上腹部CT(肝胆脾胰)检查技术PPT课件
- 格式:ppt
- 大小:4.44 MB
- 文档页数:43
2023医学影像学上腹部CTCATALOGUE 目录•上腹部CT检查技术•常见疾病影像表现•CT引导下介入治疗•常见并发症及处理01上腹部CT检查技术患者准备了解患者病史,确认患者无CT检查禁忌症,如金属植入物等。
设备准备确保CT设备正常运行,准备好必要的试剂和工具。
检查前准备检查方法与步骤让患者采取仰卧位,身体放松,保持呼吸平稳。
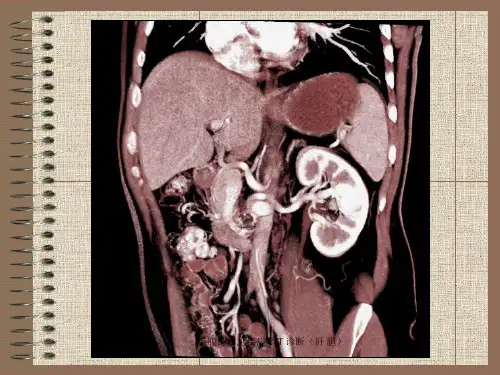
体位固定从膈顶向下扫描至肾脏下缘,是上腹部CT 扫描的基本范围。
扫描范围根据具体情况选择适当的扫描参数,如层厚、间隔、管电压和管电流等。
扫描参数完成扫描后,对原始数据进行重建,得到多平面重建(MPR)、最大密度投影(MIP)和容积重建(VR)等图像。
图像重建图像解读根据重建得到的图像,观察肝、胆、胰、脾等器官有无异常病变。
报告撰写医生根据观察结果撰写报告,描述病变的部位、形态、大小等特征,为临床诊断提供重要依据。
图像解读与报告02常见疾病影像表现1肝脏疾病23CT表现为肝脏体积缩小,边缘不规则,肝实质内出现不规则低密度区,肝门部胆管扩张。
肝硬化CT表现为肝实质内不均匀低密度区,边缘呈分叶状,有时中心区可见钙化。
肝癌CT表现为肝脏密度降低,肝脏边缘圆钝,肝内血管纹理不清。
脂肪肝03胆囊炎CT表现为胆囊壁增厚,胆囊周围可见炎症细胞浸润。
胆囊与胆道疾病01胆囊结石CT表现为胆囊增大,胆囊壁增厚,胆囊内可见圆形或椭圆形高密度影。
02胆管结石CT表现为胆管扩张,胆管内可见高密度影,胆管壁增厚。
胰腺炎CT表现为胰腺肿大,周围脂肪间隙模糊,胰周积液。
胰腺疾病胰腺癌CT表现为胰腺实质内不均匀低密度区,边缘不规则,有时中心区可见钙化。
胰岛细胞瘤CT表现为胰腺实质内类圆形低密度影,边缘清晰。
肾脏疾病肾结石01CT表现为肾盂内不均匀高密度影,边缘不规则,有时可见点状钙化。
肾癌02CT表现为肾实质内不均匀低密度区,边缘呈分叶状,有时中心区可见钙化。
肾结核03CT表现为肾实质内多发低密度区,边缘模糊,肾盂肾盏变形。