尿毒症肾性骨病a(精选)
- 格式:ppt
- 大小:711.50 KB
- 文档页数:16
西医临床执业医师易错100题1、56岁。
甲亢。
处方:左甲状腺素钠片25ug,po,1/早餐前30min甲巯咪唑片7.5mg,po,qd肌苷片0.2g,po,tid请指出该处方的不妥之处A.肌苷和甲巯咪唑配伍不当B.肌苷和左甲状腺素配伍不当C.左甲状腺素和甲巯咪唑配伍不当D.无不当之处E.【答案】D2、对半抗原的正确解释是A.只有免疫原性的物质B.只有免疫反应性的物质C.有免疫原性或抗原性的物质D.作为免疫佐剂的物质E.分子量小于1万的物质【答案】B3、下列何药常用于房颤电复律前准备和复律后维持窦性节律A.奎尼丁B.利多卡因C.苯妥英钠D.美西律E.氟卡尼【答案】A4、男,8岁。
右足底被铁锈钉刺伤12天,出现张口困难,继之出现苦笑面容,角弓反张,声响及触碰病人可诱发上述症状,神志清楚,无发热。
这种菌感染发病率约占污染者的百分比(%)A.0.1~0.2B.0.3~0.4C.0.5~0.6D.0.7~0.8E.1.0~2.0【答案】E5、当放射性同位素14C、15N同时标记的天冬氨酸进入动物体内时,有部分化合物将存在标记原子。
下列哪种化合物可能同时存在15N、14CA.尿素B.肾上腺素C.AMPE.肌酸【答案】D6、下述脐带异常最易引起分娩时胎儿发生宫内窘迫的是()。
A.脐带过长B.脐带先露C.脐带过短D.脐带假结E.脐带扭转【答案】C7、宫颈癌初级淋巴转移不包括A.宫颈旁淋巴B.输尿管旁淋巴C.闭孔淋巴D.髂内淋巴E.髂外淋巴【答案】B8、对代谢性酸碱失衡的判断,最有价值的指标是A.PaCO2C.ABD.SBE.BE【答案】D9、深Ⅱ度烧伤的临床表现,下列错误的是()。
A.有时在大腿可见树枝状栓塞血管B.创面多有水疱C.创面痛觉迟钝D.如无感染.创面3~4周愈合E.愈合后多有增生性瘢痕【答案】A10、有关正常胎儿血循环的描述,错误的是A.肺动脉的血液大部分进入降主动脉,仅少量流入肺B.胎儿血液经过脐静脉回流至胎盘以获取营养和氧气C.供应心.脑.肝及上肢血氧量较下半身的高D.胎儿时期存在房间隔相通E.胎儿时期存在动脉导管未闭【答案】B11、男性,30岁。
西医临床执业医师易错100题1、尿毒症肾性骨病的原因,下述哪项错误A.甲状旁腺功能减退B.低蛋白血症和营养不良C.破骨细胞活性增强D.高磷血症E.活性维生素D合成障碍【答案】A2、神经纤维的阈电位是引起__A.正反馈Na+内流的临界膜电位B.Na+通道开始关闭的临界膜电位C.K+通道开始关闭的临界膜电位D.正反馈K+外流的临界膜电位E.Na+通道少量开放的膜电位值【答案】A3、股骨颈骨折pauwells角指A.股骨颈长轴线与股骨干纵轴线之间形成的夹角B.股骨颈长轴线与股骨颈骨折线之间的夹角C.股骨颈骨折线与股骨干纵轴线之间的夹角D.股骨颈骨折线与两大转子连线之间的夹角E.股骨颈骨折线与两髂嵴连线之间的夹角【答案】E4、抑制菌细胞壁合成的胞浆膜阶段的抗生素是A.红霉素B.万古霉素C.林可霉素D.头孢唑啉E.庆大霉素【答案】B5、淋巴细胞的表面抗原的检测可用于T淋巴细胞的亚群分类、功能分析等。
CD抗原是淋巴细胞表面的分化抗原。
其中B细胞表面特异性CD抗原是A.CD4B.CD8C.CD2D.CD3E.CD19【答案】E6、治疗支气管哮喘重度发作使用5%碳酸氢钠能A.直接解除支气管平滑肌痉挛B.增强支气管扩张剂的疗效C.增强呼吸中枢对CO2的敏感性D.增加血环磷酸腺苷的浓度E.抑制磷酸二酯酶【答案】B7、下列关于肺泡表面活性物质生理作用的叙述,哪一项是错误的A.稳定肺泡内压B.降低肺泡表面张力C.增加肺的回缩力D.维持肺泡于适当的扩张状态E.阻止血管内水分滤入肺泡【答案】C8、脑膜炎氯化物含量最少不低于(mmol/l):A.110B.120C.130D.140E.150【答案】B9、男性,56岁,原有冠心病劳力型心绞痛史,心电图V4-6 T波倒置。
3天来每天清晨5时出现剧烈胸痛发作,持续时间较往常心绞痛时间长,心电图示V4——V6 T波由倒立变直立,诊断为A.恶化型劳力性心绞痛B.卧位性心绞痛C.变异型心绞痛D.心内膜下心梗E.心包炎【答案】C10、近端空肠内疝形成A.呕吐物为食物,无胆汁B.呕吐物为胆汁,无食物C.呕吐物既有胆汁,又有食物D.呕吐物呈酸臭味,有宿食E.无呕吐【答案】A11、男性,30岁,以感染性休克入院,入院后,咳粉红色痰,气短,血动脉氧分压降至60mmHg以下,应首先考虑A.急性左心衰竭B.ARDSC.肺泡毛细血管广泛破裂D.肺内继发性炎症E.缺血性肺组织坏死【答案】B12、CD4+Th1细胞诱导的炎症中最主要的效应细胞是A.活化的MφB.T细胞C.B细胞D.NK细胞E.中性粒细胞【答案】A13、下述脐带异常最易引起分娩时胎儿发生宫内窘迫的是()。
西医临床执业医师易错100题1、对糖尿病患者进行术前准备,说法正确的是()。
A.禁食患者需维持血糖轻度升高状态B.能以饮食控制病情者还需应用降糖药C.口服长效降糖药患者需在术前一天停用D.平时应用胰岛素患者,术前不能停用E.酮症酸中毒患者无需处理,可接受急症手术【答案】A2、尿毒症肾性骨病的原因,下述哪项错误A.甲状旁腺功能减退B.低蛋白血症和营养不良C.破骨细胞活性增强D.高磷血症E.活性维生素D合成障碍【答案】A3、结核引起机体的免疫是A.局部免疫B.传染免疫C.体液免疫D.抗毒素免疫E.抗菌免疫【答案】B4、左归丸的功能A.滋肾补阴B.滋阴降火C.补肾益精D.补养气血E.滋肾养肝【答案】A5、以下哪种疾病一般不引起脾大A.再生障碍性贫血B.败血症C.病毒性肝炎D.溶血性贫血E.慢性粒细胞白血病【答案】A6、男性,30岁,反复发作性血尿,经肾活体组织检查诊断为IgA肾病,首先选择治疗为A.抗炎治疗B.止血治疗C.改善肾血流量的治疗D.雷公藤治疗E.强地松治疗【答案】D7、有关正常胎儿血循环的描述,错误的是A.肺动脉的血液大部分进入降主动脉,仅少量流入肺B.胎儿血液经过脐静脉回流至胎盘以获取营养和氧气C.供应心.脑.肝及上肢血氧量较下半身的高D.胎儿时期存在房间隔相通E.胎儿时期存在动脉导管未闭【答案】B8、作为医德评价方式之一的是A.医疗审慎B.临终关怀C.医德认识D.传统习俗E.医德教育【答案】D9、某市120名12岁男孩的身高x=143.10厘米,S=5.67厘米,则身高在131.99厘米——154.21厘米范围内的理论频数为__A.114人B.119人C.64人D.72人E.96人【答案】A10、苯二氮卓类抗焦虑药物的主要作用是A.精神松弛B.肌肉松弛C.精神和肌肉都松弛D.阻断多巴胺受体E.阻断5-羟色胺受体【答案】A11、支持安乐死的主要伦理依据是()。
A.人权主义的观点B.功利主义的观点C.享乐主义的观点D.宗教主义的观点E.医学人道主义的观点【答案】A12、反应一个测验工具的正确性是指该测验A.效度B.信度C.样本D.常模E.概念【答案】A13、锥体系统是指()A.上运动神经元B.下运动神经元C.小脑皮层细胞D.脊髓巨角细胞E.上及下运动神经元【答案】A14、普萘洛尔有以下哪种特点__A.有内在拟交感活性B.口服易吸收,首关消除少C.选择性阻断β1受体D.能扩张冠状动脉,增加冠状动脉流量E.个体差异大【答案】E15、男,46岁,右颈部无痛性淋巴结肿大4个月,伴上腹疼痛,食欲不佳,发热、盗汗、体重减轻。
西医临床执业医师易错100题1、由紫外线引起的生物效应是A.红斑作用B.日射病C.视网膜灼伤D.白内障E.皮肤烧伤【答案】A2、某病人要做腰穿检查,有恐惧感,从医德要求考虑,临床医生应向病人做的主要工作是()。
A.要征得病人知情同意B.告知做腰穿的必要性,嘱病人配合C.告知做腰穿时应注意的事项D.因诊断需要,先动员,后手术E.动员家属做病人思想工作【答案】A3、男,31岁。
右小腿被撞伤,创口出血,骨外露24小时。
X线片示右胫腓骨下段粉碎性骨折,最易出现的并发症是()。
A.坠积性肺炎B.神经血管损伤C.骨筋膜室综合征D.感染E.急性骨萎缩【答案】D4、十二指肠内抑制胃排空的物质不包括__A.碳水化合物B.盐酸C.脂肪D.蛋白质消化产物E.高渗溶液【答案】A5、下述脐带异常最易引起分娩时胎儿发生宫内窘迫的是()。
A.脐带过长B.脐带先露C.脐带过短D.脐带假结E.脐带扭转【答案】C6、脓胸纤维板剥除术的适应证A.病程短的慢性脓胸,肺内无病变B.急性包裹性脓胸C.肺内有病灶,肺不能复张D.伴支气管胸膜瘘E.病程久,肺有纤维变性【答案】A7、3个月患儿体检时发现后囟尚未闭合,为明确病情,首选的检查是()。
A.腰穿,检查脑脊液B.T3.T4.TSHC.血碱性磷酸酶D.全身骨骼X光片E.属正常情况,无需检查【答案】B8、骨关节炎疼痛最主要的特点是A.运动痛B.静止痛C.不定时痛D.阴雨天痛E.寒冷痛9、女性,26岁,肥胖、头痛伴闭经1年半,查体:BP 180/110mmHg,向心性肥胖,满月脸,皮肤薄,有痤疮,腹壁有宽大紫纹,下肢胫前可凹性浮肿。
为明确库欣综合征,拟检查A.血浆皮质醇B.尿游离皮质醇C.血皮质醇昼夜节律D.小剂量地塞米松抑制试验E.大剂量地塞米松抑制试验【答案】B10、以下是亚急性感染性心内膜炎的周围体征,除了A.Roth点B.皮下小结C.Osler结节D.Janeways点E.指甲下出血【答案】B11、患者伸舌偏左,右侧肢体痉挛性偏瘫,右侧Babinski征(+),病变位于A.左侧内囊B.左侧中脑D.左侧延髓E.右侧延髓【答案】D12、下列哪种疾病不是朊毒体感染A.克-雅病B.莱姆病C.库鲁病D.裘-斯综合征E.致命性家族失眠症【答案】B13、临床上治疗多种线虫混合感染首选药物是A.噻嘧啶B.哌嗪C.阿苯达唑D.甲苯达唑E.吡喹酮【答案】D14、男,40岁,无痛性双侧颈部淋巴结进行性肿大伴发热半个月,发病以来体温最高37.5,无盗汗,体重无明显变化。
肾性骨病常见问题1、CKD-MBD的主要临床表现有哪些?CKD-MBD是由慢性肾脏病导致的矿物质及骨代谢异常综合征,表现为以下一种或多种变化:①钙,磷,PTH或维生素D代谢异常②骨转换,矿化,骨线性生长或骨强度异常③血管或其他软组织钙化2、肾性骨病的传统分类如何?①纤维囊性骨炎(Osteitis fibrosa cystica),又称高运转骨病或继发性甲旁亢性肾性骨病:特点为由于继发性甲状旁腺功能亢进引起的高转化骨病。
②低转运骨病:Low Turnover Bone Diseasea.无动力性骨病(Adynamic bone disease):特征是骨转换率下降。
尽管铝沉积可能会导致这种疾病,但现在大多数的病例是由于甲状旁腺的过度抑制所致。
b.骨软化症(Osteomalacia):这和铝在骨骼中沉积有关,其特点是骨转换率低,并伴有异常矿化。
骨软化症现在已经不是很常见,这主要是现在已经很少使用含铝的钙结合剂和引进了更好的透析用水的处理设备。
骨软化症的发生率大大降低了。
③混合性肾性骨营养不良(Mixed uremic osteodystrophy):特点是同时伴有骨矿化异常和骨转换过高或过低两种异常。
3、肾性骨病的新分型:TMV分类系统①KDIGO建议使用骨骼转化(Bone turnover),矿化(mineralization)和体积(volume)来评估骨的病理变化(简称TMV系统),强调矿化和骨量以及周转率对骨骼质量的重要性。
②骨转换(T)反映骨骼重塑比率,正常的骨转换可以维持骨吸收和骨形成的动态平衡。
以双四环素标记法动态测定骨形成率和活化率,结果可分为低、正常、高三个级别。
③骨矿化(M)反映骨骼重塑过程中骨胶原钙化的程度。
静态测定类骨质容量及厚度,并动态测定四环素标记的基础矿化延迟时间和类骨质成熟时间,结果可分为正常或不正常两个级别。
④骨容量(V)反映单位组织体积的骨含量。
静态测定松质骨的骨含量,并以皮质骨容量和厚度的测定作为额外参考,其结果分为低、正常、高三个级别。
西医临床执业医师易错100题1、影响心肌传导性高低的主要因素是A.0期除极速度和幅度B.4期自动去极速度C.阈电位水平D.最大复极电位水平E.平台期时程【答案】A2、下列哪种药物能增强左旋多巴的疗效并减轻其不良反应__A.卡比多巴B.卡马西平C.金刚烷胺D.维生素BE.苯海索【答案】A3、防治硬膜外麻醉引起的低血压最好选用A.肾上腺素B.麻黄碱C.去甲肾上腺素D.间羟胺E.异丙肾上腺素【答案】B4、人本主义疗法有以下特点,但应除外()。
A.以询者为中心B.放松训练C.把心理治疗看成一个转变过程D.非指令性治疗的技巧E.言语操作性条件试验【答案】B5、胃癌主要起源于__A.主细胞B.幽门腺上皮细胞C.腺颈部干细胞D.壁细胞E.间质原始干细胞【答案】C6、帕金森患者的震颤()A.常呈搓丸样B.注意力集中时消失C.无节律性D.可伴有"齿轮样强直"E.常从肢体近端开始发展【答案】A7、男性,45岁,呕血不止,烦躁,面色苍白,出冷汗,此时应首先做哪项处理A.快速输血B.快速补液C.口服去甲肾上腺素D.肌注立止血E.手术止血【答案】A8、HIV与感染细胞膜上CD4分子结合的病毒刺突是A.gp120B.gp41C.P24D.P17E.gpl60【答案】A9、用0.2%NaF溶液含漱防龋,应用的频率应该是__A.每天一次B.隔天一次C.每隔三天一次D.每周一次E.每月一次【答案】D10、间日疟的典型发作中,不存在A.前驱期B.寒战期C.高热期D.大汗期E.间歇期【答案】A11、免疫防龋中,抗体到达釉质表现可能性最大的途径是__A.血清~牙髓~釉质表面B.血清~唾液~釉质表面C.血清~龈沟液~釉质表面D.血清~粘膜表面~釉质表面E.以上机会均等【答案】C12、胸痛的性质可提示某种疾病,下列哪项正确()。
A.绞窄性痛-肺梗死B.闷痛-肺癌C.撕裂痛-带状疱疹D.刀割样痛-干性胸膜炎E.尖锐刺痛-心绞痛【答案】B13、一病人摔伤头部,左颞部着力,昏迷,左瞳孔散大,X线摄片示左颞骨折线跨过脑膜中动脉。
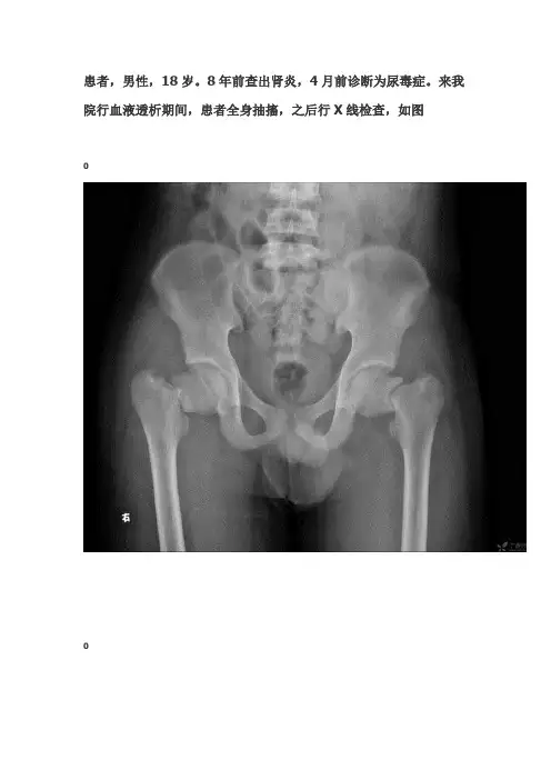
患者,男性,18岁。
8年前查出肾炎,4月前诊断为尿毒症。
来我院行血液透析期间,患者全身抽搐,之后行X线检查,如图诊断典型肾性骨病依据:1、男性,18岁。
8年前查出肾炎,4月前诊断为尿毒症。
来我院行血液透析期间,患者全身抽搐。
2、平片:双侧股骨颈骨折,股骨干颈角缩小,左肱骨外科颈骨折,左尺桡骨弯曲。
上述骨骼均显示密度下降。
肾性骨病可分为肾小球性骨营养不良和肾小管性骨营养不良。
肾小球性骨营养不良性肾性骨病多发于持久存在的尿毒症肾病患者,包括多囊肾、高血压肾病、下尿路梗阻引起的肾盂积水或肾盂肾炎、肾小球肾炎、肾病综合征等,其X线的表现为“以骨质软化症或佝偻病为主,常伴纤维性骨炎、软组织钙化和骨质硬化”。
肾小管性骨营养不良性肾性骨病则多由先天性肾小管功能缺陷引起,包括近曲及远曲肾小管病变,其X线的表现为“以骨软化、佝偻病为主,很少发生纤维囊性骨炎和骨硬化”。
肾性骨病进行缓慢,出现症状时已经是其晚期了,临床上以骨痛,骨折,骨变形为主要特征。
骨痛突发症状之一,常为全身性,好发于下半身持重部位(腰,背,髋,膝关节),运动或受压时加重,走路摇晃甚至不能起床。
病理性骨折多发于肋骨,其他部位也能由于轻微外力而引起骨折。
多见于低转运型和接受糖皮质激素治疗的肾移植患者,高运型少见。
成人易出现椎骨,胸廓和骨盆变形,重症患者引起身高缩短和换气障碍,称为退缩人综合症,小儿可发生成长延迟。
X线影像学表现:①骨骼变形,以两髋、两膝、两踝呈内翻或外翻畸形多见。
脊柱变形,骨盆变形,下肢骨关节变形;②骨质疏松;③骨质硬化。
见于椎体,长骨,骨盆。
影像学观察的表现为骨皮质和骨小梁增厚变粗,互相融合,呈局部的骨质增白区;④病理性骨折,可见于肋骨、股骨和腓骨远段;⑤软组织钙化,可见于肾实质内近肾盏旁,呈散小点状钙化和骨关节周围软组织钙化;⑥骨囊状透光区,可看到囊状透光区边缘锐利,透光区多为单发;⑦假骨折线,常为多发性,几乎两侧对称,出现部位:耻骨支,胫骨、股骨颈和肋骨;⑧长骨干骺端的改变。
内科学(医学高级):泌尿系统疾病三1、单选患者,男性,13岁,上呼吸道感染后2周出现颜面水肿、肉眼血尿,血压130/90mmHg,血补体下降,血肌酐130umol/L,引起该患者水肿的机制是()A.低蛋白血(江南博哥)症B.全身毛细血管通透性增高C.淋巴回流受阻D.ADH增高E.肾小球滤过率下降正确答案:E2、单选?患者,女性,50岁,畏寒,发热伴剧烈腰痛5天,T:39℃,左肾区明显叩痛,血WBC11.8×109/L,N80%,尿蛋白(+),尿WBC10/HP。
提示:患者尿培养为大肠埃希菌,抗感染治疗后效果不明显。
提问:最合理的治疗措施()A.积极对症治疗B.口服抗生素C.口服抗生素+碱性药物D.静脉联合抗生素+局部处理E.肌注抗生素5天,再口服3天正确答案:D3、单选下列关于α-酮酸的叙述不正确的是()A.使用α-酮酸可以减轻患者的蛋白质营养不良状况B.α-酮酸在体内可与氨结合合成相应的必需氨基酸C.α-酮酸的应用可减少血中尿素氮的水平D.α-酮酸的应用可减少血中肌酐的水平E.α-酮酸本身不含氮正确答案:D4、单选急性肾盂肾炎的基本病理改变属于()A.特异性炎症B.纤维素性炎症C.急性增生性炎症D.变态反应性炎症E.以上都不是正确答案:E5、单选患者,男,28岁,拟诊为慢性肾炎多年,发热、咽痛少尿1周,鼻出血1天入院。
体检:血压:180/105mmHg,血红蛋白50g/L,尿蛋白(+),大便隐血(±),血肌酐850μmol/L。
提示:患者院内血压持续升高,经应用硝苯地平缓释片、吲哚帕胺片等降压药物治疗血压未见明显下降。
提问:此时控制血压最好药物是()A.转换酶抑制剂B.α受体阻滞剂C.镇静剂D.β受体阻滞剂E.利尿剂正确答案:E6、单选下列哪项属狼疮危像()A.急进性狼疮性肾炎B.狼疮性脑病癫痫发作C.严重的溶贫D.严重的心肌损害E.以上均是正确答案:E7、单选患者,女,25岁,反复尿急、尿频、尿痛已3年,以尿频为甚,曾服四环素、多西环素各1周无效,多次尿细菌及结核菌培养均为阴性,尿常规未发现明显异常,泌尿系统检查已排除下尿路感染,本例的诊断为()A.膀胱炎B.慢性肾盂肾炎C.肾结核D.尿崩症E.尿频—排尿困难综合征正确答案:E8、单选急性肾炎的典型尿液表现()A.红细胞管型B.蛋白尿C.镜下血尿D.透明管型E.颗粒管型正确答案:A9、单选下列关于肾病综合征最具有特征的临床表现叙述错误的是()A.蛋白尿B.水肿C.血尿D.高脂血症E.低蛋白血症正确答案:C10、单选链球菌感染后急性肾小球肾炎与IgA肾病的根本不同是()A.链球菌感染史B.病程长短C.起病缓急D.尿检异常E.肾脏组织病变正确答案:E11、多选肾血管性高血压包括下列哪几种病因()A.肾动脉粥样硬化B.肾动脉肌纤维发育不良C.肾动脉多发动脉瘤D.多发性大动脉炎E.肾动脉内皮细胞颗粒变性正确答案:A, B, C, D12、单选急性肾炎的病因绝大多数与下列哪种微生物感染有关()A.乙肝病毒B.巨细胞病毒C.沙眼衣原体D.葡萄球菌E.β–溶血性链球菌正确答案:E13、多选尿毒症肾性骨病的原因,下述正确的是()A.骨质脱钙B.高血磷C.活性维生素D3生成增加D.甲状腺不良和低蛋白血征E.营养不良和低蛋白血征正确答案:A, B, D, E14、单选有利于急性肾炎诊断的血液生化改变是()A.血清C3暂时下降B.血浆蛋白明显下降C.血清胆固醇升高D.抗链“O”滴度升高E.血免疫球蛋白升高正确答案:A15、单选下列哪一项与系统性红斑狼疮诊断有关()A.脱发B.肌痛C.腹痛、恶心D.肝功能异常E.梅毒血清学试验假阳性正确答案:E16、单选下列哪项不是由肾缺血引起急性肾小管坏死的病因()A.大面积烧伤,大手术B.重症感染和败血症C.各种原因引起血管内溶血D.肾动脉狭窄E.上消化道大出血正确答案:C17、单选最简单、迅速、阳性率又高的诊断尿路感染的方法是()A.尿普通细菌培养B.尿高渗细菌培养C.尿沉渣涂片作革兰染色镜检D.亚硝酸盐还原试验E.确定尿中细菌的血清型正确答案:C18、单选关于肾小球肾炎的发病机制,目前认为关系最密切的是()A.免疫复合物损伤B.T淋巴细胞致敏C.机体免疫功能低D.抗体直接损伤E.B淋巴细胞致敏正确答案:A19、单选?一肾病综合征患者,全身水肿,尿少,尿蛋白++++,ALB15g/L,Hb100g,WBC2.O×109/L,N40%。
西医临床执业医师易错100题1、男,54岁,有胃溃疡病史,近几年因工作紧张患高血压:22/13.6kPa。
问最好选用哪种降压药__A.氢氯噻嗪B.可乐定C.卡托普利D.硝苯地平E.利血平【答案】B2、一新生儿36周,体重2000g,家长咨询,生后什么时间给予铁剂预防贫血A.生后1个月B.生后2个月C.生后3个月D.生后4个月E.生后5个月【答案】B3、关于ATP在能量代谢中的作用,哪项是错误的()A.直接供给体内所有合成反应所需能量B.能量的生成.贮存.释放和利用都以ATP为中心C.ATP的化学能可转变为机械能.渗透能.电能以及热能D.ATP对氧化磷酸化作用,是调节其生成E.体内ATP的含量很少,而转换极快【答案】A4、T细胞产生的细胞因子不包括A.IL-1B.IL-2C.IL-3D.IL-4E.IL-6【答案】A5、胃肠平滑肌收缩的幅度主要取决于A.动作电位的幅度B.动作电位的频率C.基本电节律的幅度D.基本电节律的频率E.静息电位的幅度【答案】B6、引起T淋巴细胞内白血病的病毒是A.HTLVB.HIVC.EBVD.HBVE.HPV【答案】A7、脊髓灰质炎病人应自起病日起至少隔离A.5天B.10天C.20天D.30天E.40天【答案】E8、急性阑尾炎最严重的并发症是A.阑尾穿孔腹膜炎B.门静脉炎C.膈下脓肿D.盆腔脓肿E.肠间脓肿【答案】B9、急性肝衰竭的治疗措施下,下列哪项不可取A.腹膜透析B.抗感染治疗C.利用甘露醇,降低颅内压D.限制水分摄入,调整电解质.酸碱失衡E.选用泻剂或乳果糖,限制蛋白摄入【答案】A10、病毒在下列哪种情况下可脱离免疫逃逸状态()。
A.病毒基因高频突变B.病毒急性感染期C.免疫抑制D.分子模拟E.干扰抗原提成【答案】B11、抢救巴比妥类药物急性中毒时,不适宜采取A.给氧,必要时人工呼吸B.给予催吐药C.碱化尿液D.通过胃管洗胃E.酸化尿液【答案】E12、外阴阴道假丝酵母菌病的主要感染方式是A.内源性感染B.性生活直接传播C.经接触感染衣物传播D.经血液传播E.垂直传播【答案】A13、尿毒症肾性骨病的原因,下述哪项错误A.甲状旁腺功能减退B.低蛋白血症和营养不良C.破骨细胞活性增强D.高磷血症E.活性维生素D合成障碍【答案】A14、目前HL的首选治疗方法是A.CHOP方案B.COP方案D.ABVD方案E.DVLP方案【答案】D15、正确处理医务人员之间关系的思想基础是A.共同维护病人利益和社会公益B.彼此平等.互相尊重C.彼此独立.互相支持和帮助D.彼此信任.互相协作和监督E.互相学习.共同提高和发挥优势【答案】A16、重度营养不良患儿调整饮食,每日开始供给的热量应是A.30kcal/kgB.40kcal/kgC.50kcal/kgD.60kcal/kgE.70kcal/kg【答案】B17、女,26岁。
西医临床执业医师易错100题1、脑血栓形成患者出现运动性失语是病变损害了()A.优势半球额中回后部B.优势半球中央前回下部C.优势半球角回D.优势半球额下回后部E.颞上回后部【答案】D2、克雷伯杆菌肺炎的X线表现出现叶间隙下坠,其原因是A.细菌在细胞内生长繁殖,引起组织坏死.液化形成B.病变中的炎性渗出液粘稠而重C.肺泡内的渗出液由Cohn氏孔向周围肺泡蔓延所致D.肺泡内的纤维蛋白渗出较多E.肺泡内的渗出含有较多的红白细胞【答案】B3、抢救急性肺水肿的药物中哪个不可以用A.依那普利B.利尿剂C.硝普钠D.吗啡E.氨茶碱【答案】A4、患者下楼出现复视,查左眼向下向外运动受限,双瞳孔等大同圆,对光反射存在,病损部位()A.左动眼神经B.左滑车神经C.左三叉神经眼支D.左外展神经E.左视神经【答案】B5、用0.2%NaF溶液含漱防龋,应用的频率应该是__A.每天一次B.隔天一次C.每隔三天一次D.每周一次E.每月一次【答案】D6、患儿,6岁。
低热,乏力半月余,头痛,呕吐1周,体检:精神不振,颈强(+),克氏征(+),疑结核性脑膜炎,做脑脊液检查,下列哪项检查最具灵敏性和特异性()。
A.抗结核抗体B.聚合酶链反应(PCR)C.脑脊液糖及氯化物测定D.脑脊液细胞数及分类E.脑脊液淋巴细胞亚群【答案】B7、一生长发育正常儿童,经左腕部X光检查发现腕部有2枚骨化核,估计其可能的年龄为A.1岁B.2岁C.3岁D.4岁E.5岁【答案】A8、成年男性,三月来双下肢无力,双下肢麻木逐渐发展到腰部,背后疼痛且咳嗽时加剧。
查体左半侧T8下痛温觉消失;右下肢肌力Ⅲ度,腱反射亢进,Babinski征阳性,右下肢足趾振动觉、位置觉消失。
可能的诊断为A.T8附近脊髓髓内病变B.左T8附近脊髓髓外病变C.右T8附近脊髓髓外病变D.T8附近脊髓休克性病变E.右T8附近脊髓髓内病变【答案】E9、女性,42岁,腹泻7年,4——5次/分,间断便血,有腹痛-便意-便后缓解的规律,曾在某医院诊断为溃疡性结肠炎,本次结肠镜检查:粘膜光滑,血管纹理清晰,诊断应为()。