一、概 念
脑出血是指原发性非外伤性脑实 质内出血,也称自发性脑出血,占急性 脑血管病的20%~30%。 - 急性期病死率为30%~40%
- 是病死率最高的脑卒中类型。
80%为大脑半球出血,脑干和小脑出血
约占20%。
二、病 因
高血压合并细、小动脉硬化
脑动脉粥样硬化
颅内动脉瘤和动静脉畸形 脑动脉炎 血液病 梗死后出血 脑淀粉样血管病 脑底异常血管网病
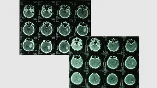
五、实验室及其他检查
1.头颅CT
确诊脑出血的首选检查方法
2.头颅MRI
3.脑脊液
4.DSA
5.其他检查
血常规、血生化、凝血功能、心电图 等
六、诊断要点
50岁以上中老年病人。 有长期高血压病史,情绪激动或体力活 动时突然发病。
迅速出现头痛、呕吐等颅内压增高的表
现和偏瘫、失语等局灶性神经功能缺损
的症状,血压明显升高,可伴有意识障
碍,应高度怀疑脑出血。
头颅CT检查有助于明确诊断。
七、治疗要点
治疗原则
脱水降颅压、调整血压、防止继续 出血、
减轻血肿所致继发性损害、促进神经 功能恢复、 加强护理防治并发症。
七、治疗要点
1.一般治疗 卧床休息,密切观察生命体征,保持 呼吸道通畅,吸氧,保持肢体的功能位, 鼻饲,预防感染,维持水、电解质平衡 等。 2.脱水降颅压
7.48
7.48 7.45 7.45 7.46 7.43 7.4
34.2
33.60 41.30 35.70 38.2 44.5 43.3
92.7
96.60 103 89.3 84.4 116 92.2