慢性嗜酸性粒细胞性肺炎1例CT诊断
- 格式:pdf
- 大小:454.24 KB
- 文档页数:2
嗜酸粒细胞性肺炎一例
唐军;张毅军;孙金烈
【期刊名称】《放射学实践》
【年(卷),期】2004(019)010
【摘要】病例资料患者女性。
48岁。
间歇性咳嗽、唛痰、喘息3年.加重2个月伴发热1周入皖:3年前患者受凉后出现咳嗽.咳白色粘液痰、喘息.支气管舒张和激发试验均阴性.胸片示肺纹理增粗.无片状阴影:抗感染治疗后症状缓解。
2003年8月中旬,受凉后患者再次出现咳嗽.喘息.无痰.头孢唑啉治疗无效.1周前出现畏寒、发热.体温被动于38.5℃~39.0℃:实验室检查:血红蛋白110g/l,白细胞4.83×109/l.中性粒细胞
【总页数】1页(P736-736)
【作者】唐军;张毅军;孙金烈
【作者单位】100037,北京,解放军第304医院放射科;100037,北京,解放军第304医院放射科;100037,北京,解放军第304医院放射科
【正文语种】中文
【中图分类】R814.42;R563.1
【相关文献】
1.慢性嗜酸粒细胞性肺炎三例 [J], 钟瑶
2.以嗜酸粒细胞性肺炎为首发表现的肠道T细胞淋巴瘤1例并文献复习 [J], 王伟华;郑逸华;毛毅然;余淑媛
3.急性嗜酸粒细胞性肺炎一例诊治分析 [J], 毕贞水
4.急性嗜酸粒细胞性肺炎1例并文献复习 [J], 张恩花
5.急性嗜酸粒细胞性肺炎一例 [J], 杨世登;陈文;孙国平;张明;胡凯
因版权原因,仅展示原文概要,查看原文内容请购买。
肺嗜酸细胞增多症1例患者2011年5月20日劳累后出现发热,(体温最高达38.8度)口服退热药后体温可降至正常,间断发热,伴畏寒、鼻塞、流涕、咳嗽、咳白色黏痰,活动后胸闷、气短、夜间可平卧、无浮肿。
2011年5月25日查全血分析:白细胞20.0×109/L,血涂片:嗜酸细胞70﹪,中性分叶20﹪,胸片示:双肺间质纹理增厚,双上肺及左下肺斑片影左肺门影增浓。
门诊给予头孢呋辛钠,氨溴索,利巴韦林治疗一周,无明显疗效。
为进一步诊治收入院。
既往有过敏性鼻炎20年。
未正规治疗。
入院查体:体温:37.5度,脉搏90次/分,呼吸20次/分,血压135/90mmhg。
慢性病容,消瘦明显,浅表淋巴结无肿大,双肺可闻及呼气末哮鸣音,心腹未见异常。
入院后给予泰力特、利复星和伊曲康唑抗感染,患者症状无缓解。
查血嗜酸性粒细胞计数18×109/L血IgE332U/L,痰内发现大量嗜酸性粒细胞。
骨髓涂片:嗜酸细胞增多症。
6月2日复查胸片:双肺病变加重。
加用强的松20mg每日1次治疗。
患者症状逐渐缓解复查血嗜酸性粒细胞计数逐渐下降至正常。
一周后再次复查胸片双肺病变明显吸收。
讨论肺嗜酸细胞增多症也叫嗜酸细胞性肺病,又称勒夫勒氏综合征于1968年首报。
其共同的临床特点为外周血嗜酸粒细胞增高,胸闷、气急、咳嗽、发热等。
胸部x线改变表现为游走性,此病对肾上腺皮质激素治疗反应良好。
本组疾病的病因仍未完全明了,但多认为其发病机制与变态反应或异常的免疫反应有关,嗜酸细胞增多症多见于以下情况:1.过敏性疾病如药物、食物过敏、哮喘、荨麻疹、血管神经性水肿、血液病等。
2.寄生虫病如血吸虫、蛔虫、钩虫等。
某些寄生虫感染时嗜酸细胞可明显增多。
3.感染:特别是淋巴结干酪样结核,传单,包括艾滋病也可致嗜酸性粒细胞增高。
4.皮肤病如天疱疮、银屑病等。
5.肿瘤:如肺癌及某些血液肿瘤。
6.风湿病。
7.内分泌病,如肾上腺皮质功能减退等。
此病的诊断标准有三种:1.外周血嗜酸性粒细胞增高和肺部x线有浸润性改变,嗜酸性粒细胞外周血百分比>0.05,绝对计数>0.5×109/L。
[7]Long.HJ A ease ofaortic dissection misdiagnosed acute myocardial infartion[J].Chinese Medical Journal of Metallurgical Industry.2005,18(7):472.[8]Li Ling-wen,Du Lin-lin,Ji Guang,et al.The ECG characteristic clinical significance of aortic dissection patient[J].Zhejiangclinical medicine,2007,9(4):464.[9]Fu Jing-feng,Yah Jun-pu.A case report of aortic dissection misdiagnosed acute myocardial infartion[J].Journal of HandanMedical College,2004,17(2):174-175.[10]Sha pira OM,DavidoffR.Functional left main coronary artery obustruction due to aortic dissection[J].Circulation,1998,98(3):278-280.[11]Ashida K,Arakawa K,Yamagishi T,et al.A case of dissection transient ST-segment elevation due to functional left main coronaryartery obstruction[J].JPN Circ J,2000,64(2):130-134.[12]Chamnarnphol N,Cheewatanakornkul S,Wisaratapong T.Coronary spasm due to type A aortic dissection complicated byhemopericardium:a case report of another possible cause ofcoronary malperfusion[J].Intern Med,2010,49(9):829-831.[13]Hazui H,Fukumoto H,Negom N,et al.Simple and useful tests for discriminating between acute aortic dissection of the ascendingaorta and acute myocardial infarction in the emergency setting[J].Circ J,2005,69(6):677-682.[14]Sakamoto K,Yamamoto Y,Okamatsu H,et al.D-dimer is helpful for differentiating acute aortic dissection and acute pulmonaryembolism from acute myocardial infaction[J].Hell J Cardiol,2011,52(2):123-127.(收稿日期:2019-02-21)(本文编辑:郭俊杰)慢性嗜酸性粒细胞肺炎1例报道并文案复习张梦婷刘黎明【摘要】目的总结1例慢性嗜酸性粒细胞肺炎(CEP)诊断和治疗的临床过程,提高对CEP的认识。
一例慢性嗜酸性粒细胞性肺炎的病例讨论病例简介患者男,56岁,因发热咳嗽两周就诊。
外周血嗜酸性粒细胞增高19%,BAL灌洗液中嗜酸性粒细胞增高59%。
无哮喘史。
以下为影像学。
最终诊断:慢性嗜酸性粒细胞性肺炎(CEP)影像学结果初始胸部影像学显示肺上叶多灶性斑片状和边界欠清的气腔实变,且主要位于外周,这是慢性嗜酸性粒细胞性肺炎中肺水肿的典型特征。
CT扫描也显示多灶性非节段性气腔实变,主要累及肺上叶和肺外周。
讨论患者外周血和BAL液中的嗜酸性粒细胞分别为19%和59%。
患者无哮喘史。
CEP是一种特发性疾病,特点是慢性和进展性,具有特定的病理性结果。
此疾病具有潜伏性,在疾病诊断前症状潜伏的平均时间是7.7个月。
大多数患者是中年人,并且约50%的患者有哮喘。
女性较男性更易罹患此疾病。
疾病程度较轻时,肺功能检测可能是正常的,但通常是限制性通气障碍。
外周血嗜酸性粒细胞通常是轻度或中度增高,偶见重度增高。
BAL中嗜酸粒细胞所占比例很高。
组织学检查显示肺泡和肺间质中嗜酸性粒细胞和淋巴细胞聚集,伴间质纤维化。
也可能见机化性肺炎模式或嗜酸性脓肿。
急性嗜酸粒细胞性肺炎(AEP)和 CEP的关键组织学差异是与基底膜损伤严重程度的相关性,以及管腔内纤维化的数量。
CEP的典型胸片表现是肺外周非节段性气腔实变,主要累及肺上叶。
然而,仅有不到50%的患者有此影像学表现。
CT的典型表现是肺外周肺截断行气腔实变。
不常见的表现包括磨玻璃影、结节和网状影。
不到10%的患者可观察到胸腔积液。
精选全文完整版可编辑修改误诊为肺结核的嗜酸性粒细胞增多性肺炎一例并文献复习嗜酸性粒细胞增多性肺炎是一种肺部因嗜酸性粒细胞浸润而引起的疾病,病程一般2-6个月或更长,由于该病发病率低,易误诊为其他肺部感染性疾病。
其病因未明,可能变態反应有关,也可能是一种自身免疫病,为肺部嗜酸粒细胞浸润的一种消耗性疾病。
经治疗大多疗效及预后较好,不遗留肺部损害。
标签:嗜酸性粒细胞增多性肺炎误诊肺结核嗜酸性粒细胞增多性肺炎,常是因寄生虫、药物等所致的变态反应,导致肺部嗜酸性粒细胞浸润,因为该病发病率低,常常被误诊为其他肺部感染性疾病,并且按感染性疾病治疗无效,现将我院一例误诊为肺结核的嗜酸性粒细胞增多性肺炎报道如下:【临床资料】患者为女性55岁,主因“咳嗽、发热1月”入院。
1月来患者主要表现为干咳、无痰,发热呈中度,在38.5℃左右,无明显规律。
在院外予“消炎”治疗半月病情无缓解而就诊。
既往无特殊。
在院外行胸部CT检查提示为:肺结核。
按肺结核入住我院感染科,按肺结核规律抗痨治疗半月,病情未见明显缓解。
后血常规检查血象逐渐增高,以嗜酸性粒细胞为主,经会诊后以嗜酸性粒细胞增多症转入血液科。
实验室检查情况:血常规:白细胞:38.7×109/L,中性粒细胞百分比:8.7﹪,嗜酸性粒细胞:77.2﹪,嗜酸性粒细胞绝对值:29.9×109/L。
多次做痰培养均未检出致病菌。
痰找抗酸杆菌为阴性。
结核抗体阴性。
血沉增快。
骨髓形态学检查提示:嗜酸性粒细胞增多症骨髓象。
骨髓流式细胞学检查结果回示:粒细胞相对比例增多,其中约58.4﹪的粒细胞为嗜酸性粒细胞。
第一次行胸部CT提示:左肺上叶、右肺下叶背段可见斑片状影,边界不清。
第二次复查胸部CT同前比较:左上肺及右肺下叶病灶完全吸收,右肺上叶新出现明显病灶,新出现左肺内侧斑片状密度增高影。
综合上述情况,诊断上考虑为嗜酸性粒细胞增多性肺炎。
在治疗上停止抗痨,主要给予地塞米松[1]抑制炎性细胞因子转录,减少嗜酸性粒细胞以及止咳、保胃、调节免疫力等对症支持治疗。
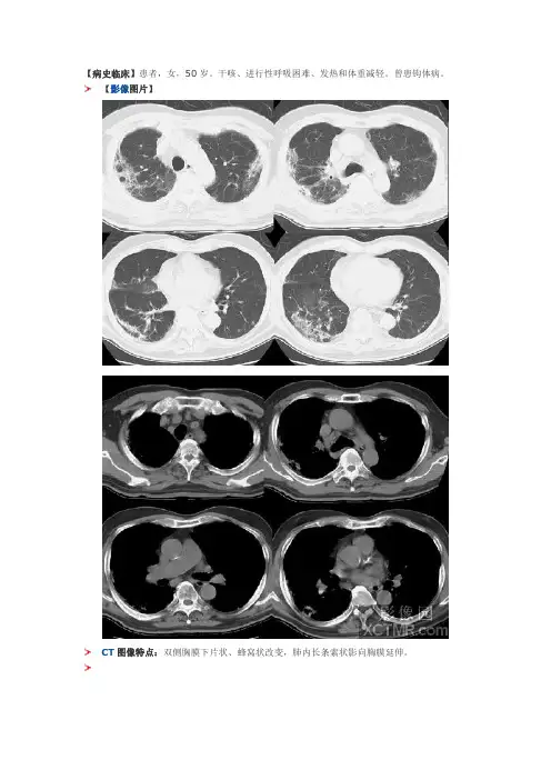
【病史临床】患者,女,50岁。
干咳、进行性呼吸困难、发热和体重减轻。
曾患钩体病。
【影像图片】CT图像特点:双侧胸膜下片状、蜂窝状改变,肺内长条索状影向胸膜延伸。
结果:慢性嗜酸细胞性肺炎点评:本病是寄生虫(钩虫、蛔虫等)和药物(呋喃妥因等)所致的变态反应,为肺部嗜酸粒细胞浸润的一种消耗性疾病。
慢性嗜酸粒细胞性肺炎:患者多见于中青年女性,发热、体重减轻、盗汗。
咳嗽多粘痰,伴气急和咯血。
周围血嗜酸粒细胞比例多在20%-70%。
肺间质、肺泡和细支气管内有白细胞浸润,主要为成熟嗜酸粒细胞,少量组织细胞和淋巴细胞,肺泡中可见细胞内含有嗜酸性颗粒和尖棱结晶的多核巨细胞,此为本病的病理特点。
有些肺小血管,主要是肺静脉有血管炎,有时见多核巨细胞及嗜酸肉芽肿。
胸部X片显示不呈段或叶性分布的周围片状阴影,常为双侧分布。
糖皮质激素治疗后48h 内症状和胸片可迅速消失。
在同一局部可反复发生,数年后变为纤维化或蜂窝状改变。
糖皮质激素治疗效果显著,常可恢复正常,因停药较易复发,故全疗程需在一年以上。
相关知识:慢性嗜酸性粒细胞性肺炎(chrinic eosinophilic pneumonia,CEP)又称迁延性肺嗜酸性粒细胞浸润症、慢性嗜酸性肺炎,由Carrington在1969年首次描述。
病程及肺部X线表现常较迁延,往往超过1个月,症状也较单纯性肺嗜酸性粒细胞浸润症(PIE)为重。
病因尚不清楚,可能与单纯性肺嗜酸性粒细胞浸润症相似。
有人认为它是Löffler综合征的一种类型。
寄生虫中以钩虫和蛔虫所致者多见,药物中以呋喃妥因多见,其他病因还有球孢子菌病,布鲁杆菌病等。
不少病人有过敏体质,但其真正病因不明。
临床表现:近半数患者有既往过敏疾病史,如过敏性鼻炎、鼻息肉等。
约2/3患者以哮喘为首发症状,或与其他肺部症状同时出现。
起病较缓,常见症状有咳嗽、低热、盗汗、体重减轻、乏力等,少数病人可有咯血。
后期常有进行性气急,与哮喘发作有关。
慢性嗜酸性细胞性肺炎1例及其外周血象分析
陈其琴;王胜荣
【期刊名称】《医学理论与实践》
【年(卷),期】2005(18)4
【摘要】嗜酸性细胞性肺炎是外周血液嗜酸性细胞计数持续增加并发肺部浸润的一种少见过敏性疾病。
嗜酸性细胞增多提示为第Ⅰ型过敏反应,PIE综合征的其他特点(血管炎,圆细胞浸润)提示为第Ⅲ型亦可能为第Ⅳ型反应。
大多数嗜酸性细胞性肺炎病因不明。
作者利用实验室检查持续观察嗜酸性细胞性增多症患者1例。
现报道如下。
【总页数】2页(P422-423)
【作者】陈其琴;王胜荣
【作者单位】福建省汀州医院,福建省长汀县,366300;福建省汀州医院,福建省长汀县,366300
【正文语种】中文
【中图分类】R557+.5
【相关文献】
1.聚乙二醇干扰素α-2b或联合阿德福韦酯治疗慢性乙型肝炎患者的外周血象变化[J], 苏倩;刘艳艳;李家斌
2.慢性持续高剂量电磁辐射对小鼠外周血象的长期影响 [J], 张怡堃;李慧;黄根山;董波;苏振涛
3.外周血象正常的儿童社区获得性肺炎的病原菌分析 [J], 陈颖;文香
4.干扰能治疗慢性丙型肝炎引起外周血象异常一例 [J], 刘军;刘丽萍
5.慢性重型肝炎外周血象测定临床分析 [J], 刘小玲
因版权原因,仅展示原文概要,查看原文内容请购买。
World Latest Medicne Information (Electronic Version) 2016 Vo1.16 No.77 214·病例报道·慢性嗜酸性粒细胞肺炎一例诊治分析王琦,刘晓秋,刘晶,张晴,杨俊玲(通讯作者)(吉林大学第二医院 呼吸与危重症医学科,吉林 130041)关键词:慢性嗜酸性粒细胞肺炎;诊断;治疗中图分类号:R563.1 文献标识码:B DOI:10.3969/j.issn.1671-3141.2016.77.1790 引言慢性嗜酸粒细胞肺炎(chronic eosinophilic pneumonia,CEP)是一种慢性变异性的嗜酸粒细胞肺疾病;主要特点为肺部嗜酸粒细胞浸润伴或不伴外周血嗜酸粒细胞增高。
CEP女性发病率是男性的2倍,可见于任何年龄,多见于30~40岁的女性,但CEP在我国不常见,由于其症状、体征、影像学表现不具有特异性,往往容易导致误诊、误治。
2015年7月吉林大学第二医院收治嗜酸性粒细胞肺炎1例。
1 临床资料患者,女性,40岁,“刺激性咳嗽、咳痰4年,加重伴有胸闷气短半年”于2015年7月17日 入院。
患者4年前于过敏性鼻炎后出现刺激性咳嗽、咳痰,痰为白色泡沫状,粘稠,易咳出,多次就诊于当地医院,明确诊断为“过敏性鼻炎、支气管哮喘”,给予相关治疗后病情未见好转,病情反复,逐渐加重。
半年前出现咳嗽时伴有呼吸困难,2个月前就诊于当地医院行胸部CT 检查发现双肺散在结节状软组织影,诊断为“咳嗽变异性哮喘、支气管扩张”,治疗上给予“抗感染、平喘、化痰”等治疗后病情未见缓解。
转入上级医院后行PET-CT,考虑炎症性病变可能性大。
其后就诊于北京协和医院考虑为变应性支气管肺曲霉菌病(ABPA)可能性大,但未予抗真菌治疗。
为系统治疗转入我院。
病程中无发热、畏寒,无腹痛、腹泻,无尿频、尿急、尿痛。
既往:支气管哮喘、过敏性鼻炎病史4年;有青霉素类药物过敏史;无寄生虫接触史。
嗜酸粒细胞性肺部疾病的影像学马志明、吴迪、杨元利(排名不分先后)# 关键点 #经典的“肺水肿反征”仅见于大多数慢性嗜酸粒细胞性肺炎的病人。
单纯肺嗜酸粒细胞增多症具有外周血嗜酸粒细胞增多,呼吸道症状较少以及一过性肺部浸润影的特征。
嗜酸性肉芽肿性多血管炎,以前被称为Churg-Strauss综合征,通常发生在有哮喘、过敏性鼻炎和/或鼻窦炎病史的患者。
高密度粘液影是变应性支气管肺曲菌病的特异性征象。
药物引起的嗜酸粒细胞性肺炎的临床表现及影像学特征与急性嗜酸粒细胞性肺炎、慢性嗜酸粒细胞性肺炎相似,或很少与嗜酸性肉芽肿性多血管炎相似。
# ELD定义及诊断标准 #定义:嗜酸粒细胞性肺病(ELD)包括不同种类的肺部疾病,具有外周血或组织嗜酸粒细胞增多的特征。
这些疾病的临床表现明显不同,患者在诊断时可能无症状或经受威胁生命的呼吸系统疾病[1] 。
ELD诊断标准:(1)胸片出现边缘模糊的阴影且外周血嗜酸粒细胞增多;(2)外科手术或经支气管肺活检显示组织嗜酸性粒细胞增多;(3)支气管肺泡灌洗液(BALF)嗜酸粒细胞比例增高[2]。
ELD的临床分类:影像学对ELD诊断的作用:影像学表现,尤其是薄层CT有时能提示嗜酸粒细胞性肺病的诊断。
多数情况下,ELD表现出相对罕见的特点和非特异性临床表现,CT影像学表现则可能是诊断的第一线索,可能会促使进一步的诊断性检查。
另外,在外周血嗜酸性细胞增多的患者,影像学能够提供有关受累肺组织的病变位置、严重性和分布信息,可能缩小鉴别诊断范围,引导BAL或活检。
急性嗜酸粒细胞性肺炎(AEP)AEP是一种急性发热性疾病,发热持续时间少于5天、低氧性呼吸衰竭、胸片显示弥漫性浸润影以及BALF嗜酸粒细胞比例大于25% 。
疾病初期外周血嗜酸粒细胞可能正常或轻度升高[2],但在随后的治疗中会有升高。
无合并感染是诊断必要条件。
尽管AEP的临床表现和影像学表现可能与急性呼吸窘迫综合征(ARDS)相似,但在ARDS 中BALF显示中性粒细胞升高。
慢性嗜酸性粒细胞肺炎延迟诊断一例作者:米双林嘉欣吴义来源:《右江医学》2021年第10期【關键词】慢性嗜酸性粒细胞肺炎;糖皮质激素;误诊中图分类号:R563.1+3 文献标志码:B DOI:10.3969/j.issn.1003-1383.2021.10.015慢性嗜酸性粒细胞肺炎(CEP)是一种病因未明的慢性肺间质性疾病,临床罕见,且复发率高,其特点是肺间质嗜酸性粒细胞浸润,伴或者不伴有外周血嗜酸性粒细胞增高,影像学以外周肺浸润为主,应用糖皮质激素疗效显著。
由于其临床特点不典型,发病率不高,容易被临床医生误诊。
本文报道1例延迟诊断为慢性嗜酸性粒细胞肺炎的患者,旨在提高临床医生对该疾病的认识,减少误诊,为临床工作提供参考。
1 病例介绍患者,女,69岁。
因“咳嗽2个月伴胸痛1个月”于2020年9月6日入院。
此前曾在外院抗感染(头孢三代、喹诺酮类)治疗,多次查胸部CT示左肺大片状及斑片状高密度灶,右肺多发磨玻璃结节灶。
既往史及个人史无特殊,查体:T 36.4℃,P 107次/min,R 18次/min,BP 118/86 mmHg,全身无皮下出血点及瘀斑。
全身未触及浅表淋巴结肿大。
双侧呼吸运动对称,双肺叩诊音清,双肺呼吸音稍粗,未闻干、湿罗音,心律齐,各瓣膜听诊区未闻病理性杂音。
腹部及神经系统查体无异常。
入院后化验,超敏C反应蛋白(CRP)65.68 mg/L,白细胞(WBC)11.36×109/L,嗜中性粒细胞(N)8.21×109/L,单核细胞(M)0.67×109/L,痰涂片、痰培养、结核杆菌抗体、呼吸道感染病原体、呼吸道肿瘤三项、降钙素原、真菌D-葡聚糖、血管炎五项、风湿全套、类风湿四项等均未见明显异常,肺功能提示轻度阻塞性通气功能障碍,激发试验可疑阳性。
诊断为社区获得性肺炎,予以克拉霉素(2020年9月7日至9月11日)抗感染,期间查胸部CT示双肺多发片状高密度影(图1A),加用伏立康唑(2020年9月10日至10月8日)抗真菌治疗。
慢性嗜酸性粒细胞肺炎1例并文献复习
祁子歆;柴燕玲
【期刊名称】《中国现代医药杂志》
【年(卷),期】2022(24)8
【摘要】慢性嗜酸性粒细胞肺炎(Chronic eosinophilic pneumonia,CEP)是以肺泡充盈伴炎性细胞(主要为嗜酸性粒细胞)浸润为特征的特发性慢性疾病,仅占间质性肺疾病的3%[1]。
1969年,Carrington等首次提出CEP,并将其在胸部X线上的特征描述为“以外周分布为特征的阴影”,同时肺组织活检中可以见到聚集的嗜酸性粒细胞[2]。
由于CEP与其他嗜酸性粒细胞增多性相关疾病有相似的临床表现且缺乏特异性诊断试验,因此临床上常误诊、漏诊。
现将我科收治的1例确诊为CEP病例报道如下。
【总页数】3页(P80-82)
【作者】祁子歆;柴燕玲
【作者单位】昆明医科大学第二附属医院呼吸与危重症医学科
【正文语种】中文
【中图分类】R73
【相关文献】
1.慢性嗜酸性粒细胞肺炎1例并文献复习
2.嗜酸性粒细胞肺炎1例并文献复习
3.急性嗜酸性粒细胞性肺炎并左下肢静脉血栓形成1例及文献复习
4.慢性嗜酸性粒细胞肺炎1例报道并文案复习
5.慢性嗜酸性粒细胞肺炎一例报告并文献复习
因版权原因,仅展示原文概要,查看原文内容请购买。