腹部静脉解剖和变异
- 格式:docx
- 大小:10.73 KB
- 文档页数:2
<<奈特图谱>> 腹部解剖腹壁(1)
腹壁(2)
腹壁(3)
结肠上区(1)
结肠上区(2)
胃(1)
(缩略图,点击图片链接看原图)
举报
• 【公告】第一届全国临床疼痛学术会议丁香园专题报道胃(2)
胃(3)
胃(4)
胃(5)
胃
十二指肠(1)
十二指肠(2)
(缩略图,点击图片链接看原图)
举报
• 【讨论】考博究竟值不值?肝胰壶腹
胰(1)
胰(2) (胰管和血管)
肝脏(脏面和膈面)
肝外胆道
脾(脾及其原位)
腹腔干
腹腔干
断层(上面观)
结肠下区
空肠和回肠
盲肠和阑尾(1)
盲肠和阑尾(2)
阑尾的体表投影及其变异
结肠(1)
结肠(2)
肠系膜上动脉
门静脉系统(1)
门静脉系统(2)
门静脉系统(3)
乳糜池
腹后壁的神经
腹主动脉
下腔静脉
腹后壁的肌
膈(1)
膈(2)
膈(3)。
静脉分布知识点总结1.静脉的定义和功能静脉是血管系统中的一类血管,它们负责将氧合后的血液从身体各处输送回心脏。
静脉的主要功能是将血液从组织和器官运输回肺部进行气体交换,以及将血液从肺部输送至心脏。
相对于动脉,静脉内的血液压力较低,因此静脉还具有一个重要的功能,即在静脉系统内向心脏输送血液的同时,还需要克服重力和其他阻力。
2.主要静脉的分布人体内有许多不同的静脉,它们可以根据其运载的位置、方向和功能来进行分类。
主要的静脉包括:上肢静脉、下肢静脉、颈部及头部静脉、躯干静脉和腹部静脉。
每一类静脉都有其特定的分布和功能。
上肢静脉:上肢静脉主要包括锁骨下静脉、肱静脉、尺桡骨静脉和桡侧静脉。
这些静脉主要负责将手臂、手腕和手部的血液输送回心脏。
下肢静脉:下肢静脉包括大隐静脉、小隐静脉、股静脉、腘静脉和胫前静脉等。
下肢静脉负责将腿部和脚部的血液输送回心脏。
颈部及头部静脉:头部和颈部的静脉主要包括颈内静脉、颈外静脉、面颈静脉和颈下静脉,它们负责将头部和颈部的血液输送回心脏。
躯干静脉:躯干静脉主要包括锁骨下静脉、雷诺静脉以及腹壁静脉,它们负责将躯干部位的血液输送回心脏。
腹部静脉:腹部静脉包括门静脉、肠系膜静脉、脾静脉等,主要负责将腹部内脏器官的血液输送回心脏。
3.重要的静脉除了上述提到的主要静脉外,人体内还有一些非常重要的静脉。
例如:肝静脉,它是唯一直接将血液输送回心脏的静脉,负责将脾脏和肠道的血液经过肝脏,进行过滤和处理后再输送回心脏。
此外,还有髂静脉,它是下肢静脉系统中的一个重要部分,负责将下肢的血液经髂动脉输送至上肢。
4.静脉分布的变异和异常在人体内,静脉的分布并不是固定不变的,它们可能受到遗传、环境、生活习惯等因素的影响而产生变异和异常。
这些变异和异常可能导致一系列的疾病和症状,例如静脉曲张、深静脉血栓形成等。
因此,医学学生和临床医生需要了解静脉分布的变异和异常,以便能够更好地诊断和治疗相关疾病。
5.临床应用静脉分布的知识对于医学学生和临床医生来说非常重要,因为它们可以帮助医生更好地理解和诊断患者的疾病。
医学基础知识:解剖学知识之静脉静脉的知识总结如下:大循环的静脉可分为上腔静脉系、下腔静脉系和心静脉系:⑴上腔静脉系上腔静脉由左、右头臂静脉在右侧第一胸肋关节后合成,垂直下行,汇入右心房。
在其汇入前有奇静脉注入上腔静脉。
接纳头颈、上肢和胸部和静脉血。
头臂静脉,左右各一,分别由颈内静脉和锁骨下静脉在胸锁关节后方汇合而成,汇合处所形成的夹角,称为静脉角。
①头颈部的静脉头颈部的静脉有深、浅之分。
深静脉叫颈内静脉,起自颅底的颈静脉孔,在颈内动脉和颈总动脉的外侧下行。
它除接受颅内的血流外,还受纳从咽、舌、喉、甲状腺和头面部来的静脉。
浅静脉叫颈外静脉,起始于下颌角处,越过胸锁乳突肌表面下降,注入锁骨下静脉。
②上肢的静脉上肢的深静脉均与同名动脉伴行。
上肢的浅静脉有:头静脉起自手背静脉网桡侧,沿前臂和臂外侧上行,汇入腋静脉。
贵要静脉起自手背静脉网尺侧,沿前臂尺侧上行。
在臂内侧中点与肱静脉汇合,或伴随肱静脉向上注入腋静脉。
肘正中静脉在肘部前面连于头静脉和贵要静脉之间。
③胸部的静脉右侧肋间静脉、支气管静脉和食管静脉汇入奇静脉;而左侧肋间静脉则先汇入半奇静脉或副半奇静脉,然后汇入奇静脉。
奇静脉沿胸椎体右前方上行,弓形越过右肺根汇入上腔静脉。
⑵下腔静脉系下腔静脉是人体最大的静脉,接受膈以下各体部(下肢、盆部和腹部)的静脉血,由左、右髂总静脉在第四腰椎下缘处汇合而成,沿腹主动脉右侧上行,穿过膈的腔静脉孔,注入右心房。
①下肢的静脉下肢的深静脉与同名动脉伴行,由股静脉续于髂外静脉。
下肢的浅静脉有:大隐静脉,起自足背静脉弓的内侧端,经内踝前沿下肢内侧上行,在股前部靠上端处汇入股静脉。
小隐静脉起自足背静脉弓外侧端,经外踝后方,沿小腿后面上行,在腘窝注入腘静脉。
②盆部的静脉有壁支和脏支之分。
壁支与同名动脉伴行。
脏支起自盆腔脏器周围的静脉丛(如膀胱丛、子宫阴道丛和直肠丛等)。
壁支和脏支均汇入髂内静脉。
髂外静脉和髂内静脉在骶髂关节前方,汇成髂总静脉。
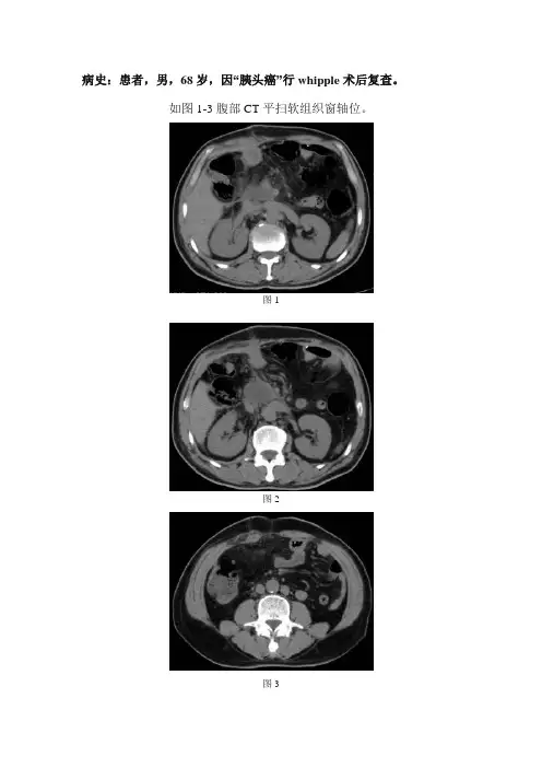
病史:患者,男,68岁,因“胰头癌”行whipple术后复查。
如图1-3腹部CT平扫软组织窗轴位。
图1图2图3基础解剖影像:图4图5图6图7图8图9图10图11图4-11所示分别为正常人纵膈窗轴位增强静脉期。
图4所示为经左侧锁骨下静脉注射对比剂图像,左侧头臂静脉因注入对比剂呈高密度血管影(黄色箭头),和右侧头臂静脉共同汇入上腔静脉(蓝色箭头),最终进入右心房。
图5所示纵膈最前方为左侧头臂静脉与右侧头臂静脉交汇流入上腔静脉,背侧从左至右依次为左侧锁骨下动脉(棕色箭头)、左侧颈总动脉、右侧头臂干动脉。
图9-11所示下腔静脉自右心房向下走行于腹主动脉右侧,较腹主动脉略粗,所示三个层面分别为下腔静脉出口、肾上段、肾段(红色箭头)。
图1图2图3图1-3所示腹部CT平扫软组织窗轴位。
影像描述:下腔静脉(黄色箭头)走行至肾上段经腹主动脉向左侧分出左侧肾静脉(蓝色箭头),后紧邻腹主动脉左侧(蓝色箭头)走行至盆腔。
双下腔静脉较腹主动脉纤细。
皮下软组织见条形高密度影(棕色箭头,手术切口瘢痕形成)。
右侧肾门水平腹主动脉前见囊性低密度影,边界模糊,周围脂肪间隙浑浊(白色箭头,考虑术后渗出形成包裹性积液)。
影像诊断:双侧下腔静脉。
Whipple术后改变。
知识点:1.静脉窦形成:胚胎第4-8周,静脉窦位于原始心房尾端的背面,分为左右两个角,各与左、右总主静脉、脐静脉和卵黄静脉相连。
原来两个角是对称的,以后由于汇入左右角的血管演变不同,大量血液流入右角,右角逐渐变大,窦方孔也渐渐移向右侧;而左角则渐渐萎缩,其远侧端成为左房斜静脉根部,近侧端成为冠状窦。
2.静脉窦血管形成:胚胎第4-8周期间,左右卵黄静脉尾段分支吻合,发育成门静脉,左卵黄静脉头段消失,右卵黄静脉头段则形成下腔静脉头段(黄色箭头)。
右脐静脉以及肝和静脉窦之间的左脐静脉退化消失,从脐至肝的一段左脐静脉则一直保留至出生,并与脐带内的脐静脉相连,将从胎盘回流的血液经肝内形成的静脉导管直接导入下腔静脉,继而流入静脉窦右角。
门静脉变异分型
门静脉变异是指门静脉系统的解剖结构或血流动力学特征与正常不同。
以下是常见的门静脉变异分型:
1.门静脉异位开口
指门静脉分支血管在肝外与胆囊动脉或胆总管吻合,在肝外建立门静脉循环,使肝内门静脉循环缺乏。
这种变异通常在胆囊切除术中发现,患者可无临床症状。
1.副门静脉
正常情况下,门静脉和副肝管之间有吻合支。
若副肝管与门静脉主干或其分支同时存在,即为副门静脉。
副门静脉可出现于以下情况:
(1)副肝管发育异常:副肝管持续存在,与胆囊管合并,开口于胆囊。
(2)先天性副肝动脉:副肝动脉发育较好,出现率约为45.6%。
该动脉与胆总管、胆囊管有丰富的交通支,若这些交通支扩张,可形成副门静脉。
1.异常的门静脉分支
(1)左、右前叶间门静脉直接汇入肠系膜上静脉;
(2)左、右后叶间门静脉汇入脾静脉;
(3)左、右前叶间或左、右后叶间门静脉缺如,而汇入其他细小分支。
1.肝内血管变异
(1)左、右前叶间或左、右后叶间动脉缺如或细小;
(2)一级肝管缺如或细小,而出现二级或三级肝管。
这些变异可能导致术中难以辨认正常的血管结构,增加手术难度和风险。
总之,了解门静脉变异分型对于外科医生在手术中正确识别和保护血管结构具有重要意义。
在手术过程中,医生应充分了解患者可能存在的门静脉变异情况,并采取相应的预防措施,以降低手术风险。
腹部静脉解剖和变异
腹部静脉是指人体腹部内的静脉系统,包括下腔静脉、门静脉、肝静脉、肾静脉等。
这些静脉主要承载来自腹部器官的血液,将其运输回心脏。
腹部静脉的解剖和变异对于诊断和治疗许多疾病非常重要。
下腔静脉是腹部静脉系统的主干,是一条直径约2.5cm、长约10cm的大静脉,起始于腰椎4-5水平,经过腹膜后壁进入腹部。
下腔静脉的主要分支包括肾静脉、肝静脉和髂静脉,这些分支在不同个体中的位置和数量可能存在变异。
门静脉是腹部静脉系统中另一个重要的血管,它携带来自腹部消化器官的血液,包括胃、胰腺、肠道等。
门静脉穿过肝脏,分成肝内门静脉和肝外门静脉两支分支,与肝脏内的肝静脉相连。
肝静脉是静脉系统中的一条重要的血管,承担着将肝脏内的血液排放至下腔静脉的任务。
肝静脉通常有三支,分别为中肝静脉、左肝静脉和右肝静脉。
肝静脉的位置和数量同样存在变异。
肾静脉是腹部静脉系统中的一对静脉,将肾脏内的血液输送至下腔静脉。
左肾静脉较右肾静脉长,因为它穿过腹主动脉和脾脏。
肾静脉的变异比较常见,包括位置、数量和径路的变异。
总的来说,腹部静脉的解剖和变异对于外科手术和影像学检查具有重要意义。
了解腹部静脉的解剖和变异可以帮助医生更好地进行手术规划和诊断评估。