细胞形态学图片
- 格式:doc
- 大小:3.27 MB
- 文档页数:41
卫生部临床检验中心2009 年第 1 次血细胞形态学检查室间质量评价注:若看不清结构,可以适当放大图片比例进行观察。
序号图片说明2009101请报告箭头所指细胞的名称单核细胞2009102请报告箭头所指细胞的名称口形红细胞2009103请报告箭头所指细胞的名称异型淋巴细胞染色质小体,为紫红色圆形小体,位于成熟红细胞或幼红细胞胞浆中,可1或多个一般见于脾切除后、无脾症、脾萎缩、脾功能低下、红白血病、某些贫血(例如巨幼红细胞性贫血)请报告箭头所指细胞 2009104 内结构的名称请报告箭头所指细胞 2009105 的名称请报告箭头所指细胞 2009106 的名称请报告箭头所指物的 2009107名称豪若小体含中毒颗粒中性粒细胞原/幼单核细胞血小板请报告箭头所指细胞 2009108 的名称请报告箭头所指细胞 2009109 的名称请报告箭头所指细胞 2009110 的名称浆细胞球形红细胞巨(中性)杆状核粒细胞卫生部临床检验中心2009 年第 2 次血细胞形态学检查室间质量评价注:若看不清结构,可以适当放大图片比例进行观察。
序号 图片 说明请报告箭头所指细胞 2009201的名称请报告箭头所指细胞 2009202的名称请报告箭头所指细胞 2009203的名称原/幼淋细胞棘形红细胞巨多分叶中性粒细胞请报告箭头所指细胞 2009204 的名称请报告箭头所指细胞 2009205 的名称请报告箭头所指细胞 2009206 的名称请报告箭头所指细胞 2009207的名称椭圆形红细胞嗜碱性粒细胞嗜酸性粒细胞靶形红细胞请报告箭头所指细胞 2009208 内结构的名称请报告箭头所指细胞 2009209 的名称请报告箭头所指细胞 2009210 的名称中性粒细胞鼓槌巨核细胞早幼粒细胞卫生部临床检验中心2009 年第 3 次血细胞形态学检查室间质量评价注:若看不清结构,可以适当放大图片比例进行观察。
序号图片说明2009301请报告箭头所指细胞的名称原幼淋巴细胞2009302请报告箭头所指细胞的名称镰形红细胞2009303请报告箭头所指细胞的名称单核细胞请报告箭头所指细胞排2009304列状况的名称请报告箭头所指细胞的2009305名称请报告箭头所指细胞的2009306名称请报告箭头所指细胞的2009307名称缗钱状红细胞毛细胞泪滴形红细胞赛塞利细胞请报告箭头所指物的名 2009308 称请报告箭头所指细胞的 2009309 名称请报告箭头所指细胞的 2009310 名称颗粒减少的血小板戈谢氏细胞中性晚幼粒细胞卫生部临床检验中心2010 年第 1 次血细胞形态学检查室间质量评价注:若看不清结构,可以适当放大图片比例进行观察。
低倍镜,增生活跃或明显活跃 (图一) 40倍,可见各阶段幼稚粒、有核红,粒系有核左移,有的中性中幼粒有核浆发育不平衡;幼红细胞体积偏小,偏蓝 (图二)100倍,幼红细胞胞体偏小,胞浆偏碱 外周血,成熟红细胞体积小,中心浅染去扩大(图三) (图四)低倍镜,增生活跃,细胞胞体偏大 (图五)低倍镜,增生活跃,细胞胞体偏大 (图五) 40倍,可见各阶段巨幼红细胞 (图六)高倍镜,杆状核巨型变(图七) 中巨幼红(图八)低倍镜,增生明显活跃(图十一) 高倍镜,红系明显增生,中晚幼红为主,成熟红细胞多嗜性(图十二)低倍镜:成人CAA,髂骨:增生减低,高倍镜骨髓小粒:组织嗜碱细胞,油滴较多,小粒空虚,细胞面积约20%浆细胞,网状细胞(图十三) (图十四)儿童(CAA)髂骨涂片,增生活跃(-)粒系晚幼一下阶段为主,炭核红,巨核巨核少见(图十五) 少(40倍)(图十六)儿童SAA(胸骨)(图十七) 破骨细胞(图十八)(图十九) (图二十)核间桥(细胞内)(图二十一) 三核红(图二十二) 假性Pelge-Huet畸形(图二十三) 环形核(图二十四)免疫酶标(图二十五) 环状铁粒幼红细胞(图二十六)增生极度活跃 CML (图二十七) BM:以中心中晚幼粒为主,嗜酸,嗜碱粒易见(图二十八)CML(PB) (图二十九)PV 增生活跃(图三十)成熟红细胞堆积排列(图三十一)外周血可见泪滴红(图三十二) ET外周血,血小板大片状分布(图三十三) ET 骨髓成熟产板巨核,(图三十四)幼稚浆细胞细胞形态(图三十五)骨髓涂片浆细胞淋巴瘤细胞形态学特征(图三十六)骨髓活检浆细胞骨髓瘤组织学表现(图三十七)骨髓活检浆细胞骨髓瘤组织学特征(图三十八)Russel包涵体(图三十九)(图四十) 原发性淀粉样变性图示肺血管淀粉样变性A:刚果红染色B:苹果绿双折光血清蛋白电泳(图四十一) 血清蛋白电泳示多克隆(黄色)和单克隆(蓝色)图中示γ区单克隆“M”蛋白峰免疫球蛋白的对比(图四十二)免疫固定电泳显示血和尿“M”蛋白成分图中示血清中IgG-κ轻链M蛋白成分以及κ B-J蛋白尿(图四十三)核呈分叶状的巨大浆细胞(图四十四) MM细胞胞体较大,核形不规则(图四十五) 火焰状MM细胞双核三核MM细胞(图四十六) 由于Ig沉积MM胞浆中可见结晶及包含体(图四十七)AML伴有t(8;21)(q22;q22),(AML1/ETO) APL[AML伴有t(15;17)(q22;q11-12)异常中幼粒,核旁“朝阳红”(图四十九) M3的核形和大小不规则,常为肾形核或双核胞浆内充满粗大的嗜天青颗粒。
泡状细胞体积多明显大于普通表皮细胞 ; 细胞富 含水分 ,液泡较大 , 无叶绿素或有少量叶绿素 , 径向壁 薄 ,外切向壁较厚 ;在叶片横切面上 ,排列成扇形 ,中间 的细胞最大 ,两侧的较小 。
泡状细胞一般作为泡状细 胞组而被研究 。
泡状细胞是禾本科植物细胞结构的重 要特征 ,但并非所有禾本科植物都具有泡状细胞 。
研 究发现假俭草 ( E r e m och l oa oph i u r oides ) 上 表皮 就 无明 显的泡状细胞 ,其上 、下表皮细胞的形态结构以及气孔 度上反映出 植物 抗 旱 能力 的 大 小 。
植 物 在 遭受 干 旱 时 ,可利用泡状细胞失水 , 细胞外壁向内收缩 , 引起整个叶片向上卷起成筒状以减少蒸腾作用 , 降低水分丧 失 ;当有水分供应时 , 细胞充水膨胀 , 使叶片展平 。
正 是由于其这种功能 ,泡状细胞又称运动细胞 。
可见 ,泡状细胞作为禾本科植物叶的上表皮所具有的一种特殊 结构 ,是这类植物重要的旱生特性体现 。
许多学者的研究也证实了这一点 。
小花碱茅 ( Puccinellia tenu i f lo 2ra ) 属禾本科碱茅属多年生草本植物 ,在我国分布范围较广 ,是目前生物改良盐碱地的有效植物 。
研究表明 高盐胁迫下 , 这 种 植物 的 泡 状细 胞 数 量增 多 、体 积 变大 、下陷更深 ,使碱茅在水分缺乏时可以迅速将叶片卷起 ,大大减少水分散失 ,有利于防止叶片缺水萎蔫时造 [ 1 ]的数目极为相似 , 是典型的等面叶 。
同种植物泡状 细胞的形态也往往具有一定的差异 , 如不同地域的丝 茅 ( I m pera t a koen i g i i ) : 江苏启东丝茅叶片横切面中的 泡状细胞较发达 ,由 3 ~6 个细胞组成 ,居中的 1 ~2 个 细胞最大 ,可占叶片厚度的一半 ;河南丝茅叶片上表皮 泡状细胞也较明显 , 但山东丝茅叶片上表皮泡状细胞 [ 4 ]成机械 损伤 。
接下来是血液细胞图片
[/url]
[url=
0票票数
本来想一周后公布答案的,既然大家要求,那就现在就公布吧2009年体液质控图片答案
201 间皮细胞(轻度核异质)
202 MM细胞或者原始浆细胞
203 异形间皮细胞(轻度核异质)
204 噬血型巨噬细胞
205 单核细胞
206嗜酸性粒细胞
207 肿瘤细胞
208 LE细胞
209间皮细胞轻度核异质
210 蜡样管型
2009年血液细胞答案
101 早幼粒细胞
102盔形红细胞
103廉形红细胞
104疟原虫感染红细胞
105 赛塞利细胞(Sezary cell)
106异形淋巴细胞
107 火焰状浆细胞
108组织胞浆菌
109 杜利氏曼原虫(这个答案很多人有意见但是供片单位答复是这个答案)110巨红细胞
111 晚幼红细胞
112 Pelger-huet畸形粒细胞
113靶形红细胞
114杜乐氏小体
115退化细胞(蓝细胞)
116嗜多色性红细胞
117成堆AUER小体
118颗粒淋巴细胞
119中幼红细胞
120噬血型红细胞
形态图第二帖
继续上图
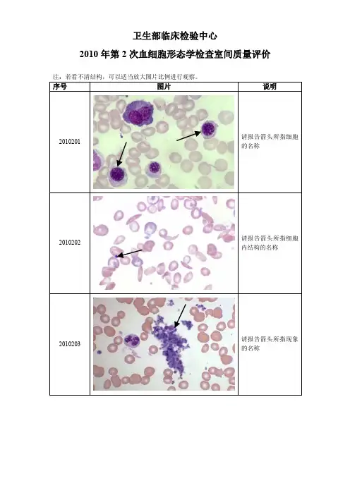
继续更新2010年度第二次形态学质控(图片太大只能分批上传)。