脾脏及泌尿系疾病的MR诊断
- 格式:ppt
- 大小:23.27 MB
- 文档页数:100
泌尿系统正常肾脏MRI解剖1、在T1加权像上,肾皮质表现为中等信号强度,较肌肉信号强度高,但较脂肪信号强度低。
肾脏由高信号的肾周脂肪包绕,形成自然对比,容易识别和显示。
肾脏髓质的信号低于肾皮质,它们之间信号强度的差异即形成皮髓质分辨(CMD)。
CMD的产生主要是由于髓质含有较多自由水的缘故。
自由水增多则T1时间延长,T1加权像上信号强度减低。
受检者体内的含水量影响CMD的显示,正常人CMD较脱水患者的CMD更加明显。
在T2加权像上,肾脏的信号度有较大的变化,即CMD不清楚,整个肾实质呈高信强号,比肝实质信号强度高,与脂肪的信号几乎相等。
2、由于肾窦内脂肪信号的衬托,肾盂肾盏结构容易显示,呈长T1、长T2信号(与尿液相同),在冠状位上显示较好。
肾血管(动脉和静脉)可较好地显示,肾脏血管解剖的清晰度主要是与有无呼吸运动伪影有关。
一般肾静脉位于肾动脉的前方,根据它们与主动脉或下腔静脉的关系不难识别,冠状为及矢状为更有利于它们的显示和鉴别。
3、正常人肾包膜不易显示。
肾周脂肪和肾皮质之间常有一因化学位移伪影所致的条状低信号与高信号,它们分别居左右肾周围,不要误为肾包膜。
肾筋膜在肾脂肪炎症或肿瘤侵犯时,该筋膜则增厚并有信号改变。
常规扫描不易显示输尿管,如输尿管内恰好含尿液,T1加权像可表现为低信号,T2加权像上为高信号。
第一节:泌尿系统一、泌尿系统先天性发育异常泌尿系统的先天性发育异常包括肾、肾盂和输尿管、膀胱及尿道的先天发育异常。
(一)肾先天性发育异常:肾是泌尿系统先天性发育异常最常见的部位,其包括肾数目、位置、形态和大小异常。
1、肾数目异常临床上肾缺如均为单侧性,即仅有一侧肾脏,亦称孤立肾。
孤立肾可发生代偿性增大、肥大。
孤立肾也常伴有其它一些先天性异常,常见为孤立肾异位和旋转不良。
MRI:平扫示缺如侧肾床内无肾影显示,其空间为腹内脂肪、胰体尾或肠管,同侧肾上腺多明确显示,对侧肾孤立肾则较正常为大;增强检查,孤立肾强化。
脾脏疾病影像学检查及诊断脾脏疾病影像学检查及诊断一、引言脾脏是人体内最大的淋巴系统器官之一,对维持免疫功能和血液参与有着重要的作用。
脾脏疾病是指影响脾脏结构和功能的各种疾病,包括肿瘤、感染、炎症和损伤等。
影像学检查在脾脏疾病的诊断和评估中扮演着重要的角色。
本文将详细介绍脾脏疾病影像学检查方法及诊断。
二、常见的脾脏疾病影像学检查方法1·脾脏超声检查超声检查是一种无创的、非放射性的检查方法,在脾脏疾病的筛查和诊断中应用广泛。
它可以评估脾脏的大小、形态、血流灌注情况等。
2·脾脏CT扫描CT扫描是一种影像学检查方法,可以提供脾脏的横断面图像,能够观察脾脏的形态、密度和血供情况。
CT扫描在脾脏疾病的诊断和鉴别诊断中有着重要作用。
3·脾脏MRI检查MRI检查具有较高的解剖分辨率,可以提供脾脏的详细解剖结构图像。
同时,MRI还可以通过特殊的脉序和造影剂增强等技术,对脾脏病变进行评估。
4·核医学检查核医学检查通过放射性标记剂和显像设备,可以获得脾脏的功能信息。
例如,脾脏造影可以评估脾脏的代偿功能,脾脏SPECT或PET-CT可以评估脾脏的代谢活性等。
三、常见脾脏疾病的影像学特点和诊断要点1·脾脏肿瘤脾脏肿瘤包括良性和恶性肿瘤,如脾囊肿、脾血管瘤、脾血管肉瘤和脾转移瘤等。
在影像学检查中,脾脏肿瘤的特点和诊断主要表现为肿块的形态、大小、边界清晰度、内部密度或信号强度等。
2·脾脏感染和炎症脾脏感染和炎症可以是继发于全身感染的,也可以是局部感染和炎症。
常见的疾病包括脾脓肿、脾结核和脾脓毒症等。
在影像学检查中,可以通过观察脾脏的形态、密度或信号变化,以及结合临床表现进行综合判断和诊断。
3·脾脏损伤脾脏损伤常见于外伤,如交通事故、体育运动中的暴力撞击等。
在影像学检查中,脾脏损伤可表现为脾脏的裂伤、挫伤、积血等。
对于脾脏损伤的诊断,CT扫描是一种常用而有效的方法。
脾脏疾病影像学检查及诊断(一)引言:脾脏是人体重要的免疫器官之一,与循环、造血和免疫系统密切相关。
脾脏疾病常见于临床实践中,影像学检查在其诊断和治疗中起到了重要的作用。
本文将探讨脾脏疾病的影像学检查及诊断,其中包括以下五大点:一、超声检查1. 脾脏大小和形态的评估2. 脾血流动态的观察3. 弥漫性疾病的超声表现4. 局限性病变的超声征象5. 脾脏穿刺引导下的超声诊断技术二、CT检查1. 脾脏CT扫描的基本原理2. 脾脏病变的CT特点分类3. 强化扫描在脾脏疾病中的应用4. CT引导下的脾脏穿刺活检5. CT与其他影像学检查的综合应用三、MRI检查1. 脾脏MRI的基本技术2. 不同脾脏疾病的MRI表现3. MRI在炎症性脾脏疾病中的诊断价值4. 功能性MRI在脾脏疾病中的应用5. MRI与其他影像学检查的比较与评价四、放射性核素扫描1. 脾脏放射性核素扫描的原理2. 脾脏炎症性病变的核素扫描表现3. 脾脏肿瘤性病变的核素扫描诊断4. 其他脾脏疾病的核素扫描应用5. 核素扫描在脾脏疾病中的局限与发展五、影像学诊断1. 脾脏疾病的综合评价准则2. 影像学表现与病理学和临床的关联3. 诊断过程中需要注意的问题4. 利用多模态影像学技术提高诊断准确性5. 影像学在脾脏疾病治疗中的应用前景总结:脾脏疾病的影像学检查及诊断在临床中的作用不可忽视。
超声检查、CT检查、MRI检查和放射性核素扫描是常用的影像学检查手段,能够准确评估脾脏的形态和功能,并帮助医生做出合理的诊断和治疗方案。
然而,在进行影像学诊断时,医生需要注意影像表现与病理学和临床的关联,并结合多模态影像学技术以提高诊断准确性。
随着技术的不断发展,影像学在脾脏疾病治疗中将发挥更加重要的作用。
磁共振泌尿系统造影(MRU)的临床应用MR泌尿系造影与胆道造影原理基本相同,是利用重T2加权的水成像技术,来显示泌尿系管腔的解剖形态及其病变情况。
与传统的X线泌尿系造影(IVP)相比,MRU除可观察泌尿系管腔的形态外,还可利用常规MR技术直接显示管腔周围及管壁的结构,特别是肾实质及其集合系统的情况。
由此可对肾脏和输尿管结构改变的部位及原因进行全面评价。
同时利用MR的功能测定还可观察肾功能。
由于MRU不需要接受任何造影剂,因此特别适合于肾功能衰竭的患者。
同时MRU不需接受X射线的照射,更适合于妊娠期间尿路的影像学检查。
Aerts等报道在对尿路积水的诊断方面,MRU的敏感性为100%,特异性为96%。
但是MR泌尿系造影也有一定的限度,如影像分辨率较常规X线泌尿系造影明显低。
对于不扩张的输尿管显示较差等。
MRU的进一步发展有赖于其检查技术的进一步完善。
1 扫描技术常规MRI扫描序列与腹部其他器官所采用的技术基本相同。
T2加权像首先采用中等长度回波时间的TSE扫描序列,其中HASTE技术具有采集时间短,图像对比度好的优点。
在此图像上,可以将肾皮髓质大体分开,同时还可将肾窦脂肪与肾盂及肾实质区分开来。
采用脂肪抑制HASTE T2加权扫描,可更进一步突出病变。
True FISP T2*加权梯度回波扫描技术则可清晰显示肾脏及膀胱的轮廓。
同时在此序列的影像上血管为高信号,有利于显示病变对血管的影响,如肾癌引起的下腔静脉癌栓等。
T1加权像采用FLASH 2D梯度回波。
脂肪抑制T1加权像也可显示肾皮质及髓质。
Gd-DTPA增强动态T1加权扫描可反映肾脏及病变的血供情况。
MR泌尿系造影技术如同MR胆道造影一样可有两种方法:(1)采用长TE时间的HASTE重T2加权扫描序列:此法可提供良好的信噪比及对比噪声比。
有2D及3D成像两种,获得的原始图像经过MIP后处理而得到可进行360度旋转的立体影像。
该技术可在一次屏气十数秒或数十秒内完成。
泌外科常见疾病的影像学诊断泌外科是医学中涉及泌尿系统和男性生殖系统疾病的学科,包括泌尿系统器官的疾病以及男性疾病的诊断和治疗。
在泌外科的临床实践中,影像学诊断技术扮演着重要的角色。
通过不同类型的影像学检查,医生可以准确地确定患者的病情,并为治疗提供依据。
本文将介绍泌外科常见疾病的影像学诊断方法和技术。
一、泌尿系统肿瘤的影像学诊断泌尿系统肿瘤是泌外科常见的疾病之一。
对于泌尿系统肿瘤的影像学诊断,常用的检查方法有超声、CT、MRI等。
超声检查属于无创检查,对于肾脏和前列腺等器官的肿瘤有较好的分辨率。
CT检查可以提供更为详细的图像信息,特别是对于深部肿瘤和染色体异常的检查有较高的准确性。
MRI是一种非放射性的影像学检查方法,对于观察软组织结构以及肝脏和腹部的肿瘤有较好的效果。
根据不同的临床情况和肿瘤类型,医生可以选择合适的影像学检查技术进行诊断。
二、前列腺增生的影像学诊断前列腺增生是一种常见的男性疾病,泌外科医生常常需要通过影像学检查来确定其病情。
常用的影像学检查方法包括经直肠超声、尿液流率测定以及前列腺特异性抗原(PSA)检查。
经直肠超声是一种无痛无创的检查方法,可以直接观察前列腺的形态和结构,并可以发现前列腺增生的异常变化。
尿液流率测定可以评估尿液排尿状况,判断是否存在排尿问题。
PSA检查是一项血液检查,可以检测前列腺组织中PSA的含量,用于判断前列腺疾病的风险。
三、泌尿结石的影像学诊断泌尿结石是一种常见且痛苦的疾病,也需要通过影像学检查来确定其存在和位置。
常用的影像学检查方法有X射线、CT以及B超等。
X射线检查可以发现较大的结石,对于确定结石的存在和位置有一定的帮助。
CT检查可以提供更为准确的结石图像,对于小型结石和复杂的结石情况可以给出详细的信息。
B超检查是一种无创的检查方法,特别适用于儿童和孕妇,对于发现尿路结石以及确定结石的大小和位置有一定的价值。
四、泌尿系感染的影像学诊断泌尿系感染是泌外科常见的疾病之一,影像学检查在诊断和治疗中起着重要的作用。
脾脏疾病影像学检查及诊断脾脏疾病影像学检查及诊断一、概述脾脏是人体内一种重要的器官,它在免疫功能、造血功能和代谢功能等方面起着重要作用。
脾脏疾病的影像学检查及诊断是评估脾脏疾病的首要手段。
本文将详细介绍脾脏疾病影像学检查的常用方法及其应用,以及各种脾脏疾病的影像学表现与诊断要点。
二、腹部超声检查⒈扫描技术及指征⑴二维超声扫描:用于脾脏大小、形态和结构的评估。
⑵彩色多普勒超声:用于评估脾脏血流情况,检测脾脏血管病变。
⑶基于超声造影剂的增强超声:用于脾脏血供情况的评估,有助于脾脏肿瘤的定性和定量。
⑷床边超声:用于危重病患者的脾脏快速评估。
⒉影像学表现与诊断要点⑴常见脾脏疾病的超声表现与鉴别诊断。
⑵脾脏大小的测量及相关参考范围。
⑶脾脏内部回声的特征与意义。
⑷脾脏囊性病变的鉴别诊断。
⑸脾脏血管病变的表现与诊断要点。
三、腹部CT检查⒈扫描技术及指征⑴常规增强CT扫描:用于评估脾脏大小、形态、密度及血供情况。
⑵动态增强CT扫描:用于评估脾脏动态灌注和血流量,对于肿瘤的定性和定量有较高的价值。
⑶螺旋CT扫描:用于快速获取脾脏的高分辨率图像。
⑷三维重建CT扫描:用于评估脾脏的立体结构。
⒉影像学表现与诊断要点⑴常见脾脏疾病的CT表现与鉴别诊断。
⑵脾脏密度的测量及相关参考范围。
⑶脾脏肿瘤的CT特征与定级。
⑷脾脏炎症的CT表现与诊断要点。
⑸脾脏血管病变的CT表现与诊断要点。
四、磁共振检查⒈扫描技术及指征⑴ T1加权图像:用于评估脾脏形态、信号强度及周围组织关系。
⑵ T2加权图像:用于评估脾脏病变的信号强度、组织的异常改变。
⑶增强扫描:用于评估脾脏血供情况、肿瘤的定性和定量。
⒉影像学表现与诊断要点⑴常见脾脏疾病的磁共振表现与鉴别诊断。
⑵脾脏信号的测量及相关参考范围。
⑶脾脏肿瘤的MR特征与定级。
⑷脾脏炎症的MR表现与诊断要点。
⑸脾脏血管病变的MR表现与诊断要点。
附件:本文档涉及附件(如图示、影像等详细资料,请参阅附件部分)法律名词及注释:⒈鉴别诊断:通过比较不同病理情况下的影像学表现,确定疾病类型的诊断方法。
1,超声发现泌尿系结石
超声发现泌尿系结石(肾盂、肾盏、输尿管结石、膀胱结石),请选择CT+CTU(CT泌尿系成像),备选MRI+MRU(CT增强过敏、忌讳射线者)。
2,肾积水查因
超声发现肾积水查因者,需了解肾功能者,请选择静脉肾盂造影(IVP),或者CTU/MRU (泌尿系成像);重度肾积水或儿童患者,请直接做MRU或CTU。
3,肾肿瘤、炎症
双肾肿瘤、炎症(结核、黄色肉芽肿行肾盂肾炎等)或血尿查因者,首选超声,再选CT、MR平扫+增强,对于部分肿瘤(如少脂肪血管平滑肌脂肪瘤、淋巴瘤)或不同时做增强者,MRI更有优势。
4,输尿管、膀胱
对于输尿管、膀胱炎症或肿瘤,首选超声,再选CT/MR平扫+增强(部分加做CTU或MRU),不同时做增强者,MRI更有优势。
5,生殖系统病变
拟诊睾丸、前列腺、精囊腺、子宫、卵巢炎症、肿瘤、畸形者,首选超声,再选MRI平扫+动态增强(+MRS),一般不选CT(除非晚期肿瘤);需肿瘤分期者请选PET-CT或全身MRI弥散成像(类PET)。
6,超声怀疑卵巢恶性者
超声怀疑卵巢恶性者,请直接选择全腹部MRI平扫+增强,方便肿瘤分期;有条件者,也可选择PET-CT或全身PET。
7,乳腺疾病
首选超声+钼靶,需要进一步确诊的再选择MRI平扫+动态增强,一般不选择CT。
mr检查报告在我们的日常生活中,保持身体健康是非常重要的。
因此,定期进行身体检查是非常必要的。
最近,我进行了一项全面身体检查,并获得了我的 MR(核磁共振)检查报告。
这是一个非常重要的检查,它可以检测出许多健康问题,包括神经、骨骼以及器官方面的问题。
在本文中,我将分享我的 MR 检查报告,并分享一些我在检查中学到的关于身体的知识。
首先,我的 MR 检查报告显示我的头部和颈部没有任何问题。
这是一个好兆头,因为头部和颈部是身体中最重要的部分之一。
在 MR 检查中,医生会使用大型磁铁和无害的无线电波来生成详细的图像。
这些图像可以帮助医生检查大脑、眼睛、耳朵、喉咙、鼻子和颈部,以便确定是否存在任何异常。
接下来,MR 检查报告显示我的肩膀和胸部没有任何问题。
这对我来说是一个很好的消息,因为这些部位在日常生活中非常重要。
在 MR 检查中,医生将会检查肩膀和胸部的骨骼和软组织,以确定是否存在任何肌肉或骨骼问题。
在我的 MR 检查中,医生还关注我的肺部,以确定是否存在任何肺病。
MR 检查报告还显示我的腹部和骨盆无异常。
这也是一个极好的消息,因为腹腔和骨盆是身体内部最重要的器官之一。
在 MR检查中,医生将会检查肝脏、胆囊、胰腺、脾脏、肾脏和泌尿系统以确定是否存在任何异常。
最后,MR 检查报告显示我的四肢和骨骼结构没有任何问题。
这对我来说是一个非常好的消息,因为这意味着我的骨骼结构和四肢功能都处于良好的状态。
在 MR 检查中,医生还会检查四肢的关节和骨骼,以确定是否存在任何关节或骨骼疾病,如关节炎或骨质疏松症。
总的来说,我的 MR 检查报告显示我的身体健康状况良好。
这对我来说是一个非常好的消息,因为健康是非常重要的。
通过执行定期检查,我可以确保自己身体健康,并采取必要的措施防止任何健康问题的发生。
最后,我想分享一些我在此次检查中学到的关于身体健康的知识。
首先,坚持锻炼可以促进身体健康。
无论你的身体状况如何,都应该坚持日常锻炼。
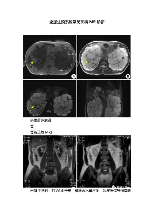
泌尿生殖系统常见疾病MR诊断.多囊肝多囊肾肾肾脏正常MRIMRI平扫时,T1WI由于皮,髓质含水量不同,致皮质信号强度略高于髓质,皮髓质分界清晰,T2WI肾皮,髓质均呈较高信号而分辨不清,肾窦脂肪组织在T1WI和T2WI上信号均较高,肾血管由于流空效应而无信号,GD-DTPA增强检查表现类似CT增强,正常MRU表现与正常IVU类似,可多角度观察。
MRI显示双肾的位置,大小,轮廓及信号正常,T1WI皮髓质分界清晰,MRU可显示集尿系统的正常形态表现,肾盂肾盏无积水扩张,输尿管常为断续显影,为其蠕动并无完全充盈尿液所致,膀胱充盈良好时边缘光滑,增强多期扫描强调两侧皮质强化,实质强化的同时性和明显强化的特征,肾盂期集尿系统内有造影剂充盈。
肾管交界部狭窄左输尿管上端先天性狭窄并肾盂高度扩张积水本病是常见的先天性异常,在新生儿及婴儿期是肾盂积水最常见的病因,梗阻的实际原因通常是狭窄,也可为迷走血管,纤维束带等外压所致。
盂管交界部梗阻皆表现为肾盂积水,新生儿期的肋腹部肿块一半为肾盂积水所导致,有时在出生前即经超声诊断。
MRI及MRU表现为双侧或单侧肾盂肾盏不同程度的积水扩张,肾盂扩张往往更重且向前移位,盂管交界部变钝或呈鸟喙状,当积水严重时肾实质变薄,合并感染时皮髓质分界不清,增强检查强化程度减低,应该注意的是,由于输尿管内尿液很少,所以MRU常不显影,肾盂肾盏内继发结石常为多发沙砾状。
继发感染性脓肾时肾破裂的情况也应予以重视。
肾结石双肾髓质内可见多发微小结石影本病约2/3位于肾盂内,多为阳性结石,肾结石可引起肾盂肾盏的阻塞,损伤和感染,若结石较大,位于肾盂内且活动度甚小,又未产生梗阻,感染或损伤,可以长期无明显临床症状或仅有患侧腰部隐痛或钝痛。
MRI并非肾结石的常规检查。
肾结石的MRI表现:T2WI上肾盂肾盏内的低信号影,此为含钙较高的结石,合并肾盂肾盏积水的情况很常见,MRU对于显示上述两种表现效果很好,结石类似造影时的充盈缺损改变,较小的结石需要观察原始图象。
脾脏疾病影像学检查及诊断脾脏疾病影像学检查及诊断一、引言脾脏是人体重要的器官之一,参与免疫调节、造血、滤波等多种功能。
脾脏疾病是常见的内科疾病之一,其准确的诊断对于治疗和预后评估至关重要。
本文将详细介绍脾脏疾病的影像学检查方法及诊断要点。
二、脾脏疾病的影像学检查分类1:超声检查1.1 传统超声检查1.2 彩色多普勒超声检查1.3 脾脏动脉血流检查2: X线检查2.1 胸部X线检查2.2 腹部X线检查3: CT扫描3.1 螺旋CT扫描3.2 增强CT扫描4: MRI检查4.1 T1加权像4.2 T2加权像4.3 动态增强MRI三、具体脾脏疾病的影像学表现与诊断要点1:脾脓肿1.1 影像学表现1.2 诊断要点2:脾血管瘤2.1 影像学表现2.2 诊断要点3:脾囊肿3.1 影像学表现3.2 诊断要点4:脾肿瘤4.1 脾脏良性肿瘤4.1.1 影像学表现4.1.2 诊断要点4.2 脾脏恶性肿瘤4.2.1 影像学表现4.2.2 诊断要点四、附件本文档涉及附件,请参考附件一。
五、法律名词及注释1:彩色多普勒超声检查:一种利用多普勒效应来检测和显示血液流动情况的超声检查方法。
2:螺旋CT扫描:一种通过旋转X射线源和检测器的相互运动,快速获取连续切片图像的CT扫描技术。
3:动态增强MRI:一种通过给予患者静脉注射对比剂,并连续进行多个时间点的图像采集,以观察器官或病变在时间上的变化情况的MRI技术。
六、全文结束。
泌尿系常见疾病的影像学诊断泌尿系常见疾病的影像学诊断一、引言泌尿系常见疾病指的是影响泌尿系统(包括肾脏、输尿管、膀胱和尿道)正常功能的病理状况。
影像学诊断是一种常用的方法,可用于评估泌尿系统疾病的类型、程度和扩展。
本文将介绍几种常见的泌尿系疾病,并探讨影像学在其诊断中的作用。
二、肾脏疾病2.1 肾结石肾结石是一种常见的肾脏疾病,主要由尿中过多的草酸钙、尿酸或草酸铵等物质沉积而形成。
影像学常用的诊断方法有X线平片、CT和超声等。
- X线平片能够显示大部分含钙的结石。
它们呈现为白色或高密度区域。
- CT扫描具有较高的灵敏度和特异性,可以清楚地显示结石的大小、位置和形态。
- 超声检查一般用于初步筛查,它可以检测到较大的结石,并检查是否有尿液滞留。
2.2 肾囊肿肾囊肿是肾脏常见的良性病变,它是由于肾单位发育异常导致的囊性扩张。
通常,肾囊肿无症状,多是在影像学检查中无意发现。
超声是最常用的检查方法,它可以显示囊肿的数量、大小和位置。
- 超声检查时,囊肿呈现为无回声或低回声区域,边界清晰,可见到后方声影。
2.3 肾肿瘤肾肿瘤主要有肾细胞癌和肾血管瘤两种类型。
肾细胞癌是最常见的恶性肾肿瘤,多发生于中老年人。
肾肿瘤的影像学诊断主要依靠CT扫描。
- CT扫描可以显示肾肿瘤的大小、形态和边界,以及肿瘤的血供情况。
三、输尿管疾病3.1 输尿管结石输尿管结石是泌尿系常见疾病之一,其形成原因多种多样,常来源于肾脏结石。
影像学是输尿管结石诊断的主要手段。
- X线平片对于尿路结石的检查具有一定的价值,可以显示结石的位置和形态。
- CT扫描是最常用的影像学方法,它能够清晰地显示输尿管结石的位置、大小、形状和与周围组织的关系。
3.2 输尿管狭窄输尿管狭窄是指输尿管内径明显变窄或闭塞。
常见的原因包括先天性畸形、炎症、肿瘤等。
影像学检查可以帮助确定狭窄的程度和位置。
- 磁共振泌尿系成像(MRU)是一种无损伤、无辐射的影像学检查方法,可以清晰地显示输尿管狭窄的程度和位置。
正常脾脏MR应该是什么样子的?
以下内容根据:登封市中医院郭赞央老师日常读书笔记整理而成,图片来源书内截图或网络,特此声明
以肝脏MR检查为基础。
脾脏T2值大于肝脏,在1.5T为70-90ms,因而脾脏T2WI的TE应适当延长到80-100ms。
脾脏反相位的诊断价值不如肝脏,主要是正常脾脏组织不含脂肪且大部分脾脏肿瘤很少发生脂肪变性,但反相位有利于脾脏铁沉积的诊断,铁沉积在反相位上信号不同相位高。
脾脏主要由淋巴组织构成,但有丰富的血管和血窦。
皮质又称脾髓,可分为白髓、红髓及介于红、白髓之间的边缘区。
新鲜切片白髓呈灰白色的小点状,直径1-2mm,主要由淋巴网状细胞和淋巴滤泡构成。
红髓位于白髓的周围,为深红色,由淋巴组织和血窦构成。
正常脾脏T1WI上信号稍低于肝实质,T2WI上信号稍高于肝实质。
婴儿脾脏主要有红髓构成,有大量的血细胞,导致T2信号减低,因此婴儿脾脏T2WI呈稍低于肝实质的信号。
达8个月时表现为成人脾脏信号。
DWI信号增高。
Gd-DTPA增强扫描:动脉期脾脏MR呈花斑状强化,称弓形增强方式。
持续一段时间后转化为均匀一致的强化方式。
如果该强化发生改变,则应怀疑脾脏弥漫性病变的发生。
版权声明。
脾脏病变的MR影像诊断思路脾脏病变的诊断思路:第一步:区分是实性还是囊性病变;第二步:囊性病变:淋巴管囊肿最常见,其他囊性病变(假性囊肿、先天囊肿、包虫、脓肿);第三步:实性病变:血液淋巴系统肿瘤/异常增殖最常见,其次主要是脉管源性肿瘤(血管瘤、错构瘤、LCA、SANT、血管肉瘤);Gamna-Gandy小体见于门脉高压患者;转移瘤少见;结节病、紫癜罕见。
脾脏分为包膜;红髓:滤血;白髓:免疫;脾脏还可以髓外造血;红髓包括脾索及脾窦;脾脏DWI高信号是因为含有淋巴组织较多;脾脏花斑样强化的原因是快血流和慢血流的机理所致。
1、脾脏血液淋巴瘤/异常增殖:脾脏最常见肿瘤,主要类型为淋巴瘤、白血病;淋巴瘤大部分弥漫大B淋巴瘤;增强扫描低强化,静脉期显示较好;坏死相对多见于弥漫大B淋巴瘤或者治疗后;钙化罕见。
淋巴瘤生长方式:弥漫浸润;弥漫浸润伴多发核粟粒结节;多发局灶性结节;单发肿块。
T2WI中等稍高信号,DWI高、ADC低,信号/强化均匀,多部分累及,多发肿大淋巴结。
2、脉管源性肿瘤:起源于红髓;血管瘤、错构瘤、淋巴管瘤、窦岸细胞血管瘤、硬化性血管瘤样结节转化、血管肉瘤、血管内皮瘤、血管外皮瘤;血窦腔的宽窄、铁质沉积、纤维化对脉管源性肿瘤信号影像较大。
(1)血管瘤:最常见的脾脏原发良性肿瘤,病理为血窦内皮细胞增生形成多发血管腔,海绵状血管瘤最常见,信号特点与肝血管瘤相似,但T2WI没有肝血管瘤亮;四种强化方式:动脉期周边强化,向心充填,延迟期高强化;动脉期整体均匀强化;动脉期周边强化,向心充填,中心区无强化;动脉期强化不均匀,门脉/延迟逐渐强化。
(2)脾错构瘤:又叫脾内副脾、脾增生性结节、脾腺瘤。
少见,病理:脾窦腔杂乱排列,以红髓型多见,可伴中央纤维增生。
T2WI低信号为主(纤维组织、窄血窦),T2WI高信号(宽血窦),T1WI稍低,动脉期弥漫不均匀轻-中度强化,随时间渐渐性延迟强化,纤维型有中央纤维瘢痕。