外国网站高清血细胞图谱
- 格式:doc
- 大小:7.58 MB
- 文档页数:20
血液一般检验连云港市第一人民医院检验科临检室图2-1-扫描电镜正常红细胞图2-10-缗钱状图2-11-嗜多色图2-12-嗜碱点彩红图2-13-染色质小体图2-14-卡波环图2-15-有核红细胞图2-16-血细胞比容结果判断图2-17-网织红细胞图2-18-Miller窥盘结构示意图图2-19-网织红细胞计数鉴别正图2-2-正常红细胞图2-20-网织红细胞计数鉴别小图2-21-网织红细胞计数鉴别大图2-22-中性粒细胞分化发育动图2-23-中性粒细胞类白血病图2-24-嗜酸粒细胞类白血病图2-25-正常五种白细胞图2-26-中性杆状核图2-27-中性粒细胞分叶核图2-28-中性粒细胞大小不均图2-29-中毒颗粒图2-3-红细胞大小不均图2-30-空泡形成图2-31-杜勒小体图2-32-中性粒细胞退行性变图2-33-棒状小体图2-34-中性粒细胞的核象变化图2-35-中性粒细胞核左移图2-36-中性粒细胞核右移图2-37-巨多核中性粒细胞图2-38-巨杆状核1图2-39-过分叶核中性粒细胞图2-4-巨红图2-40-双核中性粒细胞图2-41-环形核中性粒细胞和核图2-42-Chediak-higashi畸形图2-43-Alder-Reilly畸形图2-44-May-Hegglin畸形图2-45-Pelger-Huet畸形图2-46-异型淋巴1图2-47-异型淋巴Ⅱ图2-48-异型淋巴Ⅲ图2-49-卫星核淋巴细胞图2-5-球形红图2-50-正常血小板图2-51-大血小板图2-52-异常形态血小板图2-53-血小板卫星现象图2-54-血小板聚集图2-55-正常止血机制图2-56-PT检测原理图2-57-APTT检测原理图2-6-椭圆红细胞图2-7-靶红图2-8-棘形红图2-9-泪滴形红细胞。
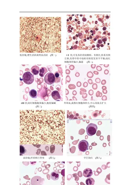
低倍镜,增生活跃或明显活跃(图一)40倍,可见各阶段幼稚粒、有核红,粒系有核左移,有得中性中幼粒有核浆发育不平衡;幼红细胞体积偏小,偏蓝(图二)100倍,幼红细胞胞体偏小,胞浆偏碱外周血,成熟红细胞体积小,中心浅染去扩大(图三) (图四)低倍镜,增生活跃,细胞胞体偏大(图五)低倍镜,增生活跃,细胞胞体偏大(图五) 40倍,可见各阶段巨幼红细胞(图六)中巨幼红(图八)大红细胞及H—J小体(100倍) (图九) 过分叶核粒细胞(图十)低倍镜,增生明显活跃(图十一) 高倍镜,红系明显增生,中晚幼红为主,成熟红细胞多嗜性(图十二)低倍镜:成人CAA,髂骨:增生减低, 高倍镜骨髓小粒:组织嗜碱细胞,油滴较多,小粒空虚,细胞面积约20%浆细胞,网状细胞(图十三) (图十四)儿童(CAA)髂骨涂片,增生活跃(-)粒系晚幼一下阶段为主,炭核红,巨核巨核少见(图十五) 少(40倍) (图十六)儿童SAA(胸骨) (图十七) 破骨细胞(图十八)(图十九)(图二十)核间桥(细胞内)(图二十一) 三核红(图二十二)假性Pelge-Huet畸形(图二十三) 环形核(图二十四)免疫酶标(图二十五)环状铁粒幼红细胞(图二十六)增生极度活跃CML(图二十七) BM:以中心中晚幼粒为主,嗜酸,嗜碱粒易见(图二十八)CML(PB) (图二十九)PV 增生活跃(图三十)成熟红细胞堆积排列(图三十一)外周血可见泪滴红(图三十二)ET外周血,血小板大片状分布(图三十三)ET 骨髓成熟产板巨核,(图三十四)幼稚浆细胞细胞形态(图三十五)骨髓涂片浆细胞淋巴瘤细胞形态学特征(图三十六)骨髓活检浆细胞骨髓瘤组织学表现(图三十七)骨髓活检浆细胞骨髓瘤组织学特征(图三十八)Russel包涵体(图三十九)(图四十) 原发性淀粉样变性图示肺血管淀粉样变性A:刚果红染色B:苹果绿双折光血清蛋白电泳(图四十一) 血清蛋白电泳示多克隆(黄色)与单克隆(蓝色) 图中示γ区单克隆“M”蛋白峰免疫球蛋白得对比(图四十二)免疫固定电泳显示血与尿“M”蛋白成分图中示血清中IgG-κ轻链M蛋白成分以及κB—J蛋白尿(图四十三)核呈分叶状得巨大浆细胞(图四十四) MM细胞胞体较大,核形不规则(图四十五)火焰状MM细胞双核三核MM细胞(图四十六)由于Ig沉积MM胞浆中可见结晶及包含体(图四十七)AML伴有t(8;21)(q22;q22),(AML1/ETO) APL[AML伴有t(15;17)(q22;q11-12)异常中幼粒,核旁“朝阳红”(图四十九) M3得核形与大小不规则,常为肾形核或双核胞浆内充满粗大得嗜天青颗粒。
各种血细胞模式图Document serial number【UU89WT-UU98YT-UU8CB-UUUT-UUT108】各种血细胞模式图1.红细胞2.嗜酸性粒细胞3.嗜碱性粒细胞4.中性粒细胞5.淋巴细胞6.单核细胞7.血小板红细胞聚集分布成熟红细胞随机呈块状或束状聚集在一起,临床主要表现为以下病症:1.多种抗体暴露;2.溶血性贫血(自身免疫性);3.非典型肺炎;4.金葡菌感染;5.冷凝集疾病。
靶形红细胞红细胞中央色深,外周以苍白圈,在近红细胞边缘处又较深。
形同射击之靶,在正常情况下靶形细胞极少见。
但在黄疸、肝病、脾切除后,缺铁性贫血,尤其是在地中海贫血的血涂片上颇为常见。
镰状红细胞这种红细胞两端尖锐,长而狭,形如镰刀样,见于先天性镰状红细胞贫血和Hb-C病等Bite Cell 红细胞由于细胞内血红蛋白变性或沉淀成块,使细胞呈半圆形,提示可能有红细胞膜的缺乏,如G-6-PD缺乏症。
水滴形红细胞红细胞形态如梨形或水滴形,见于各种增生性贫血及骨髓纤维化,以及地中海贫血、脾功能亢进或肾病等。
固缩红细胞红细胞中有一侧清晰区,而血红蛋白浓缩偏向另一侧,临床上常见于婴儿固缩红细胞增多症。
半月形红细胞胞体巨大,呈月形,淡红色。
为衰老红细胞在制片时人工造成,或见于某些增生性贫血、血小管球性肾炎。
刺毛红细胞亦称锯凿细胞。
包括刺细胞、钻细胞及距细胞。
往往见于微血管病性溶血性贫血、丙酮酸激酶缺乏症、PNH,距细胞多见于肝脏疾病,钻细胞也见于尿毒症。
球形红细胞此种红细胞直径缩短,厚度增加,细胞中心区的血红蛋白比周围多,呈小球形状。
常见于遗传形红细胞增多症、自身免疫性溶血性贫血、异常血红蛋白病(如Hb-S等)。
椭圆形红细胞红细胞呈椭圆形,横径缩短,长径增大,正常人椭圆形红细胞也可高达15%。
这种红细胞多见于遗传性椭圆形红细胞增多症,这种红细胞至少占25%,一般要高于25%-50%才有诊断价值。
在大红细胞性贫血可达25%,恶性贫血及严重缺铁性贫血、地中海贫血及镰刀形贫血也可见此细胞。