常见心脏疾病的X线影像XR诊断
- 格式:ppt
- 大小:2.79 MB
- 文档页数:66
【建议收藏】X线解读(101图)有什么特殊需求,请于公众号留言,无偿帮助!有图有解析!照片名称:高血压心脏病照片名称:风心病,梨型心照片名称:胸腔积液照片名称:胸椎压缩性骨折照片名称:左侧胸腔积液照片名称:左肱骨骨折照片名称:消化道穿孔照片名称:正常胸片照片名称:右胫腓骨骨折照片名称:右肺炎照片名称:右侧胸腔积液照片名称:大叶性肺炎照片名称:右侧气胸照片名称:右中叶肺炎照片名称:右上肺炎照片名称:食管裂孔疝x线表现照片名称:输尿管结石照片名称:附睾及睾丸结核钙化照片名称:静脉尿路造影照片名称:食管裂孔疝x线表现照片名称:输尿管结石照片名称:输尿管结石照片名称:薄壁空洞照片名称:膀胱癌照片名称:胸锁乳突肌和锁骨上皮肤皱褶照片名称:膀胱癌照片名称:膀胱癌照片名称:膀胱癌照片名称:胸膜肥厚粘接钙化照片名称:胸腔少量积液照片名称:胆囊结石照片名称:肿块照片名称:肾结石照片名称:肾结核照片名称:肾盂积水照片名称:肺部病变-增值照片名称:肺部病变空洞照片名称:肺门增大照片名称:肾性骨营养不良照片名称:肺转移瘤照片名称:肺炎—右肺支气管扩张照片名称:空腔照片名称:胸内甲状腺肿照片名称:肺内钙化照片名称:液气胸的x线表现照片名称:液气胸照片名称:浸润性肺结核照片名称:法氏四联症照片名称:正常肺动脉造影照片名称:正常肺纹理照片名称:气胸照片名称:正常乳房影照片名称:正常胸片照片名称:支气管肺炎照片名称:正常纵隔照片名称:慢性肺源性心脏病照片名称:慢性肺脓肿照片名称:慢性纤维空洞型肺结核照片名称:恶性淋巴瘤照片名称:平滑肌肉瘤照片名称:肺气肿局部放大照片名称:心包积液照片名称:急性粟粒型肺结核照片名称:干酪性肺炎照片名称:左胸腔包裹积液照片名称:左前斜位照片名称:左上叶下舌段肺癌——空洞照片名称:子宫输卵管造影照片名称:子宫输卵管造影照片名称:室间隔缺损照片名称:局限性纤维化照片名称:子宫输卵管造影照片名称:子宫输卵管造影照片名称:子宫输卵管造影照片名称:大量胸腔积液照片名称:叶间积液照片名称:大叶性肺炎照片名称:大叶肺炎-消散期照片名称:大叶肺炎-实变期照片名称:右肺下叶中心型肺癌伴纵膈淋巴结转移照片名称:右股骨正侧位x线片照片名称:右前斜位照片名称:右中叶肺不张(侧位)照片名称:卧位胸腔积液照片名称:右上叶不张照片名称:先天性心脏病照片名称:乙状结肠扭转照片名称:正常心脏照片名称:中心型肺癌肺内转移照片名称:右上肺炎照片名称:右侧气胸照片名称:右侧胸腔积液照片名称:右肺炎照片名称:右胫腓骨骨折照片名称:大叶性肺炎照片名称:左侧胸腔积液照片名称:左肱骨骨折照片名称:消化道穿孔照片名称:胸椎压缩性骨折照片名称:风心病,梨型心规培之声公众号住院医师规范化培训大纲免费领取!。
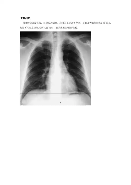
正常心脏双肺野透过度正常,血管纹理清晰,肺内未见异常密度区。
心脏及大血管影在正常范围,心脏各弓形态正常,心胸比值50%。
膈肌光整,肋膈角锐利。
先天性心脏病房间隔缺损房间隔缺损居先天性心脏病发病率第2位、其血流动力学改变为左右分流,肺充血,右房右室增大。
血液分流大小缺损大小、两心房压差及肺动脉阻力有直接关系。
临床表现为活动后呼吸困难、反复呼吸道感染及心力衰竭等。
听诊于胸骨左缘第2-——--3肋间可闻及2———3及收缩吹风期吃风样杂音,肺动脉瓣区第2音固定分裂.小的房间隔缺损可表现为肺血和心影无明显变化,此时应注意结合心脏听诊情况。
房间隔缺损典型征象为:肺血增多,心脏呈二尖瓣型,右心房及右心室增大。
透视下可见肺门血管搏动增强,有肺门舞蹈表现,房间隔缺损伴有重度肺动脉高压时,肺动脉呈瘤样徒出,主肺动脉高度扩张,外周肺动脉分支变细、稀疏,形成残根状改变,此时右心室增大为主,右心房增大反而不明显.室间隔缺损是最常见的先天性心脏病之一。
根据缺损的部位,室间隔缺损可分为3类:膜周部,漏斗部及肌部。
本病的血流动力学改变因缺损的大小及体,肺动脉阻力不同而有教大差别.一般为心室水平的左向右分流,小的缺损可对心肺功能无明显影响,中到大量左向右分流,可出现双室增大,肺动脉高压,当肺动脉压进一步升高,接近或超过动脉则出现双向分流乃至右向左为主的分流,临床出现发绀,称为艾森门综合征。
本病常见症状为心慌气短,活动受限,易患呼吸道感染.听诊胸骨左缘3---—4肋间可闻及收缩期杂音。
典型室间隔缺损,肺血增多,心影呈二尖瓣型,主动脉结缩小,肺动脉段中至高度凸出,肺动脉扩张,左,右心室增大,以左心室增大为主。
注意与房间隔缺损鉴别,后者以右心房,右心室大为主,左室不增大.室间隔缺损双侧心室大与动脉导管未闭相似,但前者主动脉缩小;后者主动脉结宽,可有漏斗征。
动脉导管未闭是最常见的先天性心脏病之一,约占先天性心脏病的20%。
在胎儿时期,动脉导管为连接主动脉弓远端和左肺动脉根部的正常血管结构,是胎儿期血液循环的主要通路.出生15-——20小时后动脉导管功能性关闭并逐渐退化为动脉导管韧带,持续不闭者则形成动脉导管未闭。
先天性心脏病简称先心病,临床上常根据有无紫绀分为紫绀型和非紫绀型两种。
但从X线诊断学的角度上,一般先从肺血管是否正常?充血或少血进行分类。
肺血管正常的先心病包括无其它畸形的单纯右位心,右侧主动脉弓,迷走锁骨下动脉及主动脉缩窄等。
肺少血常见于肺动脉狭窄及法乐氏四联症。
肺充血则见于左到右分流的先心病,其中常见为房间隔缺损、室间隔缺损及动脉导管未闭等。
一、房间隔缺损(Auricular septal defect,简称房缺,ASD)房间隔缺损是常见的先天性心脏病,分原发孔和继发孔,以后者多见。
在通常情况下左心房压力高于右心房,因此房缺是左向右的分流,使右房、右室和肺动脉血流量增加,致肺充血、右房、室增大。
一般肺动脉压力正常或轻度升高。
显著的肺动脉高压多发生在成年,并可导致双向或右向左的分流。
临床上为晚发性紫绀。
X线征(图4-13):后前位:心脏呈“二尖瓣”型。
主动脉结小,肺动脉段凸出较明显,右房室增大,右房段延长(右心房/心高比值0.50)两肺充血。
左前斜位:心前缘上段向前隆凸,有时与右室段呈“成角现象”,右心室向前圆隆。
二、室间隔缺损(Ventricular septal defect,简称室缺,VSD)室缺分为膜部和肌部缺损,以膜部缺损多见,如缺损小分流量少,心肺改变不大或仅有左室轻度增大,应结合临床体征确诊。
缺损大,有中~大量左向右分流,可引起左、右心室增大,左房轻度增大,肺充血,主动脉结正常缩小。
由于大量分流肺循环阻力升高,右心室负荷加重,引起肺循环高压时则出现双向或右向左分流,临床出现晚发性紫绀。
X线征(图4-14)图4-13 房间隔缺损,并发肺循环高压图4-14 室间隔缺损并发肺循环高压后前位:缺损小分流量少,心肺多属正常。
缺损大分流量多,心脏呈“二尖瓣”型,主动脉结正常或缩小,肺动脉段凸出,左室变圆隆,肺充血。
右前斜位:心前下间隙变小或消失。
心后缘左心房轻度增大。
左前斜位:左、右心室增大,如有肺动脉高压则以右室增大为主,显示心前下缘变圆隆,膈面增宽。