动脉瘤样骨囊肿概述
- 格式:ppt
- 大小:384.50 KB
- 文档页数:39
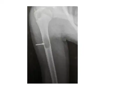
影像杀手闲余之时回顾一下我所遇到的关于腓骨头肿瘤样变的病例,与大家共同进步!!!腓骨头及腓骨上端动脉瘤样骨囊肿动脉瘤样骨囊肿的诊断要点:好发于青少年及青壮年长骨干骺端或骨端呈偏心性、膨胀性、溶骨性囊状骨质破坏囊灶内有粗细不均的骨小梁样或骨嵴样分隔CT及MRI显示囊内有液-液平面具有特殊性MRI显示轮廓清楚的分叶状病灶边缘有低信号环绕具有特殊性腓骨头骨巨细胞瘤骨巨细胞瘤的诊断要点:好发年龄为20—40岁常见于四肢长骨骨端,尤其股骨下端、胫骨上端和桡骨下端病灶呈偏侧性囊状、皂泡状、膨胀性骨破坏或单一的骨质溶解破坏,皮质菲薄骨嵴断裂、骨壳不完整、出现软组织肿块,提示生长活跃或恶性局部切除易复发、恶变!左腓骨头骨巨细胞术后复发恶变为恶性骨巨细胞瘤右腓骨上端骨瘤(疏松型)【该部位出现骨瘤罕见,但是病理结果是骨瘤(疏松型)真是】骨瘤是一种成骨性良性肿瘤,占骨良性肿瘤的8%。
骨瘤起源于膜内成骨,多见于膜内化骨的骨骼。
骨瘤以11—30岁最多,男性多于女性。
骨瘤好发于颅骨,其次为颌骨,多见于颅骨外板和鼻旁窦壁。
颅面骨骨瘤一般为单发,少数为多发,可分为致密型和疏松型。
致密型:大多突出于骨表面,表现为半球状、分叶状边缘光滑的高密度影,内部骨结构均匀实密,基底于颅外板或骨皮质相连;疏松型:较少见,可长的较大。
自颅板成半球状或扁平状向外突出较明显,内板多有增厚。
腓骨头骨肉瘤(图片来源与影像医学和核医学版块)骨肉瘤诊断要点:常见于青少年好发于四肢长骨干骺端,尤其膝关节附近数量不等的片状致密瘤骨或/和边界不清的溶骨性骨破坏骨皮质破坏、断裂,常伴骨膜增生,易形成Codman三角常出现软组织肿块好发生肺转移腓骨头软骨肉瘤软骨肉瘤的诊断要点:常见于30岁以后好发于骨盆骨、股骨、胫骨、肋骨、肩胛骨、肱骨等中心型者呈骨髓腔内或皮质下溶解性骨破坏与钙化、残存骨、瘤骨形成混杂密度肿块周围型者呈骨性肿瘤上的厚软骨帽,内含不规则钙化及软组织块软组织肿块内丰富的点状、环状及半环状钙化为其特征可有骨软骨瘤恶变而来腓骨头恶性纤维组织细胞瘤恶性纤维组织细胞瘤malignant fibrous histiotoma,MFH多发生于深层软组织,首先由O’Briea和Stoat所报道,原发于骨内者甚为少见。
动脉瘤样骨囊肿的影像学诊断结果背景动脉瘤样骨囊肿(Aneurysmal bone cyst, ABC)是一种少见的良性骨肿瘤,主要发生于年轻人。
其特征是在骨骼系统中形成的囊状结构,而且其内部有许多小的囊样结构,这些结构被称为血管瘤,所以动脉瘤样骨囊肿也被称为骨血管瘤囊性变。
由于动脉瘤样骨囊肿的病理学特征与其他骨肿瘤相似,因此有时候仅凭临床症状无法准确地确定其诊断结果。
而影像学诊断技术,特别是CT和MRI成像,已经成为临床上诊断动脉瘤样骨囊肿的最佳方法之一。
影像学表现CT表现动脉瘤样骨囊肿在CT影像上一般呈现为圆形或椭圆形囊状病变,其内部有大小不等的多个囊样区域,病变区域呈均匀低密度影像。
但是,由于囊壁较薄,其CT值常与囊内容物一致,因此CT无法准确反映囊壁的状况。
此外,病变可伴有明显的骨质破坏,但边缘清晰,无明显勾角或锯齿状。
MRI表现动脉瘤样骨囊肿在MRI影像上的表现与CT类似。
其呈高信号强度的信号与T2WI序列相符,呈低信号强度的信号与T1WI序列相符。
MRI可很好地显示病变内部囊样区域的形态和大小,同时具有较好的分辨囊壁与邻近软组织的能力。
诊断根据上述影像学表现,动脉瘤样骨囊肿的诊断需要以下几个方面的考虑:影像学检查的选择目前,CT和MRI成像是最常用于诊断骨肿瘤的影像学检查方法,各自具有不同的优势。
CT成像显示出色,对于详细的骨骼结构描述较好。
而MRI成像对于软组织结构的显示出色,具有较好的分辨囊壁与邻近软组织的能力。
因此,根据病情和临床需要,选择适当的影像学检查方法有助于更准确地诊断动脉瘤样骨囊肿。
影像学表现的分析在CT和MRI的影像学表现中,动脉瘤样骨囊肿与其他骨肿瘤具有相似的影像学表现。
但在CT影像中,其内部多个低密度区域以及骨质破坏的特征,有助于与其他骨肿瘤鉴别。
而在MRI影像中,其实质与病变囊壁之间的T1和T2信号差异、多囊样区域的大小等特征,也是判断动脉瘤样骨囊肿的关键。
临床病史和其他检查根据患者的临床病史、体格检查及其他相关检查结果,可以进一步了解动脉瘤样骨囊肿的病情。
动脉瘤样骨囊肿的影像学表现及鉴别诊断动脉瘤样骨囊肿的影像学表现及鉴别诊断一、引言动脉瘤样骨囊肿是一种罕见的骨肿瘤,其影像学表现多样化,诊断上有一定的难度。
本文旨在探讨动脉瘤样骨囊肿的影像学特点及与其他骨肿瘤的鉴别诊断。
二、影像学表现1.X线表现动脉瘤样骨囊肿的X线表现可分为骨质破坏型和无骨质破坏型两种类型。
骨质破坏型表现为囊状骨破坏区,边缘呈不规则或波浪状,可有骨质硬化或壁内分隔。
无骨质破坏型表现为周围骨质增生,并伴有骨膜反应。
2.CT表现CT可清晰显示动脉瘤样骨囊肿的内部结构及壁内分隔。
在增强扫描中,囊肿壁可呈不规则或分叶状强化,囊内可见壁结节状强化。
3.MRI表现MRI是评估动脉瘤样骨囊肿的最有价值的影像学方法。
T1WI上囊肿呈低信号,T2WI上呈高信号,可见壁内分隔。
增强扫描中,囊肿壁呈明显强化。
4.PET.CT表现PET.CT扫描可帮助鉴别动脉瘤样骨囊肿与其他恶性肿瘤。
动脉瘤样骨囊肿通常不具有代谢活性,PET.CT图像上囊肿区呈低代谢区域。
三、鉴别诊断1.骨囊肿动脉瘤样骨囊肿与骨囊肿的鉴别主要依靠影像学表现。
骨囊肿的边缘较为规则,无分隔及壁结节。
增强扫描中,骨囊肿不强化。
2.骨母细胞瘤动脉瘤样骨囊肿与骨母细胞瘤鉴别困难。
骨母细胞瘤多呈实性,可有骨样结构及小区域钙化。
增强扫描中,骨母细胞瘤明显强化。
3.骨肉瘤动脉瘤样骨囊肿与骨肉瘤的鉴别主要依据典型的临床症状及病理学检查。
四、附件本文档涉及附件详见附件1.五、法律名词及注释1.动脉瘤样骨囊肿:一种罕见的骨肿瘤,常见于骨盆和四肢长骨,其壁内可有分隔,囊肿壁呈不规则强化。
2.X线:一种常用的医学影像学技术,通过X射线的穿透性来观察和诊断病变。
3.CT:计算机断层扫描,利用X射线通过人体的影像产生三维图像,可以更清晰地显示病变。
4.MRI:磁共振成像,通过利用磁场和无线电波来观察人体内部结构和病变。
六、全文结束。
动脉瘤样骨囊肿治疗方法*导读:动脉瘤样骨囊肿是一种以儿童或者青壮年为发病群体的以瘤内有均匀泡沫状透亮区为特点的良性单发骨肿瘤,主要位于骨干或脊柱的后部或者长骨干骺端。
动脉瘤样骨囊肿的病因尚不明晰,可能与静脉压明显增高有关,临床表现为患处出现功能障碍,局部疼痛肿胀。
一旦发病,患者应及早治疗。
动脉瘤样骨囊肿治疗方法有哪些,下面我们探讨一下。
……动脉瘤样骨囊肿是一种以儿童或者青壮年为发病群体的以瘤内有均匀泡沫状透亮区为特点的良性单发骨肿瘤,主要位于骨干或脊柱的后部或者长骨干骺端。
动脉瘤样骨囊肿的病因尚不明晰,可能与静脉压明显增高有关,临床表现为患处出现功能障碍,局部疼痛肿胀。
一旦发病,患者应及早治疗。
动脉瘤样骨囊肿治疗方法有哪些,下面我们探讨一下。
*动脉瘤样骨囊肿治疗方法在治疗动脉瘤样骨囊肿之前,患者要先做检查,检查可见较多破骨细胞型巨细胞和组织细胞,囊壁呈宽带状并充满红细胞。
X线检查可见溶骨性病变,病变边缘有狭窄的硬化带或者不规则小梁。
检查后,如确诊为动脉瘤样骨囊肿,则应采取手术治疗法进行治疗。
手术治疗目的为切除或刮除病变并植骨。
手术治疗步骤比较复杂,手术时如出血过多,应及时输血。
手术后应做脊柱融合术,脊柱融合术有利于病情的稳定。
如果患病部位对不易施行手术,可采用放射治疗法治疗疾病,放射治疗法治疗效果较佳。
放疗对于脊椎原发性骨囊肿不建议使用,是因为原发性骨囊肿多数发病在青少年,且放疗有肉瘤样恶变、放射性脊髓损伤等明显并发症。
Charles等将放射性核素凝胶直接注入ABC病灶治疗原发性骨囊肿,疗效满意,但这种方法使用例数少,尚无判断其临床效果和并发症。
大多数的原发脊髓骨囊肿的复发在2年内,因此2你那的随访期是最短的随访时间,要求对所有患者进行5年的随访,对于进行放疗治疗的患者,要求终身随访。
对于继发性脊髓骨囊肿,应该根据原发病变进行治疗。
动脉瘤样骨囊肿治疗方法,大家已经知道。
如果大家还有相关疑问,欢迎咨询相关专栏的医生或者各专业医院的医生医生会根据您的具体情况告知您答案。
骨肿瘤考点总结骨肿瘤良性肿瘤骨巨细胞瘤原发性恶性肿瘤转移性骨肿瘤骨的瘤样病损知识点一良性肿瘤一、良性肿瘤(一)骨瘤(了解)大多发生于颅骨和下颌骨,有时长入鼻窦,表现为骨性肿块,为真性骨瘤,无软骨帽和滑囊。
属G0T0M0。
对于肿瘤小而无明显症状者,可以不作治疗。
对有明显症状或严重影响美容者,可行切除术,预后良好。
(二)骨样骨瘤(了解)1.为一个孤立、小圆形或圆形的痛性病变,少见,好发年龄15~25岁。
好发部位下肢长骨。
病理特征:有一个圆形或卵圆形的瘤巢,被反应骨包围。
不持续性生长,肿瘤直径很少超过1cm。
2.临床表现进行性加重性疼痛。
多可用阿司匹林止痛。
病损如邻近关节,可出现关节炎症状,影响关节功能。
3.属G0T0M0。
明确诊断后应手术治疗彻底切除瘤巢及其外围的骨组织可防止复发。
术后疼痛很快消失。
(三)骨软骨瘤1.较常见好发年龄:青少年。
好发部位:长骨的干骺端。
病理特征:此肿瘤属软骨源性,其结构包括骨组织和其上的软骨帽(骨组织由表面生长的软骨帽逐渐骨化而成)。
约1%的单纯骨软骨瘤可恶变,而多发骨软骨瘤及广基底的骨软骨瘤有明显恶变倾向。
骨软骨瘤与周围的肌或肌腱反复摩擦,可形成附加滑囊。
2.临床表现可长期无症状,若肿瘤压迫周围组织以及其表面的滑囊发生炎症,可产生疼痛。
体检所见肿块较X线片显示得大。
3.X线表现在干骺端可见骨性突起,其皮质和松质骨与正常骨相连。
其突起可带蒂,也可无蒂。
软骨帽可呈不规则钙化。
4.属G0T0M0,一般不需治疗若肿瘤生长快,影响活动功能,或压迫神经,血管,以及肿瘤自身发生骨折时,应做切除术。
切除应从肿瘤基底周围部分正常骨组织开始,包括纤维膜或滑囊、软骨帽,以及肿瘤本身一并彻底切除,防止复发。
(四)软骨瘤1.以透明软骨为主要病变位于骨中心者称内生软骨瘤,较多见;偏心向外突出者称骨膜下软骨瘤,较少见。
好发部位:手和足的管状骨。
多发性软骨瘤恶变多形成软骨肉瘤。
2.临床表现以无痛肿胀居多,可在摄片时偶尔发现。
动脉瘤样骨囊肿是怎么回事?*导读:本文向您详细介绍动脉瘤样骨囊肿的病理病因,动脉瘤样骨囊肿主要是由什么原因引起的。
*一、动脉瘤样骨囊肿病因*一、发病原因本病病因迄今未明。
大多数学者认为可能是由于局部持续性血流动力学障碍,引起静脉压极度升高致血管扩张,导致受累椎体骨质被吸收。
*二、发病机制其发病机制目前争论较多。
多数学者认为是骨内动脉与静脉异常吻合,致内压增高,血腔扩大,骨质破坏,出血而形成的血性囊腔。
近年来不少学者将本病分为原发性和继发性两类。
所谓原发性是指除了动脉瘤样骨囊肿的病变以外,没有发现其他伴随病变并存。
继发性是指本病常伴随其他良性肿瘤或瘤样病损存在,甚至可与恶性肿瘤并存。
动脉瘤样骨囊肿也可由非骨化性纤维瘤,软骨母细胞瘤,骨母细胞瘤,单纯骨囊肿,软骨粘液纤维瘤和纤维结构不良继发转变而来。
动脉瘤样骨囊肿与上述病变的联系相当密切,所以组织学报告必须包括病损多个取材部位的结果,以排除可能的原发病种。
最常见的前原发病为:巨细胞瘤(19-39%)。
其次骨母细胞瘤、血管瘤,软骨母细胞瘤、软骨粘液样纤维瘤,单纯性骨囊肿,纤维组织细胞瘤,嗜酸性肉芽肿和骨肉瘤。
动脉瘤样骨囊肿内可见多数充满似血液的大小不等的囊腔,呈暗红色或棕色,以纤维组织为间隔。
囊壁组织分两型:①肉芽肿型,囊壁厚薄不等,主要由丰富的多核巨细胞及间质细胞所构成。
②纤维型,主要为成熟的纤维组织,亦可见不等量纤维性骨化,囊壁的血管改变见中小静脉明显扩张充血,血管壁呈不同程度的增厚。
因在动脉瘤样骨囊肿的病理改变主要为大小不等的血性囊腔,囊壁不是正常的血管壁,而由反应性间质细胞及多核巨细胞构成,其下可见到纤维组织层,内有反应性骨质。
在病理学检查时常有伴随病变的组织学特点,因此要仔细观察病理改变的特点。
*温馨提示:以上就是对于动脉瘤样骨囊肿病因,动脉瘤样骨囊肿是由什么原因引起的相关内容叙述,更多有关动脉瘤样骨囊肿方面的知识,请继续关注疾病库,或者在站内搜索“动脉瘤样骨囊肿”找到更多扩展内容,希望以上内容可以帮助到您!。