肺癌ppt课件课件.ppt
- 格式:ppt
- 大小:250.50 KB
- 文档页数:36
肺癌最新ppt课件•肺癌概述•肺癌影像学检查•肺癌病理学特征与分型•肺癌治疗方法与进展•并发症预防与处理策略•肺癌康复期管理与生活指导肺癌概述定义与发病机制定义肺癌是指发生在肺部的恶性肿瘤,主要起源于支气管黏膜上皮或肺泡上皮。
发病机制肺癌的发病与多种因素有关,包括吸烟、空气污染、职业暴露、遗传因素等。
其中,吸烟是肺癌发病的最重要危险因素。
肺癌是全球范围内发病率和死亡率最高的恶性肿瘤之一。
在我国,肺癌的发病率和死亡率也呈逐年上升趋势。
发病率与死亡率肺癌可发生于任何年龄段,但多见于40岁以上的中老年人。
男性发病率高于女性,但近年来女性肺癌发病率也有明显上升趋势。
性别与年龄分布肺癌的发病率存在一定的地域和种族差异。
一般来说,城市地区、工业发达地区的肺癌发病率较高。
地域与种族差异流行病学特点临床表现与分型临床表现肺癌的临床表现多样,早期可无明显症状,随着病情进展可出现咳嗽、咳痰、咯血、胸痛、呼吸困难等症状。
分型根据组织病理学特点,肺癌可分为小细胞肺癌和非小细胞肺癌两大类。
其中,非小细胞肺癌又包括腺癌、鳞癌、大细胞癌等类型。
诊断标准及依据诊断标准肺癌的诊断需结合患者的临床表现、影像学检查、实验室检查及病理学检查等多方面资料进行综合判断。
诊断依据主要依据包括胸部X线或CT等影像学检查发现肺部肿块或结节,支气管镜检查或经皮肺穿刺活检等病理学检查明确肿块性质为恶性。
同时,还需排除其他可能引起类似症状的良性疾病。
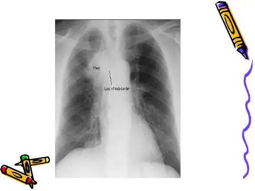
肺癌影像学检查X线检查方法及表现检查方法常规胸部X线片,包括正位和侧位,必要时加拍斜位或前弓位等。
表现中央型肺癌可见支气管阻塞征象,如肺不张、肺气肿等;周围型肺癌可见孤立性结节或肿块,常呈分叶状,边缘有细毛刺。
CT检查技术及优势技术采用高分辨率CT扫描,可进行薄层扫描和重建,显示肿瘤分叶、边缘、毛刺、胸膜凹陷征等。
优势对肺癌的诊断、分期、疗效评价及预后评估有重要作用,可发现早期肺癌和隐匿性病灶,评估肿瘤与周围组织的关系。