关于微核诱导实验
- 格式:doc
- 大小:37.50 KB
- 文档页数:3
诱变物质的微核检测【摘要】微核(micronucleus,MCN)是真核生物细胞染色体畸变在间期细胞中的一种表现形式。
通过微核测试可直接推测诱变物质对人类或其他高等生物的遗传危害。
本实验以叠氮化钠为对照,检验咖啡的微核诱导率。
【引言】微核(micronucleus, 简称MCN),也叫卫星核,是真核类生物细胞中的一种异常结构,是染色体畸变在间期细胞中的一种表现形式。
微核往往是各种理化因子,如辐射、化学药剂对分裂细胞作用而产生的。
在细胞间期,微核呈圆形或椭圆形,游离于主核之外,大小应在主核1/3以下。
微核的折光率及细胞化学反应性质和主核一样,也具合DNA的能力。
一般认为微核是由有丝分裂后期丧失着丝粒的染色体断片产生的。
有实验证明,整条染色体或几条染色体也能形成微核。
这些断片或染色体在分裂过程中行动滞后,在分裂末期不能进入主核,便形成了主核之外的核块。
当子细胞进入下一次分裂间期时,它们便浓缩成主核之外的小核,即形成了微核。
微核测试可以直接推测诱变物质对人类或其他高等生物的遗传危害。
经典的诱变剂有:X射线、环磷酰胺、氧化铬CrO3、叠氮化钠NaN3、甲基磺酸乙酯EMS和硫酸二乙酯。
已经证实,微核率的大小和作用因子的计量或辐射累积效应呈正相关。
目前微核测试已经广泛应用于辐射损伤辐射防护、化学诱变剂、新药试验的安全评价以及染色体遗传疾病和癌症前期诊断等方面。
其中,最常用的方法为小鼠骨髓红细胞微核检测方法。
本实验采用的是以大蒜为材料,用成浓度梯度实验组培育检测微核发生率的实验方法。
实验材料应具有染色体条数少、个体大,便于统计的特点。
并且需要对污染物反应比较敏感,适宜在当地生长。
本实验选择以大蒜为材料,符合以上要求。
咖啡从1500年前辈发现以来,现在已经成为世界三大饮料之首。
,是许多人每天必备的饮品,特别受学生和上班族的青睐。
饮用咖啡的优缺点各有说道,因此,我们选用咖啡为实验材料,希望可以分析出咖啡的微核诱变率。
微核正式报告正式报告利用花露水对蚕豆(Vicia faba)根尖细胞微核的诱导及观察(焦锦花 1020212128 生物技术1011班)组员名单:葛笑、孙晓玮、周晓杰、徐中洋、李亚峰、程石、蒋沈琳、焦锦花一、实验目的:1、了解微核测试的原理和毒理遗传学在实际生活中的应用范围及意义2、学习蚕豆根尖的微核测试技术并掌握其操作方法3、探究花露水对微核的诱导作用4、进行小组合作,掌握设计实验基本能力二、实验原理:微核简称(MCN),是真核生物细胞中的一种异常结构,往往是细胞经辐射或化学药物的作用而产生。
利用蚕豆根尖作为实验材料进行微核测试,可准确的显示各种处理诱发畸变的效果,并可于污染程度的监测。
花露水包含少量劣质香精和75%左右的酒精,还有一种叫“伊默宁”的成分,而花露水芬芳剂成分部分有毒。
本实验通过用实验室蒸馏水(对照组)、重铬酸钾(阳性对照)、和一定范围内不同浓度的花露水处理蚕豆根尖,通过观察计数后计算蚕豆根尖细胞微核千分率得出花露水的细胞毒性效应。
本实验即运用蚕豆根尖微核实验检测,研究花露水对蚕豆根尖微核诱导的作用,进而为花露水对人体以及环境的影响提供一定的理论参考三、实验材料和主要试剂蚕豆种子、花露水:用蒸馏水配制成25%、50%、75%梯度的溶液及原液、卡诺固定液(无水酒精:醋酸=3:1)、改良石炭酸品红、重铬酸钾溶液四、实验过程1、催芽:将实验用蚕豆种子按需要量放入盛有蒸馏水的烧杯中,在25℃下浸泡8小时。
种子吸胀后,放入培养皿中,用棉花保持湿度,在25℃温箱中催芽三天浸种催芽2.花露水处理:每一处理选取3粒初生根良好、根长较一致的种子。
将蚕豆不定根置于不同浓度(25%、50%、75%溶液及原液)的花露水培养6~8小时,第二组用蒸馏水处理作对照,第三组用重铬酸钾作阳性对照。
正式报告正式报告3.根尖细胞恢复培养:处理后的根尖用蒸馏水浸洗三次,每次2~3分钟。
洗净后置入培养皿,25℃下恢复培养24小时组别 1 2 3 4 5 6 被检测液 3个根尖分生组织区微核数微核率(MCN‰)蒸馏水(阴性对照组) 25%花露水 50%花露水 75%花露水花露水原液重铬酸钾(阳性对照组) 5,4,5 7,6,8 7,9,11 8,10,10 8,7,9 8,9,12 14.00‰ 21.00‰ 27.00‰ 28‰ 24‰ 29‰ 4.根尖细胞固定:剪取0.5~lcm长根尖,蒸馏水清洗后,放入卡诺固定液中固定8h。
诱变物质的微核检测技摘要:本实验以大蒜为实验材料,研究咖啡和咖啡伴侣能否诱发细胞产生微核,以及咖啡和咖啡伴侣的毒性是否有叠加效应。
实验中将咖啡和咖啡伴侣配置为不同浓度梯度的溶液,对大蒜进行诱发培养24小时,并观察检测微核的诱发率。
前言:由于大量新的化合物的合成,原子能应用,各种各样工业废物的排出,使人们很需要有一套高度灵敏,技术简单的测试系统来监视环境的变化。
只有真核的测试系统更能直接推测诱变物质对人类或其它高等生物的遗传危害,在这方面,微核测试是一种比较理想的方法。
微核是真核生物细胞中的一种异常结构,往往是细胞经辐射或化学药物的作用而产生。
在细胞间期微核呈圆形或椭圆形,游离于主核之外、大小应在主核1/3以下。
微核的折光率及细胞化学反应性质和主核一样。
一般认为微核是由有丝分裂后期丧失着丝粒的断片产生的,但有些实验也证明整条的染色体或多条染色体也能形成微核。
这些断片或染色体在细胞分裂末期被两个子细胞核所排斥便形成了第三个核块。
已经证实微核率的大小是和用药的剂量或辐射累积效应呈正相关,这一点和染色体畸变的情况一样。
所以可用简易的间期微核计数来代替繁杂的中期畸变染色体计数。
咖啡和咖啡伴侣为现代人们经常选用的饮用品。
而咖啡中的咖啡因之类的物质和咖啡伴侣中植物末(奶精)对人体的健康有没有危害呢?为此我们用大蒜作为材料研究咖啡和咖啡伴侣对细胞染色体畸变的影响,实验主要通过检测细胞微核诱发率,得到咖啡或咖啡因对细胞的影响程度。
1、材料与方法1.1材料1.1.1 材料:大蒜雀巢速溶咖啡雀巢速溶咖啡伴侣1.1.2 试剂: NaN3 HCL 卡诺固定液 70%乙醇改良苯酚品红1.1.3 仪器:培养皿量筒烧杯玻璃棒电子天平手套离心管单面刀片盖玻片载玻片显微镜1.2方法1.2.1 取材:将大蒜置于24 ℃水中浸泡24 h,选择根长整齐一致,不定根长约0.5-1cm左右的大蒜随机分组。
1.2.2 处理各实验组:配置50mmol/L的NaN3溶液作为阳性对照组的培养液,用自来水作为阴性对照组的培养液,将咖啡和咖啡因配置成不同浓度梯度的溶液作为样品组的培养液,将大蒜置于各组培养液中培养24小时。
诱变物质的微核检测【实验原理】细胞中染色体结构的变异起因于染色体的断裂,通常染色体断裂后有三条发展途径:两个断裂端重新愈合回复到原来的染色体结构;断裂的连接修复发生错误,产生染色体变异:缺失、重复、倒位、异位等;断裂的染色体不愈合,细胞分裂时形成微核,最后丢失。
微核是细胞的染色体发生断裂后,细胞进入下一次分裂时,染色体片段不能随有丝分裂进入子细胞,而在细胞浆中形成直径小于主核的,嗜色与主核一致的圆形或椭圆形微小核,其直径小于主核1/3,主要由外界损害因素(生物、物理、化学)作用细胞后,导致细胞染色体丢失或断裂,从而在胞浆中形成1个或数个小核。
一般认为微核是由有丝分裂后期丧失着丝粒的染色体断片产生的,有实验证明,整条染色体或几条染色体也能形成微核。
已经证实,微核率的大小是和作用因子的剂量或辐射累积效应呈正相关。
人类日常生活中使用接触的物品如农药、化工产品、食品添加剂、水源等是否含诱变物质的检测具有重要的意义。
目前可以用诱导沙门氏菌突变体回复突变的能力来检测诱变物质的诱变能力,然而只有真核类的测试系统更能直接推测诱变物质对人类或其它高等生物的遗传危害,在这方面,微核测试是一种比较理想的方法。
目前国内外不少部门已把微核测试用于辐射损伤、辐射防护、化学诱变剂、新药试验、食品添加剂的安全评价,以及染色体遗传疾病和癌症前期诊断等各个方面。
污染指数=样品MCN%均值/对照(水)MCN%均值0-1.5 无污染1.5-2 轻度污染2-3.5 重度污染大于3.5 重度污染【实验器材】新鲜大蒜恒温箱培养皿叠氮化钠水自选试剂(鞋内清新剂、卸妆油+腮红、洗甲水、发型啫喱)【实验步骤】1.大蒜发根,根生长至0.5cm左右时(48h)进行诱变物质处理,采用叠氮化钠处理作为阳性对照,水作为阴性对照,其余四种处理剂自选,处理时间为24h。
2.恢复培养24h。
3.固定液(甲醇:冰醋酸=3:1)固定24h以上,苯酚品红染色观察。
4.计算微核率(一个视野中有多少细胞,多少微核)。
一、实验目的1. 了解微核畸变的原理和实验方法。
2. 掌握微核畸变检测技术,分析实验结果。
3. 培养学生严谨的实验态度和科学探究精神。
二、实验原理微核畸变是指在细胞分裂过程中,染色体发生断裂、缺失、易位等异常现象,导致染色体片段无法正常分离,形成微核。
微核畸变是生物体受到物理、化学、生物等因素作用后,染色体畸变的重要表现形式之一。
本实验采用植物根尖分生组织作为实验材料,利用植物组织培养技术,诱导微核畸变,并通过显微镜观察、计数和统计分析,研究微核畸变的形成机制。
三、实验材料与仪器1. 实验材料:蚕豆种子、0.01g/mL龙胆紫溶液、15%盐酸、95%酒精、蒸馏水等。
2. 实验仪器:显微镜、解剖镜、载玻片、盖玻片、镊子、滴管、培养皿、培养箱等。
四、实验步骤1. 种子萌发:将蚕豆种子浸泡于水中24小时,取出后播种于培养皿中,置于培养箱中培养,待幼苗长出3-5片真叶时,选取生长状况良好的幼苗。
2. 根尖培养:将幼苗的根尖剪下,放入装有蒸馏水的培养皿中,置于显微镜下观察,待根尖伸长到2-3mm时,取出根尖。
3. 解离:将根尖放入装有15%盐酸和95%酒精的混合液中,在室温下解离5-10分钟。
4. 漂洗:用蒸馏水冲洗根尖,去除解离液。
5. 染色:将根尖放入装有0.01g/mL龙胆紫溶液的培养皿中,染色5-10分钟。
6. 制片:将染色的根尖滴在载玻片上,盖上盖玻片,制成临时装片。
7. 观察:在显微镜下观察,记录微核畸变的细胞数量。
8. 统计分析:对实验数据进行统计分析,计算微核畸变率。
五、实验结果与分析1. 实验结果:在显微镜下观察,发现部分细胞中出现微核畸变,微核数量随实验时间延长而增加。
2. 结果分析:本实验结果表明,植物根尖分生组织在受到一定外界因素作用后,可发生微核畸变。
微核畸变率随实验时间延长而增加,说明微核畸变具有一定的累积效应。
六、实验结论1. 本实验成功诱导了植物根尖分生组织的微核畸变,验证了微核畸变检测技术的可行性。
蚕豆根尖微核诱导一.微核微核(micronucleus,MN)是一种类似细胞核的结构,它位于间期细胞的细胞质中,其形状近似椭圆形、卵圆形或圆形,而且边缘光滑整齐。
虽然它在染色性质,结构特征和折光性等方面与细胞核(主核)相似,但它独立存在,不与主核连在一起。
微核大小不一,有的较大,有的较小,不仅在不同植物和同种植物的不同细胞中是这样,即使在同一细胞中也常常是如此。
无论它存在于何处,是何因子诱导而成,其体积总比所在细胞的主核小,其直径一般只有主核的1/20~l/3,所以称它为微核。
在通常情况下,绝大多数细胞没有微核,微核只存在于少数细胞中。
微核的产生与细胞的内外环境有关,主要是由于各种具有损伤性的理化因子影响了染色体的结构与功能,使胞内DNA的复制和细胞分裂受到干扰以及纺垂体的形成出现了障碍。
有人认为,细胞微核的形成有两条途径,一条是细胞G,期产生的染色体断片因没有着丝粒,在细胞有丝分裂后期不能被纺锤体牵引到细胞两极,故在细胞进入间期时,它们被排斥在细胞的主核之外,形成微核。
另一条是一些染色体因种种原因,使它们不能按时达到细胞的中央赤道板;或到达了细胞中央赤道板,但不能很好分离;或纺锤体的功能受到损伤,致使染色体不能被纺锤体牵引到细胞两极。
由于上述原因,使一些染色体滞留在赤道板附近或细胞质中,在细胞进行分裂时不能参与细胞主核的形成,成为游离于细胞中的微核。
此外,细胞受放射线严重照射时,一些DNA双链发生断裂,产生错误修复和间期细胞核严重膨胀,在某一部分向外隆起形成瘤状突起(核芽),然后瘤状突起尾部收缩,脱离细胞核,游离在细胞质中也可形成微核。
也有人认为,细胞凋亡能引起细胞内ca2+浓度升高,进而激活DNA内切酶,使其活性增加,产生较多的DNA断片【1】或细胞组分不正常(如缺乏叶酸)也在细胞中形成微核。
由此可见,微核的形成有多种途经和多种方式,而且它们中的染色体也不完全一样,既可以是有着丝粒的染色体,也可是没有着丝粒的染色体断片,或者二者都有。
遗传学实验报告
诱变物质的微核测试
实验材料:
大蒜
诱变物质:
40 mMol/L NaN3,EB染料稀释液,洗洁精,少量二甲苯乙醇溶液
实验器具和药品:
卡诺固定液,改良苯酚品红液,培养皿,剪子,镊子,载玻片,盖玻片等。
实验步骤:
1.大蒜泡于水中25℃或室温发根,约24h后根长0.5~1cm。
2.各培养皿中加入各种处理药物。
3.根尖浸入药物皿中,25℃或室温培养24~30小时。
并留一部分发根大蒜,培养于水中作对照。
4.分皿固定。
从根部切下大蒜根,在3甲醇:1冰醋酸的卡诺固定液中,约24小时后转移到70%酒精中,室温1h后换至新的70%酒精,可长期冰箱保存。
5.取大蒜根,在载玻片上用生理盐水洗两次以除去酒精。
1mol/L HCl室温水解10min,生理盐水洗3次。
6.切适当大小(2~3mm)根尖,改良碱性品红染液中切成或用镊子夹成小块,染色10min,压片观察。
实验结果:
除了40 mmol/L NaN3处理的大蒜根尖产生大量微核细胞外,其它诱变物质和水的阴性对照均未产生微核。
上图:40 mmol/L NaN3处理后多种形态的微核
上图:40 mmol/L NaN3处理后产生微核和畸形核 上图:40 mmol/L NaN3处理后视野中成片的微核细胞 畸形核
微核。
花露水对大蒜根尖细胞微核的诱导摘要:夏天,更多的人们选择方便、安全的花露水来驱赶蚊虫。
所以我们小组选择常见市售花露水对大蒜根尖细胞进行诱导。
选取不同浓度的花露水(0%,5%,25%,50%,75% ) 为诱变剂 , 分别处理大蒜的根尖细胞, 用微核检测法确定大蒜根尖细胞的微核率。
大蒜根尖经过不同浓度的花露水处理液处理后, 根尖颜色明显发黄。
微核诱变试验显示, 不同浓度的花露水处理大蒜根尖细胞可诱发不同频率的微核率, 浓度在0-50%范围内,微核率随着花露水浓度的升高呈增加趋势,浓度大于50%,微核率随着花露水浓度的升高呈降低趋势。
因此,花露水对大蒜根尖细胞有一定的诱导作用。
关键词:花露水大蒜根尖细胞微核前言:驱蚊花露水是居民夏季防蚊最常用的卫生用品之一,是在普通花露水的基础上配以适量驱避剂而成。
目前,避蚊胺、驱蚊酯、羟哌酯和植物精油是常见的蚊虫驱避剂。
驱蚊酯又称丁基乙酰氨基丙酸乙酯、BAAPE,IR3535,伊默宁,是一种塑化剂,也是广谱、高效的低毒昆虫驱避剂,它对苍蝇、虱子、蚂蚁、蚊子、蟑螂、蠓虫、牛虻、扁蚤、沙蚤、沙蠓、白蛉、蝉等都有良好的驱避效果;它的驱避作用时间长,能在不同气候条件下使用。
据文献报道,其小鼠急性经口LD50为10 000 mg /kg。
市场上现在以驱蚊酯为有效成分的驱蚊产品主要有4% 宝宝金水舒爽驱蚊花露水、4%柏纷婴儿护肤防蚊液、4.5%六神驱蚊花露水、11.5% 强生婴儿驱蚊液等。
采用大蒜为实验材料,具有许多优点:①用鳞茎进行无性繁殖,避免了有性繁殖过程中的遗传性变异,具有遗传背景稳定的优势,目前已有利用大蒜根尖细胞检测水质、大气污染研究的报道;②分布广、材料易得,不受地区和季节的限制;③培养方便,操作简单,蒜瓣去皮后将基部浸入净水中即可萌生新根,无需其他条件,且蒜瓣体积较小,萌生新根的数目较多;④价格低廉,对诱变剂敏感,是一种理想的试验材料。
1 材料与方法1.1 材料1.1.1 供试材料大蒜根尖、六神花露水。
诱变物质的微核检测的遗传分析09级生物基地吕新嘉 200900140082一.实验目的1.了解细胞微核形成的机理及其形态特点。
2.学习植物根尖细胞的微核检测技术。
二.实验原理细胞分裂过程中染色体要进入两级,若DNA在复制时受到物、化因素作用会导致DNA分子发生断裂。
有一些断裂可被修复,而不能被修复的断裂就导致了小片段DNA的形成,最终凝缩产生微核。
在细胞间期,微核呈圆形或椭圆形,游离于主核之外,大小应在主核1/3以下。
微核的折光率及细胞化学反应性质和主核一样,也具合成DNA的能力。
一般认为微核是由有丝分裂后期丧失着丝粒的染色体断片产生的,在有丝分裂后期不能向两极移动,所以游离于细胞质中。
微核率的大小和用药的剂量或辐射累积效应呈正相关,因此微核是常用的遗传毒理学指标之一,指示染色体或纺锤体的损伤。
微核测试已用于辐射损伤,辐射防护,化学诱变剂,新药试验,染色体遗传疾病及癌症前期诊断等各方面。
三.材料与仪器1.材料:大蒜根尖2.试剂:蒸馏水、叠氮化钠、固定液、酒精、1mol/LHCl、苯酚品红3.仪器:培养板、离心管、移液枪、枪尖、剪刀、镊子、载玻片、盖玻片、显微镜四.实验步骤1.将大蒜去皮,在培养板上每个孔中放入2~3瓣,25℃培养24h。
2.在培养板1号孔中加入7.2ml叠氮化钠作为阳性对照,4号孔中加入O作为阴性对照。
2号孔加入7.5%的护发水8ml。
3号孔加入20%的小护7.2mlH2士柔肤水10ml。
5号孔加入8.3%的乙醇6ml。
6号孔加入5%的护发素12ml。
25℃诱变24h。
3.剪下各孔内约1cm长的大蒜根,置于离心管中加入固定液,固定24h。
4.弃去管内固定液,加入乙醇保存已固定的大蒜根。
5.取出固定好的大蒜根,切取1~2mm根尖,用1mol/LHCl解离10min。
6.吸干解离液,用蒸馏水清洗2~3次。
7.吸干蒸馏水,用苯酚品红染色20min。
8.压片,镜检。
五.注意事项1.诱变前培养的大蒜不要让根长得太长。
洗手液对大蒜根尖的微核诱导摘要本实验选用大蒜根尖为实验材料,某品牌洗手液为待测样品,依据化学诱变剂可以改变细胞染色体复制、分离中的完整性及数目,从而产生有染色体或其片段形成微核结构的原理,展开实验。
其中用蒸馏水设置一组阴性对照。
关键词洗手液、大蒜、微核诱导前言微核(micronucleus, 简称MCN)也叫卫星核,是真核类生物细胞中的一种异常结构,是染色体畸变在间期细胞中的一种表现形式,呈圆形或椭圆形,游离于主核之外,大小应在主核1/3以下,折光率及细胞化学反应性质和主核一样,也具合成DNA的能力。
微核往往是各种理化因子,如辐射、化学药剂对分裂细胞作用而产生的。
一般认为微核是由有丝分裂后期丧失着丝粒的染色体断片形成的。
一、诱导对象及方法:1.实验材料的培养本实验选取大蒜根尖为实验材料。
将筛选好的大蒜(2头)放盛有蒸馏水的小烧杯中,液面刚好淹没大蒜底部以保证根尖垂直、同步生长。
室温培养约2-4天,待根尖长出2-3 cm即可备用。
2.待测液处理将某品牌洗手液分别稀释5倍、10倍、50倍、100倍、200倍,配置成20 ml的溶液。
将备用的大蒜根尖浸于相应浓度的待测液中(2颗/浓度)。
另外取2颗备用大蒜根尖浸于蒸馏水中,作为阴性对照。
室温处理时间为48 h。
3.恢复培养取出待测液中的大蒜根尖用蒸馏水反复冲洗3-5次,1-2 min/次,再置于盛有蒸馏水的小烧杯中继续室温培养24 h。
4.解离与染色恢复培养后将根尖剪下约2 cm,分别置于1M的盐酸溶液中、60°C水浴中经10 min解离取出。
取一个根尖用蒸馏水冲洗后放在干净的载玻片,用吸水纸吸取根尖周围的水分,取根部尖端约0.5-1 cm进行染色。
将一滴吉姆萨染液滴于待染的根尖,染色约10-15 min。
5.制片与镜检吸取根尖周围的染液,滴一滴45%的醋酸溶液,盖上盖玻片,轻压。
用吸水纸包住玻片,用铅笔的橡皮头敲打盖玻片至标本呈散开的云雾状。
姓名系年级学号科目遗传学实验题目大蒜根尖诱导微核实验组别周三诱变物质的微核检测技术摘要微核体检测是一种对环境中诱变物质进行评估的快速而简便的方法,被广泛应用于很多行业。
此次实验,利用自主选定的化学制剂培养大蒜根尖,后通过观察根尖中的微核体来检测此试剂的诱变能力,了解了微核检测的方法和意义,掌握了一项评价环境中常见物质诱变情况的技术。
1.引言微核是细胞在间期时,染色体发生断裂,在进入下一次分裂时,染色体片段不能随有丝分裂进入子细胞,而在细胞浆中形成直径小于主核的、与主核分开的微小核,主要由外界损害因素(生物、物理、化学因素)对细胞的作用形成的。
19世纪末,Howell与Jolly分别在猫和大鼠外周血中发现一种小体,命名为Howell-Jolly小体,并且发现这种小体也存在于恶性贫血患者外周血中。
这一小体便是今日被称之为微核的小体。
1959年,Evans等将蚕豆根端细胞暴露在电离辐射下,观察到辐射诱导微核形成效应,并据此间接推断微核来源于辐射诱导的染色体异常。
这篇文献便是以微核发生率反映染色体异常来评价遗传毒性的第一篇报道。
作者认为约60%染色体断片与微核形成直接相关。
1970,年Boiler和Sehmid以中国金黄地鼠为材料,观察了抗肿瘤药三亚胺给予后,骨髓与外周血细胞学的变化,并且提出用本来无核的外周血嗜多染红细胞中的微核发生率来作为微核试验的基本指标,并正式命名为微核实验。
70年代初,Matter和Schmid首先用啮齿类动物骨髓细胞微核率来测定疑似有诱变活力的化合物,建立了微核测定法。
此后至70年代中期,Sehmid以及Heddle研究小组的工作,全面奠定了微核实验的理论及应用基础。
近年来,由于大量新的化合物的合成,原子能的应用,各种各样工业废物的排出,日常生活中人类接触到的有潜在遗传毒性的物质越来越多,微核实验的重要性也就随之突显出来。
微核实验技术简单易行且灵敏,目前国内外不少部门已把微核测试用于辐射损伤、辐射防护、化学诱变剂、新药试验、食品添加剂的安全评价,以及染色体遗传疾病和癌症前期诊断等各个方面2.实验材料及方法2.1实验材料2.1.1试验材料大蒜。
蚕豆微核诱变实验正式报告一、实验目的1、了解细胞微核形成的机理及其形态特点,2、学习植物根尖细胞的微核检测技术。
3、进行小组合作,掌握设计实验基本能力二、实验原理微核(micronuclei)简称MCN,是真核类生物细胞中的一种异常结构,往往是细胞经辐射或化学药物的作用而产生的。
在细胞间期,微核呈圆形或椭圆形,游离于主核之外,大小应在主核1/3以下。
微核的折光率及细胞化学反应性质和主核一样,也具合成DNA的能力。
微核形成:有丝分裂后期丧失着丝粒的染色体断片不能向两极移动,游离于细胞质中,在间期细胞核形成时,在核产生一到几个很小的圆形结构—微核,直径大约是细胞直径的1/20~1/5。
三、诱变剂和拮抗剂的选择诱变剂:亚硝酸钠:拮抗剂:平菇多糖,维生素C选择亚硝酸钠的原因:亚硝酸钠是工业用盐,它是一种白色不透明晶体,形状很像食盐。
亚硝酸盐对人体有害,可使血液中的低铁血红蛋白氧化成高铁血红蛋白,失去运输氧的能力而引起组织缺氧性损害。
亚硝酸盐不仅是致癌物质,而且摄入0.2-0.5g即可引起食物中毒,3g可致死。
而亚硝酸盐是食品添加剂的一种,起着色、防腐作用,广泛用于熟肉类、灌肠类和罐头等动物性食品。
鉴于亚硝酸盐对肉类腌制具有多种有益的功能,现在世界各国仍允许用它来腌制肉类,但用量严加限制。
通过本实验,研究亚硝酸钠的引起细胞畸变的能力。
选择平菇多糖和维生素C作为拮抗剂的原因:平菇多糖是可食真菌-平菇中显生物活性的一种高分子多糖类活性物质。
平菇中的蛋白多糖体对癌细胞有很强的抑制作用,能增强机体免疫功能。
常食平菇不仅能起到改善人体的新陈代谢,调节植物神经的作用,而且对减少人体血清胆固醇、降低血压和防治肝炎、胃溃疡、十二指肠溃疡、高血压等有明显的效果,而这些药理作用主要得益于平菇多糖的活性。
另外VC具有良好的抗氧化性,因此本小组决定用平菇多糖和VC作为诱变剂的拮抗剂进行实验。
四、实验材料蚕豆五、实验仪器设备及药品显微镜、载玻片、盖玻片、培养皿、试管、镊子、广口瓶、脱脂棉、恒温培养箱、恒温水浴锅等;无水乙醇、冰醋酸、改良石炭酸品红染液、盐酸、六、实验步骤1.浸种催芽选择无虫、饱满、大小均匀的蚕豆种子50粒放入盛有自来水的培养皿中,25℃浸泡24h,其中换水2次。
实验15 微核的诱导和检测微核(micronucleus)是染色体畸变的一种表现形式,为有丝分裂后期丧失着丝粒的染色体片断,在间期细胞的细胞质中形成的一个或多个圆形或杏仁状结构。
微核游离于主核之外,大小在主核的l/3以下。
其折光率及细胞化学反应性质和主核一样,也具有合成DNA 的能力。
一般认为微核是由有丝分裂后期丧失着丝粒的染色体断片产生的,但是已有实验证明,整条染色体或几条染色体也能形成微核。
这些断片或染色体在有丝分裂过程中行动滞后,在分裂末期未能进入主核,便形成了独立于主核之外的核物质块。
当子细胞进入下一次分裂间期时,它们便浓缩形成主核之外的小核,即形成微核。
在环境污染物中存在着许多具有诱变活性的物质,能直接或间接地诱发生物体发生基因突变(mutation)、染色体畸变(chromosome aberration)等细胞遗传损伤,染色体畸变在细胞分裂间期中以微核的形式表现出来,而微核产生的概率又可与诱变因子的剂量呈正比,因此可以用微核出现的频率来评价环境诱变因子对生物的诱变影响。
目前,常用的微核检测技术主要有骨髓微核试验和蚕豆根尖微核试验,可应用于辐射损伤、辐射防护、化学诱变剂、新药试验、食品添加剂、环境检测的安全评价及染色体遗传疾病和癌症前期诊断等各个方面。
小鼠骨髓嗜多染红性细胞微核试验:1959年,Evans等人首先提出用微核试验检测细胞遗传损伤,1966年,Schroeder推荐用骨髓微核试验代替相对麻烦费时的骨髓细胞中期染色体畸变试验来研究受试物的有丝分裂毒性(mitotic toxicity)和断裂剂效应(calstogen effect)。
此后,Schmid、Heddle等人在鉴别小鼠骨髓嗜多染性红细胞(Polychromatic erythrocyte,PCE)的基础上建立了哺乳类脊髓微核试验方法,目前已经成为一个相当成熟的标准化体内检测系统。
具体方法为:(1)染毒:在小鼠腹腔注射受试物。
一、实验目的1.了解细胞微核形成的机理及其形态特点。
2.学习植物根尖细胞的微核检测技术。
二、实验原理微核是间期细胞的细胞质中一个或多个圆形或杏仁状结构,是有丝分裂后期丧失着丝粒的落后的染色体片段形成。
微核是染色体畸变的一种表现方式。
许多能引起染色体断裂的理化因素,如辐射、化学诱变剂等,均可作用于分裂细胞而产生微核。
目前研究表明,微核发生率同作用因子的剂量呈正相关,微核发生率来反映诱变物质对生物的遗传危害程度。
微核微核试验是一种建立在细胞水平上分析DNA损伤的技术。
该技术以其经济、简便、快速、敏感、特异、准确等特点,成为检测致突变剂和环境污染物等经典的短期试验方法。
目前许多国家和国际组织将其规定为新药、食品添加剂、农药、化妆品等毒理性安全性评价的必做试验并用于染色体遗传疾病和癌症前期诊断等各个方面。
本试验采用大蒜作为试验材料,具有许多优点:①用鳞茎进行无性增殖,避免了有性生殖过程中的遗传性变异,具有遗传背景稳定的优势;②分布广、材料易得,不受地区和季节的限制;③培养方便,操作简单,蒜瓣去皮后将基部浸入净水中即可萌生新根,无需其他条件,且蒜瓣体积较小,萌生新根的数目较多;④价格低廉,对诱变剂敏感,是一种理想的试验材料。
本次实验中采用叠氮化钠和水处理的大蒜作为对照组,以四种常用的洗护用品作为实验组。
目前在大学生群体,尤其是女生群体中,各种洗护化妆品已经成为必备品,那么经常使用的这些洗护化妆物质是否会对人体造成危害呢?本次实验目的即在于鉴定洗护化妆品的毒理安全性。
三、实验用品实验器具:显微镜、解剖针、盖玻片、载玻片、培养皿实验试剂:改良苯酚品红染液、1M盐酸、叠氮化钠、水、花露水、海昌护理液、黄瓜水、卸甲水实验材料:大蒜根尖四、实验步骤1、将大蒜去皮,在培养板上每个孔中放入2~3瓣,25℃培养24h。
2、在培养板的六个孔中分别加入叠氮化钠、水、六神驱蚊花露水、海昌、黄瓜水、卸甲水,没过大蒜根部为宜,25℃继续培养24h。
本科学生综合性实验报告
学号******** 姓名*******
学院生命科学学院专业、班级11应用生物教育A班实验课程名称实验十一诱变物质的微核试验
教师及职称李云海(副教授)
开课学期2012 至2013 学年下学期填报时间2013 年05 月25 日
云南师范大学教务处编印
一.实验设计方案
二.实验报告
2.对实验现象、实验结果的分析及其结论
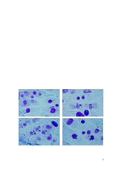
1)、实验观察结果:
可观察到其染色呈灰蓝色,嗜多染红细胞中的微核呈紫红色或蓝紫色的较小圆形、边缘光滑的微粒。
其图片如下所示:
2)、对实验结果的分析:
①做误差条图统计分析:
由直方图可以看出:随着苯二酚、秋水仙素、氯化汞剂量的加大对小鼠骨髓嗜多染红细胞微核发生呈线性关系。
影响最大的是高剂量的秋水仙素。
微核率的大小与受试物(作用因子)的剂量呈正比。
我们也可以从阴性对照组微核检出率低看出小鼠骨髓细胞中自发的微核率明显低于各组受试物和阳性对照组的结果。
②方差同质性检验与单因素方差分析:
方差齐次性检验F=0.311,P=0.969>0.05,说明方差齐次,说明不同药物处理对小鼠骨髓嗜多染红细胞微核发生有显著性差异。
经单因素方差分析,F=127.969,P=0.000<0.01,差异极显著,说明不同药物处理对小鼠骨髓嗜多染红细胞微核发生有显著性差异。
3.实验总结
1)、通过此次实验,掌握了微核实验的一般程序,对实验动物进行药物处理的腹腔注射法,同时也掌握了对一些实验动物进行药物处理的一般程序和方法,并了解了一些微核实验的实践意义;
2)、掌握了实验设计的一般程序和规则,学会利用SPSS的单因素方差分析和 t 检。
洗洁精蚕豆根尖细胞的
微核诱导及检测
摘要根据微核诱导的原理,以未受污染的蚕豆和洗洁精为材料,测定洗洁精对
根尖细胞的影响。
结果表明,洗洁精会诱导微核的产生。
说明洗洁精在超过一定浓度内对生物细胞是有害的。
关键字:蚕豆、洗洁精、微核、诱导
Abstract According to the principle of micronucleus induced by unpolluted fava beans and a detergent, detergent effect on root tip cells. The results show that the detergent will not induce micronucleus. Detergent in a certain concentration in biological cells are harmless. Key words: beans, detergent, microkernel, induction
一、实验原理
微核简称(MCN),是真核生物细胞中的一种异常结构,往往是细胞经辐射或化学药物的作用而产生。
在细胞间期微核呈圆形或椭圆形,游离于主核之外、大小应在主核1/3以下。
微核的折光率及细胞化学反应性质和主核一样。
一般认为微核是由有丝分裂后期丧失着丝粒的断片产生的,但有些实验也证明整条的染色体或多条染色体也能形成微核。
这些断片或染色体在细胞分裂末期被两个子细胞核所排斥便形成了第三个核块。
已经证实微核率的大小是和用药的剂量或辐射累积效应呈正相关,这一点和染色体畸变的情况一样。
所以可用简易的间期微核计数来代替繁杂的中期畸变染色体计数。
由于大量新的化合物的合成,原子能应用,各种各样工业废物的排出,使人们需要有一套高度灵敏、技术简单的测试系统来监视环境的变化。
只有真核的测试系统更能直接推测诱变物质对人类或其它高等生物的遗传危害,在这方面,微核测试是一种比较理想的方法。
且有研究显示以植物进行微核测试与以动物进行的一致率可达99%以上。
目前,微核测试已经广泛应用于辐射损伤、辐射防护、化学诱变剂、新药试验、染色体遗传疾病及癌症前期诊断等各方面。
利用蚕豆根尖作为实验材料进行微核测试,可准确显示各种处理诱发畸变的效果,并可用于污染程度的监测。
本组选择了洗洁精来做微核实验,因为随着我们生活水平的不断提高,各类洗涤剂相继问世,其使用范围变得越来越广,渗透到我们生活的好多方面。
人工合成的洗涤剂成本低、去污力强、种类多,主要分为阳离子型、阴离子型和非离子型3 类(其中阴离子型表面活性剂使用频率最高)。
但是洗涤剂可通过皮肤渗透到血液中,导致人体血液中Ca2+含量下降以及细胞染色体畸变。
此外,含合成洗涤剂的废水排入水体后,将影响水生生物的生长,并致水体富营养化,从而破坏水环
境质量和水生生态系统的平衡。
二、实验过程
二、实验材料:蚕豆种子、洗洁精
三、实验器具、药品试剂
(一)实验器具:
显微镜,计数器,镊子,载玻片,盖玻片,烧杯,瓷盘等。
(二)实验药品:
6mol/L盐酸,甲醇,冰乙酸,醋酸洋红,
氟化钠处理液:0.5mmol/L 3种浓度。
六、实验方法:
1.实验材料的培育
蚕豆根尖细胞的染色体大,DNA含量高,因而对诱变因子反应敏感。
种子成熟后,晒干贮藏于干燥器内或4℃冰箱内备用。
2.浸种催芽:
将实验用蚕豆种子按需要量放入盛有蒸馏水的烧杯中,在25℃下浸泡24小时。
种子吸胀后,用纱布松散包裹置白磁盘中,保持湿度,在25℃恒温箱中催芽12-24小时,待初生根长出2-3mm时,再取发芽良好的种子,放入铺满滤纸的磁盘中,25℃继续催芽,经约36-48小时,大部分初生根长至1-2cm左右,根毛发育良好,这时即可用来进行检测了。
3.处理
每一处理选取6-8粒初生根生长良好、根长一致的种子,放入盛有待测物溶液的培养皿中,浸没根尖。
用自来水作对照处理,处理根尖6~24h(处理时间可视实验需要和被测液浓度而定)。
4.根尖细胞恢复培养
将处理后的种子用蒸馏水浸洗三次,每次2-3min。
将洗净的种子再放入铺好滤纸或脱脂棉的白磁盘内,25℃温箱中恢复培养22-24小时。
5.固定根尖细胞及制片
(1)将恢复培养后的种子,从根尖顶端,切下1cm长的幼根。
用卡诺氏液固定24h,固定
后如果不及时制片,可换入70% 的乙醇中,置4℃冰箱内保存备用。
6.酸解:
从70%乙醇中取出固定好的根尖→流水冲洗3min→吸水纸吸干→放入盛有适量1 mol/L HCl,60±0.5℃水浴保温的瓶中→解离10min。
7.染色:
解离后材料水洗3min并吸干,挑取1个根尖的乳白色分生组织于载玻片上夹碎捣烂,滴加1~2滴染液,染色10~15min,压片。
8.压片
在经染色的材料上加一滴染液,盖上盖玻片,覆一层吸水纸,用带橡皮头的铅笔垂直敲打,或以拇指垂直紧压盖片(注意勿使盖片搓动),使材料分散压平,便于观察。
9.镜检及微核识别标准
首先在低倍镜下找到分生组织区细胞分散均匀,分裂相较多的部位,再转高倍镜观察。
微核识别标准:
(1)在主核大小的1/3以下,并与主核分离的小核。
(2)小核着色与主核相当或稍浅。
(3)小核形态为圆形、椭圆形或不规则型。
观察3个根尖,每个根尖计数100个细胞中的微核数并进行记录。
10、实验结果
表1 洗洁精对蚕豆根尖的影响
根的颜色和形态变化
处理洗洁精的含量
mg·L-1
对照组0 根尖乳白色、形态无变化
洗洁精100 根尖微黄、形态无明显变化
蚕豆表皮以及根尖颜色和形态都发生了不同程度的损害,表皮变黑,根尖也会出现发黄、变黑、变软甚至腐烂的现象。
根尖会变黄、变黑的主要原因是蚕豆根尖经洗洁精诱变处理后,细胞发生脱水,从而导致根尖细胞死亡。
表2 洗洁精对蚕豆根尖细胞微核率和染色体畸变率的影响
观察的细胞数微核率/‰染色体畸变率% 处理洗洁精的含量
mg·L-1
对照组0 1020 1.2 3.49
洗洁精100 1030 8.3 4.65
洗洁精对蚕豆根尖细胞的微核率影响明显比染色体畸变率影响大。
实验结果与讨论
1、从实验结果可以看出,洗洁精蚕豆根尖细胞具有一定的危害性,
2、对实验方法的改进:①此次实验的解离时间为10min,但结果发现时间有点短,根尖的解离状况不佳,以至于制片时屡试不成,对比其他组的解离时间,计划下一步实验解离时间进行稍长些,20—30 min;②染色时间也适当延长,可能由于不同组的染液活性不同,鉴于本组的实验现象及结果,建议下步实验适当延长染色时间,以便于观察;③制备临时装片的技术方法改进一下,压片时不一定完完全全按照老师说的或查找的文献上的方法来进行,在实验过程中头脑要保持灵活些,达到实验目的即可,不要墨守成规。
对实验材料的改进:可以用洋葱或大蒜作为实验材料进行微核诱导,最后可以为以后其他年级进行该实验选择最佳的实验材料。