医学课件儿童孟氏骨折汇总
- 格式:ppt
- 大小:2.53 MB
- 文档页数:27
《孟氏骨折课件》xx年xx月xx日•孟氏骨折概述•孟氏骨折的诊断•孟氏骨折的治疗方法目录•孟氏骨折的康复与护理•孟氏骨折的预防与展望01孟氏骨折概述孟氏骨折是指桡骨头关节面骨折合并尺骨上段骨折和移位,是一种特殊类型的骨折。
定义孟氏骨折的特点是桡骨头关节面骨折同时合并尺骨上段骨折和移位,通常是由于肘关节处于半屈或伸直位时,手掌着地受伤所致。
特点定义与特点1孟氏骨折的类型23桡骨头关节面骨折合并尺骨上段骨折,无桡骨远端移位。
Ⅰ型桡骨头关节面骨折合并尺骨上段骨折,同时伴有桡骨远端移位。
Ⅱ型桡骨头关节面骨折合并尺骨上段骨折,同时伴有桡骨远端粉碎性骨折。
Ⅲ型直接暴力肘关节处于半屈或伸直位时,手掌着地受伤所致。
间接暴力肘关节处于半屈或伸直位时,手臂着地受伤所致。
孟氏骨折的发病机制02孟氏骨折的诊断临床表现孟氏骨折的主要临床表现为肘关节疼痛、活动受限、局部肿胀、关节畸形等。
其中,桡骨头或桡骨颈骨折时,可出现前臂旋转受限;尺骨鹰嘴骨折时,可出现“银叉”畸形。
诊断标准孟氏骨折的诊断主要依据患者的临床表现、体格检查和影像学检查。
其中,影像学检查(如X线、CT等)可以明确骨折的类型、移位程度和关节脱位的情况,对于诊断和治疗具有重要意义。
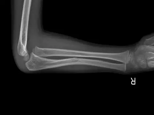
临床表现与诊断标准X线检查X线检查是诊断孟氏骨折的基础手段,可以显示骨折的类型、移位程度和关节脱位的情况。
常规拍摄包括肘关节正侧位片,必要时可加拍斜位片以排除交叉韧带损伤。
影像学检查与诊断CT检查CT检查可以更清晰地显示骨折的细节和移位程度,同时可以评估关节面受损的情况,对于制定手术方案具有重要指导意义。
MRI检查对于合并韧带损伤的孟氏骨折,MRI检查可以帮助评估韧带损伤的部位和程度,为治疗方案的选择提供参考。
鉴别诊断与其他损伤的区分肘关节脱位01肘关节脱位常表现为肘部疼痛、肿胀和活动受限,与孟氏骨折相似。
但肘关节脱位时肘后三角关系发生改变,可据此进行鉴别。
肱骨外上髁骨折02肱骨外上髁骨折常导致肘部外侧疼痛和压痛,但一般无前臂旋转受限。
孟氏骨折健康指导课件一、骨折概述骨折是指骨骼因外力作用而断裂或产生裂缝的一种情况。
孟氏骨折(Monteggia fracture)是指尺骨上1/3段骨折合并桡骨头脱位,或桡骨头脱位合并尺骨上1/3段骨折。
此类骨折常见于儿童和青少年。
二、孟氏骨折的类型孟氏骨折分为两种类型:1. 类型I:尺骨上1/3段骨折,桡骨头脱位。
2. 类型II:桡骨头脱位,尺骨上1/3段骨折。
三、孟氏骨折的症状孟氏骨折的主要症状包括:1. 局部疼痛:骨折部位会出现明显的疼痛。
2. 肿胀:骨折部位会出现肿胀。
3. 功能障碍:受伤手臂的功能会受到影响,如活动受限等。
4. 畸形:骨折部位可能出现明显的畸形。
5. 桡骨头脱位:可伴有桡骨头脱位的症状,如手腕桡侧疼痛等。
四、孟氏骨折的诊断孟氏骨折的诊断主要依据临床表现和X线检查。
医生会对受伤手臂进行详细的体检,包括观察伤处是否有畸形、触摸骨折部位等。
此外,医生会安排X线检查以确定骨折的具体部位和类型。
五、孟氏骨折的治疗孟氏骨折的治疗方法包括保守治疗和手术治疗。
1. 保守治疗:对于无明显移位的新鲜孟氏骨折,可采用石膏固定、牵引等方法进行治疗。
患者需在医生的指导下进行康复锻炼。
2. 手术治疗:对于有明显移位的孟氏骨折或有桡骨头脱位的情况,可能需要手术治疗。
手术方法包括复位、固定等。
六、健康指导1. 遵循医嘱:在治疗过程中,患者需严格按照医生的指导进行治疗,定期复查。
2. 康复锻炼:在恢复期间,患者需进行适当的康复锻炼,以促进受伤手臂的功能恢复。
3. 饮食调理:患者在康复期间需注意饮食,保证营养均衡,有助于骨折的愈合。
4. 注意休息:患者在康复期间需保证充足的休息,避免过度活动。
七、总结孟氏骨折是一种常见的骨折类型,主要影响儿童和青少年。
通过详细的体检和X线检查,医生可确诊孟氏骨折。
治疗孟氏骨折的方法包括保守治疗和手术治疗。
患者在治疗过程中需遵循医嘱,进行适当的康复锻炼,注意饮食和休息,以促进骨折的愈合和功能恢复。
孟氏骨折-课件contents •孟氏骨折概述•孟氏骨折的类型•孟氏骨折的诊断与鉴别诊断•孟氏骨折的治疗•孟氏骨折的康复与预后•孟氏骨折的预防与日常护理目录01孟氏骨折概述1定义与特点23孟氏骨折是指桡骨头、尺骨小头、桡骨干近端和尺骨茎突骨折,是肘关节的一种严重损伤。
孟氏骨折分为三种类型:伸直型、屈曲型和内收型,其中伸直型最为常见。
孟氏骨折常伴有尺骨茎突骨折,且可能累及桡骨头、尺骨小头和桡骨干近端。
孟氏骨折的主要原因是间接暴力,如跌倒时手部着地,肘关节处于半屈或伸直状态,同时受到外翻或旋转暴力。
尺骨小头脱位是导致孟氏骨折的另一个常见原因。
发病原因孟氏骨折在儿童和青少年中较为常见,特别是5-15岁的人群。
在成人中,孟氏骨折较为少见,但可能伴随其他损伤,如尺骨茎突骨折、桡骨头脱位等。
发病率与年龄分布02孟氏骨折的类型总结词尺骨近端简单骨折,桡骨头和尺骨近端脱位详细描述第1型孟氏骨折是最常见的类型,通常由屈曲尺骨鹰嘴突受撞击所致。
骨折线通常为横向或斜行,尺骨近端向后上方移位,桡骨头和尺骨近端之间存在脱位或半脱位。
第1型总结词尺骨近端简单骨折,桡骨头脱位,尺骨头向背侧移位详细描述第2型孟氏骨折是由于肘关节屈曲位受伤所致。
骨折线通常为横向或斜行,尺骨近端向后上方移位,桡骨头向前外侧脱位,尺骨头向背侧移位。
第2型总结词尺骨近端粉碎骨折,桡骨头和尺骨近端脱位详细描述第3型孟氏骨折通常由高能量暴力所致。
尺骨近端粉碎骨折,桡骨头和尺骨近端之间存在脱位或半脱位。
此型骨折损伤严重,治疗较为复杂。
第3型总结词尺骨近端骨折合并桡骨头骨折、尺骨鹰嘴突骨折等详细描述除上述三种类型外,孟氏骨折还有其他一些特殊类型,如尺骨近端骨折合并桡骨头骨折、尺骨鹰嘴突骨折等。
这些特殊类型的孟氏骨折在诊断和治疗上需要更加注意。
其他特殊类型03孟氏骨折的诊断与鉴别诊断1诊断标准与依据23桡骨头、颈干、尺骨鹰嘴部骨折、尺骨近端向后移位。
典型表现显示桡骨头、颈干、尺骨鹰嘴部骨折及尺骨近端移位。