂片在显微镜下的一个视野图.(1)当人被细菌感染而发炎时,图中[]白细胞的数目会显著增加.(2)林老师从福建到宁夏支教,半年后体检时发现,血液中有一种成分显著增加.增加的成分最可能是[.(3)担负运输养料和废物功能的是[D],具有止血和加速凝血功能的是[].(4)玉树地震中很多人受伤,必须通过输血进行抢救,大量输血的时候,应以输血为原则.否则如果血型不同,会使受血者体内的[A]凝集成团阻碍血液循环造成危险.(5)地震中遇难者可以取他们血液中的[]白细胞进行DNA检测来进一步确定他们的身份.显示解析试题篮62.如图为显微镜下的血细胞图,请据图回答:(1)血液加入抗凝剂分层后,上层淡黄色半透明的液体叫.(2)从图中可以看出,血细胞中数量最多的是;图中的b所指的是细胞,是否有细胞核?答:.(3)红细胞中的红色含铁的蛋白质叫.(4)小明削铅笔时不慎划破手指,流出了血,可一会儿就自动止血了,这主要是血细胞中的功劳.显示解析试题篮63.如图是一滴血在显微镜下的视野图,请选择有关序号填在括号内内,并回答下列问题:(1)当人体某处被细菌感染时,其数目会显著增加的是[],它们是细胞.(2)运输氧的是[],它们是.(3)有加速止血和凝血作用的是[],它们是.(4)含有蛋白质、葡萄糖、无机盐的是[],它们是.显示解析试题篮64.如图是一滴血在显微镜视野中的示意图,请回答:(1)当人体某处受伤感染时,[]会穿过毛细血管壁,聚集在感染处,吞噬病菌.(2)能运载血细胞,运输养料和废物的是[].(3)具有止血和凝血作用的是[].(4)能够携带氧的是[].(5)数量最多的血细胞是[].(6)1与2相比,细胞结构上的区别是.显示解析试题篮65.图为人血涂片在显微镜下的一个视野图,看图回答:(1)视野中数目最多的血细胞是图[];(2)当人体患急性炎症时,图中[]的数量将显著增加.(3)具有运输养料和废物作用的是图中的[].(4)某人A的数目明显比正常人少,则他可能患有病.显示解析试题篮66.下面是人血涂片示意图,请你在图中标注出三种血细胞.显示解析试题篮67.如图是在显微镜下观察到的人血细胞图,请分析回答:(1)在显微镜下观察人血涂片时,视野中呈红色、数量最多的是[](2)若人体某处受伤发炎时,病菌侵入,血液中的[]将会穿过毛细血管壁,进入该处把病菌包围,吞噬掉.如进行青霉素输液治疗,则药物在到达患处之前.首先到达心脏的,经过肺循环,又回到心脏的.(3)小明想了解血液颜色与氧气的关系.他抽取10毫升鸡血,放进一只试管并加入适量抗凝剂.待血细胞沉淀后,他发现试管底部的血液呈暗红色.倒去上层的血浆和部分白细胞,然后将试管倾斜放置,10分钟后.斜面的血液呈鲜红色.小明的实验可以说明:血液由暗红色转变为鲜红色是由于空气中的氧气的结果.显示解析试题篮68.如图为显微镜下观察到的血涂片视野一部分:(1)具有止血和加速凝血作用的是[];有输送氧和部分二氧化碳作用的是[].(2)B是,有作用.(3)患急性炎症时数目增多的是[].(4)A和C在结构上的区别是.(5)血液之所以呈红色,是因为血液中[]中的呈红色.显示解析试题篮69.如图是观察血涂片时视野的一部分,据图回答问题(1)有促进止血加速凝血作用的是.(2)患急性炎症时数目增多的是.(3)输送氧的是.显示解析试题篮70.请据图回答有关血液循环的问题:(1)图中男女数量值差别最大且能携带的结构是[2],如果它的数量值偏少会得贫血病.(2)当人体某处受伤感染时,[]白细胞会穿过毛细血管壁,聚集在感染处,吞噬病菌.机体的这种免疫属性免疫.(3)图中的[4]血小板有功能.显示解析试题篮。
低倍镜,增生活跃或明显活跃(图一)40倍,可见各阶段幼稚粒、有核红,粒系有核左移,有得中性中幼粒有核浆发育不平衡;幼红细胞体积偏小,偏蓝(图二)100倍,幼红细胞胞体偏小,胞浆偏碱外周血,成熟红细胞体积小,中心浅染去扩大(图三) (图四)低倍镜,增生活跃,细胞胞体偏大(图五)低倍镜,增生活跃,细胞胞体偏大(图五) 40倍,可见各阶段巨幼红细胞(图六)中巨幼红(图八)大红细胞及H—J小体(100倍) (图九) 过分叶核粒细胞(图十)低倍镜,增生明显活跃(图十一) 高倍镜,红系明显增生,中晚幼红为主,成熟红细胞多嗜性(图十二)低倍镜:成人CAA,髂骨:增生减低, 高倍镜骨髓小粒:组织嗜碱细胞,油滴较多,小粒空虚,细胞面积约20%浆细胞,网状细胞(图十三) (图十四)儿童(CAA)髂骨涂片,增生活跃(-)粒系晚幼一下阶段为主,炭核红,巨核巨核少见(图十五) 少(40倍) (图十六)儿童SAA(胸骨) (图十七) 破骨细胞(图十八)(图十九)(图二十)核间桥(细胞内)(图二十一) 三核红(图二十二)假性Pelge-Huet畸形(图二十三) 环形核(图二十四)免疫酶标(图二十五)环状铁粒幼红细胞(图二十六)增生极度活跃CML(图二十七) BM:以中心中晚幼粒为主,嗜酸,嗜碱粒易见(图二十八)CML(PB) (图二十九)PV 增生活跃(图三十)成熟红细胞堆积排列(图三十一)外周血可见泪滴红(图三十二)ET外周血,血小板大片状分布(图三十三)ET 骨髓成熟产板巨核,(图三十四)幼稚浆细胞细胞形态(图三十五)骨髓涂片浆细胞淋巴瘤细胞形态学特征(图三十六)骨髓活检浆细胞骨髓瘤组织学表现(图三十七)骨髓活检浆细胞骨髓瘤组织学特征(图三十八)Russel包涵体(图三十九)(图四十) 原发性淀粉样变性图示肺血管淀粉样变性A:刚果红染色B:苹果绿双折光血清蛋白电泳(图四十一) 血清蛋白电泳示多克隆(黄色)与单克隆(蓝色) 图中示γ区单克隆“M”蛋白峰免疫球蛋白得对比(图四十二)免疫固定电泳显示血与尿“M”蛋白成分图中示血清中IgG-κ轻链M蛋白成分以及κB—J蛋白尿(图四十三)核呈分叶状得巨大浆细胞(图四十四) MM细胞胞体较大,核形不规则(图四十五)火焰状MM细胞双核三核MM细胞(图四十六)由于Ig沉积MM胞浆中可见结晶及包含体(图四十七)AML伴有t(8;21)(q22;q22),(AML1/ETO) APL[AML伴有t(15;17)(q22;q11-12)异常中幼粒,核旁“朝阳红”(图四十九) M3得核形与大小不规则,常为肾形核或双核胞浆内充满粗大得嗜天青颗粒。
低倍镜,增生活跃或明显活跃 (图一) 40倍,可见各阶段幼稚粒、有核红,粒系有核左移,有的中性中幼粒有核浆发育不平衡;幼红细胞体积偏小,偏蓝 (图二)100倍,幼红细胞胞体偏小,胞浆偏碱 外周血,成熟红细胞体积小,中心浅染去扩大(图三) (图四)低倍镜,增生活跃,细胞胞体偏大 (图五)低倍镜,增生活跃,细胞胞体偏大 (图五) 40倍,可见各阶段巨幼红细胞 (图六)高倍镜,杆状核巨型变(图七) 中巨幼红(图八)低倍镜,增生明显活跃(图十一) 高倍镜,红系明显增生,中晚幼红为主,成熟红细胞多嗜性(图十二)低倍镜:成人CAA,髂骨:增生减低,高倍镜骨髓小粒:组织嗜碱细胞,油滴较多,小粒空虚,细胞面积约20%浆细胞,网状细胞(图十三) (图十四)儿童(CAA)髂骨涂片,增生活跃(-)粒系晚幼一下阶段为主,炭核红,巨核巨核少见(图十五) 少(40倍)(图十六)儿童SAA(胸骨)(图十七) 破骨细胞(图十八)(图十九) (图二十)核间桥(细胞内)(图二十一) 三核红(图二十二) 假性Pelge-Huet畸形(图二十三) 环形核(图二十四)免疫酶标(图二十五) 环状铁粒幼红细胞(图二十六)增生极度活跃 CML (图二十七) BM:以中心中晚幼粒为主,嗜酸,嗜碱粒易见(图二十八)CML(PB) (图二十九)PV 增生活跃(图三十)成熟红细胞堆积排列(图三十一)外周血可见泪滴红(图三十二) ET外周血,血小板大片状分布(图三十三) ET 骨髓成熟产板巨核,(图三十四)幼稚浆细胞细胞形态(图三十五)骨髓涂片浆细胞淋巴瘤细胞形态学特征(图三十六)骨髓活检浆细胞骨髓瘤组织学表现(图三十七)骨髓活检浆细胞骨髓瘤组织学特征(图三十八)Russel包涵体(图三十九)(图四十) 原发性淀粉样变性图示肺血管淀粉样变性A:刚果红染色B:苹果绿双折光血清蛋白电泳(图四十一) 血清蛋白电泳示多克隆(黄色)和单克隆(蓝色)图中示γ区单克隆“M”蛋白峰免疫球蛋白的对比(图四十二)免疫固定电泳显示血和尿“M”蛋白成分图中示血清中IgG-κ轻链M蛋白成分以及κ B-J蛋白尿(图四十三)核呈分叶状的巨大浆细胞(图四十四) MM细胞胞体较大,核形不规则(图四十五) 火焰状MM细胞双核三核MM细胞(图四十六) 由于Ig沉积MM胞浆中可见结晶及包含体(图四十七)AML伴有t(8;21)(q22;q22),(AML1/ETO) APL[AML伴有t(15;17)(q22;q11-12)异常中幼粒,核旁“朝阳红”(图四十九) M3的核形和大小不规则,常为肾形核或双核胞浆内充满粗大的嗜天青颗粒。
低倍镜,增生活跃或明显活跃 (图一) 40倍,可见各阶段幼稚粒、有核红,粒系有核左移,有的中性中幼粒有核浆发育不平衡;幼红细胞体积偏小,偏蓝 (图二)100倍,幼红细胞胞体偏小,胞浆偏碱 外周血,成熟红细胞体积小,中心浅染去扩大(图三) (图四)低倍镜,增生活跃,细胞胞体偏大 (图五)低倍镜,增生活跃,细胞胞体偏大(图五) 40倍,可见各阶段巨幼红细胞(图六)高倍镜,杆状核巨型变(图七) 中巨幼红(图八)大红细胞及H-J小体(100倍)(图九) 过分叶核粒细胞(图十)低倍镜,增生明显活跃(图十一) 高倍镜,红系明显增生,中晚幼红为主,成熟红细胞多嗜性(图十二)低倍镜:成人CAA,髂骨:增生减低,高倍镜骨髓小粒:组织嗜碱细胞,油滴较多,小粒空虚,细胞面积约20%浆细胞,网状细胞(图十三) (图十四)儿童(CAA)髂骨涂片,增生活跃(-)粒系晚幼一下阶段为主,炭核红,巨核巨核少见(图十五) 少(40倍)(图十六)儿童SAA(胸骨)(图十七) 破骨细胞(图十八)(图十九) (图二十)核间桥(细胞内)(图二十一) 三核红(图二十二)假性Pelge-Huet畸形(图二十三) 环形核(图二十四)免疫酶标(图二十五) 环状铁粒幼红细胞(图二十六)增生极度活跃 CML (图二十七) BM:以中心中晚幼粒为主,嗜酸,嗜碱粒易见(图二十八)CML(PB) (图二十九)PV 增生活跃(图三十)成熟红细胞堆积排列(图三十一)外周血可见泪滴红(图三十二)ET外周血,血小板大片状分布(图三十三) ET 骨髓成熟产板巨核,(图三十四)幼稚浆细胞细胞形态(图三十五)骨髓涂片浆细胞淋巴瘤细胞形态学特征(图三十六)骨髓活检浆细胞骨髓瘤组织学表现(图三十七)骨髓活检浆细胞骨髓瘤组织学特征(图三十八)Russel包涵体(图三十九)(图四十) 原发性淀粉样变性图示肺血管淀粉样变性A:刚果红染色B:苹果绿双折光血清蛋白电泳(图四十一) 血清蛋白电泳示多克隆(黄色)和单克隆(蓝色)图中示γ区单克隆“M”蛋白峰免疫球蛋白的对比(图四十二)免疫固定电泳显示血和尿“M”蛋白成分图中示血清中IgG-κ轻链M蛋白成分以及κ B-J蛋白尿(图四十三)核呈分叶状的巨大浆细胞(图四十四) MM细胞胞体较大,核形不规则(图四十五)火焰状MM细胞双核三核MM细胞(图四十六) 由于Ig沉积MM胞浆中可见结晶及包含体(图四十七)AML伴有t(8;21)(q22;q22),(AML1/ETO) APL[AML伴有t(15;17)(q22;q11-12)异常中幼粒,核旁“朝阳红”(图四十九) M3的核形和大小不规则,常为肾形核或双核胞浆内充满粗大的嗜天青颗粒。
低倍镜,增生活跃或明显活跃 图一 40倍,可见各阶段幼稚粒、有核红,粒系有核左移,
有的中性中幼粒有核浆发育不平衡;幼红细胞体积偏小,偏蓝 图二
100倍,幼红细胞胞体偏小,胞浆偏碱 外周血,成熟红细胞体积小,中心浅染去扩大
图三 图四
低倍镜,增生活跃,细胞胞体偏大 图五
低倍镜,增生活跃,细胞胞体偏大 图五 40倍,可见各阶段巨幼红细胞 图六
高倍镜,杆状核巨型变图七中巨幼红图八
低倍镜,增生明显活跃图十一高倍镜,红系明显增生,中晚幼红为主,成熟
红细胞多嗜性图十二
低倍镜:成人CAA,髂骨:增生减低, 高倍镜骨髓小粒:组织嗜碱细胞, 油滴较多,小粒空虚,细胞面积约20%浆细胞,网状细胞
图十三图十四
儿童CAA髂骨涂片,增生活跃- 粒系晚幼一下阶段为主,炭核红,巨核
巨核少见图十五少40倍图十六
儿童SAA胸骨图十七破骨细胞图十八
图十九图二十
核间桥细胞内图二十一三核红图二十二
假性Pelge-Huet畸形图二十三环形核图二十四
免疫酶标图二十五环状铁粒幼红细胞图二十六
增生极度活跃 CML 图二十七 BM:以中心中晚幼粒为主,嗜酸,嗜碱
粒易见图二十八
CMLPB图二十九
PV 增生活跃图三十
成熟红细胞堆积排列图三十一外周血可见泪滴红图三十二ET外周血,血小板大片状分布图三十三 ET 骨髓成熟产板巨核,图三十四
幼稚浆细胞细胞形态图三十五
骨髓涂片浆细胞淋巴瘤细胞形态学特征图三十六
骨髓活检浆细胞骨髓瘤组织学表现图三十七
骨髓活检浆细胞骨髓瘤组织学特征图三十八
Russel包涵体图三十九
图四十原发性淀粉样变性图示肺血管淀粉样变性A:刚果红染色B:苹果绿双折光
血清蛋白电泳图四十一血清蛋白电泳示多克隆黄色和单克隆蓝色图中示γ区单克隆“M”蛋白峰免疫球蛋白的对比图四十二
免疫固定电泳显示血和尿“M”蛋白成分
图中示血清中IgG-κ轻链M蛋白成分以及κ B-J蛋白尿
图四十三
核呈分叶状的巨大浆细胞图四十四MM细胞胞体较大,核形不规则图四十五火焰状MM细胞双核三核MM细胞图四十六由于Ig沉积MM胞浆中可见结晶及包含体图四十七
AML伴有t8;21q22;q22,AML1/ETO APLAML伴有t15;17q22;q11-12
异常中幼粒,核旁“朝阳红”图四十九 M3的核形和大小不规则,常为肾形核或双核
胞浆内充满粗大的嗜天青颗粒;图五十PB 异常多颗粒早幼粒图五十一 M4EO 异常嗜酸粒图五十二
M 1小原粒为主,早幼粒一下阶段少见
图五十三M2a 图五十四
M5a 图五十五M5b图五十六M4 图五十七M6图五十八
急性淋巴细胞白血病骨髓象;图五十九
前体T-急性淋巴细胞白血病骨髓细胞组化染色;a 酸性磷酸酶染色:前体T-ALL细胞胞浆内出现灶性红色颗粒;b α-醋酸萘酚非特异性酯酶染色:前体T-ALL细胞胞浆内出现灶性红色颗粒; 图六十
Burkitt急性淋巴细胞白血病骨髓象;图六十一增生程度,明显活跃图六十二
CLL 成熟小淋巴细胞,细胞较均匀一致;图六十三 CLL外周血片,成熟小淋巴细胞图六十四
增生活跃,巨核易见图六十五幼稚巨核,巨核细胞的核浆成熟不平衡
碱性较强,胞浆中颗粒较少,图六十六
成熟无血小板形成巨核,嗜碱性较强, 裸核,多见于慢性ITP图六十八胞浆中颗粒较少;图六十七。