跟骨骨折ORIF的技巧
- 格式:ppt
- 大小:6.69 MB
- 文档页数:49
康骨堂跟骨骨折治疗方案
方法步骤:
01
1要治疗好骨折,首先就要把骨折的地方从新恢复到以前的位置也就是复位,要从新建设好骨骼的支架,复位是骨折后的第一步,也是固定和功能锻炼的根本基础。
骨折后应该要快点的复位,复位到原来的地方。
02
2骨折后的功能锻炼是在正确的复位的基础上进行的。
功能锻炼是骨折治疗的很重要的一部分,它能早点的让骨折的地方快点的好起来。
还能防止其他疾病的发生。
所以功能锻炼对于骨折的人来说很重要。
03
3固定是在骨折的地方复位以后的第一步,主要是因为防止他在一次的移位。
让他达到和没有骨折前面一样让它自己好。
通常固定的方法有,小夹板的固定,石膏外面固定,牵引固定法,手术复位内固定法等。
04
引起骨折的原因有很多方面的,比如,说直接暴力如轧伤,机械绞伤,直接的打伤,等引起的骨折,还是有一些间接伤,比如说跌倒时碰到了等等都可引起骨折,所以在日常生活中要小心。
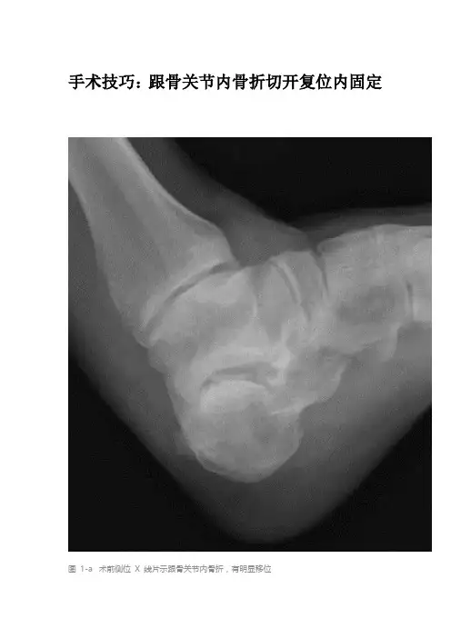
手术技巧:跟骨关节内骨折切开复位内固定图1-a 术前侧位X 线片示跟骨关节内骨折,有明显移位图 1-b 术前斜位 X 线片示跟骨有移位的关节内骨折图 1-C 术前 CT 矢状位片示移位的跟骨关节内骨折图 1-D 术前 CT 轴位片示移位的跟骨关节内骨折图 1-E 术前冠状位 CT 可见有移位的跟骨关节内骨折,箭头所指为压缩的骨折块图1-F 患者侧卧,跟骨切开复位内固定术前垫好沙袋。
备皮,下肢屈曲朝向手术台后方,非无菌止血带放置在大腿部;健侧下肢充分包裹保护图 2-A 在体表标记出标准切口,采用可延展的跟骨外侧入路。
同时标记出腓骨远端及跟腱外侧缘。
注意垂直切口部分通常始于腓骨远端以上约 2 cm。
箭头所示为腓肠神经的走行(虚线表示),垂直切口有损伤神经的风险图 2-B 术中照片所示为「不接触」技术,将 1.6 mm 克氏针置入腓骨、距骨颈和骰骨,以全层牵开全层软组织瓣。
箭头所示为在牵开的外侧软组织瓣中的腓骨肌腱图 3-A 用组织钳移除较薄的跟骨侧方皮质图 3-B 反转跟骨体压缩的骨片以抬高后方关节面图 3-C 初步复位后用临时克氏针固定图 3-D 哈里斯跟部轴位投影成像所示后足力线矫正不够,内侧跟骨壁和跟骨结节存在内翻复位不良图 3-E、F 力线恢复通过临床医师检查及影像学检查确定图 4-A 再次植入跟骨外侧壁皮质部分,这可作为「钥匙」,用以评估和确保合适的复位和恢复跟骨高度图 4-B 临时固定和放置多孔跟骨钢板图 4-C、D 再次术中影像确认跟骨多孔钢板置于合适位置后,置入支撑拉力螺钉。
注意让另一名外科医师的手拖住足跟部内侧的载距突以提供垂直支撑力,确保螺钉导针从跟骨外侧皮质钢板处进入载距突图 4-E 随后在关节面下方软骨下骨部置入螺钉,同时在前结节及跟骨结节部置入螺钉图4-F 最后在侧位片下确认保持复位情况及钢板螺钉位置。
如果担心螺钉置入关节内或残余内翻力线不良,需分别采用 Broden 位和哈里斯跟部轴位以确定图 4-G 检查腓骨下凹槽及后腓骨沟之后复位腓骨肌腱,采用小缝合锚钉重建腓骨肌上支持带和骨膜图 5. 用 4-0 可吸收线向切口顶点方向缝合皮下层关闭伤口;放置引流管于横向切口前方图 6. 术后 6 月负重片显示后关节面及内侧跟骨壁复位,Bohler 氏角和跟部力线维持满意,无内固定失效及松动(从上到下依次为前后位、侧位、Broden 轴位、哈里斯跟部轴位)跟骨关节内骨折,手术还是非手术?有移位的跟骨关节内骨折过去一直采用非手术治疗,随着对后关节面解剖复位重要性的认识增加、软组织处理技术提高、术中成像技术的使用和植入物改进,如今常规选择开放复位内固定手术治疗(ORIF)。
跟骨骨折复位微创手术治疗技巧技术指南常规外侧L入路是跟骨骨折手术治疗的经典入路,虽然暴露彻底,但切口长,软组织剥离多,容易导致软组织延迟愈合、坏死、感染等并发症。
加之对微创美观追求,跟骨骨折微创手术治疗得到推崇。
广泛外侧入路,切口垂直部分起于腓骨尖端稍近端、跟腱的前方。
切口水平部分正好在跟骨外侧动脉供血的瘀紫皮肤的远端,止于第五跖骨基底部。
两部在足跟部相连,形成一个略呈弧形的直角。
图源:坎贝尔骨科手术学。
经皮撬拨复位上世纪20 年代,Böhler 发展了牵引下复位跟骨的微创治疗方法,此后相当长时间内,牵引下经皮撬拨复位成为治疗跟骨骨折的主流方法。
适用于距下关节内骨折块移位程度较轻的骨折,如Sanders II 型及部分 Sanders III 中舌型骨折。
对于距下关节面塌陷严重的 Sanders III 型及粉碎性Sanders IV 型骨折,撬拨复位难度较大且不易实现跟骨后关节面的解剖复位。
其对跟骨宽度的恢复比较困难,不能很好纠正畸形,常遗留不同程度跟骨外侧壁外膨,导致外踝下方与跟骨外侧壁撞击,腓骨长肌腱移位或卡压,引起腓骨肌腱撞击综合征、跟腓撞击痛及腓骨长肌腱炎。
Westhues/Essex-lopresti 技术。
A.侧位透视确认塌陷的舌形骨折块;B.水平面 CT 扫描显示为 Sandess IIC 型骨折。
两图中均可见跟骨前部明显粉碎。
S. 载距突。
C. 因严重的软组织肿胀和水疱而无法使用外侧切口;D. 侧位透视显示关节面(虚线)和距骨塌陷(实线)。
E 和 F. 沿舌形骨折块下方平行置入两枚空心钉导针,虚线为关节线。
G. 屈曲膝关节,上撬导针,同时跖屈中足复位骨折:H.由于跟骨前突粉碎,一枚 6.5 mm 空心螺钉固定至骰骨,另两枚 2.0 mm 克氏针跨距下关节固定维持复位。
图源:曼氏足踝外科学。
跗骨窦小切口切口为腓骨尖远端 1 cm 至第四跖骨基底部。
1948 年, Palmer 首次报道跗骨窦小切口。
跟骨骨折手术配合流程骨折是指骨头在外部或内部力的作用下发生破碎断裂的现象,是一种常见的急诊情况。
骨折手术是治疗骨折的主要手段之一,通过手术修复骨骼结构,加快骨头愈合,恢复功能。
在骨折手术中,医生需要进行精准的术前评估、手术操作和术后护理,配合流程简洁高效,能够提高治疗效果,减少并发症。
在本文中,将详细讨论骨折手术的配合流程,帮助医护人员更好地理解和应用。
一、术前准备1. 术前评估术前评估是骨折手术的第一步,通过临床检查和影像学检查,全面了解患者的骨折情况,包括骨折类型、位置、严重程度和相关伤情。
术前评估的目的是确定手术方案、准备手术器械和设备,规划术后康复方案,为手术做好充分准备。
2. 术前准备在术前准备阶段,需要进行以下工作:(1)患者准备:向患者解释手术的必要性和风险,并征得患者或家属的同意。
对于特殊情况的患者,比如儿童、老年人或有基础疾病的患者,需要进行特殊的术前准备。
(2)手术器械准备:医生和护士需要检查手术器械和设备是否完整,确保手术过程中没有瓶颈。
(3)手术区准备:手术室需要进行消毒和清洁,为手术创造良好的工作环境。
(4)麻醉准备:手术需要麻醉,麻醉科医生需要根据患者的具体情况,选择合适的麻醉方式和药物。
3. 术前沟通术前沟通是医护人员之间、医护人员与患者之间进行信息交流和协商的过程。
医生、护士、麻醉医生、患者及其家属等各方需要共同商讨手术方案,明确分工和职责,提高团队合作效率。
此外,还需要与患者进行沟通,告知手术风险、术后注意事项,帮助患者理解和配合手术。
二、手术操作1. 麻醉手术开始前,麻醉医生会根据患者的具体情况,选择合适的麻醉方式和药物。
一般情况下,骨折手术可以选择局部麻醉或全麻,关节骨折手术还可选择神经阻滞麻醉。
麻醉的目的是使患者在手术期间不感到疼痛,保持安静。
2. 手术操作手术开始后,医生会根据术前评估的结果,选择合适的手术方法和技术,进行骨折的复位和固定。
骨折手术包括开放性复位内固定术(ORIF)、闭合性复位内固定术(CRIF)、外固定术等。
最具挑战性的跟骨骨折治疗,一文帮你搞定!跟骨骨折是最容易导致残疾的下肢骨折之一。
早期并发症,长期的疼痛,创伤后关节炎和再手术非常常见。
这种损伤的治疗很有挑战,最佳治疗方案也存在争议。
微创入路近年来得到很好的普及,对降低并发症和改善预后可能有潜在的益处。
病理解剖和流行病学大部分跟骨骨折由高处坠落和交通伤等高能量暴力引起,为关节内骨折。
尽管各个年龄层都可能患病,但多为工业领域的较年轻患者。
因此人口学上的特点和伤后致残情况,本病的社会经济学效应非常巨大。
有报道伤后3~5年有很高的伤残率。
跟骨骨折患者的总体健康情况比遭遇其他骨折或有严重内科疾病,如器官移植或心梗的患者都要差。
跟骨骨折是一种严重的,改变生活质量的损伤。
典型的跟骨骨折为下肢轴向暴力时,距骨撞进跟骨造成。
而准确的骨折形态则取决于受伤时足的位置、患者的骨量和暴力的大小。
伤后足跟变短、增宽、内翻移位。
几乎所有患者都会有显著的软组织肿胀和损伤。
严重的肿胀、骨折、水泡,甚至骨筋膜室综合征都可能出现。
也常合并腰椎和其他下肢骨折。
距下关节后关节面复位好坏是达到成功治疗,取得良好疗效的挑战因素之一。
在损伤时的关节软骨损伤及继发的关节骨块移位会导致创伤后关节炎。
跟骨骨折的分型和治疗策略很大程度上由距下关节受累范围决定。
关节内骨折01分型和影像学跟骨骨折的影像学评估包括平片和CT。
平片应当包含侧位和足正位,以及 Harris 跟骨轴位。
在侧位片中,Böhler角减小, Gissane角增大,距下关节后关节面塌陷(图1)。
如果后关节面仅有外侧部分塌陷移位,可以看到双边征(侧位片中后关节面的关节线内侧部分均可见)(图2)。
足的正位可以显示骨折向前结节和跟骰关节延伸范围。
轴位片可以展示内翻移位和跟骨结节短缩程度。
对大部分关节内骨折来说,CT能有效的评估关节受累范围和移位程度(图2-图B、图C、图D 及图3- 图A和图B)。
图1:一名38岁男性的侧位片上可见关节内移位,跟骨高度丢失,关节骨块压缩,Böhler 角减小,Gissane角增大。
跟骨L形切口的应用技巧来源:中国现代手术学杂志作者:王振,明晓锋,杨生民,李西要,刘青,冯彦江,赵栋,俞光荣跟骨骨折是创伤骨科常见疾病,约占全身骨折的2%,约60%的跗骨骨折为跟骨骨折[1-3]。
跟骨骨折主要采用手术治疗。
1931年Bohler倡导切开复位治疗跟骨骨折,1948年Palmmer 采用手术治疗新鲜关节内骨折,应用足外侧Kocher切口治疗跟骨骨折,Buckley对跟骨外侧扩大L形切口(extensile Lshape approach, ELA)进行了详细描述[4]。
然而,跟骨L形切口的并发症仍令很多创伤科医生困扰,由于其切口并发症风险,目前被其他切口所挑战。
随着临床医师对跟骨L形切口熟练程度的增加,近年来其切口并发症有下降趋势。
目前跟骨外侧L形切口仍是治疗跟骨关节内骨折的金标准。
为了降低跟骨切口并发症的发生率,笔者从术前软组织评估、术中精细化操作、术后个体化管理三方面分别阐述跟骨L形切口的应用技巧。
1、跟骨L形切口术前准备1.1 全身准备①糖尿病;血糖应控制在8mmol/L以下;②禁烟;吸烟会增加跟骨伤口感染概率,建议戒烟2周以上再进行手术,一般至少控烟1周后手术;③排除周围血管疾病:对于患肢慢性肿胀或者疼痛,要警惕静脉炎或者深静脉血栓,故术前应行下肢静脉彩超检查。
1.2 皮肤准备1.2.2 术前消肿总体遵循RICE原则:①Rest(休息),尽量减少关节活动;②Ice(冰敷),伤后48h内进行局部冰敷,10~30min/d,>3次/d;③Compression(加压),用适当压力的弹性绷带包裹以减轻肿胀;④Elevation(抬高),抬高患肢,应高于心脏位置,以促进静脉回流,利于消肿,待皮肤皱褶征( )时考虑手术,一般在伤后7~10d。
1.2.2 水疱和血疱的处理水疱通常在骨折后24~48h发生,分为浆液性和血性水疱,水疱期不宜行切开复位内固定(open reduction and internal fixation,ORIF)。
跟骨骨折的切口与缝合技巧彭烨跟骨骨折手术治疗目前被认为是治疗移位的跟骨骨折的金标准。
跟骨手术治疗主要需要纠正的几个关键点为:关节匹配度跟腱的高度跟骨的宽度脚跟的内外翻跟骨高度脱位跟骨骨折能否保守治疗?保守的结果。
不太确定常容易形成畸形愈合、距下关节融合,撞击等并发症然而最经典的扩大L型外侧入路的切口并发症高达20%-37%;其中伤口感染:1.3%-7%;切口皮缘坏死、皮瓣坏死:2%-11%糖尿病、吸烟、失神经支配都会增加并发症风险;如果伴有开放骨折,软组织损伤会增加50%的感染。
那么如何进行一个扩大L型切口的入路的皮肤管理就成了重要的问题扩大型L入路的优势与劣势:优势:显露清楚,只是复位,重建外侧,钢板固定劣势:伤口问题、术前时间需要控制手术切口就不再赘述了要点1:手术时机,一般在伤后7-10天。
软组织消肿后,出现皮肤皱褶实验是可以行手术治疗,如果有水泡、血泡、建议抽出其内容液但不要破坏其表皮,同时应用消肿药物,患肢抬高,下肢按摩等处理。
要点2:全层剥离整个皮瓣,不要进行分层剥离。
所谓的“一刀到骨”注意不要损伤神经分支,采用不接触技术,植入三个克氏针进行显露(三个克氏针分别置于腓骨、距骨颈、舟骨)。
克氏针这里存在一定争议,有的学者认为会增大皮瓣的牵拉影响血供。
要点3:尽量不要用电刀,以钝性剥离为主。
要点4:缝合时,皮下全层缝合,最后一起打结,减少组织张力。
要点5:缝合方法建议采用allgower缝合,对皮肤血供破坏少要点6:放置引流,引流量到5-10ml时再拔出引流要点7:加压包扎,软组织损伤较重的可以给予石膏保护2周当然,如果你会跟骨微创的话,这些都不用担心啦!想做好跟骨微创,跟骨微创复位架必不可少。
可以有效恢复长度、宽度、高度,内外翻角。
避免皮肤并发症,跟骨微创,你也可以的!。
跟骨骨折手术治疗科普跟骨骨折是一种较为常见的足部骨折,其发病率占跗骨骨折的60%,也占到全身骨折的2%,大部分情况下,跟骨骨折都会涉及距下关节。
若是在发生跟骨骨折后,没有对其进行早期处理或是早期处理不当,很大可能性会导致患者发生足跟变宽、扁平足、跟腓撞击疼痛等后遗症,甚至还会导致病人出现创伤性关节炎,对患者的患肢功能造成严重影响。
因此在病人出现跟骨骨折后,需要做好早期手术治疗,避免发生严重后遗症。
一、手术治疗方法根据患者发病的轻重缓急,可以选择在骨折后6~12小时内进行急诊手术,若是病人骨折时间超过12小时,就进行择期手术,一般在骨折后7~14天完成手术。
若是病人需要择期进行手术,就需要在手术之前进行石膏轻度内翻位固定。
同时若病人出现了较为严重的局部水肿、张力性水泡整张,就需要加用脱水药物。
①手术在止血带下进行,对病人实施硬膜外麻醉。
②麻醉后,在患肢外侧作一延长L形切口。
③其后将皮肤及皮下组织,直至骨膜下,将全层皮瓣又下向上从骨膜上掀起,同时主要将跟腓韧带切断,让他能够留在皮瓣中,使得腓骨长短腱鞘的完整性能够得到保存,其手术切口需要到达跟骰关节。
④使用克氏针钻入骰骨和腓骨,将其弯曲,其后对皮瓣进行牵拉,使患者的患处能够暴露在手术视野中。
⑤将骨折皮质掀起,将塌陷的关节面撬开,对向前下倾斜、旋转的跟骨后关节进行整理复位,让跟骨后关节面与距骨后关节面能够恢复到平行位置,其后对跟骨中、跟骨前的关节面进行整理复位。
⑥对结节块与距突的位置关系进行纠正,使其能够恢复Bhler角。
⑦在跟骨后侧方使用克氏针向前钻入,以此来达到稳定距下关节面的作用。
之后将外侧壁移位骨块复位,使用钛跟骨板进行固定。
在固定的时候需要将根骨板螺钉固定在跟骨结节、跟骨前突、跟骨丘部这“三极”位置。
⑧手术完成后,将引流管放置好,并逐层缝合手术切口,在经过X线检查确认骨折部位愈合之后可以循序渐进进行负重行走训练。
二、术中注意事项(1)将皮肤全层切开,骨膜下需要锐性切取,对皮缘进行保护;(2)使用克氏针钻入后弯曲进行皮瓣牵拉,而不使用拉钩;(3)对骨折块进行保护,不随意将游离骨块摘除;(4)在复位后使用克氏针进行固定,因此来使距下关节面及跟骨形态得到稳定。
超详细!跟骨关节内骨折外侧入路ORIF手术全过程体位及术前准备•可选择全麻、硬膜外麻醉、神经阻滞麻醉;•侧卧位,骨突部垫软垫保护,患肢在后,健侧在前;•患侧大腿根部上止血带。
患者取侧卧位,骨突部垫软垫保护跟骨轴位投照角度切口体表投影实用Marker笔自外踝尖上方1.5cm开始,再腓骨后缘至跟腱前缘重点处开始,沿腓骨向下至足底皮肤与足背皮肤交界处,然后弧形转向前方,止于第五跖骨基底部,远端切口略向上。
切口的垂直部分位于腓骨后缘至跟腱前缘中线,自外踝尖上方1.5cm向下;水平部分位于足背外侧皮肤有汗毛和无汗毛区域交界线上,前方止于第五跖骨基底部跟骨外侧切口示意图,该切口可以充分显露跟骨外侧面,并避免损伤腓肠神经手术入路跟骨是松质骨,血供较为丰富,很少出现缺血坏死,因此为了保护皮瓣的血供,应全层切开皮肤及皮下软组织直至跟骨骨膜下,不做分层解剖。
在翻转皮瓣时,紧贴跟骨外侧骨面剥离软组织,亦可将跟骨表面的骨膜剥离,一起随皮瓣翻转。
不显露腓骨肌腱和腓肠神经,而是将其同皮瓣翻向近端,再跟骨一侧切断跟骨韧带、跟距韧带,显露跟骨外侧面。
使用No-touch技术,沿皮瓣的对角线,在腓骨、距骨、骰骨上打入克氏针并折弯固定皮瓣;避免使用拉钩显露,反复调整拉钩位置并大力牵引有可能进一步破坏皮瓣血供。
近端向上切开关节囊显露距下关节,想远端分离显露跟骰关节。
切取全层皮瓣直至跟骨骨膜下,沿跟骨外侧表面剥离软组织皮瓣(注意此篇勿分层),切开跟腓韧带、跟距韧带显露距下关节使用No-touch技术,沿皮瓣的对角线,在腓骨、距骨、骰骨上打入克氏针并折弯固定皮瓣;切开关节囊显露距下关节术中图像:不显露腓骨长短肌肌腱,将其同皮瓣一起向前翻转术中图像:利用No-touch技术保护皮瓣,切开跟腓韧带、跟距韧带显露跟骨和距下关节骨折的复位与内固定跟骨骨折复位是以载距突骨块为模板,从前至后,从内至外一次复位,在内测骨块复位前,不要试图进行其他部位的骨折复位。
“跟骨骨折”怎么手术切口如何选择?跟骨骨折是指跟骨断裂或破碎的情况。
跟骨是人体足部最大且最重要的骨骼之一,位于脚踝后侧,承担着身体的重量并起到支撑和平衡的作用。
跟骨骨折应该如何进行手术?在手术中如何选择切口呢?本文将详细介绍这些内容。
一、跟骨骨折的原因跟骨骨折通常是由外力暴露导致的,如从高处摔下,脚跟先着地,导致跟骨受到巨大的冲击力,造成骨折;车辆碰撞、摩托车事故和行人被撞等,这些意外的高速冲击常常引起跟骨骨折;参加高冲击性的活动,如跳跃、奔跑、滑雪和攀爬等运动时,如果落地方式不当或遭受外力冲击,可能引发跟骨骨折;在平稳的地板上失去平衡或踩到不稳固的物体时,可能出现跌倒并在着地时造成跟骨骨折;重物直接撞击或压迫到足部,如工业事故或建筑物坍塌等情况,可能导致跟骨骨折。
一旦发生跟骨骨折,及时就医是非常重要的。
医生将根据骨折类型和严重程度选择适当的治疗方法。
二、跟骨骨折的手术方式跟骨部位骨折是人们常见的骨科问题,一旦根骨部位骨折,则需及时修复。
在手术前,医生会详细研读患者的X光片,了解骨折状况,不能仅凭经验进行手术。
如,医生需考虑位移或翻转程度、骨折块位置以及是患者在根骨部位骨折时是否存在关节脱位等。
跟骨常常被形容为生鸡蛋,难以捏碎,但一旦骨折,则需要进行缝合手术,难度取决于骨折程度。
手术开始时,医生需全面了解患者跟骨骨折情况,取出碎裂的骨折碎片,观察跟骨在足弓中的位移和角度。
修复手术的首要任务是还原跟骨的位置,优先恢复高度,然后是宽度。
医生可使用小型骨膜剥离器利用向上的压力恢复患者跟骨的高度。
随后,向下推动结节使骨块向上移动,并最终通过向内推动来调整宽度。
这一系列的步骤可以有效地恢复患者跟骨的水平宽度及垂直高度。
使患者根骨与骨外侧壁达到平行。
跟骨宽度的判定标准是与骨外侧壁平行。
在完成复位后,医生会插入固定用的骨圆针以防止再次偏移。
随后,恢复后关节。
复位过程则需从内向外进行,以最里面的关节为基准,保持每个骨折碎块的关节面与其平行。
手法整修闭合穿针治疗跟骨骨折
手法整修闭合穿针治疗跟骨骨折是一种常见的治疗方法,它是利用手法和穿针技术来将骨折骨头复位并固定。
这种治疗方法适用于某些类型的跟骨骨折,如非移位性跟骨骨折、部分移位的跟骨骨折和未合并的跟骨骨折。
手法整修闭合穿针治疗跟骨骨折的操作分为两个过程。
首先是手法整复,这是最基本的步骤。
医生会用手轻轻地拉扯患者的脚和踝部,以达到复位的效果。
如果骨折部位比较明显,医生可能会用钳子等工具来辅助手法复位。
然后是穿针固定,医生会穿过骨折两端的皮下和骨皮质,将导线或铁丝固定在骨头上,使其保持复位的状态。
固定后,需要进行X光检查,以确保骨折正确固定。
手法整修闭合穿针治疗跟骨骨折有许多优点。
首先,这种治疗方法不需要进行大规模手术,因此可以减少术后合并症、感染率和手术时间。
其次,这种治疗方法的复原期较短,通常只需要约6-12周。
最后,与传统手术治疗方法相比,手法整修闭合穿针治疗跟骨骨折更适用于年轻、健康的患者,因为这种治疗方法不需要骨切开,减少了恢复期的影响。
然而,手法整修闭合穿针治疗跟骨骨折也有一些缺点和风险。
其中包括复位不完全、骨折重新移位、软组织感染、导线脱出等。
总的来说,手法整修闭合穿针治疗跟骨骨折是一种非常可靠的治疗方法,可以通过简单的步骤和低风险的方式来对跟骨骨折进行治疗。
但是,在接受治疗之前,患者应该寻求医生的建议,根据实际情况决定最佳治疗方法。
同时,患者应该遵照医生的指导进行恢复训练,以达到最佳的康复效果。
复元活血汤配合ORIF加植骨术治疗SandersⅡ、Ⅲ型跟骨
骨折的临床疗效
李翔
【期刊名称】《黑龙江医药》
【年(卷),期】2015(000)004
【摘要】目的:探讨在SandersⅡ、Ⅲ型跟骨骨折治疗中,复元活血汤配合切开复位内固定(ORIF)加植骨术的临床效果观察。
方法:选取我院接诊病例24例,随机分为对照组与观察组,分别行ORIF加植骨术治疗与复元活血汤配合ORIF加植骨术治疗,观测足踝部疼痛及功能评估评估。
结果:治疗后,观察组与对照组AOFAS评估结果比较(87.25±13.61 VS 71.25±15.75)(P<0.05);观察组总有效率为91.67%,对照组总有效率为66.67%。
结论:复元活血汤配合ORIF加植骨术治疗SandersⅡ、Ⅲ型跟骨骨折,效果确切,值得推广。
【总页数】2页(P949-950)
【作者】李翔
【作者单位】江苏省南通市通州区中医院 226300
【正文语种】中文
【中图分类】R683.42
【相关文献】
1.经皮撬拨复位、空心螺钉内固定、植骨术治疗SandersⅡ、Ⅲ型跟骨骨折 [J], 左向东
2.手法复位加克氏针石膏固定治疗SandersⅡ型跟骨骨折的临床疗效评估 [J], 王立峰;苗磊
3.切开复位内固定联合植骨术治疗SandersⅢ型跟骨骨折的临床疗效分析 [J], 赵学军;高丽花;
4.切开复位内固定联合植骨术治疗SandersⅢ型跟骨骨折的临床疗效分析 [J], 赵学军;高丽花
5.切开复位钢板内固定加植骨术治疗SandersⅡ~Ⅳ型跟骨骨折的临床疗效分析[J], 段锋
因版权原因,仅展示原文概要,查看原文内容请购买。