医学影像学病例分析
- 格式:docx
- 大小:125.00 KB
- 文档页数:27
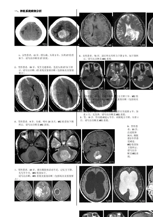
一、神经系统病例分析1、女性患者,42岁,感头痛、头晕2年,头颅CT检查如下。
请写出诊断及CT表现。
2、男性患者,30岁,发生交通事故,急查头颅CT如下所示。
请写出诊断、CT表现及鉴别诊断(包括病名及鉴别要点)。
3、男性患者,9岁,头痛、呕吐20余天,MRI检查如下图所示,请写出诊断及MRI表现。
4、男性患者,53岁,感右侧肢体活动不灵、记忆力下降、失写半个月,MRI检查如下,请写出诊断、MRI表现及鉴别诊断(包括病名及鉴别要点)。
5、女性患者,75岁,进行性右耳听力下降2年。
如下图所示,请写出诊断及MRI表现。
6、女性患者,48岁,走路不稳伴记忆力下降十年。
MRI检查如下。
请写出诊断、MRI表现及鉴别诊断(包括病名及鉴别要点)。
7、女性患者,12岁,反复右颞区疼痛伴右耳流脓1年,加重4天,无发热。
请写出诊断及MRI表现。
8、男、49岁,性功能减退1年半,双眼视力下降、头晕4月。
请写出诊断及MRI表现。
9、男性患者,50岁,自述肢体麻木、酸胀感2年伴感觉减退。
MRI检查如下图所示。
请写出诊断及MRI表现。
10、患者女性,36岁,感右肢麻木无力3年,伴左肢麻木无力2年。
MRI检查如下,请写出诊断及MRI表现。
一、神经系统病例分析1、脑膜瘤。
CT表现:①双侧顶区矢状窦旁可见半球形病灶,广基底与大脑镰相连;②平扫呈一较高密度病灶,边界清楚;③增强后病灶明显均匀强化;病灶周围可见低密度的水肿区,无强化。
2、额、颞、枕、顶急性硬膜下血肿合并蛛网膜下腔出血。
CT表现:①有外伤史;②额、颞、枕、顶颅骨内板下方新月形高密度影,上纵裂蛛网膜下腔亦可见高密度影;③占位效应明显,右侧侧脑室受压变窄,中线结构明显左移。
④右侧颞部皮下血肿,颅骨未见明显骨折。
需与硬膜外血肿相鉴别,硬膜外血肿:①外伤后常合并骨折;②呈梭形或双凸透镜形高密度影;③血肿范围局限,不跨骨缝;④占位征象较轻。
3、小脑蚓部髓母细胞瘤。
髓母细胞瘤是幕下常见的恶性肿瘤,常见于小儿后颅窝中线区。
影像诊断病例报告范文一、概述影像诊断在临床医学中扮演着重要的角色,不仅可以提供病灶的形态和位置,还能提供关于病变性质、范围和严重程度的信息。
本报告旨在详细描述一位病人的影像学表现,以及给出进一步确诊和治疗建议。
二、病人信息本病例报告描述的病人为一位50岁女性,因慢性咳嗽、血痰和乏力6个月来就诊。
她无肥胖、吸烟史及其他病史。
三、临床表现病人主要症状包括慢性咳嗽、血痰、体重减轻和乏力。
体格检查未见异常。
四、影像学检查1. 胸部 X 光片:双侧上肺野见多发散在的结节状阴影,最大直径约2厘米,可见斑片状磨玻璃密度影,心脏大小、形态正常。
2. 胸部 CT 扫描:双侧上叶见多发结节影,周边可见磨玻璃密度改变以及结节间隔增厚,淋巴结未见明显增大。
3. 胸部 PET-CT 扫描:多发代谢活跃灶位于双上肺野,最大SUV值(标准摄取值)为6.8,周边磨玻璃密度影表现代谢低下。
五、影像学诊断根据影像学表现,结合病人的临床症状,初步诊断为双侧上肺野多发结节状病变,需进一步评估。
六、诊断鉴别1. 肺结核:可引起多发结节阴影,但症状常伴有低热、盗汗和食欲减退,结节内常见坏死区。
2. 肺恶性肿瘤:肺癌、转移瘤等可引起多发结节,需排除。
3. 肺炎性假瘤:罕见的炎症性肿瘤,CT 表现可与肺癌相似,但常能见到钙化灶,核素显像或PET-CT 可有所提示。
七、进一步检查和治疗建议根据初步影像学表现,建议进行进一步检查以明确诊断。
如:1. 胸部穿刺活检:可通过经皮穿刺或内窥镜下行取材,结合病理学检查明确病变性质。
2. 血液检验:包括血常规、炎症指标、肿瘤标志物等,协助明确病因。
3. 其他影像学检查:如MRI、纳米技术等对病变范围和特点进行进一步评估。
八、讨论本病例中患者表现为双侧上肺野多发结节性病变,根据不同的临床可能性和影像学特征进行诊断鉴别是非常重要的。
在进一步检查和诊断确立后,可以制定合适的治疗方案,提供更好的临床决策依据。
同时,随着医学影像技术的不断发展,新的影像技术的应用对疾病的早期诊断和治疗提供了更好的手段。
医学影像科一例李斯特菌菱脑炎(脑干脑炎)病例分析专题报告病史患者男性,29岁,发热,乏力和头痛加重一周,伴相关眩晕,共济失调,吞咽困难,复视,持续性呃逆,左面部感觉异常。
读片分析轴向T1.WI(A)显示右延髓结节性Tb低信号病变。
轴向T2WI(B,C)显示蚓部和两个小脑半球双边斑片状假结节性T2高信号。
对比增强饱和脂肪TIW1.(D,E)显示脑干和小脑多发结节状和环状增强病变。
左小脑半球也可见脑膜强化片状区域。
轴向DWI(F)显示右侧延髓背索局限性扩散。
诊断:李斯特菌菱脑炎(脑干脑炎)李斯特菌病是进食受李斯特菌污染的食品引起的一种严重感染。
这种细菌可见于各种食物,如生肉,蔬菜和未经高温消毒牛奶制成的乳制品。
这种细菌是一种非抱子形成,革兰氏阳性杆菌。
一个健康的人在进食受污染的食物后发生李斯特菌病的风险是很低的。
李斯特菌菱脑炎的诊断基于临床表现(颅神经功能障碍,共济失调,发热,头痛,恶心,呕吐,昏迷,反射减弱或反射亢进),血培养,脑脊液分析(细胞增多),和MRI检查结果。
临床资料:李斯特菌引起的脑干脑炎的特征是进行性脑干功能障碍,占所有李斯特菌病病例的10%o在尸检中,表现为较低位脑神经细胞核炎性浸润。
影像学表现:MR1.可能对该病的早期诊断至关重要。
李斯特氏菌感染易感染背侧脑干和小脑,第四脑室的特殊层。
可见脑膜炎,脑炎,和脓肿,取决于疾病的时间演变。
DDX:病毒性脑炎,淋巴瘤,血管炎(系统性红斑狼疮,贝切特病),结节病,肺结核,多发性硬化,以及急性播散性脑脊髓炎。
病毒性脑炎主要导致血培养阴性脑脊液淋巴细胞占优。
结核性脑膜炎可通过软脑膜受累,脑脊液低血糖水平区分。
血管炎性与肉芽肿性疾病有关。
急性播散性脑脊髓炎病变大多广泛,涉及皮质下半球的区域,且不限于脑干和小脑。
根据临床和MRI表现,在培养结果确认前启动治疗(氨苇青霉素,头抱睡月亏和庆大霉素)。
与单纯的脑膜炎相比,李斯特菌菱脑炎可导致相当高的持续性神经功能缺损发病率。
放射科常见病例分析与诊断放射科是医学影像学的一个重要分支,通过X线、CT、MRI等影像技术,可以帮助医生诊断各种疾病。
本文将结合实际病例,分析放射科常见病例的诊断方法,以帮助读者更好地了解放射科的应用。
一、胸部X线片检查胸部X线片是最常见的放射科检查项目之一,常用于诊断肺部疾病。
比如,当患者出现咳嗽、呼吸困难等症状时,医生会首先建议进行胸部X线片检查。
通过胸部X线片,可以观察到肺部是否有结节、炎症、积液等情况,对于肺炎、肺结核等疾病的诊断有很大帮助。
二、腰椎MRI检查腰椎MRI检查常用于腰痛患者的诊断。
当患者有腰痛、下肢放射痛等症状时,医生会建议进行腰椎MRI检查,以观察椎间盘突出、椎管狭窄等情况。
通过MRI检查,可以清晰地显示椎间盘的状态,为医生诊断腰椎间盘突出、腰椎管狭窄等疾病提供重要依据。
三、头部CT检查头部CT检查常用于脑部疾病的诊断。
当患者出现头痛、头晕、视物模糊等症状时,医生会建议进行头部CT检查。
通过头部CT检查,可以观察到脑部是否有肿瘤、出血、梗塞等情况,为医生明确诊断脑卒中、脑肿瘤等疾病提供重要信息。
四、乳腺钼靶检查乳腺钼靶检查是乳腺疾病筛查的重要手段。
乳腺癌是女性常见的恶性肿瘤之一,早期诊断对于提高治愈率至关重要。
乳腺钼靶检查可以帮助医生观察到乳腺内是否有钙化、结节等异常情况,为乳腺癌的早期诊断提供有力支持。
五、骨密度检查骨密度检查是诊断骨质疏松症的主要手段。
骨质疏松症是老年人常见的疾病,容易导致骨折等并发症。
通过骨密度检查,可以了解患者的骨量情况,及早发现骨质疏松症的风险,采取相应的预防和治疗措施。
结语放射科在临床诊断中发挥着不可替代的作用,对于各种疾病的早期发现和诊断起着关键作用。
希望本文可以帮助读者更好地了解放射科的应用,提高对疾病的认识和防范意识。
影像病例图谱分析报告【影像病例图谱分析报告】尊敬的医生,以下是对患者影像病例图谱的分析报告,供您参考。
病历信息:患者姓名:XXX 性别:XX 年龄:XX 就诊日期:XXXX年XX月XX日病例摘要:此次病例涉及患者XXX(年龄,性别),就诊于XXX医院。
根据病人的症状和临床表现,医生建议进行影像学检查以进一步评估病情。
经过对患者进行X光、CT扫描/MRI等图像学检查,下面将对所得的影像结果进行分析和描述。
一、X光(或CT/MRI)图像结果分析:(在此描述对每个图像进行分析,注意指出观察到的异常、异常特点、异常的具体位置和大小、与周围结构的关系等信息。
)二、主要诊断或疾病:根据对以上影像结果的分析,我们推断患者可能患有(或排除)以下疾病或病变(根据具体病症做出具体诊断或建议,尽量使用简明扼要的语言描述):三、辅助检查结果及其他信息:提供了辅助检查的结果和其他相关信息,如化验报告、病理报告、病史等。
对于每个结果进行简要介绍,并指明与主要诊断的相关性。
四、临床建议:根据病例图谱分析结果,现总结如下临床建议(根据具体诊断结果提供适当的医疗建议,如手术、治疗方案、药物治疗等):五、后续随访和建议:推荐对患者进行随访,并提供相应的建议,包括随访时间、具体内容和注意事项等。
六、其他说明:对于需要进行补充说明的事项,如影像质量、技术限制、异常病变的可能性等,进行适当说明。
七、总结:根据对患者影像病例图谱的分析和诊断,可以得出以下结论(总结分析结果、主要诊断和医生建议):八、免责声明:本报告仅供医生作参考,仅基于提供的影像资料进行分析,不得作为确定诊断和治疗方案的依据。
医生应结合患者症状、体征和其他医学资料进行综合判断。
祝顺利!XXX医院影像科。
病例分析1、女 14岁,右膝关节肿痛、活动受限3个月。
查体:右膝关节肿胀、静脉曲张,并触及肿块、质硬、固定。
图像如下,试分析病变性质、诊断及鉴别诊断。
A:X线平片 B:冠状T1WI C:冠状T2WI D:增强T1WI2、男 9岁,左小腿及足背广泛红肿、疼痛,伴发热、畏寒5天。
试分析病变性质、诊断及鉴别诊断。
A:X线平片,B: 冠状T2WI,C: 横断T1WI,D: 增强T1WI3、女 23岁,右大腿反复肿痛3年。
查体:右大腿粗大,压痛。
试分析病变性质、诊断及鉴别诊断。
A:X线平片,B: 冠状T1WI,C: 增强T1WI4、女 36岁,跌倒后左腕部着地,致呈银叉状畸形,关节疼痛、肿胀和活动障碍。
试分析病变性质、诊断及鉴别诊断。
A:腕关节正位,B: 腕关节侧位5、女 5岁,跌伤后手掌着地,右肘关节疼痛、肿胀、畸形、活动障碍。
试分析病变性质、诊断及鉴别诊断A:肘关节正位,B: 肘关节侧位6、女 35岁,车祸后右大腿短缩、小腿外旋畸形,大腿中上段肿胀、压痛明显,可触及骨擦感,右大腿有反常活动。
试分析病变性质、诊断及鉴别诊断。
A:股骨正位,B:股骨侧位7、男 29岁,右踝部钝器伤伴疼痛、功能障碍4小时,踝关节畸形、反常活动。
试分析病变性质、诊断及鉴别诊断。
A:踝关节正位,A:踝关节侧位, A:CT三维重建8、男 28岁,外伤时右手掌着地,右肘关节肿、痛,关节畸形,活动受限,关节窝空虚。
试分析病变性质、诊断及鉴别诊断。
A:肘关节正位,B: 肘关节侧位9、男 10岁,左大腿远端疼痛1年。
查体:左股骨远端及膝关节肿胀、压痛,局部红、肿,皮温稍增高。
试分析病变性质、诊断及鉴别诊断。
A:X线平片, B:冠状T2WI , C:冠状T2WI , D:增强T1WI10、女 63岁,全身乏力、骨痛7个月,以腰骶部酸痛为主,近期头痛明显加剧。
试分析病变性质、诊断及鉴别诊断。
A:头颅侧位 B:骨盆正位,C:腰椎侧位11、男 70岁,腰痛、伴右下肢酸胀无力2个月。
放射科常见病例分析与诊断放射科作为医学影像学的重要分支,具有非常重要的诊断价值。
通过放射学影像的观察和分析,可以帮助医生快速准确地判断疾病的类型和程度,为病人提供针对性的治疗方案。
本文将结合实际病例,对放射科常见疾病进行分析和诊断。
一、胸部X光片影像分析1. 室性心动过速患者的胸部X光片在室性心动过速的患者胸部X光片中,我们可以观察到心脏增大、纵隔扩大以及肺血管纹理增多。
这些影像的表现与疾病的病理生理变化相一致。
根据X光片的表现,我们可以初步诊断室性心动过速。
2. 肺炎患者的胸部X光片在肺炎患者的胸部X光片中,我们可以观察到肺炎灶或阴影,表现为肺实质密度增高。
具体诊断肺炎的病原菌和病变范围,需要结合病史、体征和其他影像学检查结果。
二、腹部CT影像分析1. 肝脏肿瘤的CT扫描在肝脏肿瘤的CT扫描中,肿瘤通常呈现为低密度或高密度结节。
通过观察肿瘤的形态、分布和血供情况,可以判断肿瘤的良恶性,并为手术治疗提供参考。
2. 胰腺炎的CT扫描在胰腺炎的CT扫描中,我们可以观察到胰腺增大、边缘模糊,以及胰管扩张或狭窄等表现。
这些影像的改变有助于诊断胰腺炎,并可以帮助医生制定合适的治疗方案。
三、头部MRI影像分析1. 脑卒中患者的头部MRI在脑卒中患者的头部MRI中,我们可以观察到脑梗死或脑出血的灶。
根据灶的大小、分布和信号强度,可以判断梗死的范围和出血的程度,并选择合适的治疗方法。
2. 脑肿瘤的头部MRI在脑肿瘤的头部MRI中,肿瘤呈现为局部异常信号和异常形态,与正常脑组织有明显差异。
通过观察肿瘤的位置、边界和强化情况,可以初步判断肿瘤的类型,并指导后续的治疗方案。
综上所述,放射科通过不同的影像学技术,为医生提供了直观准确的疾病信息,对于疾病的诊断和治疗起着至关重要的作用。
然而,放射科的诊断结果需要结合病史、体征和其他实验室检查结果综合判断,不能仅凭影像结果确定诊断。
因此,在放射科诊断中,医生的临床经验和综合能力也是非常关键的。
医学影像学病例分析题及答案1、踝关节侧位中心线经内踝上( 1 )cm垂直射入暗盒中心2、头颅侧位中心线经以下哪个部位垂直射入暗盒中心:外耳孔上2.5cm3、副鼻窦瓦氏十一位摄影体位建议听到眦线与暗盒成多少度角: 37度4、乳突梅氏位中心线向足侧倾斜( 45度)度角,经被检侧乳突射入暗盒中心5、膈上肋骨正位曝光时体温方式为(浅呼气屏气)6、肺后前位曝光时呼吸方式为(深吸气后屏气)7、腹部摄影摄影球管与探测器之间的距离:( 1米)8、最常用于子宫输卵管造影检查对比剂是:(硫酸钡)9、常用于灌肠检查的对照剂就是(医用硫酸钡)10、用于脑血管造影的最佳对比剂(碘苯六醇)11、膝关节髁间凹陷后前位片,髁间凹陷呈圆形:(切线位投影)12、膈下肋骨摄影,采用的呼吸方式为(深吸深呼后屏气)13、心脏右前斜位摄影,曝光前须先:(口服硫酸钡)14、颅骨凹陷骨折,应选择哪一摄影位置:(切线位)16、颈椎侧位像是,表明的部位:(下颌骨、上下关节胫、寰枢椎)而不表明的部位:椎间孔窄小17、CT机房的相对湿度应保持在:(40%-65%)18、腰椎椎弓峡部脱落,正确地摄影体位就是:(腰椎双斜位)19、视神经孔后前轴位摄影,矢状面与台面呈(53度)20、观测颈椎椎间孔炎症,恰当的摄影体位就是(过屈位)21、CT值定标为0的组织是:(水)22、目前,对胃肠道疾病检查最佳的方法就是(内镜)23、肠穿孔、胸腔积液、肠梗阻、骨盆骨折四种病变,哪个不适合于立位摄影(骨盆骨折)24、投影和摄影都必须利用的X线特性就是(穿透性)25、心脏左前斜位,摄影的角度是(60度)26、变动管电压法排序管电压的公式为( V=2d+c )27、腰椎正位中心线经以下哪个部位垂直射入暗盒中心:(孔上3cm 脐)28、胸部后前位的摄影距离: 1.5米29、CT增强中最常用的对比剂有:离子型有机碘水和非离子型有机碘水30、手后前斜位的中心线经下面哪个部位横向射入暗盒中心 : 第三殿中指关节31、用于显示手舟骨最佳摄影体位 : 腕关节尺偏位32、髋关节正位中心线经髂前上棘与耻骨联手上缘连线的中垂线向外( 2.5 )cm处为横向射入暗盒中心33、头颅正位(后前位)中心线经以下哪个部位垂直射入暗盒( 枕外隆突 )34、汤氏位中心线向足侧倾斜多少度角,由前额部经两外耳孔连线中点相应高度射入( 30度)35、副鼻窦柯氏十一位中心线向足侧弯曲多少度角,经鼻根射入(23度)36、乳突许氏位中心线向足侧倾斜多少度角,经被检侧乳突射入暗盒中心( 25度)37、乳突梅氏位摄影体位建议头转为被检侧,且头正中矢状面与床面成多少度角( 45度)38、腰椎正位中心线经以下哪个部位垂直射入暗盒中心(脐孔上3cm )39、膈上肋骨正位中心线经以下哪个部位水平射入(两肩胛下角连线中点)40、膈下肋骨正位曝光时呼吸方式为(深吸气呼出后屏气)41、腹部前后位曝光时体温方式为(深吸气hinet后屏气 )42、足的正位、斜位中心线应对准: ( 第三遮骨基底部 )43、胸部疾病首先使用那种检查方法 ( 摄影 )44、最常用于消化道造影检查造影剂是 ( 硫酸钡 )45、高危患者、婴幼儿心脑血管造影时最出色采用的对照剂为 ( 非离子对照剂 )46、有关髋关节前后位摄影的要点(双足跟并拢,足尖自然外旋)47、外伤性颅底骨折,严禁采用的摄影体位就是(颅底颌顶十一位)48、心脏右前斜位时,X线从患者的(左)侧摄入体内49、胸部摄影,中心线经(第6胸椎入射光)50、心脏左前斜位,摄影的角度是(60度)51、结肠造影检查前的准备工作存有(去除结肠内容物)52、颈椎正位摄影,中心线应(向头侧倾斜15°角,对准甲状软骨下方射入探测器中心)53、医学影像技术包含( X线检查技术)、( CT检查技术)、( MRI检查技术)、超音波检查技术、核医学检查技术等。
影像学诊断报告范文参考文本:患者姓名:李性别:男年龄:60岁病史回顾:患者李60岁,主诉腹痛一周。
患者有高血压病史。
查体发现腹部压痛,无肝肿大。
实验室检查显示白细胞升高。
影像学检查部位:腹部CT扫描表现描述:腹部CT扫描显示:肝脏形态、大小、密度均正常。
胆囊未扩张,胆总管未见明显扩张。
胰腺形态正常,无明显肿块。
肾脏形态、大小、密度正常,无明显异常密度灶。
结论:1.腹部CT扫描未发现肝脏、胆囊及胆总管、胰腺以及肾脏明显异常。
2.结合临床表现,考虑排除消化道疾病引起的腹痛。
详细描述:影像学所见腹部CT扫描显示肝脏形态、大小、密度均正常,无明显异常结节、肿块或囊肿。
胆囊未扩张,胆总管未见明显扩张,提示胆道系统无明显异常。
胰腺形态正常,无明显肿块,密度均匀。
肾脏形态、大小、密度正常,肾盂及输尿管未见明显扩张,排除了肾脏疾病的可能。
结合临床表现,患者主要症状为腹痛,无明显消化道症状。
临床检查发现腹部压痛,无肝肿大。
实验室检查显示白细胞升高,暗示有炎症反应。
综合分析影像学表现、临床症状及实验室检查结果,目前未发现明显的器质性病变,需要进一步排除其他可能引起腹痛的疾病。
建议结合更全面的临床检查和实验室检查,如血常规、血生化、肝功能等,以及必要时进一步影像学检查,如胃肠道造影、腹腔镜检查等,以明确病因,并采取相应的治疗措施。
诊断:腹痛,原因待进一步明确。
治疗建议:进一步明确病因,根据病因采取相应的治疗措施。
医学影像学病例讲解(MRI、CT、DR)一、MRI(磁共振成像)病例讲解MRI是一种使用磁场和无线电波来人体内部器官的高清影像的技术。
下面我们将介绍一个MRI病例。
病例:脑部MRI检查结果患者信息:姓名:年龄:45岁性别:男主诉:头痛、恶心病例分析:根据脑部MRI检查结果,我们可以观察到以下情况:1. 脑部结构正常:大脑、小脑、脑干等结构形态正常,没有异常影像。
2. 脑血管情况:脑血管通畅,没有出血或栓塞现象。
3. 病变观察:在左侧颞叶上方发现了一个直径约1.5cm的肿瘤,需要进一步进行进一步的定性诊断。
诊断意见:根据MRI影像及病情分析,初步诊断为左侧颞叶肿瘤。
接下来,需要进行进一步的检查以明确性质和确定治疗方案。
二、CT(计算机断层扫描)病例讲解CT是一种使用X射线和计算机技术来人体内部器官的横断面影像的技术。
下面我们将介绍一个CT病例。
病例:胸部CT检查结果患者信息:姓名:年龄:55岁性别:女主诉:咳嗽、气急病例分析:根据胸部CT检查结果,我们可以观察到以下情况:1. 胸廓:胸廓正常,未见明显畸形或骨折。
2. 肺部情况:双肺纹理清晰可见,未见明显密度异常。
3. 病变观察:在右肺上叶内侧可见一个直径约2cm的结节阴影,需要进一步进行进一步的定性诊断。
诊断意见:根据CT影像及病情分析,初步诊断为右肺上叶结节。
接下来,需要进行进一步的检查以明确性质和确定治疗方案。
三、DR(数字化X射线摄影系统)病例讲解DR是一种使用数字化X射线技术来人体内部器官的影像的技术。
下面我们将介绍一个DR病例。
病例:骨盆DR检查结果患者信息:姓名:年龄:35岁性别:男主诉:骨盆疼痛、步态不稳病例分析:根据骨盆DR检查结果,我们可以观察到以下情况:1. 骨盆结构:髋关节、骨盆骨骼结构形态正常,未见明显骨折或畸形。
2. 骨关节情况:骨关节间隙正常,未见明显关节炎或关节脱位。
3. 病变观察:在右髋关节处可见一处密度增高区域,提示可能存在骨质增生。
铜仁职业技术学院医学系
20 届毕业实习典型病例分析报告题目:_________________________________
__________________________________________________姓名
专业医学影像技术
班级
指导教师职称
实习医院
日期
填写说明
1、分析报告一律用黑色钢笔(中性笔)填写,不允许用红色笔、圆珠笔或铅笔填写;
2、分析报告必须由实习生本人填写,不允许别人代填;
3、字迹要求书写工整(或者打印)、清晰;
3、个人信息登记表一定要认真填写,做到准确无误;
4、个人必须保证病例资料的真实性,一经发现病例资料虚假、系抄袭他人等情况,将视为分析报告不合格,不予以正常毕业;
5、典型病例必须是实习生实习期间真实遇到5例以上,并具有一定分析意义的疾病。
医学系毕业实习典型病例分析报告
铜仁职业技术学院医学系
(注:可编辑下载,若有不当之处,请指正,谢谢!)。
放射科个案病例分析报告范文大全1. 引言放射科是医学影像技术应用的领域,在临床诊断中起着重要的作用。
放射科个案病例分析对于医生提供准确的诊断和治疗决策非常重要。
本报告旨在提供放射科个案病例分析的范例,通过具体的临床案例来展示该科室的工作流程、常见疾病和治疗方案。
2. 病例一:肺部CT扫描结果分析2.1 病历摘要该病例为一位50岁的男性患者,主诉近期出现咳嗽、咳痰、胸痛等症状。
经过初步检查后,医生建议进行肺部CT扫描以了解具体病情。
2.2 检查结果肺部CT扫描结果显示左上肺叶有一直径约2厘米的实性结节,结节边缘模糊,并伴有周围血管破裂出血的征象。
2.3 分析和诊断通过对该病例的肺部CT扫描结果分析,可以初步判断该患者可能患上肺癌。
结节的实性特征以及边缘模糊是肺癌的典型表现。
周围血管破裂出血可能是肺癌发展到晚期的表现。
2.4 治疗方案根据此病例的临床表现和影像学特征,我们建议患者进行进一步的病理检查,可能需要进行肺部活检以明确病变的性质。
根据病理结果,医生可以决定进一步的治疗方案,如手术切除、放疗或化疗。
3. 病例二:关节MRI检查结果分析3.1 病历摘要该病例为一位60岁的女性患者,主诉右膝关节肿胀、疼痛,并出现运动受限等症状。
经过详细询问和身体检查后,医生决定进行右膝关节MRI检查以确诊。
3.2 检查结果右膝关节MRI检查结果显示髌骨下滑症,关节囊积液,并伴有半月板损伤和关节软骨磨损。
3.3 分析和诊断根据该病例的右膝关节MRI检查结果分析,可以初步诊断该患者患上髌骨下滑症。
髌骨下滑症是一种常见的骨关节疾病,主要由于髌骨位置不稳定导致。
半月板损伤和关节软骨磨损可能是髌骨下滑症引起的次要损伤。
3.4 治疗方案对于这种类型的疾病,一般的治疗方案包括物理治疗、外科手术和辅助治疗等。
对于该患者,建议先进行保守治疗,如物理疗法和药物治疗。
如果症状无法缓解,可以考虑手术切除病变部分或进行关节置换手术。
4. 病例三:脑部CT扫描结果分析4.1 病历摘要该病例为一位70岁的男性患者,意识障碍和头痛为主要症状。
医学影像专业毕业实习典型病例分析报告
本病例为一名43岁女性患者,因头晕、恶心、呕吐等症状就诊。
患者平素身体健康,无过敏史,无慢性病史,无手术史。
该患者最近一次体检结果显示脑部没有异常。
影像检查发现,该患者颅内出血、颅脑损伤等症状。
经进一步问诊和检查,发现患者在事故中头部受到了重击,导致了脑部受损。
颅内出血是指发生在颅内的血管破裂或血管壁破裂导致出血的一种病理现象。
随着出血范围的扩大,压力产生,则会引起局部脑组织的缺血、坏死和水肿,甚至会进一步压迫脑部其他区域,导致脑的功能损失。
CT检查发现患者有一定程度的颅内出血,包括脑出血、硬膜下血肿。
其中脑出血表现为颅内血肿,比较明显,旁边有一定量的水肿,压迫了脑组织,导致相应的脑功能受损。
而硬膜下血肿表现为低密度影,CT值约为15~30HU,边缘光整,较大的出血区域有一定量的占位效应。
值得注意的是,硬膜下血肿会向正常一侧翻转,在病灶对侧网眼会显示一些灰白色的影子,这可以作为诊断的参考依据。
基于以上的检查结果,我们得出结论患者存在左侧硬膜下血肿和左侧脑出血的情况,需要立即采取积极的治疗措施,减少脑脊液压力,避免扩大出血范围,以尽快康复患者的脑部功能。
病情加重时,要综合考虑患者的身体情况,采取开颅手术等更加有效的治疗措施。
影像学工作者的工作总结及病例分析在过去一段时间里,作为一名影像学工作者,我从事着医学影像学方面的工作,通过对医学图像的观测和分析,为医疗诊断提供了重要的支持。
在这篇文章中,我将对自己的工作进行总结,并通过一个具体的病例分析来展示影像学工作者的角色和职责。
部分一:工作总结在我承担的职责范围内,我主要负责对患者进行医学影像学的检查和分析。
我与医生紧密合作,根据医生的要求或疑点,进行相应的影像检查。
通过使用X射线、CT、MRI等设备,我可以捕捉到患者内部的影像信息,并生成相应的医学图像。
我在工作中需要具备良好的观察力和专业知识。
通过对影像细节的观察和分析,我可以识别出异常的结构或病变,并标记在图像上以供医生参考。
此外,我还需要对设备进行定期维护和校准,以确保图像质量的准确性和清晰度。
在与医生团队的合作中,我通过及时提供准确的图像结果,帮助医生做出正确的诊断。
我与医生进行沟通,共同解读和研究医学图像,以便确定最佳的治疗方案。
我也经常参与多学科会诊,与其他专家共同讨论复杂病例,以达到更好的诊断效果。
另外,我也参与医学影像的研究和学术交流。
我阅读最新的医学影像研究成果,参加学术会议,与同行专家进行交流,以增加自己的专业知识和技能。
我也积极参与科研项目,为医学影像学的发展做出贡献。
部分二:病例分析以下是我在工作中碰到的一个具体病例。
一名患者来到医院,他感到持续乳房疼痛,并在某个位置触摸时感到明显的肿块。
医生怀疑他可能存在乳腺疾病,并要求进行相关检查。
根据医生的指示,我使用乳腺超声设备对患者进行检查。
在图像上,我观察到一处异常的结构,呈现为一个不规则的肿块。
为了进一步确认肿块的性质,我运用乳腺MRI 进行了详细的研究。
通过MRI,我观察到肿块的信号特征,并与其他病例进行比较。
根据图像的特征和病史等信息,我提供了初步的分析结果,并与医生共同讨论了可能的诊断和治疗方案。
在与病人的交流中,我了解到他的家族中有乳腺癌病史。
肺结核的影像学案例分析作为一名从事医学影像学研究的专家,我每天都要面对大量的肺结核病例。
在我眼中,每一张X光片、CT片都是一部生动的故事,而我就是要通过这些影像资料,揭示出患者肺结核的病情发展、病灶特点以及治疗过程中的变化。
最近,我接到了一个35岁男性患者的病例。
患者因为长期低热、乏力、咳嗽、咳痰等症状前来就诊。
经过实验室检查和影像学检查,被诊断为继发性肺结核。
我们来看一下患者的胸部X光片。
在X光片上,可以看到患者的双肺纹理增多,散在小叶中央性肺气肿。
左下肺野外带可见一约2cm×3cm的致密影,边缘模糊,周围有磨玻璃影环绕。
这表明患者肺部确实存在结核病灶,并且病灶周围有炎症反应。
结合患者的临床症状和影像学表现,我们可以初步判断患者的肺结核病灶属于活动性病变。
为了进一步了解患者的病情,我们还进行了PPD试验和痰涂片检查。
PPD试验结果显示患者对结核分枝杆菌有免疫力,痰涂片检查发现抗酸杆菌阳性,这进一步证实了患者的肺结核诊断。
在制定治疗方案时,我们根据患者的影像学表现和实验室检查结果,决定采用一线抗结核药物治疗。
在治疗过程中,我们会定期对患者进行影像学检查,以观察病灶的变化。
经过两个月的治疗,患者的临床症状明显缓解,影像学检查结果显示,左下肺野外带病灶大小有所减小,边界变得更加清晰,内部空洞有所缩小,周围卫星灶和纤维灶也有所消散。
这表明患者对治疗效果较为满意,病情得到了有效控制。
在这个病例中,我们通过详细的影像学分析,对患者的肺结核病情有了更加准确的了解,为制定治疗方案提供了有力依据。
同时,定期进行影像学检查,有助于我们及时了解治疗效果,调整治疗方案。
作为一名医学影像学专家,我认为在肺结核的诊断和治疗过程中,影像学检查起着举足轻重的作用。
通过细致入微的影像学分析,我们可以为患者提供更加精准的诊断和治疗方案,帮助他们战胜肺结核,重获健康。
在我作为一名医学影像学专家的日常工作中,肺结核的影像学诊断与分析是一项重要且具有挑战性的任务。
病例分析1、女14岁,右膝关节肿痛、活动受限3个月。
查体:右膝关节肿胀、静脉曲张,并触及肿块、质硬、固定。
图像如下,试分析病变性质、诊断及鉴别诊断。
A:X线平片B:冠状T1WIC:冠状T2WID:增强T1WI2、男9岁,左小腿及足背广泛红肿、疼痛,伴发热、畏寒5天。
试分析病变性质、诊断及鉴别诊断。
A:X线平片,B:冠状T2WI,C:横断T1WI,D:增强T1WI3、女23岁,右大腿反复肿痛3年。
查体:右大腿粗大,压痛。
试分析病变性质、诊断及鉴别诊断。
A:X线平片,B:冠状T1WI,C:增强T1WI4、女36岁,跌倒后左腕部着地,致呈银叉状畸形,关节疼痛、肿胀和活动障碍。
试分析病变性质、诊断及鉴别诊断。
A:腕关节正位,B:腕关节侧位5、女5岁,跌伤后手掌着地,右肘关节疼痛、肿胀、畸形、活动障碍。
试分析病变性质、诊断及鉴别诊断A:肘关节正位,B:肘关节侧位6、女35岁,车祸后右大腿短缩、小腿外旋畸形,大腿中上段肿胀、压痛明显,可触及骨擦感,右大腿有反常活动。
试分析病变性质、诊断及鉴别诊断。
A:股骨正位,B:股骨侧位7、男29岁,右踝部钝器伤伴疼痛、功能障碍4小时,踝关节畸形、反常活动。
试分析病变性质、诊断及鉴别诊断。
A:踝关节正位,A:踝关节侧位,A:CT三维重建8、男28岁,外伤时右手掌着地,右肘关节肿、痛,关节畸形,活动受限,关节窝空虚。
试分析病变性质、诊断及鉴别诊断。
A:肘关节正位,B:肘关节侧位9、男10岁,左大腿远端疼痛1年。
查体:左股骨远端及膝关节肿胀、压痛,局部红、肿,皮温稍增高。
试分析病变性质、诊断及鉴别诊断。
A:X线平片,B:冠状T2WI,C:冠状T2WI,D:增强T1WI10、女63岁,全身乏力、骨痛7个月,以腰骶部酸痛为主,近期头痛明显加剧。
试分析病变性质、诊断及鉴别诊断。
A:头颅侧位B:骨盆正位,C:腰椎侧位11、男70岁,腰痛、伴右下肢酸胀无力2个月。
总前列腺特异性抗原94.3ng/L,复合前列腺特异性抗原77.1ng/L,总酸性磷酸酶21.9U/L。
试分析病变性质、诊断及鉴别诊断。
A:X线平片,B:矢状T1WI,C:矢状T2WI,D:骨盆平片12、男10岁,左小腿外伤后疼痛伴活动受限1年。
试分析病变性质、诊断及鉴别诊断。
A:X线平片,B:冠状T1WI,C:冠状T2WI13、女84岁,腰、腿痛伴左肩关节抬举困难半年余。
试分析病变性质、诊断及鉴别诊断。
A:肩关节正位,B:膝关节正位,C:腰椎侧位14、女70岁,右膝关节疼痛伴活动受限4个月,屈曲时疼痛加剧。
试分析病变性质、诊断及鉴别诊断。
A:膝关节正位,B:膝关节侧位,C:腰椎侧位15、男19岁,右髋关节疼痛、活动受限,曾因血小板减少症口服激素类药物2个月。
试分析病变性质、诊断及鉴别诊断。
A:X线平片,B:冠状T1WI,C:横断T2WI16、女50岁,四肢小关节肿痛,活动障碍,伴晨僵>2小时。
平时有低热,血沉加快。
试分析病变性质、诊断及鉴别诊断。
A:双手正位片,B:双足正位片17、女38岁,发现左大腿肿物1年,近来肿物明显增大。
查体:大腿内侧见一肿物隆起,边界欠清,质中偏软,无明显搏动感,无压痛。
试分析病变性质、诊断及鉴别诊断。
A:横断平扫,B:横断增强,C:三维重建18、女24岁,右股部软组织肿块18年,外伤后右大腿疼痛、肿胀伴功能障碍1月。
试分析病变性质、诊断及鉴别诊断。
A:冠状T1WI,B:T1WI增强,C:脂肪抑制19、男59岁,左髋部肿胀、疼痛,伴活动受限6个月。
试分析病变性质、诊断及鉴别诊断。
A:矢状T1WI,B:矢状T2WI,C:横断T2WI20、男47岁,腰痛、活动受限、关节僵直20年,血沉加快。
试分析病变性质、诊断及鉴别诊断A:腰椎正位片,B:腰椎侧位片,C:颈椎侧位片1.骨肉瘤。
诊断依据:①该患者为青少年女性,肿瘤位于右侧股骨下端;②X线表现为骨质破坏、致密肿瘤骨形成及周围软组织肿块,可见骨膜增生和Codman三角等(图A)。
③MRI示肿瘤在T1WI呈不均匀低信号,T2WI呈不均匀高信号,增强扫描明显不均匀强化(图B,C,D)。
鉴别诊断:骨髓炎。
2.化脓性骨髓炎。
诊断依据:①左小腿局部组织红肿、疼痛,伴发热;②X线可见骨质密度不均匀,骨皮质增厚,骨髓腔密度增高。
③MRI显示骨髓的充血、水肿、渗出和坏死在T1WI呈低信号,充血、水肿的肌肉和脓肿在T2WI表现为高信号(图B),增强扫描可见不规则环形强化(图C)。
鉴别诊断:尤文氏肉瘤。
3.慢性骨髓炎。
诊断依据:①病史较长,反复肿胀3年;②X线可见广泛的增生、硬化,骨膜新生骨显着形成骨包壳(图A)。
骨内膜增生致髓腔变窄,骨密度明显增高。
骨外膜增厚、增浓,其深层与骨皮质融合,表面形成层状,导致骨干增粗,轮廓不规整。
③MRI平扫(图B)可见骨膜新生骨呈低信号,正常骨髓腔信号消失;增强扫描周围软组织呈不均匀条状强化(图C)。
鉴别诊断:骨肉瘤。
4.左腕Colles骨折。
诊断依据:①跌倒后左腕部着地,呈“银叉”状变形;腕部肿胀、疼痛及活动受限;②腕关节X线片可见桡骨远端近关节面横形骨折线及碎骨片;骨折远端向背侧、桡侧移位,背侧皮质嵌插,前缘皮质分离(图A,B)。
鉴别诊断:Smith骨折。
5.右肱骨髁上骨折(伸直型)。
诊断依据:①5岁患儿,跌倒后手掌着地,右肘关节肿胀、疼痛;②X线示右侧肱骨髁上骨皮质中断、成角,骨折线较锐利,呈斜形,由后上至前下,骨折向前成角,远端向后移位,肱骨喙突窝和鹰嘴窝组成的“X”形致密影断裂、成角(图A,B)。
鉴别诊断:髁上骨折(屈曲型)。
6.右股骨螺旋形骨折。
诊断依据:①有车祸外伤史;②X线平片可见骨折线和骨折断端对位、对线不良,旋转移位,骨折线为锐利而透明的骨裂隙,可见局部软组织肿胀(图A,B)。
鉴别诊断:营养血管沟。
7.右腓骨外踝粉碎性骨折伴踝关节脱位。
诊断依据:①右踝部钝器伤伴疼痛、功能障碍,踝关节畸形、反常活动②X线平片(图A,B)可见右腓骨远端骨质碎裂,骨小梁中断,见多发骨折线,骨折端对位、对线不良,距骨等足骨向后外脱位。
③重建三维图像(图C)示右腓骨远侧断端向外移位,并见骨碎片分离,踝关节正常对位关系完全失常。
8.右肘关节后脱位。
诊断依据:①外伤时右手掌着地,右肘关节肿、痛,关节畸形,活动受限,关节窝空虚②X 线正位片(图A )示右侧尺桡骨上端和肱骨下段重叠,关节间隙消失。
侧位(图B )见桡骨头和尺骨鹰嘴向后移位。
鉴别诊断:肘关节前脱位。
9.骨巨细胞瘤。
诊断依据:①X 线平片示右股骨远端呈膨胀性多房性偏心性骨破坏区。
瘤内可见骨性间隔,致肿瘤出现皂泡状透亮区(图A )。
②MRI 示病灶T 1WI 为低信号,T 2WI 不均匀高信号,病灶边缘硬化环呈长T 1短T 2信号,界限清晰,增强后病变中度强化,内部信号不均匀。
鉴别诊断:骨囊肿;软骨母细胞瘤。
10.多发性骨髓瘤。
诊断依据:X 线平片可见颅骨、骨盆及腰椎广泛骨质疏松,在此基础上可见多发穿凿样骨破坏,病灶大小近似,边缘清晰,以颅骨表现典型。
第1腰椎呈楔形压缩。
无明显骨质增生硬化及骨膜反应。
鉴别诊断:转移瘤;骨质疏松。
11.骨转移瘤。
诊断依据:①X 线可见(图A 、D )腰椎及骨盆点团状骨质密度增高影,并见虫蚀状低密度骨质破坏。
②MRI 示脊柱T 1WI 信号减低,T 2WI 信号增高(图B 、C )。
MRI 对含脂肪的骨髓组织中的肿瘤组织及其周围水肿非常敏感,大多数骨转移瘤在T 1WI 上呈低信号,在T 2WI 上呈不同程度的高信号,脂肪抑制成像可以清晰显示,结合临床生化指标怀疑前列腺癌伴全身多发骨转移不难诊断。
鉴别诊断:多发性髓瘤。
12.骨囊肿。
诊断依据:①X 线见腓骨上端低密度病灶,呈卵圆形,始于近骺板部位的干骺端,其长径与骨长轴一致,位居中心、。
病灶呈轻度膨胀生长,皮质变薄,病变周围无骨膜反应。
可见病理骨折,表现为皮质断裂,骨折碎片向囊内移位,即所谓骨片陷落征(fallenfragmentsign )(图A )。
②MRI 显示囊内容物在T 1WI 上为中等信号,T 2WI 为高信号(图B 、C )。
鉴别诊断:骨巨细胞瘤鉴别。
13.骨质疏松症及退行性骨关节病。
诊断依据:X 线见左肩、右膝及腰椎诸骨骨质骨密度降低,骨小梁变细、数量减少、骨髓腔和小梁间隙增宽,骨皮质变薄和出现分层现象。
椎体骨小梁结构紊乱,只遗留上下承重方向的小梁,呈栅栏状(图A 、B 、C )。
鉴别诊断:骨髓瘤;与转移瘤。
14.退行性骨关节病。
诊断依据:X 线表现膝关节间隙不均匀变窄,股骨髁呈方形;关节面骨质增生、硬化,边缘可见骨赘形成,关节腔内见游离体(图A 、B )。
腰椎体前缘见唇、刺样骨质增生影,椎体终板增生、硬化;小关节突变尖,小关节间隙狭窄、关节面硬化(图C )。
鉴别诊断:类风湿性关节炎;骨与关节结核。
15.右股骨头缺血性坏死。
诊断依据:①X 线平片(图A )右股骨头变形、塌陷,见低密度骨质破坏区,股骨颈粗、短。
髋臼外上缘骨质增生、硬化。
②MRI(图B 、C)股骨头可见点片状长T 1、短T 2信号影,并夹杂少量小片状长T 1长T 2信号病灶,股骨颈信号亦减低,关节腔内见少量液体信号影。
MRI 可较早地对股骨头缺血性坏死作出诊断。
鉴别诊断:关节结核;与退变性囊肿。
16.类风湿性关节炎。
诊断依据:X 线见双手、足指(趾)、掌(跖)和腕(跗)关节软组织肿胀;各骨骨质疏松,各骨关节面模糊、不整,见斑点状及小囊状低密度骨质破坏区;部分关节间隙消失;小关节呈半脱位状(图A、B)。
鉴别诊断:牛皮癣性关节炎;痛风性关节炎。
17.脂肪瘤。
诊断依据:CT可见左侧大腿根部、相当于股骨上段平面,大腿内侧肌群内见异常类圆形低密度影,CT值约为-120~-80HU,表明内含脂肪成分,边界清晰,边缘有中等密度线状分隔影伸向瘤内(图A),增强扫描无强化(图B、C)。
脂肪瘤影像学表现有其特殊性,一般无须与其他病变鉴别。
18.血管瘤。
诊断依据:MRI见右侧大腿外侧表层、肌肉及间隙内可见大片弥漫性异常信号,形态不规则,分布不均匀,边界不清,T1WI呈等或高信号(图A),T2WI可见高信号影(图B),压脂增强扫描病灶明显强化(图C)。
鉴别诊断:脂肪瘤;纤维瘤。
19.脊椎结核。
诊断依据:MRI目前已被公认为诊断脊柱结核最有效的检查方法。
矢状面可见T12、L1椎体破坏及楔形变,局部成角畸形后突入椎管内,椎间盘破坏,椎间隙消失,椎体T1WI信号减低,T2WI信号稍增高,椎管狭窄,相应水平脊髓受压变细(图A、B);横断面椎体周围及双侧腰大肌内侧可见巨大软组织影,T2WI 呈高信号,代表周围寒性脓肿。
鉴别诊断:化脓性脊柱炎;脊柱转移瘤。
20.强直性脊柱炎。
诊断依据:颈椎及腰椎X片可见颈、腰椎生理曲度明显变直,脊柱呈“竹节状”,椎体小关节间隙大部分消失,前纵、后纵、侧、棘上及棘间等韧带骨化,见“手推车辙征”(图A、B、C)。