最新X线检查的基本原理及胸片阅读
- 格式:ppt
- 大小:6.62 MB
- 文档页数:7
胸片的原理胸片,是一种通过X射线照相术来检查胸腔内部结构的影像检查方法。
它是一种非常常见的临床检查手段,可以用于诊断肺部疾病、心脏疾病、胸腔损伤等多种疾病。
那么,胸片的原理是什么呢?首先,我们来了解一下X射线的原理。
X射线是一种电磁波,具有较强的穿透力,能够穿透人体组织并在胶片上产生影像。
X射线的穿透能力与物质的密度和厚度有关,密度大、厚度大的物质对X射线的吸收作用就越大。
而对于密度小、厚度小的物质,X射线的穿透能力就越强。
这就是X射线成像的基本原理。
在进行胸片检查时,患者需要站立或坐立,胸部贴近X射线感光胶片或数字平板。
X射线机发射X射线,X射线穿透患者的胸部组织后,部分X射线被吸收,部分穿透患者的胸部,然后照射到感光胶片或数字平板上,形成X射线影像。
这些影像可以显示肺部、心脏、胸腔骨骼等结构,医生可以通过这些影像来判断患者是否患有肺部疾病、心脏疾病或者胸腔损伤等疾病。
胸片的原理主要是利用X射线的穿透能力,通过X射线成像来显示人体胸部内部结构,从而进行诊断。
然而,X射线具有一定的辐射危害,因此在进行胸片检查时,医生会根据患者的具体情况来决定是否需要进行检查,以及检查的频率和方式。
同时,医生和患者在进行胸片检查时需要注意保护自己,减少辐射对身体的影响。
总的来说,胸片是一种通过X射线成像来显示胸部内部结构的影像检查方法,其原理是利用X射线的穿透能力。
通过胸片检查,可以帮助医生诊断肺部疾病、心脏疾病、胸腔损伤等疾病,为患者提供及时的诊断和治疗。
同时,在进行胸片检查时,医生和患者都需要注意保护自己,减少辐射对身体的影响。
希望通过本文的介绍,能够让大家对胸片的原理有更加清晰的认识。
胸部X线片系统读片原理24个字母(A-X)系统读片法,可以减少漏诊。
胸部X线片系统读片原理A(Airway)气道在胸上部,看它是否居中,脊柱是否直线经过,气管有无移位,有无纤维组织牵拉使肺容积缩牵、过度充气及压迫。
有无支气管气管巨大症,肺叶开口压迫、狭窄、隆突受压等支气管肺癌征象。
B(Bone)肋骨距是否某侧缩窄,肋骨有无缺损,如第一肋骨上缘缺损,有硬皮病、类风湿性关节炎的可能。
第7~9肋骨下缘缺损示主动脉狭窄,见于儿童先天心脏病;法乐氏四联症可见左肋下缘缺损。
咳嗽所致骨折,可见于6~9肋,第7肋腋后线可见叉形肋。
鸽胸与先天性房室间隔缺损相关,也见于儿童哮喘症或脊柱侧凸严重时伴通气功能降低者。
骨脱钙可见于类固醇治疗患者、老年、肾病、或其他代谢病者。
C(Cor)心脏右缘有两弓,左缘有四弓。
右两弓消失见于漏斗胸、右中叶萎缩、肺炎。
形状变化或心脏扩大,见于先天性心脏病、心力衰竭。
D(Diaphragm)膈肌右高于左半个肋间隙,一侧高,考虑胸部肿瘤、纤维组织牵拉、膈下脓肿。
半侧膈肌升高考虑外伤、中风、颈部感染或肿瘤、肺炎或放射治疗后。
右侧可见膈肌伴弯刀征。
医学.教育网原。
创E(Esophagus)食管位于气管右,若有空气液面,考虑食管不能松驰或狭窄。
F(Fissures)肺裂将各肺分为各叶,左右各有一斜裂,右侧有横裂,斜裂下端止于膈肌,决不止于前胸壁,有异常时示有病变。
G(Gastric bubble)胃泡在左侧,若在右,考虑内脏转位,胃泡不见,考虑食管不能松驰。
胃泡在心右可能为膈疝。
H(Hila)肺门移位示肺部分萎缩、过度充气等,肺门区扩大可能是肺癌转移、肺内感染、免疫疾病或结节病。
I(Interstitium)间质性浸润分两型,间质型看上部心前区,下部可因妇妇女乳房影加重。
肺泡型浸润,因肺泡灌注水、脓、血或蛋白质样物质,见于Goodpasture 氏征、肺含铁血黄素沉着症、鳞状上皮脱落间质性肺炎等。
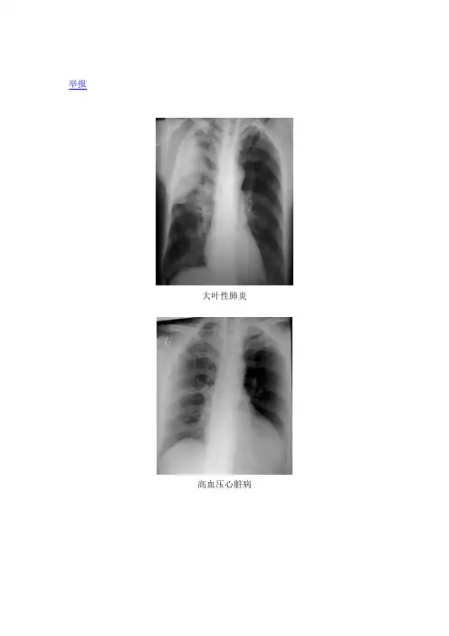
举报大叶性肺炎高血压心脏病消化道穿孔胸腔积液胸椎压缩性骨折右侧气胸右侧胸腔积液右肺炎右胫腓骨骨折右上肺炎右中叶肺炎正常胸片左侧胸腔积液左肱骨骨折风心病,梨型心胸部X线片系统读片原理24个字母(A-X)系统读片法,可以减少漏诊。
胸部X线片系统读片原理A(Airway)气道在胸上部,看它是否居中,脊柱是否直线经过,气管有无移位,有无纤维组织牵拉使肺容积缩牵、过度充气及压迫。
有无支气管气管巨大症,肺叶开口压迫、狭窄、隆突受压等支气管肺癌征象。
B(Bone)肋骨距是否某侧缩窄,肋骨有无缺损,如第一肋骨上缘缺损,有硬皮病、类风湿性关节炎的可能。
第7~9肋骨下缘缺损示主动脉狭窄,见于儿童先天心脏病;法乐氏四联症可见左肋下缘缺损。
咳嗽所致骨折,可见于6~9肋,第7肋腋后线可见叉形肋。
鸽胸与先天性房室间隔缺损相关,也见于儿童哮喘症或脊柱侧凸严重时伴通气功能降低者。
骨脱钙可见于类固醇治疗患者、老年、肾病、或其他代谢病者。
C(Cor)心脏右缘有两弓,左缘有四弓。
右两弓消失见于漏斗胸、右中叶萎缩、肺炎。
形状变化或心脏扩大,见于先天性心脏病、心力衰竭。
D(Diaphragm)膈肌右高于左半个肋间隙,一侧高,考虑胸部肿瘤、纤维组织牵拉、膈下脓肿。
半侧膈肌升高考虑外伤、中风、颈部感染或肿瘤、肺炎或放射治疗后。
右侧可见膈肌伴弯刀征。
医学.教育网原。
创E(Esophagus)食管位于气管右,若有空气液面,考虑食管不能松驰或狭窄。
F(Fissures)肺裂将各肺分为各叶,左右各有一斜裂,右侧有横裂,斜裂下端止于膈肌,决不止于前胸壁,有异常时示有病变。
G(Gastric bubble)胃泡在左侧,若在右,考虑内脏转位,胃泡不见,考虑食管不能松驰。
胃泡在心右可能为膈疝。
H(Hila)肺门移位示肺部分萎缩、过度充气等,肺门区扩大可能是肺癌转移、肺内感染、免疫疾病或结节病。
I(Interstitium)间质性浸润分两型,间质型看上部心前区,下部可因妇妇女乳房影加重。
胸部X线片系统读片原理24个字母(A-X)系统读片法,可以减少漏诊。
胸部X线片系统读片原理A(Airway)气道在胸上部,看它是否居中,脊柱是否直线经过,气管有无移位,有无纤维组织牵拉使肺容积缩牵、过度充气及压迫。
有无支气管气管巨大症,肺叶开口压迫、狭窄、隆突受压等支气管肺癌征象。
B(Bone)肋骨距是否某侧缩窄,肋骨有无缺损,如第一肋骨上缘缺损,有硬皮病、类风湿性关节炎的可能。
第7~9肋骨下缘缺损示主动脉狭窄,见于儿童先天心脏病;法乐氏四联症可见左肋下缘缺损。
咳嗽所致骨折,可见于6~9肋,第7肋腋后线可见叉形肋。
鸽胸与先天性房室间隔缺损相关,也见于儿童哮喘症或脊柱侧凸严重时伴通气功能降低者。
骨脱钙可见于类固醇治疗患者、老年、肾病、或其他代谢病者。
C(Cor)心脏右缘有两弓,左缘有四弓。
右两弓消失见于漏斗胸、右中叶萎缩、肺炎。
形状变化或心脏扩大,见于先天性心脏病、心力衰竭。
D(Diaphragm)膈肌右高于左半个肋间隙,一侧高,考虑胸部肿瘤、纤维组织牵拉、膈下脓肿。
半侧膈肌升高考虑外伤、中风、颈部感染或肿瘤、肺炎或放射治疗后。
右侧可见膈肌伴弯刀征。
医学.教育网原。
创E(Esophagus)食管位于气管右,若有空气液面,考虑食管不能松驰或狭窄。
F(Fissures)肺裂将各肺分为各叶,左右各有一斜裂,右侧有横裂,斜裂下端止于膈肌,决不止于前胸壁,有异常时示有病变。
G(Gastric bubble)胃泡在左侧,若在右,考虑内脏转位,胃泡不见,考虑食管不能松驰。
胃泡在心右可能为膈疝。
H(Hila)肺门移位示肺部分萎缩、过度充气等,肺门区扩大可能是肺癌转移、肺内感染、免疫疾病或结节病。
I(Interstitium)间质性浸润分两型,间质型看上部心前区,下部可因妇妇女乳房影加重。
肺泡型浸润,因肺泡灌注水、脓、血或蛋白质样物质,见于Goodpasture氏征、肺含铁血黄素沉着症、鳞状上皮脱落间质性肺炎等。
观察咳出物对鉴别诊断有用。
胸部X线片系统读片原理24个字母(A-X)系统读片法,可以减少漏诊。
胸部X线片系统读片原理A(Airway)气道在胸上部,看它是否居中,脊柱是否直线经过,气管有无移位,有无纤维组织牵拉使肺容积缩牵、过度充气及压迫。
有无支气管气管巨大症,肺叶开口压迫、狭窄、隆突受压等支气管肺癌征象。
B(Bone)肋骨距是否某侧缩窄,肋骨有无缺损,如第一肋骨上缘缺损,有硬皮病、类风湿性关节炎的可能。
第7~9肋骨下缘缺损示主动脉狭窄,见于儿童先天心脏病;法乐氏四联症可见左肋下缘缺损。
咳嗽所致骨折,可见于6~9肋,第7肋腋后线可见叉形肋。
鸽胸与先天性房室间隔缺损相关,也见于儿童哮喘症或脊柱侧凸严重时伴通气功能降低者。
骨脱钙可见于类固醇治疗患者、老年、肾病、或其他代谢病者。
C(Cor)心脏右缘有两弓,左缘有四弓。
右两弓消失见于漏斗胸、右中叶萎缩、肺炎。
形状变化或心脏扩大,见于先天性心脏病、心力衰竭。
D(Diaphragm)膈肌右高于左半个肋间隙,一侧高,考虑胸部肿瘤、纤维组织牵拉、膈下脓肿。
半侧膈肌升高考虑外伤、中风、颈部感染或肿瘤、肺炎或放射治疗后。
右侧可见膈肌伴弯刀征。
医学.教育网原。
创E(Esophagus)食管位于气管右,若有空气液面,考虑食管不能松驰或狭窄。
F(Fissures)肺裂将各肺分为各叶,左右各有一斜裂,右侧有横裂,斜裂下端止于膈肌,决不止于前胸壁,有异常时示有病变。
G(Gastric bubble)胃泡在左侧,若在右,考虑内脏转位,胃泡不见,考虑食管不能松驰。
胃泡在心右可能为膈疝。
H(Hila)肺门移位示肺部分萎缩、过度充气等,肺门区扩大可能是肺癌转移、肺内感染、免疫疾病或结节病。
I(Interstitium)间质性浸润分两型,间质型看上部心前区,下部可因妇妇女乳房影加重。
肺泡型浸润,因肺泡灌注水、脓、血或蛋白质样物质,见于Goodp asture氏征、肺含铁血黄素沉着症、鳞状上皮脱落间质性肺炎等。
胸部X线片系统读片原理A(Airway)气道在胸上部,看它是否居中,脊柱是否直线经过,气管有无移位,有无纤维组织牵拉使肺容积缩牵、过度充气及压迫。
有无支气管气管巨大症,肺叶开口压迫、狭窄、隆突受压等支气管肺癌征象。
B(Bone)肋骨距是否某侧缩窄,肋骨有无缺损,如第一肋骨上缘缺损,有硬皮病、类风湿性关节炎的可能。
第7~9肋骨下缘缺损示主动脉狭窄,见于儿童先天心脏病;法乐氏四联症可见左肋下缘缺损。
咳嗽所致骨折,可见于6~9肋,第7肋腋后线可见叉形肋。
鸽胸与先天性房室间隔缺损相关,也见于儿童哮喘症或脊柱侧凸严重时伴通气功能降低者。
骨脱钙可见于类固醇治疗患者、老年、肾病、或其他代谢病者。
C(Cor)心脏右缘有两弓,左缘有四弓。
右两弓消失见于漏斗胸、右中叶萎缩、肺炎。
形状变化或心脏扩大,见于先天性心脏病、心力衰竭。
D(Diaphragm)膈肌右高于左半个肋间隙,一侧高,考虑胸部肿瘤、纤维组织牵拉、膈下脓肿。
半侧膈肌升高考虑外伤、中风、颈部感染或肿瘤、肺炎或放射治疗后。
右侧可见膈肌伴弯刀征。
医学.教育网原。
创E(Esophagus)食管位于气管右,若有空气液面,考虑食管不能松驰或狭窄。
F(Fissures)肺裂将各肺分为各叶,左右各有一斜裂,右侧有横裂,斜裂下端止于膈肌,决不止于前胸壁,有异常时示有病变。
G(Gastric bubble)胃泡在左侧,若在右,考虑内脏转位,胃泡不见,考虑食管不能松驰。
胃泡在心右可能为膈疝。
H(Hila)肺门移位示肺部分萎缩、过度充气等,肺门区扩大可能是肺癌转移、肺内感染、免疫疾病或结节病。
I(Interstitium)间质性浸润分两型,间质型看上部心前区,下部可因妇妇女乳房影加重。
肺泡型浸润,因肺泡灌注水、脓、血或蛋白质样物质,见于Goodpasture氏征、肺含铁血黄素沉着症、鳞状上皮脱落间质性肺炎等。
观察咳出物对鉴别诊断有用。
医学教。
育网原.创J(Junction lines)连接线是垂直的,仅见于纵膈,有右脊柱旁、右主动脉旁、右心旁线,左脊柱旁、左主动脉旁、左心旁线,前后连接线等,一般看不见。
胸部X线片系统读片原理24个字母(A-X)系统读片法,可以减少漏诊。
胸部X线片系统读片原理A(Airway)气道在胸上部,看它是否居中,脊柱是否直线经过,气管有无移位,有无纤维组织牵拉使肺容积缩牵、过度充气及压迫。
有无支气管气管巨大症,肺叶开口压迫、狭窄、隆突受压等支气管肺癌征象。
B(Bone)肋骨距是否某侧缩窄,肋骨有无缺损,如第一肋骨上缘缺损,有硬皮病、类风湿性关节炎的可能。
第7~9肋骨下缘缺损示主动脉狭窄,见于儿童先天心脏病;法乐氏四联症可见左肋下缘缺损。
咳嗽所致骨折,可见于6~9肋,第7肋腋后线可见叉形肋。
鸽胸与先天性房室间隔缺损相关,也见于儿童哮喘症或脊柱侧凸严重时伴通气功能降低者。
骨脱钙可见于类固醇治疗患者、老年、肾病、或其他代谢病者。
C(Cor)心脏右缘有两弓,左缘有四弓。
右两弓消失见于漏斗胸、右中叶萎缩、肺炎。
形状变化或心脏扩大,见于先天性心脏病、心力衰竭。
D(Diaphragm)膈肌右高于左半个肋间隙,一侧高,考虑胸部肿瘤、纤维组织牵拉、膈下脓肿。
半侧膈肌升高考虑外伤、中风、颈部感染或肿瘤、肺炎或放射治疗后。
右侧可见膈肌伴弯刀征。
医学.教育网原。
创E(Esophagus)食管位于气管右,若有空气液面,考虑食管不能松驰或狭窄。
F(Fissures)肺裂将各肺分为各叶,左右各有一斜裂,右侧有横裂,斜裂下端止于膈肌,决不止于前胸壁,有异常时示有病变。
G(Gastric bubble)胃泡在左侧,若在右,考虑内脏转位,胃泡不见,考虑食管不能松驰。
胃泡在心右可能为膈疝。
H(Hila)肺门移位示肺部分萎缩、过度充气等,肺门区扩大可能是肺癌转移、肺内感染、免疫疾病或结节病。
I(Interstitium)间质性浸润分两型,间质型看上部心前区,下部可因妇妇女乳房影加重。
肺泡型浸润,因肺泡灌注水、脓、血或蛋白质样物质,见于Goodpasture氏征、肺含铁血黄素沉着症、鳞状上皮脱落间质性肺炎等。
观察咳出物对鉴别诊断有用。
胸部X线片系统读片原理胸部X线片系统读片原理24个字母(A-X)系统读片法,可以减少漏诊。
胸部X线片系统读片原理A(Airway)气道在胸上部,看它是否居中,脊柱是否直线经过,气管有无移位,有无纤维组织牵拉使肺容积缩牵、过度充气及压迫。
有无支气管气管巨大症,肺叶开口压迫、狭窄、隆突受压等支气管肺癌征象。
B(Bone)肋骨距是否某侧缩窄,肋骨有无缺损,如第一肋骨上缘缺损,有硬皮病、类风湿性关节炎的可能。
第7~9肋骨下缘缺损示主动脉狭窄,见于儿童先天心脏病;法乐氏四联症可见左肋下缘缺损。
咳嗽所致骨折,可见于6~9肋,第7肋腋后线可见叉形肋。
鸽胸与先天性房室间隔缺损相关,也见于儿童哮喘症或脊柱侧凸严重时伴通气功能降低者。
骨脱钙可见于类固醇治疗患者、老年、肾病、或其他代谢病者。
C(Cor)心脏右缘有两弓,左缘有四弓。
右两弓消失见于漏斗胸、右中叶萎缩、肺炎。
形状变化或心脏扩大,见于先天性心脏病、心力衰竭。
D(Diaphragm)膈肌右高于左半个肋间隙,一侧高,考虑胸部肿瘤、纤维组织牵拉、膈下脓肿。
半侧膈肌升高考虑外伤、中风、颈部感染或肿瘤、肺炎或放射治疗后。
右侧可见膈肌伴弯刀征。
医学.教育网原。
创E(Esophagus)食管位于气管右,若有空气液面,考虑食管不能松驰或狭窄。
F(Fissures)肺裂将各肺分为各叶,左右各有一斜裂,右侧有横裂,斜裂下端止于膈肌,决不止于前胸壁,有异常时示有病变。
G(Gastric bubble)胃泡在左侧,若在右,考虑内脏转位,胃泡不见,考虑食管不能松驰。
胃泡在心右可能为膈疝。
H(Hila)肺门移位示肺部分萎缩、过度充气等,肺门区扩大可能是肺癌转移、肺内感染、免疫疾病或结节病。
I(Interstitium)间质性浸润分两型,间质型看上部心前区,下部可因妇妇女乳房影加重。
肺泡型浸润,因肺泡灌注水、脓、血或蛋白质样物质,见于Goodpasture氏征、肺含铁血黄素沉着症、鳞状上皮脱落间质性肺炎等。
24个字母(A-X)系统读片法,可以减少漏诊。
胸部X线片系统读片原理A(Airway)气道在胸上部,看它是否居中,脊柱是否直线经过,气管有无移位,有无纤维组织牵拉使肺容积缩牵、过度充气及压迫。
有无支气管气管巨大症,肺叶开口压迫、狭窄、隆突受压等支气管肺癌征象。
B(Bone)肋骨距是否某侧缩窄,肋骨有无缺损,如第一肋骨上缘缺损,有硬皮病、类风湿性关节炎的可能。
第7~9肋骨下缘缺损示主动脉狭窄,见于儿童先天心脏病;法乐氏四联症可见左肋下缘缺损。
咳嗽所致骨折,可见于6~9肋,第7肋腋后线可见叉形肋。
鸽胸与先天性房室间隔缺损相关,也见于儿童哮喘症或脊柱侧凸严重时伴通气功能降低者。
骨脱钙可见于类固醇治疗患者、老年、肾病、或其他代谢病者。
C(Cor)心脏右缘有两弓,左缘有四弓。
右两弓消失见于漏斗胸、右中叶萎缩、肺炎。
形状变化或心脏扩大,见于先天性心脏病、心力衰竭。
D(Diaphragm)膈肌右高于左半个肋间隙,一侧高,考虑胸部肿瘤、纤维组织牵拉、膈下脓肿。
半侧膈肌升高考虑外伤、中风、颈部感染或肿瘤、肺炎或放射治疗后。
右侧可见膈肌伴弯刀征。
医学.教育网原。
创E(Esophagus)食管位于气管右,若有空气液面,考虑食管不能松驰或狭窄。
F(Fissures)肺裂将各肺分为各叶,左右各有一斜裂,右侧有横裂,斜裂下端止于膈肌,决不止于前胸壁,有异常时示有病变。
G(Gastric bubble)胃泡在左侧,若在右,考虑内脏转位,胃泡不见,考虑食管不能松驰。
胃泡在心右可能为膈疝。
H(Hila)肺门移位示肺部分萎缩、过度充气等,肺门区扩大可能是肺癌转移、肺内感染、免疫疾病或结节病。
I(Interstitium)间质性浸润分两型,间质型看上部心前区,下部可因妇妇女乳房影加重。
肺泡型浸润,因肺泡灌注水、脓、血或蛋白质样物质,见于Goodpasture氏征、肺含铁血黄素沉着症、鳞状上皮脱落间质性肺炎等。
观察咳出物对鉴别诊断有用。