血细胞形态学
- 格式:ppt
- 大小:31.56 MB
- 文档页数:110
1 / 1项目4 缺铁性贫血的检查总课时 4模块1 缺铁性贫血的血象和骨髓象检查课时 2教学目标学会缺铁性贫血的骨髓象检查方法能够正确诊断缺铁性贫血教学内容骨髓涂片检查血涂片检查工作任务1.涂片染色2.骨髓象检查3.血象检查4.诊断和鉴别诊断教学方法1.病例教学法2.PBL教学法教学设计相关理论知识相关实践知识拓展知识思考与练习1.根据病例进行患者的骨髓细胞象检查2.填写骨髓象检查报告单1.骨髓增生程度2.粒红比值3.各系统细胞形态学特点1.骨髓象检查方法2.骨髓象检查注意事项3.缺铁性贫血骨髓象特点1.铁粒幼细胞性贫血缺铁性贫血的鉴别诊断项目4 缺铁性贫血总课时 4模块2 铁代谢检查课时 2教学目标学会铁代谢的检查方法教学内容铁代谢检查工作任务1. 血清铁的测定2.血清总铁结合力的测定3. 血清铁蛋白的测定教学方法1.多媒体教学法教学设计相关理论知识相关实践知识拓展知识思考与练习1. 讲授实验原理、步骤及临床意义2. 有学生实际操作1.血清铁2.血清总铁结合力3.血清铁蛋白1. 血清铁的测定2. 血清总铁结合力的测定3. 血清铁蛋白的测定1. 转铁蛋白饱和度的测定1.IDA时铁代谢的变化项目5 再生障碍性贫血的检查总课时 2模块2 再生障碍性贫血的血象和骨髓象检查课时 2教学目标学会再生障碍性贫血的骨髓象检查方法能够正确诊断再生障碍性贫血教学内容骨髓涂片检查血涂片检查工作任务1.涂片染色2.骨髓象检查3.血象检查4.鉴别诊断教学方法1.病例教学法2.PBL教学法教学设计相关理论知识相关实践知识拓展知识思考与练习1.根据病例进行患者的骨髓细胞象检查2.填写骨髓象检查报告单1.骨髓增生程度2.粒红比值3.各系统细胞形态学特点1.骨髓象检查方法2.骨髓象检查注意事项3.再障骨髓象特点1.急性造血功能停滞2.纯红再障1.再障的鉴别诊断项目6 巨幼细胞性贫血的检查总课时 2模块1 巨幼细胞性贫血的血象和骨髓象检查课时 2教学目标学会巨幼细胞性贫血的骨髓象检查方法能够正确诊断巨幼细胞性贫血教学内容骨髓涂片检查血涂片检查工作任务1.涂片染色2.骨髓象检查3.血象检查4.鉴别诊断教学方法1.病例教学法2.PBL教学法教学设计相关理论知识相关实践知识拓展知识思考与练习1.根据病例进行患者的骨髓细胞象检查2.填写骨髓象检查报告单1.骨髓增生程度2.粒红比值3.各系统细胞形态学特点1.骨髓象检查方法2.骨髓象检查注意事项3.巨幼贫骨髓象特点1.巨幼贫的诊断治疗 1.巨幼贫的鉴别诊断项目7 溶血性性贫血的检查总课时 16模块1 显示溶血的检验方法课时 2教学目标学会溶血的检验方法教学内容溶血的检验方法工作任务1.血浆游离血红蛋白测定2.血清结合珠蛋白测定3.血浆高铁血红素白蛋白测定教学方法1.多媒体教学法教学设计相关理论知识相关实践知识拓展知识思考与练习1. 讲授实验原理、步骤及临床意义2. 有学生实际操作1. 血浆游离血红蛋白2. 血清结合珠蛋白3. 血浆高铁血红素白蛋白1.血浆游离血红蛋白测定2.血清结合珠蛋白测定3.血浆高铁血红素白蛋白测定1. 溶血性性贫血的概念及分类1. 溶血性性贫血时血浆游离血红蛋白、血清结合珠蛋白血浆、高铁血红素白蛋白如何变化项目7 溶血性性贫血的检查总课时 16模块2 溶血性贫血的实验室鉴别诊断课时 2教学目标学会溶血性贫血的实验室鉴别诊断教学内容溶血性贫血的实验室鉴别诊断工作任务1.确定溶血的存在2.确定使血管内还是血管外溶血3.确定溶血性贫血的原因教学方法1.病例教学法2.PBL教学法教学设计相关理论知识相关实践知识拓展知识思考与练习1. 溶血的诊断标准2. 血管内溶血与血管外溶血的鉴别3.溶血原因的确定1. 溶血的诊断标准2. 血管内溶血与血管外溶血的鉴别3.溶血的原因1.溶贫的实验室检查溶血性贫血的特点溶血性贫血的临床表现项目7 溶血性性贫血的检查总课时 16模块3 红细胞膜缺乏症的检验方法课时 2教学目标学会红细胞膜缺乏症的检验方法教学内容红细胞膜缺乏症的检验方法工作任务1.红细胞膜缺陷症的检验方法2.遗传性球形红细胞增多症的检查3.遗传性椭圆形红细胞增多症的检查4. 遗传性口形红细胞增多症的检查教学方法1.PBL教学法教学设计相关理论知识相关实践知识拓展知识思考与练习1. 红细胞膜缺陷症的检验方法2.骨髓细胞象检查3.填写骨髓象检查报告单1.骨髓增生程度2.粒红比值3.各系统细胞形态学特点1.红细胞渗透脆性试验 2.自身溶血试验及纠正实验3.酸化甘油溶血试验1. 红细胞膜缺乏症的诊断1. 红细胞膜缺乏症的鉴别诊断项目7 溶血性性贫血的检查总课时 16模块4 红细胞酶缺乏症的检验方法课时 2教学目标学会红细胞酶缺乏症的检验方法教学内容红细胞酶缺乏症的检验方法工作任务1. 葡萄糖-6-磷酸脱氢酶缺乏症的骨髓象检查2. G6PD缺乏的检验方法3. G6PD缺乏的诊断教学方法1.PBL教学法教学设计相关理论知识相关实践知识拓展知识思考与练习1. 红细胞酶缺陷症的检验方法2.骨髓细胞象检查3.填写骨髓象检查报告单1.骨髓增生程度2.粒红比值3.各系统细胞形态学特点1.高铁血红蛋白还原试验2.变形珠蛋白小体试验3.G6PD荧光斑点试验4.硝基四氮唑蓝试验1. 葡萄糖-6-磷酸脱氢酶缺乏症的分型1.葡萄糖-6-磷酸脱氢酶缺乏症的诊断项目7 溶血性性贫血的检查总课时 16模块5 珠蛋白异常的实验室检查课时 2教学目标学会珠蛋白异常的实验室检查教学内容珠蛋白异常的实验室检查工作任务1.涂片染色2.骨髓象检查3.血象检查4.常用检验方法教学方法1.多媒体教学法2.PBL教学法教学设计相关理论知识相关实践知识拓展知识思考与练习1.骨髓细胞象检查2.填写骨髓象检查报告单3.常用的检验方法1.骨髓增生程度2.粒红比值3.各系统细胞形态学特点1.骨髓象检查方法、注意事项及特点2. 血红蛋白电泳1.血红蛋白的组成和种类2.珠蛋白生成障碍性贫血的病因及发病机制3. β和α地中海贫血的类型1.β和α地中海贫血的血红蛋白电泳结果项目7 溶血性性贫血的检查总课时 16模块6 异常血红蛋白的检验课时 2教学目标学会异常血红蛋白的检验方法教学内容异常血红蛋白的检验工作任务1.血红蛋白S病2. 血红蛋白E病3. 不稳定血红蛋白病教学方法1.病例教学法2.PBL教学法教学设计相关理论知识相关实践知识拓展知识思考与练习1.骨髓细胞象检查2.填写骨髓象检查报告单3.检验方法1.骨髓增生程度2.粒红比值3.各系统细胞形态学特点1.骨髓象检查方法2.骨髓象检查注意事项3. 骨髓象特点4.血红蛋白电泳1.血红蛋白S病2. 血红蛋白E病3. 不稳定血红蛋白病1.异常血红蛋白的鉴别诊断项目7 溶血性性贫血的检查总课时 16模块7免疫性溶血性贫血的检查课时 4教学目标学会免疫性溶血性贫血的检查教学内容免疫性溶血性贫血的检查工作任务1.自身免疫性溶血性贫血2.药物诱发的免疫性溶血性贫血3.新生儿同种免疫性溶血性贫血教学方法1.PBL教学法教学设计相关理论知识相关实践知识拓展知识思考与练习1.自身免疫性溶血性贫血的实验室检查2.药物诱发的免疫性溶血性贫血的实验室检查3.新生儿同种免疫性溶血性贫血的实验室检查1.骨髓增生程度2.粒红比值3.各系统细胞形态学特点1.骨髓象检查方法、注意事项及特点2.抗人球蛋白试验3.冷凝集素试验4.冷热溶血试验1. 自身免疫性溶血性贫血的类型1. 三种药物诱发的免疫性溶血性贫血实验室检查的比较项目8其他贫血检查总课时 2模块1其他贫血检查课时 2教学目标学会其他贫血检查方法教学内容其他贫血检查工作任务1.增生性贫血2.继发性贫血教学方法1.病例教学法2.PBL教学法教学设计相关理论知识相关实践知识拓展知识思考与练习1.增生性贫血的骨髓细胞象检查2.继发性贫血的骨髓细胞象检查3.填写骨髓象检查报告单1.骨髓增生程度2.粒红比值3.各系统细胞形态学特点1.骨髓象检查方法2.骨髓象检查注意事项3.骨髓象特点1. 增生性贫血的概念、类型2.继发性贫血的常见原因1.贫血的鉴别诊断。
临床检验中血细胞形态学检验的必要性分析随着医学技术的不断进步,临床诊断手段也在不断完善,其中血液检验是常见的临床检验项目之一。
而血细胞形态学检验作为血液检验的重要组成部分,对于分析人体健康状态、疾病诊断和治疗效果评价具有重要意义。
本文就血细胞形态学检验的必要性进行分析。
血细胞形态学检验是对血液细胞形态结构进行详细观察和分析的一种检测方法,通过直接镜检观察,可以发现异常的血细胞形态及数量分布,对红细胞、白细胞、血小板等的形态、数量和分布进行全面分析。
这些信息直观地反映了人体内在疾病的某些不正常情况,能够帮助医生进行更准确的诊断和治疗。
血细胞形态学检验可以帮助发现血液病、感染性疾病、免疫性疾病、溶血性疾病和恶性疾病等,这些疾病往往通过影响血细胞的形态和数量来表现。
红细胞形态学检验可以发现红细胞形态异常的贫血、白细胞形态学检验可帮助发现白细胞数量异常或白细胞功能异常的疾病,如感染性疾病等。
血细胞形态学检验能够帮助医生进行快速准确的疾病诊断,及时制定治疗方案,提高治疗效果。
血细胞形态学检验在临床也有着重要的指导意义。
血液检查是临床医生了解患者疾病情况的重要手段,而血细胞形态学检验结果可以为临床医生提供非常重要的参考,它可以帮助医生了解患者的疾病类型和程度,为患者制订合理的治疗方案提供依据。
通过对血细胞形态学检验结果的分析可以更全面地评估患者的病情,帮助医生更好地制定治疗方案,并监测治疗效果。
血细胞形态学检验还可以用于疾病的预后评估和监测。
一些患者在治疗过程中,疾病状态可能会发生变化,血细胞形态学检验可以作为评估疾病预后和监测治疗效果的重要手段。
通过连续对患者进行血细胞形态学检验,可以及时发现治疗效果不佳或者出现复发的情况,帮助医生及时调整治疗方案。
血细胞形态学检验在临床检验中具有非常重要的地位。
它不仅可以帮助医生了解患者的病情,指导治疗方案的制定和调整,还可以评估疾病的预后和监测治疗效果,对于患者的健康至关重要。
正常血细胞形态学血细胞形态学是指通过显微镜观察和鉴定血液中的各种血细胞,从而评估血液系统功能和身体健康状况的一种方法。
正常血细胞形态学指的是在健康人体中,各种血细胞在形态、大小、数量及比例上都处于正常范围之内。
成人正常血细胞形态学主要包括红细胞(RBC)、白细胞(WBC)和血小板(PLT)。
红细胞是血液中数量最多的细胞,主要负责携带氧气和二氧化碳。
正常的红细胞形态学特征包括:-形状:正常红细胞呈酒庄形或淡菱形,两端较尖,出现轻微的凹陷(即贫血性贫形)-大小:正常红细胞直径约为7.5-8.5微米-颜色:正常的红细胞呈苹果核黄色,中心较深且半透明-中心凹陷:正常红细胞有一个中心凹陷,称为中央凹陷,且形状对称-胞质:正常红细胞胞质透明,无细胞器,呈酸性染色(胞质染成粉红色)-数量:男性红细胞计数在400-540亿/L之间,女性为350-480亿/L白细胞是一类具有核与细胞质的细胞,以免疫和炎症反应为主要任务。
正常的白细胞形态学特征包括:-大小:白细胞的大小因种类而异,淋巴细胞大约直径为7-18微米,而中性粒细胞大约直径为12-15微米左右-形态:淋巴细胞呈不规则的形状,核质比例高,胞质先呈亮蓝色后逐渐变深,可见一到数个小胞体;中性粒细胞呈多边形或多角形,胞质呈牛奶白色,内可看到石塞体(荧光小体)-核:各种类型的白细胞核的形状和排列方式有所不同。
淋巴细胞具有完整的圆核,中性粒细胞具有多核叶,而嗜酸性粒细胞具有多个核叶和颗粒体-数量:白细胞计数在4-10×10^9/L之间3.血小板形态学血小板是无色小片状细胞,其主要功能为止血和促进血管损伤处的血栓形成。
-形态:血小板呈椭圆形或圆形,中央较亮(开窗样)或较暗(闭窗样)-大小:正常血小板直径约为2-4微米-数量:血小板计数在150-400×10^9/L之间需要注意的是,在进行形态学鉴定时需要结合临床症状、实验室检查和其他影像学等综合信息进行评估,因为单纯的血细胞形态学结果不能完全确定一个病情的确诊,只是一个辅助诊断的手段。
临床检验中血细胞形态学检验的必要性分析血细胞形态学检验是临床检验中的重要一环,它是通过显微镜观察患者外周血液中各种血细胞的数量和形态特征,以帮助医生诊断疾病和监测治疗效果的一种检验方法。
血细胞形态学检验通过观察红细胞、白细胞、血小板及其形态特征,可以及时了解患者的健康状况,对某些疾病及血液病变的诊断和鉴别诊断起到关键作用。
本文将分析血细胞形态学检验的必要性,并探讨其在临床诊断中的重要作用。
血细胞形态学检验的必要性体现在以下几个方面。
二、疾病的鉴别诊断血细胞形态学检验可以帮助医生进行某些疾病的鉴别诊断。
在某些贫血病例中,通过观察患者的红细胞形态特征,可以判断贫血的类型,如缺铁性贫血、巨幼红细胞性贫血、镰状细胞性贫血等,有助于进行针对性的治疗。
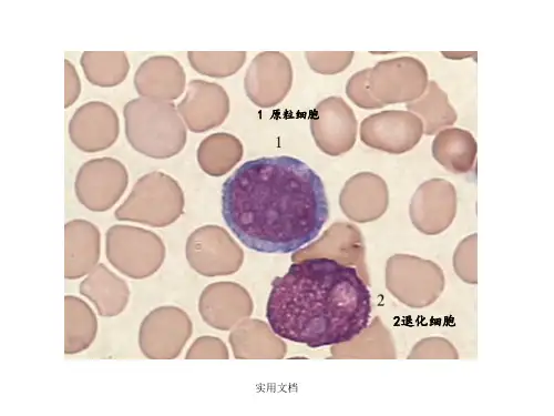
在某些白血病和淋巴瘤病例中,血细胞形态学检验可以观察到异常的白细胞形态特征,有助于鉴别诊断不同类型的白血病和淋巴瘤,为后续的治疗和预后评估提供重要参考。
三、治疗效果的监测血细胞形态学检验可以帮助医生监测治疗效果。
在化疗和放疗治疗白血病和淋巴瘤的过程中,通过持续观察患者的白细胞形态特征,可以及时评估治疗的效果,调整治疗方案。
在贫血治疗过程中,通过观察患者的红细胞形态特征,可以评估贫血的程度和治疗效果,指导治疗的进展。
四、疾病的预后评估血细胞形态学检验还可以帮助医生对某些疾病的预后进行评估。
在某些白血病、淋巴瘤和骨髓病变的治疗过程中,持续观察患者的血细胞形态特征,可以评估疾病的进展和预后,有助于指导后续的治疗和管理。
值得注意的是,血细胞形态学检验虽然在临床诊断中起着重要的作用,但是在进行血细胞形态学检验时,需要严格遵循操作规范,确保检验结果的准确性和可靠性。
医生需要对检验结果进行综合分析和判读,结合患者的临床症状、体征和其他相关检查结果,进行科学合理的诊断和治疗。
这样,才能更好地发挥血细胞形态学检验在临床中的作用,为患者的健康和生命做出更大的贡献。
研究临床检验中血细胞形态学检验的必要性血细胞形态学检验是临床检验中的一项重要检测项目,通过观察和分析血液中的血细胞形态,可以帮助医生判断机体的健康状况、诊断疾病以及监测疾病治疗的效果。
血细胞形态学检验的背景和重要性值得我们深入研究和了解。
血细胞形态学检验是一种通过观察和评估血液中的各种细胞类型和形态特征,来诊断和监测疾病的方法。
它主要关注的是红细胞、白细胞和血小板的形态特征及其数量、比例和分布情况。
血细胞形态学检验是临床检验中非常重要的一项检查,通过对血液细胞的形态特征进行观察和分析,可以快速判断出许多疾病的存在和发展情况。
常见的血液疾病,如贫血、白血病、血小板功能障碍等,都可以通过血细胞形态学检验得到初步的诊断和评估。
血细胞形态学检验包括以下方面的内容:红细胞形态学:通过观察红细胞的大小、形状、染色、有无异常结构等特征,可以判断贫血的类型和原因,如缺铁性贫血、巨幼细胞性贫血等。
白细胞形态学:通过观察白细胞的细胞形态、核形态和数量等特征,可以判断白细胞的变化情况,如白细胞增多、减少、发生畸形等,从而对各种感染、炎症和恶性肿瘤等疾病进行初步诊断。
血小板形态学:通过观察血小板的数量、形状、颗粒含量等特征,可以判断血小板生成和功能异常的情况,对于血小板减少和出血性疾病的诊断非常重要。
总之,血细胞形态学检验通过观察和评估血液中的各种细胞形态和特征,可以帮助医生判断许多血液疾病的存在和发展情况,是临床检验中必不可少的一项检查。
血细胞形态学检验是一种常用的临床检验方法,用于评估患者的血液状况和了解疾病的发展情况。
它通过观察和分析血液中的各种血细胞,包括红细胞、白细胞和血小板,以及它们的数量、形态和结构,从而为临床提供重要的信息。
诊断疾病血细胞形态学检验在临床中广泛用于辅助疾病的诊断。
通过观察血液中的异常细胞形态特征,医生可以判断是否存在某些疾病,如贫血、白血病、感染等。
通过血细胞形态学检验,可以帮助医生进行初步的病因分析和诊断,为治疗方案的制定提供重要依据。