胸部基础断面解剖
- 格式:ppt
- 大小:8.89 MB
- 文档页数:62
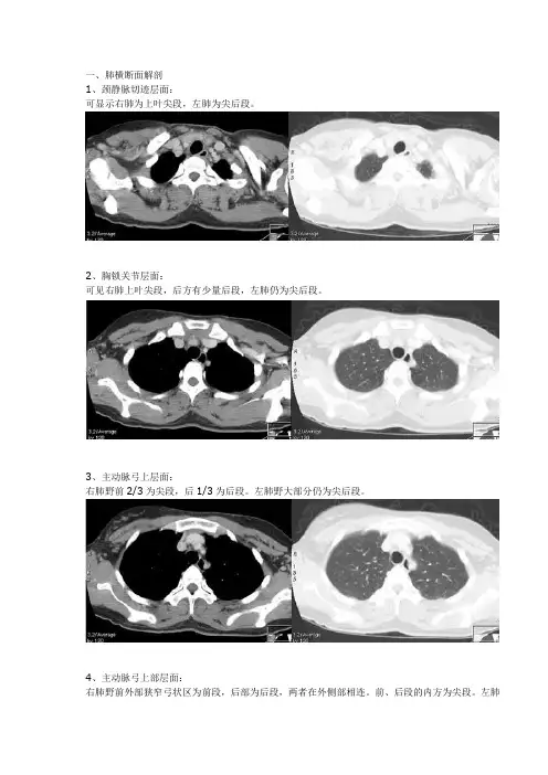
一、肺横断面解剖1、颈静脉切迹层面:可显示右肺为上叶尖段,左肺为尖后段。
2、胸锁关节层面:可见右肺上叶尖段,后方有少量后段,左肺仍为尖后段。
3、主动脉弓上层面:右肺野前2/3为尖段,后1/3为后段。
左肺野大部分仍为尖后段。
4、主动脉弓上部层面:右肺野前外部狭窄弓状区为前段,后部为后段,两者在外侧部相连。
前、后段的内方为尖段。
左肺野前1/3为前段,中后部大部分为尖后段,尖后段后方边缘已出现少许下叶背段。
5、主动脉弓层面:右肺野前后部分分别为前、后段占据,尖段占内侧中部很小区域。
左肺野前段及背段范围扩大,尖后段所占据范围缩小。
6、主肺动脉窗层面:右肺野前部为前段,中为后段,后为背段,而尖段已无。
左肺野前为前段,中为尖后段,后为背段。
7、右肺动脉层面:右肺野后方背段范围扩大,约占前后径的2/5。
中部后段范围变小,而前段范围扩大。
左肺野的中部为上舌段,前方为前段,后方为背段。
尖后段已无。
8、左心房上部层面:右肺野后方大部分为背段,中部为中叶外侧段,前外部为前段,前内部为中叶内侧段。
左肺后部为背段,前外侧为上舌段,前内部为前段,靠近肺门前方的为下舌段。
9、左心房层面(中部偏上):右肺野前半部为中叶,中叶前内侧部分为内侧段,中叶的后外部分为外侧段。
右肺后部偏内侧为背段。
右肺野中部可见前、外基底段,前基底段位于中叶外段后方,外基底段位于背段的前方。
此层面上右肺5个肺段的底面全位于肋缘,并由前到后依次排列,其尖部全指向肺门。
左肺野前半部为舌叶,下舌叶占据舌叶前内大部分,上舌叶窄小,位于前外侧部。
左肺野后1/3为背段。
舌段和背段之间为前内基底段。
10、左心房中部层面:见双侧肺静脉进入左心房后壁。
右肺野前部中叶,分别见内、外侧段。
中叶几乎占据右肺野的前半部,后部偏内为背段。
中部已见前、外基底段。
左肺野前半部为舌叶,前内大部分为下舌段。
左肺野后1/3为背段,它的前方为前内基底段。
11、心室层面:右肺野肺门旁已出现内基底段,其余部分同上一层面。