肺炎克雷伯杆菌肺炎
- 格式:doc
- 大小:47.50 KB
- 文档页数:4
中医药治疗肺炎克雷伯杆菌全耐药重症肺炎肺炎克雷伯杆菌全耐药重症肺炎是一种严重的疾病,常常给患者带来巨大的痛苦和压力。
传统的西医治疗方法在治疗这种疾病时效果并不明显,而中医药治疗这种疾病的方法却有着独特的优势。
在中医药治疗过程中,通过中药的药性和针灸的治疗手法,能够有效改善患者的症状,提高免疫力,帮助患者战胜疾病。
中医药治疗肺炎克雷伯杆菌全耐药重症肺炎的方法主要包括中药治疗、针灸治疗和艾灸治疗。
下面将详细介绍这些治疗方法的具体内容。
首先我们来看一下中医药治疗肺炎克雷伯杆菌全耐药重症肺炎的中药治疗方法。
中药治疗是中医药治疗疾病的核心方法之一,中医药治疗肺炎克雷伯杆菌全耐药重症肺炎的中药方药主要是根据患者的症状和体质特点来调配的。
在治疗肺炎克雷伯杆菌全耐药重症肺炎时,中医医师会根据患者的症状给予一些温肺化痰、清热解毒、活血化瘀的中药。
这些中药具有温通肺气、化痰、清热解毒、活血化瘀等功效,能够有效缓解患者的咳嗽、咳痰、发热等症状,改善患者身体的状况。
针灸治疗也是中医药治疗肺炎克雷伯杆菌全耐药重症肺炎的一种常用方法。
针灸疗法作为中医药的重要组成部分,已经在临床上得到了广泛的应用。
通过刺激穴位,调整人体的气血、阴阳平衡,增强机体的免疫力,从而达到治疗疾病的目的。
在治疗肺炎克雷伯杆菌全耐药重症肺炎过程中,中医医师会选择一些与呼吸系统相关的穴位进行针灸刺激,比如足太阴肺经的太淵、太白穴。
这些穴位对调理呼吸系统、增强肺部功能有着积极的作用。
艾灸治疗也是中医药治疗肺炎克雷伯杆菌全耐药重症肺炎的重要手段。
艾灸疗法作为中医药的重要疗法之一,其温经散寒、活血通络、祛风除湿的特点,在肺炎克雷伯杆菌全耐药重症肺炎的治疗中也有一定的作用。
中医医师会利用艾绒的温热之气,通过燃烧艾条,使其温热的作用直接渗透到穴位和经络,从而起到祛寒散湿、温通经络的作用。
在中医药治疗肺炎克雷伯杆菌全耐药重症肺炎的过程中,患者还需要注意日常护理和饮食调理。
肺炎克雷伯杆菌肺炎的CT征象分析克雷伯菌是德国物理学家E·Friedlande于1882年首先描述,为革兰染色阴性的粗短杆菌,属肠杆菌科,共有7个菌种。
肺炎克雷伯杆菌是医院感染最常见的病原菌之一,近年来多倾向于其耐药性临床研究,而对肺炎克雷伯杆菌肺炎影像学征象分析报道较少。
本次研究收集本院81例经微生物学和临床证实为肺炎克雷伯杆菌肺炎的临床资料及CT扫描资料,总结该病的CT表现特点,为临床治疗提供影像学诊断依据。
1 资料与方法1. 1 一般资料回顾性分析81例经临床及微生物学确诊的肺炎克雷伯杆菌肺炎患者的临床资料及CT扫描资料,其中男56例,女25例;年龄21~94岁,平均年龄62.8岁;患者以高热、胸痛、咳嗽及咳粘稠痰入院者49例,以其他原因如不明原因发热、冠心病等入院者32例;既往有肿瘤病史者21例,既往有糖尿病史者16例,既往有慢性支气管炎、肺气肿病史者37例;临床表现高热者37例,血常规白细胞、白细胞介素-6、C反应蛋白、D-二聚体等指标≥1项增高者56例;患者均经过痰培养证实为肺炎克雷伯杆菌感染。
1. 2 方法采用东芝Aquilion128层CT机,扫描参数设置:管电压120 kV,管电流250 mA,层厚5 mm,重建层厚1 mm,层间隔1 mm,并对图像进行多平面重组。
1. 3 观察指标观察分析81例患者的CT表现及特征,由2名主治医师以上的影像诊断医师对病变部位、分布、形态及治疗后随访情况进行记录分析。
2 结果2. 1 病变发生部位、分布情况81例患者中,病变位于右肺31例,其中右肺上叶者16例,右肺下叶者8例,累及右肺中上叶者7例;位于左肺28例,其中左肺上叶13例,左肺下叶15例;位于双肺者22例。
病变沿支气管血管束分布36例(见图1),叶段分布25例,随机分布11例,外周分布9例。
2. 2 病变发生形态特征分类情况81例患者中,①实变影:36例(44.4%),表现一个肺叶或段的高密度影,密度可均匀或不均匀;②小叶中心结节:14例(17.3%),距胸膜面或小叶间隔2 mm病灶;③结节影:38例(46.9%),常表現为直径1~3 cm大结节;④磨玻璃密度影:17例(21.0%),表现为密度略增高,血管结构仍可显示(见图2);⑤晕征:26例(32.1%),一种磨玻璃密度影在结节周围表现(见图3);⑥支气管充气征:31例(38.3%),实变区见含气支气管影(示例图见图4);⑦空洞:17例(21.0%),见于肺实变病灶中,常表现为厚壁空洞(见图5,图6),15例(18.5%)空洞内见液平;⑧气囊:7例(8.6%),表现为薄壁空腔样改变;⑨叶间裂膨出征:4例(4.9%),常表现为右肺上叶后段实变影,斜裂下垂后突,局部斜裂后突表现为“钟乳石”征(见图7);⑩网状影:2例(2.5%),小叶间隔增厚呈网状(见图8);反晕征:2例(2.5%),表现局灶类圆形磨玻璃影周围实变环(见图9);滋养血管征:4例(4.9%),表现一条清晰的血管影进入结节或楔形阴影内,动脉血管围绕结节走行,在结节内穿行的是肺静脉(见图10);胸腔积液:36例(44.4%),表现为单侧或双侧游离性胸腔积液(见图5,图6)。
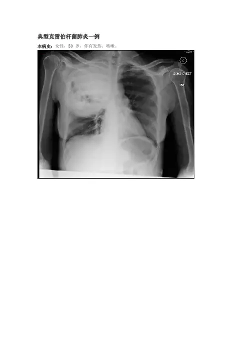
典型克雷伯杆菌肺炎一例本病史:女性,50 岁,伴有发热、咳嗽。
诊断:克雷伯杆菌肺炎案例要点克雷伯杆菌肺炎是一种细菌感染,通常会影响长期嗜酒者和体弱者。
大片实变导致肺叶扩张和裂缝增宽是其特征性影像学表现。
这些表现并不是仅见于克雷伯杆菌肺炎,在其他病因的肺炎也可能会见到。
感染的主要治疗是应用第三代头孢菌素。
部分并发症如肺脓肿形成可能需要手术干预或经皮导管引流。
病例学习肺炎克雷伯杆菌是一种革兰氏阴性菌,可见于人类皮肤,咽喉部,胃肠道和泌尿道。
因此,它主要导致呼吸道和泌尿道的感染。
克雷伯杆菌肺炎报告的发病率社区获得性肺炎和医院性肺炎大约分别为5 %和30%。
诱发因素包括长期酗酒,糖尿病,大量吸烟和身体虚弱。
留置支持设备,诸如气管导管,中心静脉导管,和营养管是额外的危险因素。
胸片典型的影像学特征包括大量分泌物引起肺叶实变导致裂隙增宽。
右肺上叶是最常见的发病部位。
虽然裂隙的膨出(叶间裂膨出征)已历来相对用于肺炎克雷伯杆菌肺炎的描述,但不是克雷伯杆菌的特异性病征,并且可以更频繁的出现在其它病原体引起的肺炎,如肺炎链球菌、流血嗜血杆菌、金黄色葡萄球菌,也可以在原发性肺恶性肿瘤里见到。
多排螺旋CT(MDCT)对于显示病情的严重程度是最好的影像学方法,并能显示不同的影像表现。
虽然在MDCT 上实变是感染的最常见的特征表现,但其他表现如磨玻璃影,小叶间隔增厚,小叶中心结节,以及相关的特征性表现,如淋巴结肿大,胸腔积液等也能进行诊断。
早期识别克氏杆菌肺炎的是很重要的,因为它是具有高的并发症率和死亡率。
克雷伯菌肺炎的主要并发症包括肺脓肿形成(报告多达50%的病例合并)和脓胸。
通常的治疗方法是应用第三代头孢菌素,但其并发症可能需要手术治疗或经皮导管引流。
肺炎克雷伯杆菌防控措施简介肺炎克雷伯杆菌(Klebsiella pneumoniae,简称Kp)是一种常见的耐药菌,可引起严重的感染疾病,包括肺炎、尿路感染、败血症等。
由于其强大的耐药性和传播能力,Kp的防控工作变得尤为重要。
本文将介绍一些常见的肺炎克雷伯杆菌防控措施,以帮助人们更好地应对这种细菌引起的感染。
1. 个人防护措施个人防护是预防感染的第一道防线,以下是一些常见的个人防护措施:•勤洗手:肺炎克雷伯杆菌常通过手部传播,所以保持手部卫生特别重要。
使用洗手液或肥皂和流动水彻底洗手,特别是在接触到潜在的感染源后。
•正确佩戴口罩:在疫情或感染高风险环境下,佩戴口罩可以有效减少呼吸道飞沫传播的机会。
•避免接触感染源:避免直接接触可能被感染的物品,如衣物、床上用品等。
同时要注意避免与患者过于亲密地接触。
2. 医疗机构感染控制肺炎克雷伯杆菌在医疗机构中的传播是非常常见的,以下是一些医疗机构感染控制的措施:•严格执行洗手和消毒制度:医护人员在进入和离开患者房间前都应该洗手或使用合适的消毒剂进行手部消毒。
•隔离感染源:将Kp患者单独隔离,使用独立的医疗设备和器械,并在患者房间门上标明感染警示标识。
•加强环境清洁:定期对病房、设备和表面进行彻底清洁和消毒,特别是经常接触的物品和区域。
3. 抗生素合理使用抗生素滥用是导致细菌耐药性突出的重要原因之一。
以下是抗生素合理使用的建议:•严格执行抗生素使用指南:医疗机构应制定和执行合理使用抗生素的指南,并监测抗生素的使用情况。
•选择适当的抗生素:根据患者的具体情况和细菌药敏试验结果,选择适合的抗生素,避免盲目使用广谱抗生素。
•避免不必要的使用:在治疗上,避免不必要的使用抗生素,比如因为病毒感染而使用抗生素,或是预防性使用抗生素。
4. 加强疫情监测和报告疫情监测和报告对于防控肺炎克雷伯杆菌感染至关重要,以下是相应的措施:•建立疫情监测系统:医疗机构应建立Kp感染的监测和报告系统,定期汇总和报告相关数据。
中医药治疗肺炎克雷伯杆菌全耐药重症肺炎一、中医病因病机分析肺炎克雷伯杆菌全耐药重症肺炎在中医病因病机上属于“痰瘀毒热”证候。
痰在中医理论中是一种致病因素,痰瘀毒热证的发病机制主要是由于外感风寒、饮食不节、情志不畅等引起的气滞血瘀,痰浊内生,随之肝火上炎,或阴虚火旺,或热毒蕴结等复杂的证候类型。
二、中医药治疗原则1. 祛痰化瘀:在治疗肺炎克雷伯杆菌全耐药重症肺炎时,首要任务是祛痰化瘀。
中药治疗上应选用辛温化湿、温化瘀、行气化痰的药物,以祛除体内的痰浊和瘀血,清除致病因素。
2. 清热解毒:在瘀毒内蕴的情况下,必然伴有热毒郁结的表现,而热毒是肺病的主要致病因素之一。
清热解毒是治疗肺炎克雷伯杆菌全耐药重症肺炎的关键环节,既能直接去除致病因素,又能改善病情,减轻炎症反应。
3. 润燥通窍:肺炎克雷伯杆菌全耐药重症肺炎患者常伴有肺燥痰热,严重影响病情的恢复。
在治疗过程中,应选用具有润燥通窍功效的中药,以保护肺组织,促进痰热排出。
三、常用中药治疗方法1. 皂角苣饮:具有清热解毒、祛痰止咳的功效,特别适用于痰瘀毒热证候明显的肺炎患者。
2. 瓜蒌饮:能清热解毒、生津润燥,有助于清除体内的热毒,调理肺部湿热。
3. 半枝莲散:对肺部痰热阻滞、气滞血瘀有很好的调理作用,同时还能改善痰瘀毒热导致的全身不适症状。
4. 三子养亲散:能够温化瘀血、祛痰通络,对于痰浊内生、毒瘀相混的病证具有明显的疗效。
以上中药治疗方法是根据患者的具体病情来选择的,对于不同病情的肺炎克雷伯杆菌全耐药重症肺炎患者,中医医生会根据其病情特点选择合适的中药进行搭配应用。
四、临床经验在中医药治疗肺炎克雷伯杆菌全耐药重症肺炎的过程中,中医医生需要根据患者的具体病情特点,合理运用中药进行治疗,并结合针灸、推拿等中医疗法综合调理。
患者在接受中医药治疗的还应积极配合医生的指导,调整饮食结构,适当进行体育锻炼,保持心情舒畅,增强免疫力,提高对疾病的抵抗力。
克雷白杆菌肺炎(Klebsiella pneumonia):近20余年来,该菌已成为院内获得性肺炎得主要致病菌,耐药株不断增加,且产生超广谱酶,成为防治中得难点、本病多见于中年以上男性,起病急、高热、咳嗽、痰多及胸痛,可有发绀、气急、心悸,约半数患者有畏寒,可早期出现休克。
临床表现类似因为得肺炎球菌肺炎,但其痰常呈粘稠脓性,量多、带血,灰绿色或砖红色、胶冻状,但此类典型得痰液并不多见。
胸部X线表现常呈多样性,包括大叶实变,好发于右肺上叶、双肺下叶,有多发性蜂窝状肺脓肿、叶间隙下坠、严重病例有呼吸衰竭、周围循环衰竭。
慢性病程者表现为咳嗽、咳痰、衰弱、贫血等、克雷白杆菌肺炎得预后较差,病死率高。
临床表现:①发病骤起,出现呼吸困难;②年长儿有大量黏稠血性痰,但婴儿少见;③由于气道被黏液梗阻,肺部体征较少或完全缺乏;④病情极为严重,发展迅速,患儿常呈休克状态;⑤X线胸片示肺段或大叶性致密实变阴影,其边缘往往膨胀凸出、可迅速发展到邻近肺段,以上叶后段及下叶前段较多见;⑥常见并发症为肺脓肿,可呈多房性蜂窝状,日后形成纤维性变;其次为脓胸及胸膜肥厚。
治疗尚缺乏有效抗菌药物。
临床病理:肺炎克雷白杆菌为革兰阴性杆菌,常存在于人体上呼吸道与肠道,当机体抵抗力降低时,便经呼吸道进入肺内而引起大叶或小叶融合性实变,以上叶较为多见。
病变中渗出液粘稠而重,致使叶间隙下坠、细菌具有荚膜,在肺泡内生长繁殖时,引起组织坏死、液化、形成单个或多发性脓肿。
病变累及胸膜、心包时,可引起渗出性或脓性积液。
病灶纤维组织增生活跃,易于机化;纤维素性胸腔积液可早期出现粘连。
在院内感染得败血症中,克雷白杆菌以及绿脓杆菌与沙雷菌等均为重要病原菌,病死率较高。
老年体弱患者有急性肺炎、中毒症状严重、且有血性粘稠痰者,应考虑本病。
确诊有赖于痰细菌学检查,并与葡萄球菌、结核菌或其她革兰阴性杆菌所致肺炎相鉴别。
年老、白细胞减少、菌血症及原有严重疾病者预后较差、与支气管扩张症区别支气管扩张症就是常见得慢性支气管化脓性疾病,大多数继发于呼吸道感染与支气管阻塞,尤其就是儿童与青年时期麻疹、百日咳后得支气管肺炎,由于破环支气管管壁,形成管腔扩张与变形。
新生儿肺炎克雷伯杆菌感染要治疗多久,治疗方法新生儿肺炎克雷伯杆菌感染是一种比较严重的疾病,如果不及时治疗,可以对新生儿的健康造成很大的威胁。
因此要及时采取措施,对症治疗,防止病情加重,保障新生儿的健康。
本文将就新生儿肺炎克雷伯杆菌感染的治疗、注意事项等方面,做详细介绍。
一、新生儿肺炎克雷伯杆菌感染治疗方法1.药物治疗针对新生儿肺炎克雷伯杆菌感染的治疗方法主要是药物治疗,一般选用的抗生素有甲氧西林、头孢菌素等。
在抗感染过程中,一定要注意细菌的耐药性问题,因为克雷伯杆菌是比较耐药的细菌,如果初期所用抗生素对其没有很好的杀菌作用,细菌就会迅速繁殖,感染病情会更加严重。
2.免疫调节治疗在克雷伯杆菌感染的治疗中,还有一种方法就是免疫调节治疗。
免疫调节治疗的主要手段是给予免疫球蛋白和人胎盘提取物等补充剂,这些补充剂能够借助新生儿天然的免疫力对抗克雷伯杆菌感染。
这种方法治疗效果比较理想,但也需要注意剂量问题,过量的补充剂有时候反而会抑制免疫力的正常发挥。
二、治疗时间克雷伯杆菌感染的治疗时间大致需要7到10天,但具体时间则要根据患者的具体情况而定。
在治疗期间,要及时观察病情变化,如果感染没有得到有效控制,需要及时换药或者加药。
在治疗的同时,还需要注意预防孩子感染其他病菌,以免耽误治疗。
三、注意事项1.营养支持克雷伯杆菌感染的治疗期间,由于患者免疫系统处于不稳定状态,所以要特别注重营养支持。
要根据患儿的年龄和病情,合理调整膳食安排,保证孩子的摄入量可以满足身体所需。
2.保持环境清洁卫生新生儿肺炎克雷伯杆菌感染主要通过空气传播,因此保持室内环境清洁卫生,时常通风,加强消毒是非常必要的。
同时,要避免孩子在公共场合待太久,减少感染的风险。
3.避免用药过量在治疗过程中,如果用药过量,会干扰孩子的正常生理机能,影响治疗效果。
因此,在用药时应该严格按照医嘱给药,避免药量上的误差。
4.密切监测病情变化在治疗过程中,要密切监测患儿的病情变化。
克雷白杆菌肺炎(Klebsiella pneumonia):近20余年来,该菌已成为院内获得性肺炎得主要致病菌,耐药株不断增加,且产生超广谱酶,成为防治中得难点。
本病多见于中年以上男性,起病急、高热、咳嗽、痰多及胸痛,可有发绀、气急、心悸,约半数患者有畏寒,可早期出现休克。
临床表现类似因为得肺炎球菌肺炎,但其痰常呈粘稠脓性,量多、带血,灰绿色或砖红色、胶冻状,但此类典型得痰液并不多见、胸部X线表现常呈多样性,包括大叶实变,好发于右肺上叶、双肺下叶,有多发性蜂窝状肺脓肿、叶间隙下坠。
严重病例有呼吸衰竭、周围循环衰竭、慢性病程者表现为咳嗽、咳痰、衰弱、贫血等。
克雷白杆菌肺炎得预后较差,病死率高、临床表现:①发病骤起,出现呼吸困难;②年长儿有大量黏稠血性痰,但婴儿少见;③由于气道被黏液梗阻,肺部体征较少或完全缺乏;④病情极为严重,发展迅速,患儿常呈休克状态;⑤X线胸片示肺段或大叶性致密实变阴影,其边缘往往膨胀凸出、可迅速发展到邻近肺段,以上叶后段及下叶前段较多见;⑥常见并发症为肺脓肿,可呈多房性蜂窝状,日后形成纤维性变;其次为脓胸及胸膜肥厚、治疗尚缺乏有效抗菌药物。
临床病理:肺炎克雷白杆菌为革兰阴性杆菌,常存在于人体上呼吸道与肠道,当机体抵抗力降低时,便经呼吸道进入肺内而引起大叶或小叶融合性实变,以上叶较为多见。
病变中渗出液粘稠而重,致使叶间隙下坠。
细菌具有荚膜,在肺泡内生长繁殖时,引起组织坏死、液化、形成单个或多发性脓肿、病变累及胸膜、心包时,可引起渗出性或脓性积液。
病灶纤维组织增生活跃,易于机化;纤维素性胸腔积液可早期出现粘连、在院内感染得败血症中,克雷白杆菌以及绿脓杆菌与沙雷菌等均为重要病原菌,病死率较高、老年体弱患者有急性肺炎、中毒症状严重、且有血性粘稠痰者,应考虑本病。
确诊有赖于痰细菌学检查,并与葡萄球菌、结核菌或其她革兰阴性杆菌所致肺炎相鉴别。
年老、白细胞减少、菌血症及原有严重疾病者预后较差。
疾病名:肺炎克雷白杆菌肺炎英文名:Klebsiella pneumoniae缩写:别名:Friedlander杆菌肺炎;Klebsiellar pneumonia;肺炎杆菌肺炎;肺炎克雷白氏杆菌肺炎;肺炎克雷伯杆菌肺炎;肺炎克雷伯氏杆菌肺炎;克雷白杆菌属肺炎ICD号:J15.0分类:呼吸科概述:肺炎克雷白杆菌(Klebsiella pneumoniae),又称肺炎杆菌或Friedlander 杆菌,是最早被认识可引起肺炎的革兰阴性杆菌。
半个世纪以前,革兰阴性杆菌肺炎(gram-negative bacillary pneumonia,GNBP)曾被认为是一种非常少见的疾病,很少受到临床关注。
除克雷白杆菌外,几乎没有关于革兰阴性杆菌(gram-negative bacterium,GNB)引起肺炎的报道。
近二、三十年来,随着易感人群的改变、抗菌药物广泛应用与耐药菌的变迁以及各种微生物检测技术的提高与普及,GNBP已成为进入抗生素时代的现代医学的一种重要疾病。
GNB在肺炎病原所占比例已从原先的0.5%~5.0%上升到现在社区获得性肺炎的9%~37%和医院内获得性肺炎(nosocomialpneumonia, NP)的70%以上。
迄今对医院内、外获得的GNBP的临床和流行病学特征、易感因素、病原学诊断、抗感染治疗药物和方法等领域已进行了大量研究,但是病死率仍居高不下。
研究和总结GNBP发病机制和诊治经验,仍是今后一段时间肺部感染性疾病领域的重要课题。
文献报道可引起肺炎的需氧和兼性厌氧GNB多达数十种,但临床常见的主要为肺炎杆菌、流感嗜血杆菌、铜绿假单胞菌、不动杆菌、大肠杆菌、变形杆菌和军团菌等数种。
Meta分析显示我国医院内肺炎总体发病率为2.33%,而肺炎杆菌占医院内肺炎全部病原体的10.1%。
虽有不少前瞻性和C D D C D D C D D C DD回顾性调查,但肺炎杆菌肺炎在社会人群中的确切发病率甚难估计,近年来,肺炎杆菌临床分离率有下降趋势。
中医药治疗肺炎克雷伯杆菌全耐药重症肺炎目前,肺炎克雷伯杆菌全耐药重症肺炎已成为临床上非常棘手的问题之一。
由于肺炎克雷伯杆菌多种耐药基因的底层进行了调控和适应性变化,从而导致其对多种抗菌药物产生耐药性。
传统的西药治疗常常难以奏效,中医药在治疗这类感染疾病中展现出了一定的优势和潜力。
中医药治疗肺炎克雷伯杆菌全耐药重症肺炎的主要思路是通过调节机体整体的阴阳平衡,增强机体的免疫力,提高机体对抗菌能力来达到治疗的效果。
以下是几种可能的中医药治疗方法。
1. 中药汤剂:传统中药汤剂常常使用复方草药的形式。
黄连、黄芩、连翘等草药被广泛应用于感染性疾病的治疗中,这些中草药具有清热解毒、抗炎、杀菌等作用。
根据肺炎克雷伯杆菌全耐药重症肺炎的具体情况,中医药师会根据个体病情调配适合的草药组合,制成中药汤剂饮用。
2. 针灸疗法:针灸疗法是中医药的经典治疗方法之一,通过刺激和调节经络,平衡人体的阴阳气血,从而起到调整免疫系统功能的作用。
在治疗肺炎克雷伯杆菌全耐药重症肺炎时,可选用穴位如风池、足三里、合谷等进行针刺。
3. 中成药治疗:中成药是指采用传统的中草药配方经炮制而成的成品药物。
根据肺炎克雷伯杆菌全耐药重症肺炎的特点,中医药师会选择具有抗菌、抗炎、免疫调节等作用的中成药进行治疗。
如黄连素胶囊、连花清瘟胶囊、板蓝根注射液等。
中医药还强调在治疗过程中的个体化调治。
中医药理论认为每个人的体质不同,对同样的疾病有不同的表现和致病机制,在临床中医医生需要根据患者的个体差异,进行个体化的治疗。
需要注意的是,中医药治疗肺炎克雷伯杆菌全耐药重症肺炎仍处于探索阶段,在应用中需要与现代医学治疗相结合,并且严格遵循医学伦理和规范,确保治疗的安全和有效性。
如果患有以上疾病,请及时就医并咨询专业医生的意见。
克雷伯杆菌肺炎的诊断肺炎克雷伯杆菌旧称为弗利兰德杆菌或肺炎杆菌,因此克雷伯杆菌肺炎(Klebsiella pneum0nia)也可称弗利兰德杆菌肺炎(Friedlander pneum0nia)。
肺炎克雷伯杆菌为革兰阴性杆菌,常寄殖于人体上呼吸道和肠道,是重要的条件致病菌和院内感染常见的病原体之一。
本病多发生在有慢性酒精中毒、营养不良、衰弱的老年人。
常无先兆的上感症状,发病起始可有低热、寒战、胸痛、咳嗽、咳血痰,常可伴有呼吸困难,病情严重者,可出现虚脱及谵妄、呕吐、腹泻、黄疸、皮疹等症状。
临床表现大多数肺炎杆菌肺炎患者起病突然,部分病前有上呼吸道感染症状。
主要临床表现为寒战、发热、咳嗽、咳痰、呼吸困难等。
痰液无臭、黏稠,痰量中等。
由血液和黏液混合成的砖红色痰,临床描述为无核小葡萄干性胶冻样(果酱状),被认为是肺炎克雷伯杆菌肺炎的一项特征,但临床少;有患者咳铁锈色痰或痰带血丝,或伴明显咯血。
社区获得性大叶性肺炎与其他肺炎不同,表现为肺的损毁性改变,病情重、起病急,早期即可表现为显著的中毒症状,衰竭和低血压,体温超过39℃,发生肺脓肿、空洞、脓胸和胸膜粘连的几率增加。
医院获得性感染的症状与其他病原菌感染类似,临床表现危重,可有呼吸急促和肺实变体征。
检查1.血常规通常血白细胞计数增多,中性粒细胞核左移;但有时可正常或减少。
如发生粒细胞减少,提示预后恶劣。
白细胞增多持续存在,提示肺脓肿形成。
2.肝功能检查可见肝功能异常和黄疸,这可能与慢性酒精性肝病有关。
3.X线检查肺炎克雷伯杆菌肺炎的胸部X线表现独特。
典型的表现为肺叶实变,常发生在上叶中的一叶(多在右侧),但下叶受累并不少见,50%的患者累及多个肺叶伴叶间隙下坠。
支气管肺炎的小叶浸润多见于有免疫功能抑制和慢性肺部疾病患者。
约半数社区获得性肺炎杆菌肺炎的小叶浸润病变可累及多个肺叶,16%~50%伴肺脓肿形成。
多为多发的小空洞,直径一般不超过2cm;但小空洞也可以融合成大空洞,空洞内缘光滑、壁薄、无液平面,愈合过程慢,常可遗留广泛的纤维化。
克雷伯杆菌肺炎的治疗方法
可能有一些朋友会听说过克雷伯杆菌肺炎这样的症状吧,但是真正了解克雷伯杆菌肺炎的人肯定是不多的,毕竟克雷伯杆菌肺炎并不是一种我们常见的症状,但是由于克雷伯杆菌肺炎的危害性非常的大,所以我们还是有必要多了解一些关于克雷伯杆菌肺炎的知识,下文我们介绍一下克雷伯杆菌肺炎的治疗方法。
一般情况
本病多见于多见于老年体弱、营养不良和患有慢性肺部疾病的人群。
症状
起病突然,主要症状为寒战、高热、咳嗽、咳痰、胸痛和呼吸困难,可有发绀、气急、心悸,约半数患者有畏寒,毒血症状
明显,可早期出现休克。
其痰常呈粘稠脓性、量多、带血,灰绿色或砖红色,可因血液和粘液混合而呈现砖红色痰,是本病的特征性表现,但临床上少见。
临床表现类似严重的肺炎球菌肺炎。
及早使用有效抗生素是治愈的关键。
首选药物
氨基糖苷类抗素+2,3代头孢
治疗原则
第二、第三代头孢菌素联合氨基糖苷类抗生素。
在上面的文章里面我们介绍了一种比较少见的肺部疾病,那就是克雷伯杆菌肺炎了,我们知道克雷伯杆菌肺炎的危害性很大,所以我们要重视这种症状,上文为我们详细介绍了克雷伯杆菌肺炎的治疗方法。
中医药治疗肺炎克雷伯杆菌全耐药重症肺炎肺炎克雷伯杆菌(Klebsiella pneumoniae)是一种在医疗环境中常见的致病菌,它可以引起各种严重感染,尤其是对于免疫力较弱的患者来说,肺炎克雷伯杆菌感染往往导致重症肺炎甚至全耐药的情况。
目前,中医药在治疗肺炎克雷伯杆菌全耐药重症肺炎方面取得了一定的成效,下面我们就来详细了解一下中医药在治疗这种严重感染病例中的作用和优势。
一、中医药对肺炎克雷伯杆菌全耐药重症肺炎的治疗作用中医药在治疗肺炎克雷伯杆菌全耐药重症肺炎方面具有明显的疗效,主要表现在以下几个方面:1. 清热解毒中医药认为,肺炎克雷伯杆菌全耐药重症肺炎属于热毒内蕴的疾病,因此在治疗过程中,中医药会选用一些具有清热解毒作用的药物,来清除体内的热毒。
常用的清热解毒的中药有黄连、连翘、板蓝根等,这些药物可以有效地抑制细菌的生长繁殖,减轻感染症状,有助于恢复患者的健康。
2. 润肺止咳肺炎克雷伯杆菌全耐药重症肺炎患者常常伴有咳嗽、咳痰等症状,此时中医药会选用一些具有润肺止咳作用的药物来缓解症状。
常用的润肺止咳的中药有冰片、百合、川贝等,这些药物可以润肺止咳,促进痰液排出,有助于改善患者的呼吸道症状。
3. 调理脏腑中医药在治疗肺炎克雷伯杆菌全耐药重症肺炎的过程中,重视调理患者的脏腑功能,增强机体的抵抗力。
中医药认为,人体的脏腑功能失调是导致感染疾病的重要原因,因此在治疗过程中,中医药会选用一些具有调理脏腑作用的药物,来增强患者的免疫力,提高抵抗力。
常用的调理脏腑的中药有人参、黄芪、当归等,这些药物可以改善机体的营养状况,增强机体的抵抗力,有助于提高治疗效果。
1. 安全性高中医药在治疗过程中,一般采用天然药材,对患者的身体基本没有副作用,尤其适用于一些对抗生素产生过敏反应的患者。
2. 效果稳定中医药在治疗肺炎克雷伯杆菌全耐药重症肺炎的过程中,常常结合中药煎剂、中药注射液等多种剂型,可以更好地调理患者的体内环境,提高治疗效果。
肺炎克雷伯杆菌肺炎常见致病源及抗菌药物选择CAP 最常见致病原肺克CAP抗菌方案需根据耐药表型分层治疗,社区获得性肺炎致病菌重点是区分该肺炎克雷伯杆菌是否为ESBLs。
社区获得性肺克肺炎的抗菌方案将肠杆菌科细菌(包括肺克、大肠埃希菌与变形杆菌等)分为产ESBL肠杆菌科细菌(ESBL-E)与 CRE 两类:a.产ESBLs肠杆菌:✦轻中度感染:头霉素类(头孢西丁、头孢美唑、头孢米诺)、氧头孢烯类(拉氧头孢、氟氧头孢)、β-内酰胺酶抑制剂复合制剂(哌拉西林/他唑巴坦、头孢哌酮/舒巴坦);✦中重度感染:碳青酶烯类(亚胺培南、美罗培南、比阿培南),或联合方案;✦联合方案:碳青酶烯类 + 喹诺酮或氨基糖苷类,β-内酰胺酶抑制剂复合制剂 + 喹诺酮或氨基糖苷类。
b.耐碳青霉烯类的肠杆菌(CRE):主要治疗药物为多黏菌素类、替加环素、头孢他啶/阿维巴坦,需要联合院内获得性肺炎多为耐药菌感染,为产ESBLs,轻中度感染可选择头霉素类、β-内酰胺酶抑制剂合剂,中重度感染需选择碳青酶烯类可考虑联合喹诺酮或氨基糖苷类,如为CRE治疗更为复杂,二代头孢更无可能。
因氨基糖苷类,如阿米卡星(丁胺卡那霉素)、庆大霉素等,存在耳肾毒性,且最重要氨基糖苷类在肺泡上皮衬液中浓度较低,用于治疗肺炎最好需要足量,比如阿米卡星的推荐剂量达 15 mg/kg/d,更可能加重耳肾毒性。
总结1.肺炎克雷伯菌肺炎主要见于 HAP/VAP,CAP 中少见;2.肺克主要的耐药表型有 ESBLs 与 CRE 等;3.ESBL-KP 较为常见,ESBL对头孢类耐药,可选择碳青酶烯或β-内酰胺酶抑制剂复合制剂,可考虑联合喹诺酮类或氨基糖苷类;4.氨基糖苷类在肺泡上皮衬液中浓度较低,不作首选,治疗期间应监测耳肾毒性,有条件者根据血药浓度调整剂量。
中医药治疗肺炎克雷伯杆菌全耐药重症肺炎1. 引言1.1 肺炎克雷伯杆菌全耐药重症肺炎的严重性肺炎克雷伯杆菌全耐药重症肺炎是一种由肺炎克雷伯杆菌引起的感染性疾病,其特点是对目前所有已知抗菌药物均具有耐药性。
这种全耐药的肺炎克雷伯杆菌感染对患者的生命健康造成了严重威胁,病情常常迅速恶化,病死率较高。
肺炎克雷伯杆菌全耐药重症肺炎通常发生在免疫力较低的患者身上,如老年人、患有基础疾病的患者或长期使用抗生素的患者。
由于该细菌已经对常规抗生素产生耐药性,治疗变得十分困难。
患者往往需要长期住院治疗,甚至进行特殊的抗生素治疗、呼吸机辅助通气等严重措施。
全耐药肺炎克雷伯杆菌感染对患者身体造成的损害不仅仅局限于肺部,还可能引发全身炎症反应综合征、败血症等并发症。
临床上常见的症状包括高热、呼吸困难、咳嗽、胸痛等,严重时甚至导致器官功能衰竭。
对于肺炎克雷伯杆菌全耐药重症肺炎这种严重疾病,早期诊断和积极治疗至关重要,以降低患者的病死率和并发症的发生率。
寻找新的治疗方法也是当前医学领域的重要课题。
中医药作为我国的传统治疗方式,在这方面有着独特的优势和潜力,可以为全耐药肺炎患者带来新的希望和解决方案。
1.2 中医药在治疗全耐药肺炎中的作用中医药通过辨证施治的方法,能够根据患者的具体症状和体质特点进行个性化治疗,针对病情的不同阶段和严重程度进行调理,从根源上解决问题。
中医药在治疗全耐药肺炎时采用多方药物联合配伍的方式,可以有效抑制细菌的繁殖,加速患者康复,减少耐药细菌的产生,减轻患者的痛苦。
中医药在治疗全耐药肺炎过程中,还非常注重调理患者的整体身心健康,提高患者的免疫力和抗病能力,从而更好地对抗疾病,促进康复。
中医药在治疗全耐药肺炎中发挥着重要作用,为探寻新的治疗途径和方法提供了新思路,有望在未来发挥更为重要的作用。
2. 正文2.1 中医药治疗全耐药肺炎的历史及现状随着现代医学技术的发展,中医药在治疗全耐药肺炎中的作用逐渐得到认可。
克雷白杆菌肺炎(Klebsiella pneumonia):近20余年来,该菌已成为院内获得性肺炎的主要致病菌,耐药株不断增加,且产生超广谱酶,成为防治中的难点。
本病多见于中年以上男性,起病急、高热、咳嗽、痰多及胸痛,可有发绀、气急、心悸,约半数患者有畏寒,可早期出现休克。
临床表现类似因为的肺炎球菌肺炎,但其痰常呈粘稠脓性,量多、带血,灰绿色或砖红色、胶冻状,但此类典型的痰液并不多见。
胸部X 线表现常呈多样性,包括大叶实变,好发于右肺上叶、双肺下叶,有多发性蜂窝状肺脓肿、叶间隙下坠。
严重病例有呼吸衰竭、周围循环衰竭。
慢性病程者表现为咳嗽、咳痰、衰弱、贫血等。
克雷白杆菌肺炎的预后较差,病死率高。
临床表现:①发病骤起,出现呼吸困难;②年长儿有大量黏稠血性痰,但婴儿少见;③由于气道被黏液梗阻,肺部体征较少或完全缺乏;④病情极为严重,发展迅速,患儿常呈休克状态;⑤X线胸片示肺段或大叶性致密实变阴影,其边缘往往膨胀凸出。
可迅速发展到邻近肺段,以上叶后段及下叶前段较多见;⑥常见并发症为肺脓肿,可呈多房性蜂窝状,日后形成纤维性变;其次为脓胸及胸膜肥厚。
治疗尚缺乏有效抗菌药物。
临床病理:肺炎克雷白杆菌为革兰阴性杆菌,常存在于人体上呼吸道和肠道,当机体抵抗力降低时,便经呼吸道进入肺内而引起大叶或小叶融合性实变,以上叶较为多见。
病变中渗出液粘稠而重,致使叶间隙下坠。
细菌具有荚膜,在肺泡内生长繁殖时,引起组织坏死、液化、形成单个或多发性脓肿。
病变累及胸膜、心包时,可引起渗出性或脓性积液。
病灶纤维组织增生活跃,易于机化;纤维素性胸腔积液可早期出现粘连。
在院内感染的败血症中,克雷白杆菌以及绿脓杆菌和沙雷菌等均为重要病原菌,病死率较高。
老年体弱患者有急性肺炎、中毒症状严重、且有血性粘稠痰者,应考虑本病。
确诊有赖于痰细菌学检查,并与葡萄球菌、结核菌或其他革兰阴性杆菌所致肺炎相鉴别。
年老、白细胞减少、菌血症及原有严重疾病者预后较差。
与支气管扩张症区别支气管扩张症是常见的慢性支气管化脓性疾病,大多数继发于呼吸道感染和支气管阻塞,尤其是儿童和青年时期麻疹、百日咳后的支气管肺炎,由于破环支气管管壁,形成管腔扩张和变形。
临床表现:慢性咳嗽伴大量脓痰和反复咯血。
若有厌氧菌混合感染,则有臭味。
咯血可反复发生,程度不等,从小量痰血至大量咯血,咯血量与病情严重程度有时不一致,支气管扩张咯血后一般无明显中毒症状。
与肺炎球菌肺炎区别肺炎球菌肺炎是由肺炎球菌或肺炎链球菌所引起,占院外感染肺炎中的半数以上。
肺段或肺叶呈急性炎性实变,临床上症状轻或不典型病较为多见。
起病多急骤,有高热,体温在数小时内可以升到39-40℃,可呈稽留热,与脉率相平行。
患侧胸部疼痛,可放射到肩部、腹部,咳嗽或深呼吸时加剧。
痰少,可带血丝或呈铁锈色。
胃纳锐减,偶有恶心、呕吐、腹痛或腹泻,有时误诊为急腹症。
辅助检查:1、血液检查大多数病人血白细胞增高,范围平均在(150~200)×109/L,其中有中毒颗粒及核左移现象,约1/4的病人白细胞总数正常或减少,白细胞减少症常是预后不良的征兆,病人常合并有贫血。
2、痰或支气管吸引物涂片和(或)培养查到肺炎克雷白杆菌是确诊的依据,但它受到很多因素的影响。
(1)病理情况下,肺炎克雷白杆菌的咽部寄殖率很高,易形成口咽部的标本污染。
(2)单一肺炎克雷白杆菌肺炎在减少,多种菌混合感染增多(尤其是院内感染)。
常无法确定主要作用菌。
目前国内外学者均认为痰检的敏感性、特异性及可靠性方面不理想,许多病人痰量不多,即使有痰有时也查不到细菌,部分病人虽能通过培养确定,但对初始诊断及治疗帮助不大。
不过就我国目前各医院的情况及条件而言,痰涂片革兰染色及培养仍是一项重要的初步筛选手段及诊断措施。
其他辅助检查:X线表现:大叶实变、小叶浸润、脓肿形成。
大叶实变多位于右上叶,由于炎性渗出物量多,黏稠且重,故叶间裂呈弧形下坠。
炎症浸润中见脓肿,胸腔积液,少数呈支气管肺炎。
治疗:及早使用有效抗生素是治愈的关键。
原则为第二、第三代头孢菌素联合氨基糖苷类抗生素,如头孢噻肟钠或头孢他啶静滴合并阿米卡星或妥布霉素肌注或静滴。
亦可选择哌拉西林钠(氧哌嗪青霉素)与氨基糖苷糖联用。
部分病例使用氟喹诺酮类、氯霉素等亦有效。
也可用氨基甙类抗生,如庆大霉素、卡那霉素、妥布霉素、丁胺卡那霉素,可肌注、静滴或管腔内用药。
重症宜加用头孢菌素如孢孟多(cefamandole)、头孢西丁(cefoxitin)、头孢噻肟(cefotaxime)等。
哌拉西林(piperacillin),美洛西林(mezlocillin)与氨基甙类联用、以及氧氟沙星疗效亦佳。
部分病例使用氯霉素、四环素及SMZ-TMP亦有效。
重症多有肺组织损伤,慢性病例有时需行肺叶切除。
机体已因其他疾病而免疫力降低的病人容易发生菌血症。
当混有其他革兰阴性菌感染时,预后更差。
预后:血培养阳性者预后一般欠佳。
由于肺炎杆菌耐药率较高,病死率为20%~30%。
预防:1.严格执行消毒与隔离制度这主要是针对医务人员及院内环境、器械而言,接触病人前后严格洗手、戴手套操作,定期环境及室内消毒通风,按照要求定期清洗、消毒呼吸治疗装置,定期更换机械通气及雾化器管路等,采取一整套严格的院内感染监测和预防计划。
据报道,采取这一计划的医院与未采取的医院比较,院内感染率低20%。
2.胃肠道去污治疗这是近年来欧洲常用的一种预防措施,主要是针对院内感染的易感人群,目的是去除胃肠内的菌落寄殖与生长。
方法有全胃肠去污和选择性胃肠去污法,常用的为后者,它通过鼻饲或口服胃肠不吸收的多粘菌素B、妥布霉素(庆大霉素或新霉素等)及二性霉素B,连用5天,并每天系统应用头孢菌素,从口咽部及胃肠道中去除需氧菌而不降低厌氧菌的数量,其预防作用在革兰阴性杆菌方面尤为明显,据作者统计有关文献,去污组几乎无继发性肺炎克雷白杆菌的肺炎与呼吸道感染(个别为耐药株感染)。
3.保护胃部酸性屏障主要是在预防应激性溃疡时,应用硫糖铝(ulcerlmin)类药物,它既可以防止应激性溃疡出血,又因它具有吸附胃黏膜、改变胃黏液、增加胃腔中前列腺素E2(PGE2)含量、吸收胃蛋白酶的作用,并不改变胃内酸性环境,从而有效地起到了防止溃疡及防止感染的作用.而且据文献介绍,硫糖铝尚具有内在的杀菌活性,一系列研究表明应用抗酸剂组的肺炎发生率为23%~35%,而应用硫糖铝组肺炎的发生率为10%~19%。
4.生物预防肺炎克雷白杆菌肺炎的生物预防方法尚处于实验阶段。
Held等利用自肺炎克雷白杆菌荚膜多糖(CPS)诱导产生的IgM单克隆抗体(MAb)注射给实验动物以预防肺炎克雷白杆菌肺炎,与对照组比较,无论器官受累率、感染组织的细菌数量、肺内组织学改变等诸方面,预防组远优于对照组(P<0.01),但这种MAb尚无阻止肺炎克雷白杆菌进入肺内的作用,而是加速感染吸收,增强肺的排菌能力。
另外尚有一些类似的实验报告,但成熟的疫苗及抗体尚未应用于临床,需进一步研究。
肺炎克雷白杆菌肺炎危害人类已一个多世纪,随着科学的发展,检查及治疗手段的不断完善,人类对其了解的逐步深入,相信可以进一步降低它的发病率及病死率,取得更大的进步。
●肺炎球菌肺炎是由肺炎球菌或称肺炎链球菌所引起,约占院外感染肺炎的半数。
病前常有受凉淋雨、疲劳、醉酒等诱因,大多数有上呼吸道感染的前驱症状。
起病多急骤、高热、寒战、体温通常在数小时内升至39~40℃,高峰在下午或傍晚。
可伴有全身肌肉酸痛,患侧胸部疼痛,可放射至肩部,咳嗽或深呼吸时加剧。
痰少,可带血或呈铁锈色。
血白细胞计数10~20×109/L,中性粒细胞多在80%以上。
痰培养24~48小时可确定病原体。
本病自然病程大致1~2周。
发病5~10天,体温可自行骤降或逐渐消退;使用有效的抗菌药后可使体温在1~3天内恢复正常。
●葡萄球菌肺炎是由葡萄球菌引起的急性化脓性感染。
常发生于糖尿病、白血病、淋巴瘤、营养不良、艾滋病等免疫功能缺陷的患者以及原已有支气管-肺病患者。
占医院内感染的11%~25%。
本病起病多急骤,高热、寒战、胸痛,痰为脓性,量多,带血丝或呈粉红色乳状。
胸部X 线显示肺段或肺叶实变,或呈小叶状浸润,其中有单个或多发的气囊腔。
白细胞计数增高、中性粒细胞比例增加、核左移并有中毒颗粒。
选用青霉素G或耐青霉素酶的半合成青霉素或头孢菌素效果良好。
●克雷白杆菌肺炎是由肺炎克雷白杆菌引起的急性肺部炎症,多见于老年、营养不良,慢性支气管-肺疾病及全身衰竭的患者。
本病多见于中年以上男性,起病急、高热、咳嗽、痰多及胸痛,可有发绀、气急、心悸,约半数患者有畏寒,甚至早期出现休克。
胸部X线表现常呈多样性,包括大叶突变,好发于右肺上叶、双肺下叶,有多发性蜂窝状肺脓肿。
确诊有赖于痰细菌学检查。
选用第二、第三代头孢菌素联合氨基糖苷类抗生素,部分病例使用氟喹诺酮类、氯霉素等有效。
●军团菌肺炎是由革兰染色阴性的嗜肺军团杆菌引起的一种以肺炎为主的全身性疾病。
年老体弱,慢性心、肺、肾病,糖尿病,恶性肿瘤,血液病,艾滋病或接受免疫抑制者,易患本病。
典型患者常为亚急性起病,乏力、无力、肌痛、畏寒、发热等;亦可经2-10天潜伏期后急骤起病,高热、寒战、头痛、胸痛,进而咳嗽加剧,咳粘痰带少量血丝或血痰。
X线显示片状肺泡浸润,继而肺实变,尤多见于下叶、单侧或双侧。
免疫功能低下者可出现空洞或肺脓肿。
支气管抽吸物、胸腔积液中查见细胞内的军团杆菌可确诊。
军团菌为细胞内感染,理想的抗菌药物,首选红霉素,每日1~2克,分4次口服,疗程为2~3周。
氨基糖苷类及青霉素、头孢类抗生素无效。
●厌氧菌所致肺炎厌氧菌所致肺炎,常由消化链球菌、产黑色素、拟杆菌、梭形杆菌及产气荚膜梭状芽胞杆菌等引起。
因普通细菌培养常呈阴性而易被忽视。
临床上以高烧、软弱、消瘦、贫血及杵状指;痰奇臭似臭蛋味,为其临床特点。
X线显示支气管肺炎或伴有脓胸等征象。
厌氧菌培养找到厌氧菌为最可靠的依据。
克林霉素和硝咪唑类包括甲硝唑及替硝唑对大多数厌氧菌有效。
●肺炎支原体肺炎是由肺炎支原体所引起的急性呼吸道感染伴肺炎,常同时有咽炎、支气管炎。
支原体肺炎的占非细菌性肺炎的1/3以上,或各种原因引起的肺炎的10%。
以儿童及青年人居多,好发于秋冬季节。
通常起病较缓慢、乏力、咽痛、咳嗽、发热、肌痛等。
咳嗽多为阵发性刺激性呛咳,咳少量粘液。
X线显示肺部多种形态的浸润影,呈节段性分布,以肺下野为多见。
培养分离出肺炎支原体对诊断具有决定性意义。
本病治疗以大环内酯类抗生素,如红霉素、阿奇霉素效果佳,青霉素或头孢类抗生素无效。
●真菌性肺炎常见于滥用广谱抗生素(2~3种),糖皮质激素、细胞毒性药物及免疫抑制剂,致肺部真菌感染。
临床上常有低热、咳嗽、咳白痰等。
X线表现无特征性,可为支气管肺炎、大叶性肺炎、弥漫性小结节,乃至肿块状阴影。