六种常见细菌16SrDNA基因的RFLP指纹图谱检测方法的建立
- 格式:pdf
- 大小:1.14 MB
- 文档页数:6
一、基因组提取及电泳检测1.基因组提取过程:按照生工SK1201-UNIQ-10 柱式细菌基因组DNA抽提试剂盒说明书提取。
说明书附见SK1201.PDF文档。
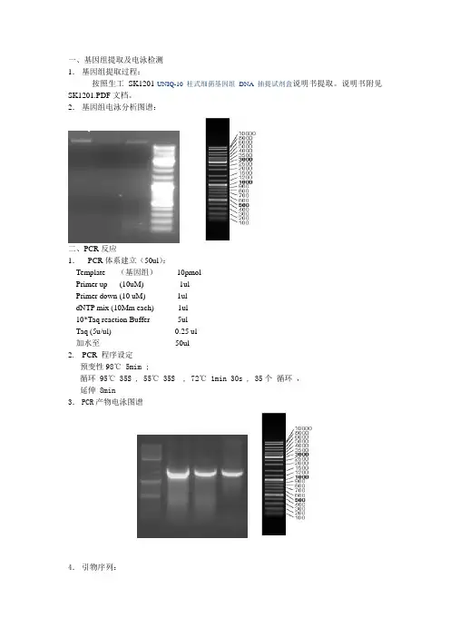
2.基因组电泳分析图谱:二、PCR反应1.PCR体系建立(50ul):Template (基因组)10pmolPrimer up (10uM) 1ulPrimer down (10 uM) 1uldNTP mix (10Mm each) 1ul10*Taq reaction Buffer 5ulTaq (5u/ul) 0.25 ul加水至50ul2.PCR 程序设定预变性98℃ 5mim ;循环 95℃ 35S , 55℃ 35S , 72℃ 1min 30s , 35个循环,延伸 8min3.PCR产物电泳图谱4.引物序列:27f 5’AGAGTTTGA TCCTGGCTCAG 3 ‘ 20bp1492r 5’ GGTTACCTTGTTACGACTT 3’ 19bp三、DNA琼脂糖切胶纯化由PCR产物电泳结果切割所需DNA目的条带,纯化方式见附见说明书SK1131胶回收PDF文档.四、DNA 测序(见测序图谱)五、主要实验仪器PCR反应扩增仪(加拿大BBI公司);3730测序列分析仪( 美国ABI 公司)SW-CJ-1D洁净工作台(江苏苏洁净化设备厂);DK-8D型电热恒温水槽(上海森信实验仪器有限公司);DYY-8型稳压稳流电泳仪(上海琪特分析仪器有限公司);YXJ-2离心机(湘仪离心机仪器有限公司)H6-1微型电泳槽(上海精益有机玻璃制品仪器厂);凝胶成像系统(Gene Genius公司),U-3010紫外-可见分光光度计(Hitachi公司);移液器(范围100-1000μl,20-200μl,0.5-10μl)(加拿大BBI公司);。
16SrDNA鉴定菌株的标准操作规程1.适用范围本标准规定了通过特定引物对细菌的16SrDNA片段进行PCR扩增,然后对扩增片段进行序列分析比对,快速获得细菌种属信息的操作规程。
本标准适用于未知细菌的快速种属分析,以及为细菌的生化鉴定提供指导信息。
2.方法和原理16SrDNA鉴定是指用利用细菌16SrDNA序列测序的方法对细菌进行种属鉴定。
包括细菌基因组DNA提取、16SrDNA特异引物PCR扩增、扩增产物纯化、DNA 测序、序列比对等步骤。
是一种快速获得细菌种属信息的方法。
细菌rRNA(核糖体RNA)按沉降系数分为3种,分别为5S、16S和23S rRNA。
16S rDNA是细菌染色体上编码16S rRNA相对应的DNA序列。
16S rDNA由于大小适中,约1.5Kb左右,既能体现不同菌属之间的差异,又能利用测序技术较容易地得到其序列,故被细菌学家和分类学家接受。
在16S rRNA 分子中,可变区序列因细菌不同而异,恒定区序列基本保守,所以可利用恒定区序列设计引物,将16S rDNA片段扩增出来,利用可变区序列的差异来对不同菌属、菌种的细菌进行分类鉴定。
16SrDNA序列的前500bp序列变化较大,包含有丰富的细菌种属的特异性信息,所以对于绝大多数菌株来说,只需要第一对引物测前500bp序列即可鉴别出细菌的菌属。
针对科学论文发表或是前500bp无法鉴别的情况,需要进行16SrDNA 的全序列扩增和测序,得到较为全面的16SrDNA的序列信息。
由于测序仪一次反应最多只能测出700bp的有效序列,为了结果的可靠性,3.设备和材料3.1器材移液器(1000μL、200μL 、100μL、10μL);涡旋振荡器;Eppendorf MixMate;离心机;水浴锅;电泳仪;制冰机;低温冰箱;PCR仪:Veriti 96 Well ThermalCycler ; 凝胶成像仪:VersaDoc MP 4000;基因分析仪:AB3500、AB3130 3.2 试剂DNA 快速提取试剂:PrepMan Ultra ;琼脂糖;PCR 试剂:Taq 酶,10×Taq Buffer(Mg 2+),dNTPs ,ddH 2O 等; ExoSAP-IT ;测序试剂:BigDye Terminator ,5×Sequencing Buffer ;BigDye XTerminator Purification Kit ; 3.3 耗材移液器吸头:1000μL 、200μL 、10μL ;离心管:1.5mL 、200μL ;Micro Amp TM Optical 96-Well Reaction Plate ;Micro Amp TM Optical Adhesive Film ; 3.4 引物16SrDNA 名称 序列扩增长度 第1部分正向引物27F 5'-AGA GTT TGA TCC TGG CTC AG-3' 500 bp 左右反向引物519R 5'- GWA TTA CCG CGG CKG CTG -3' 第2部分 正向引物357F 5'- CTC CTA CGG GAG GCA GCA G-3' 750bp 左右反向引物1115R 5'-AGG GTT GCG CTC GTT GC-3' 第3部分 正向引物926F 5'- AAA CTY AAA KGA ATT GAC GG-3' 560 bp 左右反向引物1492R5'-TAC GGC TAC CTT GTT ACG ACT T-3'4. 操作流程5. 实验方法5.1 核酸提取:挑取单菌落,然后置于装有100μLPrepMan Ultra 的离心管中,涡旋震荡混匀30s 左右,然后100℃水浴10min 后,以离心机最大转速离心3min ,取10μL 上清液与490μL ddH 2O (即稀释50倍),混匀作为下步PCR 的模板DNA 。
16S rDNA鉴定细菌的方法细菌16S rDNA鉴定主要分为7个部分:1.提取细菌基因组DNA,2.设计/选择引物进行PCR扩增,电泳检测纯度与大小。
3.琼脂糖凝胶电泳分离4.胶回收目的片段5.目的片段测序。
6.BLAST比对获取相似片段。
7.构建系统进化树试剂:1、培养基:通常选择组分简单且细菌生长良好的培养基(培养基组分过于复杂会影响DNA 的提取效果,也可以在裂解细菌前用TE缓冲液对菌体进行洗涤。
)。
2、1M Tris-HCl (pH7.4, 7.6, 8.0)(1L):121.1g Tris,加浓盐酸约(70ml, 60ml, 42ml),高温高盐灭菌后,室温保存。
冷却到室温后调pH,每升高1℃,pH大约下降0.03个单位。
3、0.5M EDTA(pH8.0)(1L):186.1g Na2EDTA•2H2O,用NaOH调pH至8.0(约20g),高温高压灭菌,室温保存。
4、10×TE Buffer(pH7.4,7.6,8.0)(1L):组分:100 mM Tris-HCl,10 mM EDTA。
1M Tris-HCl (pH7.4,7.6,8.0)取100ml,0.5M EDTA(pH8.0)取20ml。
高温高压灭菌,室温保存。
1×TE Buffer用10×TE Buffer稀释10倍即可。
5、10%SDS(W/V):称10g,68℃加热溶解,用浓盐酸调pH至7.2。
室温保存。
用之前在65℃溶解。
配置时要戴口罩。
6、5M NaCl:称292.2gNaCl,高温高压灭菌,4℃保存。
7、CTAB/NaCl(10%CTAB,0.7M NaCl):溶解4.1g NaCl,加10g CTAB(十六烷基三甲基溴化铵),加热搅拌。
用之前在65℃溶解。
8、氯仿/异戊醇:按氯仿:异戊醇=24:1(V/V)的比例加入异戊醇。
9、酚/氯仿/异戊醇(25:24:1):按苯酚与氯仿/异戊醇=1:1的比例混合Tris-HCl平衡苯酚与氯仿/异戊醇。
中国水产科学 2011年3月, 18(2): 451-457 Journal of Fishery Sciences of China研究简报收稿日期: 2010-06-17; 修订日期: 2010-07-29.基金项目: 国家科技支撑计划项目(2009BAB44B02); 广东省海洋渔业科技项目(A200899E02, A200901E01); 广东省科技计划项目(2007A020300007-15); 广东省省院合作计划项目(2009B091300155); 广西自治区重点科技项目(桂科攻0815006-2).作者简介: 文菁(1982-), 男, 讲师, 主要从事海参种质资源及水产养殖研究. E-mail: jw82123@ 通讯作者: 胡超群, 研究员, 博士生导师. E-mail: cqhu@DOI: 10.3724/SP.J.1118.2011.0045116种商品海参16S rRNA 的PCR-RFLP 鉴定方法文菁1,2, 胡超群2, 张吕平2, 范嗣刚21. 湛江师范学院 生命科学与技术学院, 广东 湛江 524048;2. 中国科学院 南海海洋研究所, 中国科学院海洋生物资源可持续利用重点实验室, 广东省应用海洋生物学重点实验室, 广东 广州 510301摘要: 基于570 bp 左右的线粒体16S rRNA 基因片段, 利用3种核酸内切酶(Dde I, Hae III 和Sty I)对16种海参PCR 产物进行酶切, 分别产生10种、5种和5种单倍型, 通过单倍型的组合, 即能有效区分16种海参的种类。
运用此方法对19种商品海参(包括冻品和干品)进行鉴定, 结果表明, 9种产品属于错误贴标。
本研究建立的PCR-RFLP 方法方便、有效, 可靠, 可为海参产品评估、进出口种类鉴定提供实用高效的方法。
本研究旨在为市场海参产品贴标情况的评估提供技术支撑。
[中国水产科学, 2011, 18(2): 451-457] 关键词: 海参; 16S rRNA 基因; PCR-RFLP; 鉴定方法中图分类号: Q178.53 文献标识码: A 文章编号: 1005-8737-(2011)02-0451-07海参属于棘皮动物门(Echinodermata)、海参纲(Holothuroidea)。
幽门螺杆菌16S rDNA指纹图和PCR-RFLP基因分型研究李倩;代敏;段广才;郗园林;范清堂【期刊名称】《中国人兽共患病学报》【年(卷),期】2003(019)001【摘要】目的探讨我国幽门螺杆菌(Helicobacter pylori,Hp)的基因多态性及其与相关疾病之间的关系.方法应用PCR掺入法制备16S rRNA基因探针,建立16S rDNA指纹图技术和尿素酶C(ureC)基因的PCR-RFLP法,并结合统计学软件进行聚类分析,对临床分离的14株Hp进行基因分型.结果 14株Hp的16S rDNA指纹图谱显示10个HaeⅢ杂交带型和12个HindⅢ杂交带型;ureC基因的变异度较小,14株Hp中有12株PCR-RFLP图谱完全一致.通过杂交结果示意图和SPSS10.0软件进行聚类分析,HaeⅢ、HindⅢ及两种酶杂交结果的综合,均将14株Hp分为两型.两种方法结果综合进行聚类分析,14株Hp在基因水平上分为三型.结论差异显著的DNA指纹图谱说明了不同Hp菌株间基因组结构的高度变异性.16S rDNA指纹图谱较ureC基因的PCR-RFLP谱型更敏感地表达Hp各菌株的变异,可准确有效地对Hp作出基因分型.未发现Hp菌株间有特异的疾病图谱存在.【总页数】4页(P72-75)【作者】李倩;代敏;段广才;郗园林;范清堂【作者单位】华中科技大学同济医学院公共卫生学院,武汉,430030;郑州大学医学院公共卫生学院;郑州大学医学院公共卫生学院;郑州大学医学院公共卫生学院;河南省分子医学重点学科开放实验室【正文语种】中文【中图分类】R735.2【相关文献】1.会泽铅锌尾矿区豆科植物根瘤菌的耐铅锌及16S rDNA PCR-RFLP研究 [J], 缪福俊;熊智;李彪;龚秀会;孙浩2.分离自补骨脂等宿主根瘤的24株菌的数值分类和16S rDNA PCR-RFLP 研究[J], 郝云婕;王孟兆;刘磊;韩素贞3.木本豆科植物根瘤菌16S rDNA的PCR-RFLP研究 [J], 黄莉莉;张宇;韩素芬;韩正敏4.柑橘黄龙病菌亚洲种16S rDNA和16S-23S rDNA间隔区的PCR-RFLP及序列分析 [J], 鹿连明;姚锦爱;张利平;胡秀荣;黄振东;陈国庆5.用PCR-RFLP和16S rDNA指纹图法分析幽门螺杆菌基因型 [J], 龙敏;龙北国;芮勇宇;侯南平;罗军因版权原因,仅展示原文概要,查看原文内容请购买。
16SrDNA鉴定菌株的标准操作规程1.适用范围本标准规定了通过特定引物对细菌的16SrDNA片段进行PCR扩增,然后对扩增片段进行序列分析比对,快速获得细菌种属信息的操作规程。
本标准适用于未知细菌的快速种属分析,以及为细菌的生化鉴定提供指导信息。
2.方法和原理16SrDNA鉴定是指用利用细菌16SrDNA序列测序的方法对细菌进行种属鉴定。
包括细菌基因组DNA提取、16SrDNA特异引物PCR扩增、扩增产物纯化、DNA测序、序列比对等步骤。
是一种快速获得细菌种属信息的方法。
细菌rRNA(核糖体RNA)按沉降系数分为3种,分别为5S、16S和23SrRNA。
16SrDNA是细菌染色体上编码16SrRNA相对应的DNA序列。
16SrDNA由于大小适中,约1.5Kb左右,既能体现不同菌属之间的差异,又能利用测序技术较容易地得到其序列,故被细菌学家和分类学家接受。
在 16SrRNA 分子中,可变区序列因细菌不同而异,恒定区序列基本保守,所以可利用恒定区序列设计引物,将16SrDNA片段扩增出来,利用可变区序列的差异来对不同菌属、菌种的细菌进行分类鉴定。
16SrDNA序列的前500bp序列变化较大,包含有丰富的细菌种属的特异性信息,所以对于绝大多数菌株来说,只需要第一对引物测前500bp序列即可鉴别出细菌的菌属。
针对科学论文发表或是前500bp无法鉴别的情况,需要进行16SrDNA的全序列扩增和测序,得到较为全面的16SrDNA的序列信息。
由于测序仪一次反应最多只能测出700bp的有效序列,为了结果的可靠性,通常将16SrDNA全页脚内容1长序列分成3部分进行测序。
3.设备和材料1.1器材移液器(1000μL、200μL、100μL、10μL);涡旋振荡器;Eppend orfMixMate;离心机;水浴锅;电泳仪;制冰机;低温冰箱;PCR仪:Veriti96WellThermalCycl er;凝胶成像仪:VersaDocMP4000;基因分析仪:AB3500、AB31301.2试剂DNA快速提取试剂:PrepManUltra;琼脂糖;PCR试剂:Taq酶,10×TaqBuffer(Mg2+),dNTPs,d dH2O等;ExoSAP-IT;测序试剂:BigDyeTerminator,5×SequencingBuffer;BigDyeXTerminatorPurificationKit;1.3耗材移液器吸头:1000μL、200μL、10μL;离心管: 1.5mL、200μL;页脚内容2MicroAmp TM Optical96-WellReactionPlate;MicroAmp TM OpticalAdhesiveFilm;1.4引物16 SrDNA 名称序列扩增长度第1部分正向引物27F5'-AGAGTTTGATCCTGGCTCAG-3'500bp左右反向引物519R5'-GWATTACCGCGGCKGCTG-3'第2部分正向引物357F5'-CTCCTACGGGAGGCAGCAG-3'750bp左右反向引物1115R5'-AGGGTTGCGCTCGTTGC-3'第3部分正向引物926F5'-AAACTYAAAKGAATTGACGG-3'560bp左右反向引物1492R5'-TACGGCTACCTTGTTACGACTT-3'其中M=C:A,Y=C:T.K=G:T,R=A:G,S=G:C.W=A:T;all1:1页脚内容3页脚内容44. 操作流程1.5核酸提取:挑取单菌落,然后置于装有100μLPrepManUltra 的离心管中,涡旋震荡混匀30s 左右,然后100℃水浴10min 后,以离心机最大转速离心3min ,取10μL 上清液与490μL d dH 2O (即稀释50倍),混匀作为下步PCR 的模板DNA 。
首都师范大学学报(自然科学版)第25卷 专集2004年12月Journal of Capital N ormal University(Natural Science Edition )V ol.25Dec. 2004细菌种特异性的16S rDNA 寡核苷酸探针数据库的初步构建3蔡正求1 宋 未133 东秀珠2(11首都师范大学生物系,北京 100037;21中国科学院微生物研究所,北京 100080)摘要 核酸二级数据库是生物信息学研究的重要领域,对生命科学的研究和发展起重要作用.目前,国际核酸序列公共数据库中存在大量的细菌16S rDNA 序列,本文利用这些已知细菌的16S rDNA 序列,设计了细菌种特异性的寡核苷酸探针,将其结果存入二级数据库,以计算机网络为载体,开发了界面友好的通过WWW 浏览器实现对数据库查询的系统,其查询结果形象直观,为设计细菌的种特异性寡核苷酸探针提供了参考和帮助,从而可加速对细菌分类及鉴定的进程.关键词:细菌,种特异性,16S rDNA ,寡核苷酸探针,二级数据库.中图分类号:Q 52;TP 3111132收稿日期:20042112033国家自然科学基金资助项目(批准号:30170035,30370032);北京市自然科学基金资助项目(批准号:5012004);北京市重点学科资助项目.33通讯作者.T el :86210268902044E 2mail :s ongwei @ 生物信息学是近年来生命科学与计算机科学、信息学及应用数学交叉融合而衍生出的新兴边缘学科.随着人类基因组计划等大型国际项目的实施,生物信息学的研究开发和应用已经成为当前一个前沿领域和研究热点.DNA 序列测定技术的完善和应用,使核酸序列数据库迅速增长.国际上著名的三大核酸序列数据库(E M BL G enBank 和DDB J )的数据量以指数曲线增长,并为其他生物学数据库的建立提供了丰富完善的资源.但这些数据库提供的仅仅是未加工的原始数据,我们称之为一级数据库.这些一级数据库中存在大量的冗余信息,用于解决特殊生物学问题的信息难以提取.二级数据库是根据研究任务的需要,通过搜索.查询已知数据库的信息进行加工整理,构建专用的数据库[1].以一级数据库为基础,将它们按照不同使用者的要求,采用计算机技术,归纳、提炼、整理、加工和构建具有特殊生物学意义和专门用途的二级数据库对于生物学研究意义更大.rDNA 分子在生物体中普遍存在,生物细胞rDNA 分子的一级结构中既具有保守的片段,又具有变化的碱基序列[2].保守的片段反应了生物物种间的亲缘关系,而高变片段则能表明物种间的差异,那些保守的或高变的特征性核苷酸序列则是不同分类级别生物(如科、属、种)鉴定的分子基础.因此可根据rDNA 序列设计用于某一种、属、科甚至更大类群范围的微生物的检测或鉴定的探针[3].近几年来,以16S rDNA 为靶分子的PCR 引物或杂交探针已用于很多细菌的快速鉴定,它已成为细菌系统发育分析及鉴定的最有效和最常用的分子指标[4].随着计算机网络技术的迅速发展,很多分子生物数据库提供网上查询服务.目前网上分子生物信息数据库的总数已达400多个.有关寡核苷酸探针的对外提供查询的专门数据库有两个,分别是Michigan State University 的寡核苷酸探针数据库(http ://w w /OPD/)和Ribos omal Database Project (RDP )数据库(http ://rdp.cme.msu.edu/html/)这两个数据库在应用分子生物学领域提供设计和使用寡核苷酸探针的资料和核糖体相关的数据服务,包括在线数据分析,基于rRNA 的系统发育树的构建以及排列和注释rRNA 序列.但国内外还没有提供细菌种特异性的寡核苷酸探针及其设计的专门数据库.1 材料和方法111 准备数据库系统开发环境采用基于PC/Linux 的数据库及程序开发环境,在PC 机上安装Linux 操作系统及其它一些软件.PC 机为方正电脑,其配置为Intel CPU210GH z/内存256M B/60G I DE 硬盘.操作系统采用RedHat Linux810,数据库管理系统使用MyS Q L ,编程语言采用Perl ,Web 开发软件为dream weaver.112 数据库的构建图1 数据库中多序列排列结果数据格式数据库总体上是基于关系数据库模式构建,共包括细菌名称表(mainprobe )、部分序列排列表(Partial -seq -align )和无种特异性的16S rDNA 寡核苷酸探针的细菌名称表(nonprobe ).细菌名称表包含细菌名称(Bacname ),细菌的特异性寡核苷酸序列(Probe sequences )和编号(I D ).部分序列排列表包含细菌的编号(I D )和其特异性寡核苷酸序列所对应的部分序列排列结果(Partial -seq -align ).无种特异性的16S rDNA 寡核苷酸探针的细菌名称表包含细菌的编号(I D )和名称(name ).113 数据搜集及处理以美国国立生物医学信息中心(NC BI )的G enbank 为数据库源,输入关键词“细菌属名16S r ”进行查询[6,7],得到同一个属内所有种的细菌16SrDNA 序列,以fasta 格式显示查询结果,选择长度在800bp 以上的序列以fasta 格式保存为文本文件.利用clustal X 软件进行多序列对位排列,找到能反应细菌种的特异性序列[8,9],使用Bioedit 软件对排列后的序列进行编辑,选择符合以下要求的序列[10]:(1)长度在15~50bp 之间,较短探针特异性较差,较长则增加非特异性杂交;(2)碱基成分为G+C m ol 含量在40%~60%之间,超出此范围会增加非特异性杂交;(3)序列内不存在互补区,即不含有大于4个碱基反向互补配对,否则会出现抑制探针杂交的“发夹”状结构;(4)没有单一碱基的连续出现(大于4个,如—GGGGG —).然后通过blastn 和check 2probe 程序与已知的各种基因序列进行同源性比较和对此特异性序列进行评价,选择特异性较强的序列.使用perl 语言编写程序对clustal X 和Bioedit 软件分析的结果进行处理,生成预定的数据格式(G enbank 登录号#细菌名称,DNA 序列:,共30个左右这样的数据依次排列),将结果存人数据库.数据格式如图1所示:114 编写程序实现对数据库的查询及管理为更加直观地显示细菌种的特异性寡核苷酸序列,利用perl 和CGI (公用网关接口)技术开发一个可通过web 对数据库进行查询的系统,查询界面简洁友好.111专集蔡正求等:细菌种特异性的16S rDNA 寡核苷酸探针数据库的初步构建图2 数据库主页图3 查询结果页面211首都师范大学学报(自然科学版)2004年图4 探针所对应的多序列排列页面311专集蔡正求等:细菌种特异性的16S rDNA寡核苷酸探针数据库的初步构建2 结 果211 数据库的特点数据库使用英文作为主要语言,方便与国际上的同类数据库进行接轨以及与国际同类数据库交换、共享数据.数据库具有良好的操作界面.而且,本数据库由于使用服务器端Perl编程技术,对客户端的浏览器没有特殊要求,支持用户使用各种浏览器对数据库进行访问,并且都能较好地显示结果.数据库的具体操作界面见图2,图3和图4.212 数据库的功能此数据库为设计细菌种特异性的16S rDNA寡核苷酸探针提供参考和帮助,从而达到加速对细菌进行分类及鉴定的目的.输入细菌名称查询,得到细菌的种特异性16S rDNA寡核苷酸序列以及此序列所对应的设计探针时的多序列排列结果,并且支持两种查询方式:准确查询和模糊查询.图3中查询结果说明:Bacteria Name:细菌名称;Probe Sequence:该细菌的种特异性寡核苷酸探针;Partial Seqence Align:点击它所对应的链接,显示此寡核苷酸探针所对应的部分Clustal排列结果,此结果包含探针序列及其左右两端的部分序列,因此可根据不同的要求对探针序列进行调整;Whole Seqence:点击它所对应的链接,则下载此寡核苷酸探针所对应的全序列,下载的序列可以用Clustal X或Bioedit打开;Blastn:点击它所对应的链接,用Blastn程序对此探针序列在G enBank数据库中进行同源性检索;Check-Probe:点击它所对应的链接,用Check-Probe程序对此探针序列进行特异性评价.图4中多序列排列页面说明:左边G enbank Access number所对应的列代表用Clustal进行多序列对位排列时所用细菌的G enbank 登录号,中间的列代表用Clustal X进行多序列对位排列时所用细菌的名称.右边的列是用Clustal X进行多序列对位排列的结果.3 讨 论细菌种特异性的16S rDNA寡核苷酸探针数据库是一个简洁的,查询结果形象直观的专用二级数据库,国内外尚未报道这种数据库,其查询结果形象直观,A、T、G、C四种碱基分别用红、绿、黄、蓝四种不同的颜色来表示,特异性序列一目了然(见图4),可以快速进行细菌种的特异性寡核苷酸探针的设计,省去了从网上搜索序列,对序列进行多序列对位排列比较,寻找特异性序列等一系列过程,从而节约了大量时间.数据库中已经有迄今为止能设计种特异性探针的大部分细菌的特异性的16S rDNA寡核苷酸序列(大约200种细菌).在设计细菌的16S rDNA寡核苷酸探针时,我们只设计了G enbank中一个种含有三条及三条以上16S rDNA,并且长度大于800bp的细菌的种特异性的16S rDNA寡核苷酸探针,太少的序列(少于三条)或者太短的序列在用Clustal X进行多序列对位排列比较、寻找特异性序列时没有意义.由于目前绝大部分(90%以上)种的细菌的16S rDNA序列太少,只有一条或两条,以及相当一部分的细菌在G enbank中没有16S rDNA序列,因而无法设计探针,如Paenibacillus chibensis, Paenibacillus daejeonensis等细菌.但由于每周都有大量新的细菌的16S rDNA提交到G enbank等公共数据库中,所以,在补充了新的数据后对该类细菌就有可能设计16S rDNA寡核苷酸探针,因此,需要定期从网上下载新的数据,进行分类整理,更新本地数据库.数据库的规模也因此会不断扩大,考虑到本数据库这一特点,使用了功能强大而且免费的MyS Q L数据库管理系统.另外,根据16S rDNA序列clustal多序列对位排列比较的结果,发现一些细菌不存在明显的特异性序列,如Bacillus simplex,Bacillus macroides等细菌,因此不能设计这些细菌的种特异性的16S rDNA寡核苷酸探针,需要用其它的方法对这些细菌进行分类鉴定.根据现有数据的统计结果,这样的细菌大约占50%.除了16S rDNA外,细菌的其它DNA序列也可以用来设计种特异性的寡核苷酸探针,考虑到这一点,本数据库以后也将提供其它的细菌种特异性的非16S rDNA寡核苷酸探针,以便和16S rDNA寡核苷酸探针互补,从而能够更准确的对细菌进行分类鉴定.同时,细菌有不同的分类水平,本数据库以后也将收录细菌其它分类水平的特异性寡核苷酸探针,如细菌科特异性寡核苷酸探针和属特异性寡核苷酸探针等,从而使数据库更完善,更有实用价值.411首都师范大学学报(自然科学版)2004年参考文献1 王建民,罗静初,李毅,等.水稻矮缩病毒基因组数据库的构建.微生物学报,2001,41(1):43~48.2 李阜棣,胡正嘉,主编.微生物学.北京:中国农业出版社,2000.1153 沈萍.主编.微生物学.北京:高等教育出版社,2000.3344 DeLong ,E F ,G S Wickham ,N R Pace.Phylogenetic strains :ribos omal RNA 2basedprobes for the identification of single cells.Science ,1989,243:1360~13635 Matsunaga T ,T akeyama H ,Nakayama H.16S rRNA 2T argeted identification of cyanobacterial genera using olig onucleotide 2probesimm obilized on bacterial magnetic particles.J Applied Phycology ,2001,13:389~3946 杨瑞馥,陶天申主编.细菌名称英解汉译词典.北京:军事医学科学出版社,2000.7 G arrity G M ,Winters M ,K uo A W ,et al.T ax onomic outline of the prokary otes Bergey ’s Manual of Systematic Bacteriology ,secondedition.2002,293~3648 T A H ovanec ,E F DeLong.C omparative Analysis of Nitrifying Bacteria Ass ociated with Freshwater and Marine Aquaria.Applied andEnvironmental Microbiology ,1996,2888~28969 张一凡,冉陆,东秀珠.利用种特异性寡核苷酸探针鉴定5种人源双歧杆菌的初步研究.中国食品卫生杂志,2001,13(3):3~710 卢圣栋.主编.现代分子生物学试验技术.北京:高等教育出版社,1993.156Database Construction of the Species 2specific OligonucleotideProbes T argeted for 16S rDNA of B acteriaCai Zhengqiu 1 S ong Wei133 Dong X iuzhu2(1.Department of Biology ,Capital N ormal University ,Beijing 1000372.Institude of M icrobiology ,Chinese Academy of Sciense ,Beijing 100080)AbstractThe secondary database that play an im portant role in the research and development of biology is a vital research subject in the field of bioin formatics.At present ,there are enorm ous 16S rDNA sequences of bacteria available in the G enbank.In this paper the species 2specific olig onucleotide probes for various bacteria according to 16S rDNA have been designed and stored into a database.And an user 2friendly search system based on com puter netw ork has been constructed.This secondary database could be helpful for users to design olig onucleotide probes to classify and identify the bacteria m ore rapidly.K ey w ords :Bacteria ,species 2specific ,16S rDNA ,olig onucleotide probe ,secondary database3Supported by Chinese National Natural Science F oundation (N o.30170035,30370032)and Beijing National Natural Science F oundation (N o.5012004)33C orresponding author.T el :86-10-68902044;E 2mail :s ongwei @作者简介 蔡正求(1978—),男,汉族,湖北武汉人,硕士,从事植物与微生物相互作用的研究.E 2mail :caizhenqiu @s 511专集蔡正求等:细菌种特异性的16S rDNA 寡核苷酸探针数据库的初步构建。
16S r D N A鉴定菌株的标准操作规程-CAL-FENGHAI-(2020YEAR-YICAI)_JINGBIAN16SrDNA鉴定菌株的标准操作规程1.适用范围本标准规定了通过特定引物对细菌的16SrDNA片段进行PCR扩增,然后对扩增片段进行序列分析比对,快速获得细菌种属信息的操作规程。
本标准适用于未知细菌的快速种属分析,以及为细菌的生化鉴定提供指导信息。
2.方法和原理16SrDNA鉴定是指用利用细菌16SrDNA序列测序的方法对细菌进行种属鉴定。
包括细菌基因组DNA提取、16SrDNA特异引物PCR扩增、扩增产物纯化、DNA测序、序列比对等步骤。
是一种快速获得细菌种属信息的方法。
细菌rRNA(核糖体RNA)按沉降系数分为3种,分别为5S、16S和23S rRNA。
16S rDNA是细菌染色体上编码16S rRNA相对应的DNA序列。
16S rDNA 由于大小适中,约1.5Kb左右,既能体现不同菌属之间的差异,又能利用测序技术较容易地得到其序列,故被细菌学家和分类学家接受。
在?16S rRNA?分子中,可变区序列因细菌不同而异,恒定区序列基本保守,所以可利用恒定区序列设计引物,将16S rDNA片段扩增出来,利用可变区序列的差异来对不同菌属、菌种的细菌进行分类鉴定。
16SrDNA序列的前500bp序列变化较大,包含有丰富的细菌种属的特异性信息,所以对于绝大多数菌株来说,只需要第一对引物测前500bp序列即可鉴别出细菌的菌属。
针对科学论文发表或是前500bp无法鉴别的情况,需要进行16SrDNA的全序列扩增和测序,得到较为全面的16SrDNA的序列信息。
由于测序仪一次反应最多只能测出700bp的有效序列,为了结果的可靠性,通常将16SrDNA全长序列分成3部分进行测序。
3.设备和材料3.1器材移液器(1000μL 、200μL 、100μL 、10μL );涡旋振荡器;EppendorfMixMate ;离心机;水浴锅;电泳仪;制冰机;低温冰箱;PCR 仪:Veriti 96 Well Thermal Cycler ; 凝胶成像仪:VersaDoc MP 4000;基因分析仪:AB3500、AB3130 3.2试剂DNA 快速提取试剂:PrepMan Ultra ;琼脂糖;PCR 试剂:Taq 酶,10×Taq Buffer(Mg 2+),dNTPs ,ddH 2O 等; ExoSAP-IT ;测序试剂:BigDye Terminator ,5×Sequencing Buffer ;BigDye XTerminator Purification Kit ; 3.3耗材移液器吸头:1000μL 、200μL 、10μL ;离心管:1.5mL 、200μL ;Micro Amp TM Optical 96-Well Reaction Plate ;Micro Amp TM Optical Adhesive Film ; 3.4引物第1部分 正向引物27F 5'-AGA GTT TGA TCC TGG CTC AG-3' 500 bp 左右 反向引物519R 5'- GWA TTA CCG CGG CKG CTG -3' 第2部分 正向引物357F 5'- CTC CTA CGG GAG GCA GCA G-3' 750bp 左右 反向引物1115R 5'-AGG GTT GCG CTC GTT GC-3'第3部分正向引物926F 5'- AAA CTY AAA KGA ATT GAC GG-3' 560 bp 左右反向引物1492R5'-TAC GGC TAC CTT GTT ACG ACT T-3'其中M=C:A, Y=C:T. K=G:T, R=A:G, S=G:C. W=A:T; all 1:14. 操作流程5. 实验方法5.1核酸提取:挑取单菌落,然后置于装有100μLPrepMan Ultra的离心管中,涡旋震荡混匀30s 左右,然后100℃水浴10min 后,以离心机最大转速离心3min ,取10μL 上清液与490μL ddH 2O (即稀释50倍),混匀作为下步PCR 的模板DNA 。
进口生牛皮中细菌的PCR-RFLP图谱建立龙玲;肖西志;张银霞;王军平;吴达【摘要】旨在建立存在于进口生牛皮中细菌的PCR-RFLP图谱.对从进口生牛皮中分离到的15种细菌,通过VITEK鉴定,分别进行基因组DNA提取,然后以所提取的DNA为模版,用16S rDNA的通用引物27f和1492r进行PCR扩增,扩增产物以17种内切酶,即AvaⅠ、BamH Ⅰ、BglⅡ、Dra Ⅰ、EcoR Ⅰ、EcoRⅡ、HindⅢ、Hinf、Hpa Ⅰ、PstⅠ、Sma Ⅰ、Taq Ⅰ、XbaⅠ、Xma Ⅰ、AluⅠ、XhoⅠ、PvuⅠ进行酶切,酶切产物经琼脂糖凝胶电泳分析,建立每种菌16S rDNA RFLP图谱.结果表明,进口生牛皮中分离到的15种细菌分别是侧芽短芽孢杆菌、产色葡萄球菌、黑色消化球菌、环状芽孢杆菌、解鸟氨酸拉乌尔菌、枯草芽孢杆菌、蜡样芽孢杆菌、耐热芽孢杆菌、桥石芽孢杆菌、球型芽孢杆菌、溶血不动杆菌、少动桥氨醇单孢菌、苏云金芽孢杆菌、中间葡萄球菌和分支杆菌,除中间葡萄球菌和产色葡萄球菌外,其他13种菌均扩增出目的条带.说明,PCR-RFLP方法可以快速、可靠地分析、鉴定进口皮毛中的细菌,在进出口动物皮毛中细菌的检测方面具有一定的应用潜能.【期刊名称】《西北农业学报》【年(卷),期】2015(024)001【总页数】9页(P34-42)【关键词】16S rDNA;PCR-RFLP;指纹图谱;进口牛皮【作者】龙玲;肖西志;张银霞;王军平;吴达【作者单位】西北民族大学生命科学与工程学院,兰州730030;山东出入境检验检疫局,山东青岛266000;西北民族大学生命科学与工程学院,兰州730030;甘肃出入境检验检疫局,兰州 730020;甘肃出入境检验检疫局,兰州 730020【正文语种】中文【中图分类】S852.61中国是皮张(毛)进口大国。
皮革加工业是高污染产业,主要是皮毛在加工过程中一些化学试剂的应用会造成环境污染。
不同刺槐种源根瘤菌16S rDNA的PCR-RFLP分析张泽坤;韩骞;杨敏生;王进茂【摘要】为了研究不同刺槐种源根瘤茵的遗传多样性,采用4种限制性内切酶对分离自保定和高邑的38株不同刺槐种源根瘤茵进行16S rDNA PCR-RFLP多态性分析,共产生26种16SrDNA遗传图谱类型.UPGMA聚类分析结果显示,所有供试菌株分为4大类,第3类又分为3个亚类.16S rDNA全序列分析表明,代表菌株GY-2与S.morelense LMG20571序列相似性达到99.6%,在系统发育分类地位上属于Sinorhizobium.刺槐根瘤菌遗传多样性丰富,遗传差异受地理环境影响较大,与寄主种源相关性不明显.%A study was performed to analyze the genetic diversity of rhizobia isolated from different provenances of Robinia pseud-oacacia. PCR-RFLP polymorphism analysis of 16S rDNA of 38 rhizobia grown in Baoding and Gaoyi was made with four restriction endonucleases. A total of 26 geneticmap patterns were generated from the tested strains. UPGMA cluster analysis indicates that all strains can be clustered into four groups, and the third group into three subgroups. 16S rDNA sequence analysis indicates that the representative strain GY-2 has a similarity level of 99. 6% with Sinorhizobium morelense LMG20571, and belongs to Sinorhizobium in the phylogenetic classification status. Results show that the rhizobia isolated from R. pseudoacacia reveal a high level of genetic diversity, and genetic differences are influenced by geographical environment, but its correlation with host provenance is not obvious.【期刊名称】《东北林业大学学报》【年(卷),期】2012(040)009【总页数】5页(P81-85)【关键词】刺槐根瘤菌;16S rDNA PCR-RFLP;地理环境;种源【作者】张泽坤;韩骞;杨敏生;王进茂【作者单位】河北农业大学,保定,071000;河北农业大学,保定,071000;河北农业大学,保定,071000;河北农业大学,保定,071000【正文语种】中文【中图分类】S154.32;Q939.114根瘤菌是一类存在于土壤中的能侵染豆科植物的根部共生形成根瘤,并将空气中的氮还原成氨供植物营养的一类革兰氏阴性菌。
用16S rDNA 方法鉴定细菌种属一、实验目的1。
掌握16S rDNA 对细菌进行分类的原理及方法;2. 掌握DNA 提取、PCR 原理及方法、DNA 片段回收等实验操作。
二、实验原理细菌rRNA(核糖体RNA )按沉降系数分为3种,分别为5S 、16S 和23S rRNA 。
16S rDNA 是细菌染色体上编码16S rRNA 相对应的DNA 序列,存在于所有细菌染色体基因中。
16SrDNA 鉴定是指用利用细菌16SrDNA 序列测序的方法对细菌进行种属鉴定。
包括细菌基因组DNA 提取、16SrDNA 特异引物PCR 扩增、扩增产物纯化、DNA 测序、序列比对等步骤。
是一种快速获得细菌种属信息的方法.16S rDNA 是细菌的系统分类研究中最有用的和最常用的分子钟,其种类少,含量大(约占细菌RNA 含量的80%),分子大小适中,存在于所有的生物中,其进化具有良好的时钟性质,在结构与功能上具有高度的保守性,素有“细菌化石”之称.在大多数原核生物中rDNA 都具有多个拷贝,5S 、16S 、23S rDNA 的拷贝数相同。
16S rDNA 由于大小适中,约1。
5Kb 左右,既能体现不同菌属之间的差异,又能利用测序技术较容易地得到其序列,故被细菌学家和分类学家接受。
16SrRNA 的编码基因是16SrDNA ,但是要直接将16SrRNA 提取出来很困难,因为易被广泛存在的RNase 降解,因而利用16S rDNA 鉴定细菌,其技术路线如下:细菌基因组的提取:PCR 的基本原理 :PCR 技术的基本原理 类似于DNA 的天然复制过程,其特异性依赖于与靶序列两端互补的 寡核苷酸引物。
PCR 由变性——退火——延伸三个基本反应步骤构成:①模板DNA 的变性:模板DNA 经加热至93℃左右一定时间后,使模板DNA 双链或经PCR 扩增形成的双链DNA 解离,使之成为单链,以便它与引物结合,为下轮反应作准备;②模板DNA 与引物的退火(复性):模板DNA 经加热变性成单链后,温度降至55℃左右,引 物与模板DNA 单链的互补序列配对结合;③引物的延伸:DNA模板--引物结合物在TaqDNA聚合酶的作用下,以dNTP为反应原料,靶序列为模板,按碱基配对与半保留复制原理,合成一条新的与模板DNA 链互补的半保留复制链重复循环变性--退火——延伸三过程,就可获得更多的“半保留复制链",而且这种新链又可成为下次循环的模板。
16S rDNA方法鉴定细菌种属一.目的1. 掌握16S rDNA对细菌进行分类的原理及方法;2. 掌握DNA提取、PCR原理及方法、DNA片段回收等实验操作。
二、原理随着分子生物学的迅速发展,细菌的分类鉴定从传统的表型、生理生化分类进入到各种基因型分类水平,如(G+C)mol%、DNA杂交、rDNA指纹图、质粒图谱和16S rDNA序列分析等。
细菌中包括有三种核糖体RNA,分别为5S rRNA、16S rRNA、23S rRNA,rRNA基因由保守区和可变区组成。
16S rRNA对应于基因组DNA上的一段基因序列称为16S rDNA。
5S rRNA 虽易分析,但核苷酸太少,没有足够的遗传信息用于分类研究;23S rRNA含有的核苷酸数几乎是16S rRNA的两倍,分析较困难。
而16S rRNA相对分子量适中,又具有保守性和存在的普遍性等特点,序列变化与进化距离相适应,序列分析的重现性极高,因此,现在一般普遍采用16S rRNA作为序列分析对象对微生物进行测序分析。
在细菌的16SrDNA中有多个区段保守性,根据这些保守区可以设计出细菌通用物,可以扩增出所有细菌的16SrDNA片段,并且这些引物仅对细菌是特异性的,也就是说这些引物不会与非细菌的DNA互补,而细菌的16SrDNA可变区的差异可以用来区分不同的菌。
因此,16SrDNA可以作为细菌群落结构分析最常用的系统进化标记分子。
随着核酸测序技术的发展,越来越多的微生物的16SrDNA序列被测定并收入国际基因数据库中,这样用16SrDNA 作目的序列进行微生物群落结构分析更为快捷方便。
1、16S rRNA普遍存在于原核生物中。
rRNA参与生物蛋白质的合成过程,其功能是任何生物都必不可少的,而且在生物进化的漫长历程中保持不变,可看作为生物演变的时间钟。
2、在16S rRNA分子中,既含有高度保守的序列区域,又有中度保守和高度变化的序列区域,因而它适用于进化距离不同的各类生物亲缘关系的研究。
16S rDNA鉴定细菌的方法细菌16S rDNA鉴定主要分为7个部分:1。
提取细菌基因组DNA,2.设计/选择引物进行PCR扩增,电泳检测纯度与大小。
3。
琼脂糖凝胶电泳分离4.胶回收目的片段5.目的片段测序。
6。
BLAST比对获取相似片段.7。
构建系统进化树试剂:1.1 培养基:通常选择组分简单且细菌生长良好的培养基(培养基组分过于复杂会影响DNA的提取效果,也可以在裂解细菌前用TE缓冲液对菌体进行洗涤。
)。
1.2 1M Tris-HCl (pH7。
4, 7。
6, 8.0)(1L):121。
1g Tris,加浓盐酸约(70ml, 60ml, 42ml),高温高盐灭菌后,室温保存。
冷却到室温后调pH,每升高1℃,pH大约下降0。
03个单位。
(Tris—HCl缓冲液(0.05mol/L,25℃)50ml0。
1mol/L Tris)溶液与x ml 0。
1mol/L 盐酸混匀后,加水稀释至100ml 。
Tris缓冲液不仅被广泛用作核酸和蛋白质的溶剂,Tris也是蛋白质电泳缓冲液的主要成分之一)1.3 0.5M EDTA(pH8.0)(1L):186.1g Na2EDTA•2H2O,用NaOH调pH至8.0(约20g),高温高压灭菌,室温保存。
(配置方法1。
称取186.1g Na2EDTA•2H2O,置于1L烧杯中. 2。
加入约800mL的去离子水,充分搅拌。
3。
用NaOH调节pH值值8。
0(约20g NaOH)。
注意:pH值至8.0时,EDTA才能溶解。
4。
加去离子水将溶液定容至1L。
5. 适量分成小份后,高温高压灭菌。
6。
室温保存。
)1。
4 10×TE Buffer(缓冲液)(pH7.4,7.6,8。
0)(1L):组分:100 mM Tris-HCl,10 mM EDTA。
1M Tris—HCl(pH7.4,7。
6,8。
0)取100ml,0.5M EDTA(pH8。
0)取20ml.高温高压灭菌,室温保存。
细菌16S中国兽医杂志2011年(第47卷)第4期ChineseJournalofV eterinaryMedicine细菌16SrDNA基因芯片的构建及应用林居纯,曹三杰,蒋红霞,曾振灵(1.华南农业大学兽医学院广东省兽药研制与安全评价重点实验室,广东广州510642;2.四川农业大学动物医学院,四川雅安625014)摘要:本试验为建立能检测兽医临床重要病原菌的基因芯片方法,采用通用引物扩增菌株16SrDNA V1一V3区,制备16SrDNAPCR产物基因芯片,对5种兽医临床微生物进行检测.结果显示,制备的基因芯片能特异性地检测金黄色葡萄球菌,链球菌和鸡毒支原体,以及这3种菌株混合样品,但对大肠杆菌及沙门菌检测结果不理想.基因芯片检测灵敏度为3g/L.关键词:基因芯片;病原菌;16SrDNA;检测中图分类号:$852.61;Q789文献标识码:A文章编号:0529~6005(2011)04—0006—03Developmentandapplicationof16SrDNAmicroarray forthedetectionofclinicalbacteriaLINJu—chun,.,CAOSan—jie.,JIANGHong—xia,ZENGZhen—ling(1.CollegeofV eterinaryMedicine,SouthChinaAgriculturalUniversity,GuangdongProvin cialKeyLaboratoryofV eterinaryPharmaeeuticsDevelopmentandSafetyEvaluation,Guangzhou5 10642,China;2.CollegeofV eterinaryMedicine,SichuanAgriculturalUniversity,Y aan625014,China) Abstract:DNAmicroarraymethodwasdevelopedfordetectionofveterinaryimportantpath ogenicbacteria.TheDNAofbacteriawasamplifiedbyuniversalprimerstargetedtol6SrDNAV1一V3domain,and16SrDNAcloneprobeswerearrayedonmicroarrayslides,thentheconstructed16SrDN Amicroarraywasusedtodetect5differentmicroorganisms.ThehybridizationresultsshowedthatS.aureu s,S.agalac—tiaeandM.gallisepticumcouldbeidentifiedcorrectlyby16SrDNAmicroarray,Themixedsa mplesofthemcouldalsobediscriminatedunequivocally.However,E.coliandSalmonallacouldnotb edistinguish—edbymicroarray.thedetectionlimitfor16SrDNAmicroarraysystemwas3gg/L. Keywords:microarray;pathogenicbacteria;16SrDNA;detection Correspondingauthor:ZENGZhen—ling收稿日期:2010一O6一O8基金项目:国家自然科学基金(30271000);四川I省优势产业发展急需紧缺专业博士后项目(2007CX01)HP_PRRSV没有明显的地域性,没有明显的随着时间的推移而逐步变异的特征,这可能与当前现地应用的疫苗不能对其造成足够的免疫压力有关.通过上述分析结果,我们可以得到以下初步结论:我国HP—PRRSV的起源是CH一1a样PRRSV,它的演变是逐步的,而且在中间过渡类型的PRRSV能够发现逐步演变的轨迹.参考文献:[1]1-23[3]TianK,YuX,ZhaoT,eta1.EmergenceoffatalPRRSVva—riants:unparalleledoutbreaksofatypicalPRRSinChinaand moleculardissectionoftheuniquehallmarkr-j].PLoSOme,2007,.2:e526.童光志,周艳君,郝晓芳,等.高致病性猪繁殖与呼吸综合征病毒的分离鉴定及其分子流行病学分析FJ].中国预防兽医学报,2007,29(5):323—326.ZhouYJ,HaoXF,TianZJ,eta1.Highlyvirulentporcine作者简介:林居纯(1968一)与毒理学的教学与科研工作,E[5][6][7]E8],女,副教授,博士,从事兽医药理学mail:******************通讯作者:曾振灵,Email:***************.cn reproductiveandrespiratorysyndromevirusemergedinChina [J].TransboundEmergDis,2008,55(3-4):152—164. AnsariIH,KwonB,OsorioFA,eta1.InfluenceofN—linked glycosylationofporcinereproductiveandrespiratorysyndrome virusGP5onvirusinfectivity.antigenicity,andabilitytoin—duceneutralizingantibodies[J].JVirol,2006,80(8):3994—4004.PlagemannPG.TheprimaryGP5neutralizationepitopeof NorthAmericanisolatesofporcinereproductiveandrespirato—rysyndromevirus[J].V etImmunolImmunopathol,2004,1O2(3):263—275.LiB,FangL,XuZ,eta1.RecombinationinV accineandCir—culatingStrainsofPorcineReproductiV eandRespiratorySyn dromeViruses[J].EmergInfectDis,2009,15:2032—2035.LiY,ChenS,ZhouL,eta1.Characterizationandpathogenic ityofonePRRSVstrainwith1-amino—aciddeletionatposition481ofNsp2[J],2009,91:4—5.杨明娴,邢刚,孙文博,等.乳猪"高热症"猪繁殖与呼吸综合征病毒的分离与致病性分析[J].中国预防兽医,2008,30(11):846—851ChineseJournalofV eterinaryMedicine中国兽医杂志2011年(第47卷)第4期7 细菌性感染一直危害着畜禽健康,对病原菌做出快速准确诊断是控制疾病发展前提.细菌常规鉴定所需时间长,尤其对生长缓慢或难以培养病原菌要做出及时正确诊断显得更加困难.随着分子生物学发展,PCR技术已被用于临床检测病原菌,但常规PCR需设计针对病原菌的特异引物,对分离未知细菌或混合感染,则难以实现快速诊断目的_】].本试验利用细菌种系发育过程中具有重要意义的16SrDNA基因为检测靶点,构建了细菌16SrD—NA基因芯片,并对兽医临床重要病原菌进行了检测,为实现基因芯片技术应用于兽医临床提供初步研究.1材料与方法1.1标准菌株大肠杆菌ATCC25922(Escheriacoli),沙门菌C79—13(Salmonellapullorum),金黄色葡萄球菌ATCC25923(Sp^Z0∞fc"saureus),无乳链球菌CVCC1887(Streptococcusagalacti—ae),鸡毒支原体PG31(Mycoplasmagalliseptic—um)由本实验室保存提供.1.2主要试剂及仪器质粒DNA提取试剂盒购自OmegaBio—tek公司;PCR相关试剂及pMD18一T载体购自TaKaRa公司;氨基基片,杂交缓冲液等购自上海百傲科技有限公司;Cy3一dCTP购自Amer~shamBiosciences;Lambda定位基因由四川农业大学基因芯片实验室提供;SpotArray24芯片点样仪,ScanArray⑧4000扫描仪购自PackardBiosci—ence公司;PX2梯度PCR仪购自Thermohybaid公司;2000型凝胶电泳图像分析系统,SmartSpace丁M 3010核酸蛋白检测仪购自Bio—RAD公司.1.3引物设计参考E.coli等5种微生物16SrDNA序列,设计扩增16SrDNA V1一V3区490bp 片段的通用引物.引物序列16S1:5,_AGGCCTA—ACACATGCAAGT一3,16S2:5一ATTACCGCG—GCTGCTGG一3.1.4靶基因克隆,鉴定及制备将E.coliA Tcc25922等5种标准菌株,采用水煮沸法提取DNA用作PCR模板.PCR体系:dNTP(各2.5mmol/L)5.0L,ExTaq(5U/uL)0.25L,10×ExTaqBuffer5.0L,引物16S1和16S2(10lamol/L)各1.0L,模板2.0L,加ddH2O至5OL.反应参数:94℃预变性5min,94℃变性30S,52℃退火30S,72℃延伸25S,共3O个循环,72℃延伸5min.将PCR产物回收克隆到pMD18一T后转化大肠杆菌JM109,送TaKaRa公司测序.提取重组质粒DNA为PCR模板,按上述PCR扩增条件扩增靶基因.靶基因PCR产物纯化后,用紫外核酸蛋白仪测定其浓度及纯度.1.516SrDNA基因芯片制备将纯化后靶基因PCR产物和定位基因稀释至200mg/L,用SpotAr—rayTM24接触式芯片点样系统在氨基化基片上点样.点样阵列为1~6行分别为E.coli,Salmonel—Z口,S.aureus,S.agalactiae,M.gallisepticum和Loctedgene,每行12点,各样点中心间距为650m,样点直径为220m.将点制好芯片静置于点样仪上过夜干燥,经水合,紫外交联,洗涤及离心干燥后密封,室温保存.1.6探针制备采用Cy3一dCTP随机渗入标记法制备探针.标记体系内含dA+T+GTPmixture(各10mmol/L)3L,dCTP(10mmol/L)0.5L,Cy3一dCTP(0.25mmol/L)0.5L,ExTaq(5u/uL)0.5L,10×ExTaqBuffer(Mg+Plus)5.0L,引物16S1和16S2各1.0L,模板DNA2.0tLL,加ddH2O至5OL.PCR参数同1.4.1.7芯片杂交及数据分析基因芯片于95℃水浴变性3min后转置95冰冷乙醇中冷却,1000r/min离心干燥5min.在芯片点样区加25L预杂交液42℃预杂交1h,将变性探针及标记定位基因混合液2OL加于芯片点样区,47℃杂交3h.杂交结束后,分别以1,2号和3号洗液洗涤芯片3~5 min,三蒸水漂洗3min,离心干燥后基因芯片扫描仪扫描.阳性信号判断采用样点信号总强度值≥1. 5倍背景强度值,即SNR≥1.5,同时结合信号强度中位值(intensity)>1000或扫描图像上杂交斑点明显可见为判断标准_3].1.8基因芯片特异性及灵敏度试验将5种标准菌制备的探针及定位基因标记物,分别与芯片杂交, 以检测芯片特异性.将S.aureusA TCC25923制备的探针稀释成系列浓度:1,3,30,300,3000,9000, 27000P-g/L,分别与芯片杂交,经荧光扫描仪扫读信号,以检测基因芯片杂交系统灵敏度.1.9临床样品检测102份临床样品经培养后,对疑似菌株分别进行基因芯片检测,常规生化鉴定及血清学鉴定,以比较芯片检测与常规细菌学检测结果的一致性.经常规细菌学鉴定的菌株,按2种,3种及4种方式将不同种类菌制成混合样品,与芯片杂交,以判断芯片对多个样品同时检测的可行性.2结果2.1靶基因的扩增和序列分析通用引物扩增E.coli等5种不同微生物,均获得约490bp片段.PCR产物测序结果显示,扩增片段为细菌16SrD—NA V1一V3区片段,E.coli,S.pullorum,S.aureus,S.agalactiae和M.gallisepticum与GenBank序列同源性分别为98.8,98.8,99.8,98.6和98.2.8中国兽医杂志2011年(第47卷)第4期ChineseJournalofV eterinaryMedicine 2.2基因芯片特异性试验及灵敏度试验5种探针和定位基因标记物,在相同杂交条件下分别与基因芯片杂交结果显示,除大肠杆菌和沙门菌探针与基因芯片杂交有交叉杂交外,其他探针与芯片杂交特异性高(见中插彩版图1).灵敏度试验表明,当靶基因浓度为200rag/L时,探针浓度为3g/L时,其杂交信号Mediaintensity为2056,SNR值为1.654,而探针浓度为1g/L时,信号总强度值低于背景总信号强度值,这表明所构建芯片系统灵敏度为3P-g/L.2.3临床样品检测结果不同鉴定方法对102份临床样品的检测结果见表1.从表1可见基因芯片对S.aureus,Streptococcus和M.gallisepticum鉴定结果与传统生化试验和血清试验结果一致,但对于大肠杆菌和沙门菌不能鉴定.基因芯片对于S.aureus,Streptococcus和M.gallisepticum2种或3种菌混合样能同时检测,但对大肠杆菌或沙门菌混合样不能正确检测.表1不同方法检测102份临床样品结果菌株数(株)/样品数(份)生化和血清学鉴定结果基因芯片检测结果3讨论与结语实现细菌通用检测,一直是临床诊断所需解决的热点问题,寻找适合靶分子又是实现细菌通用检测的关键.16SrDNA基因常以多拷贝形式存在于原核生物中,分为可变区和恒定区,其中可变区包含种间差异信息使其具有特异性,恒定区决定了检测的稳定性,多拷贝存在形式使检测具有敏感性,故常选用16SrDNA作为原核生物检测靶点_4].本试验比对了兽医l临床常见5种微生物16SrDNA序列,在恒定区设计通用引物,扩增大肠杆菌等16SrDNAV1一V3可变区,PCR产量高特异性强,且制备了16SrDNAPCR产物基因芯片,用于检测兽医临床常见5种病原菌.基因芯片特异性试验及对临床分离样品检测显示,本次制备的16SrDNA芯片能鉴定S.aures, Streptococcus,M.gallisepticum3种微生物,特异性高;对102份临床样本中的1株S.aures,3株Streptococcus,3株M.gallisepticum进行了正确鉴定,与生化和血清学鉴定结果符合率达100;对于混合样,能检测其中的S.aures,Streptococcus,M.gallisepticum3种菌株,对E.coli和Salmonella样本基因芯片杂交结果不理想,存在交叉杂交,原因是E.coli和Salmonella的16SrDNA同源性高达9O以上,在系统进化树上同属很小的分枝,一般认为同源性大于80的基因交叉杂交高达26~579/6,基因片段重叠和同源性高是引起交叉杂交的原因[5].因此提示了16SrDNAPCR产物芯片,尽管省钱,省事,杂交后信号强,灵敏度高,但进行同一科,属内菌株的鉴定很难达到理想效果,所以对基因同源性非常高细菌进行鉴别,最好结合细菌相关毒理基因,设计特异性引物进行扩增和杂交,或使用寡核苷酸探针,按通用探针和针对细菌科,属和种特异性探针联合的方式,才有可能达到理想的鉴定效果.一.本次制备的16SrDNA基因芯片,成功地鉴定了兽医临床常见的S.aures,Streptococcus,M.gal—lisepticum3种病原菌,对于这3种菌株混合样也能正确鉴定,基因芯片系统灵敏度达3g/L,但对于同源性非常高的E.coli和Salmonella不能鉴定.下一步的研究工作将扩大探针的数目,特别是能区分同一科属细菌的特异性探针,同时扩大病原菌检测范围,优化杂交体系和条件,加快基因芯片技术的实用化研究进程.参考文献:[1]BeriteEC,MariaPS,JorgG,eta1.Identificationandcharac—terizationofbacterialpathogenscausingbloodstreaminfection byDNAmicroarray[J].Journalofclinicalmicrobiology,2006,44(7):2389—2397.[2]罗雯,万雅各,彭宣宪,等.采用通用引物PCR配合SSCP及RFLP技术快速检测常见病原菌[J].中华微生物学和免疫学杂志,2001,21(6):687—689.[3]曹三杰,黄小波,文心田,等.猪传染性胃肠炎病毒检测基因芯片的构建[J].中国兽医,2009,29(2):121—125.E4]JillEC.Impactof16SrDNAgenesequenceanalysisforidenti—ficationofbacteriaonclinicalmicrobiologyandinfectiondisea—ses[J].ClinicalMicrobiologyReviews,2004,17(4):840—862. [5]EvertszM,Au—youngJ,RuvoloMW,eta1.Hybridizationcr0ss_reactivitywithinhomologousgenefamiliesonglasscD—NAmicroarrays[刀.Biotechniques,2001,31(5):1184—1186. [6]翟俊辉,宋亚军,杜宗敏,等.通用基因芯片检测感染细菌方法的研究[J_.中国公共卫生,2003,19(4):430—431.[7]毛正果,郑浩轩,王新颖,等.基因芯片检测常见肠道致病菌感染的研究与评价[J3.胃肠病学与肝病学杂志,2008,17(10):8O9—8】2.。
16S rDNA鉴定细菌的方法细菌16S rDNA鉴定主要分为7个部分:1。
提取细菌基因组DNA,2.设计/选择引物进行PCR扩增,电泳检测纯度与大小。
3。
琼脂糖凝胶电泳分离4.胶回收目的片段5.目的片段测序。
6。
BLAST比对获取相似片段.7。
构建系统进化树试剂:1.1 培养基:通常选择组分简单且细菌生长良好的培养基(培养基组分过于复杂会影响DNA的提取效果,也可以在裂解细菌前用TE缓冲液对菌体进行洗涤。
)。
1.2 1M Tris-HCl (pH7。
4, 7。
6, 8.0)(1L):121。
1g Tris,加浓盐酸约(70ml, 60ml, 42ml),高温高盐灭菌后,室温保存。
冷却到室温后调pH,每升高1℃,pH大约下降0。
03个单位。
(Tris—HCl缓冲液(0.05mol/L,25℃)50ml0。
1mol/L Tris)溶液与x ml 0。
1mol/L 盐酸混匀后,加水稀释至100ml 。
Tris缓冲液不仅被广泛用作核酸和蛋白质的溶剂,Tris也是蛋白质电泳缓冲液的主要成分之一)1.3 0.5M EDTA(pH8.0)(1L):186.1g Na2EDTA•2H2O,用NaOH调pH至8.0(约20g),高温高压灭菌,室温保存。
(配置方法1。
称取186.1g Na2EDTA•2H2O,置于1L烧杯中. 2。
加入约800mL的去离子水,充分搅拌。
3。
用NaOH调节pH值值8。
0(约20g NaOH)。
注意:pH值至8.0时,EDTA才能溶解。
4。
加去离子水将溶液定容至1L。
5. 适量分成小份后,高温高压灭菌。
6。
室温保存。
)1。
4 10×TE Buffer(缓冲液)(pH7.4,7.6,8。
0)(1L):组分:100 mM Tris-HCl,10 mM EDTA。
1M Tris—HCl(pH7.4,7。
6,8。
0)取100ml,0.5M EDTA(pH8。
0)取20ml.高温高压灭菌,室温保存。