组织学与胚胎学切片图(20190717081022)
- 格式:pdf
- 大小:6.56 MB
- 文档页数:43
编辑
考试重点:以下切片的名称、取材、主要结构等
照片名称:主细胞与壁细胞
照片名称:中动脉2副本
照片名称:有髓神经纤维2副本
照片名称:血细胞
照片名称:未角化复扁
照片名称:胃粘膜层
照片名称:心肌闰盘
照片名称:心肌闰盘细胞核纵切
照片名称:疏松结缔组织(胶原纤维、弹性纤
照片名称:生精小管
照片名称:肾上腺1
照片名称:神经元1
照片名称:脾脏
照片名称:子宫分泌期2
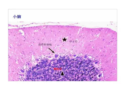
照片名称:蒲肯野纤维
照片名称:气管壁结构
照片名称:潘氏细胞
照片名称:门管区-2
照片名称:骨骼肌(骨骼肌纤维细胞核)纵切
照片名称:睾丸低倍
照片名称:单层柱状上皮(杯状细胞柱状细胞
照片名称:肺的呼吸部jpg
照片名称:复层扁平未角化jpg
照片名称:肝脏巨噬细胞
照片名称:垂体远侧部细胞副本
照片名称:次级卵泡2
照片名称:大动脉1
照片名称:单层立方
照片名称:平滑肌纵切。
编辑
考试重点:以下切片的名称、取材、主要结构等
照片名称:主细胞与壁细胞
照片名称:中动脉2副本
照片名称:有髓神经纤维2副本
照片名称:血细胞
照片名称:未角化复扁
照片名称:胃粘膜层
照片名称:心肌闰盘
照片名称:心肌闰盘细胞核纵切
照片名称:疏松结缔组织(胶原纤维、弹性纤
照片名称:生精小管
照片名称:肾上腺1
照片名称:神经元1
照片名称:脾脏
照片名称:子宫分泌期2
照片名称:蒲肯野纤维
照片名称:气管壁结构
照片名称:潘氏细胞
照片名称:门管区-2
照片名称:骨骼肌(骨骼肌纤维细胞核)纵切
照片名称:睾丸低倍
照片名称:单层柱状上皮(杯状细胞柱状细胞
照片名称:肺的呼吸部jpg
照片名称:复层扁平未角化jpg
照片名称:肝脏巨噬细胞
照片名称:垂体远侧部细胞副本
照片名称:次级卵泡2
照片名称:大动脉1
照片名称:单层立方
照片名称:平滑肌纵切。
《组织学与胚胎学》图谱第一章上皮组织图1-1单层扁平上皮-间皮的表面观(肠系膜铺片镀银染色10×10)细胞为不规则的多边形,边缘呈锯齿状,核为浅色的圆形或椭圆形位于中央。
图1-2单层扁平上皮-间皮的表面观(肠系膜铺片镀银染色10×20)图1-3单层扁平上皮(结缔组织中毛细血管的切面HE染色10×20)血管内表面内呈一条红色细线,内皮细胞界限不清,核为扁椭圆形突向管腔。
图1-4单层立方上皮(甲状腺HE染色10×20)甲状腺滤泡腔内为红色胶质,滤泡上皮为单层立方上皮,细胞核为圆形,大小比较一致,排列整齐。
图1-5单层柱状上皮(胆囊HE染色10×20)胆囊皱襞的粘膜表面为单层柱状上皮,柱状细胞排列整齐,细胞核为椭圆形,靠近细胞的基底部,上皮的基底部可见染成红色细线状的基膜。
图1-6单层柱状上皮(小肠HE染色10×40)上皮内的柱状细胞界限清楚,形态为高柱状,游离面可见纹状缘,上皮内可见轮廓清楚的呈高脚酒杯状的杯状细胞,顶端胞质染色浅为空泡状,基底部较细,可见较小的扁椭圆形细胞核。
图1-7假复层纤毛柱状上皮(气管HE染色10×20)假复层纤毛柱状上皮由高矮不等的纤毛柱状细胞、杯状细胞、梭形细胞和锥形细胞组成,从切面上看细胞核排列为3~4层,好似复层上皮,实际上每细胞的基底部都长在基膜(↑)上,上皮的游离面可见明显的纤毛(↓)和空泡状的杯状细胞(←)。
图1-8复层扁平上皮(食管HE染色10×10)图示未角化的复层扁平上皮由多层细胞组成,基底层细胞为小的立方或矮柱状细胞,具有增生分裂能力,细胞核为圆形、排列密集、染色深、体积小,中间部分的细胞为较大的多边形,细胞轮廓较清楚,细胞核为较大的圆形,胞质染色较浅,表面的数层细胞为扁平形,细胞核为梭形,体积最小。
上皮的基底部与深部的结缔组织的连接处呈凹凸不平状。
图1-9变移上皮(膀胱HE染色10×40)又称移行上皮,上皮的细胞形态和排列层数随器官的功能状态而发生变化。